分享:
分享到微信朋友圈
X
临床研究
脑小血管病总负荷严重程度对皮层及皮层下结构和功能的影响
张琴 王杰 李芸菲 冯田钰怡 王媚媚 赵小虎

本文引用格式:张琴, 王杰, 李芸菲, 等. 脑小血管病总负荷严重程度对皮层及皮层下结构和功能的影响[J]. 磁共振成像, 2026, 17(2): 36-42. DOI:10.12015/issn.1674-8034.2026.02.006.


[摘要] 目的 采用结构和静息态功能MRI(resting-state functional MRI, rs-fMRI)技术探讨脑小血管病(cerebral small vessel disease, CSVD)总负荷严重程度对皮层脑区及皮层下核团结构和功能的影响及其与认知功能之间的关系。材料与方法 本研究共纳入120例CSVD患者,采集了包括T1加权成像(T1-weighted imaging, T1WI)、T2加权成像(T2-weighted imaging, T2WI)、液体衰减反转恢复(fluid attenuated inversion recovery, FLAIR)、磁敏感加权成像(susceptibility-weighted imaging, SWI)、rs-fMRI数据,并进行了认知量表评估。在MRI对应序列上分别评估脑白质高信号(white matter hyperintensities, WMH)、扩大的血管周围间隙(enlarged perivascular spaces, ePVS)、腔隙、脑微出血(cerebral microbleeds, CMBs)这4种CSVD影像学标志物,计算总负荷分数,根据得分(1~4分)分为4组。结构分析使用基于体素的形态学分析(voxel-based morphometry, VBM),并根据Schaefer-400图谱定义的400个皮层脑区和Tian皮层下核团图谱定义的32个皮层下核团划分出感兴趣区(region of interest, ROI)。功能上在全脑体素水平上计算局部一致性(regional homogeneity, ReHo)值,评估局部神经活动的一致性。利用协方差分析(analysis of covariance, ANCOVA)比较 4 组间 ROI灰质体积和ReHo值差异。利用斯皮尔曼相关分析评估差异脑区与认知评分的相关性。结果 结构MRI分析显示,随着CSVD负荷评分的升高,左侧丘脑(背侧前部及后部)和左侧感觉运动皮层(如中央前回、顶上小叶)的灰质体积呈区域特异性进行性减小(F值范围:7.533~9.643,所有P值经 Bonferroni 校正后差异均具有统计学意义)。值得注意的是,最高负荷组(CSVD 4)表现出最严重的灰质体积丢失。与此同时,功能MRI分析显示,高负荷组(特别是CSVD 4)在左侧丘脑和左侧颞极的ReHo值显著升高(具体为CSVD 4>CSVD 2和CSVD 4>CSVD 3;所有P值经FDR校正后差异均具有统计学意义)。然而,在多重比较校正后,这些结构或功能指标与认知量表(简易精神状态检查、蒙特利尔认知评估)评分之间差异无统计学意义。结论 CSVD总负荷升高伴随“丘脑-感觉运动皮层结构萎缩+局部功能积极代偿”双模式改变,为理解其认知损害机制提供了新的影像学标志物;但其与认知表现的相关性仍需大样本及纵向设计进一步验证。
[Abstract] Objective This study employed structural and resting-state functional MRI techniques to investigate the effects of cerebral small vessel disease (CSVD) total burden severity on the structure and function of cortical regions and subcortical nuclei, and their relationship with cognitive function.Materials and Methods A total of 120 CSVD patients underwent brain MRI scans, including T1-weighted imaging (T1WI), T2-weighted imaging (T2WI), fluid attenuated inversion recovery (FLAIR), susceptibility-weighted imaging (SWI), and resting-state functional MRI (rs-fMRI). Cognitive function was assessed using neuropsychological scales. Four CSVD imaging markers — white matter hyperintensities (WMH), enlarged perivascular spaces (ePVS), lacunes, and cerebral microbleeds (CMBs) — were evaluated on corresponding MRI sequences. A total CSVD burden score (ranging from 0 to 4) was calculated for each patient, who was then divided into four groups (scores 1 to 4). For structural analysis, voxel-based morphometry (VBM) was employed, and region of interest (ROI) were defined using the Schaefer-400 atlas (400 cortical parcels) and the Tian subcortical atlas (32 subcortical nuclei). For functional analysis, regional homogeneity (ReHo) values were computed voxel-wise across the whole brain to assess local neural activity. Analysis of covariance (ANCOVA) was used to compare differences in ROI gray matter volume and ReHo values among the four groups. Spearman's rank correlation analysis was performed to evaluate the association between significant brain regions and cognitive scores.Results Structural MRI analysis revealed a region-specific atrophy pattern, with progressively reduced gray matter volume in the left thalamus (anterior and posterior dorsal nuclei) and left sensorimotor cortices (e.g., precentral gyrus, superior parietal lobule) in higher CSVD burden groups (F values ranged from 7.533 to 9.643, all P values remained statistically significant after Bonferroni correction). Notably, the highest burden group (CSVD 4) exhibited the most severe GMV loss. Concurrently, functional MRI analysis showed significantly increased ReHo values in the left thalamus and left temporal pole in high CSVD burden groups (specifically CSVD 4 > CSVD 2 and CSVD 4 > CSVD 3; all P values remained statistically significant after FDR correction). However, no significant correlations were observed between these structural or functional metrics and cognitive scores (Mini-Mental State Examination, Montreal Cognitive Assessment) after multiple comparison correction.Conclusions Our findings indicate that increased CSVD total score is accompanied by dual-pattern alterations: "thalamic-somatomotor network structural atrophy" and "active local functional compensation". These findings provide novel neuroimaging biomarkers for understanding the mechanisms of CSVD-related cognitive impairment; however, the direct correlation with cognitive performance requires further validation through larger sample sizes and longitudinal studies.
[关键词] 脑小血管病;总负荷;磁共振成像;磁共振结构成像;磁共振功能成像;丘脑;认知障碍
[Keywords] cerebral small vessel disease;total score;magnetic resonance imaging;structural magnetic resonance imaging;functional magnetic resonance imaging;thalamus;cognitive impairment

