分享:
分享到微信朋友圈
X
临床研究
基于Bp-MRI的PI-RADS v2.1联合PSAD风险分层诊断tPSA 4~20 ng/mL临床显著性前列腺癌的价值
张若弟 林子敬 冯显伦 李鹏 陈志强

本文引用格式:张若弟, 林子敬, 冯显伦, 等. 基于Bp-MRI的PI-RADS v2.1联合PSAD风险分层诊断tPSA 4~20 ng/mL临床显著性前列腺癌的价值[J]. 磁共振成像, 2025, 16(11): 149-154, 162. DOI:10.12015/issn.1674-8034.2025.11.022.


[摘要] 目的 探讨基于双参数磁共振成像(biparametric magnetic resonance imaging, bp-MRI)的前列腺影像报告和数据系统2.1版(prostate imaging report and data system version 2.1, PI-RADS v2.1)联合前列腺特异性抗原密度(prostate specific antigen density, PSAD)鉴别诊断总前列腺特异性抗原(total prostate specific antigen, tPSA)4~20 ng/mL临床显著性前列腺癌(clinically significant prostate cancer, csPCa)的价值及风险分层。材料与方法 回顾性分析了宁夏医科大学总医院2017年10月至2023年6月304例PSA 4~20 ng/mL前列腺疾病患者的bp-MRI图像和临床资料。根据病理结果分为csPCa组(Gleason评分≥7分,n=66)和非csPCa(Gleason评分<7分及良性疾病,n=238)。经单因素、多因素logistic回归分析筛选独立危险因子并建立联合模型,再用决策曲线分析(decision curve analysis, DCA)其临床净效益。以受试者工作特征(receiver operating characteristic, ROC)曲线下面积(area under the curve, AUC)比较独立危险因子与联合模型的诊断效能,并对独立危险因子进行等级划分和组合。结果 联合模型(PI-RADS v2.1+PSAD)的诊断效能最好(AUC为0.901,95% CI:0.858~0.944)。将PI-RADS v2.1与PSAD等级划分并组合,当PI-RADS v2.1≤2且PSAD≤0.15 ng/mL2,csPCa阳性率为0%;当PI-RADS v2.1为3分且PSAD<0.30 ng/mL2时,csPCa阳性率<15%;当PI-RADS v2.1为4~5分且PSAD为0.15~0.29 ng/mL2时,csPCa阳性率为46.5%;当PI-RADS v2.1为4~5分且PSAD≥0.30 ng/mL2时,csPCa阳性率高达81.3%。结论 PI-RAD v2.1≤2或PI-RAD v2.1=3且PSAD值<0.30 ng/ml2的患者可避免不必要的活检。PI-RADS v2.1联合PSAD能显著提高tPSA 4~20 ng/mL csPCa的诊断效能,将二者联合有助于穿刺前对csPCa的患者进行风险评估,以减少部分患者不必要的穿刺,并为临床提供一定的决策指导。
[Abstract] Objective To explore the value and risk stratification of based on biparametric magnetic resonance imaging (bp-MRI) of prostate imaging report and data system version 2.1 (PI-RADS v2.1) combined with prostate specific antigen density (PSAD) in the differential diagnosis of clinically significant prostate cancer (csPCa) with tPSA 4-20 ng/mL.Materials and Methods Retrospectively analyzed the data of 304 patients undergoing bp-MRI examination with pathological results between October 2017 and June 2023 in the General Hospital of Ningxia Medical University. The patients were divided into csPCa group (Gleason ≥ 7, n = 66) and non-csPCa (Gleason < 7 and benign diseases, n = 238) according to the pathological results. The independent risk factors were screened by univariate and multivariate logistic regression analysis, then the clinical model was constructed, and the clinical net benefit was analyzed by decision curve (DCA). Diagnostic performance was evaluated by using the area under the receiver operating characteristic (ROC) curve, and the independent risk factors were graded and combined.Results The diagnostic efficacy of clinical model (PI-RADS v2.1 + PSAD) is the best (AUC = 0.901, 95% CI: 0.858 to 0.944). Classify and combine PI-RADS v2.1 and PSAD grades, when PI-RADS v2.1 ≤ 2 and PSAD ≤ 0.15 ng/mL2, the csPCa positive rate is 0%; when PI-RADS v2.1 = 3 and PSAD < 0.30 ng/mL2, the csPCa positive rate is less than 15%; when PI-RADS v2.1 is 4 to 5 and PSAD is 0.15 to 0.29 ng/mL2, the csPCa positive rate is 46.5%; when PI-RADS v2.1 is 4 to 5 and PSAD ≥ 0.30 ng/mL2, the csPCa positive rate is as high as 81.3%.Conclusions The patients with PI-RADS v2.1 ≤ 2 or PI-RADS v2.1 = 3 and PSAD < 0.30 ng/mL2 can avoid unnecessary biopsies. PI-RADS v2.1 combined with PSAD can significantly improve the diagnostic efficiency of tPSA 4-20 ng/mL csPCa. The combination of PI-RADS v2.1 and PSAD is helpful for risk assessment of patients with csPCa before puncture, so as to can reduce unnecessary puncture of some patients and provide certain decision-making guidance for clinic.
[关键词] 临床显著性前列腺癌;磁共振成像;前列腺影像报告和数据系统2.1版;前列腺特异性抗原密度;诊断效能
[Keywords] clinically significant prostate cancer;magnetic resonance imaging;prostate imaging reporting and data scoring system version 2.1;prostate specific antigen density;diagnostic efficacy

