分享:
分享到微信朋友圈
X
临床研究
基于DCE-MRI的瘤内瘤周深度学习影像组学模型预测三阴性乳腺癌新辅助化疗疗效:一项多中心研究
张澳祺 朱秋扬 刘梦玲 李冉 朱芸 汤晓敏 赵灿灿 何杰 谢宗玉

Cite this article as: ZHANG A Q, ZHU Q Y, LIU M L, et al. Development and validation of an intratumoral and peritumoral deep learning radiomics model based on DCE-MRI for predicting the response to neoadjuvant chemotherapy in triple-negative breast cancer: A multicenter study[J]. Chin J Magn Reson Imaging, 2025, 16(9): 96-104.本文引用格式:张澳祺, 朱秋扬, 刘梦玲, 等. 基于DCE-MRI的瘤内瘤周深度学习影像组学模型预测三阴性乳腺癌新辅助化疗疗效:一项多中心研究[J]. 磁共振成像, 2025, 16(9): 96-104. DOI:10.12015/issn.1674-8034.2025.09.015.


[摘要] 目的 探讨基于动态对比增强MRI(dynamic contrast-enhanced MRI, DCE-MRI)瘤内瘤周深度学习影像组学(deep learning radiomics, DLR)融合模型预测三阴性乳腺癌(triple-negative breast cancer, TNBC)新辅助化疗(neoadjuvant chemotherapy, NAC)疗效响应的价值。材料与方法 回顾性收集两个医学中心接受NAC的161名TNBC患者资料及每位患者NAC前的DCE-MRI图像,将来自中心一的数据作为训练集(n=112),中心二的数据作为外部验证集(n=49)。公开数据集TICA数据(n=74)构成外部测试集。研究分为三个部分:传统影像组学、深度学习和DLR融合模型。基于PyRadiomics提取瘤内及瘤周3、5、7 mm区域影像组学特征,在不同的特征模型下测试了7个分类器的性能,分别为支持向量机(support vector machine, SVM)、K近邻(k nearest neighbors, KNN)、极端梯度提升决策树(extreme gradient boosting, XGBoost)、极端随机树(extra trees, ET)、逻辑回归(logistic regression, LR)、随机森林(random forest, RF)、朴素贝叶斯(naive bayes, NB),获得最佳分类器,以构建影像组学模型。深度学习基于3D DenseNet-121架构。在完成深度学习模型训练和预测后,将模型产生的深度学习评分(DL_score)与组学特征进行融合,选择最优分类器XGBoost构建DLR融合模型。通过受试者工作特征(receiver operating characteristic, ROC)曲线及曲线下面积(area under the curve, AUC)评价模型的诊断效能,利用校准曲线评价模型的拟合能力,决策曲线评估预测模型的临床实用性。结果 最佳影像组学模型为基于ET构建的瘤内联合瘤周3 mm区域模型,在训练集、外部验证集及外部测试集中AUC值分别为0.847、0.780、0.720。与影像组学模型相比,深度学习模型在识别TNBC患者NAC疗效方面更好:训练集、外部验证集及外部测试集中AUC值分别为0.865、0.810、0.820。与单一模型相比,DLR融合模型进一步提高了区分能力:训练集、外部验证集及外部测试集的AUC及准确度分别为0.917、0.898、0.886及90.1%、87.9%、86.5%,具有更好的临床效益和良好的校准性。结论 基于DCE-MRI的瘤内瘤周特征的DLR融合模型在预测TNBC患者NAC疗效方面具有潜在的临床应用价值。
[Abstract] Objective To investigate the value of an intratumoral and peritumoral deep learning radiomics (DLR) model based on dynamic contrast-enhanced MRI (DCE-MRI) for predicting neoadjuvant chemotherapy (NAC) response in triple-negative breast cancer (TNBC).Materials and Methods This retrospective study enrolled 161 TNBC patients from two medical centers who underwent pre-NAC DCE-MRI. Data from center 1 (n = 112) served as the training set, while data from center 2 (n = 49) constituted an external validation cohort. An additional public TICA dataset (n = 74) was used as an independent external test set. The study comprised three components: traditional radiomics, deep learning (DL), and integrated DLR modeling. Radiomic features were extracted from both the intratumoral region and the peritumoral rims at 3 mm, 5 mm, and 7 mm distances using PyRadiomics. Performance of seven classifiers, support vector machine (SVM), k-nearest neighbors (KNN), extreme gradient boosting (XGBoost), extra trees (ET), logistic regression (LR), random forest (RF), and naive bayes (NB), was evaluated across different feature models to identify the optimal classifier for constructing the radiomics model. DL was implemented with a 3D DenseNet-121 backbone. Following the training and prediction of the DL model, the generated deep learning score (DL_score) was fused with the radiomics features. XGBoost, selected as the optimal classifier, was then used to build the final DLR fusion model. Diagnostic performance was assessed via receiver operating characteristic (ROC) curves and area under the curve (AUC). Calibration curves evaluated model fit, while decision curve analysis (DCA) quantified clinical utility.Results The optimal radiomics model was an ExtraTrees-based model combining intra-tumoral and peri-tumoral 3 mm region features, with AUC values of 0.847, 0.780, and 0.720 in the training, external validation, and external test sets, respectively. The DL model outperformed the radiomics model in identifying the response to NAC in TNBC patients, with AUC values of 0.865, 0.810, and 0.820 in the training, external validation, and external test sets, respectively. Compared to a single model, DLR further improved the discriminative ability, with AUC and accuracy of 0.917, 0.898, and 0.886, and 90.1%, 87.9%, and 86.5% in the training, external validation, and external test sets, respectively, demonstrating better clinical benefits and good calibration.Conclusions The DLR fusion model, integrating intratumoral and peritumoral deep-learning radiomic features derived from DCE-MRI, demonstrates potential clinical utility for predicting NAC response in TNBC patients.
[关键词] 三阴性乳腺癌;影像组学;深度学习;新辅助治疗;磁共振成像
[Keywords] triple-negative breast cancer;radiomics;deep learning;neoadjuvant therapy;magnetic resonance imaging

