分享:
分享到微信朋友圈
X
临床研究
磁共振弥散张量成像评估高强度聚焦超声治疗子宫腺肌病早期消融效果的价值研究
莫凡 龚春梅 彭刚 黎红霞 任臻 吕发金

Cite this article as: MO F, GONG C M, PENG G, et al. Evaluation of the value of diffusion tensor imaging in assessing the early efficacy of high-intensity focused ultrasound in adenomyosis[J]. Chin J Magn Reson Imaging, 2025, 16(10): 76-82.本文引用格式:莫凡, 龚春梅, 彭刚, 等. 磁共振弥散张量成像评估高强度聚焦超声治疗子宫腺肌病早期消融效果的价值研究[J]. 磁共振成像, 2025, 16(10): 76-82. DOI:10.12015/issn.1674-8034.2025.10.012.


[摘要] 目的 探讨术前磁共振弥散张量成像(diffusion tensor imaging, DTI)相关定量参数与高强度聚焦超声(high intensity focused ultrasound, HIFU)治疗子宫腺肌病早期消融效果的相关性,以此评估其定量参数对于治疗效果的预测价值。材料与方法 回顾性分析30例子宫腺肌病患者共32个子宫腺肌病病灶HIFU术前及术后1天内的对比增强MRI(contrast-enhanced MRI, CE-MRI)扫描数据。测量术前子宫腺肌病病灶的各向异性分数(fractional anisotropy, FA)、表观弥散系数(apparent diffusion coefficient, ADC)、弥散指数图像(exponential map, EXP),以及平均纤维束长度与平均纤维束密度。将以上定量参数与HIFU治疗的消融率进行相关性分析。结果 腺肌病病灶的平均纤维长度与消融率正相关(r=0.524,P=0.002),平均纤维密度与消融率正相关(r=0.603,P=0.001),FA值、ADC值、EXP值与消融率不存在相关性。以消融率>50%为消融良好的评判值时,平均纤维束密度的受试者工作特征(receiver operating characteristic, ROC)曲线下面积(area under the curve, AUC)为0.785(95%置信区间:0.622~0.949,P=0.006),平均纤维束长度的AUC值为0.711(95%置信区间:0.525~0.897,P=0.042)。结论 子宫腺肌病病灶的平均纤维束长度,平均纤维束密度与HIFU消融率正相关。平均纤维束长度越长,平均纤维束密度越大的子宫腺肌病病灶的HIFU消融效果越好。HIFU治疗术前的DTI纤维示踪成像定量参数对预测子宫腺肌病疗效具有一定的临床参考价值。
[Abstract] Objective To investigate the correlation between preoperative diffusion tensor imaging (DTI) parameters and the early ablation efficacy of high-intensity focused ultrasound (HIFU) in the treatment of adenomyosis, and to evaluate the predictive value of DTI-derived quantitative parameters.Materials and Methods A retrospective study was conducted on 40 patients with adenomyosis, involving a total of 42 lesions. All participants underwent contrast-enhanced MRI (CE-MRI) and DTI scans both preoperatively and within one day after HIFU treatment. The following preoperative DTI parameters were measured: fractional anisotropy (FA), apparent diffusion coefficient (ADC), exponential map (EXP), mean fiber tract length, and mean fiber density. Correlation analyses were performed between these parameters and the non-perfused volume ratio (NPVR) as a measure of ablation efficacy.Results Mean fiber tract length (r = 0.524, P = 0.002) and fiber density (r = 0.603, P = 0.001) were significantly positively correlated with NPVR. In contrast, FA, ADC, and EXP showed no significant correlation. When using NPVR > 50% as the threshold for satisfactory ablation, the area under the ROC curve (AUC) was 0.785 [95% confidence interval (CI): 0.622 to 0.949, P = 0.006] for mean fiber density and 0.711 (95% CI: 0.525 to 0.897, P = 0.042) for mean fiber tract length.Conclusions DTI parameters are associated with variations in HIFU treatment efficacy for adenomyosis. Specifically, greater mean fiber tract length and fiber density are positively correlated with better ablation outcomes. These preoperative DTI-based quantitative parameters may serve as useful predictors of therapeutic efficacy in HIFU treatment for adenomyosis.
[关键词] 纤维示踪成像;弥散张量成像;子宫腺肌病;高强度聚焦超声;磁共振成像
[Keywords] fiber tractography;diffusion tensor imaging;adenomyosis;high-intensity focused ultrasound;magnetic resonance imaging

莫凡 1   龚春梅 1   彭刚 2   黎红霞 1   任臻 1   吕发金 1, 2*  

1 重庆医科大学超声医学工程国家重点实验室,生物医学工程学院,重庆400016

2 重庆医科大学附属第一医院放射科,重庆 400016

通信作者:吕发金,E-mail:fajinlv@163.com

作者贡献声明:吕发金设计本研究的方案,对稿件重要内容进行了修改,获得了超声医学工程国家重点实验室开放基金支持;莫凡起草和撰写稿件,获取、分析或解释本研究的数据;彭刚,龚春梅,任臻,黎红霞获取、分析或解释本研究的数据,对稿件重要内容进行了修改;全体作者都同意发表最后的修改稿,同意对本研究的所有方面负责,确保本研究的准确性和诚信。


基金项目: 超声医学工程国家重点实验室开放课题项目 2022KFKT005
收稿日期:2025-06-26
接受日期:2025-10-10
中图分类号:R445.2  R711.71 
文献标识码:A
DOI: 10.12015/issn.1674-8034.2025.10.012
本文引用格式:莫凡, 龚春梅, 彭刚, 等. 磁共振弥散张量成像评估高强度聚焦超声治疗子宫腺肌病早期消融效果的价值研究[J]. 磁共振成像, 2025, 16(10): 76-82. DOI:10.12015/issn.1674-8034.2025.10.012.

