分享:
分享到微信朋友圈
X
临床研究
基于磁共振成像Delta影像组学术前评估宫颈癌患者新辅助化疗术后复发风险分层
任臻 黎红霞 莫凡 吕发金

本文引用格式:任臻, 黎红霞, 莫凡, 等. 基于磁共振成像Delta影像组学术前评估宫颈癌患者新辅助化疗术后复发风险分层[J]. 磁共振成像, 2025, 16(11): 155-162. DOI:10.12015/issn.1674-8034.2025.11.023.


[摘要] 目的 基于新辅助化疗(neoadjuvant chemotherapy, NACT)前后磁共振成像(magnetic resonance imaging, MRI)的Delta影像组学特征构建模型,预测局部晚期宫颈癌(locally advanced cervical cancer, LACC)患者NACT后基于病理危险因素的术后复发风险分层。材料与方法 回顾性纳入221例接受NACT后手术的宫颈癌患者,依据病理危险因素中的中高危因素分为低风险组(n=128)和中/高风险组(n=93)。基于NACT前后矢状位T2加权成像(sagittal T2-weighted imaging, Sag_T2WI)与轴位对比增强T1加权成像(axial T1-weighted contrast-enhanced imaging, Ax_T1CE)提取并计算的Delta影像组学特征,进行特征降维和筛选。使用单因素分析筛选临床特征。使用随机森林算法分别构建Delta-T1CE影像组学模型、Delta-T2WI影像组学模型、临床模型,然后构建双序列融合模型和临床-双序列融合模型,使用受试者工作特征(receiver operating characteristic, ROC)曲线评估各模型性能,通过决策曲线评估模型的临床价值并进行模型性能评估和比较。结果 Delta-T1CE模型、Delta-T2WI模型和临床模型测试集的曲线下面积(area under the curve, AUC)分别为0.844 [95%置信区间(confidence interval, CI):0.739~0.926]、0.938(95% CI:0.880~0.981)和0.675(95% CI:0.543~0.800),在非融合模型中,Delta-T2WI模型表现出最优的预测性能;双序列融合模型和临床-双序列融合模型与Delta-T2WI模型性能无显著差异,测试集AUC分别为0.945(95% CI:0.888~0.986)和0.944(95% CI:0.890~0.985)。在决策曲线上,Delta-T2WI模型和两融合模型的临床净效益均高于Delta-T1CE影像组学模型和临床模型。结论 Delta影像组学模型,尤其是基于T2WI的模型,能够有效预测NACT后宫颈癌患者的复发风险分层,对中/高风险分层的患者的治疗策略提供重要参考。
[Abstract] Objective The primary aim of this study was to construct a predictive model utilizing Delta radiomics features derived from magnetic resonance imaging (MRI) scans taken before and after neoadjuvant chemotherapy (NACT), in order to stratify the risk of postoperative recurrence based on pathological risk factors in patients diagnosed with locally advanced cervical cancer (LACC).Materials and Methods This retrospective study enrolled 221 cervical cancer patients who underwent surgery after NACT. Based on the presence of intermediate- and high-risk pathological factors, patients were classified into a low-risk group (n = 128) and an intermediate-to-high-risk group (n = 93). Delta radiomics features were extracted and calculated from sagittal T2-weighted imaging (Sag_T2WI) and axial contrast-enhanced T1-weighted imaging (Ax_T1CE) acquired before and after NACT, followed by feature dimensionality reduction and selection. Clinical features were screened using univariate analysis. Using the random forest algorithm, we constructed separate models: a Delta-T1CE radiomics model, a Delta-T2WI radiomics model, and a clinical model. Subsequently, a dual-sequence fusion model and a clinical-dual-sequence fusion model were built. Model performance was evaluated using receiver operating characteristic (ROC) curves, and the clinical utility of the models was assessed via decision curve analysis (DCA), followed by performance evaluation and comparison.Results The areas under the curve (AUC) for the Delta-T1CE model, Delta-T2WI model, and clinical model in the test set were 0.844 [95% confidence interval (CI): 0.739 to 0.926], 0.938 (95% CI: 0.880 to 0.981), and 0.675 (95% CI: 0.543 to 0.800), respectively. Among the non-fusion models, the Delta-T2WI model demonstrated the best predictive performance. The dual-sequence fusion model and the clinical-dual-sequence fusion model showed no significant difference in performance compared to the Delta-T2WI model, with test set AUCs of 0.945 (95% CI: 0.888 to 0.986) and 0.944 (95% CI: 0.890 to 0.985), respectively. Decision curve analysis revealed that the Delta-T2WI model and the two fusion models provided higher clinical net benefit than the Delta-T1CE radiomics model and the clinical model.Conclusions Delta radiomics models, particularly those based on T2WI, can effectively predict recurrence risk stratification in cervical cancer patients after NACT, offering significant reference value for formulating treatment strategies for patients stratified into the intermediate-to-high-risk group.
[关键词] 子宫颈癌;磁共振成像;影像组学;危险因素;新辅助化疗
[Keywords] cervical cancer;magnetic resonance imaging;radiomics;risk factors;neoadjuvant chemotherapy

