分享:
分享到微信朋友圈
X
临床研究
宫内生长受限胎儿海马发育的MRI研究
阮锦 王磊 夏珣 窦智波 郑欢记 谭四平

本文引用格式:阮锦, 王磊, 夏珣, 等. 宫内生长受限胎儿海马发育的MRI研究[J]. 磁共振成像, 2025, 16(11): 76-81. DOI:10.12015/issn.1674-8034.2025.11.011.


[摘要] 目的 使用孕中晚期胎儿磁共振检查图像,研究宫内生长发育受限(intrauterine growth restriction, IUGR)胎儿双侧海马的发育情况。材料与方法 回顾性分析2023年1月至2025年2月在我院产前诊断科就诊的生长发育受限胎儿(51例)和正常胎儿(50例)的产前磁共振检查的影像资料,使用线性回归评估胎龄和胎儿矢状位海马长径、胎儿海马折叠角(hippocampal infolding angle, HIA)的关系,用t检验比较两组间矢状位海马长径、HIA的大小。结果 正常组、IUGR组的双侧矢状位海马长径、HIA与胎龄呈显著正相关(正常组:右侧矢状位海马长径r=0.936、P<0.001,左侧矢状位海马长径r=0.901、P<0.001,右侧HIA r=0.867、P<0.001,左侧HIA r=0.856、P<0.001;IUGR组:矢状位右侧海马长径r=0.807、P<0.001,左侧矢状位海马长径r=0.778、P<0.001,右侧HIA r=0.786、P<0.001,左侧HIA r=0.763、P<0.001)。正常组海马长径(Y)和胎龄(X)的线性回归方程为:左侧Y=1.11+0.64X/(β=0.901,SE=0.045,t=14.388,R2=0.812,P<0.001)、右侧Y=1.96+0.69X/(β=0.936,SE=0.038,t=18.399,R2=0.876,P<0.001);正常组HIA(Y)和胎龄(X)的线性回归方程分别为:左侧Y=53.13+0.54X/(β=0.856,SE=0.047,t=11.447,R2=0.812,P<0.001)、右侧Y=52.57+0.59X /(β=0.867,SE=0.049,t=12.074,R2=0.752,P<0.001)。IUGR组海马长径(Y)和胎龄(X)的线性回归方程为:左侧Y=4.72+0.39X/(β=0.778,SE=0.045,t=8.660,R²=0.605,P<0.001)、右侧Y=6.14+0.37X/(β=0.807,SE=0.038,t=9.579,R2=0.652,P<0.001),IUGR组HIA(Y)和胎龄(X)的线性回归方程分别为:左侧Y=55.88+0.40X/(β=0.763,SE=0.049,t=8.273,R²=0.605,P<0.001)、右侧Y=56.71+0.41X/(β=0.786,SE=0.046,t=8.911,R2=0.618,P<0.001)。正常组海马长径平均值为右侧(19.698±2.075)mm,左侧(19.006±2.002)mm,IUGR组海马长径平均值为右侧(17.941±1.284)mm,左侧(17.186±1.408)mm,两组间海马长径差异有统计学意义(右侧t=5.104,P<0.001;左侧t=5.273,P<0.001)。正常组HIA为右侧(71.018±1.907)°,左侧(70.008±1.769)°,IUGR组HIA平均值为右侧(69.958±1.480)°,左侧(68.911±1.499)°,两组间HIA差异有统计学意义(右侧t=3.113,P=0.002;左侧t=3.362,P=0.001)。结论 IUGR海马的大小与HIA随着胎龄的增加会发生变化,IUGR海马发育与正常胎儿海马发育存在差异性,磁共振检查可为IUGR的海马发育异常提供影像学支持。
[Abstract] Objective To investigate the development of bilateral hippocampi in fetuses with intrauterine growth restriction (IUGR) using MRI in the second and third trimester of pregnancy.Materials and Methods A retrospective analysis was conducted on the prenatal MR images of 51 fetuses with growth restriction and 50 normal fetuses who visited the prenatal diagnosis department of our hospital from January 2023 to Februry 2025. Linear regression was used to evaluate the relationship between gestational age and the long diameter of the fetal sagittal hippocampus and the hippocampal infolding angle (HIA). The t-test was used to compare the long diameter of the sagittal hippocampus and HIA between the two groups.Results Gestational age was significantly positively correlated with the bilateral sagittal hippocampal long diameter and HIA in the normal group and IUGR group in (the normal group, the right sagittal hippocampal long diameter r = 0.936, P < 0.001; the left sagittal hippocampal long diameter r = 0.901, P < 0.001; the right HIA r = 0.867, P < 0.001; the left HIA r = 0.856, P < 0.001. In the IUGR group, the right sagittal hippocampal long diameter r = 0.807, P < 0.001; the left sagittal hippocampal long diameter r = 0.778, P < 0.001; the right HIA r = 0.786, P < 0.001; the left HIA r = 0.763, P < 0.001). In the normal group, the regression equations between hippocampal longitudinal diameter (Y) and gestational age (X) were: left side, Y = 1.11 + 0.64X (β = 0.901, SE = 0.045, t = 14.388, R2 = 0.812, P < 0.001); right side, Y = 1.96 + 0.69X (β = 0.936, SE = 0.038, t = 18.399, R2 = 0.876, P < 0.001). The regression equations between HIA (Y) and gestational age (X) were: left side, Y = 53.13 + 0.54X (β = 0.856, SE = 0.047, t = 11.447, R2 = 0.812, P < 0.001); right side, Y = 52.57 + 0.59X (β = 0.867, SE = 0.049, t = 12.074, R² = 0.752, P < 0.001). In the IUGR group, the regression equations between hippocampal longitudinal diameter (Y) and gestational age (X) were: left side, Y = 4.72 + 0.39X (β = 0.778, SE = 0.045, t = 8.660, R2 = 0.605, P < 0.001); right side, Y = 6.14 + 0.37X (β = 0.807, SE = 0.038, t = 9.579, R2 = 0.652, P < 0.001). The regression equations between HIA (Y) and gestational age (X) were: left side, Y = 55.88 + 0.40X (β = 0.763, SE = 0.049, t = 8.273, R2 = 0.605, P < 0.001); right side, Y = 56.71 + 0.41X (β = 0.786, SE = 0.046, t = 8.911, R2 = 0.618, P < 0.001). The mean hippocampal longitudinal diameters in the normal group were (19.698 ± 2.075) mm (right) and (19.006 ± 2.002) mm (left), while those in the IUGR group were (17.941 ± 1.284) mm (right) and (17.186 ± 1.408) mm (left). The differences between groups were statistically significant (right: t = 5.104, P < 0.001; left: t = 5.273, P < 0.001). The mean HIA values in the normal group were (71.018 ± 1.907)° (right) and (70.008 ± 1.769)° (left), while in the IUGR group they were (69.958 ± 1.480)° (right) and (68.911 ± 1.499)° (left). These intergroup differences were also statistically significant (right: t = 3.113, P = 0.002; left: t = 3.362, P = 0.001).Conclusions The size of the hippocampus and HIA in IUGR fetuses change with gestational age, there are differences in the hippocampal development of IUGR fetuses and that of normal fetuses. MRI can provide imaging diagnostic support for hippocampal development abnormalities in IUGR.
[关键词] 宫内生长发育受限;胎儿;海马;磁共振成像;海马折叠角
[Keywords] intrauterine growth restriction;fetus;hippocampal;magnetic resonance imaging;hippocampal infolding angle

