分享:
分享到微信朋友圈
X
特别关注
四维血流心脏磁共振评估儿童室性期前收缩心室血流动力学特征及其对负荷程度的预测价值
冯凯 杨林林 党玉雪 辛洋 钟庆军 王颖 侯阳 马跃

本文引用格式:冯凯, 杨林林, 党玉雪, 等. 四维血流心脏磁共振评估儿童室性期前收缩心室血流动力学特征及其对负荷程度的预测价值[J]. 磁共振成像, 2025, 16(11): 39-48. DOI:10.12015/issn.1674-8034.2025.11.006.


[摘要] 目的 应用四维血流心脏磁共振(four-dimensional flow cardiac magnetic resonance imaging, 4D Flow CMR)对室性期前收缩(premature ventricular complexes, PVCs)患儿左室血流及动能(kinetic energy, KE)特征进行分析,评估左室血流动力学变化与左室功能及PVCs负荷的关系,并探究4D Flow指标对PVCs患儿室性期前收缩负荷程度的预测价值。材料与方法 纳入中国医科大学附属盛京医院2024年1月至2025年1月接受4D Flow CMR扫描的PVCs的患儿,将病例组按照24小时动态心电图监测中室性期前收缩负荷程度分为两亚组:低负荷组(PVCs-M组,室性期前收缩负荷≤1‰)和高负荷组(PVCs-S组,室性期前收缩负荷>1‰),并纳入接受CMR检查的无心肺疾病儿童做为对照组。所有患儿均于24小时动态心电图检查后行CMR扫描。采用平衡稳态自由进动序列采集心脏电影序列,测定左/右心室每搏输出量指数(left/right ventricular stroke volumeindex, L/RVSVi)、左室射血分数(left ventricular ejection fraction, LVEF)等功能参数。采用三维回顾性心电图触发导航仪门控4D Flow序列进行全心血流扫描,通过后处理软件测定左室血流成分和KE。比较病例组与对照组间、病例组内亚组间各CMR常规指标及血流动力学指标的差异。通过二元logistic回归筛选评估负荷程度的预测指标,并利用受试者工作特征曲线分析CMR各指标的预测效能。结果 本研究共入组49例受试者,其中对照组14名,病例组35名,其中PVCs-M组16名,PVCs-S组19名。对照组和病例组年龄、性别和心率差异均无统计学意义(P>0.05)。CMR常规指标中,病例组与对照组差异均无统计学意义,病例组中PVCs-S组的RVEDVi较PVCs-M组降低[(77.82±17.73) mL/m² vs. (65.97±13.23) mL/m2P=0.030]。4D Flow指标中,病例组直接血流低于对照组(31.70%±11.69% vs. 38.49%±6.13%,P=0.045),而时间偏差增加[25.80 (0,34.40) ms vs. 0 (0,0) ms,P=0.001]。同时,与PVCs-M组相比,PVCs-S组剩余容积增加[20.31%(19.08%,30.20%) vs. 16.65%(13.71%,23.21%),P=0.016],直接血流与收缩期KEiEDV减少[28.16%±8.60% vs. 35.90%±13.66%,P=0.049;5.59(4.47,6.41)μJ/mL vs. 7.76(7.09,8.33) μJ/mL,P=0.003]。将病例组内亚组间P<0.05的指标进行二元多因素logistic回归分析,得出RVEDVi、剩余容积及收缩期KEiEDV与PVCs患儿负荷程度独立相关。构建上述指标单独及联合应用时预测PVCs负荷的联合预测模型,发现联合预测模型与单独指标相比具有更高的预测能力(AUC=0.924,P<0.001)。结论 4D Flow CMR能够在自由呼吸状态下测定PVCs患儿左室血流成分和KE特征的异常变化,且这些变化与左心功能密切相关。4D Flow CMR指标中收缩期KEiEDV、RVEDVi和剩余容积与PVCs患儿室性期前收缩负荷程度独立相关,三个指标联合应用的预测模型对PVCs负荷程度具有较高的预测价值,有望用于PVCs患儿临床危险程度分层和预测预后。
[Abstract] Objective Four-dimensional flow cardiac magnetic resonance imaging (4D Flow CMR) was used to analyze the left ventricular blood flow and kinetic energy characteristics in children with premature ventricular complexes (PVCs). This study aimed to evaluate the relationship between left ventricular hemodynamic changes, left ventricular function, and PVCs burden, as well as to explore the predictive value of 4D Flow indices for the degree of premature ventricular complex burden in children with PVCs.Materials and Methods Children with PVCs who underwent 4D Flow CMR scanning at Shengjing Hospital Affiliated to China Medical University from January 2024 to January 2025 were enrolled. The case group was divided into two subgroups based on the degree of premature ventricular complex burden detected by 24-hour Holter monitoring: the low-burden group (PVCs-M group, premature ventricular complex burden ≤1‰) and the high-burden group (PVCs-S group, premature ventricular complex burden >1‰). Additionally, children without cardiopulmonary diseases who underwent CMR examination were included as the control group. All children underwent CMR scanning after 24-hour Holter monitoring. The balanced steady-state free precession (bSSFP) sequence was used to acquire cardiac cine sequences, and functional parameters such as left/right ventricular stroke volume index (L/RVSVi) and left ventricular ejection fraction (LVEF) were measured. A three-dimensional retrospective ECG-triggered navigator-gated 4D Flow sequence was employed for whole-heart blood flow scanning, and left ventricular blood flow components and kinetic energy (KE) were determined using post-processing software. Differences in routine CMR indicators and hemodynamic indicators were compared between the case group and the control group, as well as between the subgroups within the case group. Binary logistic regression was used to screen and identify predictive indicators for evaluating the burden degree, and receiver operating characteristic curve analysis was applied to assess the predictive efficacy of various CMR indicators.Results A total of 49 subjects were enrolled in this study, including 14 in the control group and 35 in the case group. The case group was further divided into the PVCs-M group (16 subjects) and the PVCs-S group (19 subjects). There were no statistically significant differences in age, gender, or heart rate between the control group and the case group. In terms of conventional CMR indicators, no statistically significant differences were observed between the case group and the control group. However, within the case group, the RVEDVi of the PVCs-S group was lower than that of the PVCs-M group [(77.82 ± 17.73) mL/m2 vs. (65.97 ± 13.23) mL/m2, P = 0.030]. For 4D Flow indicators, the direct flow in the case group was lower than that in the control group (31.70% ± 11.69% vs. 38.49% ± 6.13%, P = 0.045), while the time deviation was increased [25.80 (0,34.40) ms vs. 0 (0,0) ms, P = 0.001]. Meanwhile, compared with the PVCs-M group, the PVCs-S group showed an increase in residual volume [20.31% (19.08%, 30.20%) vs. 16.65% (13.71%, 23.21%), P = 0.016], and decreases in direct flow and systolic KEiEDV [28.16% ± 8.60% vs. 35.90% ± 13.66%, P = 0.049; 5.59 (4.47,6.41) μJ/mL vs. 7.76 (7.09,8.33) μJ/mL, P = 0.003]. Binary multivariate Logistic regression analysis was performed on the indicators with P < 0.05 between subgroups in the case group. The results showed that RVEDVi, residual volume, and systolic KEiEDV were independently associated with the burden of premature ventricular contractions (PVCs) in children. A combined prediction model for PVC burden was constructed using these indicators individually and in combination. The combined prediction model was found to have higher predictive power than individual indicators (AUC = 0.924, P < 0.001).Conclusions 4D Flow CMR can measure abnormal changes in left ventricular blood flow components and kinetic energy characteristics in children with PVCs under free breathing, and these changes are closely related to left cardiac function. Among 4D Flow CMR indicators, systolic KEiEDV, RVEDVi, and residual volume are independently associated with the burden of premature ventricular contractions (PVCs) in children. The prediction model using the three indicators in combination has high predictive value for PVC burden, and is expected to be used for clinical risk stratification and prognosis prediction in children with PVCs.
[关键词] 室性期前收缩;儿童;心脏磁共振成像;四维血流;血流动力学
[Keywords] premature ventricular complexes;children;cardiac magnetic resonance imaging;4D Flow;hemodynamics

