分享:
分享到微信朋友圈
X
临床研究
基于多模态MRI的海马头谷氨酸兴奋毒性与结构萎缩联合无创定侧难治性颞叶癫痫
段小玲 刘镇业 杨超 王晓阳 廖应泳 林巧 许尚文 李辉

本文引用格式:段小玲, 刘镇业, 杨超, 等. 基于多模态MRI的海马头谷氨酸兴奋毒性与结构萎缩联合无创定侧难治性颞叶癫痫[J]. 磁共振成像, 2025, 16(12): 52-58. DOI:10.12015/issn.1674-8034.2025.12.008.


[摘要] 目的 本研究联合应用质子磁共振波谱成像(proton magnetic resonance spectroscopy, ¹H-MRS)与基于人工智能的自动脑分割技术,定量评估药物难治性颞叶癫痫(temporal lobe epilepsy, TLE)患者的代谢产物比值,分析海马体积占比(海马体积与全脑容积之比),探讨二者在致痫灶侧别判定中的诊断效能。材料与方法 采用3.0 T MRI扫描仪对27例TLE患者及27例健康对照者进行三维T1加权成像(3-dimensional T1-weighted imaging, 3D-T1WI)及多体素1H-MRS扫描。利用智能脑分割技术测量TLE组与正常对照组双侧海马体积占比。测定TLE组及正常对照组双侧海马头、体、尾的谷氨酸(glutamic acid, Glu)与肌酸(creatine, Cr)比值(Glu/Cr)及N-乙酰天门冬氨酸(N-acetyl-aspartate, NAA)与Cr比值(NAA/Cr)。结果 ¹H-MRS检测显示:TLE组患侧海马头Glu/Cr比值高于健侧(P=0.012)及正常对照组(P<0.001),而NAA/Cr比值在患侧与健侧海马各亚区间均显示差异无统计学意义(P>0.05),智能脑分割技术定量分析发现患侧海马体积占比(定义为患侧海马体积占全脑体积的百分比)低于健侧(P=0.033)及对照组(P<0.001)。受试者工作特征(receiver operating characteristic, ROC)曲线分析表明:海马头Glu/Cr比值定侧敏感度为88.9%,特异度为70.4%,曲线下面积(area under the curve, AUC)为0.859。海马体积占比定侧特异度为88.9%,敏感度为70.4%(AUC=0.808);二者联合诊断敏感度为81.5%,特异度为96.3%(AUC=0.941)。结论 本研究证实药物难治性TLE患者患侧海马头存在特异性谷氨酸兴奋毒性和结构萎缩。海马头Glu/Cr比值(高敏感度)与海马体积占比(高特异度)的联合应用可显著提升致痫灶定侧效能,且优于单一指标,为药物难治性TLE的术前无创定位提供了高价值的影像学标志物组合。
[Abstract] Objective To quantitatively assess metabolic ratios and hippocampal volumetric parameters in patients with drug-refractory temporal lobe epilepsy (TLE) using proton magnetic resonance spectroscopy (¹H-MRS) and artificial intelligence (AI)-based automated brain segmentation, and to evaluate their diagnostic efficacy in lateralizing the epileptogenic focus.Materials and Methods A total of 27 TLE patients and 27 healthy controls underwent three-dimensional T1-weighted imaging (3D-T1WI) and multi-voxel ¹H-MRS on a 3.0 T MRI scanner. Hippocampal volume ratio (defined as the percentage of hippocampal volume relative to total brain volume) was measured bilaterally in both groups using United Imaging Intelligence brain segmentation technology. Glutamate-to-creatine ratio (Glu/Cr) and N-acetylaspartate-to-creatine ratio (NAA/Cr) were measured in the bilateral hippocampal head, bodyand tail.Results ¹H-MRS: The Glu/Cr ratio in the affected hippocampal head of TLE patients was significantly higher than that in the contralateral side (P = 0.012) and the control group (P < 0.001). No significant differences in NAA/Cr ratios were found between the affected and contralateral hippocampal subregions (P > 0.05). Volumetry: The hippocampal volume ratio on the affected side was significantly lower than that on the contralateral side (P = 0.033) and in the control group (P < 0.001). Diagnostic performance [receiver operating characteristic (ROC) analysis, hippocampal head Glu/Cr ratio for lateralization: Sensitivity 88.9%, Specificity 70.4%, area under the curve (AUC) = 0.859]. Hippocampal volume ratio for lateralization: Specificity 88.9%, Sensitivity 70.4% (AUC = 0.808). Combined diagnosis (Glu/Cr + volume ratio): Sensitivity 81.5%, Specificity 96.3% (AUC = 0.941).Conclusions This study confirms the presence of specific glutamate excitotoxicity (↑Glu/Cr) and structural atrophy in the affected hippocampal head of TLE patients. The combined application of hippocampal head Glu/Cr ratio (high sensitivity) and hippocampal volume ratio (high specificity) significantly enhances the efficacy for lateralizing the epileptogenic focus (AUC = 0.941), outperforming either single metric. This multimodal MRI biomarker combination provides a high-value tool for non-invasive pre-surgical localization in drug-refractory TLE.
[关键词] 药物难治性癫痫;磁共振成像;氢质子磁共振波谱;智能脑分割技术;海马体积占比;海马
[Keywords] drug-resistant epilepsy;magnetic resonance imaging;proton magnetic resonance spectroscopy;intelligence brain segmentation technology;hippocampal volume ratio;hippocampus

