分享:
分享到微信朋友圈
X
临床研究
ADC直方图术前预测早期宫颈癌淋巴脉管间隙浸润的价值研究
黎红霞 任臻 莫凡 吕发金

Cite this article as: LI H X, REN Z, MO F, et al. The value of ADC histogram in preoperative prediction of lymphvascular space invasion in early cervical cancer[J]. Chin J Magn Reson Imaging, 2025, 16(9): 132-139.本文引用格式:黎红霞, 任臻, 莫凡, 等. ADC直方图术前预测早期宫颈癌淋巴脉管间隙浸润的价值研究[J]. 磁共振成像, 2025, 16(9): 132-139. DOI:10.12015/issn.1674-8034.2025.09.020.


[摘要] 目的 探讨基于全肿瘤瘤内及瘤周表观扩散系数(apparent diffusion coefficient, ADC)直方图在术前预测早期宫颈癌患者淋巴脉管间隙浸润(lymph vascular space invasion, LVSI)状态中的应用价值。材料与方法 回顾性分析150例经术后病理证实的ⅠB~ⅡA1期宫颈癌患者相关资料,并根据术后病理结果分为LVSI阳性组(n=45)和LVSI阴性组(n=105)。所有患者术前均接受盆腔MRI检查,在ADC轴位图上沿肿瘤最大边界手动逐层勾画瘤内感兴趣区(region of interest, ROI),瘤周区域分别等距离向外扩展。分别对瘤内、瘤内+2 mm瘤周区以及瘤内+4 mm瘤周区进行全容积ADC直方图分析。比较两组间临床病理特征和ADC直方图参数的差异,并建立联合参数模型。采用受试者工作特征(receiver operating characteristic, ROC)曲线评估各参数及联合参数模型术前预测早期宫颈癌患者LVSI状态的诊断效能,计算曲线下面积(area under the curve, AUC)、最佳截断值、敏感度和特异度,并对各参数及联合模型的AUC值进行DeLong检验统计学比较。结果 在瘤内ADC直方图分析中,LVSI阳性组的ADCmax、ADCmean、ADC50、ADC75、ADC90、ADC95、ADCstdev、ADCvariance和ADCkurtosis显著低于LVSI阴性组(P<0.05)。瘤内ADC直方图参数在预测早期宫颈癌的LVSI状态时,以ADCmax、ADC90和ADC95的诊断效能最佳,其AUC分别为0.747、0.756和0.776(P<0.05)。瘤内、瘤内+2 mm瘤周区和瘤内+4 mm瘤周区联合参数模型的AUC分别为0.830、0.710和0.673。经DeLong检验比较,瘤内联合模型的AUC显著高于瘤内+2 mm瘤周区(P<0.05)及瘤内+4 mm瘤周区联合模型(P<0.05);瘤内+2 mm瘤周区与瘤内+4 mm瘤周区联合模型间的AUC差异无统计学意义(P>0.05)。结论 基于全肿瘤瘤内的ADC直方图对早期宫颈癌患者的LVSI状态具有潜在的术前预测价值,其中ADCmax、ADC90和ADC95是最具有前景的预测参数;瘤周区域对ADC直方图无增量诊断价值。
[Abstract] Objective To explore the application value of the intratumoral and peritumoral apparent diffusion coefficient (ADC) histogram of the whole tumor in preoperative prediction of lymphovascular space invasion (LVSI) in patients with early cervical cancer.Materials and Methods A retrospective analysis was conducted on 150 patients with stage ⅠB-ⅡA1 cervical cancer confirmed by postoperative pathology, and were divided into LVSI-positive (n = 45) and LVSI-negative (n = 105) groups according to postoperative pathological results. All patients underwent pelvic MRI before surgery, and the region of interest (ROI) were manually delineated layer by layer along the largest edge of the tumor on the ADC axial image, with the peritumoral region being uniformly expanded outward. Whole-volume ADC histogram analysis was performed for intratumoral region, intratumoral-2 mm peritumoral region and intratumoral-4 mm peritumoral region, respectively. Difference in clinicopathologic characteristics and ADC histogram parameters between the two groups were analyzed, and establish a joint parameter model. Receiver operating characteristic (ROC) curve was used to evaluate the diagnostic efficiency of each parameter and the combined parameter model in preoperative prediction of LVSI status in patients with early cervical cancer, the area under the curve (AUC), optimum cutoff value, sensitivity and specificity were calculated, and the AUC values of each parameter and the joint model were statistically compared using the DeLong test.Results In the intratumoral ADC histogram analysis, ADCmax, ADCmean, ADC50, ADC75, ADC90, ADC95, ADCstdev, ADCvariance and ADCkurtosis in the LVSI-positive group were significantly lower than in the LVSI-negative group (P < 0.05). Intratumoral ADC histogram parameters in predicting LVSI status of early cervical cancer, ADCmax, ADC90 and ADC95 had the best diagnostic efficacy, with AUC of 0.747, 0.756 and 0.776, respectively (P < 0.05). The AUCs of the combined parameter models for intratumoral, intratumoral+2 mm peritumoral, and intratumoral+4 mm peritumoral regions were 0.830, 0.710, and 0.673, respectively. DeLong test revealed that the AUC of the intratumoral combined model was significantly higher than that of the intratumoral+2 mm peritumoral (P < 0.05) and intratumoral+4 mm peritumoral combined models (P < 0.05); no significant difference was found between the AUCs of the intratumoral+2 mm peritumoral and intratumoral+4 mm peritumoral combined models (P > 0.05).Conclusions ADC histogram based on whole tumor volume has potential value in preoperative predicting LVSI status in patients with early cervical cancer, among which ADCmax, ADC90 and ADC95 are the most promising predictive parameters, and peritumoral region cannot increase the diagnostic efficiency of ADC histogram.
[关键词] 宫颈癌;淋巴脉管间隙浸润;磁共振成像;扩散加权成像;表观扩散系数;直方图分析
[Keywords] cervical cancer;lymphatic vascular space infiltration;magnetic resonance imaging;diffusion weighted imaging;apparent diffusion coefficient;histogram analysis