冯凯 1   杨林林 2   党玉雪 1   辛洋 3   钟庆军 1   王颖 1   侯阳 1   马跃 1*  

1 中国医科大学附属盛京医院放射科,沈阳 110004

2 广东省第二人民医院影像中心,广州 510317

3 深圳大学第一附属医院深圳市第二人民医院放射科,深圳 518035

通信作者:马跃,E-mail:mmaayyuueezzz@163.com

作者贡献声明:马跃设计本研究的方案,对稿件重要内容进行了修改;冯凯起草和撰写稿件,获取、分析、解释本研究的数据;侯阳、杨林林、党玉雪、辛洋、钟庆军与王颖获取、分析或解释本研究的数据,对稿件重要内容进行了修改;党玉雪获得了国家重点研发计划战略性科技创新合作项目资助;全体作者都同意发表最后的修改稿,同意对本研究的所有方面负责,确保本研究的准确性和诚信。


基金项目: 国家重点研发计划战略性科技创新合作项目 2022YFE0209800
收稿日期:2025-08-27
接受日期:2025-10-29
中图分类号:R445.2  R541 
文献标识码:A
DOI: 10.12015/issn.1674-8034.2025.11.006
本文引用格式:冯凯, 杨林林, 党玉雪, 等. 四维血流心脏磁共振评估儿童室性期前收缩心室血流动力学特征及其对负荷程度的预测价值[J]. 磁共振成像, 2025, 16(11): 39-48. DOI:10.12015/issn.1674-8034.2025.11.006.

0 引言

       室性期前收缩(premature ventricular complexes, PVCs)是儿童最常见的心律失常之一[1],数据显示,15%的健康新生儿及33%无基础心脏病的青少年均存在PVCs[2],PVCs常具有良性临床病程,多数病例可自发消失[3, 4, 5]。然而,在儿童群体中,当PVC频繁发生时,可能存在心律失常诱发的心肌病[6]和左心室收缩功能障碍[7],一小部分持续室性心动过速甚至会导致死亡[8]。在一项针对无明显心脏病PVCs患者的长期预后研究[9]中发现,与无PVCs的受试者相比,有PVCs的受试者全因死亡率、心血管死亡率等终点事件风险增加(OR值为1.72)。因此,对于PVCs患儿进行更精确的危险分层,并深入分析其潜在危险因素,对于识别高危个体、优化临床管理至关重要。

       心电图是临床诊断PVCs的常用方法,基于24小时动态心电图监测得出的期前收缩负荷通常作为 PVCs 患者严重程度的主要评价指标[10]。有研究报道,期前收缩负荷超过10%就有可能导致心肌病变,从而影响远期预后[11, 12]。但是24小时动态心电仅能反映监测时间段内心脏电活动的异常,无法区分PVCs是功能性还是器质性,对PVCs患儿心脏状态的整体评估能力有限[13]

       心脏磁共振(cardiac magnetic resonance, CMR)成像具有无辐射、多参数、多平面、多序列成像的优势,可在一次检查中全面评估心脏的解剖结构及功能[14, 15]。CMR成像已成为心律失常标准临床评估的重要诊断工具[16, 17, 18]。MUSER等[19]的一项针对特发性PVCs患者的多中心风险分层研究证实,CMR可在16%表现为特发性频发室性早搏的患者中检测出隐匿性心肌异常,且CMR检出的心肌异常是预后不良的预测因子。四维血流心脏磁共振成像(four-dimensional flow cardiac magnetic resonance imaging, 4D Flow CMR)作为一项对心脏血流动力学进行全面评估的技术[20],能够定量分析左心室四种功能性血流成分,并在整个心脏周期内量化血流动能(kinetic energy, KE)[21]。因此,4D Flow CMR可有效补充常规CMR在血流动力学评估方面的不足[22]。近期研究表明,基于4D Flow技术的血流特征和KE参数变化对检测早期心肌损伤具有较高敏感性[23, 24]。然而,该技术在评估室性期前收缩患儿心脏血流动力学异常方面的价值尚未得到充分评估。

