分享:
分享到微信朋友圈
X
临床研究
近期皮质下小梗死MRI影像演变及相关因素分析
贺雪平 叶裕丰 李燕花 荘高明 刘德祥 王丽

Cite this article as: HE X P, YE Y F, LI Y H, et al. Analysis of MR imaging evolution and related factors of recent small subcortical infarcts with cerebral small vessel disease[J]. Chin J Magn Reson Imaging, 2025, 16(9): 22-27.本文引用格式:贺雪平, 叶裕丰, 李燕花, 等. 近期皮质下小梗死MRI影像演变及相关因素分析[J]. 磁共振成像, 2025, 16(9): 22-27. DOI:10.12015/issn.1674-8034.2025.09.004.


[摘要] 目的 探讨近期皮质下小梗死(recent small subcortical infarct, RSSI)MRI影像演变及其影响因素分析。材料与方法 收集2019年8月至2024年9月期间确诊的RSSI患者105例进行回顾性分析,其中男78例,女27例,年龄(62.77±13.28)岁。记录患者入院时临床资料、头颅MRI影像资料,根据随访MRI梗死灶演变结局分为腔隙化组及非腔隙化组(脑白质高信号和梗死灶消失),比较两组临床及影像资料,采用多因素logistic回归分析RSSI腔隙化的独立预测因素。结果 入选的105例RSSI患者中,63例(60.00%)演变为腔隙灶,34例(32.38%)演变为脑白质高信号,8例(7.62%)梗死灶消失。两组间性别、初始弥散加权成像(diffusion-weighted imaging, DWI)梗死灶直径、陈旧性腔隙灶数量差异有统计学意义(P<0.05),多因素logistic回归分析显示初始DWI梗死灶直径(OR=1.394,P<0.001)、陈旧性腔隙灶数量(OR=1.455,P=0.028)是RSSI演变为腔隙灶的独立预测因素(P<0.05)。结论 约60%有症状的RSSI病灶演变为腔隙灶,随访中病灶均有缩小,梗死灶直径越大、陈旧性腔隙灶数量越多,越容易腔隙化。
[Abstract] Objective To explore related factors affecting MRI evolution of recent small subcortical infarct (RSSI).Materials and Methods A total of 105 patients with RSSI were admitted between August 2019 and September 2024. There were 78 males and 27 females, with mean age (62.77 ± 13.28) years. Clinical information of patients, images data of head MRI were collected. All patients were divided into cavitation group and no cavitation group [white matter hyperintensities (WMH) and disappearance] to analyze related factors affecting evolution with multivariate logistic regression analysis.Results Sixty-three cases (60.00%) developed to cavities, 34 cases (32.38%) evolved into WMH, and 8 cases (7.62%) disappeared. There were significant differences in gender, initial diffusion-weighted imaging (DWI) infarct diameter and number of old lacunes lesion between the two groups (P < 0.05). In logistic regression analysis, initial DWI infarct diameter (OR = 1.394, P < 0.001) and number of old lacunes (OR = 1.455, P = 0.028) was an independent predictor of cavity formation.Conclusions About 60% of RSSI develop to cavitation. All infarct lesions were reduced during follow-up. The RSSI showing larger diameter of infarct lesions and more number of old lacunar infarction have a greater possibility of cavitation.
[关键词] 皮质下小梗死;脑小血管病;磁共振成像;影像演变;梗死灶直径;陈旧性腔隙灶
[Keywords] small subcortical infarct;cerebral small vessel disease;magnetic resonance imaging;imaging evolution;infarct diameter;old lacunes

贺雪平 1   叶裕丰 1, 2   李燕花 1   荘高明 1   刘德祥 1*   王丽 1, 2  

1 广州医科大学附属番禺中心医院放射科,广州 511400

2 广州市番禺区医学影像研究所,广州 511400

通信作者:刘德祥,E-mail: xiangmail3@21cn.com

作者贡献声明::刘德祥设计本研究的方案,对稿件重要内容进行了修改;贺雪平起草和撰写稿件,获取、分析和解释本研究的数据,获得了广州市番禺区科技计划项目的资助;叶裕丰、李燕花、荘高明、王丽获取、分析或解释本研究的数据,对稿件重要内容进行了修改;全体作者都同意发表最后的修改稿,同意对本研究的所有方面负责,确保本研究的准确性和诚信。


基金项目: 广州市番禺区科技计划项目 2021-Z04-035
收稿日期:2025-05-07
接受日期:2025-09-03
中图分类号:R445.2  R743 
文献标识码:A
DOI: 10.12015/issn.1674-8034.2025.09.004
本文引用格式:贺雪平, 叶裕丰, 李燕花, 等. 近期皮质下小梗死MRI影像演变及相关因素分析[J]. 磁共振成像, 2025, 16(9): 22-27. DOI:10.12015/issn.1674-8034.2025.09.004.