张若弟 1, 2, 3   林子敬 1   冯显伦 1   李鹏 2   陈志强 1, 2*  

1 海南医科大学第一附属医院放射科,海口 570102

2 宁夏医科大学总医院放射科,银川 750004

3 西安医学院第一附属医院影像科,西安 710077

通信作者:陈志强,E-mail:zhiqiang_chen99@163.com

作者贡献声明:陈志强设计本研究的方案,对稿件重要内容进行了修改,获得了海南省卫生健康科技创新联合项目和宁夏自然科学基金项目的资助;张若弟起草和撰写稿件,获取、分析或解释本研究的数据,对稿件重要内容进行了修改;林子敬、冯显伦、李鹏分析或解释本研究的数据,对稿件重要内容进行了修改;全体作者都同意发表最后的修改稿,同意对本研究的所有方面负责,确保本研究的准确性和诚信。


基金项目: 海南省卫生健康科技创新联合项目 WSJK2025MS156 宁夏自然科学基金项目 2022AAC03472
收稿日期:2025-07-18
接受日期:2025-11-10
中图分类号:R445.2  R737.25 
文献标识码:A
DOI: 10.12015/issn.1674-8034.2025.11.022
本文引用格式:张若弟, 林子敬, 冯显伦, 等. 基于Bp-MRI的PI-RADS v2.1联合PSAD风险分层诊断tPSA 4~20 ng/mL临床显著性前列腺癌的价值[J]. 磁共振成像, 2025, 16(11): 149-154, 162. DOI:10.12015/issn.1674-8034.2025.11.022.

0 引言

       前列腺癌(prostate cancer, PCa)是老年男性最常见的恶性肿瘤之一,亦是威胁男性泌尿生殖系统的全球性公共卫生问题[1, 2]。据GLOBOCAN 2020数据显示,我国PCa发病率、死亡率分别占全球的8.2%、13.6%[3, 4]。由于PCa早期临床症状不明显,我国初诊PCa患者的临床分期较晚,因此,应高度重视高风险人群前列腺疾病的早期筛查、确诊及规范化治疗等一系列的防治手段。前列腺影像报告和数据系统2.1版(prostate imaging reporting and data system version 2.1, PI-RADS v2.1)以5分制来评估临床显著性PCa(clinically significant PCa, csPCa)的相对可能性[5],其也指出双参数磁共振(biparametric magnetic resonance imaging, bp-MRI)可作为疑似PCa患者的初期扫描方案[6]。有研究发现bp-MRI诊断csPCa的效能与mp-MRI相似,且bp-MRI更简单、便捷,更适用于影像学PCa的筛查。总前列腺特异性抗原(total prostate specific antigen, tPSA)是前列腺柱状上皮和腺管上皮分泌的一种类似胰凝乳蛋白酶的作用糖蛋白,已广泛用于PCa的主要筛查和疗效评价[7, 8, 9]。既往研究报道tPSA在4~10 ng/mL和10~20 ng/mL范围内PCa检出率分别为11.8%和20.5%,csPCa的检出率更低[7]

       有学者认为亚洲男性tPSA的“灰色地带”应该高于传统灰区tPSA(4~10 ng/mL)[10]。也有研究表明,tPSA、游离前列腺特异性抗原(free prostate specific antigen, fPSA)百分比(%fPSA)、MRI可显著提高PCa的阳性检出率,但也存在敏感性和特异性不足的问题[8, 11]。PSA密度(PSA density, PSAD)通过提高特异性而保持敏感性,协助提高tPSA的诊断效能,但在临床实践中尚未得到广泛应用[12]。多项研究表明,PI-RADS评分和PSAD是PCa和csPCa独立预测因子[12, 13, 14],二者联合可提高csPCa的诊断效能。目前国内基于bp-MRI的PI-RADS v2.1联合PSAD诊断csPCa的研究,多集中于tPSA水平较高的人群。然而,临床真正的挑战在于“灰色区域”tPSA 4~20 ng/mL,且该区间良恶性疾病鉴别困难。故本研究聚焦于此关键人群,将bp-MRI的PI-RADS v2.1与PSAD风险分层相结合,以求更精准地提高tPSA 4~20 ng/mL csPCa的诊断效能,为部分患者避免不必要的穿刺活检提供依据。

1 材料与方法

1.1 研究对象

       本研究遵守《赫尔辛基宣言》,经宁夏医科大学总医院医学伦理委员会批准(批准文号:KYLL-2021-215),所有患者或家属均已签署泛知情同意书。回顾性分析宁夏医科大学总医院2017年10月至2023年6月行bp-MRI检查并有病理学结果的患者资料304例。纳入标准:(1)tPSA值是4~20 ng/mL;(2)MRI检查前未接受过相关治疗,无其他肿瘤病史;(3)一般资料、tPSA、fPSA、T2WI及扩散加权成像(diffusion-weighted imaging, DWI)等资料完整;(4)有直肠超声(transrectal ultrasound, TRUS)引导下系统性穿刺或根治术后的病理结果。排除标准:(1)MRI图像质量差(如髋关节置换术、肠道准备不佳、患者运动等造成的多重伪影),无法准确进行PI-RADS v2.1评分;(2)病理结果为前列腺上皮内瘤变或组织学检查不确定。