张澳祺 1, 2   朱秋扬 3   刘梦玲 1, 2   李冉 1, 2   朱芸 1   汤晓敏 1   赵灿灿 1   何杰 4   谢宗玉 1*  

1 蚌埠医科大学第一附属医院放射科,蚌埠 233004

2 蚌埠医科大学医学影像学院,蚌埠 233030

3 安徽科技学院信息与网络工程学院网络安全系,蚌埠 233030

4 浙江大学医学院附属邵逸夫医院放射科,杭州 310016

通信作者:谢宗玉,E-mail: zongyuxie@sina.com

作者贡献声明::谢宗玉设计本研究的方案,对稿件重要内容进行了修改,获得蚌埠医科大学重点支持和培育学科领域专项(量子医学专项)资助;张澳祺起草和撰写稿件,获取、分析及解释本研究的数据,对稿件重要内容进行了修改,获得蚌埠医科大学研究生科研创新项目资助;朱秋扬、刘梦玲、李冉收集、分析或解释本研究的数据,对稿件重要内容进行了修改;朱芸、赵灿灿勾画图像ROI,对稿件的重要内容进行了修改;汤晓敏、何杰完成临床、影像资料的评价,对稿件的重要内容进行了修改。全体作者都同意发表最后的修改稿,同意对本研究的所有方面负责,确保本研究的准确性和诚信。


基金项目: 蚌埠医科大学重点支持和培育学科领域专项(量子医学专项) 2024bypy017 蚌埠医科大学研究生科研创新项目 Byycx24106
收稿日期:2025-06-19
接受日期:2025-08-28
中图分类号:R445.2  R737.9 
文献标识码:A
DOI: 10.12015/issn.1674-8034.2025.09.015
本文引用格式:张澳祺, 朱秋扬, 刘梦玲, 等. 基于DCE-MRI的瘤内瘤周深度学习影像组学模型预测三阴性乳腺癌新辅助化疗疗效:一项多中心研究[J]. 磁共振成像, 2025, 16(9): 96-104. DOI:10.12015/issn.1674-8034.2025.09.015.

0 引言

       三阴性乳腺癌(triple-negative breast cancer, TNBC)约占乳腺癌的15%~20%[1],侵袭性强、缺乏明确治疗靶点,治疗反应持续时间短,复发风险高,预后差[2, 3]。相比于其他乳腺癌类型,早期TNBC五年生存率为77%,晚期仅14%[4, 5]。新辅助化疗(neoadjuvant chemotherapy, NAC)是TNBC的重要治疗手段,可缩小肿瘤、提高手术切除率和生存率[6],但疗效个体差异大,部分患者耐药导致治疗失败[7]。因此,准确预测NAC疗效,识别不响应患者,对优化治疗方案、减少副作用、提升生存率和生活质量至关重要[8]

       动态对比增强磁共振成像(dynamic contrast-enhanced magnetic resonance imaging, DCE-MRI)是临床乳腺癌诊断分型最常用的无创成像技术。其高分辨率显示病灶三维结构及功能信息,优于X线摄影、CT和超声[9]。近年来研究显示影像组学和深度学习可通过提取深度影像特征,突破传统形态学诊断的限制,显著优化了医学影像诊断效能,在多场景任务中验证了其性能优势[10]。TNBC瘤周区域可能包含免疫反应、纤维化等预后信息,瘤周特征对预测NAC疗效尤为重要[11],也可为肿瘤的异质性提供潜在信息。特征融合方法通过整合瘤内和瘤周特征,在捕捉生物学意义与方法学严谨性间取得平衡,为TNBC患者NAC疗效预测提供了新方式[12]。目前针对TNBC的NAC疗效预测研究多基于单中心小样本数据,缺乏多中心验证导致结论外推性不足[13, 14],且现有深度学习影像组学(deep learning radiomics, DLR)融合模型的研究多缺少不同瘤周区域特征的分析,仍存在不足[15]

       因此,本研究旨在开发和验证一个基于多中心DCE-MRI的瘤内及不同瘤周区域的DLR模型,以早期无创地预测TNBC患者NAC疗效响应,为临床疗效判定和个体化治疗策略制订提供依据。

1 材料与方法

1.1 研究对象

       回顾性收集2019年7月至2024年4月蚌埠医科大学第一附属医院(中心一)及2019年1月至2023年10月浙江大学医学院附属邵逸夫医院(中心二)收治的161例TNBC患者资料,这些患者在接受NAC之前进行了MRI检查。纳入标准:(1)经治疗前组织病理学检测(穿刺或活检)明确诊断为TNBC的女性患者;(2)在入组前接受了规范的NAC疗程,并最终完成了手术治疗,术后有明确的病理结果;(3)所有患者在基线MRI检查前均未接受过任何系统性或局部抗肿瘤治疗(手术、放疗、化疗等)。排除标准:(1)病灶过小或者边界显示不清,不能进行感兴趣区(region of interest, ROI)勾画;(2)MRI图像质量差或序列不全的患者、临床数据不全的患者;(3)隐匿性、复发性乳腺癌;(4)其他恶性肿瘤病史或合并远处转移。

       来自癌症成像档案(The Cancer Imaging Archive, TCIA)的“Duke-Breast-Cancer-MRI”的另一个公开数据集被用作外部测试集,最终纳入74例符合纳入排除标准的患者(原始影像数据源自美国杜克大学,已在TICA公开共享,访问地址:https://www.cancerimagingarchive.net/collection/cptac-pda/)。纳入标准:经治疗前病理活检诊断为TNBC的女性患者。排除标准:(1)病灶过小或者边界显示不清,不能进行ROI勾画;(2)MRI图像质量欠佳或关键序列缺失,无法满足诊断或分析要求;(3)未行NAC治疗。

       将来自中心一的数据作为训练集(n=112),中心二的数据作为外部验证集(n=49)。TICA数据(n=74)作为最终对模型泛化性能检测的外部测试集。

       本研究严格遵循《赫尔辛基宣言》的伦理原则,已获得来自蚌埠医科大学伦理委员会与浙江大学医学院附属邵逸夫医院伦理委员会批准,并根据相关伦理规定免除了受试者的知情同意程序,蚌埠医科大学伦理委员会批准文号:伦科批字〔2025〕第154号;浙江大学医学院附属邵逸夫医院伦理委员会批准文号:邵逸夫医院伦审2024研第0162号。

1.2 仪器设备与方法

1.2.1 仪器设备

       蚌埠医科大学第一附属医院:使用荷兰Philips Achieva 3.0 T双梯度超导型MRI扫描仪,SENSE 7通道乳腺专用线圈进行检查。患者采取俯卧位,双侧乳房自然对称地落入线圈,定位中心对准线圈中心及两侧乳头连线中点。嘱咐患者尽量降低呼吸频率,以避免呼吸和心跳引起的运动伪影。DCE-MRI扫描序列和参数:TR 4.8 ms,TE 2.4 ms,层厚5 mm,层间距1 mm,FOV 350 mm×350 mm。分6个时相采集图像,每个时相扫描60 s,第一个时相为蒙片像,然后经肘正中静脉迅速注入剂量为0.2 mmol/kg的对比剂钆喷酸葡胺(拜耳先灵医药公司,德国),随后以流速1.5 mL/s注射生理盐水20 mL。

