分享:
分享到微信朋友圈
X
临床研究
基于MRI与X线评估业余马拉松运动员髌股关节软骨损伤及其影响因素分析
冉春艳 王显高 徐高强 刘军委 王丹 李小妹 何生生 刘衡 张体江

Cite this article as: RAN C Y, WANG X G, XU G Q, et al. Analysis of patellofemoral joint cartilage injuries and influencing factors in amateur marathon runners based on MRI and X-ray[J]. Chin J Magn Reson Imaging, 2025, 16(10): 98-103.本文引用格式:冉春艳, 王显高, 徐高强, 等. 基于MRI与X线评估业余马拉松运动员髌股关节软骨损伤及其影响因素分析[J]. 磁共振成像, 2025, 16(10): 98-103. DOI:10.12015/issn.1674-8034.2025.10.015.


[摘要] 目的 本研究旨在探讨业余马拉松运动员半程马拉松运动前后膝关节关键结构T2值变化及其与临床变量的相关性,并筛选髌股关节(patellofemoral joint, PFJ)软骨损伤的影响因素。材料与方法 前瞻性招募2024年10月遵义市新蒲半程马拉松业余运动员,分别于赛前1周内及赛后24小时内采用相同MRI设备及参数扫描同侧膝关节,同时行负重位膝关节X线检查。通过T2 mapping技术测量PFJ髌软骨(patellar cartilage, PC)、内侧半月板(medial meniscus, MM)、外侧半月板(meniscus lateralis, ML)、前交叉韧带(anterior cruciate ligament, ACL)、后交叉韧带(posterior cruciate ligament, PCL)、腘肌(popliteus muscle, PM)及内侧腓肠肌(medial gastrocnemius, MG)的T2值,依据Recht标准行PFJ软骨分级,按Kellgren-Lawrence分级(Kellgren-Lawrence grading, KLG)行膝关节骨性关节炎(knee osteoarthritis, KOA)分级。采用Wilcoxon非参数检验、配对t检验分析运动前后T2值差异,通过Spearman及Pearson相关分析T2值差值与年龄、身体质量指数(body mass index, BMI)、Recht分级及KOA KLG的相关性,再经多元线性回归筛选损伤影响因素。结果 赛后上述结构T2值均较赛前显著升高(P<0.001);PC T2差值与Recht分级(r=0.84)、KLG(r=0.87)、年龄(r=0.62)及BMI(r=0.82)均呈正相关(均P<0.001)。多元线性回归提示,BMI、Recht分级与KLG的平均值是PFJ软骨损伤的危险因素(回归系数分别为0.715、2.389,均P<0.001)。结论 业余马拉松运动员的BMI、Recht分级、KOA KLG较高会进一步加剧PFJ软骨损伤的风险。
[Abstract] Objective To investigate the changes in T2 values of key knee joint structures in amateur marathon runners before and after a half-marathon, explore their correlations with clinical variables, and identify the influencing factors for patellofemoral joint (PFJ) cartilage injury.Materials and Methods Amateur runners participating in the Xinpu Half Marathon in Zunyi City in October 2024 were prospectively recruited all participants underwent MRI scans of the same-side knee joint using the same equipment and parameters twice: the first scan was performed within 1 week before the race (with no running exercise during this period), and the second scan was conducted within 24 hours after completing the half-marathon. Additionally, all participants received a weight-bearing knee joint X-ray examination. T2 mapping technique was used to measure the T2 values of the PFJ patellar cartilage (PC), medial meniscus (MM), lateral meniscus (ML), anterior cruciate ligament (ACL), posterior cruciate ligament (PCL), popliteus muscle (PM), and medial gastrocnemius (MG). PFJ cartilage was graded according to the Recht MRI grading standard, and knee osteoarthritis (KOA) was graded based on the Kellgren-Lawrence grading (KLG) system using weight-bearing knee X-ray findings. Wilcoxon non-parametric test and paired t-test were applied to analyze the differences in T2 values of the aforementioned structures before and after the race. Spearman and Pearson correlation analyses were used to examine the correlations between the differences in T2 values and age, body mass index (BMI), PFJ cartilage Recht grade, and KOA KLG. Multiple linear regression analysis was further conducted to screen the influencing factors for PFJ cartilage injury.Results After the half-marathon, the T2 values of the aforementioned knee joint structures were significantly higher than those before the race (all P < 0.001). The difference in PC T2 value showed a positive correlation with Recht grade (r = 0.84), KLG (r = 0.87), age (r = 0.62), and BMI (r = 0.82) (all P < 0.001). Multiple linear regression analysis indicated that BMI, and the average value of Recht grade and KOA KLG were risk factors for PFJ cartilage injury (regression coefficients: 0.715 and 2.389, respectively; all P < 0.001).Conclusions Among the population of amateur marathon runners, higher BMI, higher PFJ cartilage Recht grade, and higher KOA KLG can further increase the risk of PFJ cartilage injury.
[关键词] 半程马拉松;跑步相关损伤;髌软骨;磁共振成像;T2 mapping
[Keywords] half-marathon;running-related injury;patellar cartilage;magnetic resonance imaging;T2 mapping