0 引言

       子宫腺肌病是一种育龄期妇女常见的良性疾病,发病率在7%~23%。以痛经、经量异常增多、不孕以及慢性盆腔疼痛等[1, 2, 3, 4]为主要症状,对患者的生活造成了巨大的影响[5]。一些患者甚至称其为“不死的癌症”。目前传统治疗方法主要有病灶切除术、子宫切除术、激素类药物治疗[6]。药物治疗存在停药后子宫腺肌病复发的局限性,而作为根治疗法的子宫切除术完全破坏患者生育能力[7, 8],极大影响患者日常生活。高强度聚焦超声(high intensity focused ultrasound, HIFU)是一种新兴的非侵入性治疗方法,通过聚焦超声波在子宫腺肌病的病灶处产生高温,使病变组织发生热坏死,避免对周围正常组织的损伤。相比于传统的子宫切除术,HIFU在治疗子宫腺肌病时可以做到保留子宫的完整性。目前HIFU治疗已经成为子宫腺肌病治疗的有效选择之一[9, 10]

       由于HIFU手术无创性的特点,术前难以获取组织病理信息来预测HIFU疗效。以往研究在预测HIFU术后早期消融效果时主要通过分析对比增强MRI(contrast-enhanced MRI, CE-MRI)图像与T2加权成像(T2-weighted imaging, T2WI)等序列,以HIFU术后消融的非灌注体积比(nonperfused volume rate, NPVR)为评估疗效的标准[11, 12, 13],但CE-MRI存在扫描时间较长、费用高,以及部分患者对钆基对比剂过敏,对于肾功能缺陷的患者不适用等局限性[14]

       磁共振弥散张量成像(diffusion tensor imaging, DTI)通过反映水分子在各个方向上的弥散状态,可得到子宫腺肌病病灶的平均纤维束密度、平均纤维束长度、各向异性分数(fractional anisotropy, FA)、表观弥散系数(apparent diffusion coefficient, ADC)以及弥散指数值。WEISS等[15]通过重建离体子宫的DTI纤维束示踪图像,并将重建结果与病理结果相比较,证明了DTI相关参数与子宫微观纤维结构具有一定的对应关系,FIOCCHI等[16]的研究也证明了这一点。在术前缺乏病理诊断时为HIFU治疗提供更多的组织微观信息[17]。目前已有部分研究证实磁共振弥散加权成像(diffusion weighted imaging, DWI)可以有效地评估HIFU消融效果[18, 19, 20]。然而尚未有评估DTI能否有效预测子宫腺肌病HIFU术后早期消融效果的研究。因此本研究通过评估DTI相关定量参数与NPVR的相关性,探究DTI相关定量参数是否具有评估HIFU早期疗效的价值。

1 材料与方法

1.1 研究对象

       本研究遵循《赫尔辛基宣言》相关伦理原则,经重庆医科大学附属第一医院伦理委员会审批通过,批准文号为2025-315-01,获准免除受试者知情同意。本研究回顾性纳入2025年3月至2025年5月期间于重庆医科大学附属第一医院接受HIFU治疗的40例子宫腺肌病患者的临床与影像学资料。所有患者均在治疗前及术后24小时内接受MRI检查,以评估治疗效果。

       纳入标准:(1)经过临床MRI与超声检查确定的子宫腺肌病患者;(2)年龄>18岁,未绝经前女性;(3)既往已接受HIFU消融治疗的子宫腺肌病患者;(4)在治疗前与治疗后均完成MRI检查,资料可获得。排除标准:(1)盆腔恶性肿瘤患者;(2)确认存在盆腔急性炎症的患者;(3)MRI图像伪影严重影响观察结果;(4)临床资料,影像资料丢失;(5)目标消融病灶旁微小卫星灶。共排除10例患者数据,最后纳入统计30例患者共32个子宫腺肌病病灶的数据。

1.2 MRI检查

       患者在HIFU术前,术后24 h内采用3.0 T MRI(GE Healthcare SIGNA Premier, USA)扫描仪进行盆腔平扫以及采用体积加速肝脏采集序列(liver acquisition with volume acceleration, LAVA)进行T1加权动态增强成像,增强检查使用钆基对比剂钆布醇(Gadovist®; Bayer AG, Leverkusen, Germany)。线圈选择表面相控阵线圈。所有患者均在检查前2 h肛门开塞露灌肠,进行肠道准备。扫描体位采用头先进仰卧位。

       主要扫描序列及参数如下:T2WI序列,TR 5000 ms,TE 85 ms,FOV 24 cm×24 cm,矩阵320×256,层厚4 mm,层间距1 mm;LAVA序列,TR 4.2 ms,TE 1.8 ms,FOV 28 cm×28 cm,矩阵288×224,层厚3.6 mm;DWI序列,TR 7633 ms,TE 63.8 ms,FOV 38 cm×38 cm,矩阵128×128,层厚4 mm;DTI使用SE-EPI序列,FOV 38 cm×38 cm,矩阵128×104,层厚4 mm,TE 80 ms,TR 4500 ms,b值设置为0 s/mm2和600 s/mm2,弥散梯度方向32个,NEX 4。

1.3 影像数据分析

       DTI数据预处理:在CE-MRI与术前超声检查中确定腺肌病病灶形态、位置,对应其在DTI图像上成像结果。使用MATLAB(R2017a,https://ww2.mathworks.cn)软件将术前原始DICOM格式文件转换成NIFTI格式。在软件中去除前4个b=0 s/mm2的时相。输出DTI弥散梯度表。使用Diffusion Tool Kit处理NIFTI格式数据。示踪阈值使用45°,纤维示踪采用模板Y。

