分享:
分享到微信朋友圈
X
病例报告
影像与病理对照:肾窦成熟性囊性畸胎瘤一例
刘建强 魏晋艳 张琪 韩思彤 胡恩博 赵建洪

Cite this article as: LIU J Q, WEI J Y, ZHANG Q, et al. Mature cystic teratoma of renal sinus: One case report[J]. Chin J Magn Reson Imaging, 2025, 16(10): 104-105, 113.本文引用格式:刘建强, 魏晋艳, 张琪, 等. 影像与病理对照:肾窦成熟性囊性畸胎瘤一例[J]. 磁共振成像, 2025, 16(10): 104-105, 113. DOI:10.12015/issn.1674-8034.2025.10.016.


[摘要] 本文为回顾性研究,遵守《赫尔辛基宣言》,经过兰州大学第二医院伦理委员会批准,免除受试者知情同意,批准文号:2025A-348。
[关键词] 畸胎瘤;肾窦;计算机断层成像尿路造影;磁共振成像;鉴别诊断
[Keywords] teratoma;renal sinus;computed tomography urography;magnetic resonance imaging;differential diagnosis

刘建强 1, 2, 3, 4   魏晋艳 1, 2, 3, 4   张琪 1, 2, 3, 4   韩思彤 1, 2, 3, 4   胡恩博 1, 2, 3, 4   赵建洪 1, 2, 3, 4*  

1 兰州大学第二医院放射科,兰州 730000

2 兰州大学第二临床医学院,兰州 730000

3 甘肃省医学影像重点实验室,兰州 730000

4 医学影像人工智能甘肃省国际科技合作基地,兰州 730030

通信作者:赵建洪,E-mail:zhaojh@lzu.edu.cn

作者贡献声明:赵建洪设计本研究的方案,对稿件重要内容进行修改,获得了甘肃省自然科学基金、甘肃省卫生健康行业科研计划项目资助;刘建强起草和撰写稿件,获取、分析和解释本研究的重要内容;魏晋艳、张琪、韩思彤、胡恩博获取、分析和解释本研究的数据,并对稿件重要内容进行了修改;全体作者都同意发表最后的修改稿,同意对本研究的所有方面负责,确保本研究的准确性和诚信。


基金项目: 甘肃省自然科学基金项目 22JR5RA972,22JR11RA060 甘肃省卫生健康行业科研计划项目 GSWSKY2023-22
收稿日期:2025-07-13
接受日期:2025-09-10
中图分类号:R445.2  R737.11 
文献标识码:B
DOI: 10.12015/issn.1674-8034.2025.10.016
本文引用格式:刘建强, 魏晋艳, 张琪, 等. 影像与病理对照:肾窦成熟性囊性畸胎瘤一例[J]. 磁共振成像, 2025, 16(10): 104-105, 113. DOI:10.12015/issn.1674-8034.2025.10.016.