冉春艳 1   王显高 1   徐高强 1   刘军委 1   王丹 1   李小妹 1   何生生 2   刘衡 1   张体江 1, 3*  

1 遵义医科大学附属医院放射科,遵义 563000

2 务川自治县人民医院放射科,遵义 564300

3 毕节医学高等专科学校医学技术系,毕节 551700

通信作者:张体江,E-mail:tijzhang@163.com

作者贡献声明:张体江、王显高、刘衡设计本研究方案,对稿件重要内容进行了修改,张体江获得了贵州省科技计划项目资金支持;冉春艳起草和撰写稿件,获取、分析和解释本研究的数据,获得了遵义市科技计划项目资金支持;徐高强、刘军委、王丹、李小妹、何生生获取、分析或解释本研究的数据,对稿件重要内容进行了修改;全体作者都同意发表最后的修改稿,同意对本研究的所有方面负责,确保本研究的准确性和诚信。


基金项目: 贵州省科技计划项目 黔科合人才CXTD〔2025〕047 遵义市科技计划项目 遵市科合HZ字〔2022〕236号
收稿日期:2025-05-22
接受日期:2025-10-10
中图分类号:R445.2  R684 
文献标识码:A
DOI: 10.12015/issn.1674-8034.2025.10.015
本文引用格式:冉春艳, 王显高, 徐高强, 等. 基于MRI与X线评估业余马拉松运动员髌股关节软骨损伤及其影响因素分析[J]. 磁共振成像, 2025, 16(10): 98-103. DOI:10.12015/issn.1674-8034.2025.10.015.

0 引言

       随着健康需求不断增加,马拉松这一有氧运动因能有效提升心肺功能、增强体质而越发受运动爱好者青睐[1]。但随着马拉松运动的社会普及率不断增高,跑步相关损伤(running-related injury, RRI)的发生率也在逐步增加,有文献提出其发生率约为19.4%~79.3%[2],其发生率跨越幅度较大可能是与各研究者对RRI定义的一致性有差异有关[3]。大多数RRI发生在下肢,最常损伤的为膝关节[4],其发生率约占28%,其次为小腿、大腿、踝部及足底损伤[4, 5]。RRI影响因素众多,有研究提出非专业运动员较专业运动员更容易发生RRI。MRI检查因其在软组织成像分辨率高而成为了RRI的常用检查手段,其中定量MRI是唯一能活体定量检测关节微观含量变化的影像技术,可以在形态学改变之前量化细微结构损伤的变化。既往已有研究证实定量磁共振技术[6]可提高软骨损伤[7, 8]、半月板损伤[9]、肌肉微损伤[10, 11]诊断的灵敏度和特异度。在运动损伤早期诊断、早期临床干预以及有效评估并预防疾病进展中很有临床和研究价值[11, 12, 13]

       既往RRI相关的定量研究主要专注于在跑步过程中软骨的急性变化或跑步前后软骨的变化[14],本研究在此基础上通过分析业余马拉松运动员在半程马拉松运动前后相关指标T2值变化情况及其与年龄、身体质量指数(body mass index, BMI)、髌股关节(patellofemoral joint, PFJ)Recht分级、膝关节骨性关节炎(knee osteoarthritis, KOA)Kellgren-Lawrence分级(kellgren-lawrence grading, KLG)等因素的相关性分析及回归分析,从而为业余马拉松运动员的RRI预防提供参考依据,并为早期筛查业余马拉松运动员RRI提供方向。

1 材料与方法

1.1 研究对象

       招募业余马拉松运动员,招募地点为遵义市新蒲新区。所有受试者均需在遵义医科大学附属医院放射科同一设备相同参数下同侧膝关节MRI扫描两次(1周内无跑步运动扫描第一次、完成半程马拉松比赛后24小时内扫描第二次)及一次负重位膝关节X线检查(第一次膝关节MRI检查同日)。本研究遵守《赫尔辛基宣言》,经遵义医科大学附属医院伦理委员会批准(伦理号KLL-2022-838),且全体受试对象均签署了知情同意书。

       纳入标准:(1)报名参加2024年10月遵义市新蒲半程马拉比赛的业余马拉松运动员;(2)年龄≤65岁,长期规律跑步,每周跑步次数≥3次;(3)每次跑步距离≥5 km;每月累计平均跑量≥60 km;(4)扫描前1周内无剧烈运动;(5)至少参加过3次半程马拉松赛事。排除标准:(1)MRI检查禁忌证者;(2)合并有其他关节疾病(既往关节手术史、感染、类风湿、痛风等);(3)图像因运动伪影影响参数测量。