1.2 扫描方案

       采用荷兰PhiLips Ingenia 3.0 T MR扫描仪及32通道相控线圈。轴位T1WI序列参数:TR 6947 ms,TE 105 ms,FOV 24 cm×24 cm,矩阵320×320,层厚3 mm,层间距1 mm;轴位T2WI序列参数:TR 6809 ms,TE 103 ms,FOV 24 cm×24 cm,矩阵320×320,层厚3 mm,层间距1 mm;矢状位T2WI序列参数:TR 5945 ms,TE 96 ms,FOV 20 cm×20 cm,矩阵320×320,层厚4 mm,层间距1 mm;冠状位T2WI序列参数:TR 5189 ms,TE 98 ms,FOV 28 cm×28 cm,矩阵384×384,层厚3.5 mm,层间距1 mm;轴位DWI序列参数:TR 4800 ms,TE 76 ms,FOV 26 cm×26 cm,矩阵108×108,层厚3 mm,层间距1 mm,b值取0,1000,1500 s/mm2

1.3 前列腺穿刺及病理分组

       MRI检查后2周内在TRUS引导下行穿刺活检,采用10+X针穿刺法,将前列腺分为10区,每区穿刺1针,再结合bp-MRI图像,可疑病变加穿1~2针。符合手术指征的患者行前列腺根治性切除术,根据2014年国际泌尿外科病理学会(International Society of urology Pathology, ISUP)更新的Gleason评分分级系统,结合2024版欧洲泌尿外科协会(European urological association, EAU)前列腺癌指南[15, 16]进行组织病理分组,低危PCa:Gleason评分≤6分;中高危PCa:Gleason评分≥7分。对于多灶病例,选取最高的Gleason评分作为最终病理结果。本研究将良性病变及低危PCa定义为非csPCa,Gleason≥7分定义为csPCa。

1.4 临床指标

       本研究纳入年龄、fPSA、tPSA、%fPSA、前列腺体积(prostate volume, PV)、PSAD、PI-RADS v2.1评分。根据PI-RADS v2.1指南,在T2WI的正中矢状面上测最大前后径及最大纵向径,在轴位上测最大横径[17],计算PV。PV=前后径max×上下径max×横径max×0.523,PSAD=tPSA/PV。

1.5 临床指标图像分析

       从宁夏医科大学总医院PACS系统获取患者的bp-MRI图像,在未知病理结果及tPSA水平的情况下,由两名分别具有5年主治医师和8年腹部MRI诊断经验的影像副主任医师,严格以PI-RADS v2.1标准对bp-MRI图像评分并记录。外周带病变以DWI为主导序列,当病灶为3分时,用T2WI代替动态增强得出最终评分。评分不一致者以两名医师最终协商结果为准,两名医师PI-RADS v2.1评分的一致性极好,ICC值为0.799。当前列腺存在多个病变时,记录最高评分。

1.6 统计学分析

       采用SPSS 26.0和R4.1.2软件统计、分析数据。用Kolmogorov-Smirnov检验计量资料的正态性,对正态分布的连续变量以(x¯±s)表示,组间比较用独立样本t检验;偏态分布以MQ1,Q3)表示,组间比较用Mann-Whitney U检验;分类变量以例数表示,用χ2检验、矫正χ2或Fisher精确概率法。采用逐步回归向后多因素logistic回归法确定tPSA 4~20 ng/mL csPCa独立危险因子并建立联合模型。以受试者工作特征(receiver operating characteristic, ROC)曲线下面积(area under the curve, AUC)评价诊断效能,并通过DeLong检验比较AUC值间的差异。采用Bootstrap自抽样法对该模型进行内部验证,并绘制校准图,再用决策曲线分析(decision curve anaLysis, DCA)其临床净效益。对独立危险因子进行等级划分和组合。双侧检验,检验水准α=0.05。

2 结果

2.1 一般资料

       本研究共纳入tPSA 4~20 ng/mL的患者304例,csPCa组66例(22%),非csPCa组238例(78%),其中Gleason<7分(n=26),良性疾病(n=212)。两组间年龄、tPSA、%fPSA、PV、PSAD、PI-RADS v2.1差异均有统计学意义(P<0.05;表1)。

表1  患者临床指标的基线分析
Tab. 1  Baseline analysis of clinical indexes of patients

2.2 logistic回归及联合模型的诊断效能

       单因素、多因素logistic回归分析显示,PSAD和PI-RADS v2.1是诊断tPSA 4~20 ng/mL csPCa的独立预测因素(P<0.05;表2)。二者构建联合模型并分析其各自的诊断效能,ROC曲线显示联合模型的诊断效能最好(AUC=0.901,95% CI:0.858~0.944),大于PI-RADS v2.1(AUC=0.872,95% CI:0.827~0.917)或PSAD(AUC=0.719,95% CI:0.648~0.791),均P<0.001(表3图1)。

       经Bootstrap自抽样法重复抽样1000次进行内部验证,联合模型的一致性指数(concordance index, C-index)为0.901。校准曲线显示联合模型具有较好的一致性和稳定性(图2)。DCA表明,在较宽的概率阈值范围内,该联合模型净收益高于PI-RADS v2.1和PSAD(图3)。