任臻 1   黎红霞 1   莫凡 1   吕发金 1, 2*  

1 重庆医科大学生物医学工程学院,超声医学工程国家重点实验室,重庆 400016

2 重庆医科大学附属第一医院放射科,重庆 400016

通信作者:吕发金,E-mail:fajinlv@163.com

作者贡献声明:吕发金设计本研究的方案并进行稿件修改;任臻负责收集、整理并分析本研究数据并撰写初稿;黎红霞、莫凡收集、整理数据,对稿件重要内容进行了修改;吕发金获得超声医学工程国家重点实验室开放课题资助;全体作者均阅读并同意发表最终版本的修改稿,同意对本研究的所有方面负责,确保本研究的准确性和诚信。


基金项目: 超声医学工程国家重点实验室开放课题项目 2022KFKT005
收稿日期:2025-06-13
接受日期:2025-11-10
中图分类号:R445.2  R737.33 
文献标识码:A
DOI: 10.12015/issn.1674-8034.2025.11.023
本文引用格式:任臻, 黎红霞, 莫凡, 等. 基于磁共振成像Delta影像组学术前评估宫颈癌患者新辅助化疗术后复发风险分层[J]. 磁共振成像, 2025, 16(11): 155-162. DOI:10.12015/issn.1674-8034.2025.11.023.

0 引言

       宫颈癌是全球女性第四常见的恶性肿瘤,也是女性肿瘤患者的第四大死亡原因[1]。局部晚期宫颈癌(locally advanced cervical cancer, LACC)被2018版国际妇产科联盟(International Federation of Gynecologyand Obstetrics, FIGO)定义为ⅠB3~ⅣA期[2]。尽管美国国立综合癌症网络(National Comprehensive Cancer Network, NCCN)指南仍将同步放化疗(concurrent chemotherapy and radiotherapy, CCRT)作为局部晚期宫颈癌患者的标准治疗方法,但新辅助化疗(neoadjuvant chemotherapy, NACT)后手术也是医疗资源有限地区患者的主要治疗手段之一[2, 3]。NACT可手术前缩小病灶、降低分期,作用于亚临床病灶,降低转移风险[4, 5]。NACT后手术与CCRT相比,无进展生存期低于CCRT,但5年总生存率无明显差异,而CCRT的随访期并发症的发生率高于NACT后手术[6, 7]

       宫颈癌病理危险因素包括淋巴结转移阳性、宫旁浸润、切缘阳性、肿瘤大小、深间质浸润和淋巴脉管间隙浸润等。在既往研究中,这些病理危险因素已被证实为宫颈癌术后复发、转移的独立危险因子,是恶性肿瘤具备侵袭性的反映。临床上常依据上述危险因素进行复发风险分层,中/高风险患者术后需进行补充放疗/放化疗,低风险患者则仅需随访[8]。对于中高风险患者,三重治疗(NACT+手术+辅助放/化疗)增加了并发症的风险[9]。若能术前无创预测其风险分层,中/高风险患者可选择同步放化疗,避免手术治疗的损伤。

       磁共振成像(magnetic resonance imaging, MRI)在LACC的诊断、分期和疗效评估中的起着关键作用[10]。影像组学是一种从医学影像中高通量地提取客观、定量的特征信息用于分析、建模的方法[11],基于MRI的影像组学可捕捉病灶微观信息,反映肿瘤异质性,已有多项研究证实影像组学可以用于预测宫颈癌病理危险因素,如预测其淋巴结状态[12, 13]、淋巴脉管间隙浸润[14, 15]、浸润深度[16]、宫旁浸润[17]等,但多集中在单一危险因素的术前预测中,对多个危险因素进行分层和预测的研究相对较少。Delta影像组学是基于治疗期间多时间节点的影像提取影像组学特征,计算出对应特征间的数值变化并将此作为新特征来进行分析的一种方法,已在肺癌、食管癌、鼻咽癌等多种肿瘤的鉴别、疗效评估、预后预测中展现价值[18, 19]。Delta影像组学特征可能反映了治疗诱导的肿瘤微环境变化[20, 21],而不是如传统影像组学特征一样反映的是某一静态时间点肿瘤的状态,可能会为疾病研究带来新的信息。已有研究利用LACC患者NACT前后的T1CE序列构建Delta影像组学模型用于预测其复发风险分层[22],取得了不错的预测效果,但尚未有研究报道基于T2WI序列的相关研究。T2WI序列能够清晰显示组织内水分含量及细胞结构的变化,对坏死、水肿等化疗后常见改变具有较高的敏感性,可提供与T1CE互补的生物学信息。因此,本研究旨在利用LACC患者NACT前后的T1CE、T2WI序列构建Delta影像组学模型,在手术前评估其复发风险分层,辅助临床制订个体化的治疗方案。

1 材料与方法

1.1 研究对象

       本研究遵守《赫尔辛基宣言》,经重庆医科大学附属第一医院医学研究伦理委员会的批准,免除受试者知情同意,批准文号:2025年科研伦审(2025-314-01)。

       本研究回顾性收集了2017年12月至2024年12月在重庆医科大学附属第一医院诊断为LACC并完成新辅助治疗后行根治性手术的患者的资料,包括患者的年龄、是否停经、两次MRI检查间隔时间、新辅助化疗次数、病理分型、治疗前CA-125水平、治疗前SCC水平、治疗后SCC水平、治疗前CEA水平、治疗前CA-199水平、治疗前细胞角蛋白水平。