       本文为回顾性研究,遵守《赫尔辛基宣言》,经过兰州大学第二医院伦理委员会批准,免除受试者知情同意,批准文号:2025A-348。

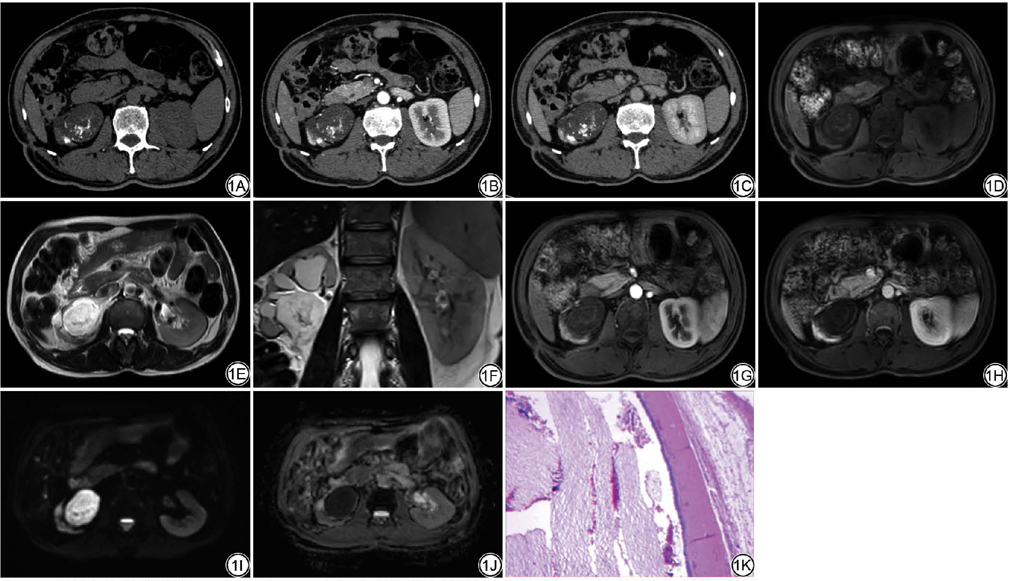
       患者男,64岁,因体检发现右肾占位1周就诊,无腰痛、尿频、尿急及肉眼血尿等临床症状。体格检查和实验室检查均未见明显异常。于2019年12月20日收住我院泌尿外科。计算机断层成像尿路造影(computed tomography urography, CTU)(图1A~1C)示:平扫示右肾盂类圆形混杂密度肿块,大小约4.5 cm×4.4 cm×4.9 cm,边界清晰,病灶主体呈囊性低密度,平扫CT值约23 HU,其内见无定型样钙化灶,增强扫描未见强化;肾盏积水扩张,肾下极实质萎缩;肾周未见明确肿大淋巴结,双肾动静脉及下腔静脉未见明确受侵征象。CT诊断:右肾盂病变,考虑间叶源性肿瘤伴钙化,R.E.N.A.L.评分系统[R (radius); E (exophytic/endophytic properties); N (nearness of tumour to the collecting system or sinus); A (anterior/posterior descriptor); L (location relative to polar lines)]评分为9A分(2+2+3+A+3)。磁共振尿路成像(magnetic resonance urography, MRU)(图1D~1J)示:右肾盂区类圆形占位,T1加权成像(T1-weighted imaging, T1WI)呈低信号,T2加权成像(T2-weighted imaging, T2WI)呈高信号,T1WI见少量絮状高信号,T2WI见多发斑点状低信号,弥散加权成像(diffusion-weighted imaging, DWI)呈高信号(b=800 s/mm2),表观扩散系数(apparent diffusion coefficient, ADC呈低信号,边界清晰,增强扫描未见强化;肾盏积水扩张。MRI诊断:右肾盂囊实性占位伴钙化、出血。患者遂行腹腔镜下右肾切除术。术中所见:右肾盂囊性肿块,大小约5.0 cm×4.5 cm×4.5 cm,内含豆渣样物。术后病理(图1K)诊断:肾脏成熟性囊性畸胎瘤。囊壁内衬复层角化鳞状上皮,囊内见角化物及少量脂肪组织。术后65个月电话随访,患者状况良好,外院复查未见复发及转移。

图1  男,64岁,右肾窦成熟性囊性畸胎瘤。1A:CT平扫示右肾盂类圆形混杂低密度影,大小约4.5 cm×4.4 cm×4.9 cm,边界清楚,内见无定型样钙化影;1B~1C:CT增强扫描未见强化;1D:T1WI呈低信号,内见斑片状低信号及絮状高信号;1E~1F:T2WI呈高信号,内见斑片状低信号,肾盏积水扩张;1G~1H:MRI增强未见强化;1I ~1J:DWI(b=800 s/mm2)呈高信号,ADC呈低信号,边界清晰;1K:病理图(HE ×100)镜下可见囊壁内衬复层角化鳞状上皮、囊内见角化物,囊肿周围见少量脂肪组织。DWI:弥散加权成像。
Fig. 1  Male, 64 years old, mature cystic teratoma of the right renal sinus. 1A: Unenhanced CT scan shows a roundish, mixed low-density lesion in the right renal pelvis, measuring approximately 4.5 cm × 4.4 cm × 4.9 cm, with well-defined margins, amorphous calcification is visible inside; 1B-1C: Contrast-enhanced CT scan reveals no enhancement; 1D: T1-weighted MRI demonstrates hypointense signal intensity with patchy hypointense and flocculent hyperintense signals; 1E-1F: T2-weighted MRI demonstrates hyperintense signal with patchy hypointense signals, hydronephrosis with caliceal ectasia; 1G-1H: Contrast-enhanced MRI exhibits no enhancement; 1I-1J: DWI (b = 800 s/mm2) shows hyperintense signal, ADC shows hypointense signal, with clear boundaries; 1K: Histopathology (HE × 100), reveals a cyst wall lined by stratified keratinized squamous epithelium, and the cyst contains keratinized material, a small amount of adipose tissue is observed around the cyst. DWI: diffusion-weighted imaging.

