分享:
分享到微信朋友圈
X
临床研究
基于深度学习的加速T1WI和T2WI序列在头颈部肿瘤中的应用价值
王天娇 王沄 陈钰 苏童 曲江明 徐振潭 王晓 张竹花 薛华丹 付海鸿 冯逢 金征宇

Cite this article as: WANG T J, WANG Y, CHEN Y, et al. Application value of deep learning-based accelerated T1WI and T2WI sequences in head and neck tumors[J]. Chin J Magn Reson Imaging, 2025, 16(9): 60-65.本文引用格式:王天娇, 王沄, 陈钰, 等. 基于深度学习的加速T1WI和T2WI序列在头颈部肿瘤中的应用价值[J]. 磁共振成像, 2025, 16(9): 60-65. DOI:10.12015/issn.1674-8034.2025.09.010.


[摘要] 目的 探讨基于深度学习(deep learning, DL)的加速T1加权成像(T1 weighted imaging, T1WI)和T2加权成像(T2 weighted imaging, T2WI)序列在头颈部肿瘤中的应用价值。材料与方法 前瞻性纳入35例未经治疗的头颈部肿瘤患者,同时接受头颈部MRI标准序列(T1WI、T2WI-Dixon)和DL序列(DL-T1WI、DL-T2WI-Dixon)扫描。图像质量的主观评估由2名放射科医生采用5分评分法分别对标准序列和DL序列的整体图像质量、伪影以及病变显示清晰度进行评分。图像质量的客观评估由1名放射科医生计算标准序列和DL序列中肌肉、脂肪和肿瘤的信噪比(signal-to-noise ratio, SNR)及肿瘤的对比噪声比(contrast-to-noise ratio, CNR)。采用Kruskal-Wallis检验方法对比标准序列和DL序列的扫描时间和图像质量评分。结果 DL-T1WI(89 s)和DL-T2WI-Dixon(101 s)序列的扫描时间较标准T1WI(164 s)和T2WI-Dixon(188 s)序列均缩短了46%。在整体图像质量、伪影以及病变显示清晰度方面,DL-T1WI和DL-T2WI-Dixon序列与标准T1WI和T2WI-Dixon序列之间差异无统计学意义(P均>0.05)。DL-T1WI序列在脂肪和肿瘤的SNR及肿瘤的CNR与标准T1WI序列差异无统计学意义(P均>0.05)。DL-T2WI-Dixon序列在肌肉、肿瘤和脂肪的SNR及肿瘤的CNR与标准T2WI-Dixon序列差异也无统计学意义(P均>0.05)。结论 基于DL的加速MRI序列可以有效地减少头颈部肿瘤患者的扫描时间。除DL-T1WI序列在肌肉处的SNR外,DL序列的其余客观图像质量指标均与标准序列相当,且与标准T1WI和T2WI-Dixon序列相比,DL-T1WI和DL-T2WI-Dixon加速序列可以保持优良的主观图像质量。
[Abstract] Objective To evaluate the application value of deep learning (DL)-based accelerated T1-weighted imaging (T1WI) and T2-weighted imaging (T2WI) in head and neck tumors.Materials and Methods Thirty-five untreated patients with head and neck tumors were prospectively enrolled and underwent head and neck MRI standard (T1WI, T2WI-Dixon) and DL sequences (DL-T1WI, DL-T2WI-Dixon). Image quality was subjectively rated by two radiologists using a five-point scale for overall image quality, artifacts and lesion conspicuity. Objective image quality was assessed by calculation of signal-to-noise ratio (SNR) of muscle, fat and tumor and contrast-to-noise ratio (CNR) of tumor in standard and DL sequences by one radiologist. Scan time and image quality scores were compared between standard and DL sequences using Kruskal-Wallis test.Results DL-T1WI (89 s) and DL-T2WI-Dixon (101 s) sequences reduced 46% scan time compared to standard T1WI (164 s) and T2WI-Dixon (188 s) sequences, respectively. There were no significant difference in overall image quality, artifacts and lesion conspicuity between DL-T1WI, DL-T2WI-Dixon sequences and standard T1WI and T2WI-Dixon sequences (all P > 0.05). SNR of fat and tumor and CNR of tumor in DL-T1WI sequence were comparable with that in standard T1WI sequence (all P > 0.05), SNR of muscle, fat and tumor and CNR of tumor in DL-T2WI-Dixon sequence were comparable with that in standard T2WI-Dixon sequence (all P > 0.05).Conclusions DL-based accelerated MRI sequences could effectively reduce scanning time in patients with head and neck tumors. Except for the SNR of muscle in DL-T1WI sequence, the remaining objective image quality metrics of DL sequences are comparable to those in standard sequences. Moreover, compared to standard T1WI and T2WI-Dixon sequences, DL-T1WI and DL-T2WI-Dixon sequences could maintain excellent subjective image quality.
[关键词] 头颈部肿瘤;深度学习重建技术;磁共振成像;信噪比;对比噪声比
[Keywords] head and neck tumors;deep learning reconstruction;magnetic resonance imaging;signal-to-noise ratio;contrast-to-noise ratio