张琴    王杰    李芸菲    冯田钰怡    王媚媚    赵小虎 *  

上海市第五人民医院放射科,上海 200240

通信作者:赵小虎,E-mail:xhzhao999@263.net

作者贡献声明::赵小虎设计本研究的方案,对稿件重要内容进行了修改,获得了上海市科学技术委员会“科技创新行动计划”医学创新研究专项项目和闵行区大学科建设项目的资助;张琴起草和撰写稿件,获取、分析和解释本研究的数据;王杰、李芸菲、冯田钰怡、王媚媚获取、分析和解释本研究的数据,对稿件重要内容进行了修改;全体作者都同意发表最后的修改稿,同意对本研究的所有方面负责,确保本研究的准确性和诚信。


基金项目: 上海市科学技术委员会“科技创新行动计划”医学创新研究专项项目 22Y11910800 闵行区大学科建设项目 2024MWDXK03
收稿日期:2025-10-27
接受日期:2026-01-08
中图分类号:R445.2  R743 
文献标识码:A
DOI: 10.12015/issn.1674-8034.2026.02.006
本文引用格式:张琴, 王杰, 李芸菲, 等. 脑小血管病总负荷严重程度对皮层及皮层下结构和功能的影响[J]. 磁共振成像, 2026, 17(2): 36-42. DOI:10.12015/issn.1674-8034.2026.02.006.

0 引言

       脑小血管病(cerebral small vessel disease, CSVD)是导致老年人血管性认知障碍和步态异常的主要原因。作为一种全脑性疾病,CSVD涉及脑内小动脉、微血管及静脉系统的病理改变。目前,诊断CSVD主要依赖于MRI检查[1]。根据2023年最新的脑小血管病国际影像标准-2(Standards for Reporting Vascular Changes on Neuroimaging, STRIVE-2)[2],其主要影像标志物包括:近期皮质下小梗死(recent subcortical small infarcts, RSSI)、可能血管源性腔隙、脑白质高信号(white matter hyperintensities, WMH)、扩大的血管周围间隙(enlarged perivascular spaces, ePVS)、脑微出血(cerebral microbleeds, CMB)、皮层表面铁沉积(cortical superficial siderosis, CSS)、脑萎缩(brain atrophy, BA)和皮层微梗死(cortical microinfarcts, CMI)、偶发DWI阳性病变。

       这些影像学标志物可提示CSVD疾病对脑结构和功能产生的影响,既往研究多聚焦于单一影像标志物对脑结构[3]、脑功能[4]的独立影响,单一指标难以全面反映CSVD对大脑的累积损伤效应[5],因此提出“CSVD总负荷分数”的概念。该评分将WMH、腔隙、ePVS及CMBs这4项指标综合考虑,评分相加后得到总负荷评分,评分越高代表CSVD的总体负荷越重[6]。在CSVD不同总负荷水平下,脑结构完整性和脑功能活动的影响机制尚未完全阐明。

       结构MRI和静息态功能MRI(resting-state functional MRI, rs-fMRI)可无创性检测脑结构和功能变化,为揭示CSVD的病理机制提供了关键手段[7]。目前针对脑结构研究主要侧重于大脑皮层的萎缩,如额顶叶皮层体积减小和执行功能损害相关[8]。脑功能研究多关注全脑功能网络连接的异常[9]。然而,皮层下核团(如丘脑、基底节)作为 CSVD 病变的“震中”,其细微的结构与功能改变却相对被忽视。传统观点多将丘脑视为被动的信息中继核[10],强调其整合、传递作用。然而越来越多的证据表明,丘脑是认知和感觉运动网络的关键枢纽,其损伤直接驱动了认知障碍的发生[11]。因此,本研究不仅探讨CSVD总负荷严重程度对皮层结构和功能的影响,还进一步关注了皮层下核团结构和功能的改变。

       本研究纳入120例不同总负荷程度的CSVD患者,结合了Schaefer-400皮层图谱(定义400个皮层脑区)[12]和Tian皮层下核团图谱(定义32个皮层下核团)[13],精准定位皮层脑区及皮层下核团的灰质体积变化,结合局部一致性(regional homogeneity, ReHo)指标评估局部神经活动的功能重组,同时分析差异脑区指标与简易精神状态检查(Mini-Mental State Examination, MMSE)、蒙特利尔认知评估(Montreal Cognitive Assessment, MoCA)量表评分的相关性,旨在揭示CSVD总负荷如何通过破坏皮层-皮层下结构与功能完整性导致认知受损,为理解CSVD的复杂病理机制提供新视角。