       纳入标准:(1)根据2018年国际妇产科联盟FIGO分期系统分期为(IB3-IVA)的LACC患者;(2)首次就诊期间未在外院接受任何治疗;(3)在我院行新辅助化疗联合根治性子宫切除术和盆腔±主动脉旁淋巴结清扫术;(4)新辅助治疗前后在我院进行盆腔MRI平扫+增强检查;(5)术后病理结果明确且临床资料完整。排除标准:(1)MRI图像质量差,病灶显示不清或感兴趣区伪影较重者;(2)MRI序列不含Sag_T2WI和Ax_T1CE。

       术后病理危险因素分为高危、中危、低危,高危因素有:淋巴结转移阳性、宫颈旁浸润和切缘阳性;中危因素包括但不限于肿瘤大小、间质浸润深度和淋巴脉管间隙浸润(lymphovascular space invasion, LVSI)。将患者分为两组:具有任一高危因素的患者或不具有高危因素但符合Sedlis标准(表1)/腺癌四因素模型的患者为中/高风险组;不符合上述条件的患者为低风险组。入组流程见图1

       腺癌四因素模型:腺癌或腺鳞癌、肿瘤≥3 cm、间质浸润外1/3、LVSI阳性,符合其中两条。

图1  入组流程。LACC:局部晚期宫颈癌。
Fig.1  Enrollment Process. LACC: locally advanced cervical cancer.
表1  Sedlis标准
Tab. 1  Sedlis criteria

1.2 检查方法

       所有患者均在NACT前/后一周内采用3.0 T MRI扫描仪进行系统盆腔MRI检查,序列包含矢状位T2加权成像(sagittal T2-weighted imaging, Sag_T2WI)和轴位对比增强T1加权成像(axial T1-weighted contrast-enhanced imaging, Ax_T1CE),扫描参数见表2

表2  MRI扫描参数
Tab.2  MRI sequence scanning parameters

1.3 影像组学及模型构建

1.3.1 图像分割

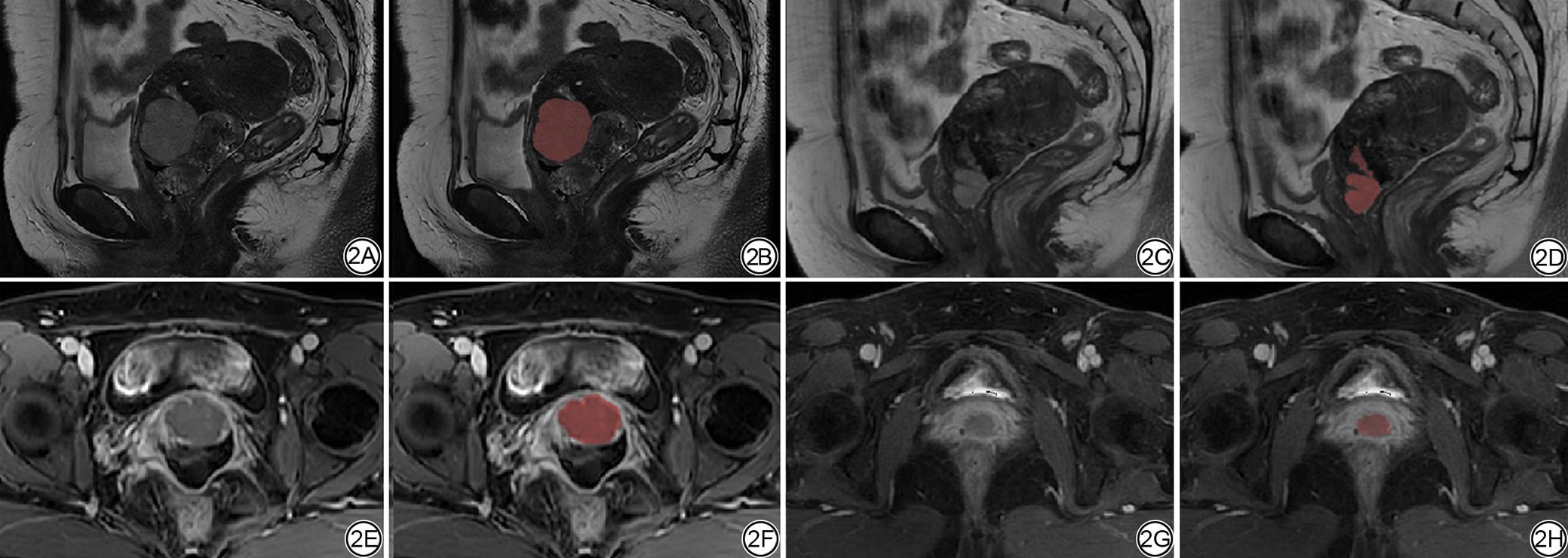
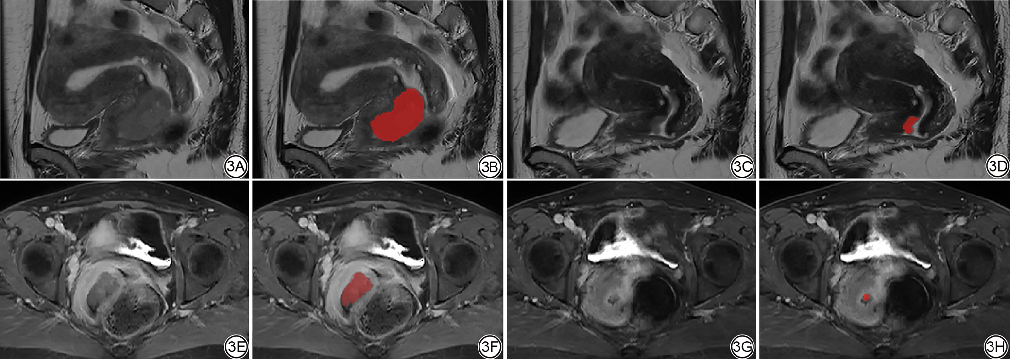
       将格式转换后将图像导入ITK-SNAP3.8(版本4.2.0,http://www.itksnap.org)软件,由一位具有3年经验的放射科住院医师参考所有序列图像,在Sag_T2WI和Ax_T1CE序列上沿肿瘤轮廓在所有连续层面上逐层勾画感兴趣区(region of interest, ROI)(图2图3),然后由具有二十多年经验的放射科主任医师进行审查,对有争议的ROI进行协商并达成一致。