黎红霞 1   任臻 1   莫凡 1   吕发金 1, 2*  

1 重庆医科大学生物医学工程学院(超声医学工程国家重点实验室),重庆 400016

2 重庆医科大学附属第一医院放射科,重庆 400016

通信作者:吕发金,E-mail: fajinlv@163.com

作者贡献声明::吕发金设计本研究方案,对稿件重要内容进行了修改,获得超声医学工程国家重点实验室开放课题资助;黎红霞起草和撰写稿件,在收集、整理、统计及分析数据等方面完成大量工作;任臻、莫凡收集、整理及分析数据,对稿件重要内容进行了修改;全体作者都同意发表最后的修改稿,同意对本研究的所有方面负责,确保本研究的准确性和诚信。


基金项目: 超声医学工程国家重点实验室开放课题项目 2022KFKT005
收稿日期:2025-04-03
接受日期:2025-08-25
中图分类号:R445.2  R737.33 
文献标识码:A
DOI: 10.12015/issn.1674-8034.2025.09.020
本文引用格式:黎红霞, 任臻, 莫凡, 等. ADC直方图术前预测早期宫颈癌淋巴脉管间隙浸润的价值研究[J]. 磁共振成像, 2025, 16(9): 132-139. DOI:10.12015/issn.1674-8034.2025.09.020.

0 引言

       宫颈癌是女性生殖系统恶性肿瘤中最常见的类型之一,其在全球女性恶性肿瘤的发病率和死亡率排名中均占据第四位,严重威胁女性身心健康[1, 2]。淋巴脉管间隙浸润(lymph vascular space invasion, LVSI)是宫颈癌预后的独立危险因素,与肿瘤复发和淋巴结转移密切相关[3, 4]。研究表明,LVSI阳性可导致早期宫颈癌复发的风险增加2.64倍[5]。此外,美国国立综合癌症网络(national comprehensive cancer network, NCCN)指南也明确指出,对于早期宫颈癌患者,LVSI状况是决定是否保留生育能力以及是否进行盆腔淋巴结切除的关键因素[6]。因此,术前明确LVSI状态对宫颈癌患者的临床治疗决策制定及预后评估至关重要。术后病理活检是LVSI的诊断金标准,然而病理评估具有滞后性,无法在术前提供依据,且病理活检属于有创性检查,可能引发不必要的不良反应。因此,探索一种无创、准确的术前预测方法具有重要的临床意义。

       MRI是宫颈癌最理想的影像学检查方法[7],其中扩散加权成像(diffusion weighted imaging, DWI)作为最普遍应用的功能性MRI,能够探测水分子的扩散动态,进而间接反映肿瘤细胞密度及微观结构特征[8]。表观扩散系数(apparent diffusion coefficient, ADC)作为DWI的关键量化指标,已广泛应用于宫颈癌的病理分级和放化疗疗效等[9, 10],大多数以往的研究都通过在肿瘤的单层上绘制感兴趣区(region of interest, ROI)来分析平均ADC值,然而这一方法可能会遗漏肿瘤某些关键信息且结果易受ROI取样影响。与传统的平均ADC值相比,ADC直方图通过对肿瘤内部所有体素进行综合考量,更加全面地反映了肿瘤的整体异质性[11]。现有研究已证实,ADC直方图在区分宫颈癌的病理分型与疾病阶段[12, 13]、预估淋巴结转移情况[14]以及评估放化疗疗效[15]中展现出显著临床价值。此外,瘤周区域同样蕴含着大量与肿瘤异质性紧密相关的信息[16, 17],其与瘤内核心区联合分析,可为宫颈癌的精准分期、远处转移预测以及疗效评价提供影像组学依据[18, 19, 20]。然而,目前应用ADC直方图分析术前预测宫颈癌的LVSI状态的研究仍存在一些不足:(1)仅探讨单个参数的预测价值;(2)未验证瘤周区域在预测LVSI状态中的价值。故本研究基于全肿瘤瘤内及瘤周的ADC直方图特征,通过系统分析不同区域的ADC值差异并建立联合参数模型,评估ADC直方图在术前预测早期宫颈癌患者LVSI状态中的诊断价值,以期为临床提供一种安全可靠的术前预测方法。

1 材料与方法

1.1 研究对象

       本研究遵守《赫尔辛基宣言》,经重庆医科大学附属第一医院伦理委员会批准,免除受试者知情同意,批准文号:2025-061-01。

       回顾性分析2018年1月至2021年12月重庆医科大学附属第一医院经术后病理证实的150例宫颈癌患者的临床资料及MRI影像资料。纳入标准:(1)根据2018年国际妇产科联盟(Federation of Gynecology and Obstetrics, FIGO)分期系统分期为ⅠB~ⅡA1;(2)在我院进行了根治性子宫切除术和盆腔淋巴结清扫术,术后病理证实了LVSI状态;(3)术前2周内进行盆腔MRI检查;(4)在MRI检查前没有进行任何与肿瘤相关的治疗;(5)有完整的临床资料和影像学资料。排除标准:(1)合并其他恶性肿瘤或免疫系统疾病;(2)肿瘤体积太小(最大直径<5 mm),病灶无法测量或不易于勾画(n=8);(3)MRI图像质量差或序列不全(n=12);(4)肿瘤浸润宫颈全层(n=18)。

       研究初步纳入患者188例,根据排除标准排除MRI图像质量差、肿瘤体积太小及肿瘤浸润全层患者共38例,最终150例患者纳入研究,其中45例LVSI阳性患者和105例LVSI阴性患者。