王天娇    王沄    陈钰 *   苏童    曲江明    徐振潭    王晓    张竹花    薛华丹    付海鸿    冯逢    金征宇   

中国医学科学院北京协和医院放射科,北京 100730

通信作者:陈钰,E-mail: bjchenyu@126.com

作者贡献声明::陈钰设计本研究的方案,对稿件内容进行了修改;王天娇起草和撰写稿件,获取、分析和解释本研究的数据;王沄、苏童、曲江明、徐振潭、王晓、张竹花、薛华丹、付海鸿、冯逢、金征宇获取、分析或解释本研究的数据,对稿件重要内容进行了修改;冯逢获得了中央高水平医院临床科研专项资助;金征宇获得了国家自然科学基金的资助;全体作者都同意发表最后的修改稿,同意对本研究的所有方面负责,确保本研究的准确性和诚信。


基金项目: 国家自然科学基金项目 82371962 中央高水平医院临床科研专项 2022-PUMCH-B-067
收稿日期:2025-06-23
接受日期:2025-08-22
中图分类号:R445.2  R73 
文献标识码:A
DOI: 10.12015/issn.1674-8034.2025.09.010
本文引用格式:王天娇, 王沄, 陈钰, 等. 基于深度学习的加速T1WI和T2WI序列在头颈部肿瘤中的应用价值[J]. 磁共振成像, 2025, 16(9): 60-65. DOI:10.12015/issn.1674-8034.2025.09.010.

0 引言

       头颈部肿瘤位居全球第六大高发癌症,年新发病例超90万例[1, 2, 3]。因其解剖位置复杂且早期症状隐匿,40%患者确诊时已属晚期(Ⅲ/Ⅳ期)[4]。头颈部肿瘤患者的五年生存率约为50%[5],可能会引起吞咽或呼吸功能障碍[6]。颈部软组织MRI在头颈部病变的识别、分期、治疗规划和随访等方面具有重要的临床应用价值[7, 8, 9]。头颈部区域包含多种复杂的解剖结构,包括软组织、骨骼、含气组织和血管,要求成像技术能够实现较高的空间分辨率和对比度[10, 11, 12]。然而,由于头颈部肿瘤患者往往伴有气道狭窄或其他不适症状,长时间的扫描可能引起显著的呼吸、吞咽等运动伪影,影响成像清晰度和诊断准确性[13]。T1加权成像(T1 weighted imaging, T1WI)[14, 15]和T2加权成像(T2 weighted imaging, T2WI)[16, 17]是头颈部肿瘤患者MRI扫描的核心序列,能提供良好的软组织分辨率,可以对肿瘤的良恶性、浸润范围及临床治疗疗效进行准确评估,但T1WI和T2WI序列的扫描时间较长,进一步限制了其在头颈部肿瘤患者中的广泛应用。

       近年来,深度学习(deep learning, DL)重建技术成为MRI领域的一大研究热点[18],其利用深度卷积神经网络(convolutional neural network, CNN)对原始MRI数据进行重建,显著提升了图像质量并缩短了扫描时间[19, 20, 21]。DL重建主要通过对MRI过程中的K空间数据进行处理,通过CNN学习图像特征来降低噪声、消除伪影、增强图像细节[22, 23, 24]。这些改进使得成像序列可以以更低的采样率进行扫描,从而缩短了扫描时间。多项研究表明,DL技术不仅在时间效能上具有优势,同时还能够在保持甚至提升图像质量方面展现出显著潜力。例如,RECHT等[25]在膝关节MRI的研究中表明,DL重建网络能够在5 min内完成MRI扫描,且图像质量和诊断性能与标准成像相当。在前列腺MRI研究中,GASSENMAIER等[26]发现DL加速的T2WI序列在扫描时间减少65%的前提下,图像质量和病变的显示效果无显著差异。腹部MRI应用研究中[27],DL技术不仅显著缩短了成像时间,还通过提高SNR和CNR在肝、肾等组织的对比度表现优异。相比传统的重建方法,这种基于DL的加速技术具有更高的图像复现性和诊断稳定性。尽管DL重建技术在多个解剖部位的MRI成像中取得了显著成效,但针对头颈部区域的应用研究还未发表。