0 引言

       近期皮质下小梗死(recent small subcortical infarct, RSSI)是临床常见的脑小血管病之一,通常被临床使用的是“急性腔隙性脑梗死”。研究发现RSSI结局可演变为腔隙灶(空腔)、脑白质高信号(white matter hyperintensities, WMH)、完全消失或少许含铁血黄素沉积[1, 2]。这表明即便MRI上没有陈旧性腔隙灶(空腔),也应询问脑卒中的病史,这有助于脑卒中二级预防。有文献报道28%~94%[3, 4]的RSSI在随访影像上演变为腔隙灶,差异较大。研究表明,脑梗死后形成腔隙灶所导致的神经功能障碍比WMH更为严重,对人群认知能力下降和痴呆风险增加的影响也更大[5, 6]。而RSSI病灶不同影像学转归受许多因素影响,但研究结果存在差异。本研究旨在观察RSSI影像演变结局及其演变的影响因素进行分析。

1 材料与方法

1.1 一般资料

       本研究回顾性分析广州医科大学附属番禺中心医院2019年8月至2024年9月期间确诊为RSSI的患者105例,男78例,女27例,年龄(62.77±13.28)岁。收集患者临床资料。纳入标准:(1)RSSI病灶在头颅MRI轴位弥散加权成像(diffusion-weighted imaging, DWI)序列上表现为孤立性高信号,且最大层面直径≤20 mm;有≥1次随访MRI;(2)存在与MRI影像相对应的神经功能缺损。排除标准:(1)病灶早期进展恶化,不再符合RSSI表现;(2)有潜在心脏栓塞来源,如心脏黏液瘤、心房颤动、心房扑动、感染性心内膜炎等;(3)颈动脉等颅内外大动脉及其分支狭窄≥50%或闭塞。本研究遵守《赫尔辛基宣言》,经广州医科大学附属番禺中心医院伦理委员会批准,批件号:PYRC-2025-123-01,免除全体受试者知情同意。

1.2 检查方法

       对所有患者于入院72 h内及随访时均行3.0 T头颅MRI(MAGNETOM Prisma, Siemens Healthcare, Erlangen, Germany)检查,包括T1加权成像(T1-weighted imaging, T1WI)、T2加权成像(T2-weighted imaging, T2WI)、液体衰减反转恢复(fluid attenuated inversion recovery, FLAIR)序列和DWI,部分患者在入院及随访时均加做磁敏感加权成像(susceptibility weighted imaging, SWI)检查。

1.3 基线MRI图像分析

       记录基线MRI时间、梗死部位,测量梗死灶基线DWI最大轴位直径。基线陈旧性腔隙灶数量评估标准[7]:指在T1WI序列为低信号,T2WI序列为高信号,FLAIR序列上低信号周围有或无高信号环,类似于脑脊液信号,且直径为3~15 mm的圆形或者卵圆形空腔样病灶;基线WMH严重程度主要依据FLAIR序列并应用Fazekas评分法[8]对深部WMH和侧脑室旁WMH分别进行评定,相加计算总体WMH严重程度(0~6分)。MRI资料由2名放射科医师(分别从事MRI诊断工作7年的主治医师和12年的副主任医师)进行盲评,意见不一致时通过协商达成共识。

1.4 随访MRI图像分析

       记录随访MRI时间,测量梗死灶随访T2WI最大轴位直径。记录RSSI演变结局。(1)腔隙化:随访T1WI呈与脑脊液信号相同或接近的低信号,T2WI呈与脑脊液信号相同或接近的高信号,FLAIR通常为低信号(周围可有高信号环)。(2)WMH:随访T1WI呈等或略低信号,T2WI和FLAIR序列呈高信号。(3)梗死灶消失:随访T1WI、T2WI、FLAIR和DWI序列均未见原梗死病灶显示。(4)含铁血黄素沉积(hemosiderin deposits, HDs):随访SWI图像上呈点、线状、环状低信号。

1.5 统计学分析

       所有统计学分析均采用统计学软件SPSS 25.0完成。正态分布的计量资料以均数±标准差表示,两组间比较采用独立样本t检验;非正态分布的计量资料用中位数(四分位间距)表示,两组组间比较采用非参数Mann-Whitney U检验。计数资料以例(%)表示,组间比较采用χ2检验或Fisher确切概率法。为确定腔隙化形成的影响因素,进行多因素二分类logistic回归分析。检验假设结果以P<0.05为差异有统计学意义。