1 材料与方法

1.1 研究对象

       本研究采用回顾性横断面研究设计,纳入2023年6月至2024年6月期间在上海市第五人民医院神经内科确诊的CSVD患者,其中140名被试接受结构及rs-fMRI检查和神经量表测试。对被试图像预处理后,有20名被试因头动过大、配准较差等原因被剔除,最终纳入120名被试。

       纳入标准:(1)年龄>55岁;(2)接受颅脑MRI检查,检查头像可用于CSVD总负荷评分评估;(3)存在影像学诊断证据,总负荷≥1分。排除标准:(1)脑卒中、脑外伤、癫痫或脑肿瘤病史;(2)阿尔茨海默病、帕金森病等其他引起认知障碍的相关疾病;(3)重大精神病或神经疾病史;(4)溶栓史;(5)酒精或药物滥用史;(6)2型糖尿病或严重高血压的急性并发症;(7)视觉或听觉功能严重受损;(8)幽闭恐惧症。

       本研究遵守《赫尔辛基宣言》,并经上海市第五人民医院伦理委员会批准,批准文号:(2023)伦审第(159)号,免除受试者知情同意。

1.2 CSVD总负荷评价及被试分组

       对于总负荷的评价,使用STAAL等[14]提出的 “CSVD总负荷”的评分系统,参照STRIVE-2[2]对WMH、腔隙、ePVS和CMB四类标志物进行评估。WMH主要使用液体衰减反转恢复(fluid attenuated inversion recovery, FLAIR)序列进行评估,并辅以T2WI序列进行确认,侧脑室旁Fazekas评分[15]≥3分和(或)脑深部WMH≥2分,计1分。ePVS主要使用 T2WI 序列进行评估,在单侧基底节区>10个,计1分。腔隙主要使用FLAIR 序列进行评估,存在腔隙灶计1分。CMB主要使用磁敏感加权成像(susceptibility-weighted imaging, SWI)序列进行评估,存在CMB灶计1分。

       为避免人工评分的主观性,本研究应用联影-uAI Discover评估CSVD的影像标志物。

       参照上述的CSVD总负荷评分标准,为了在保证各组样本量的前提下尽可能细化病变程度分级,将120名被试分为四组以反映不同病变程度。具体分组方案如下:总负荷1分组(n=16)、总负荷2分组(n=48)、总得负荷3分组(n=40)及总负荷4分组(n=16)。

1.3 影像数据采集

       所有受试者影像采集工作在上海市第五人民医院放射科完成,扫描仪器为德国Simens Skyra 3.0 T MR扫描仪,使用20通道头颈联合线圈。高分辨率三维T1加权成像扫描参数:脉冲回波时间2.33 ms,重复时间2530 ms,采集矩阵256×256,视野256 mm×256 mm,层厚1 mm,层间距0.5 mm,层数176层。rs-fMRI扫描参数:扫描方向为轴位,重复时间3000 ms,回波时间30 ms,视野 220 mm×220 mm,矩阵64×64,翻转角90°,体素大小3.4 mm×3.4 mm×3.4 mm,层厚3.4 mm,层数48层,总体积197。

1.4 MRI数据预处理

       使用Matlab 2023b作为操作平台进行结构及功能图像预处理。

       使用SPM12(Statistical Parametric Mapping 12)软件[16]进行结构图像预处理:(1)使用New Segment模块对T1加权结构像进行图像分割,生成灰质(gray matter, GM)、白质(white matter, WM)和脑脊液(cerebrospinal fluid, CSF)概率图,GM、WM、CSF体积之和即为颅内总体积(total intracranial volume, TIV);(2)采用DARTEL(Diffeomorphic Anatomical Registration Through Exponentiated Lie algebra)方法构建群体特异性模板;(3)使用构建的DARTEL模板将所有被试的灰质图像配准到蒙特利尔神经学研究所(Montreal Neurological Institute, MNI)标准空间进行空间标准化,重采样体素大小为1.5 mm×1.5 mm×1.5 mm;(4)对标准化后的灰质图像进行半高全宽(full width at half maximum, FWHM)为8 mm的高斯平滑处理以减少个体间解剖差异并提高信噪比;(5)实施分割质量检查和配准质量检查,使用spm_check_registration验证处理结果以完成质量控制。

       使用 DPABI(Data Processing & Analysis for Brain Imaging, DPABI)软件[17]进行功能图像预处理:(1)将原始数据的DICOM 格式转换为 NIfTI 格式;(2)丢弃每个被试的前10个时间点以确保信号稳定;(3)校正剩余230个时间点层间扫描的时间差异,以补偿不同层扫描的时间差异;(4)对扫描过程中出现头颅位置差异的图像进行头动校正;(5)将功能图像配准到MNI空间模板上以实现空间标准化;(6)进行空间重采样,体素大小为 3 mm×3 mm×3 mm;(7)计算全脑ReHo图;(8)用FWHM为4 mm的高斯平滑核进行平滑处理。

1.5 MRI数据分析

       结构分析中,基于MATLAB平台,使用SPM12软件[16]进行基于感兴趣区(region of interest, ROI)的灰质体积提取。为匹配皮层与皮层下结构的精细划分,基于Schaefer-400 皮层图谱[12](定义400个皮层脑区)和 Tian 皮层下核团图谱[13](定义32个皮层下核团)重采样至与调制后灰质图像一致的空间分辨率。最后,计算并提取每个ROI内所有体素的平均灰质体积值作为后续统计分析的结构指标。