       感兴趣区(region of interest, ROI)勾画与纤维束追踪:ROI勾画由1名具有6年腹部MRI诊断经验的放射科主治医师完成。所有影像在读片前完成去标识与随机化(隐藏姓名、日期、时间点与治疗信息)。读片医师对临床资料、治疗分组(是否消融成功)等均不知情;每例患者的ROI勾画进行3次,每次间隔1周。每个ROI的三个勾画结果取平均值作为最终分析数据。参考既往研究[17],纤维束示踪的最短纤维长度阈值设定为5 mm。在Trackvis软件(版本0.6.1,Martinos Center for Biomedical Imaging,Massachusetts General Hospital,USA,http://www.trackvis.org)中进行。在b=0 s/mm2图像上进行ROI的逐层勾画。以一个子宫腺肌病完整病灶为一个ROI(图1)。参考既往研究纤维束示踪的最短纤维束长度设定为5 mm。子宫腺肌病病灶区域的平均纤维束密度、平均纤维束长度、FA、ADC以及弥散指数图像(exponential map, EXP)由软件自动计算得出。根据子宫腺肌病病灶所在位置与特征将病灶分类为全层非对称型、全层对称型、内生型与外生型[21, 22]

       消融率:HIFU消融子宫腺肌病的非灌注体积率公式为NPVR%= V'/V × 100%。V为子宫腺肌病病灶体积,V'为子宫腺肌病术后CE-MRI上未强化区域体积。使用AW服务器工作站(AW-server workstation, version 4.7,GE Healthcare)的体积测量软件,在术前,术后LAVA图像上逐层勾画病灶区域与未强化区域(图1),软件自动计算出术前腺肌病病灶体积与术后未强化区域的体积。

图1  女,37岁,子宫腺肌病病灶体积与非灌注体积比(NPVR)的感兴趣区(ROI)勾画示意图。1A:T2WI图,病灶呈等低混杂信号。1B:高强度聚焦超声(HIFU)术前增强MRI静脉期图像,病灶呈轻度强化。在体积加速肝脏采集序列(LAVA)序列图像上,对病灶区域逐层勾画。1C:HIFU手术后增强MRI静脉期图像,在LAVA序列图像上,对未显示对比剂强化的低信号区逐层勾画。1D:在术前图像上逐层勾画病灶感兴趣体积(VOI),获取消融后无灌注区域的体积。1E:在术后LAVA图像上勾画病灶VOI并计算消融后无灌注区域。
Fig. 1  Female, 37 years old, schematic illustration of region of interest (ROI) delineation for adenomyosis lesion volume and nonperfused volume rate (NPVR). 1A: On the T2WI, the lesion shows iso- to hypointense mixed signal. 1B: On the pre high intensity focused ultrasound contrast-enhanced MRI venous phase image, the lesion demonstrated mild enhancement and is delineated slice by slice on liver acquisition with volume acceleration (LAVA) images. 1C: On the post- high intensity focused ultrasound contrast-enhanced MRI venous phase image, the non-enhancing hypointense region is delineated slice by slice on LAVA images. 1D: The volume of interest of the lesion is delineated on pre-high intensity focused ultrasound contrast-enhanced MRI images to calculate lesion volume and derive the non-perfused volume. 1E: On post- high intensity focused ultrasound contrast-enhanced MRI images to calculate the nonperfused volume.

1.4 统计学处理

       本研究在研究设计阶段进行了样本量估算,使用G*Power 3.1软件设定α=0.05、检验效能0.80、预期效应量r=0.50,计算结果显示至少需要26例患者,本研究最终纳入30例,满足样本量要求。采用使用SPSS 27.0软件(IBM, Armonk, NY, USA)完成分析。计数资料以百分比形式表示;对计量资料,若符合正态分布则采用均值±标准差(±s)表示,非正态分布则以中位数及四分位数间距MQ1,Q3)描述。为评估ROI勾画及纤维追踪测量的重复性,采用组内相关系数(intra-class correlation coefficient, ICC)进行一致性分析,ICC>0.75视为一致性良好。本研究统计了所有子宫腺肌病病灶的FA值、ADC值、EXP值、平均纤维束长度及纤维束密度,对各项数据进行正态性检验。根据正态性检验结果,分别采用Pearson或Spearman相关性检验来分析各DTI定量参数与NPVR之间的相关性。对于存在显著相关关系的参数绘制受试者工作特征(receiver operating characteristic, ROC)曲线,计算曲线下面积(area under the curve, AUC)。以此评估其对HIFU治疗消融效果(NPVR≥50%)[12]的预测价值,并记录相应的敏感度、特异度及最佳截断点。所有统计学检验均为双侧检验,以P<0.05为差异有统计学意义。

1.5 HIFU治疗

       HIFU治疗采用JC200型海扶刀®聚焦超声肿瘤治疗系统(重庆海扶医疗科技股份有限公司,功率范围300~400 W)。操作者为同两位分别具有14年和12年诊断年限的医师操作。治疗时取俯卧位,患者于清醒镇静状态及超声实时监测下接受HIFU消融治疗。治疗过程中自病灶深部向浅部逐层辐照,并依据超声图像中病灶区域的灰度变化调整超声能量。当靶区出现显著灰度改变或超声能量达到预设阈值时,即终止治疗。

2 结果

2.1 一般资料

       纳入统计30例患者,32个子宫腺肌病病灶。两位医师勾画ROI的ICC值为0.82,提示一致性较好。在增强T1图像中测量的无灌注体积范围是3.17~185.68 cm3,中位体积为25.11(9.82,46.31)cm³。其中15例子宫腺肌病为全层非对称型,全层对称型和内生型各4例,外生型9例。子宫腺肌病病灶在T1WI上呈边界不清的等信号,与子宫肌层相仿。在T2WI上呈边界不清的混杂低信号。在CE-MRI上信号强化程度不等,22例为中高度强化,10例为轻度强化(表1图2)。DTI纤维示踪提示子宫腺肌病病灶区域内纤维束形态多为长度中等,环状走形,排列混乱(图3)。当子宫腺肌病患者病灶部分在T2WI上表现为混杂极低信号时,在纤维示踪重建中可以看到重建图像中纤维束数量减少、中断,纤维密度较低,治疗效果不佳(图4)。