2 结果

2.1 患者基线特征及影像资料比较

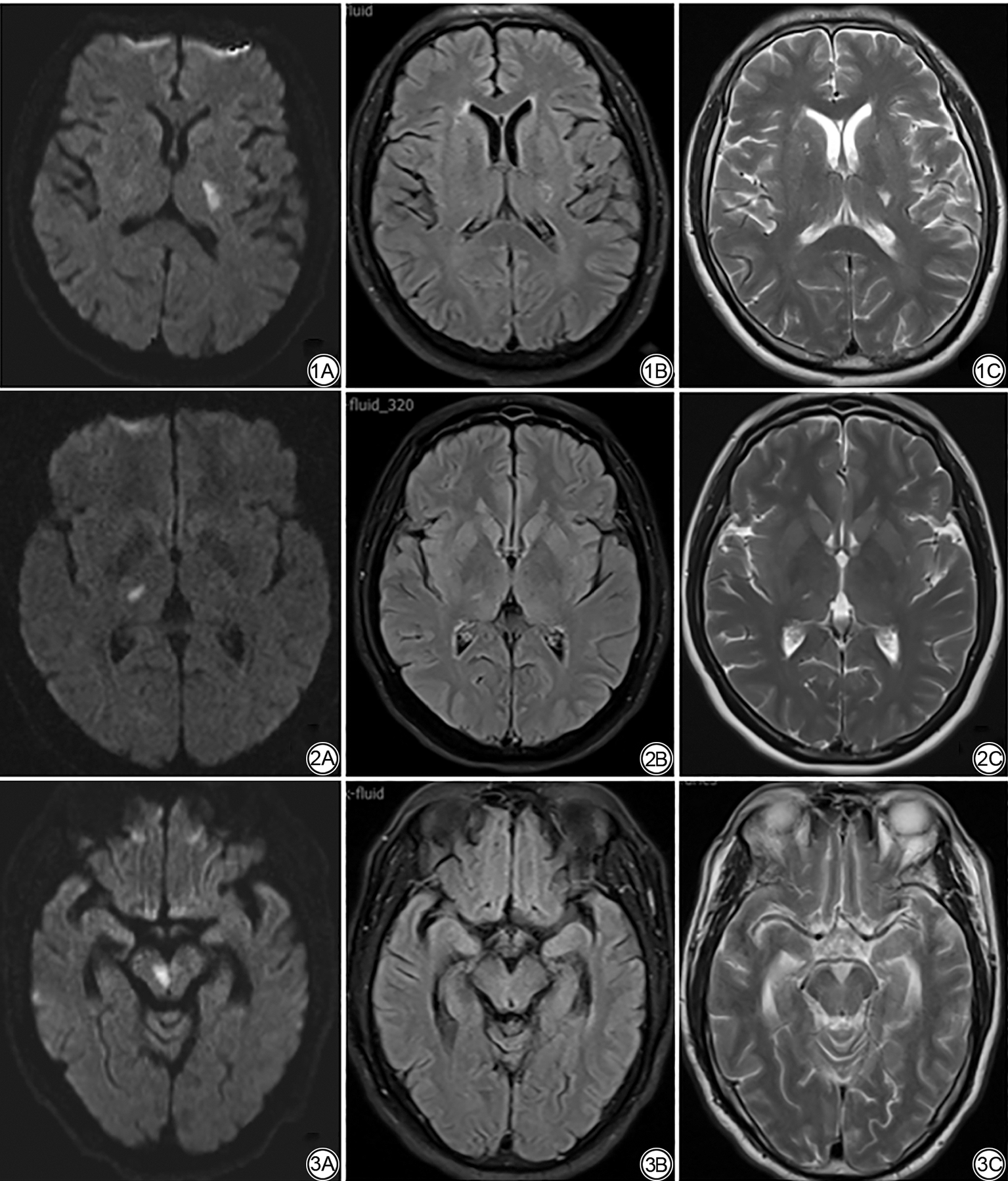
       本研究共纳入105例RSSI患者,其中63例(60.00%)梗死灶演变为腔隙灶,34例(32.38%)梗死灶演变为WMH(非腔隙化),8例(7.62%)梗死灶消失(非腔隙化)(图1, 图2, 图3)。腔隙化组、非腔隙化组间年龄、高血压、糖尿病、高血脂、吸烟、入院卒中评分量表(National institutes of Health Stroke Scale, NIHSS)评分、随访MRI间隔时间、梗死灶部位、基线总WMH评分差异均无统计学意义(P>0.05,表1);腔隙化组、非腔隙化组间性别、初始DWI梗死灶直径、陈旧性腔隙灶数量差异有统计学意义(P<0.05,表1)。