阮锦 1   王磊 1   夏珣 2   窦智波 1   郑欢记 1   谭四平 1*  

1 深圳市南山区妇幼保健院放射科,深圳 518000

2 深圳市南山区妇幼保健院产前诊断科,深圳 518000

通信作者:谭四平,E-mail:tan-yang@126.com

作者贡献声明:谭四平设计本临床研究方案,对稿件重要内容进行了修改;阮锦起草和撰写稿件,收集、获取、分析本研究的数据;王磊、夏珣、窦智波、郑欢记获取、分析和解释本研究数据,对稿件重要内容进行了修改;夏珣获得了深圳市南山区高层次医学团队引进项目和深圳市南山区卫生健康系统科技重大项目的资助;全体作者同意发表最后修改稿,同意对研究各方面负责,确保研究数据的准确性。


基金项目: 深圳市南山区高层次医学团队引进项目 202407 深圳市南山区卫生健康系统科技重大项目 NSZD2024072
收稿日期:2025-08-06
接受日期:2025-10-25
中图分类号:R445.2  R714.431 
文献标识码:A
DOI: 10.12015/issn.1674-8034.2025.11.011
本文引用格式:阮锦, 王磊, 夏珣, 等. 宫内生长受限胎儿海马发育的MRI研究[J]. 磁共振成像, 2025, 16(11): 76-81. DOI:10.12015/issn.1674-8034.2025.11.011.

0 引言

       宫内生长受限(intrauterine growth restriction, IUGR)是一种临床上常见的妊娠并发症,与很多不良妊娠结局的发生相关,根据目前最新的医学专家共识,IUGR是指胎儿在子宫内的生长速度明显低于其预期的生长曲线,通常是胎儿的生长(体质量或腹围)小于同一胎龄正常胎儿群体的第十百分位数,占发展中国家妊娠的10%[1],IUGR患儿的远期健康不容乐观[2, 3],IUGR是多病因疾病,现在仍然有许多致病因素尚未明确,磁共振检查相比超声能提供更加精细的解剖信息[4]。海马为脑边缘系统的一部分,与记忆、注意力、执行能力密切相关,功能复杂且解剖变异较多,为现在神经功能学研究的热点[5]。海马结构包括海马及海马旁回,海马分为海马头部、体部以及尾部,在经过杏仁核的标准脑矢状位切面上,可以显示海马长径,海马长径为海马尾后上缘到海马头前下缘的直线距离,使用矢状位海马长径可用来间接体现海马体积的大小[6]。海马下托是指海马和海马旁回之间的过渡区域,海马角(cornu ammonis, CA)用于海马横断面(脑冠状切面),对这一组织切面进行描述,海马折叠角(hippocampal infolding angle, HIA)为连接海马下托内侧面上缘与海马角的外侧缘连线和大脑半球垂直中线之间的角度,既往研究发现,随着孕期的增长,HIA角会发生变化[7]