段小玲 1, 2, 3   刘镇业 1   杨超 2   王晓阳 2   廖应泳 2   林巧 4   许尚文 2   李辉 1, 2, 3*  

1 福建医科大学福总临床医学院放射诊断科,福州 350025

2 中国人民联勤保障部队第九〇〇医院放射诊断科,福州 350025

3 福建中医药大学福总教学医院(第九〇〇医院)放射诊断科,福州 350025

4 中国人民联勤保障部队第九〇〇医院神经外科,福州 350025

通信作者:李辉,E-mail:582788441@qq.com

作者贡献声明:李辉设计本研究的方案,对稿件重要内容进行了修改;段小玲起草和撰写稿件,获取、分析和解释本研究的数据;刘镇业、杨超、王晓阳、廖应泳、林巧、许尚文获取、分析或解释本研究的数据,对稿件重要内容进行了修改;许尚文获得了福建省科技计划项目的资助;李辉获得了福建中医药大学校管课题临床专项的资助;全体作者都同意发表最后的修改稿,同意对本研究的所有方面负责,确保本研究的准确性和诚信。


基金项目: 福建省科技计划项目 2024Y9647 福建中医药大学校管课题临床专项 XB2023179
收稿日期:2025-08-11
接受日期:2025-10-13
中图分类号:R445.2  R742.1 
文献标识码:A
DOI: 10.12015/issn.1674-8034.2025.12.008
本文引用格式:段小玲, 刘镇业, 杨超, 等. 基于多模态MRI的海马头谷氨酸兴奋毒性与结构萎缩联合无创定侧难治性颞叶癫痫[J]. 磁共振成像, 2025, 16(12): 52-58. DOI:10.12015/issn.1674-8034.2025.12.008.

0 引言

       癫痫是一种以反复、短暂、刻板性发作为特征的慢性脑部疾病,由神经元异常同步放电引起[1]。2005年卫生部公布我国约有900万以上癫痫患者,其中约20%~30%为临床药物难治性癫痫颞叶癫痫(temporal lobe epilepsy, TLE),占难治性癫痫的50%~80%,是最常见的难治性癫痫[2]。神经外科手术是目前难治性TLE患者最主要的一种治疗手段,术前评估高度依赖对海马结构与功能的精准定位[3]。目前国内外主要采用视频脑电图[4]、脑磁图[5]、MR结构成像[6]等常规方法进行定位定侧检测,但这些方法准确度仍显不足,限制了癫痫手术治疗的效果。近年来,质子磁共振波谱成像(proton magnetic resonance spectroscopy, ¹H-MRS)等分子手段的作用受到越来越多的关注,其可反映神经元损伤和代谢改变[7],为致痫灶定侧提供早期代谢标志。海马体积萎缩作为结构性改变,已被广泛证实与癫痫灶侧向性显著相关[8]。但肉眼识别的结构性改变效能有限,人工智能脑自动分割使得精准且便捷地判定海马体积成为可能[9, 10]。尽管多模态影像在癫痫灶定位中已有探索,但现有研究多为单一模态多指标分析或简单模态叠加,缺乏对代谢参数[如海马头谷氨酸(glutamic acid, Glu)/肌酸(creatine, Cr)]与智能脑分割技术量化的结构参数(如海马体积占比)的系统性整合及二者联合判定致痫灶侧别的效能验证。为此,本研究联合应用¹H-MRS技术与高精度自动脑分割技术,测定代谢指标[N-乙酰天门冬氨酸(N-acetyl-aspartate, NAA)/Cr、Glu/Cr等比值],捕捉癫痫相关兴奋毒性及神经元损伤的生化特征;量化结构参数(海马体积及占比),评估神经元丢失与胶质增生的形态学后果;最后分析二者整合对致痫灶侧别判定的诊断效能,从而探索其在指导选择性海马切除术规划中的潜在价值,为优化术前无创定位提供多模态影像学依据。

1 材料与方法

1.1 一般资料

       本研究为基于前瞻性影像数据采集的观察性队列研究,部分诊断依据含回顾性成分。于2019年7月至2021年7月期间纳入我院经临床评估及脑电图(包括常规头皮脑电图及长程视频脑电图监测)确诊的TLE患者27例作为TLE组[男14例,女13例;年龄(33.22±10.49)岁;病程范围6个月至31年]。同时,招募年龄、性别相匹配的健康志愿者27例作为正常对照组[男14例,女13例;年龄(31.85±10.68)岁]。所有TLE组患者在入组前均接受系统的临床神经学检查、常规头皮脑电图及长程视频脑电图监测。入组要求为监测期间记录到至少一次明确的、起源于右侧或左侧颞叶的癫痫发作(以发作期脑电图改变为关键依据)。此综合评估结果作为致痫灶侧别判定的参考标准。