       随访期间,RSSI病灶中位直径从9.7 mm降至6.3 mm。有29例(27.6%)患者出现卒中复发,其中腔隙化组20例(31.7%),非腔隙化组9例(21.4%),两组间差异无统计学意义(P=0.247);在29例RSSI卒中复发患者中,2例为出血性卒中,3例为大面积脑梗死,5例表现为多发急性梗死灶,其余19例仍符合RSSI诊断标准。

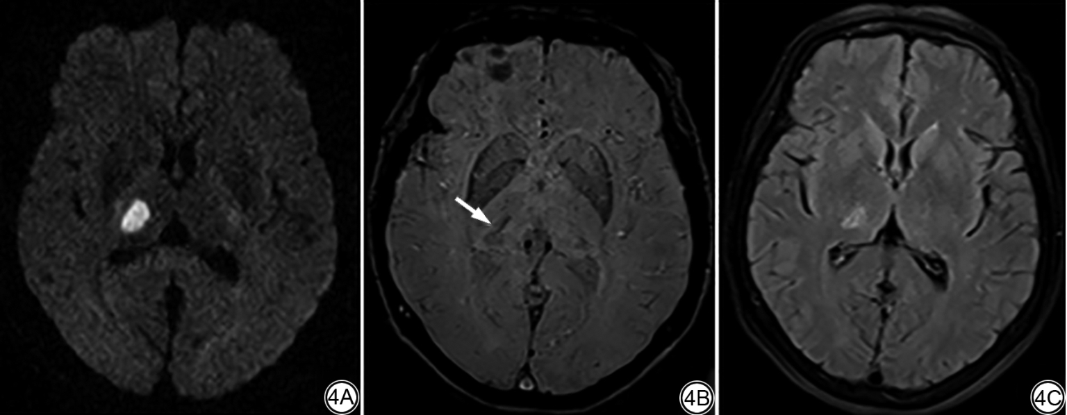
       此外,23例RSSI患者入院时及随访期间均加做了SWI检查,中位随访时间为7.50(3.90,12.80)个月。其中12例患者在随访SWI图像上发现HDs现象,呈点状、线状SWI低信号(图4),中位随访时间为8.15(4.30,13.38)个月,其余11例未观察到明显HDs,中位随访时间为6.90(3.30,12.80)个月,HDs阳性组与阴性组间随访时间差异无统计学意义(P=1.000)。12例HDs患者中,8例演变为腔隙灶,4例演变为WMH。

图1  男,58岁,近期皮质下小梗死灶腔隙化。头颅DWI(1A)示左侧内囊梗死灶,随访4.5个月后,FLAIR(1B)及T2WI(1C)上演变为腔隙灶。
图2  女,41岁,近期皮质下小梗死灶演变为WMH。头颅DWI(2A)示右侧丘脑梗死灶,随访6个月后,FLAIR(2B)及T2WI(2C)上演变为WMH。
图3  男,51岁,近期皮质下小梗死灶消失。头颅DWI(3A)示中脑一梗死灶,随访3.6个月后,FLAIR(3B)及T2WI(3C)上病灶消失。DWI:弥散加权成像;FLAIR:液体衰减反转恢复;T2WI:T2加权成像;WMH:脑白质高信号。
Fig. 1  Male, 58 years old, recent small subcortical infarct lesions develop to cavities. DWI (1A) of the head image shows infarct in the left internal capsule, after 4.5 months of follow-up, the infarct lesion develops to cavitation on FLAIR (1B) and T2WI (1C).
Fig. 2  Female, 41 years old, recent small subcortical infarct lesions develop to WMH. DWI (2A) of the head image shows infarct in the right thalamus, after 6 months of follow-up, the infarct lesion develops to WMH on FLAIR (2B) and T2WI (2C).
Fig. 3  Male, 51 years old, recent small subcortical infarct lesions disappear. DWI (3A) of the head image shows infarct in the midbrain, after 3.6 months of follow-up, the infarct lesion disappears on FLAIR (3B) and T2WI (3C). DWI: diffusion-weighted imaging; FLAIR: fluid attenuated inversion recovery; T2WI: T2-weighted imaging; WMH: white matter hyperintensities.
图4  女,59 岁,近期皮质下小梗死灶中出现HDs。4A:头颅DWI 示右侧丘脑梗死灶;4B~4C:随访1.3 个月后,SWI(4B)示病灶内线状低信号(箭),FLAIR(4C)示病灶内部分腔隙化。HDs:含铁血黄素沉积;DWI:弥散加权成像;SWI:磁敏感加权成像;FLAIR:液体衰减反转恢复。
Fig. 4  Female, 59 years old, recent small subcortical infarct lesions with hemosiderin deposits. 4A: DWI of the head image shows infarct in the right thalamus; 4B-4C: After 1.3 months of follow-up, SWI (4B) shows the linear dark signal in the lesion (arrow), FLAIR (4C) shows partial cavitation within the lesion. HDs: hemosiderin deposits; DWI: diffusion-weighted imaging; SWI: susceptibility weighted imaging; FLAIR: fluid attenuated inversion recovery.
表1  RSSI患者临床及影像资料比较
Tab. 1  Comparison of clinical and image data of patients with RSSI