       本研究创新性地将DL技术应用于头颈部肿瘤患者的MRI检查中,通过对比DL加速T1WI、T2WI-Dixon序列与标准T1WI、T2WI-Dixon序列的图像质量、扫描时间等指标,评估其在头颈部肿瘤MRI扫描中的可行性。本研究对提高头颈部肿瘤患者的检查效率具有重要价值,可帮助临床更快速地完成检查并保证良好的图像质量。

1 材料与方法

1.1 研究对象

       本研究遵循《赫尔辛基宣言》,并获得了中国医学科学院北京协和医院伦理委员会的批准(批准编号:I-23PJ005),所有受试者均签署了知情同意书。前瞻性连续纳入2023年7月至2024年7月期间临床可疑头颈部肿瘤的患者。纳入标准:(1)患者因病史、临床症状及相关检查结果提示头颈部病变的高度可能性;(2)无MRI检查禁忌证。排除标准:(1)无法耐受MRI检查;(2)既往接受过头颈部肿瘤治疗。样本量估算方法采用配对非劣效性设计,以图像质量主观评分(5分制)为主要参考:非劣效界值:Δ=0.4分;评分差值的标准差:σ=0.8分(基于10例预实验数据);α=0.025(单侧),β=0.2(统计效能80%)。

1.2 仪器设备与MRI扫描序列

       本研究采用西门子医疗3.0 T磁共振成像仪(MAGNETOM Vida, Siemens Healthcare, Erlangen, Germany)进行扫描,图像采集使用20通道头颈联合线圈完成。所有患者均采取仰卧位、头先进的方式进行扫描,扫描范围从口咽部至颈根部。所有序列均采用横断位扫描,扫描序列包括:标准T1WI、标准T2WI-Dixon、使用DL重建的加速T1WI(DL-T1WI)序列和使用DL重建后的加速T2WI-Dixon(DL-T2WI-Dixon)序列,扫描参数详见表1。在标准T2WI-Dixon序列和DL-T2WI-Dixon序列中分别包含三组图像(Water像、Inphase像和Fat像),因此扫描序列共有8组图像,分别为:标准T1WI、DL-T1WI、标准T2WI-Dixon-Water像、标准T2WI-Dixon-Inphase像、标准T2WI-Dixon-Fat像、DL-T2WI-Dixon-Water像、DL-T2WI-Dixon-Inphase像、DL-T2WI-Dixon-Fat像。

表1  头颈部MRI扫描序列成像参数
Tab. 1  Parameters of head and neck MRI sequences

1.3 图像质量评价

1.3.1 主观图像质量评价

       由2名分别具有8年经验的放射科主治医生和15年经验的放射科副主任医生对所有图像质量在PACS系统上进行独立主观评分。评分过程采用盲法进行(即评估医生不知晓患者的临床信息和序列参数)。2名医生以随机顺序分别评估标准T1WI、标准T2WI-Dixon序列与DL-T1WI、DL-T2WI-Dixon序列,评价内容包括整体图像质量、伪影程度及病变显示清晰度。评分采用5分制[28]:1分表示伪影严重,整体图像质量差,无法识别头颈部病变;2分表示伪影显著,整体图像质量较差,病变显示不清;3分表示中度伪影,整体图像质量一般,可显示头颈部病变;4分表示伪影极少,整体图像质量良好,病变显示清晰;5分表示无伪影,整体图像质量优良,病变显示非常清晰。

1.3.2 客观图像质量评价

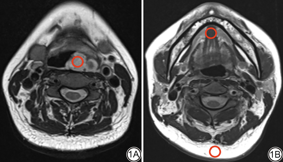
       由1名具有8年经验的放射科医生在正常肌肉、脂肪和肿瘤上放置感兴趣区(region of interest, ROI)进行测量,见图1。每次测量的ROI大小及位置在同一患者的各序列间保持一致,每一个位置测量3次取平均值,计算标准T1WI、标准T2WI-Dixon序列和DL-T1WI、DL-T2WI-Dixon序列的正常肌肉、脂肪和肿瘤的信噪比(signal-to-noise ratio, SNR)及肿瘤的对比噪声比(contrast-to-noise ratio, CNR),见公式(1)~(2)。

图1  肿瘤、肌肉和脂肪ROI(红色圆圈)客观测量示意图。1A:肿瘤位置ROI(红色圆圈);1B:肌肉位置ROI(上方红色圆圈)和脂肪位置ROI(下方红色圆圈)。ROI:感兴趣区。
Fig. 1  Diagram of objective measurement in ROI (red circles) of tumor, muscle and fat. 1A: The ROI of tumor (red circle). 1B: The ROI of muscle (upper red circle) and fat (lower red circle). ROI: region of interest.