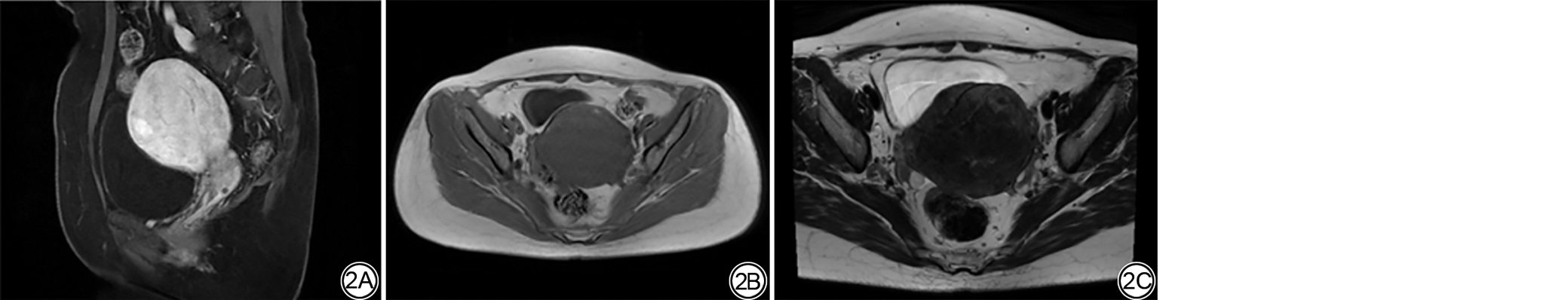
图2  女,37岁,子宫腺肌病病灶影像表现。2A:子宫腺肌病病灶在增强磁共振成像上表现为轻度强化;2B:子宫腺肌病病灶在T1WI上表现为边界不清的等信号,与子宫肌层相仿;2C:子宫腺肌病病灶在T2WI上呈边界不清的混杂低信号。
Fig. 2  Female, 37-year-old, representative MRI findings of uterine adenomyosis. 2A: The lesion exhibits mild enhancement on contrast-enhanced MRI; 2B: On T1WI, it appears isointense with indistinct margins, resembling the surrounding myometrium; 2C: On T2WI, the lesion presents as a heterogeneous hypointense area with poorly defined borders.
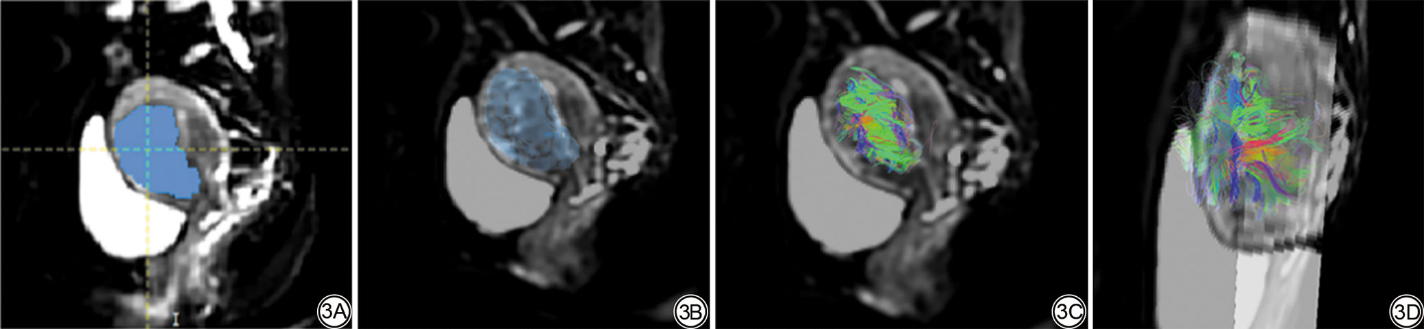
图3  女,42岁,腺肌病病灶感兴趣区(ROI)的勾画与纤维重建成果。3A:在TrackVis上逐层勾画病灶ROI;3B:以一个腺肌病病灶整体作为一个ROI;3C、3D:子宫腺肌病病灶区域纤维示踪重建结果,见大量环状走形纤维,长度中等,排列密集,混乱。
Fig. 3  Female, 42-year-old, results of delineation of adenomyosis lesion regions of interest (ROI) and fiber reconstruction. 3A: The lesion ROI is manually outlined slice by slice using TrackVis; 3B: The entire adenomyotic lesion is treated as a single ROI for fiber reconstruction; 3C, 3D: Fiber tractography of the lesion area revealed numerous circular and curved fibers with moderate length, densely distributed and disorganized in orientation.
图4  女,48岁,子宫腺肌病患者高强度聚焦超声(HIFU)消融效果不佳。4A:T2WI病灶内呈混杂低信号;4B:纤维示踪图显示病灶区域纤维示踪中断,纤维形态杂乱,纤维束密度为10.33,预测HIFU消融效果不佳;4C、4D:HIFU术后T2WI、弥散张量成像纤维示踪图像,非灌注体积比(NPVR)为34.21%,实际消融效果不佳,与预测相符合。
Fig. 4  Female, 48-year-old, patient with adenomyosis have poor high intensity focused ultrasound (HIFU) ablation efficacy. 4A: The adenomyosis lesion exhibits mixed hypointense signal on T2WI, which may indicate a higher degree of fibrosis; 4B: Fiber tractography shows interrupted and disorganized fiber structures within the lesion area; 4C, 4D: Post high intensity focused ultrasound T2WI and DTI tractography, the non-perfused volume ratio (NPVR) is 34.21%, indicating suboptimal ablation efficacy.
表1  研究对象基线特征
Tab. 1  Baseline data of adenomyosis