       功能分析中,对于ReHo值这一指标,基于MATLAB平台,使用DPABI软件进行ReHo值的计算。在完成上述预处理后,在未平滑的数据上进行ReHo分析。计算每一个体素与其周围26个邻近体素(即3×3×3立方体簇)之间时间序列的肯德尔和谐系数(Kendall's Coefficient of Concordance, KCC)。KCC 值范围为0到1,值越高代表局部神经元活动的同步性越强。随后,为减少个体间基线信号差异并改善数据分布的正态性,将每个体素的ReHo值进行Fisher's r-to-z变换,以生成zReHo图。最后,为提高信噪比并满足高斯随机场(Gaussian random field, GRF)校正的统计假设,使用FWHM为4 mm的各向同性高斯核对zReHo图进行空间平滑处理。

1.6 统计学方法

       提取所有ROI的灰质体积(gray matter volume, GMV)作为因变量。使用ANCOVA分析比较四组CSVD患者之间的GMV差异,并将年龄、性别和TIV作为协变量进行控制。鉴于ROI数量较多(共432个),为了严格控制假阳性结果,采用了 Bonferroni校正法对ANCOVA的主效应P值进行多重比较校正。显著性阈值设定为校正后P<0.05。针对通过了上述Bonferroni校正的显著ROI,进一步进行事后两两比较。为了控制组间多次比较的误差,使用Tukey HSD法确定各组间的具体差异(显著性水平P<0.05)。

       采用基于体素的方法对全脑ReHo图进行统计分析。使用ANCOVA分析比较四组CSVD患者(按总负荷分组)之间的ReHo值差异。在统计模型中,将年龄、性别以及平均头动参数(mean framewise displacement, Mean FD)作为协变量进行回归,以排除这些混杂因素对功能指标的影响。为严格控制多重比较带来的假阳性风险,统计结果采用FDR 方法进行校正。显著性阈值设定为校正后P<0.05,同时设定最小簇大小大于 10个体素以过滤零散的噪声点。对于经体素级FDR校正后存在差异的脑区,将其定义为功能ROI,并提取各组在这些区域内的平均ReHo值进行事后两两比较。

       最后,针对经过上述严格校正下仍存在差异的 ROI,采用偏相关分析(控制年龄和性别)评估其GMV与认知量表(MMSE、MoCA)评分的相关性。

2 结果

2.1 人口统计学及神经心理学量表资料

       本研究共纳入120名CSVD患者,其中总负荷1分组16人,总负荷2分组48人,总负荷3分组40人,总负荷4分组16人,所有被试的人口统计学及临床认知量表资料分析见表1

       4组间年龄差异具有统计学意义(P<0.000 1),4组间性别及认知量表(MoCA、MMSE)评分差异无统计学意义。

表1  所有被试的人口学信息及认知量表资料
Tab. 1  The demographic information and cognitive score of participants

2.2 CSVD总负荷对皮层及皮层下结构的区域特异性影响

       根据CSVD总负荷将患者分为四组后(1~4分,4分为最高负荷),对GMV进行VBM分析并在组间水平进行比较,差异脑区所在位置及该脑区GMV均值详见图1,具体空间坐标、F值及P值详见表2

       ANCOVA显示,在控制了年龄、性别和TIV等协变量后,4组CSVD患者在左侧丘脑背侧前部、左侧丘脑背侧后部、左侧中央前回及左侧顶上小叶的GMV差异具有统计学意义(F值范围:7.533~9.643,Bonferroni 校正后P<0.05,详见图1)。

       事后两两比较进一步揭示了具体的组间差异模式。左侧丘脑背侧前部与后部表现出最显著的萎缩。与低负荷组(CSVD 1分组和CSVD 2分组)相比,高负荷组(特别是CSVD 4分组)的GMV显著减小,且差异具有统计学意义(所有P<0.01)。值得注意的是,CSVD 4分组丘脑体积显著低于CSVD 3分组,且差异具有统计学意义。左侧中央前回与左侧顶上小叶这两个皮层区域也显示了类似的负荷依赖性萎缩,CSVD 4分组的GMV显著低于CSVD 1、2分组,且差异具有统计学意义(P<0.01)。

图1  基于VBM的CSVD不同总负荷组别间皮层及皮层下区域的灰质体积差异结果。VBM为体素形态学分析;左侧面板以橙色高亮显示出CSVD4 组相比CSVD 1、2 和3 组的灰质体积显著减小的区域,4 个区域分别是左侧丘脑背侧前部、左侧丘脑背侧后部、左侧中央前回和左侧顶上小叶。X、Z 代表空间坐标:Z 代表轴位,X 代表矢状位。右侧面板采用云雨图形式,结合了半小提琴图、箱线图以及散点图,直观呈现不同CSVD 不同负荷4 组间灰质体积的分布特征与差异。P 值经Bonferroni 校正,星号表示差异具有统计学意义(*:P<0.05,**:P<0.005,***:P<0.001)。
Fig. 1  Results of cortex and subcortex gray matter volume differences among different total burden groups of CSVD revealed by voxel morphology analysis (VBM). The left panel highlights in orange the four regions with significantly reduced gray matter volume in CSVD Group 4 compared to CSVD Groups 1, 2, and 3, namely, the left anterior dorsal thalamus, the left posterior dorsal thalamus, the left precentral gyrus, and the left superior parietal lobule. X and Z: MNI coordinates provided for sagittal and axial slices, respectively. The right panel is visualized using Raincloud plots, which combine half-violin plots, box plots, and individual data points, providing a comprehensive view of the gray matter volume differences across CSVD burden groups displays violin plots quantitatively showing the gray matter volume differences among the four CSVD groups, with asterisks indicating statistical significance (*: P < 0.05, **: P < 0.005, ***: P < 0.001). The P-value is corrected for Bonferroni.
表2  4组间皮层及皮层下灰质体积差异脑区具体信息
Tab. 2  Detailed information on cortical and subcortical regions exhibiting gray matter volume differences among the four groups

