分享:
分享到微信朋友圈
X
技术研究
应用压缩感知黄金角径向稀疏平行采样序列优化方案提升屏气不佳患者肝脏动态增强磁共振成像质量的初步研究
潘江洋 王琦 时高峰 毛子怡 李阳 江岳娈 刘辉

Cite this article as: PAN J Y, WANG Q, SHI G F, et al. A preliminary study on improving liver dynamic contrast-enhanced MRI quality in patients with poor breath-holding using the optimized compressed sensing golden-angle radial sparse parallel sampling sequence[J]. Chin J Magn Reson Imaging, 2025, 16(9): 162-168.本文引用格式:潘江洋, 王琦, 时高峰, 等. 应用压缩感知黄金角径向稀疏平行采样序列优化方案提升屏气不佳患者肝脏动态增强磁共振成像质量的初步研究[J]. 磁共振成像, 2025, 16(9): 162-168. DOI:10.12015/issn.1674-8034.2025.09.024.


[摘要] 目的 探索压缩感知黄金角径向稀疏并行采样(compressed sensing golden-angle radial sparse parallel, CS-GRASP)序列的优化方案,评价优化后的序列在屏气不佳患者肝脏动态对比增强磁共振成像(dynamic contrast enhanced-magnetic resonance imaging, DCE-MRI)的应用价值。材料与方法 回顾性分析2021年3月至2023年10月在我院行肝脏DCE-MRI检查的46例屏气不佳患者,其中CS-GRASP序列未优化组21例,优化组25例。分别在平扫、动脉早期、动脉晚期于肝门静脉主干、左支及右支水平,测量肝脏及竖脊肌的信号强度(signal intensty, SI)、标准差(standard deviation, SD)及图像背景噪声标准差的平均值(SD噪声),计算两组肝脏CS-GRASP图像信噪比(signal-to-noise ratio, SNR)、对比噪声比(contrast-noise-ratio, CNR)、SI变异系数(coefficient of variation, CV),并对肝左、右叶图像噪声,条纹伪影的严重程度,图像质量和肝脏结构清晰度进行了主观评分。结果 在平扫、动脉早期、动脉晚期,CS-GRASP优化组中肝左、右叶图像SNR、CNR均高于未优化组,CV值均低于未优化组,两组间肝右叶动脉早期图像CNR差异无统计学意义(P>0.05),余参数差异均有统计学意义(P<0.05)。CS-GRASP优化组中肝左、右叶图像噪声、条纹伪影、图像清晰度和整体图像质量得分均高于未优化组,差异有统计学意义(P<0.05)。结论 CS-GRASP序列优化方案可提高屏气不佳患者肝脏DCE-MRI检查的图像质量,降低条纹伪影,是屏气不佳患者进行肝脏DCE-MRI检查一种较好的替代方案。
[Abstract] Objective To explore the optimized scanning scheme for compressed sensing golden-angle radial sparse parallel sequence (CS-GRASP) and evaluate the application value of the optimized sequence in liver dynamic contrast-enhanced MRI (DCE-MRI) for patients with poor breath-holding.Materials and Methods This retrospective analysis was conducted on 46 patients with poor breath-holding capability who underwent dynamic contrast enhanced-magnetic resonance imaging of the liver at our hospital from March 2021 to October 2023, including 21 patients in the unoptimized CS-GRASP group and 25 patients in the optimized group. Signal intensity (SI) of the liver and erector spinae, standard deviation (SD), and the mean standard deviation of image background noise (SD noise) were measured at the levels of the main hepatic portal vein and its left and right branches during non-contrast, early arterial, and late arterial phases. The signal-to-noise ratio (SNR), contrast-noise ratio (CNR), and coefficient of variation (CV) of SI for liver CS-GRASP images of both groups were calculated. Subjective scoring was conducted for image noise, the severity of streak artifacts, image quality, and clarity of liver structures in the left and right liver lobes.Results During plain scanning, arterial early phase, and arterial late phase, the SNR and CNR of images of the left and right lobes of the liver in the CS-GRASP optimized group was higher than those in the unoptimized group, and the CV values were lower than that of the unoptimized group; the difference in CNR of the arterial early phase of the right lobe of the liver was not statistically significant between the two groups (P > 0.05), while the difference of the rest of the parameters were statistically significant (P < 0.05). In the CS-GRASP optimized group, scores for image noise and streak artifacts of the left and right liver lobes, scores for image clarity, and overall image quality were higher than those in the non-optimized group, with statistically significant differences (P < 0.05).Conclusions The optimized CS-GRASP sequence can improve image quality and reduce streak artifacts, making it a better alternative for patients with poor breath-holding during liver contrast-enhanced MRI.
[关键词] 肝脏;屏气不佳;磁共振成像;黄金角径向稀疏并行采样;图像质量
[Keywords] liver;poor breath-holding;magnetic resonance imaging;golden-angle radial sparse parallel;imaging quality