1.4 统计学分析

       采用SPSS 22.0软件进行数据分析。使用Kolmogorov-Smirnov检验数据是否符合正态分布。符合正态分布的数据采用独立样本t检验进行对比,数据采用均值±标准差表示;不符合正态分布的数据采用Kruskal-Wallis检验,数据采用中位数(上下四分位数)表示。比较标准序列和DL序列的主观及客观图像质量。对两名医生的主观评分采用Cohen's Kappa系数进行一致性分析:Kappa>0.8为一致性非常好;0.6<Kappa≤0.8为一致性好;0.4<Kappa≤0.6为一致性中等;0.2<Kappa≤0.4为一致性一般;Kappa≤0.2为一致性差。P<0.05表示差异具有统计学意义。

2 结果

2.1 一般资料

       根据样本量估算方法,计算得到基础样本量为32例,考虑15%脱落率,应纳入的样本量为38。因此,本研究共收集了40例患者,但因2例患者的图像不清晰,3例患者图像移动伪影较大被排除,最终共纳入患者35例,其中男21例,女14例,年龄26~80(56.2±14.2)岁。纳入的35例患者中,主要诊断病种及其病例数如下:口咽癌6例,扁桃体癌4例,下颌肿物2例,下咽鳞状细胞癌5例,甲状腺肿物3例,软腭癌2例,喉肿物4例,颈部肿物8例,舌根癌1例。其中恶性肿瘤18例,良性病变17例。

2.2 扫描时间

       相较于标准T1WI序列(扫描时间为164 s),DL-T1WI序列扫描时间缩短了46%(扫描时间为89 s)。相较于标准T2WI-Dixon序列(扫描时间为188 s),DL-T2WI-Dixon序列扫描时间缩短了46%(扫描时间为101 s)。

2.3 主观图像质量评价结果

       所有患者的标准T1WI、标准T2WI-Dixon序列及DL-T1WI、DL-T2WI-Dixon序列图像质量均满足诊断要求。两位医生对8组图像的整体图像质量、伪影和病变显示清晰度的主观评分一致性非常好,标准T1WI、DL-T1WI、标准T2WI-Dixon-Water像、标准T2WI-Dixon-Inphase像、标准T2WI-Dixon-Fat像、DL-Dixon-Water像、DL-Dixon-Inphase像和DL-Dixon-Fat像的Kappa值分别为0.88(0.73~1.00)、0.87(0.71~1.00)、0.84(0.73~0.93)、0.80(0.60~0.96)、0.91(0.80~0.98)、0.87(0.76~0.96)、0.84(0.65~0.96)、0.91(0.78~1.00)。DL-T1WI和DL-T2WI-Dixon序列与标准T1WI和标准T2WI-Dixon序列在整体图像质量、伪影和病变显示清晰度方面差异无统计学意义(P均>0.05),详见表2表3图2

图2  男,63岁,因舌根部发现肿物3周来院检查。标准T1WI序列(2A)、标准T2WI-Dixon-Inphase序列(2B)、Water序列(2C)和Fat序列(2D)和DL-T1WI序列(2E)、DL-T2WI-Dixon-Inphase序列(2F)、Water序列(2G)和Fat序列(2H)均能够清晰显示病变,整体图像质量优秀。T1WI:T1加权成像;T2WI:T2加权成像;DL:深度学习。
Fig. 2  A 63-year-old male presented with a tongue tumor discovered 3 weeks prior and underwent examination at our hospital. The standard T1WI sequence (2A), standard T2WI-Dixon-Inphase sequence (2B), Water sequence (2C), and Fat sequence (2D), as well as the DL-T1WI sequence (2E), DL-T2WI-Dixon-Inphase sequence (2F), Water sequence (2G), and Fat sequence (2H), all clearly visualized the lesion, with overall excellent image quality. T1WI: T1 weighted imaging; T2WI: T2 weighted imaging; DL: deep learning.
表2  标准T1WI和DL-T1WI序列主观评分
Tab. 2  Subjective scores of standard T1WI and DL-T1WI sequences
表3  标准T2WI-Dixon和DL-T2WI-Dixon序列主观评分
Tab. 3  Subjective scores of standard T2WI-Dixon and DL-T2WI-Dixon sequences

2.4 客观评价结果

       DL-T1WI序列在肌肉的SNR略低于标准T1WI序列,但在肿瘤和脂肪的SNR以及肿瘤的CNR方面,与标准T1WI序列的差异无统计学意义(P均>0.05)(表4)。此外,DL-T2WI-Dixon序列在肌肉、肿瘤和脂肪的SNR及CNR方面,与标准T2WI-Dixon序列的差异无统计学意义(P均>0.05)(表5)。