       IUGR常伴有感知、运动、认知、注意力集中能力下降和短期记忆缺陷等症状,IUGR神经系统发育障碍逐年提高,临床期待能对IUGR的神经损伤有更深入的了解[8]。BROWN等[9]建立小鼠模型,发现IUGR小鼠在出生后,双侧海马的体积减小,HIGASHIJIMA等[10]的研究发现HIA为音猬因子(sonic hedgehog, SHH)通路异常的重要预测因子,提示海马的体积、HIA与胎儿神经功能的预后有关,而现阶段研究集中在IUGR脑血管循环的异常[11],对胎儿海马缺乏关注,胎儿HIA的研究亦局限于正常胎儿[12],本研究运用磁共振检查的手段得到胎儿海马长径与HIA的数值,比较IUGR与正常胎儿间的差异性,填补了既往研究的空白,可以为临床预后判断和围产期管理提供依据。

1 材料与方法

1.1 一般资料

       本研究遵守《赫尔辛基宣言》,经深圳市南山区妇幼保健院伦理委员会审批通过,免除受试者知情同意,伦理批号:NSFYEC-LW-2025008。选取2023年1月至2025年2月于我院产前诊断科就诊,产前超声检查怀疑有颅脑神经发育异常的患者共101例,其中正常组胎儿50例,IUGR胎儿51例。正常组胎儿纳入标准:(1)胎儿MRI检查未见异常;(2)单胎妊娠;(3)按照最新医学评估指南[13],出生后为正常十月胎龄儿。IUGR组胎儿纳入标准:(1)按照最新医学专家共识,临床诊断为宫内胎儿生长受限[1];(2)单胎妊娠。正常组和IUGR组排除标准:(1)胎儿颅内占位性病变及其他器官发育畸形;(2)检查图像质量差影响相关指标测量。

1.2 检查方法与设备参数

       采用荷兰Philips Ingenia 1.5 T磁共振诊断系统,单次激发快速自旋回波序列(Single shot Turbo Spin Echo, SSh-TSE)参数:TE 140 ms,TR 1194 ms,层厚4 mm,FOV 270 mm×270 mm,分别扫描胎儿颅脑轴位、冠状位、矢状位;超快速平衡稳态自由进扫描序列(Balanced Turbo Fast Field Echo, BTFE)参数:TE 3.4 ms,TR 6.8 ms,层厚4 mm,FOV 300 mm×281 mm,分别扫描胎儿颅脑轴位、冠状位、矢状位。

1.3 图像分析

       将原始MRI图像传至PACS系统,在矢状位SSh-TSE序列上测量胎儿左右海马长径,在有杏仁核层面测量海马尾后上缘到海马头前下缘的距离。在冠状位BTFE序列上测量左右两侧HIA,在有脑桥显示的图像上测量,角度的两条射线分别为连接海马下托内侧面上缘与海马角的外侧缘连线以及大脑半球垂直中线,图像的测量由2名具有5年以上工作经验的放射诊断医生独立审查图像并进行测量,取平均值,在测量完成前,医生对临床资料以及分组情况不知情。采用组内相关系数(intra-class correlation coefficient, ICC)评估两名测量者间结果的一致性,两名测量者对双侧海马长径、HIA角测量结果的一致性信度优秀(左侧海马长径ICC=0.983,95% CI:0.974~0.988,P<0.001;右侧海马长径ICC=0.980,95% CI:0.970~0.986,P<0.001;左侧海马折叠角ICC=0.982,95% CI:0.954~0.991,P<0.001;右侧海马折叠角ICC=0.982,95% CI:0.970~0.989,P<0.001),ICC值的解释依据Koo & Li(2016)[14] 的标准:<0.50表示一致性差;0.50<0.75表示一致性中等;0.75<0.90表示一致性良好,>0.90表示一致性优秀。测量方法见图1

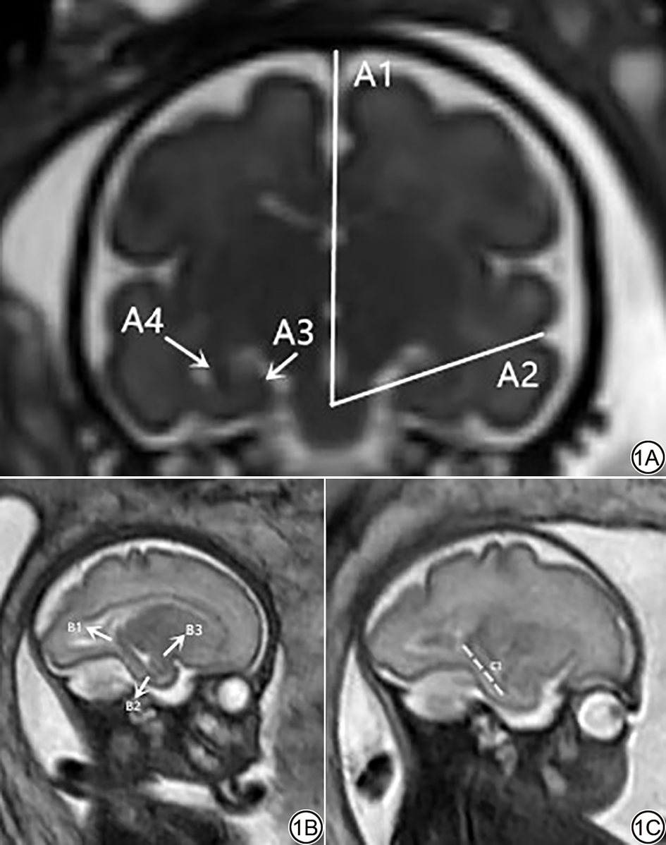
图1  孕30周 IUGR胎儿。1A:BTFE序列冠状位示意图,A1为大脑半球垂直中线,A2为海马托内侧面上缘与海马角外侧缘连线,A3(箭)为海马托内侧面上缘,A4(箭)为海马角外侧缘;1B:SSh-TSE序列矢状位示意图,B1(箭)为右侧海马尾,B2(箭)为右侧海马头,B3(箭)为杏仁核;1C:SSh-TSE序列矢状位示意图,C1(虚线)为左侧海马尾后上缘到海马头前下缘的距离。IUGR:宫内生长发育受限。
Fig. 1  Fetus with IUGR at 30 weeks of gestation. 1A: Coronal view schematic diagram of BTFE sequence, A1 is the vertical midline of the cerebral hemisphere, A2 is the line connecting the upper edge of the medial superior margin of the subiculum and the lateral margin of the cornuammonis, A3 is medial superior margin of the subiculum, A4 is he lateral margin of the cornuammonis; 1B: Sagittal view schematic diagram of SSh-TSE sequence, B1 is the right hippocampal tail, B2 is the right hippocampal head, B3 is the amygdala; 1C: Sagittal view schematic diagram of SSh-TSE sequence, C1 is the distance from the posterior superior edge of the left hippocampal tail to the anterior inferior edge of the hippocampal head. IUGR: intrauterine growth restriction.