       TLE组纳入标准:(1)年龄范围7~55周岁,且首次癫痫发作年龄≤30周岁;(2)依据国际抗癫痫联盟(International League Against Epilepsy, ILAE)相关诊断标准[11],结合详细临床病史、脑电图监测(发作间期及发作期)及神经影像学MRI检查结果综合确诊为TLE;(3)无精神疾病史、神经系统疾病史(除癫痫外)、严重颅脑外伤史及其他重大慢性系统性疾病史。对照组纳入标准:(1)年龄、性别及受教育程度与TLE组相匹配;(2)无癫痫、神经系统疾病、精神疾病及严重慢性系统性疾病史。TLE组和对照组共同的排除标准:(1)合并未控制的糖尿病、高血压,或患有心脑血管疾病、肾衰竭及其他严重系统性疾病;(2)有明确的中重度颅脑外伤史、酗酒史(酒精依赖),或长期(指持续使用超过1个月)使用除抗癫痫药物外可能影响中枢神经系统功能的药物(如精神类药物、镇静催眠药等);(3)存在习惯性晕厥、短暂性脑缺血发作、偏头痛、癔症性发作或其他可能干扰脑功能或脑电图评估结果的神经系统或精神障碍。本研究方案遵守《赫尔辛基宣言》,并已通过我院伦理委员会的审查并获批准(伦审科第2019-005号)。所有受试者在参与本研究前均已充分了解研究内容,并签署书面知情同意书。对于未成年受试者,由其法定监护人签署知情同意书。

1.2 MRI检查

       MRI检查于本院医学影像中心进行,采用德国西门子公司生产的Siemens Trio Tim 3.0 T超导磁共振成像系统,配备12通道相控阵头线圈。首先进行全脑矢状位三维T1加权成像(3-dimensional T1-weighted imaging, 3D-T1WI)扫描。扫描参数如下:TR 1900 ms,TE 2.5 ms,矩阵256×256,视野256 mm×256 mm,翻转角9°,层厚1 mm,层间距0 mm。扫描完成后立即回顾图像,若发现任何异常病变则剔除该受试者数据。基于矢状位3D-T1WI图像重建出平行及垂直于海马长轴的定位像用于指导1H-MRS扫描。选取双侧海马作为感兴趣区(voxels of interest, VOI),并在VOI周围施加六条饱和带以抑制周围组织信号干扰。多体素1H-MRS序列参数为:TR 1700 ms,TE 30 ms,信号平均次数(Averages)3,体素大小10 mm×10 mm×10 mm,接收带宽1200 Hz。扫描前进行手动匀场,并应用脂肪抑制及水抑制技术。扫描方向为轴位,总扫描时间395 s。扫描过程中要求受试者保持仰卧位、全身静止、清醒闭眼状态,并平静呼吸,避免进行特定思维活动。

1.3 MRI图像分析

1.3.1 海马体积智能脑分割分析

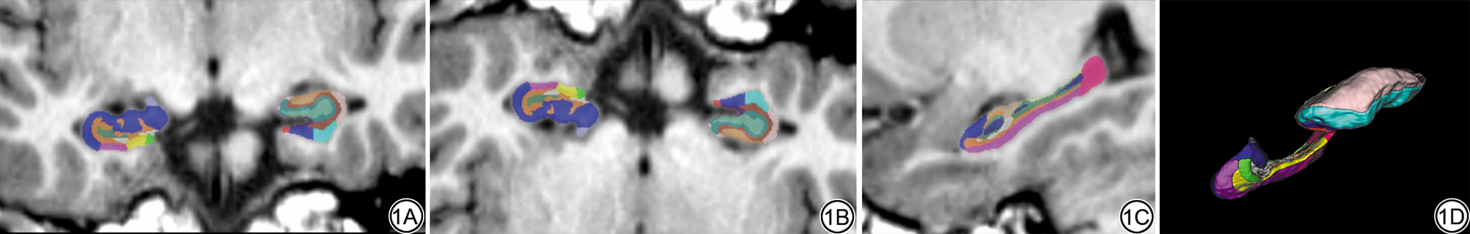
       所有3D-T1WI图像数据传输至联影智能脑分割软件进行处理。使用联影智能科研平台(uAI research portal, uRP;联影智能医疗科技有限公司,上海)[12]自动识别3D-T1WI序列,并基于VB-Net深度学习模型进行全脑结构分割,获取脑组织分割图像及双侧海马体积测量结果[10]。计算双侧海马体积占全脑体积的比值(海马体积占比)(图1)。

图1  T1WI-3D智能脑分割海马的冠状位(1A)、轴位(1B)、矢状位(1C)及重建图像(1D)。
Fig. 1  Coronal view (1A), axial view (1B), sagittal view (1C), and reconstructed image (1D) of the hippocampus from T1WI-3D intelligent brain segmentation.

1.3.2 1H-MRS数据分析

       所有1H-MRS原始数据在德国Siemens Syngovia工作站进行处理。波谱分析软件自动完成相位校正、基线校正、零填充、傅里叶变换及谱线拟合,并自动生成各体素的Glu/Cr及NAA/Cr比值。由两名高年资专科医师(工作10年以上且取得执业医师证书的神经影像专科医师)独立在工作站上对27例TLE患者及27例健康对照者的双侧海马头、体、尾的Glu/Cr及NAA/Cr比值进行测量,记录其平均值(图2)。同步对两名医师的测量结果进行一致性验证,确保代谢指标量化的可靠性。

图2  颞叶癫痫(TLE)患者谷氨酸(Glu)波谱图像。TLE患者,女,48岁,健侧(2A)及患侧(2B)海马头Glu波谱,患侧海马头Glu峰较健侧升高,患侧海马头N-乙酰天门冬氨酸(NAA)峰较健侧NAA峰稍减低,肌酸(Cr)峰的化学位移位置为3.2 ppm处,Glu峰位于2.25 ppm处,NAA位于2.02 ppm处。
Fig. 2  Glutamate spectroscopic images of patients with temporal lobe epilepsy (TLE). Glutamate spectroscopic images of patients with temporal lobe epilepsy (TLE). For a 48-year-old female TLE patient, 2A shows the glutamate spectrum of the hippocampal head on the contralateral (unaffected) side, and 2B shows that on the ipsilateral (affected) side. The glutamate (Glu) peak in the hippocampal head of the affected side is higher than that of the unaffected side, while the N-acetyl-aspartate (NAA) peak in the hippocampal head of the affected side is slightly lower than that of the unaffected side. The chemical shift of the creatine (Cr) peak is at 3.2 ppm, the glutamate peak is at 2.25 ppm, and the NAA peak is at 2.02 ppm.