表4  标准T1WI和DL-T1WI序列客观图像质量
Tab. 4  Objective image quality of standard T1WI and DL-T1WI sequences
表5  标准T2WI-Dixon和DL-T2WI-Dixon序列客观图像质量
Tab. 5  Objective image quality of standard T2WI-Dixon and DL-T2WI-Dixon sequences

3 讨论

       本研究首次在头颈部肿瘤患者中应用基于DL的加速T1WI和T2WI-Dixon序列,并对比了该方法与标准T1WI和T2WI-Dixon序列在图像质量和扫描时间上的表现。结果显示,加速DL-T1WI和DL-T2WI-Dixon序列在扫描时间上较标准序列缩短近50%,显著提高了检查效率;同时,在图像主观和客观质量评分方面,加速DL序列在整体图像质量、伪影控制和病变显示清晰度方面均与标准序列差异无统计学意义。

3.1 实现MRI加速序列的方法

       本研究通过降低T1WI和T2WI-Dixon序列的激发次数来缩短扫描时间,以达到加速扫描的目的,提高检查效率。但降低序列的激发次数一般会导致图像的SNR降低,图像质量降低,从而影响病变显示的清晰度。本研究采用DL重建算法补偿了降低激发次数导致的图像质量降低,该算法的原理是将k空间数据、线圈灵敏度分布图和偏置场校正图输入到变分网络进行图像重建。迭代重建过程在数据保真和基于卷积神经网络正则化之间交替进行。正则化模型基于迭代网络层设计,经过多次编码和解码过程以提升和降低特征图的分辨率,从而实现比传统神经网络更高效的模型[29, 30, 31]。虽然本研究没有直接对比在降低激发次数下DL重建算法和常规重建算法的图像质量,但通过原理分析可知,DL重建算法通过深度卷积网络可以提高图像质量,并且本研究的结果也表明,DL重建算法可以在降低激发次数的条件下保持和标准序列相同的图像质量。该算法在国内外的相关研究中得到了证实,例如MRI加速序列在腹部[32]、膝关节[33, 34]、颅脑[35]、前列腺[36]和海马体[37]等部位中的应用均得到了与本研究相似的结论,也扩展了DL技术在各类MRI中的应用前景。

3.2 基于DL的MRI加速序列的优势与不足

       头颈部解剖结构复杂,为实现头颈部结构的精细显示,临床上常常需要进行高分辨率MRI扫描,然而高分辨率MRI扫描序列通常扫描时间较长。本研究保持其他参数不变,通过降低激发次数,实现DL-T1WI和DL-T2WI-Dixon序列的加速扫描,扫描时间比标准T1WI和T2WI-Dixon序列明显缩短。在客观图像的评价中,基于DL的MRI加速序列的SNR值普遍低于标准序列,但本研究的统计结果表明,DL-T1WI序列只有在肌肉处的SNR显著低于标准T1WI序列,但更关键的病变相关指标(如肿瘤SNR和CNR)未受到明显影响。可能的原因是,虽然相比于标准T1WI序列,DL-T1WI序列在肌肉、肿瘤、脂肪的SNR和肿瘤的CNR均有所降低,但病变相关指标如肿瘤SNR和CNR的降低幅度比肌肉SNR的降低幅度小。另外,肌肉处SNR的降低未影响医师的主观评价,可能的原因是,肌肉的SNR平均降低幅度不算太大,没有显著影响到整体的图像质量,没有增加多余的伪影,且没有影响到医师对于病变的观察。医师在进行主观评分时会对头颈部解剖结构和病变进行综合评估,不会只关注肌肉的SNR来进行主观评分。并且,DL序列的其余客观图像质量指标均与标准序列差异无统计学意义。

3.3 本研究的局限性与展望

       首先,样本量相对较小,尚无法细分不同病变部位进行分组分析。未来研究应在扩大样本量的基础上,进一步验证DL加速T1WI和T2WI-Dixon序列在不同病变部位头颈部肿瘤中的应用效果。其次,本研究主要关注图像质量,尚未深入探讨DL序列的诊断价值。未来研究应进一步评估DL加速序列在病灶识别和诊断方面的实际临床效能。

4 结论

       综上所述,DL加速T1WI和T2WI-Dixon序列在显著缩短扫描时间的同时,保持了较高的图像质量,为头颈部肿瘤加速MRI序列的临床应用提供了支持。这一技术有望进一步推动DL在医学影像领域的发展,拓展加速MRI的应用前景。