       浙江大学医学院附属邵逸夫医院:采用GE Signa HD excite 1.5 T MRI系统及乳腺8通道相控阵专用线圈,患者取头先进、俯卧位,双乳自然悬垂于乳腺线圈中心。DCE-MRI扫描针对乳腺优化的容积成像技术,增强前先扫一期作为蒙片,经肘静脉以3.0 mL/s团注对比剂钆喷替酸葡甲胺(拜耳先灵医药公司,德国),剂量为0.2 mmol/kg,然后注射15~20 mL生理盐水,分7个时相采集图像,每时相扫描时间为60 s,翻转角15°。

       所有来自DUKE大学的入组患者,均在NAC之前使用场强为1.5 T或3.0 T的MRI系统配合专用乳腺线圈完成了DCE-MRI扫描。具体的图像采集参数设定如下:扫描层厚范围1.04~2.5 mm;TR范围3.54~7.39 ms;TE范围1.25~2.76 ms;FOV 250 mm×480 mm;射频翻转角范围7°~12°。

1.2.2 临床特征分析

       收集所有患者的临床及病理信息,如年龄、绝经状态、基线T分期、手术分型、Ki-67状态以及新辅助治疗后的病理完全缓解(pathologic complete response, pCR)等情况。各中心疗效判定遵循美国肿瘤联合会乳腺癌分期系统(第八版)乳腺癌分期规范[16]:若术后标本在乳腺及腋窝淋巴结均未发现浸润性癌,或仅存导管原位癌成分,则定义为pCR;术后乳腺和淋巴结病理学检查残留浸润癌组织,即判定为non-pCR。在训练集和外部验证集中,雌激素受体(estrogen receptor, ER)、孕激素受体(progesterone receptor, PR)、人表皮生长因子受体2(human epidermal growth factor receptor 2, HER-2)和Ki-67的表达状态评估,均基于NAC给药前所进行的核心活检所得的组织病理学报告。TNBC是指ER、PR和HER-2均为阴性的乳腺癌亚型。使用先前报道的标准方法进行ER、PR和HER-2的免疫组织化学评估[17]。对HER-2免疫组化检测结果为2+的肿瘤,进一步通过荧光原位杂交技术验证其基因状态。

1.2.3 影像特征分析

       影像特征由2名分别具有5年以上乳腺诊断经验的主治医师在Philips Extended MR Workspace后处理工作站上进行分析。主要评价指标包括:病灶形态、肿块内部强化特点、背景实质强化(background parenchymal enhancemennt, BPE)等。当两人对判读结果出现分歧时,通过商议达成一致。

1.3 图像分割

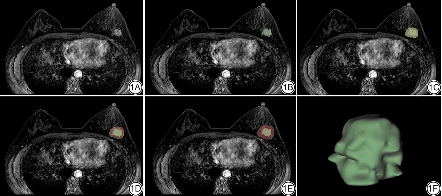
       病灶的分割在ITK-SNAP 软件(版本3.8.0,www.itksnap.org)上完成。首先,对所有中心采集的图像进行预处理:(1)使用Ants软件将所有数据进行N4偏场校正以消除磁场不均匀对模型性能的影响;(2)以1 mm×1 mm×1 mm体素进行重采样,抹平各MRI设备间的空间分辨率差异;(3)采用Z-score归一化消除不同MRI扫描仪之间的灰度强度差异。随后,由2名具有5年以上工作经验的放射科主治医师在不知患者临床资料及对方标记结果的情况下,通过叠加每一层图像中的二维ROI,生成一个三维感兴趣区(volume of interest, VOI),2名医师统一勾画标准,勾画时避开明显的坏死、出血和囊变区。对30名随机选择的患者的VOI进行了手动独立分割,以评估观察者内部和观察者之间的可靠性。采用组内相关系数(intra-class correlation coefficients, ICCs)对同一观察者和不同观察者间的结果进行一致性评价,ICCs>0.75代表一致性良好。意见存在分歧时,通过共同讨论达成一致或由上级主任医师决定。对于多灶性病变,仅针对最大病灶进行图像分割和分析。大多数癌症的峰值增强多在注射对比剂完成的前2 min内[18],因此本研究选择DCE-MRI的第2期逐层进行勾画。瘤周ROI获取方法是以瘤内ROI的边界为基础根据形态自动外扩3、5、7 mm,如图1所示。如果瘤周区域的轮廓在扩张后延伸到乳腺实质之外,则手动去除实质以外的部分。

图1  ROI区域分割示意图。1A为乳腺原始图像;1B为瘤内ROI的手动勾画结果(绿色);1C、1D、1E分别展示以肿瘤边界为基准向外扩充3 mm(黄色)、5 mm(橘色)及7 mm(红色)后自动生成的瘤周ROI;1F为融合上述多层ROI后构建的三维肿瘤立体模型,直观呈现肿瘤及其周围不同环带的解剖关系。ROI:感兴趣区;DCE-MRI:动态对比增强MRI。
Fig. 1  Schematic illustration of ROI delineation. 1A: Original breast DCE-MRI. 1B: Manual outline of the intratumoral ROI (green). 1C to 1E: Automated peritumoral ROIs generated by expanding the tumor boundary outward by 3 mm (yellow), 5 mm (orange) and 7 mm (red), respectively. 1F: Three-dimensional reconstruction integrating all ROIs, offering a clear depiction of the tumor and its concentric peritumoral zones. ROI: region of interest; DCE-MRI: dynamic contrast-enhanced magnetic resonance imaging.

1.4 影像组学特征提取与特征筛选

       在各个队列中,每一个目标区域的特征选择和模型构建均采用相同处理方法。分别从瘤内及瘤周3、5、7 mm区域的ROI中提取影像组学特征。所有手工特征均通过本团队开发的特征分析程序提取,该程序基于PyRadiomics实现。

       使用Z分数标准化(Z-score normalization)对所有原始特征进行尺度归一化处理。仅将ICC>0.75的特征纳入后续统计分析。通过独立样本t检验(显著性水平α=0.05)筛选具有统计学显著性的特征(P<0.05)。为解决特征间可能存在的共线性问题,本研究首先计算了各特征之间的Pearson相关系数,并据此剔除了具有高度相关性的冗余特征。在此基础上,进一步采用最小绝对收缩与选择算子(least absolute shrinkage and selection operator, LASSO)回归模型,在10倍交叉验证的框架内进行特征选择与正则化处理,以优化特征集并提高模型的稳定性和预测性能。该过程通过交叉验证优化确定最佳正则化强度参数λ(通常选择使交叉验证均方误差最小的λ值),从而将特征集压缩至一组最具判别力和信息量的关键特征子集。最终仅保留在最优LASSO模型中系数非零的特征,用于构建最终的预测模型。