2.2 多因素二分类logistic回归分析

       将腔隙化组、非腔隙化组间性别、梗死灶部位、初始DWI梗死灶直径、陈旧性腔隙灶数量纳入logistic回归分析,在梗死部位中,以脑干或小脑半球组为参照,结果显示初始DWI梗死灶直径、陈旧性腔隙灶数量是RSSI演变为腔隙灶的独立预测因素(表2),性别、梗死灶部位(基底节区、丘脑、放射冠、半卵圆中心、脑干或小脑半球)均不是RSSI演变为腔隙灶的影响因素(表2)。

表2  RSSI演变为腔隙灶的logistic回归分析
Tab. 2  Logistic regression analysis of RSSI develop to cavitation

3 讨论

       RSSI是临床中常见疾病,约1/4缺血性脑卒中由RSSI引起[9],通常短期预后较好,但长期预后如卒中复发、认知功能障碍等风险随时间延长而增加[10, 11, 12]。本研究回顾性分析RSSI影像演变及相关因素,结果显示RSSI影像特征会动态变化,包括病灶腔隙化、演变为WMH以及部分病灶消失,还有部分病灶内出现HDs,为理解RSSI的自然病程提供了数据。有文献报道RSSI形成腔隙灶的数量及体积与脑小血管病患者的认知能力下降有关,对临床预后具有重要意义[13, 14, 15]。本研究发现大部分RSSI演变为腔隙灶,梗死灶直径越大、陈旧性腔隙灶数量越多,越容易腔隙化,这对认知功能障碍患者诊断及预后具有重要价值。

3.1 RSSI演变结局及影响因素分析

       本研究显示RSSI病灶在随访中均有缩小,与LOOS等[4]研究结果一致,初始病灶DWI直径比随访T2WI直径缩小约35%(中位直径9.7 mm比6.3 mm)。DWI显示急性期小梗死灶伴随着血管源性水肿消退后,周围胶质细胞增生改变,使病灶在随访中缩小。其次我们发现有10例RSSI病灶在随访FLAIR序列中未见显示,可在T1WI、T2WI序列中显示(不属于梗死灶消失),其中5例位于脑干或小脑半球,可能由于病灶太小,或者FLAIR序列受病变部位和WMH严重程度的影响,降低了其敏感性[16, 17],故需要综合多序列来判断RSSI演变结局并在随访T2WI序列上测量直径。另外本研究显示RSSI腔隙化与病灶直径相关,与既往多项研究结果相符[15, 18, 19, 20],越大的梗死核心伴随更多的神经元和神经胶质细胞丢失、液化坏死而形成腔隙灶,越小的梗死核心伴随较少的神经元丢失、脱髓鞘以及神经胶质细胞增生修复代偿,可能更会演变为WMH或者梗死病灶消失[18]

       有文献报道[19, 20]较多数量的陈旧性腔隙灶与RSSI腔隙化相关,与本研究结果一致,较高的脑小血管病变危险因素可能影响RSSI腔隙化形成。MOREAU等[16]报道WMH严重程度与腔隙化相关;HONG等[21]发现WMH边缘的RSSI更容易形成腔隙灶,因为WHM周围的缺血半暗带脑血流量比全脑血流量低,可能使RSSI更容易腔隙化。本研究与王媚媚等[18, 22]的研究结果一致,发现全脑WMH与梗死灶结局无关,可能是因为WMH不仅是脑小血管病变的影像学标志,而且与大动脉粥样硬化有关[23, 24]

       本研究结果显示RSSI腔隙化的患者占60%,与KWON等[20](58.2%)、WANG等[22](67.8%)结果相近。POTTER等[3]研究报道随访时间会影响RSSI病灶腔隙化,约五分之一有症状的梗死灶会发生明确的腔隙灶,腔隙化病灶的随访时间明显晚于非腔隙化病灶随访时间(中位时间228天比72天;P=0.0003);而LOOS等[4]研究显示RSSI腔隙化占比94%,他们认为在2年随访时间里几乎所有有症状的深部脑区梗死灶均会出现腔隙灶。有研究表明RSSI病灶演变在3个月后会趋于稳定[25]。本研究中腔隙化组与非腔隙化组间MRI随访时间差异无统计学意义,中位随访时间约9个月,虽然足以观察脑缺血性损伤后的胶质细胞增生,可能需继续随访观察病灶是否变化。