1.4 病理学检查

       对接受手术的TLE患者,其海马组织病理处理流程如下:切除海马组织经4%多聚甲醛溶液固定,石蜡包埋后行冠状位连续切片(厚度4 μm);组织学评估:由2名神经病理医师依据ILAE海马硬化分型标准[13]盲法评估。阳性标准:(1)CA1/CA4区锥体神经元丢失≥30%;(2)齿状回颗粒细胞层局灶离散;(3)反应性胶质增生(GFAP染色阳性)。分歧解决:2名医师结论不一致时由第三位资深病理医师仲裁。

1.5 统计学分析

       采用SPSS 26.0软件进行统计分析。计量资料首先进行正态性(Shapiro-Wilk检验)及方差齐性(Levene检验)检验。符合正态分布且方差齐性的计量资料以均数±标准差(x¯±s)表示,组间比较采用独立样本t检验,组内比较(患侧 vs. 健侧)采用配对样本t检验。不符合正态分布或方差不齐的计量资料以中位数(四分位数间距)[M (Q1, Q3)]表示,组间比较采用Mann-Whitney U检验,组内比较采用Wilcoxon符号秩检验。计数资料以例数表示。以P<0.05为差异具有统计学意义。对具有统计学意义的指标进一步绘制受试者工作特征(receiver operating characteristic, ROC)曲线,计算曲线下面积(area under the curve, AUC)、敏感度、特异度、阳性预测值(positive predictive value, PPV)和阴性预测值(negative predictive value, NPV)。采用二元逻辑回归模型整合联合诊断指标:以“是否为TLE患侧”为二分类因变量(患侧=1,健侧=0),“海马头Glu/Cr比值”和“海马体积占比”为连续自变量,计算联合预测概率,用于后续ROC曲线分析以评估定侧效能。此外,采用组内相关系数(intra-class correlation coefficient, ICC)评估,由两名高年资专科医师测量海马头、体、尾Glu/Cr及NAA/Cr比值的一致性,判定标准为:ICC在0.70~0.89之间为中等至良好一致性,ICC≥0.90为优秀一致性。

2 结果

2.1 一般临床资料

       本研究共纳入TLE组患者27例(男14例,女13例)及健康对照组27例(男14例,女13例)。两组人群的人口学特征分析显示TLE组与对照组的性别构成比均为14∶13(男∶女),经χ2检验(χ2=0.000,P>0.999)确认组间差异无统计学意义。TLE组年龄为(33.22±10.49)岁,对照组为(31.85±10.68)岁。采用独立样本t检验进行组间比较(t=0.476,P=0.636),结果显示两组年龄差异无统计学意义。

2.2 TLE组患侧与健侧海马头、体、尾Glu/Cr、NAA/Cr值及海马体积占比

       27例患者均采用临床评估(发作症状、影像学异常等)+长程视频脑电图综合判定致痫灶侧别[符合《癫痫外科诊疗指南(2022年版)》推荐标准],其中15例手术患者的术后病理结果与该综合标准定侧完全一致;12例非手术患者通过临床指标交叉验证、EEG阈值判定或多医生盲法仲裁明确侧别,并完成6个月随访以确证定侧结果,所有患者定侧标准统一且结果可靠。

       两名高年资专科医师独立测量Glu/Cr、NAA/Cr比值的一致性检验结果显示:Glu/Cr比值的ICC为0.77,NAA/Cr比值的ICC为0.79,均达到中等至良好一致性水平(ICC:0.70~0.89),表明本研究¹H-MRS代谢指标的测量结果具有可靠的操作一致性,无显著测量偏倚。

       TLE组患侧海马头的Glu/Cr比值高于健侧海马,差异具有统计学意义(P=0.012),TLE组患侧海马体、海马尾的Glu/Cr值较健侧海马Glu/Cr值差异无统计学意义,TLE组患侧海马头、海马体、海马尾的NAA/Cr值较健侧海马NAA/Cr值差异无统计学意义。TLE组患者患侧海马体积占比低于健侧海马体积占比,差异具有统计学意义(P=0.033)(表1)。

表1  TLE组患侧与健侧海马头、体、尾Glu/Cr、NAA/Cr值及海马体积占比
Tab. 1  Glu/Cr ratio, NAA/Cr ratio, and hippocampal volume proportion in the head, body, and tail of the hippocampus between the affected side and unaffected side in the TLE group

2.3 TLE组患侧与正常对照组海马头、体、尾Glu/Cr、NAA/Cr值及海马体积占比

       TLE组患侧海马头的Glu/Cr比值高于正常对照组(P<0.001)。患侧海马体、海马尾的Glu/Cr比值及患侧海马头、体、尾的NAA/Cr比值与正常对照组相应区域比较,差异均无统计学意义(P>0.05)。TLE组患侧海马体积占比低于正常对照组(P<0.001)(表2)。