潘江洋 1   王琦 1   时高峰 1   毛子怡 1   李阳 1   江岳娈 2   刘辉 1*  

1 河北医科大学第四医院CT磁共振科,石家庄 050000

2 西门子医疗系统有限公司北京分公司,北京 100102

通信作者:刘辉,E-mail: 48001156@hebmu.edu.cn

作者贡献声明::刘辉设计本研究的方案,对稿件重要内容进行了修改;潘江洋起草和撰写稿件,分析和解释本研究的数据,获得了河北省医学科学研究课题计划项目资助;江岳娈指导确定本研究扫描方案的参数设置,对稿件的重要内容进行了修改;王琦和时高峰获取、分析本研究病例及数据、对稿件的重要内容进行了修改;毛子怡和李阳获取、分析或解释本研究的数据并进行统计,对稿件重要的内容进行了修改;全体作者都同意发表最后的修改稿,同意对本研究的所有方面负责,确保本研究的准确性和诚信。


基金项目: 河北省医学科学研究课题计划项目 20221341
收稿日期:2025-03-21
接受日期:2025-09-10
中图分类号:R445.2  R735.7 
文献标识码:A
DOI: 10.12015/issn.1674-8034.2025.09.024
本文引用格式:潘江洋, 王琦, 时高峰, 等. 应用压缩感知黄金角径向稀疏平行采样序列优化方案提升屏气不佳患者肝脏动态增强磁共振成像质量的初步研究[J]. 磁共振成像, 2025, 16(9): 162-168. DOI:10.12015/issn.1674-8034.2025.09.024.

0 引言

       动态对比增强磁共振成像(dynamic contrast enhanced-magnetic resonance imaging, DCE-MRI)反映组织微血管灌注状态,对疾病诊断及治疗评价具有重要价值[1]。随着压缩感知技术(compressed sensing, CS)在肝脏等呼吸运动器官中的应用,自由呼吸状态下获得的肝脏增强图像已基本满足临床诊断需求[2, 3]。新出现的压缩感知黄金角径向稀疏并行采样序列(compressed sensing golden-angle radial sparse parallel, CS-GRASP)使用径向K空间黄金角排列方案,能够确保任意一条K空间编码线采用固定的111.25度角(称为“黄金角”)作为增量,使得K空间编码线近似均匀地覆盖K空间[4],结合压缩感知技术及稀疏变换的迭代重建方式,补偿径向采样较低的不足,提高了受呼吸运动影响器官的扫描成功率[5, 6, 7]。但在临床应用中发现,常规CS-GRASP序列对部分屏气不佳患者进行DCE-MRI检查时,存在图像信噪比(signal-to-noise ratio , SNR)偏低、条纹伪影较重等问题,难以获得满意的图像质量[8]。PARK等[9]对呼吸受限的患者进行肝脏自由呼吸CS-GRASP序列扫描,图像径向采集辐条数为1092,发现该组患者在动脉晚期图像有更明显的条纹伪影,图像质量更差。然而,目前国内仅有CS-GRASP序列应用于肝脏增强扫描的报道[10],尚缺乏对CS-GRASP序列进行优化并应用于肝脏DCE-MRI检查的研究。因此,本研究对CS-GRASP序列扫描参数进行调整,增加每层图像填充K空间的径向采集辐条数,通过对比CS-GRASP优化序列与未优化序列获得图像的质量,探讨CS-GRASP序列优化方案对提高屏气不佳患者自由呼吸肝脏DCE-MRI图像质量的价值。

1 材料与方法

1.1 研究对象

       本研究回顾性分析2021年3月至2023年10月因屏气不佳在我院进行了自由呼吸肝脏DCE-MRI检查的患者,其中,25例患者肝脏动态对比增强扫描采用优化后的CS-GRASP序列,随机选取相同时间段内采用CS-GRASP未优化序列的21例患者作为对照组。本研究遵守《赫尔辛基宣言》,经河北医科大学第四医院伦理委员会批准,批准文号:2023KS068,免除受试者知情同意。纳入标准:(1)屏气不佳患者或有呼吸障碍、严重心功能不全患者,平扫时不能屏气患者,采用CS-GRASP序列采集肝脏动态增强图像;(2)均进行了细胞外对比剂增强扫描;(3)无肝脏手术病史。排除标准:(1)慢性肝病患者(肝硬化、脂肪肝等);(2)既往肝脏病变进行介入、放化疗。