讨论

       畸胎瘤是一种起源于潜在胚胎生殖细胞的肿瘤,具有多向分化潜能,可分化为一个或多个生发层,包括外、中和内胚层[1]。畸胎瘤好发部位如下:骶尾部(40%),卵巢(25%),纵隔和颈部(18%),睾丸(12%)及脑组织(5%),腹部发生率不到5%[2]。原发于肾脏者极罕见,自McCurdy于1934年首次报道以来,文献中报道的肾畸胎瘤约50例[3]。肾脏畸胎瘤的发病机制目前尚不明确,多认为与原始生殖细胞迁移异常有关:胚胎期生殖细胞从卵黄囊向生殖嵴移行过程中,部分细胞异位于邻近的肾原基,最终形成肾内畸胎瘤[4]。根据组织分化程度,畸胎瘤可分为成熟性(良性)、未成熟性(恶性)和实性3类。成熟畸胎瘤虽是良性肿瘤,但仍存在3%的恶变风险,因此早期确诊对改善患者预后至关重要[5]。Beckwith标准[6]是诊断原发性肾畸胎瘤的依据,要求肿瘤明确起源于肾脏且含有异位组织成分(如皮肤附属器、脂肪、骨骼等)。在本病例中,肿瘤明确起源于肾脏,含鳞状上皮、皮肤角化物和少量脂肪组织,符合该标准,因此被诊断为肾脏成熟性畸胎瘤。

       畸胎瘤的临床表现通常不具有特异性,这使得诊断更具有挑战性。因此肾畸胎瘤多数情况下是在体检或治疗其他疾病时偶然发现。其诊断主要依赖于影像学表现。影像学上大部分肾脏成熟畸胎瘤通常表现为边界清晰的囊实性肿块,包膜完整,囊壁厚薄较均匀,内含脂肪、骨骼或钙化成分,有时可见液脂平面,增强后实性成分轻度强化,囊性成分无强化。典型畸胎瘤因含有脂肪成分和钙化成分而有特征性表现[2]。本例畸胎瘤CT表现为起源于肾门处而呈外生性生长凸向肾盂区的囊性为主的类圆形病灶伴钙化,未见明显脂肪组织成分;在MRI上表现为T1WI低信号、T2WI高信号为主的混杂信号影,伴出血、钙化,缺乏脂肪成分。这种肿瘤起源于肾门处而主体位于肾盂、“乏脂性”缺乏典型影像学特征,增加了术前诊断难度,容易与其他肿瘤相混淆,这也是造成本病例误诊的主要原因。此外,本病例中DWI表现为高信号而ADC表现为低信号可能为术前诊断带来一定的提示,成熟性囊性畸胎瘤内含角化物等成分,这些物质排列密集、黏稠度高,限制了水分子的自由弥散,从而导致DWI上呈现高信号,同时ADC值降低。