2.3 CSVD 总负荷增加导致皮层及皮层下局部功能增强

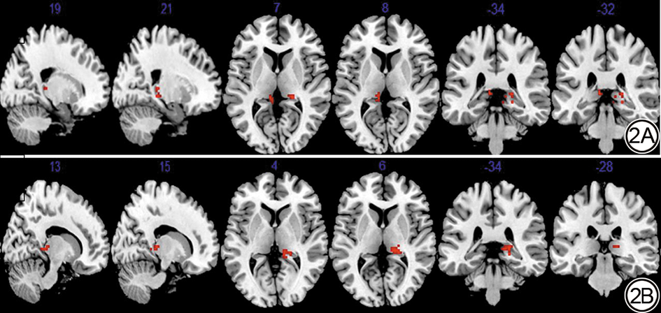
       基于rs-fMRI数据,在全脑体素水平计算ReHo值,随后进行组间两两比较。差异脑区所在位置见图2,具体空间坐标、簇大小、t值及P值见表3

       结果显示,与CSVD 2分组相比,CSVD 4分组在皮层的左侧颞极ReHo值显著升高,差异具有统计学意义(P=0.022)。在皮层下区域,CSVD 4分组的ReHo值在两侧丘脑均显著高于CSVD 2分组,差异具有统计学意义(P=0.017)。尤为显著的是,CSVD 4分组在右侧丘脑的ReHo值也显著高于CSVD 3分组,差异具有统计学意义(P=0.003)。

图2  基于全脑体素水平的脑小血管病(CSVD)不同总负荷组间的局部一致性(ReHo)差异结果。红色区域代表ReHo值升高的脑区,数字为对应脑区的蒙特利尔神经学研究所(MNI)坐标。2A显示总负荷4分组较2分组ReHo值升高的区域;2B显示总负荷4分组较3分组ReHo值升高的区域。
Fig. 2  Whole-brain voxel-level regional homogeneity (ReHo) differences among different total burden groups of cerebral small vessel disease (CSVD). Red regions indicate brain areas with increased ReHo values. Numbers indicate Montreal Neurological Institute (MNI) coordinates. 2A: Regions showing increased ReHo in the total burden 4 group compared to the total burden 2 group; 2B: Regions showing increased ReHo in the total burden 4 group compared to the total burden 3 group.
表3  4组间ReHo值差异脑区具体信息
Tab. 3  Detailed information on brain regions exhibiting significant ReHo differences between group

2.4 丘脑结构改变及其与认知功能的潜在联系

       针对GMV存在组间差异的4个脑区,进一步分析了其与认知功能(MoCA、MMSE量表评分)的关联。在经过FDR校正后,四个脑区与认知量表(MoCA、MMSE)评分之间的差异均无统计学意义(所有P均>0.05)。为直观展示数据分布,左侧丘脑背侧后部体积与 MoCA、MMSE评分的散点图见图3

图3  左侧丘脑背侧后部体积与认知评分的相关性分析。3A显示与蒙特利尔认知评估(MoCA)量表评分之间的正相关关系;3B显示与简易精神状态检查(MMSE)量表评分之间的正相关关系。红线代表线性回归趋势。
Fig. 3  Correlation analysis of left posterior dorsal thalamus volume with cognitive scores. 3A: Positive correlation with Montreal Cognitive Assessment (MoCA) score; 3B: Positive correlation with Mini-Mental State Examination (MMSE) score. Red lines represent linear regression trends.

3 讨论

       本研究利用磁共振结构和功能成像技术系统探讨了CSVD累积总负荷对脑结构与功能完整性的差异化影响。本研究结果表明,尽管CSVD负荷增加导致了广泛的皮层及丘脑结构萎缩,但大脑并非被动受损,而是通过颞极和丘脑区域的功能重组(ReHo升高)展现出一种潜在的神经代偿机制。这一发现至关重要,它不仅验证了CSVD作为一种“皮层下疾病”通过破坏丘脑结构导致认知障碍的潜在病理路径,更提示了在结构性损伤不可逆转之前,功能代偿可能代表了一个关键的早期干预窗口。本研究强调了将CSVD视为一个整体累积过程的重要性,这有助于更深入地理解CSVD导致认知障碍的神经机制,并为寻找评估疾病进展的敏感影像学标记物提供了新线索。

3.1 CSVD 总负荷累积导致的皮层及皮层下结构特异性萎缩

       本研究结果表明,随着CSVD总负荷的累积,大脑灰质呈现出非均匀的、特定区域的进行性萎缩。具体而言,最高负荷组(CSVD 4)在皮层(左侧中央前回、顶上小叶)及皮层下(丘脑)区域表现出显著的GMV减小,且CSVD 4分组GMV低于CSVD 3分组,这提示在疾病晚期丘脑萎缩可能加速。这一特定的萎缩模式并非随机分布,而是高度吻合了CSVD的病理生理特征[18]