1.2 仪器与方法

       采用3 T磁共振扫描仪(MAGNETOM Vida,西门子,德国)和18通道体部相控阵线圈进行自由呼吸肝脏DCE-MRI检查。患者仰卧位,头先进,平静呼吸,检查前禁食5 h,扫描序列包括:轴位T1加权Dixon序列,轴位T2加权序列,轴位弥散成像(diffusion weighted imaging, DWI)序列(b值为50、1000 s/mm2),以及自由呼吸轴位T1加权动态对比增强扫描CS-GRASP序列。CS-GRASP序列开始扫描23 s后,采用高压注射器经静脉以2.5 mL/s流率注入对比剂钆特酸葡胺(佳迪显,江苏恒瑞,中国),剂量为0.1 mmol/kg,随后立即以相同流率追加注射生理盐水20 mL。CS-GRASP序列优化方案通过调整序列参数,旨在增加每层图像填充K空间的径向采集辐条数:(1)减少层数,由80层减少到48层;(2)减少过采样,数值调整为7%;(3)缩短重复时间(repetition time, TR),TR时间3.50 ms调整为2.87 ms,径向采集辐条数由1245提高到2721。扫描层数减少后为确保扫描范围能够包括整个肝脏,增加层厚,层厚由2.5 mm增加到4.0 mm;层厚增加后为避免小病灶漏检,增加层面内空间分辨率,通过调整视野(field of view, FOV)及矩阵,图像体素大小为1.2 mm×1.2 mm×4.0 mm;(4)为避免比吸收率(specific absorption ratio, SAR)超限,扫描序列调整为平扫T1WI、CS-GRASP、T2WI、DWI。未优化组及优化组的CS-GRASP序列参数详见表1

表1  CS-GRASP序列未优化组和优化组的扫描参数
Tab. 1  Scanning parameters between the CS-GRASP sequence unoptimized and optimized groups

1.3 图像分析

1.3.1 图像质量客观评价

       由2位分别具有10年(副主任医师)和5年(主治医师)腹部诊断工作经验的放射科医师在不知晓患者分组信息情况下,在所有患者CS-GRASP序列动态对比增强平扫、动脉早期和动脉晚期图像上,分别选取肝门静脉主干、左支及右支3个层面进行测量,在每个层面的肝左、右叶轴位中心区域、竖脊肌及图像四角各放置1个感兴趣区(region of interest, ROI)(图1),记录其信号值(signal intensity, SI)、标准差(standard deviation, SD)及图像背景噪声标准差的平均值(SD噪声),ROI放置避开较大的胆管、血管,面积约为105 mm2。分别计算肝左、右叶SI变异系数(coefficient of variation, CV),信噪比(signal-to-noise ratio , SNR),以及对比噪声比(contrast-noise-ratio, CNR)。具体公式如下:

       CV=SD肝脏/SI肝脏(1)

       SNR=SI肝脏/SD噪声(2)

       CNR=(SI肝脏-SI竖脊肌)/SD噪声(3)

图1  ROI勾画示意图。男,61岁,CS-GRASP序列优化组肝脏平扫图像,选取门静脉左支层面测量肝右叶轴位中心区域、肝左叶轴位中心区域、竖脊肌的信号值、标准差以及图像背景噪声标准差值。ROI:感兴趣区;CS-GRASP:压缩感知黄金角径向稀疏并行采样。
Fig. 1  Schematic diagram of ROI delineation. A 61-year-old male patient with optimized CS-GRASP liver images, selecting the left portal vein slice to measure the signal values, standard deviations of the right liver lobe central region in axial view, left liver lobe central region in axial view, and erector spinae, and the background noise standard deviation value. ROI: region of interest; CS-GRASP: compressed sensing golden-angle radial sparse parallel.

1.3.2 图像质量主观评价

       上述2位放射科医师在盲法下分别使用5分法对平扫、动脉早期和动脉晚期肝左、右叶图像噪声,条纹伪影的严重程度、图像质量和肝脏结构清晰度进行了主观评分。主观评分标准:5分,无图像噪声及条纹伪影,图像质量优秀,肝脏结构显示清楚;4分,轻微图像噪声及条纹伪影,图像质量良好,肝脏结构显示良好;3分,中等图像噪声及条纹伪影,图像质量一般,肝脏结构能够显示;2分,明显图像噪声及条纹伪影,图像质量较差,肝脏结构显示不清;1分,严重图像噪声,条纹伪影,图像质量差,内部结构无法分辨;2位医师主观评分的均值作为评分结果,1~2分不能满足临床诊断,3~5分可满足临床诊断。

1.4 统计学分析

       采用SPSS 26.0统计学分析软件。所有测量值均采用Shapiro-Wilk检验进行正态分布检验,连续变量采用平均值±标准差或中位数(上、下四分位数)表示,图像质量主观评分采用中位数(上、下四分位数)表示。采用独立样本t检验或Mann-Whitney U检验比较两组间SNR、CNR、SV及主观评分。P<0.05为差异有统计学意义。采用Kappa检验判断2位观察者对主观评分的一致性。Kappa值>0.80提示一致性极好;0.6<Kappa值≤0.8提示一致性较好;0.4<Kappa值≤0.6提示一致性一般;Kappa值≤0.40提示一致性较差。