       本研究旨在基于4D Flow CMR技术,评估PVCs患儿的心脏结构功能及血流动力学特征,深入分析患儿与对照群体在结构功能和血流动力学参数上的差异,探讨PVCs患儿特有的血流动力学变化模式,并进一步探究其左心室血流成分和左心室动能(left ventricular kinetic energy, LVKE)变化与心功能及PVCs负荷的关系,明确4D Flow指标对预测PVCs负荷程度的潜在价值。本研究可为PVCs患儿提供更精准的心脏功能评估手段和血流动力学指标,有助于早期识别PVCs患儿病情风险,为临床监测与预后判断提供新的影像学依据。

1 材料与方法

1.1 研究对象

       本研究遵守《赫尔辛基宣言》,并经过中国医科大学附属盛京医院伦理审查委员会的批准(伦理批文号:2024PS036K)。由监护人(受试者未满8周岁)或受试者及其监护人(受试者年满8周岁及以上)签署书面知情同意书。

       纳入中国医科大学附属盛京医院2024年1月至2025年1月接受4D Flow CMR扫描的PVCs的患儿,将纳入研究的PVCs患儿定义为病例组(PVCs组),并将病例组按照24小时动态心电图监测中室性期前收缩负荷程度分为两亚组:低负荷组(PVCs-M组,室性期前收缩负荷≤1‰)和高负荷组(PVCs-S组,室性期前收缩负荷>1‰),并收集影像及相关临床资料。纳入标准:(1)年龄未满18周岁;(2)在研究前3个月内频繁发生室性期前收缩;(3)接受24小时动态心电图监测和超声心动图检查;(4)临床常规开立CMR检查,并在24小时动态心电图检查后完成CMR扫描的患儿。排除标准:(1)既往有心脏病病史;(2)既往有严重阻塞性肺疾病、明显肾功能损害病史;(3)不能配合或有幽闭恐惧症不能适应长时间CMR检查者;(4)4D Flow CMR图像伪影重,不能用于后处理者。

       同时纳入因胸部不适就诊于本院,接受CMR检查后排除了心血管及肺部疾病的对照组儿童。纳入标准:(1)自愿接受CMR检查的无明确心肺疾病的健康儿童;(2)年龄及性别与病例组入组病例匹配。排除标准:(1)不能配合或有幽闭恐惧症不能适应长时间CMR检查者;(2)4D Flow图像伪影重,不能用于后处理者。

1.2 检查方法

       CMR扫描采用西门子3.0 T磁共振扫描机(MAGNETOMPrisma,Siemens HealthineersAG, Erlangen, Germany),18通道体线圈。采用仰卧位、头先进的方式进行扫描,整体扫描时间约40 min。序列包括常规定位序列,电影序列、mapping、T2压脂序列,4D Flow序列。4D Flow采用三维梯度回波序列,结合相位对比技和并行采集技术(并行采集次数为2),通过对三个方向的流速编码和单向的流动补偿编码来进行扫描。该序列具备回顾性心电图触发功能、采用膈肌导航门控,在自由呼吸状态下矢状面采集三维方向血流,扫描参数如下:TR 38.56 ms,TE 2.28 ms,激发角度 7º,扫描视野read 360 mm,相位编码方向视野相位77.8%,图像空间分辨率2.5 mm×2.5 mm×2.5 mm,速度编码150 cm/s,扫描时间约8 min。

1.3 CMR图像后处理及参数测量

       使用商业软件MASS(Version2022-EXP, Medis Medical Imaging, Netherlands)和CVI42(cmr42version5.9.1, Circle Cardiovascular ImagingInc, Calgary, Canada)进行离线处理。由1名具有2年以上后处理经验和1名具有1年以上后处理经验的主治医师采用独立双盲法进行操作(对图像后处理时,两位医师均未被告知受试者的分组信息,两人分别独立完成数据测量,互不干扰;后续通过对两人的测量结果进行一致性检验)。为验证其可重复性,两月后数据由2位医师按照相同测量方法重新测量。若2位后处理人员意见一致,则以经验更为丰富的医师为准,若存在分歧,通过重新测量协商达成诊断共识。

       采用CVI42软件心功能分析模块基于电影序列图像进行半自动勾画左/右心室内膜和外膜轮廓,测量左/右室舒张末期容积、左/右室收缩末期容积、左/右室每搏输出量、左/右室射血分数(left/right ventricular ejection fraction, L/RVEF)、左室质量、并以体表面积(body surface area, BSA)进行标准化,得到左/右室舒张末期容积指数(left/right ventricular end-diastolic volume index, L/RVEDVi)、左/右室收缩末期容积指数(left/right ventricular end-systolic volume index, L/RVESVi)、左/右室每搏输出量指数(left/right ventricular stroke volume index, L/RVSVi)、左室质量指数。

       对左室整体变形分析,将短轴电影图像、二室和四室长轴图像导入CVI42特征跟踪模块中,在短轴和两个长轴电影图像上手动勾画舒张末期左心室心内膜和心外膜轮廓,通过自动跟踪功能,准确记录每个心脏周期的轮廓变化,计算得到左右心室整体纵向应变(global longitudinal strain, GLS)、整体周向应变(global circumferential strain, GCS)和整体径向应变(global radial strain, GRS)。为了分析T1 mapping,将对比前后图像(包括顶端、中间和基底部)加载到T1 mapping模块中。通过勾画左室心肌的心内膜和心外膜轮廓,自动获得对比前和对比后的T1值。人工勾画血池的感兴趣区,并仔细排除乳头肌、调节带和心外膜边界,输入每个受试者的红细胞压积值,自动计算细胞外体积(extracellular volume, ECV)。

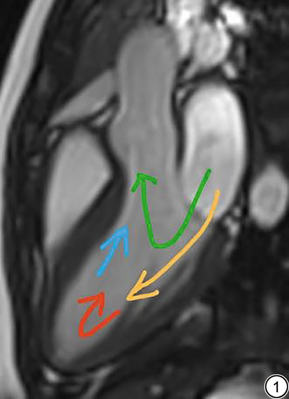
       通过CVI42血流模块对4D Flow序列进行背景相位校正、噪声滤波器和速度混叠校正的预处理[20],分别对肺动脉主干、肺动脉左支和肺动脉右支的血流量进行测量,用左右分支血流量的和是否等于肺动脉主干(误差不超过5 mL)来判断序列的准确性。根据收缩末期路径线的位置,将心室血流分为4个功能性成分(图1):直接血流、延迟射血血流、保留流入量和剩余容积(直接血流是在一个心动周期内,血流在舒张期进入左室,收缩期离开的血流;延迟射血血流在心室舒张期就已经开始并存在的血流,并在收缩期离开;保留流入量在舒张期进入左室,并在下个心动周期收缩期离开;剩余容积是指在左室中至少存在两个心动周期的血流)。