1.2 检查方法

1.2.1 X线平片检查

       采用联影uDR 550i型X线摄影机进行检查,设定曝光参数为80 kV、5 mAs。所有受检者均接受膝关节负重位X线正位摄片,拍摄完成后将X线平片图像上传至PACS,用于后续的图像观察及KLG评估。

1.2.2 MRI检查

       采用西门子MAGNETOM Amira 1.5 T MRI扫描仪对受试者行膝关节MRI扫描,使用膝关节专用线圈,扫描时受试者取仰卧位、脚先进方式。本研究的序列包括矢状位T1WI,矢状位、轴位、冠状位FS-T2WI,矢状位T2 mapping,详细扫描参数见表1

表1  MRI扫描序列及其扫描参数
Tab. 1  MRI acquisition protocols and parameters

1.3 图像评估

       由2名有10年左右放射诊断经验的副主任医师对匿名化了的图像采取盲法进行独立评估,分别对膝关节X线负重位片进行KOA KLG、膝关节MRI进行PFJ髌软骨(patellar cartilage, PC)Recht分级,如遇分级不同,则需协商达成一致。

1.3.1 对受试者进行KLG分组

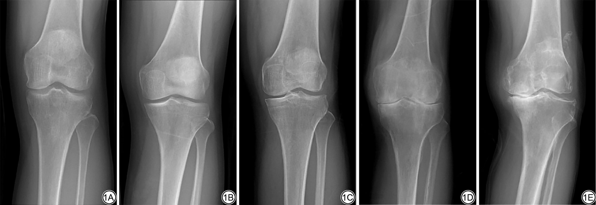
       将所有受试者膝关节负重位X线片表现进行KLG[15],共分为4组:KLG 0~1级、KLG 2级、KLG 3级、KLG 4级,如图1所示。

图1  膝关节骨性关节炎Kellgren-Lawrence分级,1A~1E分别为0~4级。
Fig. 1  For the Kellgren-Lawrence grading of knee osteoarthritis, 1A to 1E correspond to grades 0 to 4 respectively.

1.3.2 对受试者进行Recht分组及T2 mapping测量

       对所有受试者膝关节MRI图像进行PFJ PC Recht分级,共分为4组:Recht 0~Ⅰ级、Recht Ⅱ级、Recht Ⅲ级、Recht Ⅳ级。由其中1名高年资副主任医师应用西门子工作站软件在膝关节矢状位T2 mapping伪彩图相对应的原始图像中勾画PC、内侧半月板(medial meniscus, MM)、外侧半月板(meniscus lateralis, ML)、前交叉韧带(anterior cruciate ligament, ACL)、后交叉韧带(posterior cruciate ligament, PCL)、腘肌(popliteus muscle, PM)、内侧腓肠肌(medial gastrocnemius, MG)感兴趣区(region of interest, ROI)并测量T2值。T2值测量分别于半程马拉松运动前及运动后进行,两次测量尽可能选取膝关节同一解剖层面。由同一观察者在同一幅图像上对ROI连续勾画3次,取3次测量结果的平均值作为最终T2值。其中,PC的ROI定位在正中矢状位层面,采用直径3~5 mm的圆形区域;勾画时需避开相邻组织结构,以提高T2值测量的精准度(图2)。

图2  男,39 岁,髌股关节髌软骨显示及ROI 勾画示意图。2A:T1WI 矢状位序列;2B:FS-T2WI 矢状位;2C:半程马拉松前T2 mapping 序列伪彩图;2D:图2C相同层面矢状位原始图测量ROI T2 值,T2 值为21 ms;2E:半程马拉松后图2C相近层面T2 mapping 序列伪彩图;2F:图2E 相同层面矢状位原始图测量ROI T2 值,T2 值为31 ms。ROI:感兴趣区;FS:脂肪抑制。
Fig. 2  A 39-year-old male, schematic diagram of patellar cartilage display and ROI delineation. 2A: T1WI sagittal sequence; 2B: FS-T2WI sagittal sequence; 2C: Pre-half marathon, T2 mapping sequence pseudocolor image; 2D: ROI T2 value measurement on the sagittal original image corresponding to Figure 2C, showing a T2 value of 21 ms; 2E: Post-half marathon, T2 mapping sequence pseudocolor image of a similar sagittal plane to Figure 2C; 2F: ROI T2 value measurement on the sagittal original image corresponding to Figure 2E, showing a T2 value of 31 ms. ROI: region of interest; FS: fat suppression.