2 结果

2.1 一般资料

       本研究共纳入46例屏气不佳患者,其中CS-GRASP序列未优化组男9例,女12例,年龄59(40,71)岁,肝囊肿6例,肝癌3例,肝外肿瘤12例(胃肿瘤2例,胰腺肿瘤3例,结直肠肿瘤5例,肺肿瘤2例);CS-GRASP序列优化组男13例,女12例,年龄55(40,67)岁,肝血管瘤5例,肝转移瘤8例,肝癌2例,肝外肿瘤10例(肺肿瘤4例,胰腺肿瘤2例,结直肠肿瘤3例,胃肿瘤1例)。两组间性别及年龄差异无统计学意义(χ2=0.088,P=0.767;t=0.544,P=0.589)。

2.2 两组间图像质量客观评价

       在平扫、动脉早期、动脉晚期,CS-GRASP序列优化组中肝左、右叶图像SNR均高于未优化组,差异均有统计学意义(P<0.05),见表2。在平扫、动脉早期、动脉晚期,CS-GRASP序列优化组肝左叶CNR均高于未优化组,差异均有统计学意义(P<0.05)。在平扫、动脉晚期CS-GRASP序列优化组肝右叶图像CNR高于未优化组,差异有统计学意义(P<0.05),在动脉早期CS-GRASP序列优化组肝右叶图像CNR高于未优化组,但差异无统计学意义(P>0.05),见表3。在平扫、动脉早期、动脉晚期,CS-GRASP序列优化组中肝左、右叶图像CV均低于未优化组,差异均有统计学意义(P<0.05),见表4

表2  CS-GRASP序列未优化组和优化组肝左、右叶SNR的比较
Tab. 2  Comparison of signal-to-noise ratios (SNR) of the left and right lobes of the liver between the CS-GRASP sequence unoptimized and optimized groups
表3  CS-GRASP序列未优化组和优化组肝左、右叶CNR的比较
Tab. 3  Comparison of the contrast-to-noise ratio (CNR) of the left and right lobes of the liver between the CS-GRASP sequence unoptimized and optimized groups
表4  CS-GRASP序列未优化组和优化组肝左、右叶变异系数的比较
Tab. 4  Comparison of coefficient of variation (CV) of l of the left and right lobes of the liver between the CS-GRASP sequence unoptimized and optimized groups

2.3 两组间图像质量主观评价

       观察者间的主观评价一致性较好,Kappa值范围为0.65~0.78。CS-GRASP序列优化组中肝左、右叶图像噪声、条纹伪影、图像清晰度和整体图像质量得分均高于未优化组,差异有统计学意义(P<0.05),见表5图2

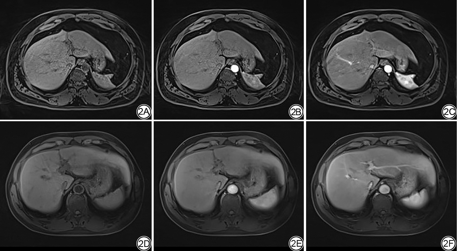
图2  肝门静脉左支水平对肝左、右叶噪声,条纹伪影,图像质量和肝脏结构清晰度方面图像主观评分。2A~2C:男,55岁,CS-GRASP未优化肝脏平扫图像,主观评分分别为平扫(2A)3、4、2、3、2分,动脉期(2B)3、4、3、3、2分,静脉期(2C)3、4、4、4、3分;2D~2F:男,54岁,CS-GRASP优化肝脏图像,主观评分分别为平扫(2D)4、5、5、4、4分,动脉期(2E)5、5、5、4、4分,静脉期(2F)5、5、5、5、5分。
Fig. 2  Subjective scoring of the images at the level of the left portal vein regarding the noise of the left and right liver lobes, radial artifacts, image quality, and clarity of liver structures. 2A-2C: A 55-year-old male patient with unoptimized GRASP liver images, with subjective scores of 3, 4, 2, 3, 2 for the plain scan (2A), 3, 4, 3, 3, 2 for the arterial phase (2B), and 3, 4, 4, 4, 3 for the venous phase (2C). 2D-2F: A 54-year-old male patient with optimized GRASP liver images, with subjective scores of 4, 5, 5, 4, 4 for the plain scan (2D), 5, 5, 5, 4, 4 for the arterial phase (2E), and 5, 5, 5, 5, 5 for the venous phase (2F).
表5  CS-GRASP序列未优化组和优化组图像质量主观评分的比较
Tab. 5  Comparison of subjective image quality scores between the CS-GRASP sequence unoptimized and optimized groups

3 讨论

       本研究探索了CS-GRASP序列进行自由呼吸肝脏DCE-MRI扫描的优化方案,比较了CS-GRASP优化序列与未优化序列的图像质量,结果显示CS-GRASP优化序列在平扫、动脉早期、动脉晚期提高了肝脏图像的SNR、CNR,降低了图像的CV值。在图像主观评价方面,相较于未优化组,CS-GRASP序列优化组降低了图像噪声及条纹伪影,提高了图像清晰度和整体图像质量。该研究提出了CS-GRASP序列在肝脏DEC-MRI检查中的优化方案,提高了屏气不佳患者应用CS-GRASP序列进行自由呼吸肝脏DCE-MRI的图像质量并改善了条纹伪影。