表2  TLE组患侧与正常对照组海马头、体、尾Glu/Cr、NAA/Cr值及海马体积占比
Tab. 2  Glu/Cr ratio, NAA/Cr ratio, and hippocampal volume ratio in the head, body, and tail of the hippocampus between the affected side of the TLE group and the normal control group

2.4 海马体积占比、海马头Glu/Cr对药物难治性癫痫的定侧诊断效能

       ROC曲线分析(图3表3)显示,1H-MRS技术测得的患侧海马头Glu/Cr比值对TLE定侧诊断的敏感度为88.9%,特异度为70.4%,AUC为0.859(95% CI:0.761~0.956,P<0.001),海马体积占比对TLE定侧诊断的敏感度为70.4%,特异度为88.9%,AUC为0.808(95% CI:0.683~0.933,P<0.001)。将海马体积占比与海马头Glu/Cr比值联合应用时,对TLE定侧诊断的敏感度为81.5%,特异度为96.3%,AUC为0.941(95% CI:0.877~1.000,P<0.001)。DeLong检验结果显示联合指标和海马体积占比的AUC值比较差异有统计学意义(Z=2.445,P=0.014),海马头Glu/Cr和海马体积占比的AUC值比较差异无统计学意义(Z=0.615,P=0.539),联合指标和海马头Glu/Cr的AUC值比较差异无统计学意义(Z=-1.880,P=0.060)。

图3  海马头Glu/Cr、海马体积占比对药物难治性癫痫的定侧诊断效能。Glu:谷氨酸;Cr:肌酸。
Fig. 3  Lateralization diagnostic efficacy of hippocampal head Glu/Cr ratio and hippocampal volume proportion in drug-resistant epilepsy. Glu: glutamic acid; Cr: creatine.
表3  海马头Glu/Cr、海马体积占比对药物难治性癫痫的定侧诊断效能
Tab. 3  Lateralization diagnostic efficacy of hippocampal head Glu/Cr ratio and hippocampal volume proportion in drug-resistant epilepsy

3 讨论

       本研究使用1H-MRS量化TLE患者脑内代谢物浓度(如NAA/Cr、Glu/Cr等比值)与量化结构参数(海马体积占比),多模态整合分析发现患侧海马头存在特异性Glu兴奋毒性和结构萎缩。海马头Glu/Cr比值与海马体积占比的联合应用能显著提升致痫灶定侧效能,为药物难治性TLE的术前无创定位提供了高价值的影像学标志物组合。目前已有PIMENTEL-SILVA等[14]使用¹H-MRS技术测量TLE患者代谢分析[14]以及宋立罡等学者使用智能脑分割技术用于TLE患者的海马结构分析,但国内外文献很少涉及两者协同优化TLE患者致痫灶侧别判定的报道。本研究的核心创新在于多模态整合策略的提出与验证,填补了致痫灶无创定位中代谢-形态学联合分析的空白。

3.1 TLE中海马硬化的病理机制与代谢标志物研究

       海马硬化(hippocampal sclerosis, HS)是TLE尤其是内侧颞叶癫痫(mesial temporal lobe epilepsy, MTLE)的核心病理改变[15]。临床治疗上,手术切除硬化海马组织是药物难治性MTLE的首选方案,但需权衡术后认知障碍风险;非手术患者可考虑神经调控疗法或靶向抑制小胶质细胞活化的新型治疗手段[16]。检测海马区Glu和NAA的代谢变化对监测癫痫相关HS具有重要价值[14]。NAA是神经元完整性的标志物,其水平降低反映神经元损伤或丢失,Glu作为主要的兴奋性神经递质,其异常升高与癫痫的兴奋毒性机制密切相关,而Cr在脑组织中的浓度相对稳定,常作为代谢物比值的分母以校正技术误差[17]。因此,Glu/Cr和NAA/Cr比值能更可靠地反映病理生理变化,NAA/Cr作为神经元完整性标志物,其比值下降不仅反映慢性神经元损伤,更能在MRI结构正常时区分硬化组织,同时与认知功能(蒙特利尔认知评估量表)呈显著正相关[18]。而Glu/Cr通过GluCEST技术无创检测,可直接表征兴奋毒性状态,其特征性异常升高不仅早于结构性改变,且与致痫灶定位高度一致[19]。二者协同作用可全面捕捉HS的神经元损伤与兴奋性失衡[18]

3.2 TLE患者患侧与健侧海马头Glu/Cr比值的差异及机制解释

       本研究发现TLE患者患侧海马头Glu/Cr比值高于健侧(P=0.012),这种异常在海马头区域具有显著特异性,其机制可从三方面解释:首先海马头(特别是CA1亚区)在mTLE中表现出更剧烈的神经元丢失与胶质增生[20];其次作为嗅觉信息整合枢纽,该区域富集高密度谷氨酸能神经元及突触连接[21];此外海马头-杏仁核基底外侧核通路作为边缘系统关键网络,其体积缩减与认知功能下降直接相关[22]。TLE患者患侧海马体、尾Glu/Cr比值与健侧海马体、尾Glu/Cr比值差异无统计学意义,可能是海马体/尾部因较少参与前颞叶网络,病理受累程度较轻[23]代谢差异不大。海马头是谷氨酸兴奋毒性的核心靶区,其Glu/Cr比值可作为TLE早期病理进展的敏感标志[19]。值得注意的是,文献报道海马谷氨酸浓度升高与萎缩程度呈强相关性(R2=0.75, P<0.0001),尤其当浓度超过5 μM阈值时,萎缩风险急剧增加[19]