[1]
BRAY F, FERLAY J, SOERJOMATARAM I, et al. Global cancer statistics 2018: GLOBOCAN estimates of incidence and mortality worldwide for 36 cancers in 185 countries[J]. CA Cancer J Clin, 2018, 68(6): 394-424. DOI: 10.3322/caac.21492.
[2]
SUNG H, FERLAY J, SIEGEL R L, et al. Global cancer statistics 2020: GLOBOCAN estimates of incidence and mortality worldwide for 36 cancers in 185 countries[J]. CA A Cancer J Clin, 2021, 71(3): 209-249. DOI: 10.3322/caac.21660.
[3]
KITAMURA N, SENTO S, YOSHIZAWA Y, et al. Current trends and future prospects of molecular targeted therapy in head and neck squamous cell carcinoma[J/OL]. Int J Mol Sci, 2020, 22(1): 240 [2025-06-22]. https://pubmed.ncbi.nlm.nih.gov/33383632/. DOI: 10.3390/ijms22010240.
[4]
YOO M C, SOH Y, CHON J, et al. Evaluation of factors associated with favorable outcomes in adults with bell palsy[J]. JAMA Otolaryngol Head Neck Surg, 2020, 146(3): 256-263. DOI: 10.1001/jamaoto.2019.4312.
[5]
CHEN W Q, ZHENG R S, ZHANG S W, et al. Cancer incidence and mortality in China, 2013[J/OL]. Cancer Lett, 2017, 401: 63-71 [2025-06-22]. https://pubmed.ncbi.nlm.nih.gov/28476483/. DOI: 10.1016/j.canlet.2017.04.024.
[6]
雷倍美, 李珍, 谢常宁, 等. 头颈部肿瘤患者吞咽功能促进策略的证据总结[J]. 中华护理杂志, 2023, 58(1): 85-91. DOI: 10.3761/j.issn.0254-1769.2023.01.012.
LEI B M, LI Z, XIE C N, et al. Evidence summary for strategies to promote swallowing function in patients with head and neck tumors[J]. Chin J Nurs, 2023, 58(1): 85-91. DOI: 10.3761/j.issn.0254-1769.2023.01.012.
[7]
ROMERO A, LYNCH D, JOHNSON E, et al. MRI order appropriateness for chronic neck pain: Comparison of ordering practices and treatment outcomes for primary care physicians and specialists[J]. J Orthop Res, 2024, 42(2): 425-433. DOI: 10.1002/jor.25669.
[8]
DONG W X, VOLK A, DJAROUM M, et al. Influence of different measurement methods of arterial input function on quantitative dynamic contrast-enhanced MRI parameters in head and neck cancer[J]. J Magn Reson Imag, 2023, 58(1): 122-132. DOI: 10.1002/jmri.28486.
[9]
CHEN W, XU H M, ZHANG L N, et al. The value of MRI in the diagnosis of pediatric head and neck lymphatic malformations: a study of 46 surgical cases[J/OL]. Eur J Radiol, 2024, 170: 111260 [2025-06-22]. https://pubmed.ncbi.nlm.nih.gov/38086161/. DOI: 10.1016/j.ejrad.2023.111260.
[10]
康泰山, 林良杰, 吴健, 等. 基于mDixon新型MR血管成像序列用于颈部动脉成像的可行性[J]. 中国医学影像技术, 2023, 39(4): 592-596. DOI: 10.13929/j.issn.1003-3289.2023.04.024.
KANG T S, LIN L J, WU J, et al. Feasibility of a novel MR angiography sequence based on mDixon for cervical artery imaging[J]. Chin J Med Imag Technol, 2023, 39(4): 592-596. DOI: 10.13929/j.issn.1003-3289.2023.04.024.
[11]
LI M L, LIN Q Q, LIU Y T, et al. The clinical value of head-neck joint high-resolution vessel wall imaging in ischemic stroke[J/OL]. J Stroke Cerebrovasc Dis, 2020, 29(9): 105062 [2025-06-22]. https://pubmed.ncbi.nlm.nih.gov/32807467/. DOI: 10.1016/j.jstrokecerebrovasdis.2020.105062.
[12]
FUJIMA N, SHIMIZU Y, IKEBE Y, et al. Dual-type deep learning-based image reconstruction for advanced denoising and super-resolution processing in head and neck T2-weighted imaging[J]. Jpn J Radiol, 2025, 43(7): 1097-1105. DOI: 10.1007/s11604-025-01756-y.
[13]
SU T, CHEN Y, ZHANG Z H, et al. Optimization of simultaneous multislice, readout-segmented echo planar imaging for accelerated diffusion-weighted imaging of the head and neck: a preliminary study[J/OL]. Acad Radiol, 2020, 27(11): e245-e253 [2025-06-22]. https://pubmed.ncbi.nlm.nih.gov/32005557/. DOI: 10.1016/j.acra.2019.12.008.
