分享:
分享到微信朋友圈
X
临床研究
磁敏感加权成像在新生儿颅脑损伤诊断中的应用价值
张思琦 李志强 王蕊蕊 魏丽娟 王飚 白娟 张勇 关函洲 徐树明

Cite this article as: ZHANG S Q, LI Z Q, WANG R R, et al. Application value of susceptibility-weighted imaging for neonatal craniocerebral injury[J]. Chin J Magn Reson Imaging, 2025, 16(9): 34-39.本文引用格式:张思琦, 李志强, 王蕊蕊, 等. 磁敏感加权成像在新生儿颅脑损伤诊断中的应用价值[J]. 磁共振成像, 2025, 16(9): 34-39. DOI:10.12015/issn.1674-8034.2025.09.006.


[摘要] 目的 评估磁敏感加权成像(susceptibility weighted imaging, SWI)在新生儿颅脑损伤诊断中的应用价值。材料与方法 回顾性分析山西省儿童医院(山西省妇幼保健院)经颅脑超声筛查后疑诊为颅内出血(intracranial hemorrhage, ICH)的900例新生儿,均完成常规MRI和SWI检查。采用卡方检验比较常规MRI和SWI对不同出血部位的检出率,评价早产儿、足月儿不同部位ICH的差异。结果 (1)SWI对新生儿ICH的检出率高于常规MRI(24.0% vs. 19.8%,P<0.05);(2)对于发生在侧脑室、大脑皮层、小脑半球、硬膜下/硬膜外的出血,SWI较常规MRI检出病灶数目更多,范围更大(P<0.05);(3)早产儿在生发基质和侧脑室的出血病灶数目检出率高于足月儿,而在蛛网膜下腔的出血病灶检出率低于足月儿(P<0.05)。结论 SWI在检测新生儿ICH方面优于常规MRI,SWI联合常规MRI有助于提高局灶性脑白质损伤和微出血病变的诊断和鉴别诊断。对评估新生儿脑损伤早期诊断、区分不同类型及严重程度具有一定的应用价值。
[Abstract] Objective To evaluate the value of susceptibility weighted imaging (SWI) in the diagnosis and differential diagnosis of neonatal craniocerebral injury.Materials and Methods A retrospective collection of 900 neonates suspected of intracranial hemorrhage (ICH) after cranial ultrasound screening in Shanxi Children's Hospital was completed with conventional MRI and SWI. The chi-square test was used to compare the detection rates of conventional MRI and SWI for different hemorrhage sites. The chi-square test was used to evaluate the differences in different sites of ICH in preterm and term infants.Results (1) SWI has a higher detection rate of neonatal ICH than conventional MRI (24.0% vs. 19.8%, P < 0.05); (2) For hemorrhage in the lateral ventricles, cerebral cortex, cerebellar hemispheres, and subdural/epidural hemorrhages, SWI detects a greater number and extent of lesions than conventional MRI (P < 0.05); (3) The detection rate of hemorrhage lesions in germinal matrix and lateral compartment was higher in preterm infants than term infants, and the detection rate of hemorrhage lesions in subarachnoid space was lower than in term infants (P < 0.05).Conclusions SWI is somewhat superior to conventional MRI in detecting neonatal ICH and identifying punctate white matter lesion and microhemorrhagic lesions. Therefore, it is recommended that conventional MRI combined with SWI sequences should be used for comprehensive diagnosis in order to improve the efficacy of detecting ICH lesions and provide an imaging basis for clinical diagnosis and treatment.
[关键词] 新生儿;颅内出血;局灶性脑白质损伤;磁敏感加权成像;磁共振成像
[Keywords] neonate;intracranial hemorrhage;punctate white matter lesion;susceptibility-weighted imaging;magnetic resonance imaging

张思琦 1   李志强 2   王蕊蕊 3   魏丽娟 4   王飚 1   白娟 5   张勇 3   关函洲 3   徐树明 1*  

1 山西省儿童医院(山西省妇幼保健院)CT室,太原 030013

2 太原市妇幼保健院影像科,太原 030012

3 山西省儿童医院(山西省妇幼保健院)重症医学科,太原 030013

4 山西省煤炭医院CT室,太原 030006

5 山西省心血管医院核磁室,太原 030027

通信作者:徐树明,E-mail: mrixsm2006@163.com

作者贡献声明::徐树明、李志强构思和设计了本研究方案,并对稿件内容作重要修改,其中徐树明获得了山西省卫生健康委科研课题及山西省留学回国人员科技活动择优资助项目的资助;张思琦起草和撰写稿件,获取、统计分析本研究的数据;王蕊蕊、魏丽娟、王飚、白娟、张勇、关函洲获取、分析或解释本研究的数据,对稿件重要内容进行了修改;全体作者都同意发表最后的修改稿,同意对本研究的所有方面负责,确保本研究的准确性和诚信。


基金项目: 山西省卫生健康委科研课题 2020019 山西省留学回国人员科技活动择优资助项目 晋人社厅函〔2016〕97号
收稿日期:2024-08-18
接受日期:2025-09-03
中图分类号:R445.2  R651.15 
文献标识码:A
DOI: 10.12015/issn.1674-8034.2025.09.006
本文引用格式:张思琦, 李志强, 王蕊蕊, 等. 磁敏感加权成像在新生儿颅脑损伤诊断中的应用价值[J]. 磁共振成像, 2025, 16(9): 34-39. DOI:10.12015/issn.1674-8034.2025.09.006.