1.4 统计学方法

       应用SPSS 29.0(IBM Corp., Armonk, NY, USA, Version 29.0)软件进行数据统计分析。利用Kolmogorov-Smirnov检验计量资料是否符合正态分布,年龄、BMI、T2值等数据符合正态分布以均值±标准差表示。应用Wilcoxon非参数检验、配对t检验对半程马拉松运动前后膝关节相关结构T2值差异进行统计,应用Bonferroni校正方法对多重比较的P值进行校正。采用Pearson或Spearman相关性分析评估MRI定量参数T2值变化分别与年龄、BMI、PFJ PC Recht分级及KOA KLG的相关性。采用多元线性回归分析年龄、BMI、PFJ PC Recht分级与KOA KLG的平均值筛选业余马拉松运动员PFJ软骨损伤的独立影响因素。P<0.05表示差异有统计学意义。本次研究进行了样本量计算以确保研究具备足够的统计功效。针对配对样本t检验,根据预实验数据设定效应量Cohen's d=0.73,显著性水平α=0.05,检验功效1-β=0.90。计算结果表明,为检测到预期的组间差异,总样本量需至少22人。

2 结果

2.1 一般资料

       本研究共纳入患者36例(男25例,女11例),年龄19~63(41±12)岁,PFJ PC Recht分级及KOA KLG情况详见表2

表2  受试者髌股关节髌软骨Recht分级及膝关节骨性关节炎KLG情况
Tab. 2  Patellar cartilage Recht of the patellofemoral joint and KLG grading of knee osteoarthritis among participants

2.2 半程马拉松运动前后PFJ各结构T2值比较结果

       所有受试者半程马拉松运动前后PFJ PC T2值Wilcoxon非参数检验,MM、ML、ACL、PCL、PM、MG T2值配对t检验结果显示均有差异,运动后较运动前有增加(均P<0.001),详见表3

表3  受试者半程马拉松运动前后膝关节相关结构T2值差异统计结果
Tab. 3  Statistical analysis of pre-to-post half-marathon T2 value variations in knee-associated structures among participants

2.3 半程马拉松运动前后PFJ各结构T2值差值与年龄、BMI、PFJ PC Recht分级、KOA KLG相关性分析结果

       半程马拉松运动前后PFJ PC T2值差值与年龄、BMI、PFJ PC Recht分级、KOA KLG呈正相关(P<0.001),MM、ML、ACL、PCL、PM、MG T2值差值与年龄、BMI、PFJ PC Recht分级、KOA KLG无相关性(P>0.05),详见图3

图3  自变量与半程马拉松前后膝关节相关结构T2值差值的相关性分析。***表示P<0.001;BMI:身体质量指数;Recht:软骨损伤分级;KLG:Kellgren-Lawrence分级;PC:髌软骨;MM:内侧半月板;ML:外侧半月板;ACL:前交叉韧带;PCL:后交叉韧带;PM:腘肌;MG:内侧腓肠肌。
Fig. 3  Analysis of the correlation between independent variables and pre-to-post half-marathon T2 value variations in knee joint-associated structures. *** indicates P < 0.001; BMI: body mass index; Recht: cartilage injury grading; KLG: Kellgren-Lawrence grading; PC: patellar cartilage; MM: medial meniscus; ML: meniscus lateralis; ACL: anterior cruciate ligament; PCL: posterior cruciate ligament; PM: popliteus muscle; MG: medial gastrocnemius.

2.4 半程马拉松运动员PFJ软骨损伤的独立影响因素多元线性回归分析结果

       半程马拉松运动员PFJ软骨损伤的独立影响因素多元线性回归分析结果显示,BMI、PFJ PC Recht分级与KOA KLG的平均值是业余马拉松运动员PFJ软骨损伤的独立影响因素(β=0.715、2.389,P<0.001),而年龄对其影响较小(P>0.05),详见表4

表4  多元线性回归分析结果
Tab. 4  Results of the multiple linear regression analysis

3 讨论

       本研究基于膝关节负重位X线KLG及MRI PC Recht分级,分析了半程马拉松运动前后相关指标变化与自变量的相关性,筛选业余马拉松运动员PFJ软骨损伤、其他结构微损伤的相关因素,发现针对该群体而言,BMI、Recht分级及KLG越高是PFJ软骨损伤的重要危险因素。本研究为临床提供了具体的、可量化的指标(BMI、KLG、Recht分级)来识别高危跑者,有一定的临床指导意义,有助于RRI的风险预测。