图1  PI-RADS v2.1、PSAD 及联合模型预测tPSA 4~20 ng/mL csPCa 的ROC曲线。
图2  联合模型的校准曲线。
图3  PI-RADS v2.1、PSAD及联合模型预测tPSA 4~20 ng/mL csPCa 的决策曲线。PI-RADS v2.1:前列腺影像报告和数据系统2.1 版;PSAD:前列腺特异性抗原密度;tPSA:总前列腺特异性抗原;csPCa:临床显著性前列腺癌;AUC:曲线下面积;CI:置信区间。
Fig. 1  The ROC curves of PI-RADS v2.1, PSAD and combined model for predicting csPCa with tPSA 4-20 ng/mL.
Fig. 2  Calibration curve of combined diagnostic models.
Fig. 3  Decision curves of PI-RADS v2.1, PSAD and combined model for predicting csPCa with tPSA 4-20 ng/mL. PI-RADS v2.1: prostate imaging report and data system version 2.1; PSAD: prostate specific antigen density; tPSA: total prostate specific antigen; csPCa: clinically significant prostate cancer; AUC: area under the curve; CI: confidence interval.
表2  各指标logistic回归分析结果
Tab. 2  Results of Logistic regression analysis of each index
表3  联合模型及危险因素预测PSA 4~20 ng/mL csPCa的诊断效能
Tab. 3  The combined model and independent indicators predicted the diagnostic efficacy of PSA 4-20 ng/mL csPCa

2.3 PI-RADS v2.1或PSAD分层对csPCa检出率

       本研究中PI-RADS v2.1的评分分级或PSAD值的风险分层图(表4图4),可以直观地显示随着PI-RADS v2.1评分或PSAD值的增高,罹患PCa的风险会相应增加,csPCa的检出率也会相应提高。

图4  PI-RADS v2.1评分(4A)或PSAD分层(4B)对tPSA 4~20 ng/mL csPCa检出率百分比条形图。PI-RADS v2.1:前列腺影像报告和数据系统2.1版;PSAD:前列腺特异性抗原密度;tPSA:总前列腺特异性抗原;csPCa:临床显著性前列腺癌。
Fig.4  Bar chart of percentage detection rate of PI-RADS v2.1 score (4A) or PSAD stratification (4B) versus tPSA 4-20 ng/mL csPCa. PI-RADS v2.1: prostate imaging report and data system version 2.1; PSAD: prostate specific antigen density; tPSA: total prostate specific antigen; csPCa: clinically significant prostate cancer.
表4  PI-RADS v2.1或PSAD分层预测tPSA 4~20 ng/mL csPCa
Tab. 4  The PI-RADS v2.1 or PSAD were graded to predict the probability of tPSA 4-20 ng/mL csPCa

2.4 PI-RADS v2.1联合PSAD危险分层检测csPCa

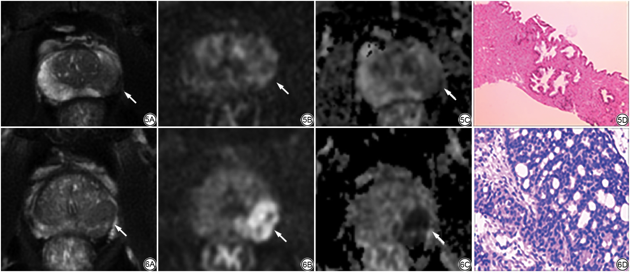
       将PI-RADS v2.1的评分分级与PSAD值的风险分层进行组合。对于tPSA 4~20 ng/mL的患者,当PI-RADS v2.1评分≤2,无论PSAD值如何,csPCa检出率均小于5%,均可避免不必要的活检。当PI-RADS v2.1为3分且联合PSAD值的风险分层时,csPCa检出率分别为11.8%、9.4%、25.0%。当PI-RADS v2.1为4~5分且联合PSAD值的风险分层时,csPCa检出率为分别为28.0%、46.5%、81.3%(表5)。典型病例见图5图6