3.3 TLE患者NAA/Cr比值的表现、敏感性不足原因及病理时序规律

       本研究发现NAA/Cr比值在患侧与健侧海马各亚区间差异无统计学意义(P>0.05)。即NAA/Cr比值对TLE患侧损害的敏感性不足,可能源于神经元丢失尚未达到NAA检测阈值,或因胶质增生补偿效应干扰NAA信号,加之海马亚区损伤异质性导致局部NAA下降被其他区域代偿掩盖[24]。这一矛盾现象提示重要病理时序规律[25]即兴奋毒性(表现为Glu/Cr升高)可能先于显著的神经元损伤(NAA/Cr不变)。因此,NAA/Cr比值需与其他代谢标志物(如Cho/Cr、mI/Cr)及结构性参数(如海马体积不对称性)整合分析,才能全面评估神经元损伤[25, 26]

3.4 海马代谢指标与结构参数整合技术对定侧难治性TLE新探索

       鉴于上述代谢异常(即显著的谷氨酸兴奋毒性升高和尚未达显著差异阈值的神经元损伤标记物),海马结构的改变在TLE患者术前评估中具有决定性价值,作为药物难治性TLE诊疗的核心手段[27]。结构磁共振成像(structural magnetic resonance imaging, sMRI)所识别的海马萎缩是预测术后癫痫控制效果的关键指标[27]。本研究也发现TLE组患侧海马体积占比低于健侧(P<0.001),并且这一结构损伤现象可视为代谢异常的终末病理后果—即谷氨酸兴奋毒性持续累积(Glu/Cr升高)导致的神经元进行性丢失[19]。该结果与既往研究高度吻合,例如TLE伴HS患者普遍存在全海马萎缩,其中基底外侧杏仁核与皮质杏仁核复合体的体积缩减与认知功能下降直接相关[28];同样地,左利手TLE患者术前MRI也显示左侧海马体积较对照组显著减小(P=0.006 9)[29]。这些结构性的改变可能进一步解释TLE患者典型的临床表现,如记忆功能障碍[30, 31]

       随后的诊断效能分析进一步印证了多模态整合的价值,海马体积占比对TLE患者定患侧的特异度突出(88.9%),但敏感度相对有限(70.4%,AUC=0.808);相反地,¹H-MRS代谢指标(海马头Glu/Cr)则呈现出高敏感度(88.9%,AUC=0.859)而特异度较低(70.4%)的特点。然而,当二者联合应用时,诊断特异度显著提升至96.3%(AUC=0.941),同时敏感度保持在81.5%的水平。这一对比揭示了以下规律:Glu/Cr比值尽管对早期兴奋毒性敏感,却需要联合结构性体积参数才能实现高特异度定位(96.3%),从而彰显了二者的互补价值[32]。由此带来的直接临床获益在于联合方案的高特异度可减少对Wada试验等侵袭性检查的依赖,这尤其适用于MRI阴性或海马硬化不典型的病例[33]

3.5 本研究的局限性与未来研究方向

       本研究采用前瞻性设计以降低选择性偏倚风险,通过自动分割技术(如深度学习方法)实现海马亚区变化的精准量化,从而提升病灶定位准确性,这与LUCAS等[34]利用7 T MRI证明了癫痫中广泛的海马体和丘脑萎缩的观点部分一致,同时向WU等[35]学习结合¹H-MRS检测MRI阴性TLE患者的代谢异常,以探索潜在生物标志物。但本研究存在以下局限性,首先,样本量较小(n=27),以及未进行病程分层分析,未来研究亟待扩大队列规模进行验证。其次,本研究影像学功能检查的Glu/Cr与海马体积结果分析中,暂未充分纳入抗癫痫药物的干扰,可能造成结论偏差,未来将结合临床随访数据,动态评估抗癫痫药物影响。此外,本研究采用的基于 VB-Net深度学习的智能脑分割软件,虽其核心技术与已发表研究中经ADNI数据集验证的框架高度同源(海马分割Dice系数达0.88以上),但该自动脑分割软件的准确性未在本研究的数据中进行验证。

4 结论

       TLE患者致痫侧海马存在Glu代谢升高及体积萎缩的特征性改变;单一使用海马头Glu/Cr或海马体积占比可用于致痫侧定侧,但联合二者可显著提升诊断效能,是TLE致痫灶定位的更优影像学评估策略。