0 引言

       随着产科技术和新生儿护理水平的提高,新生儿的围生期死亡率明显下降,但神经系统损伤的发生率却逐年上升,严重者可能会引起新生儿致残甚至死亡[1]。新生儿颅脑损伤主要包括颅内出血(intracranial hemorrhage, ICH)和局灶性脑白质损伤(punctate white matter lesions, PWML)[2]。新生儿出血性损伤的主要诊断方式为经头颅超声、CT以及MRI。颅脑超声对脑中线区域病变的诊断准确率高,但对脑周边部位病变不敏感[3]。CT具有辐射且软组织分辨率低等局限性。MRI由于其敏感性高、无辐射等特点已逐渐成为诊断ICH的有价值的诊断方式[4]。出血性损伤中的微量出血,部分在常规MRI上表现为等信号或者与周围脑组织信号一致,容易漏诊[5]。此外,PWML在常规MRI上的影像表现为T1加权成像(T1-weighted imaging, T1WI)高信号,T2加权成像(T2-weighted imaging, T2WI)等或低信号影[6, 7]。这些信号特征与出血相似,容易将出血病灶误诊为PWML[8]

       磁敏感加权成像(susceptibility weighted imaging, SWI)已被开发应用于儿童神经影像学,该序列对脑出血、微出血、钙化、血管畸形、创伤性脑损伤等具有较高的诊断价值和应用前景[9, 10, 11]。SWI是利用不同组织间的磁敏感差异来增加组织间对比的一种成像技术,通过相位后处理可突出显示血液中的顺磁性物质[12]。近年来研究表明,SWI对微出血的检测较常规序列具有更高的敏感性[13]。当发生ICH时,氧合血红蛋白迅速脱氧形成脱氧血红蛋白、高铁血红蛋白及含铁血黄素,它们分别有不同程度的顺磁性,在SWI上表现为信号强度的丢失,与正常组织容易辨别[14]

       目前,SWI在早产儿、足月儿及PWML中的应用研究较为有限,且普遍存在样本量较小、未对常规MRI及SWI序列的诊断价值进行系统性对比分析、对病变中合并微出血成分识别不足等问题,且SWI尚未被纳入新生儿ICH的常规检查序列。因此,本研究的目的是比较常规MRI和SWI对出血性病变的检测、部位和数目的差异。通过常规MRI和SWI扫描,比较早产儿和足月儿ICH的差异以及PWML中微出血性成分的存在,对于SWI是否可以作为有效判断ICH的常规检查提供诊断依据,同时为相关临床诊疗指南的优化修订奠定可靠的实证基础。

1 材料与方法

1.1 研究对象

       回顾性纳入2019年6月至2021年12月山西省儿童医院(山西省妇幼保健院)疑诊为ICH的新生儿。本研究遵守《赫尔辛基宣言》,经过山西省儿童医院(山西省妇幼保健院)伦理委员会批准,免除受试者监护人知情同意,批准文号:IRB-KYYN-2020-002。

       纳入标准:(1)足月儿出生天数≤28天;(2)早产儿纠正胎龄≤41周;(3)临床疑诊为ICH;(4)均进行头颅常规MRI和SWI扫描。

       排除标准:(1)SWI图像质量不佳者;(2)MRI检查诊断颅脑先天畸形和血管畸形的新生儿;(3)临床上怀疑染色体异常的新生儿;(4)病例数据不完整的新生儿。

       最后,900例符合要求的新生儿纳入研究。

1.2 检查方法

1.2.1 检查准备

       对于病情稳定的患儿,检查前20~30 min用10%水合氯醛溶液灌肠[药品名称:小儿水合氯醛灌肠液;生产厂家:山西省儿童医院(山西省妇幼保健院)],剂量0.5 mL/kg。待其熟睡后,使用飞利浦Achieva 3.0 T磁共振成像系统进行常规MRI和SWI序列扫描,扫描过程中注意保暖和保护听力。