3.1 CS-GRASP序列优化方案的应用价值

       CS-GRASP序列有助于提高肝脏等呼吸运动器官增强扫描图像质量的价值已被证实[11, 12, 13]。然而,在本研究中部分屏气不佳患者应用CS-GRASP未优化序列获得的肝脏DCE-MRI图像出现条纹伪影,图像质量仍有待提高,这与先前的研究结果一致[14, 15, 16]。CS-GRASP序列优化方案通过调整序列参数,使肝脏DCE-MRI图像径向采集辐条数增加至2721,降低了图像条纹伪影,提高了肝脏图像质量和清晰度。随着MRI技术发展,自由呼吸状态下肝脏增强扫描改良方案被不断提出[17, 18, 19],有学者将获得的肝脏增强扫描径向K空间数据进行运动解析,分为不同的呼吸运动状态并重建图像,以减少呼吸运动的影响[20, 21, 22]。邓和平和张宇等[23, 24]的研究中,使用光梭径向采集技术对屏气欠佳的患者行肝脏动态对比增强扫描,该技术在压缩感知及放射状K空间填充的基础上增加了呼吸信号自动提取技术,按呼吸周期采用不同权重进行重建,获得较好的图像质量。但这些研究由于呼吸末K空间采样数据权重高,呼吸过程中K空间数据采样不足,降低了图像的信噪比[25],同时这些研究需要先进的软件和硬件进行呼吸运动识别及解析,尚未得到广泛的临床应用。本研究在现有设备基础上优化了CS-GRASP序列扫描方案,降低了图像条纹伪影,提高了肝脏动态对比增强扫描图像质量,并且获得了全呼吸周期的K空间数据,在临床应用中更具有实用价值,进一步为肝脏DCE-MRI定量指标进行精准测量提供支撑[26]

3.2 CS-GRASP序列的优化方法

       径向采集辐条数是磁共振成像中采用的一种特殊的K空间采样方式,其数据是沿着径向轨迹获取的,这种采样方式类似于自行车轮的辐条[27]。CS-GRASP序列采用径向K空间黄金角排列方案,对采样密度及角度分布敏感,在稀疏数据下容易产生条纹伪影,当患者呼吸幅度较大或扫描追求更高时间分辨率时,部分层面获得用于重建图像的径向采集辐条数较少,即采样不足,这导致图像产生条纹伪影,严重影响图像诊断。本研究通过调整扫描参数,增加K空间采样率,提高径向采集辐条数,减少条纹伪影,同时提供更稳定性的运动补偿,减少运动敏感性[28, 29]。在本研究中,CS-GRASP序列优化主要围绕提高图像径向采集辐条数进行调整,首先减少扫描层数,从原始序列的80层减少到48层。通过减少扫描层数,增加填充单层图像K空间径向采集辐条数。同时为确保扫描范围能够包括整个肝脏,增加扫描层厚,由2.5 mm增加到4.0 mm。在本研究中,我们选择扫描层数48,层厚4.0 mm,该方案在扫描范围较原序列大致相同的情况下,能够比较明显地提高图像径向采集辐条数。层厚增加后为避免小病灶漏检,增加了层面内空间分辨率,通过调整FOV及矩阵,图像体素大小调整为1.2 mm×1.2 mm×4.0 mm。为进一步提高图像径向采集辐条数,尽量减少层面过采样数值并且通过降低TR时间增加径向采集辐条数,最终TR时间为2.87 ms。在先前的研究中,GRASP序列选择层厚3 mm,空间分辨率1.5 mm×1.5 mm×3.0 mm,TR时间3.97~4.29 ms等参数,径向采集辐条数为1904[30]。优化后CS-GRASP序列时间分辨率从7.3 s延长到9.7 s,但CS-GRASP序列连续不间断扫描,获得连续径向K空间数据,可以回顾性重建任意时间分辨率图像,避免遗漏病变动脉期信号特征。最后调整扫描序列顺序,按照常规先平扫后强化的顺序会造成SAR值超限,为避免TR时间延长,我们把扫描序列顺序调整为平扫T1WI、CS-GRASP、T2WI、DWI,有效避免了SAR值增高[31]。通过以上方法优化CS-GRASP序列,最终使径向采集辐条数调整为2721,提高了自由呼吸肝脏动态对比增强扫描的图像质量。注射钆特酸葡胺后进行T2WI扫描,当钆剂浓度较高时会缩短T2弛豫时间,可导致T2WI图像SNR有所降低,但JIA等[32]对钆对比剂注射前后的T2WI、DWI序列图像进行了分析,结果显示钆对比剂注射后T2WI、DWI序列不影响肝脏、脾脏的图像质量。在该研究中CS-GRASP扫描时间较长,此时钆剂浓度相对较低,缩短T2弛豫时间的效应较小。