2.2 子宫腺肌病磁共振DTI定量参数与消融率的相关性

       子宫腺肌病病灶平均长度不满足正态分布,其余参数均满足正态分布。FA(r=0.088,P=0.632)、ADC(r=0.216,P=0.236)与EXP(r=-0.244,P=0.179)与消融率相关性不存在统计学意义,术前纤维束长度(13.936±2.16 mm)与NPVR呈正相关(r=0.524,P=0.002);术前纤维束密度(13.872±1.94)与消融率呈正相关(r=0.603,P=0.001),详见图5

图5  术前纤维束长度,纤维束密度与非灌注体积比(NPVR)的相关性散点图。纤维束长度,密度与NPVR呈正相关。5A~5B:拟合方程分别为y=2.746x+12.06(R2=0.347),y=3.177x+8.59(R2=0.363)。
Fig. 5  Scatter plots illustrating the correlation between preoperative fiber tract length, fiber density, and the non-perfused volume ratio (NPVR). NPVR demonstrated a positive correlation with both fiber length and fiber density. 5A-5B: The fitted linear regression equations are y = 2.746x + 12.06 (R² = 0.347) for fiber length, and y = 3.177x + 8.59 (R² = 0.363) for fiber density, respectively.

2.3 术前DTI的定量参数用于预测HIFU治疗疗效的ROC曲线分析

       消融良好的标准为NPVR>50%时,术前纤维束长度的AUC为0.711(P=0.042),纤维束密度的AUC为0.785(P=0.006)(表2)。以术前纤维束长度为14.35 mm为界值预测HIFU治疗子宫腺肌病的疗效,敏感度为56.3%,特异度为87.5%;而以术前纤维束密度等于13.11为界值时,敏感度为75.0%,特异度为81.2%(图6, 图7)。纤维密度的曲线下面积值相对较高,提示其可能在预测HIFU消融子宫腺肌病效果方面具有一定优势,但两者之间的差异无统计学意义。

图6  术前弥散张量成像定量参数预测高强度聚焦超声(HIFU)消融子宫腺肌病非灌注体积比的受试者工作特征(ROC)曲线。AUC:曲线下面积。
Fig. 6  Receiver operating characteristic (ROC) curves demonstrating the predictive performance of preoperative diffusion tensor imaging quantitative parameters for the non-perfused volume ratio (NPVR) following high intensity focused ultrasound (HIFU) ablation of adenomyosis. AUC: area under the curve.
图7  基于受试者工作特征(ROC)曲线分析中的Youden指数。7A:术前纤维束长度14.35 mm被确定为预测高强度聚焦超声治疗子宫腺肌病疗效的最佳截断点(敏感度56.3%,特异度87.5%);7B:术前纤维束密度13.11被确定为最佳截断点(敏感度75.0%,特异度81.2%)。
Fig. 7  Based on the Youden index in receiver operating characteristic (ROC) curve analysis. 7A: A preoperative mean fiber length of 14.35 mm is identified as the optimal cut-off for predicting the efficacy of high intensity focused ultrasound ablation in adenomyosis (sensitivity 56.3%, specificity 87.5%). 7B:A preoperative fiber density of 13.11 is identified as the optimal cut-off (sensitivity 75.0%, specificity 81.2%).
表2  ROC曲线结果分析表
Tab. 2  Analysis of ROC curve results

3 讨论

       既往研究多依赖T2WI、CE-MRI或ADC、FA等常规DTI参数评估HIFU疗效,本研究在此基础上引入纤维束长度与纤维密度并确定截断值,同时以NPVR作为客观标准,将纤维示踪参数纳入分析。结果显示DTI定量参数中的平均纤维束长度,平均纤维束密度与NPVR正相关,提示纤维束长度越长,平均纤维束密度越高的子宫腺肌病病灶HIFU消融的效果越好。ROC曲线分析提示子宫腺肌病病灶的平均纤维密度,平均纤维束长度对于临床患者术前预测疗效具有良好的预测能力。DTI能在术前评估HIFU治疗子宫腺肌病时反映病灶区域的微观纤维结构,纤维束密度和纤维束长度具有较好的疗效预测能力,为评估HIFU消融效果提供新的角度。该方法可减少对钆对比剂的依赖,降低检查成本和不良反应风险,缩短扫描时间,并为子宫腺肌病治疗决策提供理论依据。DTI在子宫腺肌病HIFU术前疗效预测方面具有临床价值。

3.1 磁共振DTI纤维示踪成像应用于预测子宫腺肌病的意义

       目前诸多学者基于T2WI,CE-MRI影像学特征对HIFU治疗效果进行预测[23, 24]。QIN等[25]的研究证明DTI纤维示踪成像的定量参数在预测HIFU治疗子宫良性疾病疗效中具有临床价值。FA值反映水分子在各个方向上的弥散程度。FA值越大则水分子的弥散越具有方向性[26]。ADC值则与水分子弥散运动正相关[27]。吴准等[28]通过比术前术后ADC、体积缩小,及T2WI、FA等DTI定量参数的改变来评估HIFU治疗子宫腺肌病疗效。但未对HIFU术后非灌注体积比进行评估,未进行纤维示踪成像。本研究通过非灌注消融率来客观评估HIFU消融效果,以NPVR大于50%作为消融成功的标准[29, 30],纳入纤维示踪成像结果,评估术前病灶区域的DTI定量参数与术后NPVR进行相关性分析。验证了术前DTI得到的术前平均纤维长度与平均纤维束密度具有预测HIFU消融子宫腺肌病疗效的能力,具有一定临床意义。