1.2 检查方法

       所有患者于术前两周内均接受3.0 T MRI扫描仪(Singal HD Excite, GE Healthcare, USA)进行盆腔检查,均配备八通道体部相控阵线圈,以仰卧位为扫描体位。主要扫描序列及参数如下:矢状位T2WI序列,TR 4380 ms,TE 106 ms,FOV 26 cm×26 cm,矩阵288×256,层厚5 mm,层间距1.5 mm,激励次数1;轴位T2WI序列,TR 4400 ms,TE 106.6 ms,FOV 28.0 cm×22.4 cm,矩阵288×224,层厚5 mm,层间距1.5 mm,激励次数1;DWI序列,TR 4375 ms,TE 65.6 ms,FOV 36 cm×27 cm,矩阵128×128,层厚5 mm,层间距1.5 mm,激励次数5,b值0、600 mm2/s。

1.3 图像分析

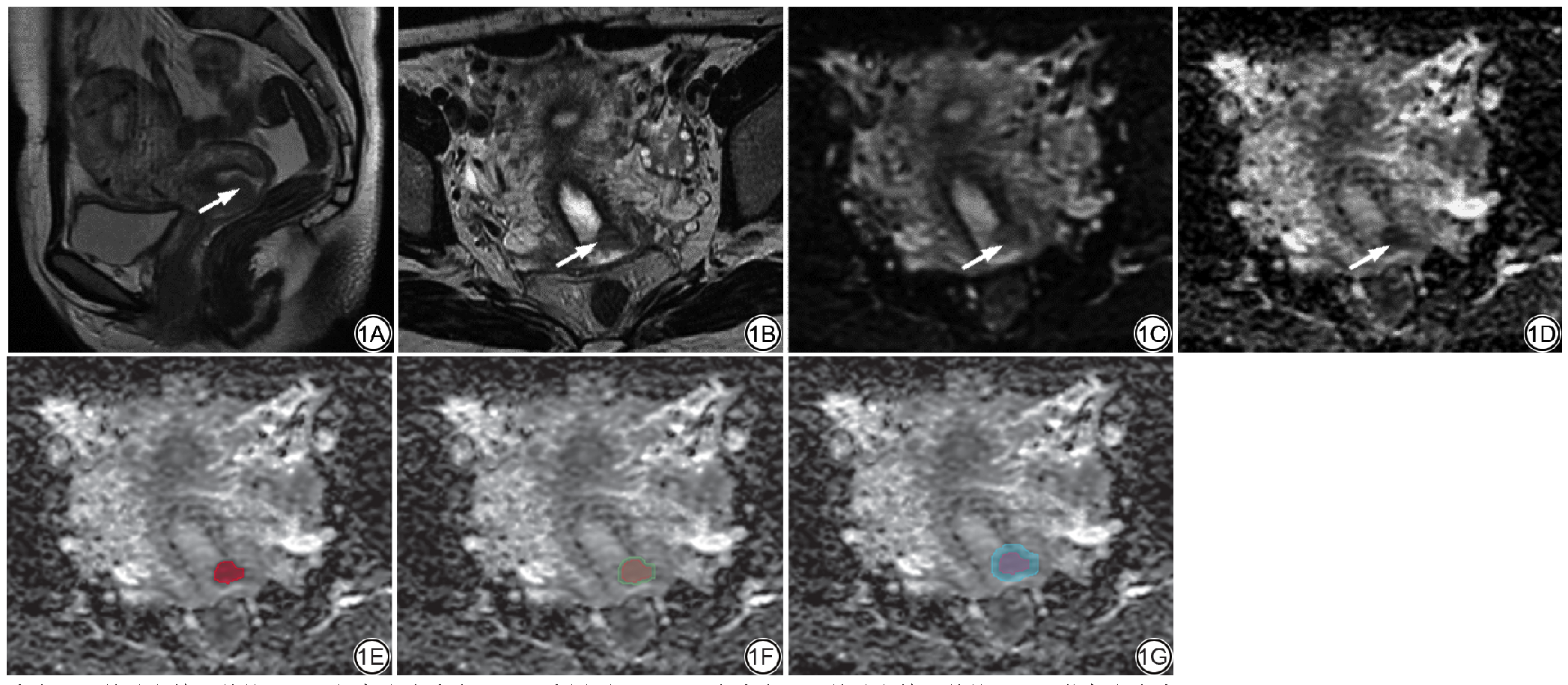
       先将DWI原始图像在GE后处理工作站(AW-server workstation, 4.7, GE Healthcare)自动生成ADC图像,再以DICOM格式从工作站导出所有MRI图像。由两位放射科主治医师(分别具有12年和3年腹部MRI诊断经验)独立完成图像分析。为消除偏倚,分析过程中采用盲法设计,医师无法获取患者的临床及病理信息。若两位医师意见不一致,将通过深入讨论或咨询第三位具有30年经验的放射科主任医师意见以达成共识。参照T2WI和DWI图像,使用3D Slicer软件(Slicer5.7.0;https://www.slicer.org/)在ADC轴位图上沿肿瘤最大边界手动逐层勾画瘤内ROI(T2WI均匀中等或稍高信号+DWI高信号+ADC低信号),并注意避开异常信号区域(可能的囊变、出血和坏死区域);瘤周区域的ROI在已确认勾画清楚的瘤内ROI基础上将其边界分别等距外扩2 mm和4 mm得到,注意去除超出宫颈区域的部分。将患者的ADC图像及ROI上传至Fire Voxel软件(版本459;https://firevoxel.org/)自动生成ADC直方图并记录特征参数,包括最小值(ADCmin)、最大值(ADCmax)、均值(ADCmean),1%、5%、10%、25%、50%、75%、90%、95%、99%百分位数(ADC1、ADC5、ADC10、ADC25、ADC50、ADC75、ADC90、ADC95、ADC99),标准差(ADCstdev)、变异系数(ADCcoefofvar)、偏度(ADCskewness)、峰度(ADCkurtosis)和熵(ADCentropy),详见图1