3.3 本研究的局限性

       本研究存在一定的局限性:首先,本研究仅在平扫及动脉早、晚期对CS-GRASP序列的图像质量进行了比较,未分析比较肝脏动态对比增强扫描其他期相的图像质量。其次,本研究样本量较少,未对肝脏病变的检出率进行分析,后续需要大样本的研究验证优化后CS-GRASP序列对肝脏病变的临床诊断价值。

4 结论

       综上所述,优化后的CS-GRASP序列有助于降低肝脏图像条纹伪影,提高图像质量,是屏气不佳患者进行自由呼吸肝脏动态对比增强扫描一种较好的替代方案。

[1]
陈娇, 姜利伶, 刘代洪, 等. 基于压缩感知容积扫描的动态对比增强磁共振成像在甲状腺良恶性结节鉴别诊断中的价值[J]. 磁共振成像, 2022, 13(4): 38-42. DOI: 10.12015/issn.1674-8034.2022.04.007.
CHEN J, JIANG L L, LIU D H, et al. The value of dynamic contrast enhanced-magnetic resonance imaging based on compressed sensing volumetric interpolated breath-hold examination in the differential diagnosis between benign and malignant thyroid nodules[J]. Chin J Magn Reson Imag, 2022, 13(4): 38-42. DOI: 10.12015/issn.1674-8034.2022.04.007.
[2]
魏强, 王家正, 伊东娜, 等. 结合压缩感知技术与敏感度编码的3D mDixon序列以及3D Vane序列对肝脏成像的影响的对比研究[J]. 磁共振成像, 2020, 11(9): 781-785. DOI: 10.12015/issn.1674-8034.2020.09.012.
WEI Q, WANG J Z, YI D N, et al. A comparative study on the effects of 3D mDixon sequence and 3D Vane sequence on liver imaging by combining the Compressed SENSE technology and SENSE[J]. Chin J Magn Reson Imag, 2020, 11(9): 781-785. DOI: 10.12015/issn.1674-8034.2020.09.012.
[3]
方子榕, 陈秋雁, 叶灵, 等. 压缩感知联合并行采集技术的屏气3D LAVA FLEX序列在肝脏磁共振快速成像中的应用[J]. 磁共振成像, 2024, 15(2): 155-161. DOI: 10.12015/issn.1674-8034.2024.02.023.
FANG Z R, CHEN Q Y, YE L, et al. Application of compressed sensing combined with parallel acqusition technique of breath-holding 3D LAVA FLEX sequence in rapid magnetic resonance imaging of liver[J]. Chin J Magn Reson Imag, 2024, 15(2): 155-161. DOI: 10.12015/issn.1674-8034.2024.02.023.
[4]
FENG L. Golden-angle radial MRI: basics, advances, and applications[J]. J Magn Reson Imaging, 2022, 56(1): 45-62. DOI: 10.1002/jmri.28187.
[5]
孙丽娟, 王家正, 宋清伟, 等. 压缩感知联合并行成像对肾脏3D mDIXON序列的应用[J]. 实用放射学杂志, 2022, 38(1): 144-147. DOI: 10.3969/j.issn.1002-1671.2022.01.034.
SUN L J, WANG J Z, SONG Q W, et al. The combination application of compressed sensing with parallel imaging on 3D mDIXON of the kidney[J]. J Pract Radiol, 2022, 38(1): 144-147. DOI: 10.3969/j.issn.1002-1671.2022.01.034.
[6]
张辉, 忻燕芬, 朱勇猛, 等. 采用压缩感知技术的Grasp-Vibe序列在肝脏MRI增强检查应用价值[J]. 医学影像学杂志, 2023, 33(3): 444-449. DOI: 10.3969/j.issn.1002-1671.2022.01.034.
ZHANG H, XIN Y F, ZHU Y M, et al. The application value of Grasp-Vibe sequence using compressed sensing technology in liver MR enhanced examination[J]. J Med Imag, 2023, 33(3): 444-449. DOI: 10.3969/j.issn.1002-1671.2022.01.034.
[7]
YOON J H, LEE J M, YU M H, et al. Simultaneous evaluation of perfusion and morphology using GRASP MRI in hepatic fibrosis[J]. Eur Radiol, 2022, 32(1): 34-45. DOI: 10.1007/s00330-021-08087-2.
[8]
MANSOUR R, THIBODEAU ANTONACCI A, BILODEAU L, et al. Impact of temporal resolution and motion correction for dynamic contrast-enhanced MRI of the liver using an accelerated golden-angle radial sequence[J/OL]. Phys Med Biol, 2020, 65(8): 085004 [2025-03-20]. https://pubmed.ncbi.nlm.nih.gov/32084661/. DOI: 10.1088/1361-6560/ab78be.
[9]
PARK J Y, LEE S M, LEE J S, et al. Free-breathing dynamic T1WI using compressed sensing-golden angle radial sparse parallel imaging for liver MRI in patients with limited breath-holding capability[J/OL]. Eur J Radiol, 2022, 152: 110342 [2025-03-20]. https://pubmed.ncbi.nlm.nih.gov/35597070/. DOI: 10.1016/j.ejrad.2022.110342.
[10]
刘响, 王琦, 时高峰, 等. 黄金角径向稀疏平行采样序列在肝脏增强MRI中的应用价值[J]. 实用放射学杂志, 2024, 40(10): 1722-1725. DOI: 10.3969/j.issn.1002-1671.2024.10.033.