1.4 统计学分析

       统计分析使用SPSS 20.0软件。计量资料以均数±标准差表示,用Kolmogorov-Smirnov检验数据的正态性,符合正态分布的计量资料组间比较采用独立样本t检验。计数资料以例数表示,组间比较采用卡方检验。用Pearson相关分析两组胎龄与海马长径、HIA的相关性,拟合对应的线性回归方程,使用R²、P值来筛选最优模型。采用组内相关系数评估两名测量者结果的一致性。P<0.05为差异有统计学意义。

2 结果

2.1 一般资料

       正常组孕妇年龄(30.060±4.042)岁,IUGR组年龄(29.960±3.898)岁,以独立样本t检验分析两组孕妇年龄,差异无统计学意义(t=0.126,P=0.900)。正常组胎龄(31.360±2.812)周,IUGR组胎龄(32.254±2.834)周,以独立样本t检验比较两组胎龄,差异无统计学意义(t=1.593,P=0.114)。两组胎儿男性比例均大于女性,正常组胎儿性别比(男/女)为31∶19,IUGR组胎儿性别比(男/女)为27∶24,以卡方检验比较两组间的性别比,差异无统计学意义(χ2=0.847,P=0.357)。详见表1

表1  正常胎儿组、IUGR组一般资料对比
Tab. 1  Comparison of general information data between the normal fetus group and the IUGR group

2.2 胎龄和各组海马长径间的关系

       用Pearson相关分析胎龄与胎儿矢状位海马长径之间的线性关系,正常组胎儿矢状位海马长径与胎龄呈正相关(右侧矢状位海马长径r=0.936,P<0.001;左侧矢状位海马长径r=0.901,P<0.001),IUGR组胎儿矢状位海马长径与胎龄呈正相关(右侧海马长径r=0.807,P<0.001;左侧矢状位海马长径r=0.778,P<0.001)。正常组海马长径(Y)和胎龄(X)的线性回归方程为:左侧Y=1.11+0.64X/(β=0.901,SE=0.045,t=14.388,R2=0.812,P<0.001)、右侧Y=1.96+0.69X/(β=0.936,SE=0.038,t=18.399,R2=0.876,P<0.001)。IUGR组海马长径(Y)和胎龄(X)的线性回归方程为:左侧Y=4.72+0.39X/(β=0.778,SE=0.045,t=8.660,R2=0.605,P<0.001)、右侧Y=6.14+0.37X/(β=0.807,SE=0.038,t=9.579,R2=0.652,P<0.001),见图2。以上四个回归模型达到了P<0.001的显著水平,模型的解释力(以R2衡量)介于0.605到0.876之间,整体检验结果支持了模型的有效性。

图2  胎龄和正常组、IUGR组海马长径间的关系。IUGR:宫内生长发育受限。
Fig. 2  Relationship between gestational age and the length of the hippocampus in the normal group and the IUGR group. IUGR: intrauterine growth restriction.

2.3 胎龄和各组HIA角的关系

       用Pearson相关分析胎龄与胎儿HIA之间的线性关系,正常组胎儿HIA与胎龄呈显著正相关(右侧HIA r=0.867,P<0.001;左侧HIA r=0.856,P<0.001),IUGR组胎儿HIA与胎龄呈显著正相关(右侧HIA r=0.786,P<0.001;左侧HIA r=0.763,P<0.001)。正常组HIA(Y)和胎龄(X)的线性回归方程分别为:左侧Y=53.13+0.54X/(β=0.856,SE=0.047,t=11.447,R2=0.812,P<0.001)、右侧Y=52.57+0.59X/(β=0.867,SE=0.049,t=12.074,R2=0.752,P<0.001),IUGR组HIA(Y)和胎龄(X)的线性回归方程分别为:左侧Y=55.88+0.40X/(β=0.763,SE=0.049,t=8.273,R2=0.605,P<0.001)、右侧Y=56.71+0.41X/(β=0.786,SE=0.046,t=8.911,R2=0.618,P<0.001),见图3。以上四个回归模型达到了P<0.001的显著水平,模型的解释力(以R2衡量)介于0.605到0.812之间,整体检验结果支持了模型的有效性。

图3  胎龄和正常组、IUGR组HIA的关系。IUGR:宫内生长发育受限;HIA:海马折叠角。
Fig. 3  Relationship between gestational age and HIA in the normal group and IUGR group. IUGR: intrauterine growth restriction; HIA: hippocampal infolding angle.