       该病在影像学上还需和肾错构瘤、畸胎瘤型肾母细胞瘤、囊性肾癌等鉴别。(1)肾错构瘤:是由血管、平滑肌和脂肪组成的肾脏良性肿瘤,在肾脏占位中较为常见,多见于中老年女性,影像学上含脂肪成分但钙化少见,强化显著;(2)畸胎瘤型肾母细胞瘤:好发于儿童,肿瘤内可见斑片状、带状脂肪成分,但实性成分明显强化,易伴肾静脉、下腔静脉瘤栓及远处转移[7],可根据强化特征与是否有周围组织侵犯与本例鉴别;(3)囊性肾癌:可见囊壁或分隔厚薄不均,可有壁结节,但增强扫描囊壁、分隔及壁结节明显强化,缺乏脂肪、钙化成分,可与本例鉴别。

       综上,肾脏成熟性囊性畸胎瘤极为罕见,临床表现不具有特异性,影像学特征(脂肪、钙化、囊变共存)是诊断关键。病灶主体位于肾盂区且乏脂肪性肾脏成熟性囊性畸胎瘤影像学表现不典型,术前诊断困难,细致辨别即使微量的脂肪或特征性钙化及MRI检查中DWI高信号、ADC低信号等影像学表现,有助于与其他常见占位相鉴别,从而减少误诊风险,避免不必要的扩大性肾切除手术。本病例的影像学特征分析,可为该类罕见疾病的鉴别诊断提供参考,有助于临床做出更精准的术前评估与治疗决策。

[1]
SHUMIYE Y G, BUSHRA F Y, SIRAK E H, et al. Renal immature teratoma: A rare entity; A case report and literature review[J/OL]. Urol Case Rep, 2020, 34: 101495 [2025-08-24]. https://pubmed.ncbi.nlm.nih.gov/33294378/. DOI: 10.1016/j.eucr.2020.101495. [PubMed]
[2]
HAMIDI H, FOLADI N. Intrarenal teratoma within a horseshoe kidney-a case report[J]. Radiol Case Rep, 2020, 15(10): 1743-1746. DOI: 10.1016/j.radcr.2020.07.013.
[3]
SHARQI A AL, MOUAFFAK S, RAHBI F AL, et al. Primary immature renal teratoma in a neonate[J/OL]. Oman Med J, 2023, 38(5): e558 [2025-08-24]. https://pubmed.ncbi.nlm.nih.gov/37771890/. DOI: 10.5001/omj.2023.49.
[4]
蒋宇婷, 张帆, 刘霞, 等. 肾脏成熟畸胎瘤一例[J]. 放射学实践, 2020, 35(10): 1357-1358. DOI: 10.13609/j.cnki.1000-0313.2020.10.031.
JIANG Y T, ZHANG F, LIU X, et al. A case of mature teratoma of kidney[J]. Radiol Pract, 2020, 35(10): 1357-1358. DOI: 10.13609/j.cnki.1000-0313.2020.10.031.
[5]
DAI J, HE H C, YANG X Q, et al. Primary malignant teratoma of the kidney: a rare case report and literature review[J]. Transl Androl Urol, 2021, 10(4): 1807-1812. DOI: 10.21037/tau-21-97.
[6]
BECKWITH J B. Wilms' tumor and other renal tumors of childhood: a selective review from the National Wilms' Tumor Study Pathology Center[J]. Hum Pathol, 1983, 14(6): 481-492. DOI: 10.1016/s0046-8177(83)80003-3.
[7]
金开元, 李邦国, 王凤, 等. 肾脏畸胎瘤2例报道并文献复习[J]. 实用放射学杂志, 2019, 35: 1376-1377. DOI: 10.3969/j.issn.1002-1671.2019.08.048.
JIN K Y, LI B G, WANG F, et al. Renal teratoma: two cases report and literature review[J]. JPract Radiol, 2019, 35: 1376-1377. DOI: 10.3969/j.issn.1002-1671.2019.08.048.

上一篇 基于MRI与X线评估业余马拉松运动员髌股关节软骨损伤及其影响因素分析
下一篇 功能磁共振成像与机器学习在抑郁症脑网络机制及诊疗中的应用进展
  
诚聘英才 | 广告合作 | 免责声明 | 版权声明
联系电话:010-67113815
京ICP备19028836号-2