LIU X, WANG Q, SHI G F, et al. Application value of golden angle radial sparse parallel sequence in contrast—enhanced MRI of live[J]. J Pract Radiol, 2024, 40(10): 1722-1725. DOI: 10.3969/j.issn.1002-1671.2024.10.033.
[11]
YOON J H, LEE J M, YU M H, et al. Evaluation of transient motion during gadoxetic acid-enhanced Multiphasic liver magnetic resonance imaging using free-breathing golden-angle radial sparse parallel magnetic resonance imaging[J]. Invest Radiol, 2018, 53(1): 52-61. DOI: 10.1097/RLI.0000000000000409.
[12]
HARDER F N, BUDJAN J, NICKEL M D, et al. Intraindividual comparison of compressed sensing-accelerated Cartesian and radial arterial phase imaging of the liver in an experimental tumor model[J]. Invest Radiol, 2021, 56(7): 433-441. DOI: 10.1097/RLI.0000000000000767.
[13]
RIFFEL P, ZOELLNER F G, BUDJAN J, et al. "One-stop shop": free-breathing dynamic contrast-enhanced magnetic resonance imaging of the kidney using iterative reconstruction and continuous golden-angle radial sampling[J]. Invest Radiol, 2016, 51(11): 714-719. DOI: 10.1097/RLI.0000000000000299.
[14]
SHAHZADI I, SIDDIQUI M F, ASLAM I, et al. Respiratory motion compensation using data binning in dynamic contrast enhanced golden-angle radial MRI[J]. Magn Reson Imaging, 2020, 70: 115-125. DOI: 10.1016/j.mri.2020.03.011.
[15]
PARK S H, YOON J H, PARK J Y, et al. Performance of free-breathing dynamic T1-weighted sequences in patients at risk of developing motion artifacts undergoing gadoxetic acid-enhanced liver MRI[J]. Eur Radiol, 2023, 33(6): 4378-4388. DOI: 10.1007/s00330-022-09336-8.
[16]
GLESSGEN C G, BREIT H C, BLOCK T K, et al. Respiratory anomalies associated with gadoxetate disodium and gadoterate meglumine: compressed sensing MRI revealing physiologic phenomena during the entire injection cycle[J]. Eur Radiol, 2022, 32(1): 346-354. DOI: 10.1007/s00330-021-08114-2.
[17]
FENG L, WEN Q T, HUANG C C, et al. GRASP-Pro: imProving GRASP DCE-MRI through self-calibrating subspace-modeling and contrast phase automation[J]. Magn Reson Med, 2020, 83(1): 94-108. DOI: 10.1002/mrm.27903.
[18]
CHEN J J, HUANG C C, SHANBHOGUE K, et al. DCE-MRI of the liver with sub-second temporal resolution using GRASP-Pro with navi-stack-of-stars sampling[J/OL]. NMR Biomed, 2024, 37(12): e5262 [2025-03-20]. https://pubmed.ncbi.nlm.nih.gov/39323100/. DOI: 10.1002/nbm.5262.
[19]
CHEN J J, XIA D, HUANG C C, et al. Free-breathing time-resolved 4D MRI with improved T1-weighting contrast[J/OL]. NMR Biomed, 2024, 37(12): e5247 [2025-03-20]. https://pubmed.ncbi.nlm.nih.gov/39183645/. DOI: 10.1002/nbm.5247.
[20]
赵香田, 黄梦月, 朱锦霞, 等. 运动解析压缩感知重建的自由呼吸XD-VIBE在肝脏富血供病变动态增强MRI中的应用[J]. 放射学实践, 2019, 34(11): 1186-1191. DOI: 10.13609/j.cnki.1000-0313.2019.11.003.
ZHAO X T, HUANG M Y, ZHU J X, et al. Application of free-breathing extra-dimensional VIBE with motion-resolved compressed sensing reconstruction in dynamic enhanced MRI of hypervascular liver lesions[J]. Radiol Pract, 2019, 34(11): 1186-1191. DOI: 10.13609/j.cnki.1000-0313.2019.11.003.
[21]
FENG L, AXEL L, CHANDARANA H, et al. XD-GRASP: Golden-angle radial MRI with reconstruction of extra motion-state dimensions using compressed sensing[J]. Magn Reson Med, 2016, 75(2): 775-788. DOI: 10.1002/mrm.25665.
[22]