图1  女,28 岁,宫颈癌LVSI 阳性患者,ROI 勾画示意图。1A:T2WI 矢状位图像,病灶呈中等信号,局限于宫颈内;1B:T2WI 轴位图像,病灶为不规则团块状,呈中等信号;1C:DWI 轴位图像,b 值600 mm2/s,病灶为不规则团块状,呈稍高信号;1D:ADC 轴位图像,病灶为不规则团块状,呈低信号;1E:沿肿瘤最大边缘勾画ROI,红色影为瘤内ROI;1F:在瘤内ROI基础上等距外扩2 mm,绿色影为瘤内+2 mm瘤周区ROI;1G:在瘤内ROI基础上等距外扩4 mm,蓝色影为瘤内+4 mm瘤周区ROI。LVSI:淋巴脉管间隙浸润;ROI:感兴趣区;DWI:扩散加权成像;ADC:表观扩散系数。
Fig. 1  ROI sketch of a 28-year-old female with LVSI positive cervical cancer. 1A: Sagittal T2-weighted image, the lesion have a moderate signal and is confined to the cervix; 1B: Axial T2-weighted image, the lesions are irregular clumps with moderate signal; 1C: Sagittal DWI image with b value 600 mm2/s, the lesions are irregular clumps with a slightly high signal; 1D: Sagittal ADC image, the lesions are irregular clumps with low signal; 1E: Outline the ROI along the largest tumor margin, and the red shadow is the ROI of intratumoral area; 1F: Expand outward by 2 mm equidistant on the basis of intratumoral ROI, and the green shadow is the ROI of intratumoral +2 mm periatumoral area; 1G: Expand outward by 4 mm equidistant on the basis of intratumoral ROI, and the blue shadow is the ROI of intratumoral +4 mm periatumoral area. ROI: region of interest; LVSI: lymphovascular space invasion; DWI: diffusion-weighted imaging; ADC: apparent diffusion coefficient.

1.4 统计学分析

       本研究采用GPower软件(GPower 3.1.9.7;http://www.gpower.hhu.de/)进行样本量估算。统计学分析采用GPower软件(GPower 3.1.9.7;http://www.gpower.hhu.de/)和SPSS26.0(IBM, Armonk, NY, USA)软件完成。符合正态分布的计量资料表示为均数±标准差,并采用独立样本t检验进行组间比较;非正态分布的计量资料表示为中位数(上、下四分位数),并采用Mann-Whitney U检验进行组间比较。计数资料以例(%)表示,并采用卡方检验或Fisher精确检验进行组间比较。将具有统计学差异的参数纳入二元logistic回归,建立联合参数模型。绘制受试者工作特征(receiver operating characteristic, ROC)曲线分析评估各参数及联合参数模型预测宫颈癌LVSI状态的效能,以DeLong检验比较曲线下面积(area under the curve, AUC),并根据约登指数筛选出相应参数的最佳截断值,比较截断值水平的敏感度和特异度。使用组内相关系数(intra-class correlation coefficient, ICC)评估两位观察者间ADC直方图参数测量结果的一致性:ICC取值在0~1之间,系数小于0.4表示一致性较差,大于0.75表示一致性良好。如果一致性良好,则将第一位放射科主治医师的测量值作为最终分析值;否则,将两位医师测量的平均值作为最终分析值。P<0.05为差异具有统计学意义。

2 结果

2.1 临床病理特征比较

       本研究根据预设检验效能计算所需最小样本量为128例,最终纳入150例患者,满足样本量要求。纳入的150例宫颈癌患者中包括45例LVSI阳性患者和105例LVSI阴性患者,对每位患者都收集了7项临床病理特征数据。两组患者的年龄、月经状况、人乳头瘤病毒感染状况、病理类型、FIGO分期、组织分化程度和宫颈间质浸润深度差异无统计学意义(P>0.05),详见表1

表1  临床病理特征比较
Tab. 1  Comparison of clinicopathologic characteristics

2.2 ADC直方图参数的观察者一致性

       所有ADC直方图参数的观察者一致性均为良好(ICC>0.75,P<0.001),故将第一位放射科医师的测量值作为最终分析值。

2.3 ADC直方图参数比较

       瘤内ADC直方图分析中,LVSI阳性组的ADCmax、ADCmean、ADC50、ADC75、ADC90、ADC95、ADC99、ADCstdev和ADCkurtosis低于LVSI阴性组(P<0.05),其余参数差异无统计学意义(P>0.05);瘤内+2 mm瘤周区ADC直方图分析中,LVSI阳性组的ADCmax、ADC75、ADC90、ADC95、ADC99和ADCstdev低于LVSI阴性组(P<0.05),其余参数差异无统计学意义(P>0.05);瘤内+4 mm瘤周区ADC直方图分析中,LVSI阳性组的ADCmax、ADC95和ADC99低于LVSI阴性组(P<0.05),其余参数差异无统计学意义(P>0.05),详见图2图3表2

图2  女,28岁,病理证实LVSI阳性。2A:ADC轴位图像,病灶为不规则团块状,呈低信号;2B~2D:分别为瘤内、瘤内+2 mm瘤周区和瘤内+4 mm瘤周区ROI生成的ADC直方图。
图3  女,51岁,病理证实LVSI阴性。3A:ADC轴位图像,病灶呈低信号的不规则团块状,其中肿块内有异常高信号影;3B~3D:分别为瘤内、瘤内+2 mm瘤周区和瘤内+4 mm瘤周区ROI生成的ADC直方图。LVSI:淋巴脉管间隙浸润;ADC:表观扩散系数;ROI:感兴趣区。
Fig. 2  Female, 28 years old, pathologically confirmed positive LVSI. 2A: ADC axial image, the lesion is an irregular mass with low signal; 2B-2D: ADC histograms generated by ROI of intratumoral area, intratumoral + 2 mm peritumoral area and intratumoral + 4 mm peritumoral area, respectively.
Fig. 3  Female, 51 years old, pathologically confirmed negative LVSI. 3A: ADC axial image, the lesion is an irregular mass with low signal, and there is an abnormal high-signal shadow within the mass; 3B-3D: ADC histograms generated by ROI of intratumoral area, intratumoral + 2 mm peritumoral area and intratumoral + 4 mm peritumoral area, respectively. LVSI: lymphovascular space invasion; ADC: apparent diffusion coefficient; ROI: region of interest.
表2  ADC直方图参数比较
Tab. 2  Comparison of ADC histogram parameters