       通过MASS软件对4D Flow进行预处理。在电影短轴进行左室内外膜轮廓的勾画,使用自动图像配准对短轴电影和4D Flow采集之间的平移和旋转错位进行校正,对数据重建的速度幅度图像进行自动配准。KE计算公式见式(1)。

       KE=1/2×ρ血液×Vvoxel×v2(1)

       其中,ρ血液为血液密度(1.06 g/cm3),Vvoxel表示体素体积,v表示速度。

       LVKE是通过每个体素的KE之和,然后生成时间分辨的动能曲线,得到生理相关参数;平面KE是通过将基底到心尖短轴平面上的所有KE相加得到的,并以左室总KE的百分比表示;E/A为E波峰值动能与A波峰值动能的比值;软件对整个左室进行自动分割,将左室分割为基底部,中间以及心尖三个部分,时间偏差(time difference, TD)是指从基底到心室中部E波峰值的时间差;最小KE在整个心动周期的任何时间点,左室血流的最小KE。所有LVKE参数均根据左心室舒张末期容积进行校正处理(KEiEDV),单位为μJ/mL。

图1  血流成分示意图。心脏磁共振电影序列三腔心位。绿箭为直接血流,蓝箭为延迟射血血流,黄箭为保留流入量,红箭为剩余容积。
Fig. 1  Schematic diagram of blood flow components. Cardiac magnetic resonance cine sequence in three-chamber view. The green arrow represents direct flow, the blue arrow represents delayed ejection flow, the yellow arrow represents retained inflow, and the red arrow represents residual volume.

1.4 统计学分析

       利用SPSS统计软件(version20.0, SPSS Statistic, Chicago,USA)及Medcalc(Version22.061, MedCalc Software bvba, Belgium)进行数据分析,用PASS(Version25.0.61,Power Analysis Sample Size, NCSS LLC, United State)软件进行样本量估算(检验水准α=0.05、检验功效1-β=80%)。采用Shapiro-Wilk方法对连续变量进行正态性检验,符合正态分布以均值±标准差表示,并采用独立样本t检验比较组间差异;不符合正态分布的以中位数(上下四分位数)表示,对于不符合正态性或方差不齐的参数,采用Mann-Whitney U秩和检验进行分析。采用皮尔逊相关性分析来检验4D Flow参数与左室结构功能指标间的相关性,不符合正态分布的参数采用斯皮尔曼分析法。采用多因素二元logistic回归分析筛选出影响PVCs患儿负荷程度的因素,绘制各指标的受试者工作特征(receiver operating characteristic, ROC)曲线及曲线下面积(area under the curve, AUC),通过DeLong检验比较各有效参数间的效能差异。同时,构建RVEDVi、剩余容积和收缩期KEiEDV各指标及其联合后的预测模型,通过ROC分析和DeLong检验,评估各参数对PVCs患者负荷程度的预测效能。双尾P<0.05被认为差异具有统计学意义。通过组内相关系数(intra-class correlation coefficient, ICC)分析评估观察者内部和观察者间测量4D Flow参数的可靠性。ICC值>0.75时表示可靠性好,0.40~0.75时表示可靠性为一般,<0.40时表示可靠性差[25]

2 结果

2.1 一般资料

       经样本估算后发现,对照组至少需12例,病例组至少需30例。本研究共纳入55例受试者,排除了6例憋气不佳和有严重运动伪影的PVCs患儿,最终共入组49例。其中,对照组14例,PVCs病例组35例(PVCs-M组16例,PVCs-S组19例)。对照组和PVCs组的年龄(P=0.576)、性别(P=0.786)、心率(P=0.277)及身体质量指数(P=0.812)差异均无统计学意义。PVCs-M组与PVCs-S组尽管在肌酸激酶MB质量差异具有统计学意义(P=0.016),但是仍在正常范围内。PVCs患儿和志愿者的基线特征见表1

表1  PVCs患儿和志愿者的基线特征
Tab. 1  Baseline characteristics of children with PVCs and volunteers

2.2 心室结构功能参数

       病例组与对照组各CMR结构功能指标差异均无统计学意义。病例组亚组中,PVCs-S组与PVCs-M组的RVEDVi差异具有统计学意义(P=0.030)。详见表2

表2  心室结构功能参数比较
Tab. 2  Comparison of ventricular function parameters

2.3 4D Flow参数结果

       对照组和PVCs组左心室血流可视化结果见表3图2图3。血流成分方面,PVCs组直接血流低于对照组(P=0.045)。与PVCs-M组相比,PVCs-S组剩余容积增加(P=0.016),直接血流减少(P=0.049)。

       在左室KE相关参数方面,PVCs组与对照组也存在显著差异。与对照组相比,PVCs组的TD增加(P=0.001)。与PVCs-M组相比,PVCs-S组收缩期KEiEDV减少(P=0.003)。