1.2.2 常规MRI扫描

       包括矢状位T1WI,冠状位T2WI-液体衰减反转恢复(fluid-attenuated inversion recovery, FLAIR)和轴位T1WI、T2WI、扩散加权成像(diffusion weighted imaging, DWI)序列,层厚/层间距为5 mm/1 mm。矢状位T1WI:TR 550 ms,TE 9.7 ms;冠状位FLAIR:TR 8000 ms,TE 130 ms,TI 2400 ms;轴位T1WI:TR 550 ms,TE 10 ms;轴位T2WI:TR 4800 ms,TE 110 ms;DWI:TR 1842 ms,TE 63 ms,激励次数2,b值=0、1000 s/mm2,扫描时间36 s。

1.2.3 SWI扫描

       采用轴位fastSWI序列,TR 22 ms,TE 31 ms,FOV 220 mm×180 mm,矩阵316×240,偏转角10°,带宽133.1 Hz,相位编码方向一般选择左右方向,并行采集因子2.0,层厚/层间距1.0 mm/0.5 mm,扫描层数240层。采用实时在线技术自动生成SWI幅度图和相位图,获得与常规MRI序列显示层面一致的SWI图像。

1.3 图像分析

       由两名具有15年工作经验的副主任医师采用双盲法对新生儿颅脑MRI进行独立阅片,判断是否存在ICH及PWML,评估不同序列上出血灶的部位和数目,以及应用SWI序列检查患儿是否含有微出血成分,有分歧时求助第三位有20年工作经验的主任医师,协商一致后得出结论。常规MRI中ICH的影像表现根据血肿随时间的变化而呈现不同的信号。ICH诊断依靠常规MRI序列综合诊断。SWI对ICH的诊断依据NIWA等[15]的诊断标准,侧脑室内、室管膜下和脉络膜丛出血单侧记录为1个病灶,双侧记录为2个病灶,其他脑室的出血灶,仅按出血部位记录为1个病灶;大脑半球和小脑半球的出血灶按病灶个数记录;蛛网膜下腔出血和硬膜下/外出血均记录为1个病灶。常规MRI上PWML的影像表现为半卵圆中心、侧脑室旁斑点状T1WI高信号,T2WI等或低信号影[8]。微出血判断标准:T1WI、T2WI 上影像表现为斑点状低信号影,DWI、SWI上影像表现为类圆形低信号影,边界清晰,直径2.0~10.0 mm[16]

1.4 统计学分析

       使用SPSS 27.0进行统计分析。计量资料的正态性通过Shapiro-Wilk检验进行评估。符合正态分布的计量资料采用均数±标准差的形式表示,组间比较采用独立样本t检验;不符合正态分布的计量资料以中位数(四分位数间距)表示。计数资料用例(%)表示。SWI与常规MRI两序列间不同部位出血病灶检出数目的比较采用配对卡方检验;两序列间对新生儿ICH检出例数的比较、早产儿和足月儿间各部位出血病灶数目的比较采用卡方检验。其中当1≤t<5且n≥40时,采用校正的卡方检验,当t<1或n<40时,取Fisher确切概率法。两位医师对出血灶数目评估的一致性采用组内相关系数分析,ICC<0.50表示一致性差,0.50≤ICC<0.75为一致性中等,0.75≤ICC<0.90为一致性良好,ICC≥0.90为一致性极佳;对ICH诊断的一致性采用Kappa检验,0.21≤Kappa<0.40表示一致性一般,0.40≤Kappa<0.60为中等一致性,0.60≤Kappa<0.80为一致性良好,0.80≤Kappa≤1.00为一致性极好。P<0.05为差异有统计学意义。

2 结果

2.1 临床基本资料

       900例新生儿中有216例(24.0%)患有不同类型的ICH,93例(10.3%)患有PWML。ICH主要见于顺产、黄疸及男性新生儿。PWML多见于剖宫产后的早产儿。ICH新生儿的临床特征详见表1

       两名医师对ICH诊断的一致性极好,Kappa值为0.807(P<0.001);对出血灶数目评估的一致性极佳,ICC为0.983(95% CI:0.981~0.986,P<0.001)。

表1  颅脑损伤患儿的临床特征
Tab. 1  Clinical characteristics of neonates with intracerebral injury

2.2 常规MRI与SWI检出出血例数的比较

       在900例新生儿中,SWI共检出ICH患儿216例(24.0%),而常规MRI仅检出178例(19.8%),表明SWI对ICH患儿的检出率明显高于常规MRI(P<0.05),差异有统计学意义。两例MRI表现为ICH,通过SWI检查后确定其为血管畸形。说明SWI还可鉴别假阳性。详见表2

表2  常规MRI序列与SWI检出出血例数的比较
Tab. 2  Comparison of bleeding cases detected by conventional MRI and SWI

2.3 常规MRI与SWI对新生儿不同部位出血病灶检出数目的比较

       侧脑室、大脑皮层、小脑半球、硬膜下/硬膜外发生出血时(图1),SWI的检出率明显高于常规MRI,差异具有统计学意义(P<0.05)。而在其他部位的出血,二者的检出率没有明显差异(P>0.05)。详见表3