[14]
SARTORETTI E, SARTORETTI-SCHEFER S, VAN SMOORENBURG L, et al. Contrast-enhanced T1-weighted head and neck MRI: prospective intraindividual image quality comparison of spiral GRE, Cartesian GRE, and Cartesian TSE sequences[J]. AJR Am J Roentgenol, 2022, 218(1): 132-139. DOI: 10.2214/AJR.21.26413.
[15]
KATAOKA M, UEDA H, KOYAMA T, et al. Contrast-enhanced volumetric interpolated breath-hold examination compared with spin-echo T1-weighted imaging of head and neck tumors[J]. AJR Am J Roentgenol, 2005, 184(1): 313-319. DOI: 10.2214/ajr.184.1.01840313.
[16]
KATO H, KAWAGUCHI M, ANDO T, et al. Hypointense head and neck lesions on T2-weighted images: correlation with histopathologic findings[J]. Neuroradiology, 2020, 62(10): 1207-1217. DOI: 10.1007/s00234-020-02483-z.
[17]
KORTE J C, HARDCASTLE N, NG S P, et al. Cascaded deep learning-based auto-segmentation for head and neck cancer patients: Organs at risk on T2-weighted magnetic resonance imaging[J]. Med Phys, 2021, 48(12): 7757-7772. DOI: 10.1002/mp.15290.
[18]
BISCHOFF L M, PEETERS J M, WEINHOLD L, et al. Deep learning super-resolution reconstruction for fast and motion-robust T2-weighted prostate MRI[J/OL]. Radiology, 2023, 308(3): e230427 [2025-06-22]. https://pubmed.ncbi.nlm.nih.gov/37750774/. DOI: 10.1148/radiol.230427.
[19]
PONSIGLIONE A, MCGUIRE W, PETRALIA G, et al. Image quality of whole-body diffusion MR images comparing deep-learning accelerated and conventional sequences[J]. Eur Radiol, 2024, 34(12): 7985-7993. DOI: 10.1007/s00330-024-10883-5.
[20]
SLAVKOVA K P, DICARLO J C, WADHWA V, et al. An untrained deep learning method for reconstructing dynamic MR images from accelerated model-based data[J]. Magn Reson Med, 2023, 89(4): 1617-1633. DOI: 10.1002/mrm.29547.
[21]
KIM J, NICKEL M D, KNOLL F. Deep learning-based accelerated MR cholangiopancreatography without fully-sampled data[J/OL]. NMR Biomed, 2025, 38(3): e70002 [2025-06-22]. https://pubmed.ncbi.nlm.nih.gov/39907193/. DOI: 10.1002/nbm.70002.
[22]
ALTMANN S, GRAUHAN N F, BROCKSTEDT L, et al. Ultrafast brain MRI with deep learning reconstruction for suspected acute ischemic stroke[J/OL]. Radiology, 2024, 310(2): e231938 [2025-06-22]. https://pubmed.ncbi.nlm.nih.gov/38376403/. DOI: 10.1148/radiol.231938.
[23]
XIE Y X, TAO H Y, LI X W, et al. Prospective comparison of standard and deep learning-reconstructed turbo spin-echo MRI of the shoulder[J/OL]. Radiology, 2024, 310(1): e231405 [2025-06-22]. https://pubmed.ncbi.nlm.nih.gov/38193842/. DOI: 10.1148/radiol.231405.
[24]
HERRMANN J, KELLER G, GASSENMAIER S, et al. Feasibility of an accelerated 2D-multi-contrast knee MRI protocol using deep-learning image reconstruction: a prospective intraindividual comparison with a standard MRI protocol[J]. Eur Radiol, 2022, 32(9): 6215-6229. DOI: 10.1007/s00330-022-08753-z.
[25]
RECHT M P, ZBONTAR J, SODICKSON D K, et al. Using deep learning to accelerate knee MRI at 3 T: results of an interchangeability study[J]. AJR Am J Roentgenol, 2020, 215(6): 1421-1429. DOI: 10.2214/AJR.20.23313.
[26]
GASSENMAIER S, AFAT S, NICKEL M D, et al. Accelerated T2-weighted TSE imaging of the prostate using deep learning image reconstruction: a prospective comparison with standard T2-weighted TSE imaging[J/OL]. Cancers (Basel), 2021, 13(14): 3593 [2025-06-22]. https://pubmed.ncbi.nlm.nih.gov/34298806/. DOI: 10.3390/cancers13143593.
[27]