图2  对照组儿童左室血流的可视化(男,12岁,健康儿童)。2A、2C:舒张期左室血流分量的路径线可视化。2B、2D:收缩期左室血流分量可视化。直接血流为绿色,占比44.41%;保留流入量为黄色,占比20.41%;延迟射血为蓝色,占比22.6%;剩余容积为红色,占比12.57%。
Fig. 2  Visualization of left ventricular blood flow in children of the control group (male,12years, a healthy child). 2A and 2C show the pathline visualization of left ventricular blood flow components during diastole; 2B and 2D show the visualization of left ventricular blood flow components during systole. Direct flow is green, accounting for 44.41%; retained inflow is yellow, accounting for 20.41%; delayed ejection flow is blue, accounting for 22.6%; residual volume is red, accounting for 12.57%.
图3  PVCs-S组的患儿左室血流可视化(女,10岁,负荷为11‰的PVCs患儿)。3A、3C:舒张期左室血流分量的路径线可视化。3B和3D,收缩期左室血流分量可视化。直接血流为绿色,占比22.69%%;保留流入量为黄色,占比29.24%;延迟射血为蓝色,占比17.54%;剩余容积为红色,占比30.53%。
Fig. 3  Visualization of left ventricular blood flow in a child in the PVCs-S group (female, 10years, a child with PVCs with a burden of 11‰). 3A and 3C show the pathline visualization of left ventricular blood flow components during diastole; 3B and 3D show the visualization of left ventricular blood flow components during systole. Direct flow is green, accounting for 22.69%; retained inflow is yellow, accounting for 29.24%; delayed ejection flow is blue, accounting for 17.54%; residual volume is red, accounting for 30.53%.
图4  血流动力学参数与左室心功能参数相关性图。4A:直接血流与LVEF 呈正相关;4B:直接血流与LVESVi 呈负相关;4C:直接血流与LVGLS 呈负相关;4D:剩余容积与LVEF 呈负相关;4E:剩余容积与LVGCS 呈正相关;4F:最小KEiEDV 与LVESVi 呈正相关。LVEF:左心室射血分数;LVESVi:左心室收缩末期容积指数;LVGLS:左室整体纵向应变;LVGCS:左室整体周向应变。
Fig. 4  Correlation diagrams between hemodynamic parameters and left ventricular function parameters. 4A: Direct flow is positively correlated with LVEF; 4B: Direct flow is negatively correlated with LVESVi; 4C: Direct flow is negatively correlated with LVGLS; 4D: Residual volume is negatively correlated with LVEF; 4E: Residual volume is positively correlated with LVGCS; 4F: Minimum KEiEDV is positively correlated with LVESVi. LVEF: left ventricular ejection fraction; LVESVi: left ventricular end-systolic volume index; LVGLS: left ventricular global longitudinal strain; LVGCS: left ventricular global circumferential strain.
表3  4D Flow参数比较
Tab. 3  Comparison of 4D Flow parameters

2.4 相关性分析

       直接血流与LVEF正相关(r=0.438,P=0.001),与LVESVi和LVGLS呈负相关(r=-0.448,P=0.001;r=-0.504,P=0.001),这表明直接血流在维持心脏正常的射血功能中起着重要作用。剩余容积与LVGCS呈正相关(r=0.411,P=0.003),与LVEF呈负相关(r=-0.424,P=0.002)。在左室KE相关参数中,最小KEiEDV与LVESVi呈正相关(r=0.527,P=0.001)。详见图4

2.5 4D Flow参数对负荷程度的预测价值

       PVCs患者组间对照中P<0.05的指标进行二元多因素logistic回归分析,RVEDVi、剩余容积及收缩期KEiEDV与PVCs患儿负荷程度独立相关(表4)。

       ROC曲线分析显示,收缩期KEiEDV、剩余容积与RVEDVi在评估PVCs患者负荷程度中均具有较好的预测效能(AUC分别为0.799、0.740、0.707),将三个指标联合后的预测模型具有更高的预测价值(AUC为0.924)。联合预测模型最佳临界值为0.6,敏感度和特异度为84.21%和93.75%;收缩期KEiEDV最佳临界值为6.95 μJ/mL,敏感度和特异度为84.21%和91.2%;剩余容积最佳临界值为17.25%,敏感度为89.47%,特异度为62.50%;RVEDVi最佳临界值为72.51 mL/m2,敏感度为84.21%,特异度为56.25%。联合预测模型的预测效能较收缩期KEiEDV和剩余容积均有增高,且显著高于RVEDVi。详见图5表5

图5  联合预测模型、RVEDVi、收缩期KEiEDV及剩余容积ROC曲线及DeLong检验结果。P1~P6为模型AUC值DeLong检验结果,P值分别为0.480、0.657、0.053、0.816、0.077、0.017。RVEDVi:右心室舒张末容积指数;KEiEDV:左心室等容舒张末期血流动能;ROC:受试者工作特征;AUC:曲线下面积;CI:置信区间。
Fig. 5  ROC curves and results of DeLong tests for the prediction model, RVEDVi, systolic KEiEDV, and residual volume. P1 to P6 are the results of the DeLong test for the model's AUC values, with P-values of 0.480, 0.657, 0.053, 0.816, 0.077, and 0.017 respectively. RVEDVi: right ventricular end-diastolic volume index; KEiEDV: left ventricular isovolumetric end-diastolic kinetic energy; ROC: receiver operating characteristic; AUC: area under the curve; CI: confidence interval.
表4  logistic回归分析结果
Tab. 4  Logistic regression analysis results
表5  ROC分析结果
Tab. 5  ROC regression analysis results

2.6 4D Flow参数测量的可重复性

       所有4D Flow参数,两位医师的组内和组间相关系数一致性好(表6)。

表6  4D Flow 参数测量的ICC值
Tab. 6  ICC values for 4D Flow parameter measurements

3 讨论

       本研究首次通过4D Flow技术系统地评估了PVCs患儿左室血流动力学的复杂变化。研究结果表明,与对照组相比,PVCs患儿存在显著的血流模式异常,且随着室性期前收缩负荷的加重,PVCs-M组与PVCs-S组血流动力学指标差异也具有统计学意义。同时,部分4D Flow参数与左心结构功能参数具有良好相关性。Logistic分析揭示了RVEDVi、剩余容积及收缩期KEiEDV与PVCs患儿负荷程度独立相关。构建RVEDVi、剩余容积和收缩期KEiEDV各指标及其联合后的预测模型在评估PVCs负荷程度方面均具有较好的预测价值。上述发现提示综合评估左心室血流动力学参数(直接血流、剩余容积、时间偏差、收缩期KEiEDV)的改变,能够更全面地揭示PVCs对心脏功能的复杂影响,为临床风险分层和个体化治疗决策提供重要的定量依据,尤其是将RVEDVi、剩余容积和收缩期KEiEDV联合应用可能成为评估儿童PVCs严重程度的一个强有力的新型血流动力学生物标志物,有助于早期识别高风险患儿。