3.1 PFJ PC T2值升高的相关性分析

       本研究中发现PFJ PC T2值半程马拉松运动后较运动前有所升高,且T2值增加程度与年龄呈正相关,既往已有研究表明随着年龄增长,软骨基质(胶原蛋白、蛋白多糖)降解增加,水合作用增强,导致T2值升高[16],长跑运动可能进一步增加髌股关节应力,加速水分重分布[13],因此年龄越大的跑者T2值变化更加显著。随着BMI升高,高BMI跑者PFJ压力更高,进一步导致软骨被压缩程度和水分迁移现象可能更加明显,因此T2值升高更显著,其次肥胖相关炎症因子可能加剧软骨代谢异常,进而影响T2值[16, 17]。既往有研究提出BMI≥25 kg/m2是膝关节运动损伤(如ACL撕裂、半月板损伤、早期KOA)风险显著升高的临界点[18],BMI≥30 kg/m2发生骨关节炎的风险较非肥胖患者升高约10%[19]。KLG高的跑者软骨基质破坏更严重,运动后水分重分布和胶原纤维紊乱更明显,T2值升高幅度更大[20];其次已有关节退变的软骨对机械负荷的适应能力下降,半程马拉松运动可加剧T2值变化,已有相关研究证实高跑量组T2值升高大于中低跑量组,说明跑量越大,软骨损伤风险越高[21]。同理,PC Recht分级较高的跑者软骨已有微观结构破坏(如纤维化、裂隙),运动后水分渗透和胶原网络变形更明显,T2值升高更显著损伤区域在马拉松运动后可能发生短暂性水肿,导致T2值进一步升高。此外,对于MRI上已有早期退变(Recht Ⅰ~Ⅱ级)但X光正常(KLG 0~1级)的“高风险”人群进行运动调整是具有前瞻性的预防策略[22],且有学者认为PFJ是KOA最早和最常发生的部位,该研究认为软骨局部缺损(笔者理解对应Recht分级Ⅱ级)是预测该部位KOA进展的最重要指标之一,运动损伤风险显著增加,需采取干预措施、调整运动方式等以降低进一步损伤的风险[23, 24]。因此,上述因素共同导致半程马拉松跑后PC T2值升高程度与年龄、BMI、KLG和Recht分级呈正相关,表明年龄、BMI、KLG和Recht分级较高是半程马拉松运动导致软骨损伤的共同危险因素,提示针对高风险人群,如年龄≥40岁、BMI≥25 kg/m2、KLG≥3级、Recht分级≥Ⅲ级等,建议运动员每3~6个月进行MRI检查进一步评估软骨损伤进展情况,通过风险分层-生物力学优化-营养支持-动态MRI检测等策略降低半程马拉松运动员软骨进一步损伤的风险。

3.2 膝关节其余相关结构T2值差值的相关性分析

       既往有研究应用定量磁共振技术可以评估关节内半月板[9, 25]、交叉韧带[26]、肌肉[10, 11, 27]、肌腱[28]等微损伤导致的细微结构改变情况,基于此本研究旨在探索T2 mapping技术在上述结构发生RRI的潜在应用价值。在本研究中膝关节MM、ML、ACL、PCL、PM、MG运动后较运动前T2值升高,且该差异有统计学意义,提示T2 mapping技术能检测出上述结构微观结构的改变潜力。膝关节的软骨和半月板在将机械负荷转移到软骨下骨和减少运动过程中关节的摩擦方面起着至关重要的作用。文献表明,长跑会使膝关节超负荷,且长期重复的机械负荷会导致运动相关损伤[25],半月板会出现相应体积的改变及T2值升高,与本研究相符。运动导致的骨骼肌损伤是最常见的急性创伤,其中骨骼肌微创伤可能是由重复使用肌肉引起的。大部分运动爱好者常表现为肌肉酸痛及僵硬等,这提示肌肉内存在细微结构的损伤,而定量MRI技术可用于检测运动引起的肌肉变化并监测肌肉损伤的恢复。基于上述背景,本研究基于T2 mapping技术分析了运动前后PM、MG T2值的改变情况,但与以往研究的不同之处是本研究除了分析目标肌肉T2值改变情况外,还分析PM、MG运动前后T2值变化与年龄、BMI、KOA KLG、PFJ PC Recht分级的关联。既往研究发现肌肉微观结构改变与体内肌酸激酶、乳酸等含量升高存在一定相关性[27, 29],因此笔者认为在本研究中出现相应肌肉的T2值轻微升高可能也与体内水分子含量改变及体内肌酸激酶等含量改变相关。既往有研究报道PFJ的稳定性与其软骨损伤有相关性,且PFJ的稳定性与膝关节相关肌肉特征改变密切相关[30],但本次研究未发现PM、MG T2变化与PFJ Recht分级、KOA KLG有相关性,其原因可能如下:其一,既往研究表明PFJ软骨损伤主要与异常应力(如髌骨轨迹不良[30, 31])和软骨代谢失衡有关,而肌肉损伤主要与机械超负荷、离心收缩引起的肌纤维损伤有关,两者在结构、代谢和修复机制上截然不同,损伤的诱因和病理过程可能无直接关联[32]。其次,半马赛后肌肉T2升高反映的是肌肉水分增加及代谢应激,可能是短期内应激所致的非结构性损伤,常可于72小时内自行恢复,而PFJ软骨损伤是积累的、不可逆的渐进性损伤。除此之外,本研究发现MM、ML、ACL、PCL T2值的改变情况与年龄、BMI、KOA KLG、PFJ PC Recht分级亦无相关性。笔者分析其原因可能如下:半程马拉松运动对膝关节结构的机械负荷影响可能在不同人群中表现出相似的模式,即上述结构T2值变化可能主要反映组织水合状态和胶原排列的暂时性改变[25],且肌肉的微观改变会很快恢复[33],但上述结构与年龄、BMI无相关性,提示该结构的T2值改变可能独立于关节退变即KOA KLG、PFJ PC Recht损伤,也就是说半程马拉松运动诱导的膝关节MM、ML、ACL、PCL、PM、MG T2值变化可能是一种普遍应激反应,而非与个体退变特征直接相关的现象。