图1  女,胎龄40+1周,宫内窘迫。1A:在T1WI上双侧小脑半球未见明显异常信号;1B:在T2WI上右侧小脑半球可见点状低信号出血影;1C:在DWI上右侧小脑半球可见低信号;1D:在SWI上双侧小脑半球可见多发点状低信号出血影。T1WI:T1加权成像;T2WI:T2加权成像;DWI:扩散加权成像;SWI:磁敏感加权成像。
Fig. 1  Scans of a female (gestational age = 40+1 weeks) with intrauterine distress. 1A: No obvious abnormal signal was found in the bilateral cerebellar hemispheres on T1WI; 1B: On T2WI, a punctate low-signal shadow was found in the right cerebellar hemisphere; 1C: A low signal was detected in the right cerebellar hemisphere by DWI; 1D: Multiple punctate low-signal shadows were found in the bilateral cerebellar hemispheres by SWI. T1WI: T1-weighted images; T2WI: T2-weighted images; DWI: diffusion-weighted imaging; SWI: susceptibility-weighted imaging.
表3  常规MRI与SWI对新生儿ICH检出情况的比较
Tab. 3  Comparison of the detection rates of neonatal ICH between conventional MRI and SWI

2.4 应用SWI检测常规MRI诊断为PWML的病灶中是否含有微出血成分

       93例PWML患儿中,8例在SWI表现为斑片状低信号影(图2),其余85例常规MRI显示为T1WI高信号、T2WI低信号的区域在SWI上均未见明显低信号影(图3)。

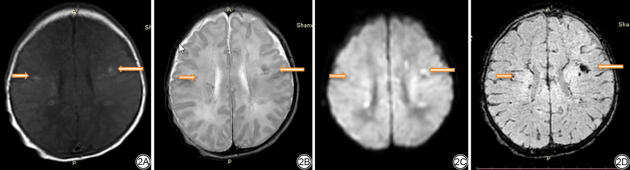
图2  女,胎龄39周,肩难产。2A示T1WI双侧侧脑室旁白质内斑片状高信号;2B示T2WI双侧侧脑室旁白质斑片状低信号;2C示DWI序列相应部位呈高信号,局部可见低信号;2D示SWI序列相应病灶呈低信号。提示PWML合并出血。T1WI:T1加权成像;T2WI:T2加权成像;DWI:扩散加权成像;SWI:磁敏感加权成像;PWML:局灶性脑白质损伤。
Fig. 2  Scans of a female (gestational age = 39 weeks) with shoulder dystocia. 2A: A patchy high signal in bilateral paraventricular white matter on TIWI; 2B: A patchy low signal was seen in the bilateral paraventricular white matter on T2WI; 2C: The corresponding areas on DWI sequence showed high and low signals; 2D: The corresponding lesions on SWI showed low signal intensity, suggestive of a PWML complicated by bleeding. T1WI: T1-weighted images; T2WI: T2-weighted images; DWI: diffusion-weighted imaging; SWI: susceptibility-weighted imaging; PWML: punctate white matter lesion.
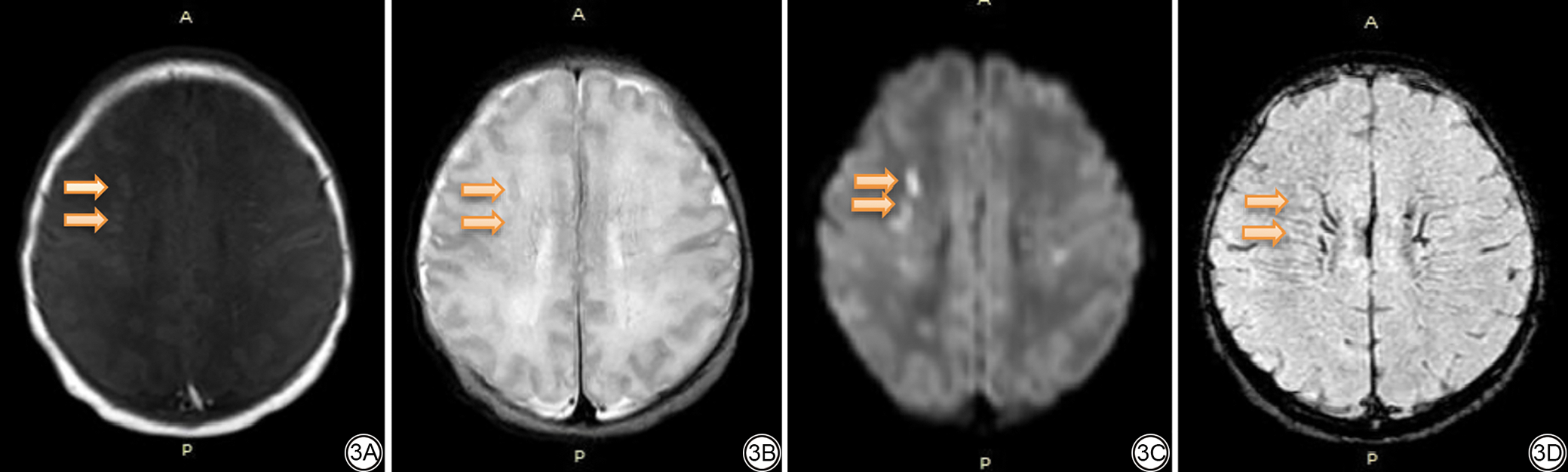
图3  女,胎龄35+2周,早产。3A示右侧侧脑室旁短T1WI高信号影,3B示右侧侧脑室旁短T2WI低信号影,3C示双侧侧脑室旁DWI可见高信号影,3D示对应区域SWI等信号。提示该病灶为缺血性脑白质损伤,不含出血。T1WI:T1加权成像;T2WI:T2加权成像;DWI:扩散加权成像;SWI:磁敏感加权成像。
Fig. 3  Scans of a premature female (gestational age = 35+2 weeks). 3A: The right paraventricular area exhibited a high T1WI signal shadow; 3B: The right paraventricular area exhibited a low T2WI signal shadow; 3C: DWI of the bilateral paraventricular area showing a high signal shadow; 3D: The corresponding region on SWI, showing other signals suggestive of ischemic white matter lesion without bleeding. T1WI: T1-weighted images; T2WI: T2-weighted images; DWI: diffusion-weighted imaging; SWI: susceptibility-weighted imaging.