3.1 PVCs患儿血流动力学特征

       室性期前收缩负荷是PVCs诱发心肌病的关键危险因素[26, 27],而心肌病的发生发展与异位起搏相关的血流动力学紊乱,尤其是左心室不同步程度密切相[28, 29]。本研究揭示的血流动力学参数变化,为理解负荷依赖性的心功能损害提供了新的定量视角。在健康心脏中,直接血流高效且采用最短路径泵出左心[30],并且能保存从流入到收缩前的KE[31]。直接血流减少提示左心室在PVCs影响下,正常的血流路径受到干扰,导致心室充盈与射血的协调性下降。直接血流的减少不仅意味着更多血液需经滞留或延迟射血路径,还增加左心室循环负担。同时,直接血流比例下降影响了左心室舒张与收缩的协调性,长期累积即表现为LVEF 降低。在一项扩张型心肌病的4D Flow研究中[32],扩张型心肌病患者的直接血流成分减少,并与潜在的左心室功能异常相关联,提示可作为亚临床左心室功能障碍的标志物。本研究发现,直接血流与LVEF呈正相关、与LVESVi(反映容积负荷)和LVGLS(反映整体纵向收缩功能)呈负相关,进一步支持直接血流可作为反映左心室整体收缩效能和容积负荷状态的一个敏感指标,其在负荷增加早期即出现的变化,提示其可能在识别早期心功能改变方面具有价值。

       本研究发现剩余容积的增加则可能反映心室排空能力的下降。在本研究中,剩余容积与LVGCS呈正相关,而与LVEF呈负相关,表明其与心室重构(收缩末期残余血量增多)及收缩功能受损(心肌周向应变受损)密切相关。这种血流滞留可能导致容积负荷增加,进而形成“血流滞留-容积负荷增加-功能进一步受损”的潜在恶性循环。HU等[33]在一项Fontan患者血流动力学紊乱和心室充盈受损的评估研究中也发现了直接血流的减少和剩余容积的增加,并认为与延迟射血血流和流入成分能量转移有关。STONE等[34]同样得到了直接血流减少和剩余容积增加的结果。这与本研究结果一致,但本研究更突出了剩余容积在PVCs病理生理背景下的负荷依赖特性,表明其可作为评估心室重构程度和收缩功能储备的补充指标。

       本研究中,心室KE相关参数中时间偏差的增加表明PVCs患儿左心室内血流动力学同步性受损,各区域血流速度和方向出现更显著的时空差异。这与健康心脏舒张早期快速、均匀充盈的高效性形成对比,并得到了PENG等[21]研究的支持。这种同步性下降是PVCs导致心肌不同步和功能障碍的重要血流动力学表现。在本研究中,收缩期LVKEiEDV的减少,尤其在符合加重组(PVCs-S组)中更为明显,直接提示左心室整体收缩期能量转换效率的降低,反映了心肌收缩功能受损。这与在缺血性和限制性心肌病中的发现相似[35],但在本研究中首次在PVCs患儿中系统性地观察到这种与负荷相关的KE异常。最小KEiEDV与LVESVi的正相关也进一步印证了KE参数与心室容积负荷和收缩功能状态的关联。

3.2 CMR常规指标及血流动力学指标对PVCs负荷程度的预测价值

       本研究通过logistic回归分析,得出RVEDVi、剩余容积及收缩期KEiEDV与PVCs患儿负荷程度独立相关,这与PENG等[21]研究的高血压患者左心室血流动能结果相似。同时,ROC曲线分析进一步证实,收缩期KEiEDV(AUC=0.799)、剩余容积(AUC=0.740)和 RVEDVi(AUC=0.707)在评估PVCs负荷程度方面具有较好的预测价值,尤其是三者联合后的预测模型展现出更高的预测效能(AUC=0.924),提示联合预测模型可有效反映心室收缩期能量效率,可构成评估PVCs负荷程度的多参数血流动力学指标体系,可能成为评估儿童PVCs严重程度的一个强有力的新型生物标志物。近期XU等[36]用4D Flow对毛细血管前性肺动脉高压患者心室血流进行评价的研究表明,心脏血流动力学变化可早于传统结构和功能指标,有助于早期识别高风险患者,这与本研究的结论相一致。综合评估左心室血流动力学参数(直接血流、剩余容积、时间偏差、收缩期KEiEDV)的改变,能够更全面地揭示PVCs对心脏功能的复杂影响,为临床风险分层和个体化治疗决策(如PVCs消融或药物治疗)提供重要的定量依据。

3.3 本研究的局限性

       本研究存在一定的局限性:(1)本研究在病例组PVCs负荷程度的分组标准设定上存在一定局限性。当前将病例组划分为低负荷组(≤1‰)与高负荷组(>1‰)的分组阈值,主要基于预实验和本研究样本的数据分布特征及初步分析需求确定,本研究样本量相对较小,这可能导致研究结果存在一定的选择偏倚,无法全面地反映室性早搏患者的整体情况,但本研究通过选择适当的统计方法进行了校正,研究结果具有较好的可靠性,今后将继续扩大样本进一步验证结果的稳定性和探寻更合理的分组阈值。(2)入组研究对象通过筛选标准,排除了多种可能影响研究结果的混杂因素,这可能使研究结果的普适性存在一定的局限。(3)本研究为单中心研究,未涵盖不同地区、不同种族的患者,今后将进一步开展多中心研究。(4)本文未包括对患儿的随访数据,今后将进一步扩充随访数据,探讨4D Flow参数对PVCs患者长期临床结局(如心衰事件)的预测价值,并增加外部验证进一步提升该研究结论的可靠性。

4 结论

       本研究通过4D Flow CMR技术,揭示了PVCs患儿特征性的左心室血流动力学异常模式及其与期前收缩负荷程度的明确关联。直接血流减少、剩余容积增加、时间偏差增大及收缩期KEiEDV降低共同构成了PVCs影响心室功能的复杂因素,且这些参数与传统心功能指标的关联支持其临床意义。尤其重要的是,收缩期KEiEDV、剩余容积和RVEDVi为PVCs负荷程度的独立预测因子,并具有良好的预测效能,其中构建的RVEDVi、剩余容积和收缩期KEiEDV联合预测模型最具潜力。这些基于4D Flow的血流动力学指标为深入理解PVCs病理生理、早期识别心功能损害风险及指导精准临床干预提供了新的重要工具。