[1]
USUI K, TERADA K, INOUE Y. Diagnostic approach for studying epileptic seizure[J]. Rinsho Shinkeigaku, 2012, 52(11): 857-860. DOI: 10.5692/clinicalneurol.52.857.
[2]
MARTINEZ B, PEPLOW P V. MicroRNAs as potential biomarkers in temporal lobe epilepsy and mesial temporal lobe epilepsy[J]. Neural Regen Res, 2023, 18(4): 716-726. DOI: 10.4103/1673-5374.354510.
[3]
SINGH J, EBERSOLE J S, BRINKMANN B H. From theory to practical fundamentals of electroencephalographic source imaging in localizing the epileptogenic zone[J]. Epilepsia, 2022, 63(10): 2476-2490. DOI: 10.1111/epi.17361.
[4]
ARENDS J B A M. Movement-based seizure detection[J]. Epilepsia, 2018, 59Suppl 1: 30-35. DOI: 10.1111/epi.14053.
[5]
ZHOU D J, GUMENYUK V, TARASCHENKO O, et al. Visualization of the Spatiotemporal Propagation of Interictal Spikes in Temporal Lobe Epilepsy: A MEG Pilot Study[J]. Brain Topogr, 2024, 37(1): 116-125. DOI: 10.1007/s10548-023-01017-z.
[6]
MIDDLEBROOKS E H, HOEF L VER, SZAFLARSKI J P. Neuroimaging in Epilepsy[J/OL]. Curr Neurol Neurosci Rep, 2017, 17(4): 32 [2025-08-11]. https://doi.org/10.1007/s11910-017-0746-x. DOI: 10.1007/s11910-017-0746-x.
[7]
QU B, TAN H, XIAO M, et al. Evaluation of the diagnostic utility on 1.5T and 3.0T 1H magnetic resonance spectroscopy for temporal lobe epilepsy[J/OL]. BMC Med Imaging, 2023, 23(1): 185 [2025-08-11]. https://doi.org/10.1186/s12880-023-01136-w. DOI: 10.1186/s12880-023-01136-w.
[8]
THEODORE W H, GAILLARD W D, DE CARLI C, et al. Hippocampal volume and glucose metabolism in temporal lobe epileptic foci[J]. Epilepsia, 2001, 42(1): 130-132. DOI: 10.1046/j.1528-1157.2001.080874.x.
[9]
宋立罡, 许尚文. 海马体积自动分割在内侧颞叶癫痫中的价值[J]. 福建医药杂志, 2025, 47(3): 1-4. DOI: 10.20148/j.fmj2025.03.001.
SONG L G, XU S W. The Value of Automatic Hippocampal Volumetry in Mesial Temporal Lobe Epilepsy[J]. Fujian Medical Journal, 2025, 47(3): 1-4. DOI: 10.20148/j.fmj2025.03.001.
[10]
MENZLER K, HAMER H M, MROSS P, et al. Validation of automatic MRI hippocampal subfield segmentation by histopathological evaluation in patients with temporal lobe epilepsy[J]. Seizure, 2021, 87: 94-102. DOI: 10.1016/j.seizure.2021.03.007.
[11]
FISHER R S, CROSS J H, D'SOUZA C, et al. Instruction manual for the ILAE 2017 operational classification of seizure types[J]. Epilepsia, 2017, 58(4): 531-542. DOI: 10.1111/epi.13671.
[12]
ZHU H, ADELI E, SHI F; Alzheimer's Disease Neuroimaging Initiative. FCN Based Label Correction for Multi-Atlas Guided Organ Segmentation[J]. Neuroinformatics, 2020, 18(2): 319-331. DOI: 10.1007/s12021-019-09448-5.
[13]
BLÜMCKE I, ARONICA E, MIYATA H, et al. International recommendation for a comprehensive neuropathologic workup of epilepsy surgery brain tissue: A consensus Task Force report from the ILAE Commission on Diagnostic Methods[J]. Epilepsia, 2016, 57(3): 348-358. DOI: 10.1111/epi.13319.
[14]
PIMENTEL-SILVA L R, CASSEB R F, CORDEIRO M M, et al. Interactions between in vivo neuronal-glial markers, side of hippocampal sclerosis, and pharmacoresponse in temporal lobe epilepsy[J]. Epilepsia, 2020, 61(5): 1008-1018. DOI: 10.1111/epi.16509.
[15]
ZHAO T, CUI X, ZHANG X, et al. Hippocampal sclerosis: A review on current research status and its mechanisms[J/OL]. Ageing Res Rev, 2025, 108: 102716 [2025-08-11]. https://doi.org/10.1016/j.arr.2025.102716. DOI: 10.1016/j.arr.2025.102716.
[16]
SOBSTYL M, KOWALSKA M, KONOPKO M, et al. Deep brain stimulation of the subiculum in the treatment for refractory temporal lobe epilepsy due to unilateral mesial temporal lobe sclerosis[J/OL]. Epilepsy Behav Rep, 2024, 27: 100677 [2025-08-11]. https://doi.org/10.1016/j.ebr.2024.100677. DOI: 10.1016/j.ebr.2024.100677.
[17]
DE STEFANO F A, MORELL A A, SMITH G, et al. Unique magnetic resonance spectroscopy profile of intracranial meningiomas compared to gliomas: a systematic review[J]. Acta Neurol Belg, 2023, 123(6): 2077-2084. DOI: 10.1007/s13760-022-02169-8.
[18]
ZENG Z, HE J, YAO T. Characteristic early changes of Glu and Cho in brain regions affected by different types of subjective cognitive decline and their clinical significance[J/OL]. Medicine (Baltimore), 2023, 102(49): e36457 [2025-08-11]. https://doi.org/10.1097/MD.0000000000036457. DOI: 10.1097/MD.0000000000036457.
[19]
CAVUS I, PAN J W, HETHERINGTON H P, et al. Decreased hippocampal volume on MRI is associated with increased extracellular glutamate in epilepsy patients[J]. Epilepsia, 2008, 49(8): 1358-1366. DOI: 10.1111/j.1528-1167.2008.01603.x.