2.4 各组海马长径和HIA角的比较

       IUGR组胎儿双侧海马长径和HIA均值皆小于正常组胎儿,以独立样本t检验分析比较两组双侧海马长径和HIA,正常组胎儿海马长径平均值为右侧(19.698±2.075)mm,左侧(19.006±2.002)mm,IUGR组胎儿海马长径平均值为右侧(17.941±1.284)mm,左侧(17.186±1.408)mm,正常组海马长径平均值大于IUGR组,两组间海马长径差异有统计学意义(右侧t=5.104,右侧P<0.001;左侧t=5.273,左侧P<0.001),见图4。正常组胎儿HIA为右侧(71.018±1.907)°,左侧(70.008±1.769)°,IUGR组胎儿HIA平均值为右侧(69.958±1.480)°,左侧(68.911±1.499)°,正常组HIA平均值大于IUGR组,两组间HIA差异有统计学意义(右侧t=3.113,P=0.002;左侧t=3.362,左侧P=0.001),见图5。对所得数据进行分析,获得各组海马长径和HIA角的置信区间,见表2, 3

图4  正常组、IUGR组海马长径箱线图。IUGR:宫内生长发育受限
Fig. 4  Box plots of hippocampal length in the normal group and the IUGR group. IUGR: intrauterine growth restriction.
图5  正常组、IUGR组HIA箱线图。IUGR:宫内生长发育受限;HIA:海马折叠角。
Fig. 5  Box plots of HIA in the normal group and the IUGR group. IUGR: intrauterine growth restriction; HIA: hippocampal infolding angle.
表2  正常胎儿、IUGR胎儿海马长径95%置信区间
Tab. 2  The 95% CI of the hippocampal lengths of normal fetuses and IUGR fetuses
表3  正常胎儿、IUGR胎儿HIA 95%置信区间
Tab. 3  The 95% confidence interval of the HIA of normal fetuses and IUGR fetuses

3 讨论

       本研究回顾性分析51例IUGR胎儿、50例正常胎儿的产前磁共振检查的影像资料,将海马长径和HIA纳入研究,比较两组间海马的体积与形态的变化,结果显示IUGR海马发育与正常胎儿相比存在差异性,为国内外首次将海马长径和HIA应用于IUGR的研究,对IUGR胎儿复杂的病理机制进行了探讨,帮助临床更加深入地认识IUGR对胎儿神经系统的影响,对患儿的远期预后有重要的作用。

3.1 IUGR组分型

       宫内生长发育受限为临床常见的胎儿发育异常,但病因复杂,分为轻型和严重型[15, 16],轻型宫内生长发育受限为胎儿体质量或胎儿腹围小于胎龄的第10百分位,严重型为胎儿体质量或胎儿腹围小于相应胎龄的第3百分位,或胎儿体质量、胎儿腹围小于相应胎龄的第10百分位并伴有脐动脉血流异常(搏动指数>第95百分位、舒张末期血流缺失/反向)的胎儿,51例宫内生长发育受限中,10例为严重胎儿生长发育受限,41例为轻型胎儿生长发育受限,严重型的胎龄为(29.000±1.632)周,轻型的胎龄为(33.023±2.454)周,两者差异有统计学意义(t=4.912,P<0.001),提示严重型宫内生长发育受限更容易发生在较小胎龄,和既往研究一致[17, 18]

3.2 各组海马长径的变化

       因为胎动伪影的不可避免,获得高质量胎儿磁共振图像难度较大,难以使用3D医学图像分割的方式进行测量,在实际测量工作中,发现SSh-TSE序列可以更加清晰地显示海马的C形结构,有学者使用多平面重建模式对胎儿大脑进行超声检查,胎儿海马体的C形结构可以在矢状位上清晰显示[19],MRI拥有比超声检查更好的分辨率,测量值的准确性会得到进一步提高[20]。正常组和IUGR组右侧海马长径大于左侧海马长径,同王振松等[21]研究结果一致,同时BARRY等[22]的研究发现左侧海马齿状回/CA4、CA3/2亚区的体积大于右侧,现阶段关于海马体积的侧边差异性目前尚无统一定论。IUGR是产科常见疾病,MOTTE-SIGNORET等[23]研究发现约1/3的早产儿存在IUGR,YEHUDA等[24]的研究发现除了脑容量减少,IUGR胎儿的脑回数量也少于适于胎龄儿,SACCHI等[25]对314例早产儿进行病例随访研究,发现其中IUGR患儿在边缘系统区的灰质体积相对减小,而额顶颞叶区灰质体积增加。有研究表明海马体灰质体积的变化,会导致抑郁症的发作,并且海马体的灰质体积变化可以影响额叶皮质的体积变化[26]。对于首发抑郁患者,海马的大小和抑郁程度呈负相关[27],对过往研究进行总结,IUGR会影响胎儿颅内神经结构的发育,海马承担重要的神经功能。两组的矢状位海马长径均呈线性增高,说明IUGR胎儿虽然处于病理状态内,但海马长径仍随胎龄的增长而保持线性增长(P<0.001),其海马长径的增长较正常胎儿相对延迟,IUGR胎儿组的双侧海马长径平均值都小于正常胎儿平均值(P<0.001),由于海马的体积与胎儿的各项功能的发育密切相关,推测海马体积增长的落后推测会影响患儿的远期健康,以往胎儿海马很少被临床关注,对胎儿海马体积的研究在现阶段既有理论的支持同时具备一定的技术积累,可以为临床提供更多的支持。