       针对皮层萎缩,本研究发现左侧中央前回及左侧顶上小叶主要集中在Yeo-7网络图谱[19]的感觉运动网络(somatomotor network, SMN)和额顶控制网络(fronto-parietal network, FPN)。这可能与大脑不同区域的血管分布异质性有关。CSVD作为一种累及穿支小动脉的疾病[20],更易导致处于血管分水岭或灌注边缘区的皮层组织发生慢性缺血缺氧,进而引发局部神经元凋亡[21]。这与既往研究指出的CSVD患者额顶网络连接中断导致认知下降的观点相一致[22]

       更为重要的是,本研究揭示了丘脑作为CSVD结构损害的“靶心”地位。既往研究多聚焦于皮层,而忽视了丘脑这一关键的中继核团。CHENG等[23]曾指出丘脑亚区萎缩与血管病理密切相关。本研究结果进一步拓展了这一观点,提示丘脑萎缩不仅源于局部的微血管损伤,更可能涉及皮层-丘脑环路的中断。当皮层下白质纤维束(如内囊、放射冠)因WMH或腔隙受损时,与其相连的丘脑核团会发生继发性的逆行性或顺行性神经变性[24]。这种“皮层-皮层下”双重打击模型合理解释了为何高负荷CSVD患者会出现更为严重的认知障碍。

3.2 结构损伤下的功能重组:丘脑的神经代偿机制

       有趣的是,尽管高负荷组在丘脑和皮层表现出显著的结构萎缩,本研究却观察到左侧颞极和丘脑的ReHo异常升高,在CSVD负荷最重阶段(CSVD 4分组),丘脑(特别是右侧丘脑)的功能激活程度不仅高于低负荷组,甚至在与次高负荷组(CSVD 3)相比时也表现出显著的增强。这一发现揭示了CSVD患者脑结构损伤与功能改变之间存在复杂的非线性耦合关系[25]。这种“结构萎缩伴随功能增强”的现象可以用网络枢纽理论来解释。HONEY 等[26]的研究强调,脑网络中“连接枢纽”的损伤对全脑功能整合的破坏最为严重。丘脑作为大脑最重要的感觉运动中继站和认知整合枢纽,其结构完整性对维持全脑网络效率至关重要。

       本研究中观察到的ReHo升高很可能反映了一种代偿性的神经募集机制。根据神经可塑性理论[27],当关键的结构节点(如丘脑)因CSVD导致的缺血或微结构损伤而效率下降时,大脑会通过网络重组[28] 和增加局部神经元的同步活动来维持认知功能,从而表现为ReHo值的升高。

       因此,笔者认为丘脑ReHo的升高并非单纯的病理破坏,而是大脑应对逐渐加重的CSVD负荷的一种适应性保护机制。值得注意的是,本研究结果显示CSVD 4分组的ReHo 值不仅高于低负荷组(CSVD 2),甚至在右侧丘脑区域高于次高负荷组(CSVD 3)。这提示,随着 CSVD 负荷从“中度”(CSVD 3)进一步进展到“重度”(CSVD 4),大脑为了应对持续加重的结构性损伤和认知挑战,可能被迫将其功能性代偿机制推向极致。这种在最高负荷阶段(CSVD 4)仍观察到的ReHo显著升高,可能代表着认知功能彻底衰退前的最后适应性努力。一旦这种功能储备耗竭,认知功能可能将面临断崖式下降的风险,这也为未来预测疾病进展和干预提供了重要的影像学窗口。

3.3 CSVD特定脑区损伤与认知功能下降的潜在关联

       最后,本研究还探讨了上述脑结构与功能改变在CSVD认知损害中的相关性。本研究结果显示,最高负荷组(CSVD 4)表现出最差的认知评分(MoCA、MMSE),这与该组最严重的丘脑萎缩和最显著的功能异常相吻合。尽管在多重比较校正后,单一脑区指标与认知评分的线性相关性无统计学意义(这可能受限于样本量或认知评分的天花板效应),但本研究在探索性分析中仍观察到了明确的趋势:左侧丘脑体积越小,整体认知水平倾向于越差。

       这一发现支持了“丘脑作为认知关键枢纽[29]”的观点。丘脑不仅是感觉信息的中继站,其背内侧核和枕核与前额叶皮层及联合皮层有着广泛的纤维连接,深度参与执行功能、注意力和工作记忆的调控[30]。CSVD导致的丘脑局灶性萎缩实质上可能意味着认知控制网络的结构完整性受损。

       此外,本研究发现的左侧颞极功能异常同样具有重要的认知含义[31]。颞极是边缘系统和默认模式网络(default mode network, DMN)的关键节点,负责语义记忆和社会认知处理。因此,CSVD累积负荷导致的“丘脑-颞极”结构功能双重受损可能切断了大脑从信息整合到高级认知处理的关键通路。这种特定网络节点的精准打击,很可能是CSVD患者出现以执行功能障碍和信息处理速度减慢为特征的认知衰退的解剖学基础之一。