2.5 早产儿与足月儿不同部位ICH数目的比较

       在SWI检出的出血中,早产儿在生发基质和侧脑室出血病灶数目检出率高于足月儿,在蛛网膜下腔的出血灶数目检出率低于足月儿,差异均有统计学意义(P<0.05)。其他部位的出血,早产儿与足月儿间差异无统计学意义(P>0.05)。详见表4

表4  早产儿与足月儿不同部位ICH数目的比较
Tab. 4  Comparison of ICH detection rates in different locations between premature and term infants

3 讨论

       本研究采用卡方检验评估SWI在新生儿颅脑损伤诊断中的应用价值,结果显示SWI对微出血性病变的诊断比常规MRI更敏感,SWI还可以提供关于PWML中缺血性脑损伤的信息,如是否存在微出血性病变。因此,提高新生儿颅脑损伤引起的ICH检出率,可以降低患儿的致死率和致残率,为临床提供更多的诊断信息。

3.1 常规MRI与SWI对新生儿ICH的检出情况

       在本研究中,与常规MRI相比,SWI提高了新生儿ICH的检出率。SWI对ICH具有较高的敏感性和特异性,主要机制为SWI对磁化率的变化很敏感,而氧合血红蛋白和脱氧血红蛋白之间的磁化率差异导致含有脱氧血液的区域和周围组织之间的相位差,从而导致信号强度的降低,表现为低信号[17]。相关研究证实,10%~20%的创伤性ICH患者在一段时间后T2WI信号显示正常,而在SWI上由于含铁血黄素沉积显示为低信号[18, 19],故SWI较常规MRI在ICH检出方面更为敏感。这一结论与国内外文献报道一致[20, 21],本研究也证实了这一观点。在本研究中,SWI共检出ICH患儿216例(24.0%),而常规MRI仅检出178例(19.8%)。此外,本研究发现SWI也可鉴别出常规MRI误诊为ICH的患儿,两例MRI表现为ICH,通过SWI检查后确定其为血管畸形。这是由于静脉管径细小,流速低,常规MRI对其敏感性低,因此常规MRI序列对静脉畸形容易造成漏诊和误诊[22]。然而,在SWI中加入相位信息可以提高敏感性,识别常规MRI无法识别的血管结构[23, 24]。因此,当常规MRI不能确定新生儿是否颅内出血,应进一步行SWI检查以全面反映新生儿ICH的信息,有助于临床诊断及预后评估。

3.2 SWI对不同部位ICH检出情况比较

       SWI对颅内不同部位出血的敏感度不同。本研究结果表明,SWI对侧脑室、大脑皮层、小脑半球、硬膜下/硬膜外的病灶检出率明显高于常规MRI(P<0.05)。而其他部位的病灶检出率与常规MRI没有显著差异(P>0.05)。这是因为SWI对磁场的均匀性要求高,而颅底部的结构复杂,磁场不均匀,SWI易受到干扰,导致对颅底部的出血灶不敏感[25]。此外,颅骨在SWI上表现为极低信号,硬膜下/外出血及蛛网膜下腔出血由于与颅骨贴近也表现为低信号,SWI难以对两者进行区分。但是大脑纵裂区硬膜下出血与颅骨相距较远,SWI较常规MRI有优势,因此SWI对位于颅底和与颅骨相贴的蛛网膜下腔出血与常规MRI无明显差别,而硬膜下/外出血较常规MRI有优势。而对于远离颅底的大脑皮层和小脑半球的出血,由于没有颅骨的干扰,SWI对这些部位出血的显示比常规MRI更敏感。