3.3 各组海马折叠角的变化

       在胎儿大脑的发育过程中,海马的大小、形态以及成分都在逐渐变化,在妊娠第10~20周,海马在颞叶内侧的主体折叠旋转完成,海马从开口向外侧的“C”形结构变成开口朝向内侧的复杂卷曲结构,海马主体旋转的过程失败,会发生不完全性海马反转(incomplete hippocampal inversion, IHI)[28],在妊娠第17~18周,HIA开始显示,使海马从近垂直的位置旋转到水平位置,在出生后HIA可以缓慢变化至成人的值[29]。现有研究将大部分目光聚焦于IHI与癫痫之间的关系,但目前仍无统一定论[30, 31],因为胎儿磁共振快速成像的特殊要求,IHI难以在胎儿颅脑磁共振图像中被发现,与之对比,HIA更容易被观察测量。BEKER ACAY等[32]在一项最新的回顾性分析中发现,相比IHI,在癫痫或热性惊厥患者中更常发现HIA减少。CHOU等[33]对21 474例早产儿和2206例宫内生长受限患儿进行长期随访研究,结果显示早产和宫内生长受限儿童癫痫的累积发生率显著高于对照组。正常组和IUGR组的HIA值均随着胎龄的增长而呈线性增加(P<0.001),但IUGR组HIA的发育进程同海马长径一样,较正常组相对延迟,IURG组的双侧平均HIA值显著低于正常组胎儿,提示IUGR胎儿的海马折叠进程没有中断而是落后于正常胎儿,HIA对于胎儿的神经功能有潜在的影响,但具体的病理机制有待进一步考证,近年来国内外有关HIA的研究逐渐增多,但集中在正常胎儿和出生后,将IUGR胎儿做为研究对象,更有利于证明HIA在产前诊断方面的临床意义,为医疗工作提供新的思路和方法。

       孙悦等[12]通过测量139例正常胎儿的HIA角,以两周为间隔进行分组,得出各孕期组的HIA值的95% CI,30~31周胎儿右侧HIA 95% CI为72.457~73.121,将其与本研究中正常组胎儿HIA值的95% CI进行比较,发现本次研究中正常胎儿组HIA值略低,推测原因有以下几个:(1)本研究是单中心回顾性研究,样本量较小,孕期跨度较既往研究大;(2)磁共振机器型号不同,序列参数的差异性导致测量点的选择略有差别;(3)手动测量存在误差。

3.4 局限性

       本研究存在以下几个方面的局限性:(1)研究病例数较少,为单中心回顾性研究,存在一定的选择偏差;(2)严重型IURG的平均胎龄显著小于轻型宫内生长受限与正常组,严重型IURG与其他组海马长径与HIA值的统计学分析存在困难;(3)矢状位海马长径为二维径线,可以做为组间海马体积对比的参考值,但不能为胎儿海马体积提供定量参考。

4 总结与展望

       综上所述,IUGR海马的大小与HIA随着胎龄的增加会发生变化,IUGR海马发育与正常胎儿海马发育存在差异性,磁共振检查可为IUGR的海马发育异常提供影像学支持。未来计划对IUGR患者继续随访,将出生后海马的发育情况纳入下一步的研究工作中,为患者提供全周期的医疗服务。