图5  男,58岁,PV为45.38 mL,tPSA为7.66 ng/mL,PSAD为0.17 ng/mL2。5A:T2WI轴位,左侧外周带示斑片状中等低信号灶(箭)、边界欠清;5B:DWI(b值=1000 s/mm2)轴位,病灶呈斑片状稍高信号(箭);5C:轴位ADC,病灶呈稍低信号(箭),PI-RADS v2.1评分为3分;5D:病理结果(HE ×100)为前列腺增生伴前列腺炎。
图6  男,58岁,PV为42.83 mL,tPSA为13.1 ng/mL,PSAD为0.31 ng/mL2。6A:轴位T2WI示左侧外周带低信号灶(箭)、边界清楚,直径约1.7 cm;6B:DWI(b值=1000 s/mm2)轴位,病灶明显高信号(箭);6C:ADC轴位,病灶明显低信号(箭),PI-RADS v2.1评分为5分;6D:病理结果(HE ×100)为前列腺癌(Gleason评分3+4=7分,WHO/ISUP分级分组为2组)。PV:前列腺体积;tPSA:总前列腺特异性抗原;PSAD:前列腺特异性抗原密度;DWI:扩散加权成像;ADC:表观扩散系数;PI-RADS v2.1:前列腺影像报告和数据系统2.1版;WHO:世界卫生组织;ISUP:国际泌尿病理学会。
Fig. 5  Male, 58 years old, PV is 45.38 mL, tPSA is 7.66 ng/mL, PSAD is 0.17 ng/mL2. 5A: T2WI axial with unclear boundary and medium-low signal focus (arrow) at the periphery of the left peripheral zone; 5B: DWI (b value = 1000 s/mm2) axial, the lesion shows slightly hypersignal (arrow); 5C: ADC axial, the lesion is slightly low signal (arrow), the score of PI-RADS v2.1 is 3 points; 5D: Pathological result (HE staining × 100) shows prostatic hyperplasia with prostatitis.
Fig. 6  Male, 58 years old, PV is 42.83 mL, tPSA is 13.1 ng/mL, PSAD is 0.31 ng/mL2. 6A: T2WI axial with clear low-signal focus (arrow) at the periphery of the left peripheral zone, and the maximum diameter is approximately 1.7 cm; 6B: DWI (b value = 1000 s/mm2) axial, the lesion shows obvious hypersignal (arrow); 6C: ADC axial, the lesion is significantly low signal (arrow), the score of PI-RADS v2.1 is 5 points; 6D: Pathological result (HE staining × 100) shows prostate cancer (Gleason score 3+4=7, WHO/ISUP graded into 2 group). PV: prostate volume; tPSA: total prostate specific antigen; PSAD: prostate specific antigen density; DWI: diffusion-weighted imaging; ADC: apparent diffusion coefficient; PI-RADS v2.1: prostate imaging report and data system version 2.1; WHO: World Health Organization; ISUP: International Society of Urological Pathology.
表5  PI-RADS v2.1联合PSAD分层预测csPCa的检出率
Tab. 5  The PI-RADS v2.1 combined with PSAD stratified prediction of detection rate of csPCa

3 讨论

       本研究经单因素、多因素logistic回归筛选出PI-RADS v2.1、PSAD为tPSA 4~20 ng/mL csPCa的危险因子,二者联合的诊断效能最好(AUC=0.901,95% CI:0.858~0.944)。将二者等级划分并组合,可用于预测tPSA 4~20 ng/mL前列腺疾病患者的活检结果,有助于穿刺前进行风险评估和决策,可减少部分患者不必要的活检。

3.1 PSAD对tPSA 4~20 ng/mL csPCa的诊断价值

       tPSA是一种基于血液检测前列腺疾病的生物标志物,但其缺乏特异性[3, 4]。PSAD已被证明有助于避免tPSA升高的假阳性结果[18, 19],原因可能是它剔除了PV增大对tPSA浓度的影响,能更真实地反映腺体的破坏情况。本研究结果表明,PSAD对tPSA 4~20 ng/mL csPCa具有较高的诊断价值,特异度和敏感度分别为83.81%、51.52%,最佳截断值为0.28 ng/mL2。另一项多中心研究显示,tPSA在10.1~20.0 ng/mL之间时,PSAD诊断PCa的最佳截断值为0.33 ng/mL2,特异度为82.7%,敏感度为60.3%[20],这与本研究结果相近。本研究与既往文献中报道的PSAD最佳临界值均高于0.15 ng/mL2,原因可能是样本量不足及研究对象选择的tPSA范围不同。既往研究发现PSAD联合bp-MRI、mp-MRI的PI-RADS评分建立的诊断模型较其单独诊断csPCa准确性高,且均可提高PCa、csPCa的诊断效能[21, 22, 23]。本研究亦发现PSAD、PI-RADS v2.1是csPCa的危险因子,二者联合诊断效能最佳,这与既往研究一致[22, 24]

3.2 bp-MRI诊断csPCa的价值

       bp-MRI缩短了MRI扫描时间,降低了检查成本,且避免潜在的对比剂相关风险[25]。PI-RADS评分系统是评估前列腺病变的重要指南,已广泛应用于临床。最近一项研究[26]基于bp-MRI,联合了PSAD与ADCmean构建了PI-RADS评分≥3分csPCa的预测模型,其AUC为0.925,敏感度和特异度分别为86.67%、88.75%。一些研究也表明,bp-MRI的PI-RADS v2.1在检测csPCa方面具有与mp-MRI相似的诊断性能[27, 28, 29]。本研究中基于bp-MRI的PI-RADS v2.1评分的AUC为0.872,敏感度和特异度分别为80.30%、80.25%,在预测PSA 4~20 ng/mL csPCa方面具有优势;本研究同时表明PI-RADS v2.1评分为4~5分时,csPCa阳性诊断率较高,这与既往研究结果类似[7, 13]