1.5 影像组学模型

       通过LASSO回归进行严格特征筛选,利用支持向量机(support vector machine, SVM)、K近邻(k nearest neighbors, KNN)、极端梯度提升决策树(extreme gradient boosting, XGBoost)、极端随机树(extra trees, ET)、逻辑回归(logistic regression, LR)、随机森林(random forest, RF)、朴素贝叶斯(naive bayes, NB)共7种机器学习算法构建影像组学模型,进行了比较分析以评估每个模型的性能,以验证分类器成功预测pCR的性能。基于不同机器学习算法,分别构建四个多区域影像组学模型:瘤内(Intra)、瘤内联合瘤周3 mm(IntraPeri3mm)、瘤内联合瘤周5 mm(IntraPeri5mm)、瘤内联合瘤周7 mm(IntraPeri7mm)。应用训练集数据进行预测,通过Youden指数最大化确定阈值获得模型最佳参数,随后应用外部验证集及外部测试集数据测试模型性能。

1.6 深度学习模型

       (1)数据准备。对于每位患者,选择显示最大ROI的切片作为代表性图像。为了简化分析并减少背景噪声,提取了最小的包围立方体。通过Z-score对图像的强度分布进行归一化,这些归一化的图像随后被用作深度学习模型的输入。在训练阶段,采用实时数据增强策略,例如随机裁剪和翻转,以增强模型的鲁棒性。对于测试图像,预处理仅限于归一化,以确保评估过程的一致性。

       (2)模型训练。深度学习基于3D DenseNet-121架构。在训练过程中,采用交叉熵损失函数作为输出层的激活函数进行优化。在模型训练阶段采用随机梯度下降法(stochastic gradient descent, SGD),批次大小=16,学习率=3e-4,轮数=50。SGD是一种更传统的优化方法,适用于大规模数据集,以获得最终模型的预测。

1.7 DLR融合模型

       在完成深度学习模型训练和预测后,将模型产生的深度学习评分(DL_score)与组学特征进行融合,输入到7种机器学习算法,选择最优分类器构建DLR融合模型。

1.8 统计学分析

       数据以均值±标准差的形式表示连续变量,分类变量则以频数和百分比进行汇总。使用Shapiro-Wilk检验验证临床特征的正态性。根据分布特征,对连续变量进行t检验或Mann-Whitney U检验。分类变量则采用卡方(χ²)检验及Fisher确切概率法进行分析。绘制受试者工作特征(receiver operating characteristic, ROC)曲线,量化模型的分类能力,并采用DeLong检验进行不同模型或方法间ROC曲线下面积(area under the curve, AUC)差异的统计学比较。其次,基于ROC曲线上Youden指数最大化原则确定最佳诊断阈值,据此计算模型的关键性能指标,包括AUC、敏感度、特异度及准确度。所有指标均通过10 000次Bootstrap重抽样计算95%置信区间(confidence interval, CI)以反映估计精度。通过绘制校准曲线直观展示模型预测概率与实际发生概率的一致性,并辅以Hosmer-Lemeshow拟合优度检验对校准度进行定量评估,以验证模型预测的可靠性。最后,应用决策曲线分析(decision curve analysis, DCA)评估预测模型在不同决策阈值下的临床净获益,直观反映其在辅助临床决策中的潜在效用。P<0.05为差异有统计学意义。所有统计分析均借助OmniMedAI平台(www.omnimai.com)完成。

2 结果

2.1 一般资料

       本研究共纳入235例患者:中心一(训练集)112例,年龄(49.64±9.46)岁,中心二(外部验证集)49例,年龄(51.00±10.11)岁,TCIA(外部测试集)74例,年龄(48.84±11.61)岁。各个数据集患者的临床病理学特征见表1

       235例患者中有83例(35.3%)在NAC后达到pCR。训练集、外部验证集、和外部测试集的pCR率分别为40.1%、30.6%、31.0%。关于临床病理特征,所有队列中pCR组和非pCR组在Ki-67状态、T分期、手术方式等方面均无差异(P>0.05)。pCR表达状态在训练集中与绝经状态显著相关(P=0.036)。

表1  患者临床一般资料与影像特征比较
Tab. 1  Comparison of clinical general data and imaging characteristics in patients

2.2 影像组学模型建立

       共提取2394个原始影像特征,通过单变量统计分析将特征降至859个。相关性过滤剔除高度相关的冗余特征,保留180个特征。应用最大相关最小冗余算法从180个特征中选出34个具有高度相关性和互补信息的特征子集,最优超参数筛选最终筛选出8个影像组学特征。将上述主要特征输入7种机器学习分类器,构建各影像组学模型,用于评估TNBC患者pCR状态通过比较分析以评估每个模型的性能,最终选择最优分类器ET构建影像组学模型。所构建的瘤内以及瘤内联合不同区域瘤周影像组学模型在各个数据集中的预测效能如表2所示。在训练集、外部验证集以及外部测试集中,瘤内联合瘤周3 mm区域影像组学模型的AUC均高于其他三个模型,AUC值分别为0.847、0.780、0.720。

表2  影像组学模型在各个队列中的预测效能
Tab. 2  The predictive efficacy of radiomics models across various cohorts

2.3 最优影像组学模型、深度学习模型和DLR融合模型效能的评估

       基于Densenet121网络建立的深度学习模型在训练集、外部验证集、外部测试集的AUC值分别为0.865、0.810、0.820,能够较为鲁棒性地预测pCR。选择最优分类器XGBoost构建DLR融合模型,在训练集、外部验证集及外部测试集上分别达到了0.917、0.898、0.886的AUC值,显著优于单独的深度学习模型或影像组学模型,详见表3图2图3

       DeLong检验显示,DLR融合模型与单一模态组学模型和深度学习模型在训练集、外部验证集及外部测试集之间差异均具有统计学意义(P<0.05),DLR融合模型表现出更高的诊断性能。校准曲线(图4)提示融合模型在判断各个队列pCR状态结果与理想模型的一致性较好(P>0.05)。DCA(图5)提示DLR融合模型的临床适用性较高。