       KWON等[20]研究则显示随访时间与RSSI病灶演变无关,他们认为RSSI病灶腔隙化与梗死部位有关,前循环脑梗死位于放射冠、基底节区等部位的病灶较后循环(丘脑、脑干及小脑半球)更易形成腔隙灶,此部位主要由神经纤维束组成,神经元相对稀疏,缺血后较容易胶质增生而形成腔隙灶,而后循环神经元相对丰富,更易形成非腔隙灶。本研究中前循环腔隙化例数较后循环多(38比25),前循环非腔隙化例数较后循环少(15比27),但两组间差异无统计学意义,可能与样本量少有关。另外我们发现有8例(7.62%)患者RSSI病灶消失,其中5例位于脑干,2例位于小脑半球,1例位于半卵圆中心,可能与病灶部位更易耐受缺血或病灶太小有关[16],常规MRI上无法显示。

       在随访期间,有29例RSSI患者卒中复发,其中2例为出血性卒中;3例为大面积脑梗死,5例表现为多发急性梗死灶,推测其病因可能为大动脉粥样硬化型或动脉栓塞型;其余19例仍符合RSSI诊断标准,提示RSSI可能存在相同的病理生理机制,后续研究需增加样本量进一步探讨RSSI卒中复发的风险因素。

3.2 RSSI随访SWI序列上HDs现象

       有研究表明HDs与慢性微出血或血管渗漏导致的铁沉积有关,这种沉积可能反映慢性血管损伤,或与血脑屏障破坏后红细胞外渗相关[26, 27, 28]。本研究中23例患者入院及随访期间均加做了SWI检查,HDs发生率为52.2%(12/23)提示其并非少数现象。这一结果与两项前瞻性研究结果接近,XU等[29]报道108例RSSI患者中,55%的患者在卒中发作后3个月内在SWI上出现HDs,76.9%的患者在卒中发作后12个月内在SWI上出现HDs;JIANG等[30]发现在随访约12个月后,将近一半(45/101)RSSI患者在梗死灶内出现HDs。这些研究均表明,HDs在RSSI中较为常见,且与较长的随访时间、较大的病灶体积相关[29, 30]。在本研究的12例HDs患者中,8例演变为腔隙灶,4例演变为WMH,提示HDs与腔隙化结局相关,间接表明HDs与梗死灶直径相关,然而,由于本研究仅部分患者接受了SWI检查,仅初步增进了对RSSI长期演变中HDs现象的理解,未来研究需通过标准化影像检查和延长随访时间,进一步探讨HDs在RSSI演变中的意义。

3.3 局限性

       本研究尚存在一定局限性:首先,研究对象来自单中心,样本量小,可能存在选择偏倚;其次,仅有少部分患者完成SWI检查,样本量的限制使我们无法明确其临床意义,后续研究将扩大样本量、完善多模态MRI序列、延长随访时间观察RSSI演变为HDs的影响因素。

4 结论

       综上所述,本研究显示约60%有症状的RSSI患者在随访MRI中会出现腔隙化,并且病灶均有缩小,梗死灶直径越大、陈旧性腔隙灶数量越多是RSSI腔隙化的独立预测因素。