CHOI E S, KIM J S, NICKEL M D, et al. Free-breathing contrast-enhanced multiphase MRI of the liver in patients with a high risk of breath-holding failure: comparison of compressed sensing-accelerated radial and Cartesian acquisition techniques[J]. Acta Radiol, 2022, 63(11): 1453-1462. DOI: 10.1177/02841851211052988.
[23]
邓和平, 张宇, 杨学刚, 等. 光梭径向采集技术在屏气配合欠佳状态下肝脏动态增强扫描中的应用价值[J]. 放射学实践, 2023, 38(5): 631-635. DOI: 10.13609/j.cnki.1000-0313.2023.05.018.
DENG H P, ZHANG Y, YANG X G, et al. Application of united compressed sensing with radial acquisition technology in liver dynamic contrast-enhanced scanning in patients with poor breath-holding[J]. Radiol Pract, 2023, 38(5): 631-635. DOI: 10.13609/j.cnki.1000-0313.2023.05.018.
[24]
张宇, 邓和平, 何长久, 等. 光梭径向采集技术和三维容积内插快速扰相序列在MRI肝脏增强扫描中的图像质量比较[J]. 肿瘤预防与治疗, 2024, 37(6): 492-498. DOI: 10.3969/j.issn.1674-0904.2024.06.006.
ZHANG Y, DENG H P, HE C J, et al. Comparison of image quality between united compressed sensing with radial acquisition and Quick3D in enhanced MRI of liver[J]. J Cancer Control Treat, 2024, 37(6): 492-498. DOI: 10.3969/j.issn.1674-0904.2024.06.006.
[25]
ELDENIZ C, GAN W J, CHEN S H, et al. Phase2Phase: respiratory motion-resolved reconstruction of free-breathing magnetic resonance imaging using deep learning without a ground truth for improved liver imaging[J]. Invest Radiol, 2021, 56(12): 809-819. DOI: 10.1097/RLI.0000000000000792.
[26]
WEISS J, RUFF C, GROSSE U, et al. Assessment of hepatic perfusion using GRASP MRI: bringing liver MRI on a new level[J]. Invest Radiol, 2019, 54(12): 737-743. DOI: 10.1097/RLI.0000000000000586.
[27]
KALTENBACH B, ROMAN A, POLKOWSKI C, et al. Free-breathing dynamic liver examination using a radial 3D T1-weighted gradient echo sequence with moderate undersampling for patients with limited breath-holding capacity[J]. Eur J Radiol, 2017, 86: 26-32. DOI: 10.1016/j.ejrad.2016.11.003.
[28]
CHANDARANA H, BLOCK T K, ROSENKRANTZ A B, et al. Free-breathing radial 3D fat-suppressed T1-weighted gradient echo sequence: a viable alternative for contrast-enhanced liver imaging in patients unable to suspend respiration[J]. Invest Radiol, 2011, 46(10): 648-653. DOI: 10.1097/RLI.0b013e31821eea45.
[29]
CHANDARANA H, FENG L, BLOCK T K, et al. Free-breathing contrast-enhanced multiphase MRI of the liver using a combination of compressed sensing, parallel imaging, and golden-angle radial sampling[J]. Invest Radiol, 2013, 48(1): 10-16. DOI: 10.1097/RLI.0b013e318271869c.
[30]
CHANDARANA H, FENG L, REAM J, et al. Respiratory motion-resolved compressed sensing reconstruction of free-breathing radial acquisition for dynamic liver magnetic resonance imaging[J]. Invest Radiol, 2015, 50(11): 749-756. DOI: 10.1097/RLI.0000000000000179.
[31]
CARLUCCIO G, COLLINS C M. Optimization of the order and spacing of sequences in an MRI exam to reduce the maximum temperature and thermal dose[J]. Magn Reson Med, 2019, 81(3): 2161-2166. DOI: 10.1002/mrm.27503.
[32]
JIA S L, XU H, YANG D W, et al. Effects of gadolinium chelate administration timing on T2-weighted and diffusion-weighted abdominal MRI examination: a prospective study[J/OL]. Curr Med Imaging, 2024, 20: e15734056308153 [2025-03-20]. https://pubmed.ncbi.nlm.nih.gov/39492764/. DOI: 10.2174/0115734056308153240817160848.

上一篇 磁共振成像评估大鼠蛛网膜下腔出血早期脑损伤时期海马体损伤的实验性研究
下一篇 磁共振成像设备在公立医院医学影像科学科建设中的现状分析:以江苏省为例
  
诚聘英才 | 广告合作 | 免责声明 | 版权声明
联系电话:010-67113815
京ICP备19028836号-2