图2  融合模型的SHAP摘要图。图中输出的深度组学评分和8个组学特征沿垂直轴按特征重要性降序排列,位置越高表示该特征对鉴别TNBC患者pCR状态的重要性越强。针对每个特征,图中的每一个点对应一位患者。横轴展示的是特征的SHAP值,该值的绝对大小反映了特征对模型输出结果的影响强度。具体而言,特征值较高的样本对模型预测的贡献更为显著。在颜色标识上,红色代表特征值处于较高水平,紫色表示特征值接近全体样本的平均水平,而蓝色则标识特征值处于较低水平。peri:瘤周;intra:瘤内;wavelet:小波变换;HLH:高-低-高子带;gldm:灰度依赖矩阵;LargeDependence:大依赖性;LowGrayLevelEmphasis:低灰度级别强调;HHH:高-高-高子带;firstorder:一阶纹理特征;Median:中位数;log:拉普拉斯变换;Skewness:偏度;glcm:灰度共生矩阵;ldn:局部依赖性;glszm:灰度区域大小矩阵;SmallArea:小区域;SmallDependence:小依赖性;HLL:高-低-低子带;TNBC:三阴性乳腺癌;pCR:病理完全缓解。
Fig. 2  The SHAP summary plot for the fusion model. The plot displays the deep radiomics score along with eight radiomics features, arranged vertically in descending order of their importance. The higher the position on the vertical axis, the more critical the feature is in distinguishing the pCR status of TNBC patients. For each feature, every point in the plot corresponds to an individual patient. The horizontal axis displays the SHAP value of the feature, where the absolute magnitude indicates the impact strength of that feature on the model's output. Specifically, samples with higher feature values contribute more substantially to the predictive outcome. In the color coding scheme, red denotes higher feature values, purple represents values near the cohort mean, and blue indicates lower feature values. Peri: peri-tumoral (within the tumor); intra: intra-tumoral (around the tumor); wavelet: wavelet transform; HLH: high-low-high sub-band; gldm: Gray-Level Dependence Matrix; LargeDependence: large dependence; LowGrayLevelEmphasis: low gray level emphasis; HHH: high-high-high sub-band; firstorder: first-order texture feature; Median: median; log: logarithm (often used in conjunction with Laplacian of Gaussian); Skewness: skewness; glcm: Gray-Level Co-occurrence Matrix; ldn: local dependence; glszm: Gray-Level Size Zone Matrix; SmallArea: small area emphasis; SmallDependence: small dependence; HLL: high-low-low sub-band; TNBC: triple-negative breast cancer; pCR: pathologic complete response.
图3  三个模型的预测效能。3A:训练集三个模型ROC曲线;3B:外部验证集三个模型ROC曲线;3C:外部测试集三个模型ROC曲线;ROC:受试者工作特征;AUC:曲线下面积;IntraPeri:瘤内联合瘤周3 mm影像组学模型;DL_3D:深度学习模型;DLR:融合模型。
Fig. 3  Prediction performance of three model. 3A: ROC curves of three models in the training cohort; 3B: ROC curves of three models in the external validation cohort; 3C: ROC curves of three models in the external test cohort; ROC: receiver operating characteristic; AUC: area under the curve; IntraPeri: Intratumoral combined with peritumoral 3 mm radiomics model; DL_3D: 3D deep learning model; DLR: Integrated deep learning and radiomics model.
图4  训练集(4A)、外部验证集(4B)及外部测试集(4C)校准曲线。横坐标为预测概率,纵坐标为实际发生概率。当实际曲线与理论曲线接近时,表示模型的校准效果好。IntraPeri:瘤内联合瘤周3 mm影像组学模型;DL_3D:深度学习模型;DLR:融合模型。
Fig. 4  Decision curves for the training cohort (4A), the external validation cohort (4B) and the external test cohort (4C). The abscissa is the predicted probability, and the ordinate is the actual occurrence probability. When the actual curve is close to the the oretical curve, it means that the calibration effect of the model is good. IntraPeri: Intratumoral combined with peritumoral 3 mm radiomics model; DL_3D: 3D deep learning model; DLR: Integrated deep learning and radiomics model.
图5  训练集(5A)、外部验证集(5B)及外部测试集(5C)不同模型的决策曲线。IntraPeri:瘤内联合瘤周3 mm影像组学模型;DL_3D:深度学习模型;DLR:融合模型。
Fig.5  Decision curves for the training cohort (5A), the external validation cohort (5B) and the external test cohort (5C). IntraPeri: Intratumoral combined with peritumoral 3 mm radiomics model; DL_3D: 3D deep learning model; DLR: Integrated deep learning and radiomics model.
表3  三种模型的预测效能
Tab. 3  Predictive performance of three models

3 讨论

       本研究基于多中心DCE-MRI数据,开发并验证了一种瘤内瘤周影像组学特征与深度学习的3D融合模型,以预测TNBC患者NAC的pCR。结果显示,DLR融合模型在外部验证集及外部测试集中均表现出良好的预测效能(AUC分别为0.898和0.886),优于单一影像组学或深度学习模型,实现了对TNBC患者NAC疗效的无创性精准预测。

3.1 瘤周微环境在预测TNBC患者对 NAC响应中的价值

       本研究表明,瘤周特征具有潜在的预测价值,可能包含关于pCR状态的额外信息,补充了瘤内特征提供的信息,这与先前的瘤周研究一致[19, 20, 21]。本研究对比了乳腺肿瘤不同瘤周区域影像组学特征,发现瘤周3 mm在预测乳腺癌NAC后pCR方面具有最佳预测效能,与李彪等[22]研究结果一致。多项空间免疫学研究表明,CD3+、CD8+ T细胞以及CD68+巨噬细胞在实体瘤边缘的密集分布主要集中在距肿瘤边界100~3000 μm的范围内。ZHANG等[23]利用多重免疫荧光证实,T细胞富集峰出现在1.5~2.7 mm处,3 mm以外细胞密度迅速衰减。这意味着3 mm环足以捕获“热”免疫核心,而5 mm或7 mm已包含大量“冷”背景,反而稀释了信号。

       肿瘤行为异质性可能反映了肿瘤和周围环境的变化:瘤周微环境存在一定数量的肿瘤细胞,包含重要的生物学信息,能产生多种促血管生成因子,可能导致图像发生细微变化,如血管生成、淋巴管生成活性、瘤周淋巴管和血管浸润、瘤周淋巴细胞浸润、瘤周水肿和瘤周细胞因子释放[11, 24, 25]。瘤周特征通过捕获浸润性肿瘤边缘和肿瘤微环境的信息来改善影像组学模型的性能,有助于预测治疗反应。在本研究中,最优瘤内联合瘤周3 mm模型所提取的最优特征主要为经小波变换及LoG滤波处理后的纹理特征与一阶统计量。瘤周的"gldm_SmallDependence" 可能对应淋巴细胞簇集,"glcm_Idn" 可能提示血管生成方向性,瘤周淋巴细胞浸润对pCR预测很关键,而瘤内坏死可能提示缺氧导致的治疗抵抗。特别要注意瘤周特征可能映射免疫浸润或间质反应,如"SmallAreaLowGrayLevelEmphasis" 类特征可能反映坏死区(低灰度小区域),"LargeDependence"可能对应纤维化,"Skewness"偏度可提示异质性分布。这些特征能够精准地反映影像中肿瘤区域的纹理异质性、细节信息以及灰度分布情况,进而为揭示肿瘤内部的生物学异质性及其与周围微环境的关系提供重要依据。此外,这些特征在一定程度上可用于评估乳腺癌的表达状态[26]