[1]
LAWN J E, OHUMA E O, BRADLEY E, et al. Small babies, big risks: global estimates of prevalence and mortality for vulnerable newborns to accelerate change and improve counting[J]. Lancet, 2023, 401(10389): 1707-1719. DOI: 10.1016/S0140-6736(23)00522-6.
[2]
MELER E, MAZARICO E, EIXARCH E, et al. Ten-year experience of protocol-based management of small-for-gestational-age fetuses: perinatal outcome in late-pregnancy cases diagnosed after 32 weeks[J]. Ultrasound Obst Gyn, 2021, 57(1): 62-69. DOI: 10.1002/uog.23537.
[3]
Fetal Growth Restriction. ACOG Practice Bulletin, Number 227[J/OL]. OB/GYN, 2021, 137(2): e16-e28 [2025-08-06]. https://pubmed.ncbi.nlm.nih.gov/33481528. DOI: 10.1097/AOG.0000000000004251.
[4]
JOUANNIC J M, BLONDIAUX E, SENAT M V, et al. prognostic value of diffusion-weighted magnetic resonance imaging of brain in fetal growth restriction: results of prospective multicenter study[J]. Ultrasound Obst Gyn, 2020, 56(6): 893-900. DOI: 10.1002/uog.21926.
[5]
曾玮, 郭嘉丽, 梁晓, 等. 基于海马镜像同伦连接影像组学特征识别帕金森病患者认知功能损害的机器学习研究[J]. 临床放射学杂志, 2025, 44(2): 211-219. DOI: 10.13437/j.cnki.jcr.2025.02.004.
ZENG W, GUO J L, LIANG X, et al. Dentifying Cognitively Impairment in Patients with Parkinson Disease by Machine Learning Model Based on Hippocampal Radiomics Features Derived from Voxel-Mirrored Homotopic Connectivity Imaging[J]. Journal of Clinical Radiology, 2025, 44(2): 211-219. DOI: 10.13437/j.cnki.jcr.2025.02.004.
[6]
TOPRAK E, SAYAL H B. Ultrasonographic imaging of the fetal hippocampus[J]. Arch Gynecol Obstet, 2024, 309(5): 1943-1949. DOI: 10.1007/s00404-023-07093-7.
[7]
DEMIR S S, CAGLIYAN E, SARRIGHINI A, et al. Hippocampal infolding angle changes during brain development assessed by prenatal MR imaging[J]. AJNR Am J Neuroradiol, 2006, 27(10): 2093-2097.
[8]
殷婷婷, 严峻, 汤秋勤, 等. 宫内生长受限胎儿神经发育障碍的研究进展[J]. 重庆医学, 2025, 54(4): 966-971. DOI: 10.3969/j.issn.1671-8348.2025.04.031.
YIN T T, YAN J, TANG Q Q, et al. Progress of neurodevelopmental disorders in intrauterine growth restriction[J]. Chongqing Medical Journal, 2025, 54(4): 966-971. DOI: 10.3969/j.issn.1671-8348.2025.04.031.
[9]
BROWN A S, WIEBEN M, MURDOCK S, et al. Intrauterine Growth Restriction Causes Abnormal Embryonic Dentate Gyrus Neurogenesis in Mouse Offspring That Leads to Adult Learning and Memory Deficits[J/OL]. eNeuro, 2021, 8(5): ENEURO.0062-21.2021 [2025-08-06]. https://pubmed.ncbi.nlm.nih.gov/34544755/. DOI: 10.1523/ENEURO.0062-21.2021.
[10]
HIGASHIJIMA T, SHIROZU H, SAITSU H, et al. Incomplete hippocampal inversion in patients with mutations in genes involved in sonic hedgehog signaling[J/OL]. Heliyon, 2023, 9(4): e14712 [2025-08-06]. https://pubmed.ncbi.nlm.nih.gov/37012904. DOI: 10.1016/j.heliyon.2023.e14712.
[11]
HONÓRIO D R, RIBEIRO A L D S, SILVA T L M DA, et al. Prenatal human brain development is not spared by IUGR: A systematic review[J/OL]. Early Hum Dev, 2025, 201: 106199 [2025-08-06]. https://doi.org/10.1016/j.earlhumdev.2025.106199. DOI: 10.1016/j.earlhumdev.2025.106199.
[12]
孙悦, 曹一民, 伊泽茜, 等. 孕中晚期胎儿海马折叠角变化的产前MRI研究[J]. 磁共振成像, 2024, 15(5): 24-27, 101. DOI: 10.12015/issn.1674-8034.2024.05.005.
SUN Y, CAO Y M, YI Z X, et al. Prenatal MRI of fetal hippocampal infolding angle change in middle and third trimester[J]. Chin J Magn Reson Imaging, 2024, 15(5): 24-27, 101. DOI: 10.12015/issn.1674-8034.2024.05.005.
[13]
首都儿科研究所, 九市儿童体格发育调查协作组. 中国不同出生胎龄新生儿出生体质量、身长和头围的生长参照标准及曲线[J]. 中华儿科杂志, 2020, 58(9): 738-746.
Capital Institute of Pediatrics, the Coordinating Study Group of Nine Cities on the Physical Growth and Development of Children. Growth standard curves of birth weight, length and head circum ference of Chinese newborns of different gestation[J]. Chin J Pediatr, 2020, 58(9): 738-746.
[14]
KOO T K, LI M Y. A guideline of selecting and reporting intraclass correlation coeffic ients for reliability research[J]. J Chiropr Med, 2016, 15(2): 155-163. DOI: 10.1016/j.jcm.2016.02.012.
[15]
陈甦, 陈泽俊, 凌奕, 等. 蛋白组学筛选胎儿生长受限羊水生物标志物的研究[J/OL]. 海南医学院报, 1-27 [2025-07-27]. https://doi.org/10.13210/j.cnki.jhmu.20250616.005.
CHEN S, CHEN Z J, LING Y, et al. Research on the screening of aqueous biomarkers for Intrauterine g'rowth restriction by proteomics[J/OL]. Journal of Hainan Medical University, 1-27 [2025-07-27]. https://doi.org/10.13210/j.cnki.jhmu.20250616.005.
[16]