[1]
KAMIŃSKA H, MAŁEK Ł A, BARCZUK-FALĘCKA M, et al. The role of cardiac magnetic resonance in evaluation of idiopathic ventricular arrhythmia in children[J/OL]. J Clin Med, 2021, 10(7): 1335 [2025-08-26]. https://pubmed.ncbi.nlm.nih.gov/33804813/. DOI: 10.3390/jcm10071335.
[2]
ALEXANDER M E, BERUL C I. Ventricular arrhythmias: when to worry[J]. Pediatr Cardiol, 2000, 21(6): 532-541. DOI: 10.1007/s002460010131.
[3]
UYSAL F, ÖZALP Ş, GENÇ A, et al. Ventricular extrasystole in children: single-center experience[J]. Turk Arch Pediatr, 2023, 58(4): 395-400. DOI: 10.5152/TurkArchPediatr.2023.22313.
[4]
CHOI S, BAEK J S, KIM M J, et al. Predicting factors for unresolved premature ventricular complexes in healthy children[J/OL]. BMC Pediatr, 2025, 25(1): 148 [2025-08-26]. https://pubmed.ncbi.nlm.nih.gov/40012046/. DOI: 10.1186/s12887-025-05516-9.
[5]
PRZYBYLSKI R, MEZIAB O, GAUVREAU K, et al. Premature ventricular contractions in children and young adults: natural history and clinical implications[J/OL]. Europace, 2024, 26(3): euae052 [2025-08-26]. https://pubmed.ncbi.nlm.nih.gov/38441283/. DOI: 10.1093/europace/euae052.
[6]
CICENIA M, SILVETTI M S, DRAGO F. When should premature ventricular contractions be considered as a red flag in children with cardiomyopathy?[J/OL]. J Cardiovasc Dev Dis, 2021, 8(12): 176 [2025-08-26]. https://pubmed.ncbi.nlm.nih.gov/34940531/. DOI: 10.3390/jcdd8120176.
[7]
FLORE F, LIONCINO M, CICENIA M, et al. Premature ventricular contraction-induced ventricular dysfunction in children without structural heart disease: a systematic review and meta-analysis[J/OL]. Europace, 2025, 27(8): euaf167 [2025-08-26]. https://pubmed.ncbi.nlm.nih.gov/40796120/. DOI: 10.1093/europace/euaf167.
[8]
ATAKLTE F, ERQOU S, LAUKKANEN J, et al. Meta-analysis of ventricular premature complexes and their relation to cardiac mortality in general populations[J]. Am J Cardiol, 2013, 112(8): 1263-1270. DOI: 10.1016/j.amjcard.2013.05.065.
[9]
LEE V, HEMINGWAY H, HARB R, et al. The prognostic significance of premature ventricular complexes in adults without clinically apparent heart disease: a meta-analysis and systematic review[J]. Heart, 2012, 98(17): 1290-1298. DOI: 10.1136/heartjnl-2012-302005.
[10]
GASPERETTI A, CAPPELLETTO C, CARRICK R, et al. Association of premature ventricular contraction burden on serial holter monitoring with arrhythmic risk in patients with arrhythmogenic right ventricular cardiomyopathy[J]. JAMA Cardiol, 2022, 7(4): 378-385. DOI: 10.1001/jamacardio.2021.6016.
[11]
ENRIQUEZ A, MUSER D, MARKMAN T M, et al. Mapping and ablation of premature ventricular complexes: state of the art[J]. JACC Clin Electrophysiol, 2024, 10(6): 1206-1222. DOI: 10.1016/j.jacep.2024.02.008.
[12]
TSIACHRIS D, BOTIS M, DOUNDOULAKIS I, et al. Electrocardiographic characteristics, identification, and management of frequent premature ventricular contractions[J/OL]. Diagnostics (Basel), 2023, 13(19): 3094 [2025-08-26]. https://pubmed.ncbi.nlm.nih.gov/37835837/. DOI: 10.3390/diagnostics13193094.
[13]
YANG R, WANG Y W, WANG Y N, et al. Machine learning for localization of premature ventricular contraction origins: a review[J]. Pacing Clin Electrophysiol, 2024, 47(11): 1481-1491. DOI: 10.1111/pace.15089.
[14]
MERLO M, GAGNO G, BARITUSSIO A, et al. Clinical application of CMR in cardiomyopathies: evolving concepts and techniques: a position paper of myocardial and pericardial diseases and cardiac magnetic resonance working groups of Italian society of cardiology[J]. Heart Fail Rev, 2023, 28(1): 77-95. DOI: 10.1007/s10741-022-10235-9.
[15]
CHANG A, KANG N, CHUNG J, et al. Evaluation of ischemia with No obstructive coronary arteries (INOCA) and contemporary applications of cardiac magnetic resonance (CMR)[J/OL]. Medicina (Kaunas), 2023, 59(9): 1570 [2025-08-26]. https://pubmed.ncbi.nlm.nih.gov/37763689/. DOI: 10.3390/medicina59091570.
[16]
OEBEL S, JAHNKE C, BODE K, et al. Electrophysiological cardiovascular magnetic resonance (EP-CMR)-guided interventional procedures: challenges and opportunities[J]. Curr Cardiol Rep, 2024, 26(9): 903-910. DOI: 10.1007/s11886-024-02092-9.
[17]
NIKOLAIDOU C, ORMEROD J O M, ZIAKAS A, et al. The role of cardiovascular magnetic resonance imaging in patients with cardiac arrhythmias[J/OL]. Rev Cardiovasc Med, 2023, 24(9): 252 [2025-08-26]. https://pubmed.ncbi.nlm.nih.gov/39076394/. DOI: 10.31083/j.rcm2409252.
[18]
PAPANASTASIOU C A, BAZMPANI M A, KAMPAKTSIS P N, et al. Cardiac magnetic resonance for ventricular arrhythmias: a systematic review and meta-analysis[J]. Heart, 2024, 110(18): 1113-1123. DOI: 10.1136/heartjnl-2024-324182.
[19]