3.2 各诊断模型在预测TNBC患者对 NAC响应中的价值

       既往研究评估了从MRI图像中提取的定量影像组学特征在预测乳腺癌患者的预后和治疗反应中的作用[27, 28],一定程度预测了患者NAC的疗效,体现出了其临床应用潜力。在一项包括135名TNBC患者的研究中,LEE等[27]基于治疗前T1加权对比增强MRI图像构建了影像组学模型,其预测患者NAC疗效的AUC为0.749,在研究者将影像组学模型与临床和生物学特征结合后,AUC增加至0.802。SHI等[28]首次揭示乳腺癌术前DCE-MRI影像组学异质性预测NAC响应的潜力,基于影像组学的分类模型在1254例患者构成的3个外部测试集AUC为0.74~0.76,结合影像组学和临床病理特征的模型AUC达到0.83~0.87。随着深度学习方法的兴起,基于深度学习的影像组学方法在乳腺癌NAC疗效预测方面展现出比传统基于定量影像特征的方法更优越的性能,数项研究结果显示深度学习方法预测乳腺癌对NAC的病理反应效能多数可以达到0.80以上[29, 30, 31]。然而,值得注意的是,这些研究多数都是针对异质性乳腺癌亚型,纳入的患者中只有不到24%为TNBC,这可能与其他乳腺癌亚型具有显著不同的成像特征有关,并且TNBC的pCR预测可能更具挑战性[32, 33],本研究只纳入病理确诊的TNBC病例,建立了TNBC-专用模型。

       目前常用的DLR融合模型侧重于使用DL分类网络自动提取高维特征,常忽略了形状和纹理等表型特征,然而这些特征可能反映肿瘤内和肿瘤间异质性等生物学特性[34, 35]。相比ZHOU等[36]的多区域手工特征模型,本研究通过融合深度学习特征进一步捕捉了非线性生物学信息,提出了一种结合DL_score和传统影像组学特征的DLR融合模型,机器学习和深度学习结果相互补充,证明了该模型的性能优于单一的深度学习和传统影像组学模型,提高了DCE-MRI在NAC中区分pCR和non-pCR的能力,在独立测试集上展现出显著性能优势,弥补了传统方法预测pCR的局限性。这一结果验证了融合策略的潜力:将数据驱动的深度学习预测结果与人工设计的定量影像组学信息相结合,可突破单一建模方式的局限。模型可解释性分析(基于SHAP值)进一步表明,在最终融合预测中,DL_Score作为深度学习路径的独立输出,贡献权重突出,凸显了深度学习直接从原始影像中提取的高层次语义信息对提升判别能力的关键作用。同时,本研究所建立的各个模型不是使用单个切片或多个切片,而是使用包含整个肿瘤体积的ROI,3D_DL模型通过直接使用神经网络对3D图像进行训练和预测。相较于选择单一肿瘤的图像切片的主观性影响,3D体积包含了机器学习和深度学习网络提取的肿瘤内异质性和空间特征的更完整的信息[31]

3.3 局限性及展望

       首先,回顾性设计和多中心MRI设备差异,导致采集参数缺乏统一标准,部分特征在跨中心迁移时出现漂移,稳定性下降,模型效能因此受到抑制,后续需通过在线自适应算法校正扫描差异,引入前瞻性多中心试验加以验证。其次,人工手动ROI分割耗时且依赖经验,主观差异大,未来工作将引入弱监督深度学习分割框架,以秒级自动勾画取代手工 ROI,降低人为误差。第三,仅使用DCE-MRI单一序列,信息维度受限,后续计划纳入扩散加权成像等多模态影像,并补充纵向影像(如NAC第2周期后),借助更丰富的时空信息进一步提高预测精度。最后,本研究仅采用特征层拼接融合,未系统比较该策略与其他融合范式(如决策层融合、加权集成或基于注意力的动态融合)的性能差异。未来工作需设计消融实验,量化评估不同融合策略对模型鲁棒性与泛化能力的影响,以验证更优架构的可行性。

4 结论

       综上,本研究构建的基于DCE-MRI的DLR模型能有效无创和准确地预测TNBC患者pCR状态,在多个验证队列中均显示了良好的效能,为临床医生提供一种可靠的术前工具,以精准识别 NAC 潜在获益人群并优化治疗决策。