3.3 SWI诊断PWML中微出血灶的价值

       SWI可以检测出PWML中的微出血性病灶。常规MRI显示为PWML的病例中有85例(91.4%)在SWI上显示为等信号,与周围组织无差别,提示大部分PWML中不含微出血成分或矿物质沉积。其余8例(8.6%)在SWI上相应部位出现低信号,提示可能伴有出血。组织学已经证明,大约25%有白质损伤的新生儿会伴有点状出血[26]。新生儿ICH一般在2~10天左右表现为短T1WI高信号、短T2WI低信号,且新生儿血流速度缓慢,脑损伤通常发生在大脑深部,出血量有限,与PWML的信号特征十分相似,仅通过常规MRI很难判定T1WI高信号是出血、缺血缺氧或其他原因所致。NIWA等的研究表明,相对于单纯PWML,合并出血的PWML更容易进展为脑室周围白质软化[17, 27, 28],造成新生儿痉挛性瘫痪。SWI序列可以帮助区分缺血性和出血性PWML,还可鉴别出误诊为ICH的PWML,这对于预测患儿的预后十分重要。

3.4 早产儿与足月儿不同部位ICH情况

       在SWI序列检出的出血中,早产儿和足月儿颅内出血的发生率和发生部位不同。早产儿的ICH多发生在生发基质-脑室内(早产儿为60.7%,足月儿为31.4%),足月儿的ICH以蛛网膜下腔出血为主(早产儿为50.6%,足月儿为66.4%)。这是因为早产儿的脑发育不成熟,脑血流自主条件功能弱,极易发生HIE,随后出现的脑血流量不稳定及再灌注损伤又会导致出血性脑损伤[29]。新生儿脑白质主要由皮层穿支动脉和室管膜下两种动脉供血,两条动脉之间的分水岭区随着胚胎的发育而发生移动,早产儿的室管膜下未发育成熟,因而其分水岭区域位于侧脑室旁,因此早产儿缺氧缺血性脑损伤最先累及的是脑室旁白质区,相应的ICH也以室管膜下生发基质及脑室内出血为主[30, 31]。足月儿的分水岭区域外移至旁矢状区,因此足月儿的颅脑损伤部位主要位于矢旁皮层-皮层下区[32]

3.5 MRI检查的临床应用价值

       在临床工作中,选择不同的检查方式需要根据患儿具体情况及检查项目特点决定。很多早产儿病情危重且不易随意挪动,颅脑超声便捷无创,可床边检查,后续可以及时进行随访和复查。MRI在评估白质损伤方面较好,且SWI可诊断微出血灶。因此,对于超声检查阴性但临床高度怀疑ICH的新生儿可用MRI进行补充检查,通过联合超声和MRI诊断可以互补,减少漏诊率,早期及时进行治疗,降低后遗症,改善患儿预后。

3.6 局限性

       我们的研究有一些局限性。首先,影像学数据的收集来自一家大型三甲儿童医院,这导致了选择偏差,并限制了我们的研究结果的外部有效性。第二,没有对新生儿进行随访研究,以跟踪随时间的进展和变化。

4 结论

       SWI对新生儿ICH的诊断具有重要意义。它可以检测出脑内的微出血病灶,以及区分PWML中是否含有微出血成分。将SWI与常规MRI相结合,可帮助临床医生对病情做出更加准确的判断,从而尽早进行干预和进一步治疗。