3.2 评估磁共振DTI定量参数与非灌注体积比之间相关性

       本研究中通过重建术前术后子宫腺肌病病灶纤维束示踪图像,观察到术前腺肌病病灶区域纤维排布紊乱密集,长度中等。术后病灶区域发生凝固性坏死,在CE-MRI上表现为无强化区域。这部分病灶内纤维束示踪减少,纤维束中断,方向性丧失。可能反映了病灶组织纤维被破坏。与既往子宫腺肌病病灶区域的病理研究一致[31]

       本研究中HIFU术后NPVR与术前病灶区域纤维束密度正相关。纤维束密度可评估组织微结构完整性。其反映了单位体积内纤维束数量、分布情况。纤维束密度高提示组织微结构纤维排列密集,纤维束密度低则提示纤维束排列松散,方向性丧失[32, 33]。由于子宫腺肌病病灶区域的平滑肌细胞大量增生,表现出轻中度纤维化。利于HIFU治疗的声能在上述区域内更快聚集,防止了一部分能量弥散或者过早衰减。且平滑肌增生纤维化区域内部的水分子含量相对较少,利于声能转化为热能,从而使得病灶部分产生凝固性坏死。另外,当病灶区域纤维化程度较高,排列紊乱,病灶结构不均匀时会导致纤维示踪中断,重建得到纤维束密度下降。因在HIFU治疗中组织大量纤维化可能导致超声能量的反射或衰减,不利于目标组织发生凝固性坏死。在本研究中当子宫腺肌病患者病灶部分在T2WI上表现为混杂极低信号时,在纤维示踪重建中可以看到重建图像中纤维束数量减少、中断,纤维密度较低,治疗效果不佳。

       本研究中,HIFU术后非灌注体积比还与术前病灶区域平均纤维长度正相关。纤维长度越长的腺肌病病灶消融效果越好。GONG等[34]指出在较大体积的腺肌病病灶HIFU消融效果较好,这是由于较大的病灶利于超声能量沉积。较高的平均纤维长度提示组织结构较为连续,排列较为规则。在此类型的组织中HIFU治疗的超声能量能够更好地沉积,故HIFU术后非灌注体积比与术前平均纤维长度呈正相关。这也与LONG等[35]的研究结论相符合。但目前尚无研究探讨腺肌病病灶体积与术前病灶内平均纤维长度之间的相关性。

3.3 本研究的局限性

       (1)本研究为单中心前瞻性分析,样本数量有限,结果可能存在偏倚,结论的外推性受限。(2)HIFU手术的结果受到术者经验与具体操作的影响较大,DTI参数的稳定性和普适性仍需在大样本多中心研究中验证。(3)本研究仅纳入HIFU术后48小时内的影像学资料,未结合临床症状学指标如痛经评分或月经量变化,难以全面反映治疗效果。未来研究应引入更多临床与影像学数据并结合长期随访。

4 结论

       综上所述,DTI序列定量参数中术前平均纤维束密度与术前平均纤维束长度与NPVR呈正相关,可预测HIFU消融子宫腺肌病早期消融效果。该方法为HIFU消融子宫腺肌病早期效果预测提供了一个全新、经济、安全的方向。