[1]
TONG L, YU X L, WANG S, et al. Research progress on molecular subtyping and modern treatment of triple-negative breast cancer[J/OL]. Breast Cancer (Dove Med Press), 2023, 15: 647-658 [2025-06-18]. https://pubmed.ncbi.nlm.nih.gov/37644916/. DOI: 10.2147/BCTT.S426121.
[2]
YIN L, DUAN J J, BIAN X W, et al. Triple-negative breast cancer molecular subtyping and treatment progress[J/OL]. Breast Cancer Res, 2020, 22(1): 61 [2025-06-18]. https://pubmed.ncbi.nlm.nih.gov/32517735/. DOI: 10.1186/s13058-020-01296-5.
[3]
段帅, 地力木拉提·艾斯木吐拉, 王海燕, 等. 三阴性乳腺癌新辅助化疗病理完全缓解的影响因素[J]. 中国临床研究, 2024, 37(3): 354-358. DOI: 10.13429/j.cnki.cjcr.2024.03.006.
DUAN S, DILIMULATI A, WANG H Y, et al. Influencing factors of pathological complete response in triple-negative breast cancer with neoadjuvant chemotherapy[J]. Chin J Clin Res, 2024, 37(3): 354-358. DOI: 10.13429/j.cnki.cjcr.2024.03.006.
[4]
BIANCHINI G, DE ANGELIS C, LICATA L, et al. Treatment landscape of triple-negative breast cancer: expanded options, evolving needs[J]. Nat Rev Clin Oncol, 2021, 19(2): 91-113. DOI: 10.1038/s41571-021-00565-2.
[5]
DENKERT C, VON MINCKWITZ G, DARB-ESFAHANI S, et al. Tumour-infiltrating lymphocytes and prognosis in different subtypes of breast cancer: a pooled analysis of 3771 patients treated with neoadjuvant therapy[J]. Lancet Oncol, 2018, 19(1): 40-50. DOI: 10.1016/S1470-2045(17)30904-X.
[6]
ZENG Q, LIU L, HE C W, et al. Early and noninvasive prediction of response to neoadjuvant therapy for breast cancer via longitudinal ultrasound and MR deep learning: a multicentre study[J]. Acad Radiol, 2025, 32(3): 1264-1273. DOI: 10.1016/j.acra.2024.10.033.
[7]
GRADISHAR W J, MORAN M S, ABRAHAM J, et al. NCCN guidelines® insights: breast cancer, version 4.2023[J]. J Natl Compr Canc Netw, 2023, 21(6): 594-608. DOI: 10.6004/jnccn.2023.0031.
[8]
周嘉音, 尤超, 王泽洲, 等. 基于MRI时空异质性模型预测三阴性乳腺癌病理完全缓解[J]. 磁共振成像, 2024, 15(1): 28-34. DOI: 10.12015/issn.1674-8034.2024.01.005.
ZHOU J Y, YOU C, WANG Z Z, et al. Value of radiomics model based on spatiotemporal heterogeneity of MRI to predict pathological complete response in triple-negative breast cancer[J]. Chin J Magn Reson Imag, 2024, 15(1): 28-34. DOI: 10.12015/issn.1674-8034.2024.01.005.
[9]
LEITHNER D, WENGERT G J, HELBICH T H, et al. Clinical role of breast MRI now and going forward[J]. Clin Radiol, 2018, 73(8): 700-714. DOI: 10.1016/j.crad.2017.10.021.
[10]
赵楠楠, 朱芸, 汤晓敏, 等. 基于瘤内及瘤周MRI影像组学列线图预测乳腺癌腋窝淋巴结转移[J]. 磁共振成像, 2023, 14(3): 81-87, 94. DOI: 10.12015/issn.1674-8034.2023.03.014.
ZHAO N N, ZHU Y, TANG X M, et al. Prediction of axillary lymph node metastasis in breast cancer based on intra-tumoral and peri-tumoral MRI radiomics nomogram[J]. Chin J Magn Reson Imag, 2023, 14(3): 81-87, 94. DOI: 10.12015/issn.1674-8034.2023.03.014.
[11]
XIE T W, GONG J, ZHAO Q F, et al. Development and validation of peritumoral vascular and intratumoral radiomics to predict pathologic complete responses to neoadjuvant chemotherapy in patients with triple-negative breast cancer[J/OL]. BMC Med Imaging, 2024, 24(1): 136 [2025-06-18]. DOI: 10.12015/issn.1674-8034.2023.03.014..DOI:10.1186/s12880-024-01311-7.
[12]
TAN R, SUI C X, WANG C, et al. MRI-based intratumoral and peritumoral radiomics for preoperative prediction of glioma grade: a multicenter study[J/OL]. Front Oncol, 2024, 14: 1401977 [2025-06-18]. https://pubmed.ncbi.nlm.nih.gov/38803534/. DOI: 10.3389/fonc.2024.1401977.
[13]
PANTHI B, MOHAMED R M, ADRADA B E, et al. Longitudinal dynamic contrast-enhanced MRI radiomic models for early prediction of response to neoadjuvant systemic therapy in triple-negative breast cancer[J/OL]. Front Oncol, 2023, 13: 1264259 [2025-06-18]. https://pubmed.ncbi.nlm.nih.gov/37941561/. DOI: 10.3389/fonc.2023.1264259.
[14]
MOHAMED R M, PANTHI B, ADRADA B E, et al. Multiparametric MRI-based radiomic models for early prediction of response to neoadjuvant systemic therapy in triple-negative breast cancer[J/OL]. Sci Rep, 2024, 14(1): 16073 [2025-06-18]. https://pubmed.ncbi.nlm.nih.gov/38992094/. DOI: 10.1038/s41598-024-66220-9.
[15]
HUANG Y H, ZHU T, ZHANG X L, et al. Longitudinal MRI-based fusion novel model predicts pathological complete response in breast cancer treated with neoadjuvant chemotherapy: a multicenter, retrospective study[J/OL]. EClinicalMedicine, 2023, 58: 101899 [2025-06-18]. https://pubmed.ncbi.nlm.nih.gov/37007742/. DOI: 10.1016/j.eclinm.2023.101899.
[16]
GIULIANO A E, EDGE S B, HORTOBAGYI G N. Eighth edition of the AJCC cancer staging manual: breast cancer[J]. Ann Surg Oncol, 2018, 25(7): 1783-1785. DOI: 10.1245/s10434-018-6486-6.
[17]
COATES A S, WINER E P, GOLDHIRSCH A, et al. Tailoring therapies: improving the management of early breast cancer: st Gallen international expert consensus on the primary therapy of early breast cancer 2015[J]. Ann Oncol, 2015, 26(8): 1533-1546. DOI: 10.1093/annonc/mdv221.
[18]
CHATTERJI M, MERCADO C L, MOY L. Optimizing 1.5-Tesla and 3-Tesla dynamic contrast-enhanced magnetic resonance imaging of the breasts[J]. Magn Reson Imaging Clin N Am, 2010, 18(2): 207-224, viii. DOI: 10.1016/j.mric.2010.02.011.
[19]
LUO S W, CHEN X B, YAO M X, et al. Intratumoral and peritumoral ultrasound-based radiomics for preoperative prediction of HER2-low breast cancer: a multicenter retrospective study[J/OL]. Insights Imaging, 2025, 16(1): 53 [2025-06-18]. https://pubmed.ncbi.nlm.nih.gov/40053171/. DOI: 10.1186/s13244-025-01934-6.
[20]