[1]
PUY L, PARRY-JONES A R, SANDSET E C, et al. Intracerebral haemorrhage[J/OL]. Nat Rev Dis Primers, 2023, 9(1): 14 [2024-08-18]. https://doi.org/10.1038/s41572-023-00424-7. DOI: 10.1038/s41572-023-00424-7.
[2]
ULYANKIN V E, MACHINSKY P A, VOROBIEV V G, et al. Osnovnye mekhanizmy formirovaniya vtorichnykh ishemicheskikh povrezhdenii golovnogo mozga pri cherepno-mozgovoi travme[J]. Sud Med Ekspert, 2024, 67(3): 54-59. DOI: 10.17116/sudmed20246703154.
[3]
NATARAJ P, SVOJSIK M, SURA L, et al. Comparing head ultrasounds and susceptibility-weighted imaging for the detection of low-grade hemorrha ges in preterm infants[J]. J Perinatol, 2021, 41(4): 1-7. DOI: 10.1038/s41372-020-00890-x.
[4]
FIGAJI A. An update on pediatric traumatic brain injury[J]. Childs Nerv Syst, 2023, 39(11): 3071-3081. DOI: 10.1007/s00381-023-06173-y.
[5]
CHESEBRO A G, AMARANTE E, LAO P J, et al. Automated detection of cerebral microbleeds on T2*-weighted MRI[J/OL]. Sci Rep, 2021, 11: 4004 [2024-08-18]. https://pubmed.ncbi.nlm.nih.gov/33597663. DOI: 10.1038/s41598-021-83607-0.
[6]
KOBAYASHI M, WATANABE S, MATSUDA T, et al. Diagnostic Specificity of Cerebral Magnetic Resonance Imaging for Punctate White Matter Lesion Assessment in a Preterm Sheep Fetus Model[J]. Reprod Sci, 2021, 28(4): 1175-1184. DOI: 10.1007/s43032-020-00401-5.
[7]
SUN X, NIWA T, OKAZAKI T, et al. Automatic detection of punctate white matter lesions in infants using deep learning of composite images from two cases[J/OL]. Sci Rep, 2023, 13(1): 4426 [2024-08-18]. https://doi.org/10.1038/s41598-023-31403-3. DOI: 10.1038/s41598-023-31403-3.
[8]
NIWA T, DE VRIES L S, BENDERS M J, et al. Punctate white matter lesions in infants: new insights using susceptibility-weighted imaging[J]. Neuroradiology, 2011, 53: 669-679. DOI: 10.1007/s00234-011-0872-0.
[9]
RUBIN A, WASZCZUK Ł, TRYBEK G, et al. Application of susceptibility weighted imaging (SWI) in diagnostic imaging of brain pathologies - a practical approach[J/OL]. Clin Neurol Neurosurg, 2022, 221: 107368 [2024-08-18]. https://pubmed.ncbi.nlm.nih.gov/35933968. DOI: 10.1016/j.clineuro.2022.107368.
[10]
AKER L, ABANDEH L, ABDELHADY M, et al. Susceptibility-weighted Imaging in Neuroradiology: Practical Imaging Principles, Pearls and Pitfalls[J]. Curr Probl Diagn Radiol, 2022, 51(4): 568-578. DOI: 10.1067/j.cpradiol.2021.05.001.
[11]
SADEGHI JONI S, GERAMI R, AKHONDI N, et al. Investigating the role of susceptibility weighted imaging for assessment of ischemic penumbra with respect to Venus blood flow in ischemic stroke patients[J]. Int J Physiol Pathophysiol Pharmacol, 2022, 14(3): 200-205.
[12]
KHALADKAR S M, CHANABASANAVAR V, DHIRAWANI S, et al. Susceptibility Weighted Imaging: An Effective Auxiliary Sequence That Enhances Insight Into the Imaging of Stroke[J/OL]. Cureus, 2022, 14(5): e24918 [2024-08-18]. https://pubmed.ncbi.nlm.nih.gov/35706758. DOI: 10.7759/cureus.24918.
[13]
WEERINK L B, APPELMAN A P, KLOET R W, et al. Susceptibility-weighted imaging in intracranial hemorrhage: not all bleeds are black[J/OL]. Br J Radiol, 2022: 20220304 [2024-08-18]. https://pmc.ncbi.nlm.nih.gov/articles/PMC10392652. DOI: 10.1259/bjr.20220304.
[14]
KÖRNYEI B S, SZABÓ V, PERLAKI G, et al. Cerebral Microbleeds May Be Less Detectable by Susceptibility Weighted Imaging MRI From 24 to 72 Hours After Traumatic Brain Injury[J/OL]. Front Neurosci, 2021, 15: 711074 [2024-08-18]. https://pubmed.ncbi.nlm.nih.gov/34658762. DOI: 10.3389/fnins.2021.711074.
[15]
NIWA T, AIDA N, SHISHIKURA A, et al. Susceptibility-Weighted Imaging Findings of Cortical Laminar Necrosis in Pediatric Patients[J]. AJNR Am J Neuroradiol, 2008, 29: 1795-1798. DOI: 10.3174/ajnr.A1184.
[16]
CHARIDIMOU A, SMITH E E. Cardiovascular Management in Asymptomatic (Silent) Cerebral Microbleeds and Suspected Cerebral Amyloid Angiopathy[J]. Stroke, 2024, 55(4): 1101-1112. DOI: 10.1161/STROKEAHA.123.044167.
[17]