3.4 局限性及展望

       本研究利用MRI结构和功能成像技术探讨CSVD的不同总负荷对丘脑结构和功能的影响。然而本研究仍存在一定的不足之处,主要在以下三个方面:第一,研究的整体样本量相对较小,且受试者分组样本量不均衡(CSVD 1分与4分组仅各16例),这可能导致统计效力不足和研究结果的代表性和推广性受限。未来研究应致力于扩大样本量,且进行更为全面的受教育年限分析,优化分组策略或采用连续性变量的回归模型进行分析,以更全面、深入地探究CSVD的病理生理机制及认知功能损害的轨迹。第二,在CSVD总负荷评分中,四大影像学标志物权重相同,但病变实际产生的影响并不相同,未来或可对评分体系进行加权优化。第三,本研究为横断面设计,无法揭示CSVD进展过程中脑结构、功能及认知的动态变化,未来研究应致力于建立纵向队列,以明确其间的因果关系。

4 结论

       本研究探讨了基于MRI 结构和功能成像技术的CSVD总负荷评分与脑结构和功能的关系。本横断面研究结果表明,CSVD总负荷升高伴随“丘脑-感觉运动皮层结构萎缩+局部功能积极代偿”双模式改变,为理解其认知损害机制提供了新的影像学标志物;但其与认知表现的相关性仍需大样本及纵向设计进一步验证。