3.3 PI-RADS v2.1联合PSAD危险分层对csPCa的诊断效能

       PCa指南建议对非csPCa进行主动监测,以避免过度治疗,对于csPCa的患者,早期活检有助于避免不正确地分期和延迟治疗[30, 31, 32]。LEI等[33]基于PSAD和PI-RADS v2.1构建的预测csPCa联合模型,减少了PI-RADS v2.1评分3分且PSAD<0.15 ng/mL2范围内csPCa的漏诊率。本研究中,我们将PSAD值分为三组(<0.15 ng/mL2、0.15~0.29 ng/mL2和≥0.30 ng/mL2)。我们发现PI-RADS v2.1≤2分或PI-RADS v2.1评分为3,且PSAD<0.3 ng/mL2时,csPCa检出率均较低。这表明,在上述风险范围内的大多数患者表现为良性前列腺病变或非csPCa。因此,这些患者可进行积极主动监测,以避免过度诊断和/或不必要的活检。WEN等[34]也提到了PI-RADS v2.1评分≤3,PSAD值<0.15 ng/mL2的患者可避免不必要的活检。本研究中当PI-RADS v2.1评分≥4且PSAD值≥0.15 ng/mL2时,csPCa检出率将近50%,该范围内的患者被定为高危患者,建议尽早活检,早期明确诊断并合理治疗。WANG等[7]研究发现,PI-RADS v2.1为4~5分且PSAD≥0.30 ng/mL2时移行带csPCa的检出率达66.7%,而本文中csPCa的检出率高达81.3%,原因可能是本文中csPCa包括了移行带与外周带的病变,且外周带居多。

3.4 本研究的局限性

       (1)由于纳入的样本量较小且是单中心的研究,因此存在抽样误差及选择的偏倚,所以更需多中心联合研究进一步验证;(2)部分病理结果和Gleason分级是通过穿刺活检获得的,而不是根治性前列腺切除术,可能导致部分假阴性结果;(3)由于手动测量的PV值,以至于PSAD的精准性存在误差,所以后续更需要人工智能分析软件分割测量PV,并自动计算PSAD值以减少人为误差。

4 结论

       综上所述,基于bp-MRI的PI-RADS v2.1评分联合PSAD的风险分层,能提高对tPSA 4~20 ng/mL区间csPCa的诊断效能,可以直观、准确地预测前列腺活检结果,有助于指导临床活检决策。