图2  女,47岁,中/高风险组。2A、2B:NACT前Sag_T2WI序列图像;2C、2D:NACT后Sag_T2WI序列图像;2E、2F:NACT前Ax_T1CE序列图像;2G、2H:NACT后Ax_T1CE序列图像。NACT:新辅助化疗;Sag_T2WI:矢状位T2加权成像;Ax_T1CE:轴位对比增强T1加权成像。
Fig. 2  Female, 47 years old, intermediate-to-high-risk group. 2A, 2B: Sag_T2WI images before NACT; 2C, 2D: Sag_T2WI images after NACT; 2E, 2F: Ax_T1CE images before NACT; 2G, 2H: Ax_T1CE images after NACT. NACT: neoadjuvant chemotherapy; Sag_T2WI: sagittal T2-weighted imaging; Ax_T1CE: axial contrast-enhanced T1-weighted imaging.
图3  女,49岁,低风险组。3A、3B:NACT前Sag_T2WI序列图像;3C、3D:NACT后Sag_T2WI序列图像;3E、3F:NACT前Ax_T1CE序列图像;3G、3H:NACT后Ax_T1CE序列图像。NACT:新辅助化疗;Sag_T2WI:矢状位T2加权成像;Ax_T1CE:轴位对比增强T1加权成像。
Fig. 3  Female, 49 years old, low-risk group. 3A, 3B: Sag_T2WI images before NACT; 3C, 3D: Sag_T2WI images after NACT. 3E, 3F: Ax_T1CE images before NACT. 3G, 3H: Ax_T1CE images after NACT. NACT: neoadjuvant chemotherapy; Sag_T2WI: sagittal T2-weighted imaging; Ax_T1CE: axial contrast-enhanced T1-weighted imaging.

1.3.2 预处理和特征提取

       首先对每位患者在新辅助治疗前后的图像进行N4偏置场校正。对所有图像进行灰度归一化并重采样到1 mm×1 mm×1 mm体素,使用SitkBSpline算法插值。由PyRadiomics 3.0.1软件包提取影像组学特征。每个NACT前后的每个序列提取出1873个影像组学特征,包括形状特征(shape)、一阶统计特征(first order)以及直方图灰度共生矩阵(gray level co-occurrence matrix, GLCM)、灰度依赖矩阵(gray level dependence matrix, GLDM)、邻域灰度差矩阵(neighbouring gray tone difference matrix, NGTDM)、灰度游程长度矩阵(gray level run length matrix, GLRLM)、灰度区域大小矩阵(gray level size zone matrix, GLSZM)特征。

1.3.3 特征筛选、降维

       Delta影像组学特征根据以下公式计算:Delta影像组学特征=治疗后影像组学特征-治疗前影像组学特征。

       选取30名患者重复上述图像分割和特征提取过程,并计算组内一致性系数(intra-classcorrelation coefficient, ICC)。对特征进行Z-score归一化处理,保留ICC大于0.7的特征,排除Spearman相关系数大于0.9的高度冗余Delta影像组学特征后,使用Shapiro-Wilk正态性检验自动选择独立样本t检验或Mann-Whitney U检验评估Delta影像组学特征,保留差异有统计学意义的特征。使用最小绝对收缩与选择算子算法(least absolute shrinkage and selection operator, LASSO)的方法并依据10倍交叉验证的结果选出最佳参数进行筛选,然后使用递归特征消除法(recursive feature elimination, RFE)保留前15个特征。使用单因素分析筛选临床特征。

1.3.4 建模

       使用随机森林算法分别构建Delta-T1CE影像组学模型、Delta-T2WI影像组学模型和临床模型,并使用5折交叉验证和网格搜索调参;随后,用各模型的阳性预测概率作为临床评分、Delta-T1CE-Radscore和Delta-T2WI-Radscore,基于logistic回归分类器构建双序列融合模型和临床-双序列融合模型。在独立测试集中评估模型性能。以上过程均使用Python 3.11.7执行。