2.4 ADC直方图参数诊断效能分析

       ADC直方图的参数和联合参数模型发现,三种模型中,以瘤内ADC直方图的诊断效能最佳,瘤内、瘤内+2 mm瘤周区和瘤内+4 mm瘤周区联合参数模型的AUC分别为0.830、0.710和0.673,经过DeLong检验,瘤内与瘤内+2 mm瘤周区、瘤内+4 mm瘤周区间的AUC值差异均具有统计学意义(P<0.05),而瘤内+2 mm瘤周区与瘤内+4 mm瘤周区间的AUC值差异不具有统计学意义(P>0.05)。在瘤内ADC直方图分析中,ADCmax、ADC90、ADC95和ADC99的AUC均大于0.70,分别为0.747、0.756、0.776和0.728(P<0.05),其最佳截断值和对应的敏感度、特异度分别为1 677.00 mm2/s、64.80%、93.30%,1 310.50 mm2/s、75.20%、66.70%,1 373.50 mm2/s、78.10%、68.90%和1 462.50 mm2/s、94.30%、57.80%,其余差异参数的AUC均小于0.70;在瘤内+2 mm瘤周区ADC直方图分析中,ADC99的AUC为0.701(P<0.05),其最佳截断值和对应的敏感度、特异度为2 094.50 mm2/s、63.80%、75.60%,其余差异参数的AUC均小于0.70;在瘤内+4 mm瘤周区ADC直方图分析中,差异参数的AUC均小于0.70。详见图4表3

图4  ADC直方图参数ROC曲线。4A~4C:分别为瘤内、瘤内+2 mm瘤周区、瘤内+4 mm瘤周区ADC直方图参数ROC曲线。ADC:表观扩散系数;ROC:受试者工作特征。
Fig. 4  ROC curve of ADC histogram parameters. 4A-4C: ROC curve of intratumoral, intratumoral +2 mm periatumoral, intratumoral +4 mm periatumoral ADC histogram parameters, respectively. ROC: receiver operating characteristic. ADC: apparent diffusion coefficient.
表3  ADC直方图参数的诊断效能
Tab. 3  Diagnostic efficiency of ADC histogram parameters

3 讨论

       在这项研究中,我们系统评估了不同解剖区域(单纯瘤内、瘤内+2 mm瘤周区和瘤内+4 mm瘤周区)的ADC直方图参数差异,并建立联合参数模型,探讨ADC直方图分析在预测早期宫颈癌LVSI状态中的应用价值。研究结果显示:(1)单纯瘤内ADC直方图的差异参数与早期宫颈癌LVSI阳性状态显著相关,其中ADCmax、ADC90、ADC95和ADC99达到了中等预测值;(2)联合参数模型的AUC值显著高于单参数的AUC值;(3)单纯瘤内ADC直方图对早期宫颈癌LVSI状态的预测效能显著更优,结合2 mm及4 mm瘤周区域后,ADC直方图的AUC值呈递减趋势。上述研究结果表明,基于整个肿瘤瘤内的ADC直方图分析对早期宫颈癌患者LVSI状态具有一定的预测价值,能为临床指导早期宫颈癌的个体化治疗决策提供客观可靠的依据。

3.1 瘤内ADC直方图在宫颈癌LVSI中的预测价值

       DWI作为宫颈癌重要的功能MRI技术手段,其关键定量指标ADC值能通过量化肿瘤内部水分子的扩散情况来反映肿瘤微环境的动态变化,目前ADC值已广泛应用于宫颈癌的诊断和放化疗疗效预测[21, 22]。然而,以往的研究多以传统的肿瘤单一层面ROI平均ADC值分析为主,结果易受ROI取样影响。故本研究采用全肿瘤ADC直方图分析方法,该方法通过逐像素提取肿瘤所有层面的ADC值,构建包括偏度、峰度及熵值在内的多维异质性指标。与传统方法相比,该方法能够获取肿瘤的整体信息,从而更全面地反映肿瘤的异质性特征。

3.1.1 ADC直方图参数的预测价值

       在我们的研究中,LVSI阳性组的ADC90、ADC95、ADC99和ADCmax低于LVSI阴性组,其AUC值分别为0.756、0.776、0.728和0.747,均达到中等预测效能(AUC>0.70)。这一结果与CHENG等[23]关于ADC直方图对宫颈癌脉管侵袭预测价值的结论基本一致。此外,高百分位ADC值的诊断优势在宫颈癌其他方面也得到了验证。在杜汉旺等[24]的研究中,宫颈癌低分化组的ADC90和ADC95低于高/中分化组,ADC90和ADC95能有效区分宫颈癌的分化程度。GUAN等[25]研究表明,ADC90是区分宫颈肿瘤和正常宫颈组织的最佳预测参数,其AUC达到了0.996。LEE等[26]研究发现ADC97.5是宫颈癌盆腔淋巴结转移的唯一独立预测因子。这些结论都提示高百分位ADC值与肿瘤的异质性密切相关。在我们的研究中,高百分位ADC值的预测效能显著高于其他百分位ADC值,可能是因为在ⅠB~ⅡA1期宫颈癌中,脉管侵犯多起源于肿瘤-间质交界区,该区域细胞密度介于核心区与正常组织之间,与高百分位ADC值对应的扩散特征高度匹配。

       与高百分位ADC值不同,我们的研究结果发现低百分位ADC值和ADCmin在两组间差异无统计学意义,与DOWNEY等[27]及LIN等[28]的研究结论一致。这可能是因为:(1)低百分位ADC值和ADCmin主要反映肿瘤的密集固体成分,而LVSI作为脉管侵袭行为,其发生可能更依赖侵袭前沿的生物学改变,而非细胞密度的进一步升高;(2)ADCmin的稳健性较差,容易受到噪声、伪影和相邻结构产生的极端值的影响。