GINOCCHIO L A, SMEREKA P N, TONG A, et al. Accelerated T2-weighted MRI of the liver at 3 T using a single-shot technique with deep learning-based image reconstruction: impact on the image quality and lesion detection[J]. Abdom Radiol (NY), 2023, 48(1): 282-290. DOI: 10.1007/s00261-022-03687-y.
[28]
张馨心, 王绎忱, 王思聪, 等. 深度学习重建技术在膀胱癌MRI临床应用中的可行性研究[J]. 磁共振成像, 2023, 14(5): 36-40. DOI: 10.12015/issn.1674-8034.2023.05.008.
ZHANG X X, WANG Y C, WANG S C, et al. Feasibility study of deep learning reconstruction in the clinical application of MRI in bladder cancer[J]. Chin J Magn Reson Imag, 2023, 14(5): 36-40. DOI: 10.12015/issn.1674-8034.2023.05.008.
[29]
ALMANSOUR H, HERRMANN J, GASSENMAIER S, et al. Deep learning reconstruction for accelerated spine MRI: prospective analysis of interchangeability[J/OL]. Radiology, 2023, 306(3): e212922 [2025-06-22]. https://pubmed.ncbi.nlm.nih.gov/36318032/. DOI: 10.1148/radiol.212922.
[30]
HERRMANN J, BENKERT T, BRENDLIN A, et al. Shortening acquisition time and improving image quality for pelvic MRI using deep learning reconstruction for diffusion-weighted imaging at 1.5 T[J]. Acad Radiol, 2024, 31(3): 921-928. DOI: 10.1016/j.acra.2023.06.035.
[31]
ESTLER A, HAUSER T K, BRUNNÉE M, et al. Deep learning-accelerated image reconstruction in back pain-MRI imaging: reduction of acquisition time and improvement of image quality[J]. Radiol Med, 2024, 129(3): 478-487. DOI: 10.1007/s11547-024-01787-x.
[32]
NEPAL P, BAGGA B, FENG L, et al. Respiratory motion management in abdominal MRI: Radiology in training[J]. Radiology, 2023, 306(1): 47-53. DOI: 10.1148/radiol.220448.
[33]
JOHNSON P M, LIN D J, ZBONTAR J, et al. Deep learning reconstruction enables prospectively accelerated clinical knee MRI[J/OL]. Radiology, 2023, 307(2): e220425 [2025-06-22]. https://pubmed.ncbi.nlm.nih.gov/36648347/. DOI: 10.1148/radiol.220425.
[34]
武夏夏, 陆雪芳, 刘昌盛, 等. 深度学习图像重建算法在膝关节加速MRI中的临床应用研究[J]. 磁共振成像, 2023, 14(5): 53-59. DOI: 10.12015/issn.1674-8034.2023.05.011.
WU X X, LU X F, LIU C S, et al. Clinical feasibility of 2D FSE sequences of the knee MRI protocol using deep-learning image reconstruction[J]. Chin J Magn Reson Imag, 2023, 14(5): 53-59. DOI: 10.12015/issn.1674-8034.2023.05.011.
[35]
李琼阁, 殷雅彦, 赵澄, 等. 深度学习在颅脑体素内不相干运动磁共振成像质量中的应用[J]. 磁共振成像, 2023, 14(5): 16-20. DOI: 10.12015/issn.1674-8034.2023.05.004.
LI Q G, YIN Y Y, ZHAO C, et al. Application of deep learning in intravoxel incoherent motion brain magnetic resonance imaging quality[J]. Chin J Magn Reson Imag, 2023, 14(5): 16-20. DOI: 10.12015/issn.1674-8034.2023.05.004.
[36]
王绎忱, 张馨心, 胡满仓, 等. 深度学习重建技术在优化前列腺磁共振T2加权成像扫描时间和图像质量中的应用价值[J]. 磁共振成像, 2023, 14(5): 48-52, 59. DOI: 10.12015/issn.1674-8034.2023.05.010.
WANG Y C, ZHANG X X, HU M C, et al. Value of deep learning reconstruction in optimizing prostate MR T2-weighted imaging scanning time and imaging quality[J]. Chin J Magn Reson Imag, 2023, 14(5): 48-52, 59. DOI: 10.12015/issn.1674-8034.2023.05.010.
[37]
杨晶, 李琼阁, 吴涛, 等. 深度学习重建法提高磁共振高分辨海马冠状位图像质量的比较研究[J]. 磁共振成像, 2023, 14(5): 21-24, 30. DOI: 10.12015/issn.1674-8034.2023.05.005.
YANG J, LI Q G, WU T, et al. A comparative study on the enhancement of high resolution coronal image quality by deep learning reconstruction[J]. Chin J Magn Reson Imag, 2023, 14(5): 21-24, 30. DOI: 10.12015/issn.1674-8034.2023.05.005.

上一篇 磁共振成像直方图分析预测生长激素型垂体神经内分泌肿瘤术后长期疗效的价值
下一篇 双心室应变评估扩张型心肌病:射血分数轻度降低和保留型心衰的对比研究
  
诚聘英才 | 广告合作 | 免责声明 | 版权声明
联系电话:010-67113815
京ICP备19028836号-2