[1]
ELAHI F M, WANG M M, MESCHIA J F. Cerebral Small Vessel Disease-Related Dementia: More Questions Than Answers[J]. Stroke, 2023, 54(3): 648-660. DOI: 10.1161/STROKEAHA.122.038265.
[2]
DUERING M, BIESSELS G J, BRODTMANN A, et al. Neuroimaging standards for research into small vessel disease-advances since 2013[J]. Lancet Neurol, 2023, 22(7): 602-618. DOI: 10.1016/S1474-4422(23)00131-X.
[3]
TRUIN L S, KÖHLER S, HEGER I S, et al. Associations of an individual's need for cognition with structural brain damage and cognitive functioning/impairment: cross-sectional population-based study[J]. Br J Psychiatry, 2024, 224(6): 189-197. DOI: 10.1192/bjp.2023.159.
[4]
LV Y, CHENG X, DONG Q. SGLT1 and SGLT2 inhibition, circulating metabolites, and cerebral small vessel disease: a mediation Mendelian Randomization study[J/OL]. Cardiovasc Diabetol, 2024, 23(1): 157 [2025-10-27]. https://doi.org/10.1186/s12933-024-02255-6. DOI: 10.1186/s12933-024-02255-6.
[5]
WARDLAW J M, SMITH C, DICHGANS M. Mechanisms of sporadic cerebral small vessel disease: insights from neuroimaging[J]. Lancet Neurol, 2013, 12(5): 483-497. DOI: 10.1016/S1474-4422(13)70060-7.
[6]
LI H, CHENG M, GAO Y, et al. Does the Burden of CSVD Modify the Efficacy of Dual Antiplatelet Therapy?: A Post Hoc Analysis of the INSPIRES Trial[J]. Stroke, 2025, 56(6): 1376-1387. DOI: 10.1161/STROKEAHA.124.049826.
[7]
YING Y, LI Y, YAO T, et al. Heterogeneous blood-brain barrier dysfunction in cerebral small vessel diseases[J]. Alzheimers Dement, 2024, 20(7): 4527-4539. DOI: 10.1002/alz.13874.
[8]
TULADHAR A M, VAN NORDEN A G W, DE LAAT K F, et al. White matter integrity in small vessel disease is related to cognition[J]. Neuroimage Clin, 2015, 7: 518-524. DOI: 10.1016/j.nicl.2015.02.003.
[9]
CHEN F, CHEN Q, ZHU Y, et al. Alterations in Dynamic Functional Connectivity in Patients with Cerebral Small Vessel Disease[J]. Transl Stroke Res, 2024, 15(3): 580-590. DOI: 10.1007/s12975-023-01148-2.
[10]
HWANG K, BERTOLERO M A, LIU W B, et al. The Human Thalamus Is an Integrative Hub for Functional Brain Networks[J]. J Neurosci, 2017, 37(23): 5594-5607. DOI: 10.1523/JNEUROSCI.0067-17.2017.
[11]
FANG Z, DANG Y, PING A, et al. Human high-order thalamic nuclei gate conscious perception through the thalamofrontal loop[J/OL]. Science, 2025, 388(6742): eadr3675 [2025-10-27]. https://doi.org/10.1126/science.adr3675. DOI: 10.1126/science.adr3675.
[12]
SCHAEFER A, KONG R, GORDON E M, et al. Local-Global Parcellation of the Human Cerebral Cortex from Intrinsic Functional Connectivity MRI[J]. Cereb Cortex, 2018, 28(9): 3095-3114. DOI: 10.1093/cercor/bhx179.
[13]
TIAN Y, MARGULIES D S, BREAKSPEAR M, et al. Topographic organization of the human subcortex unveiled with functional connectivity gradients[J]. Nat Neurosci, 2020, 23(11): 1421-1432. DOI: 10.1038/s41593-020-00711-6.
[14]
STAALS J, MAKIN S D J, DOUBAL F N, et al. Stroke subtype, vascular risk factors, and total MRI brain small-vessel disease burden[J]. Neurology, 2014, 83(14): 1228-1234. DOI: 10.1212/WNL.0000000000000837.
[15]
FAZEKAS F, CHAWLUK J B, ALAVI A, et al. MR signal abnormalities at 1.5 T in Alzheimer's dementia and normal aging[J]. AJR Am J Roentgenol, 1987, 149(2): 351-356. DOI: 10.2214/ajr.149.2.351.
[16]
ASHBURNER J, FRISTON K J. Unified segmentation[J]. NeuroImage, 2005, 26(3): 839-851. DOI: 10.1016/j.neuroimage.2005.02.018.
[17]
YAN C G, WANG X D, ZUO X N, et al. DPABI: Data Processing & Analysis for (Resting-State) Brain Imaging[J]. Neuroinformatics, 2016, 14(3): 339-351. DOI: 10.1007/s12021-016-9299-4.
[18]
ROSEBOROUGH A D, SAAD L, GOODMAN M, et al. White matter hyperintensities and longitudinal cognitive decline in cognitively normal populations and across diagnostic categories: A meta-analysis, systematic review, and recommendations for future study harmonization[J]. Alzheimers Dement, 2023, 19(1): 194-207. DOI: 10.1002/alz.12642.
[19]
YEO B T T, KRIENEN F M, SEPULCRE J, et al. The organization of the human cerebral cortex estimated by intrinsic functional connectivity[J]. J Neurophysiol, 2011, 106(3): 1125-1165. DOI: 10.1152/jn.00338.2011.
[20]
CSIK B, NYÚL-TÓTH Á, GULEJ R, et al. Senescent Endothelial Cells in Cerebral Microcirculation Are Key Drivers of Age-Related Blood-Brain Barrier Disruption, Microvascular Rarefaction, and Neurovascular Coupling Impairment in Mice[J/OL]. Aging Cell, 2025, 24(7): e70048 [2025-10-27]. https://doi.org/10.1111/acel.70048. DOI: 10.1111/acel.70048.
[21]
MARKUS H S, JOUTEL A. The pathogenesis of cerebral small vessel disease and vascular cognitive impairment[J]. Physiol Rev, 2025, 105(3): 1075-1171. DOI: 10.1152/physrev.00028.2024.
[22]
LIU R, WU W, YE Q, et al. Distinctive and Pervasive Alterations of Functional Brain Networks in Cerebral Small Vessel Disease with and without Cognitive Impairment[J]. Dement Geriatr Cogn Disord, 2019, 47(1-2): 55-67. DOI: 10.1159/000496455.
[23]
CHENG Z, LI M, LI J, et al. Long-term impact of white matter hyperintensities and amyloid beta on thalamic subregions in cerebral small vessel disease: A prospective cohort study[J/OL]. Alzheimers Dement, 2025, 21(8): e70553 [2025-10-27]. https://doi.org/10.1002/alz.70553. DOI: 10.1002/alz.70553.
[24]
DUERING M, RIGHART R, WOLLENWEBER F A, et al. Acute infarcts cause focal thinning in remote cortex via degeneration of connecting fiber tracts[J]. Neurology, 2015, 84(16): 1685-1692. DOI: 10.1212/WNL.0000000000001502.
[25]
KROHN S, VON SCHWANENFLUG N, WASCHKE L, et al. A spatiotemporal complexity architecture of human brain activity[J/OL]. Sci Adv, 2023, 9(5): eabq3851 [2025-10-27]. https://doi.org/10.1126/sciadv.abq3851. DOI: 10.1126/sciadv.abq3851.
[26]
HONEY C J, SPORNS O. Dynamical consequences of lesions in cortical networks[J]. Hum Brain Mapp, 2008, 29(7): 802-809. DOI: 10.1002/hbm.20579.
[27]
NORTHOFF G, WOLMAN A, ZHANG J. Brain dynamics shape cognition-Spatiotemporal Neuroscience[J]. Phys Life Rev, 2025, 54: 173-201. DOI: 10.1016/j.plrev.2025.07.009.
[28]
KESKIN K, CATAL Y, WOLMAN A, et al. The brain's internal echo: Longer timescales, stronger recurrent connections and higher neural excitation in self regions[J/OL]. NeuroImage, 2025, 312: 121221 [2025-10-27]. https://doi.org/10.1016/j.neuroimage.2025.121221. DOI: 10.1016/j.neuroimage.2025.121221.
[29]
HALASSA M M, SHERMAN S M. Thalamocortical circuit motifs: a general framework[J]. Neuron, 2019, 103(5): 762-770. DOI: 10.1016/j.neuron.2019.06.005.
[30]
OUHAZ Z, FLEMING H, MITCHELL A S. Cognitive functions and neurodevelopmental disorders involving the prefrontal cortex and mediodorsal thalamus[J/OL]. Front Neurosci, 2018, 12: 33 [2025-10-27]. https://doi.org/10.3389/fnins.2018.00033. DOI: 10.3389/fnins.2018.00033.
[31]
ZHANG J, JIA X, WANG Q, et al. Age-related alterations in regional cerebrovascular reactivity: mediation by grey matter atrophy and association with cognitive performance[J/OL]. Age Ageing, 2025, 54(12): afaf353 [2025-10-27]. https://doi.org/10.1093/ageing/afaf353. DOI: 10.1093/ageing/afaf353.

上一篇 慢性心力衰竭患者皮层下核团结构及功能的磁共振成像研究
下一篇 基于DTI的血浆几丁质酶3样蛋白1水平与遗忘型轻度认知障碍患者白质微结构特征的相关性研究
  
诚聘英才 | 广告合作 | 免责声明 | 版权声明
联系电话:010-67113815
京ICP备19028836号-2