MUSER D, SANTANGELI P, CASTRO S A, et al. Risk stratification of patients with apparently idiopathic premature ventricular contractions: a multicenter international CMR registry[J]. JACC Clin Electrophysiol, 2020, 6(6): 722-735. DOI: 10.1016/j.jacep.2019.10.015.
[20]
BISSELL M M, RAIMONDI F, ALI L A, et al. 4D Flow cardiovascular magnetic resonance consensus statement: 2023 update[J/OL]. J Cardiovasc Magn Reson, 2023, 25(1): 40 [2025-08-26]. https://pubmed.ncbi.nlm.nih.gov/37474977/. DOI: 10.1186/s12968-023-00942-z.
[21]
PENG K, ZHANG X L, HUA T, et al. Evaluation of left ventricular blood flow kinetic energy in patients with hypertension by four-dimensional flow cardiovascular magnetic resonance imaging: a preliminary study[J]. Eur Radiol, 2023, 33(7): 4676-4687. DOI: 10.1007/s00330-023-09449-8.
[22]
KIEFTE B J C TE, GHOLAMIANKHAH F, JUFFERMANS J F, et al. Multimodality comparison of aorta morphology in patients with aortopathy: 4D flow CMR, CTA, mDIXON[J/OL]. BMC Med Imaging, 2025, 25(1): 201 [2025-08-26]. https://pubmed.ncbi.nlm.nih.gov/40461985/. DOI: 10.1186/s12880-025-01734-w.
[23]
CARLHÄLL C J, BOLGER A. Passing strange: flow in the failing ventricle[J]. Circ Heart Fail, 2010, 3(2): 326-331. DOI: 10.1161/CIRCHEARTFAILURE.109.911867.
[24]
KANSKI M, ARVIDSSON P M, TÖGER J, et al. Left ventricular fluid kinetic energy time curves in heart failure from cardiovascular magnetic resonance 4D flow data[J/OL]. J Cardiovasc Magn Reson, 2015, 17: 111 [2025-08-26]. https://pubmed.ncbi.nlm.nih.gov/26685664/. DOI: 10.1186/s12968-015-0211-4.
[25]
SAMPAT M P, WHITMAN G J, STEPHENS T W, et al. The reliability of measuring physical characteristics of spiculated masses on mammography[J/OL]. Br J Radiol, 2006, 79 Spec No 2: S134-S140 [2025-08-26]. https://pubmed.ncbi.nlm.nih.gov/17209119/. DOI: 10.1259/bjr/96723280.
[26]
WANG Y H, ELTIT J M, KASZALA K, et al. Cellular mechanism of premature ventricular contraction-induced cardiomyopathy[J]. Heart Rhythm, 2014, 11(11): 2064-2072. DOI: 10.1016/j.hrthm.2014.07.022.
[27]
SHEN X Y, ZHU X Y, ZUO L Y, et al. Mechanisms and risk factors for premature ventricular contraction induced cardiomyopathy[J/OL]. Rev Cardiovasc Med, 2023, 24(12): 353 [2025-08-26]. https://pubmed.ncbi.nlm.nih.gov/39077080/. DOI: 10.31083/j.rcm2412353.
[28]
WALTERS T E, RAHMUTULA D, SZILAGYI J, et al. Left ventricular dyssynchrony predicts the cardiomyopathy associated with premature ventricular contractions[J]. J Am Coll Cardiol, 2018, 72(23Pt A): 2870-2882. DOI: 10.1016/j.jacc.2018.09.059.
[29]
KELEŞ N, KAHRAMAN E, PARSOVA K E, et al. Does premature ventricular complex impair left ventricular diastolic functions?[J]. Anatol J Cardiol, 2023, 27(4): 217-222. DOI: 10.14744/AnatolJCardiol.2022.2421.
[30]
STOLL V M, LOUDON M, ERIKSSON J, et al. Test-retest variability of left ventricular 4D flow cardiovascular magnetic resonance measurements in healthy subjects[J/OL]. J Cardiovasc Magn Reson, 2018, 20(1): 15 [2025-08-26]. https://pubmed.ncbi.nlm.nih.gov/29499706/. DOI: 10.1186/s12968-018-0432-4.
[31]
闫燃, 戴金竹, 马海义, 等. 四维血流心血管MR分析肺动脉高压患者右心室血流特征[J]. 中华放射学杂志, 2021(10): 1048-1053. DOI: 10.3760/cma.j.cn112149-20201212-01297.
YAN R, DAI J Z, MA H Y, et al. Analysis of right ventricular blood flow characteristics in patients with pulmonary hypertension by four-dimensional blood flow cardiovascular MR[J]. Chin J Radiol, 2021(10): 1048-1053. DOI: 10.3760/cma.j.cn112149-20201212-01297.
[32]
ERIKSSON J, BOLGER A F, EBBERS T, et al. Four-dimensional blood flow-specific markers of LV dysfunction in dilated cardiomyopathy[J]. Eur Heart J Cardiovasc Imaging, 2013, 14(5): 417-424. DOI: 10.1093/ehjci/jes159.
[33]
HU L W, ZHAO X D, LENG S, et al. Assessment of hemodynamic disturbances and impaired ventricular filling in asymptomatic fontan patients: a 4D flow CMR study[J/OL]. Eur J Radiol Open, 2025, 14: 100631 [2025-08-26]. https://pubmed.ncbi.nlm.nih.gov/39868414/. DOI: 10.1016/j.ejro.2024.100631.
[34]
STONE M L, SCHÄFER M, DIMARIA M V, et al. Diastolic inflow is associated with inefficient ventricular flow dynamics in Fontan patients[J]. J Thorac Cardiovasc Surg, 2022, 163(3): 1195-1207. DOI: 10.1016/j.jtcvs.2021.06.064.
[35]
RIVA A, STURLA F, PICA S, et al. Comparison of four-dimensional magnetic resonance imaging analysis of left ventricular fluid dynamics and energetics in ischemic and restrictive cardiomyopathies[J]. J Magn Reson Imaging, 2022, 56(4): 1157-1170. DOI: 10.1002/jmri.28076.
[36]
XU W Q, DENG M, ZHANG L, et al. Qualification of ventricular flow in patients with precapillary pulmonary hypertension with 4-dimensional flow magnetic resonance imaging[J]. J Thorac Imaging, 2023, 38(6): 374-382. DOI: 10.1097/RTI.0000000000000715.

上一篇 心脏磁共振左室快速长轴应变预测肥厚型心肌病广泛心肌纤维化的价值
下一篇 3D-pCASL在评估HIBD极早产儿脑灌注及早期预后中的应用研究
  
诚聘英才 | 广告合作 | 免责声明 | 版权声明
联系电话:010-67113815
京ICP备19028836号-2