ZHANG S H, WANG X L, YANG Z, et al. Intra- and peritumoral radiomics model based on early DCE-MRI for preoperative prediction of molecular subtypes in invasive ductal breast carcinoma: a multitask machine learning study[J/OL]. Front Oncol, 2022, 12: 905551 [2025-06-18]. https://pubmed.ncbi.nlm.nih.gov/35814460/. DOI: 10.3389/fonc.2022.905551.
[21]
ZHOU J, YU X, WU Q X, et al. Radiomics analysis of intratumoral and different peritumoral regions from multiparametric MRI for evaluating HER2 status of breast cancer: a comparative study[J/OL]. Heliyon, 2024, 10(7): e28722 [2025-06-18]. https://pubmed.ncbi.nlm.nih.gov/38623231/. DOI: 10.1016/j.heliyon.2024.e28722.
[22]
李彪, 康竹清, 马彦云, 等. 基于治疗前DCE-MRI的生境影像组学预测新辅助化疗后浸润性乳腺癌的病理完全缓解[J]. 临床放射学杂志, 2025, 44(7): 1211-1218. DOI: 10.13437/j.cnki.jcr.2025.07.005.
LI B, KANG Z Q, MA Y Y, et al. Habitat radiomics based on pre-treatment DCE-MRI images for predicting pathological complete response(pCR) in invasive breast cancer after neoadjuvant chemotherapy[J]. J Clin Radiol, 2025, 44(7): 1211-1218. DOI: 10.13437/j.cnki.jcr.2025.07.005.
[23]
ZHANG R, JIANG C F, LI F, et al. Preoperative MRI-based radiomics analysis of intra- and peritumoral regions for predicting CD3 expression in early cervical cancer[J/OL]. Sci Rep, 2025, 15: 26754 [2025-06-18]. https://pubmed.ncbi.nlm.nih.gov/40702236/. DOI: 10.1038/s41598-025-12162-9.
[24]
涂颖珊, 翁爱婷, 任安利, 等. 大鼠脑胶质瘤瘤周浸润区多模态MRI表现及其病理学基础[J]. 磁共振成像, 2023, 14(1): 105-110. DOI: 10.12015/issn.1674-8034.2023.01.019.
TU Y S, WENG A T, REN A L, et al. Multimodal MRI manifestations and pathological basis of peritumoral infiltration of glioma in rat[J]. Chin J Magn Reson Imag, 2023, 14(1): 105-110. DOI: 10.12015/issn.1674-8034.2023.01.019.
[25]
BOISSIÈRE-MICHOT F, CHATEAU M C, THÉZENAS S, et al. Prognostic value of tertiary lymphoid structures in triple-negative breast cancer: integrated analysis with the tumor microenvironment and clinicopathological features[J/OL]. Front Immunol, 2024, 15: 1507371 [2025-06-18]. https://pubmed.ncbi.nlm.nih.gov/39723208/. DOI: 10.3389/fimmu.2024.1507371.
[26]
NIU S X, JIANG W Y, ZHAO N N, et al. Intra- and peritumoral radiomics on assessment of breast cancer molecular subtypes based on mammography and MRI[J]. J Cancer Res Clin Oncol, 2022, 148(1): 97-106. DOI: 10.1007/s00432-021-03822-0.
[27]
LEE H J, LEE J H, LEE J E, et al. Prediction of early clinical response to neoadjuvant chemotherapy in Triple-negative breast cancer: Incorporating Radiomics through breast MRI[J/OL]. Sci Rep, 2024, 14(1): 21691 [2025-06-18]. https://pubmed.ncbi.nlm.nih.gov/39289507/. DOI: 10.1038/s41598-024-72581-y.
[28]
SHI Z W, HUANG X M, CHENG Z L, et al. MRI-based quantification of intratumoral heterogeneity for predicting treatment response to neoadjuvant chemotherapy in breast cancer[J/OL]. Radiology, 2023, 308(1): e222830 [2025-06-18]. https://pubmed.ncbi.nlm.nih.gov/37432083/. DOI: 10.1148/radiol.222830.
[29]
QU Y H, ZHU H T, CAO K, et al. Prediction of pathological complete response to neoadjuvant chemotherapy in breast cancer using a deep learning (DL) method[J]. Thorac Cancer, 2020, 11(3): 651-658. DOI: 10.1111/1759-7714.13309.
[30]
PENG Y S, CHENG Z L, GONG C, et al. Pretreatment DCE-MRI-based deep learning outperforms radiomics analysis in predicting pathologic complete response to neoadjuvant chemotherapy in breast cancer[J/OL]. Front Oncol, 2022, 12: 846775 [2025-06-18]. https://pubmed.ncbi.nlm.nih.gov/35359387/. DOI: 10.3389/fonc.2022.846775.
[31]
ZHOU Z J, ADRADA B E, CANDELARIA R P, et al. Predicting pathological complete response to neoadjuvant systemic therapy for triple-negative breast cancers using deep learning on multiparametric MRIs[J/OL]. Annu Int Conf IEEE Eng Med Biol Soc, 2023, 2023: 1-4 [2025-06-18]. https://pubmed.ncbi.nlm.nih.gov/38083160/. DOI: 10.1109/EMBC40787.2023.10340987.
[32]
ADRADA B E, MOSELEY T W, KAPOOR M M, et al. Triple-negative breast cancer: histopathologic features, genomics, and treatment[J/OL]. Radiographics, 2023, 43(10): e230034 [2025-06-18]. https://pubmed.ncbi.nlm.nih.gov/37792593/. DOI: 10.1148/rg.230034.
[33]
BATOOL Z, KAMAL M A, SHEN B R. Advancements in triple-negative breast cancer sub-typing, diagnosis and treatment with assistance of artificial intelligence: a focused review[J/OL]. J Cancer Res Clin Oncol, 2024, 150(8): 383 [2025-06-18]. https://pubmed.ncbi.nlm.nih.gov/39103624/. DOI: 10.1007/s00432-024-05903-2.
[34]
GU J H, TONG T, HE C, et al. Deep learning radiomics of ultrasonography can predict response to neoadjuvant chemotherapy in breast cancer at an early stage of treatment: a prospective study[J]. Eur Radiol, 2022, 32(3): 2099-2109. DOI: 10.1007/s00330-021-08293-y.
[35]
WU L Y, LI S H, WU C J, et al. Ultrasound-based deep learning radiomics nomogram for differentiating mass mastitis from invasive breast cancer[J/OL]. BMC Med Imaging, 2024, 24(1): 189 [2025-06-18]. https://pubmed.ncbi.nlm.nih.gov/39060962/. DOI: 10.1186/s12880-024-01353-x.
[36]
ZHOU J Y, BAI Y S, ZHANG Y, et al. A preoperative radiogenomic model based on quantitative heterogeneity for predicting outcomes in triple-negative breast cancer patients who underwent neoadjuvant chemotherapy[J/OL]. Cancer Imaging, 2024, 24(1): 98 [2025-06-18]. https://pubmed.ncbi.nlm.nih.gov/39080809/. DOI: 10.1186/s40644-024-00746-z.

上一篇 乳腺DCE-MRI、TIC联合ADC模型对肿块型乳腺癌激素受体表达状态的预测价值
下一篇 基于扩散谱成像的生境成像技术在鉴别肾透明细胞癌与肾乏脂血管平滑肌脂肪瘤异质性中的效能研究
  
诚聘英才 | 广告合作 | 免责声明 | 版权声明
联系电话:010-67113815
京ICP备19028836号-2