[1]
DUERING M, BIESSELS G J, BRODTMANN A, et al. Neuroimaging standards for research into small vessel disease-advances since 2013[J]. Lancet Neurol, 2023, 22(7): 602-618. DOI: 10.1016/S1474-4422(23)00131-X.
[2]
叶瑾怡, 王赞, 龚宇田, 等. 脑小血管病研究的神经影像学标准STRIVE-2——自2013年以来的新进展[J]. 中国卒中杂志, 2023, 18(10): 1160-1174. DOI: 10.3969/j.issn.1673-5765.2023.10.009.
YE J Y, WANG Z, GONG Y T, et al. Neuroimaging Standards for Research into Cerebral Small Vessel Disease (STRIVE-2) —Advances Since 2013[J]. Chin J Stroke, 2023, 18(10): 1160-1174. DOI: 10.3969/j.issn.1673-5765.2023.10.009.
[3]
POTTER G M, DOUBAL F N, JACKSON C A, et al. Counting cavitating lacunes underestimates the burden of lacunar infarction[J]. Stroke, 2010, 41(2): 267-272. DOI: 10.1161/strokeaha.109.566307.
[4]
LOOS C M, STAALS J, WARDLAW J M, et al. Cavitation of deep lacunar infarcts in patients with first-ever lacunar stroke: a 2-year follow-up study with MR[J]. Stroke, 2012, 43(8): 2245-2247. DOI: 10.1161/strokeaha.112.660076.
[5]
TANIGUCHI A, SHINDO A, TABEI K I, et al. Imaging Characteristics for Predicting Cognitive Impairment in Patients With Cerebral Autosomal Dominant Arteriopathy With Subcortical Infarcts and Leukoencephalopathy[J/OL]. Front Aging Neurosci, 2022, 14: 876437 [2025-05-07]. https://doi.org/10.3389/fnagi.2022.876437. DOI: 10.3389/fnagi.2022.876437.
[6]
AZEEM F, DURRANI R, ZERNA C, et al. Silent brain infarctions and cognition decline: systematic review and meta-analysis[J]. J Neurol, 2020, 267(2): 502-512. DOI: 10.1007/s00415-019-09534-3.
[7]
CHUNG C P, IHARA M, HILAL S, et al. Targeting cerebral small vessel disease to promote healthy aging: Preserving physical and cognitive functions in the elderly[J/OL]. Arch Gerontol Geriat, 2023, 110: 104982 [2025-05-07]. https://doi.org/10.1016/j.archger.2023.104982. DOI: 10.1016/j.archger.2023.104982.
[8]
ANDERE A, JINDAL G, MOLINO J, et al. Volumetric White Matter Hyperintensity Ranges Correspond to Fazekas Scores on Brain MRI[J/OL]. J Stroke Cerebrovasc Dis, 2022, 31(4): 106333 [2025-05-07]. https://doi.org/10.1016/j.jstrokecerebrovasdis.2022.106333. DOI: 10.1016/j.jstrokecerebrovasdis.2022.106333.
[9]
郑文乔, 王效春. 脑小血管病影像学标志物对脑卒中影响的研究进展[J]. 磁共振成像, 2021, 12(4): 96-99. DOI: 10.12015/issn.1674-8034.2021.04.024.
ZHENG W Q, WANG X C. Research progress on the effect of neuroimaging markers of cerebral small vessel disease on stroke[J]. Chin J Magn Reson Imaging, 2021, 12(4): 96-99. DOI: 10.12015/issn.1674-8034.2021.04.024.
[10]
FRUHWIRTH V, ENZINGER C, FANDLER-HÖFLER S, et al. Baseline white matter hyperintensities affect the course of cognitive function after small vessel disease-related stroke: a prospective observational study[J]. Eur J Neurol, 2021, 28(2): 401-410. DOI: 10.1111/ene.14593.
[11]
OHLMEIER L, NANNONI S, PALLUCCA C, et al. Prevalence of, and risk factors for, cognitive impairment in lacunar stroke[J]. Int J Stroke, 2023, 18(1): 62-69. DOI: 10.1177/17474930211064965.
[12]
YE M, ZHOU Y, CHEN H, et al. Heterogeneity of White Matter Hyperintensity and Cognitive Impairment in Patients with Acute Lacunar Stroke[J/OL]. Brain Sci, 2022, 12(12): 1674 [2025-05-07]. https://doi.org/10.3390/brainsci12121674. DOI: 10.3390/brainsci12121674.
[13]
BENJAMIN P, TRIPPIER S, LAWRENCE A J, et al. Lacunar Infarcts, but Not Perivascular Spaces, Are Predictors of Cognitive Decline in Cerebral Small-Vessel Disease[J]. Stroke, 2018, 49(3): 586-593. DOI: 10.1161/STROKEAHA.117.017526.
[14]
ARTEAGA C, CHENG Y, CLANCY U, et al. Can smaller lacunes derived from recent small subcortical infarcts play a role in cognition at one- year after mild stroke?[J/OL]. Cereb Circ Cogn Behav, 2024, 6: 100249 [2025-05-07]. https://doi.org/10.1016/j.cccb.2024.100249. DOI: 10.1016/j.cccb.2024.100249.
[15]