       此外,我们的研究结果显示两组间的ADCmean、ADC50、ADC75和ADCstdev差异存在统计学意义,然而在CHENG等[23]的研究中并未发现这一差异。我们认为可能的原因如下:(1)肿瘤ROI的绘制方法不同,本研究采用改良ROI勾画标准,避开了囊变、出血及坏死区域,而CHENG等[23]采用全瘤包含法,可能引入坏死区低ADC值的混杂效应,导致部分ADC值的组间差异被稀释;(2)两项研究的研究对象分期和DWI序列参数不同。

       除了各ADC值外,直方图的形态特征参数ADCcoefofvar、ADCskewness、ADCkurtosis和ADCentropy能在一定程度上反映组织结构的特征,被广泛用于评估肿瘤异质性。但在本研究中除了ADCkurtosis外其余参数在两组间并未发现统计学显著性差异。这可能与以下原因有关:(1)ROI未包含囊变、出血及坏死区域,极端低ADC值的缺失导致部分上述参数计算受限;(2)纳入研究对象的分期均为ⅠB~ⅡA1期,其肿瘤异质性程度不足以导致上述参数产生统计学显著性差异。

3.1.2 联合参数模型的诊断优势及其意义

       除了对ADC直方图单参数的预测价值展开探讨之外,本研究还建立了联合参数模型,该模型预测LVSI的AUC值明显高于任何单一ADC直方图参数的AUC值。这一研究发现具有重要的理论层面及临床方面的意义:(1)单一参数虽能够反映肿瘤的水分子扩散受限特征,但仅能体现肿瘤异质性的某一个维度。而联合参数模型则是能够将反映肿瘤不同扩散特性以及异质性特征的多个指标加以整合,能够更全面地对肿瘤的整体生物学特性及其微环境进行刻画,从而达成了相较于单一参数更为优越的预测效能。(2)联合模型AUC值出现显著的提升,这表明其在对LVSI阳性和阴性患者进行区分之时,具备着更高的整体准确度。这为后续开发基于多参数影像组学特征的临床预测模型提供了有力的证据支撑。在未来的相关研究中,可以进一步对该模型加以优化完善,研究出精确度更高的术前无创预测工具,从而为早期宫颈癌患者的个体化治疗决策提供更为客观有力的影像学依据。

3.2 瘤周区域在宫颈癌LVSI中的预测价值

       尽管多项研究证实瘤周影像组学在宫颈癌宫旁浸润及淋巴结转移预测中具有增量价值[29, 30, 31],但本研究发现,纳入2 mm及4 mm瘤周区域后,ADC直方图差异参数联合诊断的AUC值呈递减趋势。我们认为可能的原因如下:(1)ADC值自身的工作原理,ADC值实际上是组织中水分子扩散受限程度的一种量化指标。在肿瘤的内部,因为较高的细胞密度限制了水分子的扩散,所以通常表现为出低ADC值。早期宫颈癌(ⅠB~ⅡA1期)LVSI的病理改变主要局限于瘤内或紧邻肿瘤边缘的微小淋巴管,这时瘤周区域尚未出现明显的淋巴管扩张及炎性微环境重塑。因此,瘤周区域无法形成显著区别于正常组织的高密度细胞结构,水分子扩散相对自由。这就导致ADC值难以形成区别于正常组织的异致性信号。(2)当宫颈癌发展到伴有宫旁浸润或淋巴结转移的晚期阶段,肿瘤常会引发更加广泛及显著的瘤周组织反应,比如炎性细胞浸润、淋巴管扩张以及肿瘤细胞巢浸润等。这些改变能够更加显著地对组织的微观结构进行重塑,从而更易形成影像组学可识别的特征性信号。这一研究发现提示我们,在运用ADC直方图预测宫颈癌的LVSI状态时,需充分地考虑到ADC值本身所固有的物理限制以及肿瘤分期所带来的影响,尤其是在早期宫颈癌中,分析应当更侧重于瘤内组织特征的挖掘。

3.3 本研究的局限性

       (1)本研究为单中心回顾性研究,选择可能存在一定偏倚,未来仍需进行多中心前瞻性研究验证泛化性;(2)肿瘤ROI勾画依赖医师经验,未来可通过深度学习自动分割技术减少人为误差。

4 结论

       基于整个肿瘤体积的ADC直方图分析对早期宫颈癌患者的LVSI状态具有潜在的术前预测价值,其中ADCmax、ADC90和ADC95是最具有前景的预测参数;瘤周区域对ADC直方图无增量诊断价值。