[1]
JIN P F, SHEN J K, YANG L Q, et al. Machine learning-based radiomics model to predict benign and malignant PI-RADS v2.1 category 3 lesions: a retrospective multi-center study[J/OL]. BMC Med Imaging, 2023, 23(1): 47 [2025-03-26]. https://www.ncbi.nlm.nih.gov/pmc/articles/PMC10053087. DOI: 10.1186/s12880-023-01002-9.
[2]
GURWIN A, KOWALCZYK K, KNECHT-GURWIN K, et al. Alternatives for MRI in prostate cancer diagnostics: review of current ultrasound-based techniques[J/OL]. Cancers, 2022, 14(8): 1859 [2025-03-26]. https://www.ncbi.nlm.nih.gov/pmc/articles/PMC9028694. DOI: 10.3390/cancers14081859.
[3]
CAO W, CHEN H D, YU Y W, et al. Changing profiles of cancer burden worldwide and in China: a secondary analysis of the global cancer statistics 2020[J]. Chin Med J (Engl), 2021, 134(7): 783-791. DOI: 10.1097/CM9.0000000000001474.
[4]
赫捷, 陈万青, 李霓, 等. 中国前列腺癌筛查与早诊早治指南(2022,北京)[J]. 中国肿瘤, 2022, 31(1): 1-30. DOI: 10.11735/j.issn.1004-0242.2022.01.A001.
HE J, CHEN W Q, LI N, et al. China guideline for the screening and early detection of prostate cancer(2022, Beijing)[J]. China Cancer, 2022, 31(1): 1-30. DOI: 10.11735/j.issn.1004-0242.2022.01.A001.
[5]
TURKBEY B, ROSENKRANTZ A B, HAIDER M A, et al. Prostate imaging reporting and data system version 2.1: 2019 update of prostate imaging reporting and data system version 2[J]. Eur Urol, 2019, 76(3): 340-351. DOI: 10.1016/j.eururo.2019.02.033.
[6]
SCHOOTS I G, BARENTSZ J O, BITTENCOURT L K, et al. PI-RADS committee position on MRI without contrast medium in biopsy-naive men with suspected prostate cancer: narrative review[J]. AJR Am J Roentgenol, 2021, 216(1): 3-19. DOI: 10.2214/AJR.20.24268.
[7]
WANG Z B, WEI C G, ZHANG Y Y, et al. The role of psa density among PI-RADS v2.1 categories to avoid an unnecessary transition zone biopsy in patients with PSA 4-20 ng/mL[J/OL]. Biomed Res Int, 2021, 2021: 3995789 [2025-03-26]. https://www.ncbi.nlm.nih.gov/pmc/articles/PMC9028694. DOI: 10.1155/2021/3995789.
[8]
NAN L B, YIN X T, GAO J P. Significant diagnostic value of free-serum PSA (FPSA)/prostate-specific antigen density (PSAD) and (F/T)/PSAD for prostate cancer of the Chinese population in a single institution[J]. Med Sci Monit, 2019, 25: 8345-8351. DOI: 10.12659/MSM.916900.
[9]
HATAKEYAMA S, YONEYAMA T, TOBISAWA Y, et al. Narrative review of urinary glycan biomarkers in prostate cancer[J]. Transl Androl Urol, 2021, 10(4): 1850-1864. DOI: 10.21037/tau-20-964.
[10]
CHANG T H, LIN W R, TSAI W K, et al. Zonal adjusted PSA density improves prostate cancer detection rates compared with PSA in Taiwan males with PSA < 20 ng/ml[J/OL]. BMC Urol, 2020, 20(1): 151 [2025-03-26]. https://www.ncbi.nlm.nih.gov/pmc/articles/PMC7542736. DOI: 10.1186/s12894-020-00717-z.
[11]
BAI X J, JIANG Y M, ZHANG X W, et al. The value of prostate-specific antigen-related indexes and imaging screening in the diagnosis of prostate cancer[J]. Cancer Manag Res, 2020, 12: 6821-6826. DOI: 10.2147/CMAR.S257769.
[12]
MA Z N, WANG X C, ZHANG W C, et al. Developing a predictive model for clinically significant prostate cancer by combining age, PSA density, and mpMRI[J/OL]. World J Surg Oncol, 2023, 21(1): 83 [2025-03-26]. https://www.ncbi.nlm.nih.gov/pmc/articles/PMC9990202. DOI: 10.1186/s12957-023-02959-1.
[13]
WEI X T, XU J M, ZHONG S Y, et al. Diagnostic value of combining PI-RADS v2.1 with PSAD in clinically significant prostate cancer[J]. Abdom Radiol (NY), 2022, 47(10): 3574-3582. DOI: 10.1007/s00261-022-03592-4.
[14]
WANG C M, YUAN L, SHEN D Y, et al. Combination of PI-RADS score and PSAD can improve the diagnostic accuracy of prostate cancer and reduce unnecessary prostate biopsies[J/OL]. Front Oncol, 2022, 12: 1024204 [2025-03-26]. https://doi.org/10.3389/fonv.2022.1024204. DOI: 10.3389/fonc.2022.1024204.
[15]
EPSTEIN J I, EGEVAD L, AMIN M B, et al. The 2014 international society of urological pathology (ISUP) consensus conference on gleason grading of prostatic carcinoma: definition of grading patterns and proposal for a new grading system[J]. Am J Surg Pathol, 2016, 40(2): 244-252. DOI: 10.1097/PAS.0000000000000530.
[16]
程勇兵, 邱雪峰, 郭宏骞. 2025版EAU前列腺癌指南更新解读[J]. 中国肿瘤外科杂志, 2025, 17(3): 216-220. DOI: 10.3969/j.issn.1674-4136.2025.03.002.
CHENG Y B, QIU X F, GUO H Q. Interpretation of the 2025 update to EUA prostate cancer guideline[J]. Chin J Surg Oncol, 2025, 17(3): 216-220. DOI: 10.3969/j.issn.1674-4136.2025.03.002.
[17]
SCOTT R, MISSER S K, CIONI D, et al. PI-RADS v2.1: What has changed and how to report[J/OL]. S Afr N J Radiol, 2021, 25(1) [2025-03-26]. https://www.ncbi.nlm.nih.gov/pmc/articles/PMC8252188. DOI: 10.4102/sajr.v25i1.2062.
[18]
YUSIM I, KRENAWI M, MAZOR E, et al. The use of prostate specific antigen density to predict clinically significant prostate cancer[J/OL]. Sci Rep, 2020, 10(1): 20015 [2025-03-26]. https://doi.org/10.1038/s41598-020-76786-9. DOI: 10.1038/s41598-020-76786-9.
[19]