HESSE H, PALMER C, RIGDON C D, et al. Differences in body composition and growth persist postnatally in fetuses diagnosed with severe compared to mild fetal growth restriction[J]. J Neonatal Perinatal Med, 2022, 15(3): 589-598. DOI: 10.3233/NPM-210872.
[17]
李莹, 杨晓葵, 陈奕. 早发型胎儿生长受限研究进展[J]. 中国计划生育和妇产科, 2025, 17(4): 3-6.
LI Y, YANG X K, CHEN Y. Research Progress on Early-onset Fetal Growth Restriction[J]. Chinese Journal of Family Planning & Gynecotokology, 2025, 17(4): 3-6.
[18]
TEDYANTO C P, PRASETYADI F O H, DEWI S, et al. Maternal factors and perinatal outcomes associated with early-onset versus late-onset fetal growth restriction: a meta-analysis[J/OL]. J Matern-Fetal Med, 2025, 38(1): 2505774 [2025-08-06]. https://doi.org/10.1080/14767058.2025.2505774. DOI: 10.1080/14767058.2025.2505774.
[19]
CHAOUI R, HELING K S, KAINER F, et al. Fetale Neurosonografie mittels 3-dimensionaler multiplanarer Sonografie Fetal neurosonography using 3-dimensional multiplanar sonography[J]. Z Geburtshilfe Neonatol, 2012, 216(2): 54-62. DOI: 10.1055/s-0032-1308960.
[20]
PICCIRILLI E, MARCHETTI C, PANARA V, et al. Fetal MR Imaging Anatomy of the Transverse Temporal Gyrus (Heschl Gyrus)[J]. AJNR Am J Neuroradiol, 2023, 44(11): 1325-1331. DOI: 10.3174/ajnr.A8026.
[21]
王振松, 刘建宪, 李章柱, 等. 5.0T MRI测量健康成人海马结构亚区体积[J]. 中国医学影像技术, 2024, 40(5): 648-652. DOI: 10.13929/j.issn.1003-3289.2024.05.003.
WANG Z S, LIU J X, LI Z Z, et al. 5.0T MRI measurement of hippocampal formation subfield volumes in healthy adults[J]. Chin J Med Imaging Technol, 2024, 40(5): 648-652. DOI: 10.13929/j.issn.1003-3289.2024.05.003.
[22]
BARRY D N, CLARK I A, MAGUIRE E A. The relationship between hippocampal subfield volumes and autobiographical memory persistence[J]. Hippocampus, 2021, 31(4): 362-374. DOI: 10.1002/hipo.23293.
[23]
MOTTE-SIGNORET E, SHANKAR-AGUILERA S, BRAILLY-TABARD S, et al. Small for Gestational Age preterm Neonates Exhibit Defective GH/IGF1 Signaling pathway[J/OL]. Front Pediatr, 2021, 9: 711400 [2025-08-06]. https://pmc.ncbi.nlm.nih.gov/articles/PMC8382944. DOI: 10.3389/fped.2021.711400.
[24]
YEHUDA B, RABINOWICH A, ZILBERMAN A, et al. Reduced gyrification in fetal growth restriction with prenatal magnetic resonance images[J/OL]. Cereb Cortex, 2024, 34(6): bhae250 [2025-08-06]. https://doi.org/10.1093/cercor/bhae250. DOI: 10.1093/cercor/bhae250.
[25]
SACCHI C, O'MUIRCHEARTAIGH J, BATALLE D, et al. Neurodevelopmental Outcomes following Intrauterine Growth Restriction and Very Preterm Birth[J/OL]. J Pediatr, 2021, 238: 135-144.e10 [2025-08-06]. https://pubmed.ncbi.nlm.nih.gov/34245768. DOI: 10.1016/j.jpeds.2021.07.002.
[26]
HAN S, ZHENG R, LI S, et al. progressive brain structural abnormality in depression assessed with MR imaging by using causal network analysis[J]. Psychol Med, 2023, 53(5): 2146-2155. DOI: 10.1017/S0033291721003986.
[27]
LIANG L, WANG L L, JIANG X D, et al. Hippocampal volume and resting-state functional connectivity on magnetic resonance imaging in patients with parkinson and depression[J]. Quant Imaging Med Surg, 2024, 14(1): 824-836. DOI: 10.21037/qims-23-919.
[28]
LANG M, COLBY S, ASHBY-PADIAL C, et al. An imaging review of the hippocampus and its common pathologies[J]. J Neuroimaging, 2024, 34(1): 5-25. DOI: 10.1111/jon.13165.
[29]
OKADA Y, KATO T, IWAI K, et al. Evaluation of hippocampal infolding using magnetic resonance imaging[J]. Neuroreport, 2003, 14(10): 1405-1409. DOI: 10.1097/01.wnr.0000078381.40088.d0.
[30]
BHOOPATHY R M, ARTHY B, VIGNESH S S, et al. Involvement of Incomplete Hippocampal Inversion in Intractable Epilepsy: Evidence from Neuropsychological Studies[J]. Neurol India, 2021, 69(4): 842-846. DOI: 10.4103/0028-3886.323886.
[31]
MUTTI C, RICCÒ M, BARTOLINI Y, et al. Incomplete hippocampal inversion and epilepsy: A systematic review and meta-analysis[J]. Epilepsia, 2021, 62(2): 383-396. DOI: 10.1111/epi.16787.
[32]
BEKER ACAY M, KÖKEN R, ÜNLÜ E, et al. Evaluation of hippocampal infolding angle and incomplete hippocampal inversion in pediatric patients with epilepsy and febrile seizures[J]. Diagn Interv Radiol, 2017, 23(4): 326-330. DOI: 10.5152/dir.2017.160077.
[33]
CHOU I C, SUNG F C, HONG S Y. Incidence of epilepsy in children born prematurely and small for gestational age at term gestation: A population-based cohort study[J]. J Paediatr Child H, 2020, 56(2): 324-329. DOI: 10.1111/jpc.14611.

上一篇 帕金森病患者体素水平网络节点度中心性及功能连接性改变与疾病严重程度关系的研究
下一篇 基于飞行员大脑fMRI的嗜睡程度预测及关键网络的连接特征分析
  
诚聘英才 | 广告合作 | 免责声明 | 版权声明
联系电话:010-67113815
京ICP备19028836号-2