[1]
冷金花. 子宫腺肌病诊治中国专家共识[J]. 中华妇产科杂志, 2020, 55(6): 376-383. DOI: 10.3760/cma.j.cn112141-20200228-00150.
LENG J H. China expert consensus on diagnosis and treatment of adenomyosis[J]. Chin J Obstet Gynecol, 2020, 55(6): 376-383. DOI: 10.3760/cma.j.cn112141-20200228-00150.
[2]
KOLOVOS G, DEDES I, IMBODEN S, et al. Adenomyosis-a call for awareness, early detection, and effective treatment strategies: a narrative review[J/OL]. Healthcare (Basel), 2024, 12(16): 1641 [2025-05-26]. https://www.mdpi.com/2227-9032/12/16/1641. DOI: 10.3390/healthcare12161641.
[3]
KIM H, FRISCH E H, FALCONE T. From diagnosis to fertility: optimizing treatment of adenomyosis for reproductive health[J/OL]. J Clin Med, 2024, 13(16): 4926 [2025-05-26]. https://www.mdpi.com/2077-0383/13/16/4926. DOI: 10.3390/jcm13164926.
[4]
SCHAWLOCHOW K, SAMARTZIS N, BURLA L, et al. Adenomyosis localized in both the anterior and posterior myometrium is associated with deep rectal endometriosis: A retrospective study[J/OL]. Biomedicines, 2024, 12(11): 2527 [2025-05-26]. https://www.mdpi.com/2227-9059/12/11/2527. DOI: 10.3390/biomedicines12112527.
[5]
ALCALDE A M, MARTÍNEZ-ZAMORA M Á, GRACIA M, et al. Impact of adenomyosis on women's psychological health and work productivity: A comparative cross-sectional study[J]. J Womens Health (Larchmt), 2021, 30(11): 1653-1659. DOI: 10.1089/jwh.2020.8789.
[6]
FEGHALI E, ETRUSCO A, HAYDAMOUS J, et al. Concurrent diagnosis of adenomyosis and congenital uterine anomalies: a review[J/OL]. J Pers Med, 2023, 13(5): 716 [2025-05-26]. https://www.mdpi.com/2075-4426/13/5/716. DOI: 10.3390/jpm13050716.
[7]
ZHANG M, BAZOT M, TSATOUMAS M, et al. MRI of adenomyosis: where are we today?[J]. Can Assoc Radiol J, 2023, 74(1): 58-68. DOI: 10.1177/08465371221114197.
[8]
MOAWAD G, FRUSCALZO A, YOUSSEF Y, et al. Adenomyosis: an updated review on diagnosis and classification[J/OL]. J Clin Med, 2023, 12(14): 4828 [2025-05-26]. https://www.mdpi.com/2077-0383/12/14/4828. DOI: 10.3390/jcm12144828.
[9]
ZHANG L, RAO F W, SETZEN R. High intensity focused ultrasound for the treatment of adenomyosis: selection criteria, efficacy, safety and fertility[J]. Acta Obstet Gynecol Scand, 2017, 96(6): 707-714. DOI: 10.1111/aogs.13159.
[10]
崔靖, 郭冉, 信瑞强. 基于ADC影像组学的机器学习模型预测子宫内膜癌肌层浸润深度的价值[J]. 磁共振成像, 2025, 16(3): 77-82. DOI: 10.12015/issn.1674-8034.2025.03.012.
CUI J, GUO R, XIN R Q. Predictive value of machine learning model based on ADC radiomics in evaluating the invasion depth of endometrial carcinoma[J]. Chin J Magn Reson Imag, 2025, 16(3): 77-82. DOI: 10.12015/issn.1674-8034.2025.03.012.
[11]
KESERCI B, DUC N M. Magnetic resonance imaging features influencing high-intensity focused ultrasound ablation of adenomyosis with a nonperfused volume ratio of ≥90% as a measure of clinical treatment success: retrospective multivariate analysis[J]. Int J Hyperthermia, 2018, 35(1): 626-636. DOI: 10.1080/02656736.2018.1516301.
[12]
YU J W, YANG M J, JIANG L, et al. Factors influencing USgHIFU ablation for adenomyosis with NPVR ≥ 50[J/OL]. Int J Hyperthermia, 2023, 40(1): 2211753 [2025-05-26]. https://pubmed.ncbi.nlm.nih.gov/37211351/. DOI: 10.1080/02656736.2023.2211753.
[13]
中国医学装备协会磁共振应用专业委员会微创治疗学组. MR引导聚焦超声治疗子宫肌瘤中国专家共识[J]. 中华放射学杂志, 2020, 54(8): 737-744. DOI: 10.3760/cma.j.cn112149-20200318-00413.
Minimally Invasive Therapeutics Group of MRI Application Committee of China Medical Equipment Association. China consensus on MR guided focused ultrasound for uterine fibroids[J]. Chin J Radiol, 2020, 54(8): 737-744. DOI: 10.3760/cma.j.cn112149-20200318-00413.
[14]
COIMBRA S, ROCHA S, SOUSA N R, et al. Toxicity mechanisms of gadolinium and gadolinium-based contrast agents-a review[J/OL]. Int J Mol Sci, 2024, 25(7): 4071 [2025-05-26]. https://pubmed.ncbi.nlm.nih.gov/38612881/. DOI: 10.3390/ijms25074071.
[15]
WEISS S, JAERMANN T, SCHMID P, et al. Three-dimensional fiber architecture of the nonpregnant human uterus determined ex vivo using magnetic resonance diffusion tensor imaging[J]. Anat Rec Part A Discov Mol Cell Evol Biol, 2006, 288A(1): 84-90. DOI: 10.1002/ar.a.20274.
[16]
FIOCCHI F, NOCETTI L, SIOPIS E, et al. In vivo 3 T MR diffusion tensor imaging for detection of the fibre architecture of the human uterus: a feasibility and quantitative study[J/OL]. Br J Radiol, 2012, 85(1019): e1009-17 [2025-05-26]. https://pubmed.ncbi.nlm.nih.gov/22744322/. DOI: 10.1259/bjr/76693739.
[17]
周芳露, 吕富荣, 吕发金, 等. 术前DTI纤维束示踪成像定量参数与高强度聚焦超声消融子宫肌瘤疗效的相关性研究[J]. 临床放射学杂志, 2020, 39(1): 206-211. DOI: 10.13437/j.cnki.jcr.2020.01.043.
ZHOU F L, LV F R, LV F J, et al. The predictive value of quantitative DTI fibre tractography metrics for ablation effect of high intensity focused ultrasound in treating uterine fibroids[J]. J Clin Radiol, 2020, 39(1): 206-211. DOI: 10.13437/j.cnki.jcr.2020.01.043.
[18]
LIAO D F, XIAO Z B, LV F R, et al. Non-contrast enhanced MRI for assessment of uterine fibroids' early response to ultrasound-guided high-intensity focused ultrasound thermal ablation[J/OL]. Eur J Radiol, 2020, 122: 108670 [2025-05-26]. https://pubmed.ncbi.nlm.nih.gov/31778966/. DOI: 10.1016/j.ejrad.2019.108670.
[19]