1.4 统计学分析

       使用IBM SPSS Statistics 27.0.1软件进行统计分析。对服从正态分布的计量资料,用均数±标准差表示,组间差异比较使用独立样本t检验;对不服从正态分布的计量资料则以MP25, P75)表示,组间差异比较使用Mann-Whitney U检验。分类变量采用频数(%)的形式呈现,采用卡方检验比较组间差异。应用受试者工作特征(receiver operating characteristic, ROC)曲线下面积(area under the curve, AUC)、敏感度、特异度和准确率评估各模型效能。采用DeLong检验评估不同模型ROC曲线的差异是否具有统计学意义。通过决策曲线分析(decision curve analysis, DCA)以确定预测模型在不同阈值概率下的净收益。P<0.05为差异具有统计学意义。

2 结果

2.1 两组患者基线特征比较

       本研究最终纳入221例宫颈癌患者。低风险组128例,年龄21~77岁,中位年龄55.5岁;中/高风险组93例,年龄26~72岁,中位年龄52岁。两组间是否停经、两次检查间隔时间、化疗次数、治疗前CA-125、治疗前CA-199、治疗前SCC、治疗前CEA、治疗前Cyfra21-1的差异无统计学意义(P>0.05),年龄、病理分型、治疗后SCC、治疗前体积和治疗前最大径的差异有统计学意义(P<0.05)(表3),将作为临床模型的特征。患者以7∶3的比例随机分层分配到训练集和测试集,训练集154例患者,测试集67例患者。训练集和测试集中各临床特征差异均无统计学意义(P>0.05)(表4)。

表3  低风险组和中/高风险组患者基本情况
Tab. 3  General clinical data between positive group and negative group
表4  训练集和测试集患者基本情况
Tab. 4  General clinical data between the train set and the test set

2.2 特征提取和特征降维

       将NACT前后的Sag_T2WI和Ax_T1CE序列的图像中提取的影像组学特征并计算出Delta影像组学特征,经过特征筛选和降维后,各保留了15个Delta影像组学特征(图4)。

图4  Delta-T1CE影像组学模型和Delta-T2WI影像组学模型保留特征的重要性排序图。T2WI:T2加权成像;T1CE:对比增强T1加权成像。
Fig. 4  Feature importance ranking plot of the retained features for the Delta-T1CE model and the Delta-T2WI model. T2WI: T2-weighted imaging; T1CE: contrast-enhanced T1-weighted imaging.

2.3 模型构建和评估

       随后基于以上特征筛选和降维的结果,应用随机森林机器学习分类器构建临床模型、Delta-T1CE影像组学模型、Delta-T2WI影像组学模型,用各模型的类别预测概率作为临床评分、Delta-T1CE-Radscore和Delta-T2WI-Radscore,构建多因素logistic回归融合模型。

       通过ROC曲线分析各模型效能(表5图5),经DeLong检验发现,在训练集和测试集中,Delta-T1CE影像组学模型、Delta-T2WI影像组学模型和两融合模型的AUC值均高于临床模型,差异有统计学意义(P<0.05),Delta-T2WI影像组学模型的AUC值高于Delta-T1CE影像组学模型,差异有统计学意义(P<0.05);Delta-T2WI影像组学模型和两融合模型的AUC值差异非常微小,无统计学意义(P>0.05)。各模型DCA结果和校准曲线(图6图7)结果显示,Delta-T2WI影像组学模型和两融合模型具有较好的临床获益和校准度。

图5  临床模型、Delta-T1CE影像组学模型、Delta-T2WI影像组学模型和融合模型在训练集和测试集上的受试者工作特征曲线。T2WI:T2加权成像;T1CE:对比增强T1加权成像;AUC:曲线下面积。
Fig. 5  Receiver operating characteristic (ROC) curves of the training set and the test set for the clinical model, Delta-T1CE radiomics model, Delta-T2WI radiomics model, and fusion model. T2WI: T2-weighted imaging; T1CE: contrast-enhanced T1-weighted imaging; AUC: area under the curve.
图6  各模型决策曲线。T2WI:T2加权成像;T1CE:对比增强T1加权成像。
Fig. 6  Decision curve analysis of the predictive models. T2WI: T2-weighted imaging; T1CE: contrast-enhanced T1-weighted imaging.
图7  各模型校准曲线。T2WI:T2加权成像;T1CE:对比增强T1加权成像。
Fig. 7  Calibration curves for all models. T2WI: T2-weighted imaging; T1CE: contrast-enhanced T1-weighted imaging.
表5  各模型的诊断效能
Tab. 5  Diagnostic efficacy of all models.