3.3 膝关节软骨损伤影响因素的回归分析

       本次研究中半程马拉松运动前后PFJ PC T2值改变情况与年龄、BMI、KOA KLG、PFJ PC Recht分级均存在相关性,提示年龄、BMI、KOA KLG、PFJ PC Recht分级可能是RRI的影响因素。基于此,我们进一步采用多元线性回归分析年龄、BMI、PFJ PC Recht分级与KOA KLG的平均值来筛选业余马拉松运动员PFJ软骨损伤的独立影响因素,得出BMI、PFJ PC Recht分级与KOA KLG的平均值是业余马拉松运动员PFJ软骨损伤的独立影响因素(β=0.715、2.389,P<0.001),而年龄对其影响较小。分析原因可能如下:(1)长期规律跑步可能促进关节软骨、骨骼和肌肉的适应性增强,能减轻KOA的发生[1],可能会抵消一部分与年龄相关的退化。(2)自我选择与幸存者偏差的影响,高龄仍能坚持马拉松的人群比较少,且该群体通常先天关节条件较好或更注重健康(无关节病史等),本身发生KOA风险较低;关节易损者可能已较早退出运动,留下的运动员群体关节耐受力更强有关。

3.4 本研究的局限性

       本研究存在一些局限性:(1)本研究为单中心研究,样本数量相对较少,今后将继续拓展多中心及扩大样本量进行探究以验证研究结果的稳定性;(2)本研究对被试进行前后两次对比探究,今后将长期随访、延长纵向跟踪时间进一步探索T2值在RRI远期改变情况的研究价值。