DUERING M, ADAM R, WOLLENWEBER F A, et al. Within-lesion heterogeneity of subcortical DWI lesion evolution, and stroke outcome: A voxel-based analysis[J]. J Cereb Blood Flow Metab, 2020, 40(7): 1482-1491. DOI: 10.1177/0271678X19865916.
[16]
MOREAU F, PATEL S, LAUZON M L, et al. Cavitation after acute symptomatic lacunar stroke depends on time, location, and MRI sequence[J]. Stroke, 2012, 43(7): 1837-1842. DOI: 10.1161/STROKEAHA.111.647859.
[17]
GATTRINGER T, VALDES HERNANDEZ M, HEYE A, et al. Predictors of Lesion Cavitation After Recent Small Subcortical Stroke[J]. Transl Stroke Res, 2020, 11(3): 402-411. DOI: 10.1007/s12975-019-00741-8.
[18]
王媚媚, 张思斯, 刘浩, 等. 脑近期皮质下小梗死演变结局的相关因素分析[J]. 中华医学杂志, 2019, 99(43): 3420-3423. DOI: 10.3760/cma.j.issn.0376-2491.2019.43.014.
WANG M M, ZHANG S S, LIU H, et al. Analysis of related factors affecting evolution of recent small subcortical infarcts with cerebral smallvessel disease[J]. Natl Med J China, 2019, 99(43): 3420-3423. DOI: 10.3760/cma.j.issn.0376-2491.2019.43.014.
[19]
ZHANG X, GE Y, LIANG C, et al. Cavitation of symptomatic acute single small subcortical infarctions[J]. Neurol Sci, 2020, 41(12): 3705-3710. DOI: 10.1007/s10072-020-04509-z.
[20]
KWON H S, CHO A H, LEE M H, et al. Evolution of acute lacunar lesions in terms of size and shape: a PICASSO sub-study[J]. J Neurol, 2019, 266(3): 766-772. DOI: 10.1007/s00415-019-09201-7.
[21]
HONG H, ZHANG R, YU X, et al. Factors Associated With the Occurrence and Evolution of Recent Small Subcortical Infarcts (RSSIs) in Different Locations[J/OL]. Front Aging Neurosci, 2020, 12: 264 [2025-05-07]. https://doi.org/10.3389/fnagi.2020.00264. DOI: 10.3389/fnagi.2020.00264.
[22]
WANG M M, LI Y F, SONG Y J, et al. Association of total cerebral small vessel disease burden with the cavitation of recent small subcortical infarcts[J]. Acta Radiol, 2023, 64(1): 295-300. DOI: 10.1177/02841851211066583.
[23]
GIESE A K, SCHIRMER M D, DALCA A V, et al. White matter hyperintensity burden in acute stroke patients differs by ischemic stroke subtype[J/OL]. Neurology, 2020, 95(1): e79-e88 [2025-05-07]. https://doi.org/10.1212/WNL.0000000000009728. DOI: 10.1212/WNL.0000000000009728.
[24]
DERRAZ I, ABDELRADY M, AHMED R, et al. Impact of White Matter Hyperintensity Burden on Outcome in Large-Vessel Occlusion Stroke[J]. Radiology, 2022, 304(1): 145-152. DOI: 10.1148/radiol.210419.
[25]
PINTER D, GATTRINGER T, ENZINGER C, et al. Longitudinal MRI dynamics of recent small subcortical infarcts and possible predictors[J]. J Cereb Blood Flow Metab, 2019, 39(9): 1669-1677. DOI: 10.1177/0271678X18775215.
[26]
NIKSERESHT G, EVIA A M, NAG S, et al. Neuropathologic correlates of cerebral microbleeds in community-based older adults[J]. Neurobiol Aging, 2023, 129: 89-98. DOI: 10.1016/j.neurobiolaging.2023.05.005.
[27]
ZHANG D D, CAO Y, MU J Y, et al. Inflammatory biomarkers and cerebral small vessel disease: a community-based cohort study[J]. Stroke Vasc Neurol, 2022, 7(4): 302-309. DOI: 10.1136/svn-2021-001102.
[28]
HOFER E, PIRPAMER L, LANGKAMMER C, et al. Heritability of R2* iron in the basal ganglia and cortex[J]. Aging (Albany NY), 2022, 14(16): 6415-6426. DOI: 10.18632/aging.204212.
[29]
XU Y Y, CHAPPELL F M, VALDÉS HERNÁNDEZ M D C, et al. Prevalence and Clinical Implications of Hemosiderin Deposits in Recent Small Subcortical Infarcts[J/OL]. Neurology, 2024, 103(10): e209973 [2025-05-07]. https://doi.org/10.1212/WNL.0000000000209973. DOI: 10.1212/WNL.0000000000209973.
[30]
JIANG S, SHANG W Z, CUI J Y, et al. Prevalence and Predictors of Hemorrhagic Foci on Long-term Follow-up MRI of Recent Single Subcortical Infarcts[J]. Transl Stroke Res, 2025, 16(2): 410-420. DOI: 10.1007/s12975-023-01224-7.

上一篇 3D-ASL技术在神经精神性狼疮患者脑血流灌注中的应用研究
下一篇 CT血管造影联合磁共振血管成像对儿童脑血管畸形的诊断价值
  
诚聘英才 | 广告合作 | 免责声明 | 版权声明
联系电话:010-67113815
京ICP备19028836号-2