3 讨论

       本研究基于LACC患者行NACT前后的T1CE、T2WI序列磁共振图像和临床特征,构建了临床模型、Delta-T1CE影像组学模型、Delta-T2WI影像组学模型三个基础模型,并基于上述模型构建了双序列融合模型及临床-双序列融合模型,旨在探讨将Delta影像组学用于预测NACT后LACC患者的术后复发风险分层的价值。研究结果显示,在临床模型、Delta-T1CE影像组学模型、Delta-T2WI影像组学模型这三个非融合模型中,Delta-T2WI影像组学模型的效能显著优于临床模型和Delta-T1CE影像组学模型;双序列融合模型及临床-双序列融合模型的效能与Delta-T2WI影像组学模型并未有统计学上的显著差异。上述结果表明,Delta-T2WI影像组学模型对NACT后LACC患者的术后复发风险分层有一定预测价值,可为中/高危风险的患者的治疗决策提供参考。

3.1 Delta影像组学模型在宫颈癌复发风险分层预测中的应用价值

       对LACC患者行NACT,是一个动态的过程,NACT会引发肿瘤部位发生坏死、炎细胞浸润、纤维化等治疗反应[23],并最终体现在宏观影像的变化上。Delta影像组学通过量化治疗诱导的变化,可能获得反映病灶对治疗敏感性的相关信息,从而为研究提供帮助[24, 25]。本研究发现,基于NACT前后MRI图像构建的Delta影像组学模型,其预测性能均显著优于仅基于临床特征的模型。我们的结果证实,这种反映病灶变化的Delta影像组学相比临床因素具有更高的预测价值,但也有可能与纳入的临床特征较少有关。既往传统影像组学对宫颈癌的单一病理危险因素的研究较多,联合多种危险因素进行复发风险分层的研究相对较少。LIU等[13]联合多序列(T2WI+DWI+Sag-T1C)构建的影像组学模型在预测LACC新辅助化疗后的淋巴结转移时表现出色,验证集的AUC达0.859。该团队还基于治疗前多参数MRI影像组学特征构建了影像组学模型来预测LACC患者NACT后的LVSI状态[14]。本研究结果中模型最高AUC达到0.945,证实了Delta影像组学特征在宫颈癌复发风险分层预测中的价值。

3.2 不同序列Delta影像组学模型效能差异

       T2WI序列在宫颈癌的诊断和评估中具有重要价值,而T1CE序列的价值仍待进一步研究[26]。这可能是本研究中Delta-T2WI的模型效果优于Delta-T1CE模型的原因。T2WI序列对组织水分含量和细胞结构变化具有高敏感性,而NACT后病灶发生坏死、水肿和纤维化,局部水分含量发生变化,这些微观变化很可能在T2WI序列上表现为纹理特征的显著改变。而T1CE序列反映组织的微循环和血管表面积[27],其对病灶变化的反映可能不如T2WI序列敏感,但基于T1CE构建的模型也取得了较好的效能,来自T1CE序列的Delta影像组学特征也对预测患者的风险分层起一定的作用。WU等[22]基于NACT前后T1CE序列图像构建了Delta影像组学的模型用于中、高危险因素的预测,训练集和测试集AUC分别为0.88和0.86,与本研究中Delta-T1CE模型效果类似,其研究仅纳入鳞癌。但宫颈癌的病理分型也是危险因素之一,腺癌与较差的预后相关,对于术后是否补充放疗,腺癌的评估标准应区别于鳞癌[28, 29]。因此,本研究同时纳入鳞癌及腺癌,分别依据Sedlis标准和腺癌四因素模型对中危因素进行评估,更符合实践需求。我们在回顾文献时发现,多序列影像组学模型较单序列模型预测效果更好,且联合临床特征可以一定程度可以实现信息互补,提高模型效能[30]。因此,我们也将模型进行融合,构建了双序列融合模型和临床-双序列融合模型,但其效能并未得到显著提高,这一结果可能提示:(1)Delta-T2WI影像组学特征已经包含了与临床特征高度重叠的有效预测信息,甚至其信息含量已足够充分;(2)在有限的测试集样本量下,微小的性能提升难以达到统计显著水平。

3.3 本研究局限性

       本研究存在以下局限性:(1)回顾性、单中心、小样本研究,可能存在偏倚;(2)缺乏外部验证,模型泛化能力有待评估;(3)数据来源于不同时间的不同设备,扫描参数并不统一,虽然我们对影像数据进行了标准化处理,但结果仍有被影响的可能;(4)仅依据病理危险因素进行分层,暂未进行随访以报告其复发率,无法直接验证模型对LACC复发及预后的预测能力。因此,未来需开展前瞻性多中心研究,扩大样本量并整合多模态影像来完善和验证模型,同时建立规范的随访机制对复发及预后作进一步研究。

4 结论

       总之,我们构建了Delta-T1CE影像组学模型、Delta-T2WI影像组学模型、临床模型以及基于上述三个模型的融合模型,其中基于Delta-T2WI影像组学模型及融合模型显示出优异的诊断性能,能够有效预测宫颈癌患者NACT后的复发风险分层,为个体化治疗决策提供了重要依据。