[20]
MOGHADDAM H S, AARABI M H, MEHVARI-HABIBABADI J, et al. Distinct patterns of hippocampal subfield volume loss in left and right mesial temporal lobe epilepsy[J]. Neurol Sci, 2021, 42(4): 1411-1421. DOI: 10.1007/s10072-020-04653-6.
[21]
LAM J, DUBOIS J M, ROWLEY J, et al. In vivo hippocampal cornu ammonis 1-3 glutamatergic abnormalities are associated with temporal lobe epilepsy surgery outcomes[J]. Epilepsia, 2021, 62(7): 1559-1568. DOI: 10.1111/epi.16952.
[22]
BALLERINI A, TALAMI F, MOLINARI M A, et al. Exploring the relationship between amygdala subnuclei volumes and cognitive performance in left-lateralized temporal lobe epilepsy with and without hippocampal sclerosis[J/OL]. Epilepsy Behav, 2023, 145: 109342 [2025-08-11]. https://doi.org/10.1016/j.yebeh.2023.109342. DOI: 10.1016/j.yebeh.2023.109342.47427.
[23]
ALLERINI A, ARIENZO D, STASENKO A, et al. Spatial patterns of gray and white matter compromise relate to age of seizure onset in temporal lobe epilepsy[J/OL]. Neuroimage Clin, 2023, 39: 103473 [2025-08-11]. https://doi.org/10.1016/j.nicl.2023.103473. DOI: 10.1016/j.nicl.2023.103473.
[24]
JUHÁSZ C, HU J, XUAN Y, et al. Imaging increased glutamate in children with Sturge-Weber syndrome: Association with epilepsy severity[J]. Epilepsy Res, 2016, 122: 66-72. DOI: 10.1016/j.eplepsyres.2016.02.010.
[25]
LOPEZ-ACEVEDO M L, MARTINEZ-LOPEZ M, FAVILA R, et al. Secondary MRI-findings, volumetric and spectroscopic measurements in mesial temporal sclerosis: a multivariate discriminant analysis[J/OL]. Swiss Med Wkly, 2012, 142: w13549 [2025-08-11]. https://doi.org/10.4414/smw.2012.13549. DOI: 10.4414/smw.2012.13549.
[26]
CHANG K H, KIM H D, PARK S W, et al. Usefulness of single voxel proton MR spectroscopy in the evaluation of hippocampal sclerosis[J]. Korean J Radiol, 2000, 1(1): 25-32. DOI: 10.3348/kjr.2000.1.1.25.
[27]
BIAGIOLI N, PARFYONOV M, MELETTI S, et al. ILAE neuroimaging task force highlight: The utility of multimodal neuroimaging in diagnostic and presurgical workup of drug-resistant focal epilepsy[J]. Epileptic Disord, 2025, 27(3): 439-450. DOI: 10.1002/epd2.70016.
[28]
RIPART M, DEKRAKER J, ERIKSSON M H, et al. Automated and Interpretable Detection of Hippocampal Sclerosis in Temporal Lobe Epilepsy: AID-HS[J]. Ann Neurol, 2024, 97(1): 62-75. DOI: 10.1002/ana.27089.
[29]
BOCHYŃSKA A, WITKOWSKI G, GUGAŁA-IWANIUK M, et al. Volume changes of medial temporal lobe structures in patients with genetic generalized and temporal lobe epilepsy in relation to neuropsychological functions[J]. Postep Psychiatr Neurol, 2022, 31(4): 143-150. DOI: 10.5114/ppn.2022.125029.
[30]
STASENKO A, KAESTNER E, ARIENZO D, et al. Preoperative white matter network organization and memory decline after epilepsy surgery[J]. J Neurosurg, 2023, 139(6): 1576-1587. DOI: 10.3171/2023.4.JNS23347.
[31]
LEE T H, SHIH Y C, LU Y J, et al. Glucose Metabolism of Hippocampal Subfields in Medial Temporal Lobe Epilepsy[J]. Clin Nucl Med, 2024, 49(4): 294-300. DOI: 10.1097/RLU.0000000000005105.
[32]
JAMALIPOUR SOUFI G, HEKMAT NIA A, HAJALIKHANI P, et al. Correlation of magnetic resonance spectroscopy and magnetic resonance imaging with findings of electroencephalography in patients with temporal lobe epilepsy[J]. J Med Radiat Sci, 2024, 71(1): 51-56. DOI: 10.1002/jmrs.718.
[33]
KHALIFE L, NASREDDINE W, JAAFAR F, et al. Selective correlation of hippocampal volumes with WADA memory scores in mesial temporal sclerosis patients[J/OL]. Front Neurol, 2025, 16: 1507846 [2025-08-11]. https://doi.org/10.3389/fneur.2025.1507846. DOI: 10.3389/fneur.2025.1507846.
[34]
LUCAS A, MOUCHTARIS S, TRANQUILLE A, et al. Mapping hippocampal and thalamic atrophy in epilepsy: A 7-T magnetic resonance imaging study[J]. Epilepsia, 2024, 65(4): 1092-1106. DOI: 10.1111/epi.17908.
[35]
WU S, WANG Q, ZHAI H, et al. γ-Aminobutyric acid as a biomarker of the lateralizing and monitoring drug effect in patients with magnetic resonance imaging-negative temporal lobe epilepsy[J/OL]. Front Neurosci, 2023, 17: 1184440 [2025-08-11]. https://doi.org/10.3389/fnins.2023.1184440. DOI: 10.3389/fnins.2023.1184440.

上一篇 阿尔茨海默病患者脑结构形态学改变与认知功能的相关性研究
下一篇 基于rs-fMRI图论分析研究不同负荷脑小血管病患者脑功能网络变化
  
诚聘英才 | 广告合作 | 免责声明 | 版权声明
联系电话:010-67113815
京ICP备19028836号-2