[1]
中国抗癌协会妇科肿瘤专业委员会. 子宫颈癌诊断与治疗指南(2021年版)[J]. 中国癌症杂志, 2021, 31(6): 474-489. DOI: 10.19401/j.cnki.1007-3639.2021.06.06.
Professional Committee of Gynecological Oncology of Chinese Anti-Cancer Association. Guidelines for diagnosis and treatment of cervical cancer (2021 edition)[J]. China Oncol, 2021, 31(6): 474-489. DOI: 10.19401/j.cnki.1007-3639.2021.06.06.
[2]
COHEN P A, JHINGRAN A, OAKNIN A, et al. Cervical cancer[J]. Lancet, 2019, 393(10167): 169-182. DOI: 10.1016/S0140-6736(18)32470-X.
[3]
张婧, 温宏武. 早期宫颈腺癌淋巴脉管间隙浸润相关临床病理因素及生存分析[J]. 现代妇产科进展, 2020, 29(11): 819-824, 829. DOI: 10.13283/j.cnki.xdfckjz.2020.11.033.
ZHANG J, WEN H W. Relationship among lymphovascular space invasion with clinicopathological factors and survival analysis in early cervical adenocarcinoma[J]. Prog Obstet Gynecol, 2020, 29(11): 819-824, 829. DOI: 10.13283/j.cnki.xdfckjz.2020.11.033.
[4]
ZHANG C Y, JIANG H Y, YUAN L, et al. CircVPRBP inhibits nodal metastasis of cervical cancer by impeding RACK1 O-GlcNAcylation and stability[J]. Oncogene, 2023, 42(11): 793-807. DOI: 10.1038/s41388-023-02595-9.
[5]
MARCHIOLÉ P, BUÉNERD A, BENCHAIB M, et al. Clinical significance of lympho vascular space involvement and lymph node micrometastases in early-stage cervical cancer: a retrospective case-control surgico-pathological study[J]. Gynecol Oncol, 2005, 97(3): 727-732. DOI: 10.1016/j.ygyno.2005.01.004.
[6]
周晖, 刘昀昀, 余孝丽, 等. 《2025 NCCN子宫颈癌临床实践指南(第1版)》解读[J]. 中国实用妇科与产科杂志, 2025, 41(1): 96-102. DOI: 10.19538/j.fk2025010122.
ZHOU H, LIU Y Y, YU X L, et al. Interpretation of 2025 NCCN clinical practice guidelines for cervical cancer (1st edition)[J]. Chin J Pract Gynecol Obstet, 2025, 41(1): 96-102. DOI: 10.19538/j.fk2025010122.
[7]
RE G L, CUCINELLA G, ZACCARIA G, et al. Role of MRI in the assessment of cervical cancer[J]. Semin Ultrasound CT MRI, 2023, 44(3): 228-237. DOI: 10.1053/j.sult.2023.03.010.
[8]
刘祯, 张杰, 李颖端, 等. 磁共振扩散加权成像对宫颈癌放化疗效果预测价值[J]. 青岛大学学报(医学版), 2021, 57(1): 30-34. DOI: 10.11712/jms.2096-5532.2021.57.030.
LIU Z, ZHANG J, LI Y D, et al. Value of diffusion-weighted magnetic resonance imaging in predicting the effect of radiochemotherapy for cervical cancer[J]. J Qingdao Univ Med Sci, 2021, 57(1): 30-34. DOI: 10.11712/jms.2096-5532.2021.57.030.
[9]
GHARDON S S L, HEMIDA R, BORG M A, et al. Correlative study between apparent diffusion coefficient value and grading of cervical cancer[J/OL]. Egypt J Radiol Nucl Med, 2022, 53(1): 170 [2025-04-02]. https://ejrnm.springeropen.com/articles/10.1186/s43055-022-00850-9. DOI: 10.1186/s43055-022-00850-9.
[10]
WILSON J, CHANDRAMOHAN A, REDDY J K, et al. MRI apparent diffusion coefficient (ADC) values as a predictive biomarker on the outcomes of chemoradiotherapy in carcinoma cervix[J/OL]. Int J Radiat Oncol, 2021, 111(3): e625 [2025-04-02]. https://www.sciencedirect.com/science/article/abs/pii/S0360301621025311. DOI: 10.1016/j.ijrobp.2021.07.1661.
[11]
穆乃文, 张继. 弥散加权成像ADC值直方图在宫颈癌中的应用进展[J]. 分子影像学杂志, 2020, 43(4): 709-712. DOI: 10.12122/j.issn.1674-4500.2020.04.35.
MU N W, ZHANG J. Progress in the application of ADC histogram analysis on diffusion weighted imaging in cervical cancer[J]. J Mol Imag, 2020, 43(4): 709-712. DOI: 10.12122/j.issn.1674-4500.2020.04.35.
[12]
李健, 潘志华, 肖科, 等. ADC值与老年宫颈癌病理分型及病理分级的相关性[J]. 放射学实践, 2022, 37(5): 589-593. DOI: 10.13609/j.cnki.1000-0313.2022.05.011.
LI J, PAN Z H, XIAO K, et al. Correlation between ADC value of diffusion weighted MR imaging and pathological grading of elderly cervical cancer[J]. Radiol Pract, 2022, 37(5): 589-593. DOI: 10.13609/j.cnki.1000-0313.2022.05.011.
[13]
刘洁, 程敬亮, 张勇. ADC值直方图分析方法鉴别IB期和Ⅱ期宫颈癌的应用初探[J]. 中国医疗设备, 2020, 35(1): 68-70, 98. DOI: 10.3969/j.issn.1674-1633.2020.01.018.
LIU J, CHENG J L, ZHANG Y. Differentiation of stage IB and Ⅱ cervical cancer by apparent diffusion coefficient histogram: a preliminary study[J]. China Med Devices, 2020, 35(1): 68-70, 98. DOI: 10.3969/j.issn.1674-1633.2020.01.018.
[14]
TÜRKEŞ F, DERE Ö, DINÇ F, et al. The efficacy of MRI-based ADC measurements in detecting axillary lymph node metastasis: evaluation of a prospective study[J]. Curr Oncol, 2024, 31(11): 6598-6607. DOI: 10.3390/curroncol31110487.
[15]
PERUCHO J A U, WANG M D, TSE K Y, et al. Association between MRI histogram features and treatment response in locally advanced cervical cancer treated by chemoradiotherapy[J]. Eur Radiol, 2021, 31(3): 1727-1735. DOI: 10.1007/s00330-020-07217-6.
[16]
FIZ F, MASCI C, COSTA G, et al. PET/CT-based radiomics of mass-forming intrahepatic cholangiocarcinoma improves prediction of pathology data and survival[J]. Eur J Nucl Med Mol Imaging, 2022, 49(10): 3387-3400. DOI: 10.1007/s00259-022-05765-1.