[1]
SUNG H, FERLAY J, SIEGEL R L, et al. Global cancer statistics 2020: GLOBOCAN estimates of incidence and mortality worldwide for 36 cancers in 185 countries[J]. CA Cancer J Clin, 2021, 71(3): 209-249. DOI: 10.3322/caac.21660.
[2]
BHATLA N, DENNY L. FIGO cancer report 2018[J]. Int J Gynecol Obstet, 2018, 143(S2): 2-3. DOI: 10.1002/ijgo.12608.
[3]
ABU-RUSTUM N R, YASHAR C M, AREND R, et al. NCCN guidelines® insights: cervical cancer, version 1.2024[J]. J Natl Compr Canc Netw, 2023, 21(12): 1224-1233. DOI: 10.6004/jnccn.2023.0062.
[4]
MOORE D H, BLESSING J A, MCQUELLON R P, et al. Phase III study of cisplatin with or without paclitaxel in stage IVB, recurrent, or persistent squamous cell carcinoma of the cervix: a gynecologic oncology group study[J]. J Clin Oncol, 2004, 22(15): 3113-3119. DOI: 10.1200/JCO.2004.04.170.
[5]
BENEDETTI PANICI P, BELLATI F, PASTORE M, et al. An update in neoadjuvant chemotherapy in cervical cancer[J]. Gynecol Oncol, 2007, 107(1): S20-S22. DOI: 10.1016/j.ygyno.2007.07.041.
[6]
GUPTA S, MAHESHWARI A, PARAB P, et al. Neoadjuvant chemotherapy followed by radical surgery versus concomitant chemotherapy and radiotherapy in patients with stage IB2, IIA, or IIB squamous cervical cancer: a randomized controlled trial[J]. J Clin Oncol, 2018, 36(16): 1548-1555. DOI: 10.1200/JCO.2017.75.9985.
[7]
GENNIGENS C, DE CUYPERE M, HERMESSE J, et al. Optimal treatment in locally advanced cervical cancer[J]. Expert Rev Anticancer Ther, 2021, 21(6): 657-671. DOI: 10.1080/14737140.2021.1879646.
[8]
张剑峰, 张旭垠, 丁岩, 等. 子宫颈癌手术治疗质量控制与质量评价标准中国专家共识(2023年版)[J]. 中国实用妇科与产科杂志, 2023, 39(7): 712-724. DOI: 10.19538/j.fk2023070109.
ZHANG J F, ZHANG X Y, DING Y, et al. Chinese expert consensus on quality control and quality evaluation criteria of surgical treatment for cervical cancer(2023 edition)[J]. Chin J Pract Gynecol Obstet, 2023, 39(7): 712-724. DOI: 10.19538/j.fk2023070109.
[9]
MIRIYALA R, MAHANTSHETTY U, MAHESHWARI A, et al. Neoadjuvant chemotherapy followed by surgery in cervical cancer: past, present and future[J]. Int J Gynecol Cancer, 2022, 32(3): 260-265. DOI: 10.1136/ijgc-2021-002531.
[10]
MANGANARO L, LAKHMAN Y, BHARWANI N, et al. Staging, recurrence and follow-up of uterine cervical cancer using MRI: Updated Guidelines of the European Society of Urogenital Radiology after revised FIGO staging 2018[J]. Eur Radiol, 2021, 31(10): 7802-7816. DOI: 10.1007/s00330-020-07632-9.
[11]
TOMASZEWSKI M R, GILLIES R J. The biological meaning of radiomic features[J]. Radiology, 2021, 298(3): 505-516. DOI: 10.1148/radiol.2021202553.
[12]
WU Q X, WANG S, CHEN X, et al. Radiomics analysis of magnetic resonance imaging improves diagnostic performance of lymph node metastasis in patients with cervical cancer[J]. Radiother Oncol, 2019, 138: 141-148. DOI: 10.1016/j.radonc.2019.04.035.
[13]
LIU J J, DONG L X, ZHANG X X, et al. Radiomics analysis for prediction of lymph node metastasis after neoadjuvant chemotherapy based on pretreatment MRI in patients with locally advanced cervical cancer[J/OL]. Front Oncol, 2024, 14: 1376640 [2025-05-30]. https://pmc.ncbi.nlm.nih.gov/articles/PMC11109452/. DOI: 10.3389/fonc.2024.1376640.
[14]
董林逍, 刘金金, 张月洁, 等. 基于治疗前多参数MRI影像组学特征预测局部晚期宫颈癌患者新辅助化疗后脉管浸润[J]. 磁共振成像, 2024, 15(8): 25-30, 45. DOI: 10.12015/issn.1674-8034.2024.08.004.
DONG L X, LIU J J, ZHANG Y J, et al. Prediction of lymphovascular space invasion in locally advanced cervical cancer patients after neoadjuvant chemotherapy based on pre-treatment multi-parameter MRI radiomics features[J]. Chin J Magn Reson Imag, 2024, 15(8): 25-30, 45. DOI: 10.12015/issn.1674-8034.2024.08.004.
[15]
LIU F H, ZHAO X R, ZHANG X L, et al. Multiparametric MRI-based radiomics nomogram for predicting lymph-vascular space invasion in cervical cancer[J/OL]. BMC Med Imaging, 2024, 24(1): 167 [2025-05-30]. https://pmc.ncbi.nlm.nih.gov/articles/PMC11225404/. DOI: 10.1186/s12880-024-01344-y.
[16]