4 结论

       业余马拉松运动员的BMI、Recht分级、KOA KLG较高会进一步加剧PFJ软骨损伤的风险。

[1]
BRASCHLER L, NIKOLAIDIS P T, THUANY M, et al. Physiology and pathophysiology of marathon running: A narrative review[J/OL]. Phys Med Open, 2025, 11(1): 10 [2025-04-11]. https://pubmed.ncbi.nlm.nih.gov/39871014/. DOI: 10.1186/s40798-025-00810-3.
[2]
WILLWACHER S, KURZ M, ROBBIN J, et al. Running-related biomechanical risk factors for overuse injuries in distance runners: a systematic review considering injury specificity and the potentials for future research[J]. Sports Med, 2022, 52(8): 1863-1877. DOI: 10.1007/s40279-022-01666-3.
[3]
CLOOSTERMAN K L A, FOKKEMA T, DE VOS R J, et al. Educational online prevention programme (the SPRINT study) has no effect on the number of running-related injuries in recreational runners: a randomised-controlled trial[J]. Br J Sports Med, 2022, 56(12): 676-682. DOI: 10.1136/bjsports-2021-104539.
[4]
FRANCIS P, WHATMAN C, SHEERIN K, et al. The proportion of lower limb running injuries by gender, anatomical location and specific pathology: A systematic review[J]. J Sports Sci Med, 2019, 18(1): 21-31.
[5]
HSU C L, YANG C H, WANG J H, et al. Common running musculoskeletal injuries and associated factors among recreational gorge marathon runners: an investigation from 2013 to 2018 taroko gorge marathons[J/OL]. Int J Environ Res Public Health, 2020, 17(21): 8101 [2025-04-11]. https://pubmed.ncbi.nlm.nih.gov/33153163/. DOI: 10.3390/ijerph17218101.
[6]
ECK B L, YANG M R, ELIAS J J, et al. Quantitative MRI for evaluation of musculoskeletal disease: cartilage and muscle composition, joint inflammation, and biomechanics in osteoarthritis[J]. Invest Radiol, 2023, 58(1): 60-75. DOI: 10.1097/RLI.0000000000000909.
[7]
KIJOWSKI R. Standardization of compositional MRI of knee cartilage: why and how[J]. Radiology, 2021, 301(2): 433-434. DOI: 10.1148/radiol.2021211957.
[8]
洪国斌, 李绍林. 关节炎影像学发展历程及未来展望[J]. 中华放射学杂志, 2024, 58(11): 1286-1291. DOI: 10.3760/cma.j.cn112149-20240715-00407.
HONG G B, LI S L. Development and future prospects of arthritis imaging[J]. Chin J Radiol, 2024, 58(11): 1286-1291. DOI: 10.3760/cma.j.cn112149-20240715-00407.
[9]
PAPROKI A, ENGSTROM C, STRUDWICK M, et al. Automated T2-mapping of the menisci from magnetic resonance images in patients with acute knee injury[J]. Acad Radiol, 2017, 24(10): 1295-1304. DOI: 10.1016/j.acra.2017.03.025.
[10]
LI J H, DENG X L, LI B Y, et al. Quantitative observation based on magnetic resonance imaging: the effects of marathon running on lumbar vertebrae, paraspinal muscles, and lumbar disc components[J]. Quant Imaging Med Surg, 2024, 14(12): 8811-8823. DOI: 10.21037/qims-24-1053.
[11]
CHENG Y, LI X K. Advanced quantitative magnetic resonance imaging of lower extremity muscle microtrauma after marathon: a mini review[J/OL]. Front Sports Act Living, 2024, 6: 1481731 [2025-04-15]. https://pubmed.ncbi.nlm.nih.gov/39534527/. DOI: 10.3389/fspor.2024.1481731.
[12]
于海霞, 沈怡颖, 张晏境, 等. 定量MRI技术在跑步人群膝关节软骨中的应用进展[J]. 国际医学放射学杂志, 2022, 45(5): 588-593. DOI: 10.19300/j.2022.Z19608.
YU H X, SHEN Y Y, ZHANG Y J, et al. Application progress of quantitative MRI technologies in evaluating knee cartilage of runners[J]. Int J Med Radiol, 2022, 45(5): 588-593. DOI: 10.19300/j.2022.Z19608.
[13]
DELLA ROSA T, GAULIN B, SCHWACH M, et al. Evaluation of the impact of ultra-trail running on knee cartilage using magnetic resonance imaging t2 mapping[J]. J Sports Med Phys Fitness, 2024, 64(12): 1321-1328. DOI: 10.23736/S0022-4707.24.15966-X.
[14]
ZHU D T, WU W H, YU W J, et al. Ultrashort echo time magnetization transfer imaging of knee cartilage and Meniscus after long-distance running[J]. Eur Radiol, 2023, 33(7): 4842-4854. DOI: 10.1007/s00330-023-09462-x.
[15]
LANGWORTHY M, DASA V, SPITZER A I. Knee osteoarthritis: disease burden, available treatments, and emerging options[J/OL]. Ther Adv Musculoskelet Dis, 2024, 16: 1759720X241273009 [2025-04-17]. https://pubmed.ncbi.nlm.nih.gov/39290780/. DOI: 10.1177/1759720X241273009.
[16]
THAHAKOYA R, ROACH K E, HAN M, et al. Association of cartilage T 1 ρ and T 2 relaxation time measurement with hip osteoarthritis progression: a 5-year longitudinal study using voxel-based relaxometry and Z-score normalization[J/OL]. Osteoarthr Cartil Open, 2024, 6(4): 100538 [2025-04-20]. https://pubmed.ncbi.nlm.nih.gov/39554476/. DOI: 10.1016/j.ocarto.2024.100538.
[17]
HARASYMOWICZ N S, HARISSA Z, RASHIDI N, et al. Injury and obesity differentially and synergistically induce dysregulation of synovial immune cells in osteoarthritis[J]. Ann Rheum Dis, 2025, 84(6): 1033-1044. DOI: 10.1016/j.ard.2025.03.001.