[17]
LI C L, SONG L R, YIN J D. Intratumoral and peritumoral radiomics based on functional parametric maps from breast DCE-MRI for prediction of HER-2 and ki-67 status[J]. J Magn Reson Imaging, 2021, 54(3): 703-714. DOI: 10.1002/jmri.27651.
[18]
SHI J X, DONG Y, JIANG W Y, et al. MRI-based peritumoral radiomics analysis for preoperative prediction of lymph node metastasis in early-stage cervical cancer: a multi-center study[J]. Magn Reson Imaging, 2022, 88: 1-8. DOI: 10.1016/j.mri.2021.12.008.
[19]
XIAO M L, FU L, WEI Y, et al. Intratumoral and peritumoral MRI radiomics nomogram for predicting parametrial invasion in patients with early-stage cervical adenocarcinoma and adenosquamous carcinoma[J]. Eur Radiol, 2024, 34(2): 852-862. DOI: 10.1007/s00330-023-10042-2.
[20]
KONG T W, KIM J, SON J H, et al. Preoperative nomogram for prediction of microscopic parametrial infiltration in patients with FIGO stage IB cervical cancer treated with radical hysterectomy[J]. Gynecol Oncol, 2016, 142(1): 109-114. DOI: 10.1016/j.ygyno.2016.05.010.
[21]
柳丽, 何悦明, 杨振涛. MRI扩散加权成像及其定量参数在宫颈癌的诊断和术前分期中的应用[J]. 中国CT和MRI杂志, 2023, 21(3): 124-126.
LIU L, HE Y M, YANG Z T. Application of MRI diffusion-weighted imaging and its quantitative parameters in the diagnosis and preoperative staging of cervical cancer[J]. Chin J CT MRI, 2023, 21(3): 124-126.
[22]
FAN J W, LI W F, CHENG M Y, et al. Nomograms combining clinical factors and apparent diffusion coefficient to predict downstaging and progression-free survival after concurrent chemoradiotherapy in patients with cervical cancer[J]. Acta Radiol, 2024, 65(11): 1430-1439. DOI: 10.1177/02841851241283042.
[23]
CHENG J M, LUO W X, TAN B G, et al. Whole-tumor histogram analysis of apparent diffusion coefficients for predicting lymphovascular space invasion in stage ⅠB~ⅡA cervical cancer[J/OL]. Front Oncol, 2023, 13: 1206659 [2025-04-02]. https://pubmed.ncbi.nlm.nih.gov/37404753/. DOI: 10.3389/fonc.2023.1206659.
[24]
杜汉旺, 娄莉, 吴莎莎, 等. 不同类型全容积ADC值评估宫颈癌病理分级的效能分析[J]. 罕少疾病杂志, 2021, 28(2): 58-62. DOI: 10.3969/j.issn.1009-3257.2021.02.026.
DU H W, LOU L, WU S S, et al. Efficacy analysis of different types of full-volume ADC values to evaluate the pathological grading of cervical cancer[J]. J Rare Uncommon Dis, 2021, 28(2): 58-62. DOI: 10.3969/j.issn.1009-3257.2021.02.026.
[25]
GUAN Y, SHI H, CHEN Y, et al. Whole-lesion histogram analysis of apparent diffusion coefficient for the assessment of cervical cancer[J]. J Comput Assist Tomogr, 2016, 40(2): 212-217. DOI: 10.1097/RCT.0000000000000349.
[26]
LEE J, KIM C K, PARK S Y. Histogram analysis of apparent diffusion coefficients for predicting pelvic lymph node metastasis in patients with uterine cervical cancer[J]. MAGMA, 2020, 33(2): 283-292. DOI: 10.1007/s10334-019-00777-9.
[27]
DOWNEY K, RICHES S F, MORGAN V A, et al. Relationship between imaging biomarkers of stage I cervical cancer and poor-prognosis histologic features: quantitative histogram analysis of diffusion-weighted MR images[J]. AJR Am J Roentgenol, 2013, 200(2): 314-320. DOI: 10.2214/AJR.12.9545.
[28]
LIN Y N, LI H, CHEN Z Q, et al. Correlation of histogram analysis of apparent diffusion coefficient with uterine cervical pathologic finding[J]. AJR Am J Roentgenol, 2015, 204(5): 1125-1131. DOI: 10.2214/AJR.14.13350.
[29]
林宝金, 吴朝霞, 王石, 等. 瘤内及瘤周MR影像组学联合临床特征预测宫颈癌淋巴脉管间隙浸润[J]. 中国医学物理学杂志, 2024, 41(7): 851-857. DOI: 10.3969/j.issn.1005-202X.2024.07.010.
LIN B J, WU Z X, WANG S, et al. Intratumoral and peritumoral magnetic resonance imaging radiomics combined with clinical characteristics to predict lymphovascular space invasion in cervical cancer[J]. Chin J Med Phys, 2024, 41(7): 851-857. DOI: 10.3969/j.issn.1005-202X.2024.07.010.
[30]
DU L Z, YUAN Q H, ZHANG M D, et al. Using amide proton transfer-weighted magnetic resonance imaging (MRI) in peritumor tissue to predict parametrial infiltration of cervical cancer: a case-control study[J]. Quant Imaging Med Surg, 2024, 14(8): 5803-5813. DOI: 10.21037/qims-24-412.
[31]
徐青, 郭长义, 夏雨薇, 等. MRI瘤周影像组学术前预测ⅠB~ⅡB期宫颈癌宫旁浸润[J]. 分子影像学杂志, 2024, 47(9): 913-920. DOI: 10.12122/j.issn.1674-4500.2024.09.03.
XU Q, GUO C Y, XIA Y W, et al. Preoperative prediction of parametrial invasion of stage ⅠB~ⅡB cervical cancer by intratumoural and peritumoural MRI radiomics[J]. J Mol Imag, 2024, 47(9): 913-920. DOI: 10.12122/j.issn.1674-4500.2024.09.03.

上一篇 基于多参数磁共振成像影像组学聚类分析评估前列腺癌侵袭性及判断预后的临床价值研究
下一篇 基于多模态影像的髌股关节与胫股关节骨性关节炎的相关性研究
  
诚聘英才 | 广告合作 | 免责声明 | 版权声明
联系电话:010-67113815
京ICP备19028836号-2