郭琪, 瞿大成, 陈燕, 等. 子宫腺肌病的磁共振成像特征与高强度聚焦超声治疗疗效的相关性[J]. 川北医学院学报, 2023, 38(11): 1465-1468. DOI: 10.3969/j.issn.1005-3697.2023.11.006.
GUO Q, QU D C, CHEN Y, et al. Correlation between magnetic resonance imaging characteristics of adenomyosis and therapeutic effect of high intensity focused ultrasound[J]. J N Sichuan Med Coll, 2023, 38(11): 1465-1468. DOI: 10.3969/j.issn.1005-3697.2023.11.006.
[20]
唐明梅, 王璐, 张珂, 等. DWI对高强度聚焦超声治疗子宫腺肌病早期消融效果的评价[J]. 磁共振成像, 2023, 14(12): 66-71. DOI: 10.12015/issn.1674-8034.2023.12.011.
TANG M M, WANG L, ZHANG K, et al. Evaluation of DWI on the early therapeutic efficacy of HIFU in adenomyosis[J]. Chin J Magn Reson Imag, 2023, 14(12): 66-71. DOI: 10.12015/issn.1674-8034.2023.12.011.
[21]
GONG C M, WANG Y Y, LV F J, et al. Evaluation of high intensity focused ultrasound treatment for different types of adenomyosis based on magnetic resonance imaging classification[J]. Int J Hyperthermia, 2022, 39(1): 530-538. DOI: 10.1080/02656736.2022.2052366.
[22]
YING J, JING X, GAO F, et al. Prediction of ablation rate for high-intensity focused ultrasound therapy of adenomyosis in MR images based on multi-model fusion[J]. J Imaging Inform Med, 2024, 37(4): 1579-1590. DOI: 10.1007/s10278-024-01063-4.
[23]
HAO Q, LIU J W, HOU R Y, et al. Conventional magnetic resonance imaging combined with three-dimensional ultrasound for preoperative prediction of immediate ablation rate in high-intensity focused ultrasound treatment of uterine fibroids[J/OL]. Int J Hyperthermia, 2025, 42(1): 2448545 [2025-05-26]. https://pubmed.ncbi.nlm.nih.gov/39842805/. DOI: 10.1080/02656736.2024.2448545.
[24]
CHEN Y, LIU M L, HUANG D Q, et al. Predicting short-term and long-term efficacy of HIFU treatment for uterine fibroids based on clinical information and MRI: a retrospective study[J]. Acad Radiol, 2025, 32(3): 1488-1499. DOI: 10.1016/j.acra.2024.09.040.
[25]
QIN S Z, JIANG Y, WANG Y L, et al. Predicting the efficacy of high-intensity focused ultrasound (HIFU) ablation for uterine leiomyomas based on DTI indicators and imaging features[J]. Abdom Radiol (NY), 2024, 49(6): 2017-2026. DOI: 10.1007/s00261-023-03865-6.
[26]
GHADERI S, MOHAMMADI S, FATEHI F. Diffusion tensor imaging (DTI) biomarker alterations in brain metastases and comparable tumors: A systematic review of DTI and tractography findings[J]. World Neurosurg, 2024, 190: 113-129. DOI: 10.1016/j.wneu.2024.07.037.
[27]
李丙萱, 时寅, 丁洪园, 等. 正常椎间孔段颈神经磁共振弥散张量成像相关参数研究及纤维束重建[J]. 磁共振成像, 2024, 15(1): 101-105, 124. DOI: 10.12015/issn.1674-8034.2024.01.016.
LI B X, SHI Y, DING H Y, et al. Study of diffusion tensor imaging parameters in foraminal cervical nerve of healthy volunteers and fiber bundle reconstruction[J]. Chin J Magn Reson Imag, 2024, 15(1): 101-105, 124. DOI: 10.12015/issn.1674-8034.2024.01.016.
[28]
吴准, 李凤致, 王宗英, 等. MR扩散张量成像评估子宫腺肌病高强度聚焦超声治疗前后的应用[J]. 实用医学杂志, 2019, 35(10): 1652-1654, 1658. DOI: 10.3969/j.issn.1006-5725.2019.10.027.
WU Z, LI F Z, WANG Z Y, et al. The value of DWI in the effectiveness of high-intensity focused ultrasound ablation of adenomyosis[J]. J Pract Med, 2019, 35(10): 1652-1654, 1658. DOI: 10.3969/j.issn.1006-5725.2019.10.027.
[29]
LIU X, WANG W, WANG Y, et al. Clinical predictors of long-term success in ultrasound-guided high-intensity focused ultrasound ablation treatment for adenomyosis: a retrospective study[J/OL]. Medicine (Baltimore), 2016, 95(3): e2443 [2025-05-26]. https://pubmed.ncbi.nlm.nih.gov/26817877/. DOI: 10.1097/MD.0000000000002443.
[30]
DU C C, WANG Y Q, QU D C, et al. Magnetic resonance imaging T2WI hyperintense foci number and the prognosis of adenomyosis after high-intensity focused ultrasound treatment[J]. Int J Gynaecol Obstet, 2021, 154(2): 241-247. DOI: 10.1002/ijgo.13587.
[31]
ANTERO M F, AYHAN A, SEGARS J, et al. Pathology and pathogenesis of adenomyosis[J]. Semin Reprod Med, 2020, 38(2/03): 108-118. DOI: 10.1055/s-0040-1718922.
[32]
LI B X, SU Y X, ZHANG M, et al. Evaluation of diffusion tensor imaging in foraminal cervical nerve and fiber bundle reconstruction in patients with cervical spondylotic radiculopathy[J]. Jpn J Radiol, 2025, 43(8): 1357-1364. DOI: 10.1007/s11604-025-01776-8.
[33]
TAO S Q, SHI L Y, CHAI X S, et al. Value of multi-modal MRI in predicting the effect of high-intensity focused ultrasound for uterine fibroids[J/OL]. Int J Hyperthermia, 2025, 42(1): 2495360 [2025-05-26]. https://pubmed.ncbi.nlm.nih.gov/40269574/. DOI: 10.1080/02656736.2025.2495360.
[34]
GONG C M, YANG B, SHI Y R, et al. Factors influencing the ablative efficiency of high intensity focused ultrasound (HIFU) treatment for adenomyosis: a retrospective study[J]. Int J Hyperthermia, 2016, 32(5): 496-503. DOI: 10.3109/02656736.2016.1149232.
[35]
LONG Y P, GAN Y, SUN F J, et al. Study on the heating law of thermal effect of HIFU on tissue based on piezoelectric ceramic voltage and vibration frequency[J/OL]. Sci Rep, 2025, 15(1): 4168 [2025-05-26]. https://pubmed.ncbi.nlm.nih.gov/39905147/. DOI: 10.1038/s41598-025-87166-6.

上一篇 生境分析和瘤周影像组学预测前列腺癌患者去势抵抗
下一篇 超分辨率重建技术提高基于T2WI图像的深度学习预测子宫内膜癌淋巴脉管间隙浸润的诊断效能
  
诚聘英才 | 广告合作 | 免责声明 | 版权声明
联系电话:010-67113815
京ICP备19028836号-2