戴志军, 陈晓华, 陈大治, 等. PI-RADS v2.1联合PSAD对前列腺显著癌的诊断价值[J]. 中国医学计算机成像杂志, 2024, 30(1): 75-79. DOI: 10.19627/j.cnki.cn31-1700/th.2024.01.019.
DAI Z J, CHEN X H, CHEN D Z, et al. Diagnostic value of PI-RADS v2.1 for clinically significant prostate cancer[J]. Chin Comput Med Imag, 2024, 30(1): 75-79. DOI: 10.19627/j.cnki.cn31-1700/th.2024.01.019.
[20]
LIN Y R, WEI X H, UHLMAN M, et al. PSA density improves the rate of prostate cancer detection in Chinese men with a PSA between 2.5-10.0 ng ml (-1) and 10.1-20.0 ng ml (-1): a multicenter study[J]. Asian J Androl, 2015, 17(3): 503-507. DOI: 10.4103/1008-682X.142129.
[21]
黄丹丹, 冯倩茹, 李增华, 等. BP-MRI联合临床预测指标对前列腺癌的诊断价值[J]. 磁共振成像, 2023, 14(10): 90-97. DOI: 10.12015/issn.1674-8034.2023.10.016.
HUANG D D, FENG Q R, LI Z H, et al. Diagnosis value of BP-MRI combined clinical predictors for prostate cancer[J]. Chin J Magn Reson Imag, 2023, 14(10): 90-97. DOI: 10.12015/issn.1674-8034.2023.10.016.
[22]
张丹, 张少茹, 宋娜, 等. PI-RADS v2.1联合PSAD分层预测PSA 4~20 ng/mL外周带临床显著性前列腺癌患者的价值[J]. 中国医学计算机成像杂志, 2023, 29(6): 631-636. DOI: 10.19627/j.cnki.cn31-1700/th.2023.06.003.
ZHANG D, ZHANG S R, SONG N, et al. The value of PI-RADS v2.1 combined with psad stratification in predicting peripheral zone clinically significant prostate cancer in patients with psa 4-20 ng/mL[J]. Chin Comput Med Imag, 2023, 29(6): 631-636. DOI: 10.19627/j.cnki.cn31-1700/th.2023.06.003.
[23]
潘敏杰, 祁峰, 承逸飞, 等. 基于bpMRI的前列腺活检对PSA≤20 ng/ml前列腺癌诊断价值的研究[J]. 中华泌尿外科杂志, 2021(1): 18-22. DOI: 10.3760/cma.j.cn112330-20200302-00145.
PAN M J, QI F, CHENG Y F, et al. The value of utilizing bpMRI in prostate biopsy in the detection of prostate cancer with PSA≤20 ng/ml[J]. Chin J Urol, 2021(1): 18-22. DOI: 10.3760/cma.j.cn112330-20200302-00145.
[24]
GÖRTZ M, RADTKE J P, HATIBOGLU G, et al. The value of prostate-specific antigen density for prostate imaging-reporting and data system 3 lesions on multiparametric magnetic resonance imaging: A strategy to avoid unnecessary prostate biopsies[J]. Eur Urol Focus, 2021, 7(2): 325-331. DOI: 10.1016/j.euf.2019.11.012.
[25]
胡尘翰, 乔晓梦, 胡冀苏, 等. 基于双参数MRI的深度学习-临床混合模型对临床显著性前列腺癌诊断价值的研究[J]. 磁共振成像, 2024, 15(2): 90-96. DOI: 10.12015/issn.1674-8034.2024.02.013.
HU C H, QIAO X M, HU J S, et al. The utility of deep learning-clinical combined model based on bi-parametric MRI for diagnosis of clinically significant prostate cancer[J]. Chin J Magn Reson Imag, 2024, 15(2): 90-96. DOI: 10.12015/issn.1674-8034.2024.02.013.
[26]
贝明洁, 许竞方, 祝新. ADCmean联合PSAD对PI-RADS≥3分临床显著性前列腺癌的预测价值[J]. 磁共振成像, 2025, 16(4): 81-86, 107. DOI: 10.12015/issn.1674-8034.2025.04.012.
BEI M J, XU J F, ZHU X. Predictive value of ADCmean combined with PSAD in clinically significant prostate cancer with PI-RADS score ≥ 3[J]. Chin J Magn Reson Imag, 2025, 16(4): 81-86, 107. DOI: 10.12015/issn.1674-8034.2025.04.012.
[27]
WANG G, YU G, CHEN J, et al. Can high b-value 3.0 T biparametric MRI with the Simplified Prostate Image Reporting and Data System (S-PI-RADS) be used in biopsy-naïve men[J]. Clin Imag, 2022, 88: 80-86. DOI: 10.1016/j.clinimag.2021.06.024.
[28]
ALABOUSI M, SALAMEH J P, GUSENBAUER K, et al. Biparametric vs multiparametric prostate magnetic resonance imaging for the detection of prostate cancer in treatment-naïve patients: a diagnostic test accuracy systematic review and meta-analysis[J]. BJU Int, 2019, 124(2): 209-220. DOI: 10.1111/bju.14759.
[29]
HUANG H, LIU Z H, MA Y, et al. Based on PI-RADS v2.1 combining PHI and ADC values to guide prostate biopsy in patients with PSA 4-20 ng/mL[J]. Prostate, 2024, 84(4): 376-388. DOI: 10.1002/pros.24658.
[30]
樊代明. 中国肿瘤整合诊治指南[M]. 天津: 天津科学技术出版社, 2022: 1-68.
FAN D M. CACA Guidelines for holistic lntegrative management of cancer[M]. Tianjin: Tianjin Scientific & Technical Publishers, 2022: 1-68.
[31]
DASGUPTA P, DAVIS J, HUGHES S. NICE guidelines on prostate cancer 2019[J/OL]. BJU Int, 2019, 124(1): 1 [2025-03-26]. https://doi.org/10.1111/bju.14815. DOI: 10.1111/bju.14815.
[32]
MOTTET N, VAN DEN BERGH R C N, BRIERS E, et al. EAU-EANM-ESTRO-ESUR-SIOG guidelines on prostate cancer-2020 update. part 1: screening, diagnosis, and local treatment with curative intent[J]. Eur Urol, 2021, 79(2): 243-262. DOI: 10.1016/j.eururo.2020.09.042.
[33]
LEI Y, LI T J, GU P, et al. Combining prostate-specific antigen density with prostate imaging reporting and data system score version 2.1 to improve detection of clinically significant prostate cancer: A retrospective study[J/OL]. Front Oncol, 2022, 12: 992032 [2025-03-26]. https://pubmed.ncbi.nlm.nih.gov/36212411/. DOI: 10.3389/fonc.2022.992032.
[34]
WEN J, TANG T T, JI Y G, et al. PI-RADS v2.1 combined with prostate-specific antigen density for detection of prostate cancer in peripheral zone[J/OL]. Front Oncol, 2022, 12: 861928 [2025-03-26]. https://pubmed.ncbi.nlm.nih.gov/35463349/. DOI: 10.3389/fonc.2022.861928.

上一篇 多参数磁共振生境成像对前列腺癌分区异质性的预测研究
下一篇 基于磁共振成像Delta影像组学术前评估宫颈癌患者新辅助化疗术后复发风险分层
  
诚聘英才 | 广告合作 | 免责声明 | 版权声明
联系电话:010-67113815
京ICP备19028836号-2