JAIN N, KUMAR S, SINGH A, et al. Blood in the Brain on Susceptibility-Weighted Imaging[J]. Indian J Radiol Imaging, 2022, 33(1): 89-97. DOI: 10.1055/s-0042-1758880.
[18]
TAY K L, LEASON S R, DAWES L C, et al. Haemorrhage and Calcification on Susceptibility-Weighted Imaging: A Quick and Reliable Qualitative Technique for Differentiating Lesions with Ambiguous Phase[J]. Clin Neuroradiol, 2022, 32(3): 705-715. DOI: 10.1007/s00062-021-01094-2.
[19]
SONG Z, PENG J, LI X, et al. Diagnostic Value of Susceptibility-Weighted Imaging Combined with Diffusion-Weighted Imaging in Early Intracerebral Hemorrhage[J/OL]. Contrast Media Mol Imaging, 2022, 2022: 8072582 [2024-08-18]. https://pubmed.ncbi.nlm.nih.gov/35845742. DOI: 10.1155/2022/8072582.
[20]
HIRUNPAT P, PANYAPING T, TAEBUNPAKUL P, et al. Susceptibility-weighted imaging is helpful in diagnosis of cerebral gnathostomiasis[J]. Neuroradiol J, 2023, 36(3): 315-318. DOI: 10.1177/19714009221132948.
[21]
NAEL K, DAGHER J C, DOWNS M E, et al. Maximum AmbiGuity Distance for Phase Imaging in Detection of Traumatic Cerebral Microbleeds: An Improvement over Current Imaging Practice[J]. AJNR Am J Neuroradiol, 2020, 41(11): 2027-2033. DOI: 10.3174/ajnr.A6774.
[22]
CAMPEAU N G, TRZASKO J D, MEYER N K, et al. Technical note: Improved differentiation of calcification from hemosiderin using paramagnetic- and diamagnetic-specific magnetic resonance susceptibility weighted imaging (p-SWI, d-SWI)[J]. Clin Imaging, 2023, 99: 47-52. DOI: 10.1016/j.clinimag.2023.04.009.
[23]
UZIANBAEVA L, YAN Y, JOSHI T, et al. Methods for Monitoring Risk of Hypoxic Damage in Fetal and Neonatal Brains: A Review[J]. Fetal Diagn Ther, 2022, 49: 1-24. DOI: 10.1159/000520987.
[24]
SHEN Y, ZHENG W, HU J, et al. Susceptibility weighted MRI pinpoints spontaneous intracerebral hemorrhage in stroke-prone spontaneously hypertensive rats[J]. Magn Reson Imaging, 2022, 93: 135-144. DOI: 10.1016/j.mri.2022.08.009.
[25]
NOH D, CHOI S, CHOI H, et al. Evaluating traumatic brain injury using conventional magnetic resonance imaging and susceptibility-weighted imaging in dogs[J/OL]. J Vet Sci, 2019, 20: e10 [2024-08-18]. https://pubmed.ncbi.nlm.nih.gov/30944533. DOI: 10.4142/jvs.2019.20.e10.
[26]
CHAWLA S, CHOCK V Y, LAKSHMINRUSIMHA S. Intraventricular hemorrhage and white matter injury: is persistent cerebral desaturation a missing link?[J]. Pediatr Res, 2021, 89(4): 727-729. DOI: 10.1038/s41390-020-01294-5.
[27]
MALOVA M, MORELLI E, CARDIELLO V, et al. Nosological Differences in the Nature of Punctate White Matter Lesions in Preterm Infants[J/OL]. Front Neurol, 2021, 12: 657461 [2024-08-18]. https://pubmed.ncbi.nlm.nih.gov/33995255. DOI: 10.3389/fneur.2021.657461.
[28]
IMAI K, HARA H, SAWADA T, et al. Comparison of the Clinical Characteristics of Infants with Punctate White Matter Lesions and/or Cystic Lesions[J]. Neuropediatrics, 2023, 54(1): 6-13. DOI: 10.1055/s-0042-1759789.
[29]
ARNOLD S A, PLATT S R, GENDRON K P, et al. Imaging Ischemic and Hemorrhagic Disease of the Brain in Dogs[J/OL]. Front Vet Sci, 2020, 7: 279 [2024-08-18]. https://pubmed.ncbi.nlm.nih.gov/32528985. DOI: 10.3389/fvets.2020.00279.
[30]
TORTORA D, SEVERINO M, SEDLACIK J, et al. Quantitative susceptibility map analysis in preterm neonates with germinal matrix-intraventricular hemorrhage[J]. J Magn Reson Imaging, 2018, 48: 1199-1207. DOI: 10.1002/jmri.26163.
[31]
YUAN W, TAMM L, HARPSTER K, et al. Effects of intraventricular hemorrhage on white matter microstructural changes at term and early developmental outcomes in infants born very preterm[J]. Neuroradiology, 2021, 63: 1549-1561. DOI: 10.1007/s00234-021-02708-9.
[32]
IMAI K, DE VRIES L S, ALDERLIESTEN T, et al. MRI Changes in the Thalamus and Basal Ganglia of Full-Term Neonates with Perinatal Asphyxia[J]. Neonatology, 2018, 114(3): 253-260. DOI: 10.1159/000489159.

上一篇 CT血管造影联合磁共振血管成像对儿童脑血管畸形的诊断价值
下一篇 水抑制酰胺质子转移加权成像抑制治疗后胶质瘤液性成分信号的可行性研究
  
诚聘英才 | 广告合作 | 免责声明 | 版权声明
联系电话:010-67113815
京ICP备19028836号-2