YAN H W, HUANG G T, YANG Z H, et al. Machine learning-based multiparametric magnetic resonance imaging radiomics model for preoperative predicting the deep stromal invasion in patients with early cervical cancer[J]. J Imaging Inform Med, 2024, 37(1): 230-246. DOI: 10.1007/s10278-023-00906-w.
[17]
HU Y, AI J. Development and validation of radiomics-based models for predicting the parametrial invasion in stage IB1 to IIA2 cervical cancer[J]. Int J Gen Med, 2024, 17: 3813-3824. DOI: 10.2147/IJGM.S478842.
[18]
NARDONE V, REGINELLI A, GRASSI R, et al. Delta radiomics: a systematic review[J]. Radiol Med, 2021, 126(12): 1571-1583. DOI: 10.1007/s11547-021-01436-7.
[19]
TAN D, MOHAMAD SALLEH S A, MANAN H A, et al. Delta-radiomics-based models for toxicity prediction in radiotherapy: a systematic review and meta-analysis[J]. J Med Imaging Radiat Oncol, 2023, 67(5): 564-579. DOI: 10.1111/1754-9485.13546.
[20]
SHUR J D, DORAN S J, KUMAR S, et al. Radiomics in oncology: a practical guide[J]. Radiographics, 2021, 41(6): 1717-1732. DOI: 10.1148/rg.2021210037.
[21]
LAMBIN P, LEIJENAAR R T H, DEIST T M, et al. Radiomics: the bridge between medical imaging and personalized medicine[J]. Nat Rev Clin Oncol, 2017, 14(12): 749-762. DOI: 10.1038/nrclinonc.2017.141.
[22]
WU R R, ZHOU Y M, XIE X Y, et al. Delta radiomics analysis for prediction of intermediary- and high-risk factors for patients with locally advanced cervical cancer receiving neoadjuvant therapy[J/OL]. Sci Rep, 2023, 13(1): 19409 [2025-05-30]. https://pmc.ncbi.nlm.nih.gov/articles/PMC10632513/. DOI: 10.1038/s41598-023-46621-y.
[23]
WEI L J, FU J, YANG H X, et al. Evaluation of pathological response to neoadjuvant chemotherapy in locally advanced cervical cancer[J/OL]. J Transl Med, 2024, 22(1): 655 [2025-05-30]. https://pmc.ncbi.nlm.nih.gov/articles/PMC11247755/. DOI: 10.1186/s12967-024-05482-3.
[24]
AN D Z, CAO Q, SU N, et al. Response prediction to concurrent chemoradiotherapy in esophageal squamous cell carcinoma using delta-radiomics based on sequential whole-tumor ADC map[J/OL]. Front Oncol, 2022, 12: 787489 [2025-5-30]. https://pmc.ncbi.nlm.nih.gov/articles/PMC8982070/. DOI: 10.3389/fonc.2022.787489.
[25]
NASIEF H, ZHENG C, SCHOTT D, et al. A machine learning based delta-radiomics process for early prediction of treatment response of pancreatic cancer[J/OL]. NPJ Precis Oncol, 2019, 3: 25 [2025-05-30]. https://pmc.ncbi.nlm.nih.gov/articles/PMC6778189/. DOI: 10.1038/s41698-019-0096-z.
[26]
AVESANI G, PERAZZOLO A, AMERIGHI A, et al. The utility of contrast-enhanced magnetic resonance imaging in uterine cervical cancer: a systematic review[J/OL]. Life (Basel), 2023, 13(6): 1368 [2025-05-30]. https://pmc.ncbi.nlm.nih.gov/articles/PMC10303560/. DOI: 10.3390/life13061368.
[27]
KIM S H, CHO S H. Assessment of pelvic lymph node metastasis in FIGO IB and IIA cervical cancer using quantitative dynamic contrast-enhanced MRI parameters[J]. Diagn Interv Radiol, 2020, 26(5): 382-389. DOI: 10.5152/dir.2020.19365.
[28]
RYU S Y, KIM M H, NAM B H, et al. Intermediate-risk grouping of cervical cancer patients treated with radical hysterectomy: a Korean Gynecologic Oncology Group study[J]. Br J Cancer, 2014, 110(2): 278-285. DOI: 10.1038/bjc.2013.716.
[29]
NOH J M, PARK W, KIM Y S, et al. Comparison of clinical outcomes of adenocarcinoma and adenosquamous carcinoma in uterine cervical cancer patients receiving surgical resection followed by radiotherapy: a multicenter retrospective study (KROG 13-10)[J]. Gynecol Oncol, 2014, 132(3): 618-623. DOI: 10.1016/j.ygyno.2014.01.043.
[30]
PEEKEN J C, ASADPOUR R, SPECHT K, et al. MRI-based delta-radiomics predicts pathologic complete response in high-grade soft-tissue sarcoma patients treated with neoadjuvant therapy[J]. Radiother Oncol, 2021, 164: 73-82. DOI: 10.1016/j.radonc.2021.08.023.

上一篇 基于Bp-MRI的PI-RADS v2.1联合PSAD风险分层诊断tPSA 4~20 ng/mL临床显著性前列腺癌的价值
下一篇 基于元学习的MRI多模态分类模型鉴别伴滑膜炎的骨关节炎与类风湿关节炎
  
诚聘英才 | 广告合作 | 免责声明 | 版权声明
联系电话:010-67113815
京ICP备19028836号-2