[18]
SRIDHAR M S, JARRETT C D, XEROGEANES J W, et al. Obesity and symptomatic osteoarthritis of the knee[J]. J Bone Joint Surg Br, 2012, 94(4): 433-440. DOI: 10.1302/0301-620X.94B4.27648.
[19]
KATZ J N, ARANT K R, LOESER R F. Diagnosis and treatment of hip and knee osteoarthritis: a review[J]. JAMA, 2021, 325(6): 568-578. DOI: 10.1001/jama.2020.22171.
[20]
刘晓艺, 蒲如剑, 梁洁, 等. 3.0 T MRI T2 mapping纹理特征在膝关节骨性关节炎软骨损伤分级中的价值[J]. 磁共振成像, 2021, 12(7): 34-38. DOI: 10.12015/issn.1674-8034.2021.07.007.
LIU X Y, PU R J, LIANG J, et al. The value of T2 mapping texture features of 3.0 T MRI in grading cartilage injury of knee osteoarthritis[J]. Chin J Magn Reson Imag, 2021, 12(7): 34-38. DOI: 10.12015/issn.1674-8034.2021.07.007.
[21]
高雅丽, 兰晓川, 王舒, 等. 基于T2* mapping的业余马拉松运动员足踝部关节软骨损伤及其影响因素分析[J]. 磁共振成像, 2025, 16(2): 94-99. DOI: 10.12015/issn.1674-8034.2025.02.015.
GAO Y L, LAN X C, WANG S, et al. Quantitative assessment of articular cartilage in the foot and ankle of amateur marathon runners by T2^(*)mapping and analysis of its related influencing factors[J]. Chin J Magn Reson Imag, 2025, 16(2): 94-99. DOI: 10.12015/issn.1674-8034.2025.02.015.
[22]
LIEBL H, JOSEPH G, NEVITT M C, et al. Early T2 changes predict onset of radiographic knee osteoarthritis: data from the osteoarthritis initiative[J]. Ann Rheum Dis, 2015, 74(7): 1353-1359. DOI: 10.1136/annrheumdis-2013-204157.
[23]
ANDRIACCHI T P, MÜNDERMANN A. The role of ambulatory mechanics in the initiation and progression of knee osteoarthritis[J]. Curr Opin Rheumatol, 2006, 18(5): 514-518. DOI: 10.1097/01.bor.0000240365.16842.4e.
[24]
STEFANIK J J, NIU J, GROSS K D, et al. Using magnetic resonance imaging to determine the compartmental prevalence of knee joint structural damage[J]. Osteoarthritis Cartilage, 2013, 21(5): 695-699. DOI: 10.1016/j.joca.2013.02.003.
[25]
SHU D B, CHEN F, GUO W T, et al. Acute changes in knee cartilage and Meniscus following long-distance running in habituate runners: a systematic review on studies using quantitative magnetic resonance imaging[J]. Skeletal Radiol, 2022, 51(7): 1333-1345. DOI: 10.1007/s00256-021-03943-0.
[26]
YOSHIMIZU R, NAKASE J, OKUDA M, et al. Ligamentization of the reconstructed ACL differs between the intraarticular and intraosseous regions: A quantitative assessment using UTE-T2* mapping[J/OL]. PLoS One, 2022, 17(7): e0271935 [2025-04-29]. https://pubmed.ncbi.nlm.nih.gov/35867680/. DOI: 10.1371/journal.pone.0271935.
[27]
HOOIJMANS M T, MONTE J R C, FROELING M, et al. Quantitative MRI reveals microstructural changes in the upper leg muscles after running a marathon[J]. J Magn Reson Imaging, 2020, 52(2): 407-417. DOI: 10.1002/jmri.27106.
[28]
FANG Y J, ZHU D T, WU W H, et al. Assessment of Achilles tendon changes after long-distance running using ultrashort echo time magnetization transfer MR imaging[J]. J Magn Reson Imaging, 2022, 56(3): 814-823. DOI: 10.1002/jmri.28072.
[29]
MIESZKOWSKI J, STANKIEWICZ B E, KOCHANOWICZ A, et al. Remote ischemic preconditioning reduces marathon-induced oxidative stress and decreases liver and heart injury markers in the serum[J/OL]. Front Physiol, 2021, 12: 731889 [2025-04-30]. https://pubmed.ncbi.nlm.nih.gov/34552508/. DOI: 10.3389/fphys.2021.731889.
[30]
YASUDA N, KATO S, HORITA N, et al. Synthetic extracellular volume fraction as an imaging biomarker of the myocardial interstitium without blood sampling: A systematic review and meta-analysis[J/OL]. J Cardiovasc Magn Reson, 2025, 27(1): 101889 [2025-05-01]. https://pubmed.ncbi.nlm.nih.gov/40139292/. DOI: 10.1016/j.jocmr.2025.101889.
[31]
SHU L, YANG X, HE H Y, et al. Morphological study of the vastus medialis oblique in recurrent patellar dislocation based on magnetic resonance images[J/OL]. BMC Med Imaging, 2021, 21(1): 3 [2025-05-06]. https://pubmed.ncbi.nlm.nih.gov/33407236/. DOI: 10.1186/s12880-020-00542-8.
[32]
COBURN S L, CROSSLEY K M, KEMP J L, et al. Association between hip muscle strength/function and hip cartilage defects in sub-elite football players with hip/groin pain[J]. Osteoarthr Cartil, 2024, 32(7): 943-951. DOI: 10.1016/j.joca.2024.03.121.
[33]
WANG W J, XU S L, ZEDLER M, et al. Tracking of time-dependent changes in concentric and eccentric quadriceps and hamstring torques and powers after a half-marathon[J]. J Phys Sci, 2025, 43(11): 1070-1075. DOI: 10.1080/02640414.2025.2489857.

上一篇 基于DCE-MRI定量参数图生境放射组学预测术前宫颈癌无淋巴结转移患者LVSI状态的研究
下一篇 影像与病理对照:肾窦成熟性囊性畸胎瘤一例
  
诚聘英才 | 广告合作 | 免责声明 | 版权声明
联系电话:010-67113815
京ICP备19028836号-2