分享:
分享到微信朋友圈
X
临床研究
常规磁共振成像及灌注成像在鉴别脑胶质瘤术后复发与假性进展中的价值
何海蓉 苏春秋 金铭畑 许牧源 曹远东 洪汛宁

本文引用格式:何海蓉, 苏春秋, 金铭畑, 等. 常规磁共振成像及灌注成像在鉴别脑胶质瘤术后复发与假性进展中的价值[J]. 磁共振成像, 2026, 17(2): 66-72. DOI:10.12015/issn.1674-8034.2026.02.010.


[摘要] 目的 探讨常规MRI及灌注加权成像(perfusion weighted imaging, PWI)在鉴别脑胶质瘤术后复发与假性进展中的价值。材料与方法 回顾性分析经病理证实为高级别胶质瘤(high-grade gliomas, HGGs)的106例患者临床及MRI资料,根据二次手术病理或神经肿瘤疗效评估标准(Response Assessment in Neuro-Oncology, RANO)将其分为复发组65例,假性进展组41例。在T1加权对比增强成像(T1-weighted contrast-enhanced imaging, CE-T1WI)图像上勾画病灶强化区作为感兴趣区(volume of interest, VOI),使用MRIcroGL软件分别测量异常强化实质区域及瘤周水肿区域的脑血容量(cerebral blood volume, CBV)、表观扩散系数(apparent diffusion coefficient, ADC)值及对侧半卵圆区域CBV值,计算平均相对脑血容量(relative cerebral blood volume, rCBV)。采用独立样本t检验和非参数Mann-Whitney U检验比较复发与假性进展病灶强化区及瘤周水肿区rCBV、ADC参数的差异。采用logistic回归模型筛选独立危险因素,通过受试者工作曲线下面积(area under the curve, AUC)评估模型的效能。结果 复发组病灶强化区的rCBVmax中位数高于假性进展组,复发组病灶强化区的ADCmean中位数低于假性进展组,差异具有统计学意义(Z=-5.829、-5.761,P均<0.05);复发组瘤周水肿区的ADCmean中位数低于假性进展组,差异具有统计学意义(Z=-3.182,P<0.05)。Logistic回归分析发现,病灶强化区rCBV、病灶强化区ADC及瘤周水肿区ADC是鉴别脑胶质瘤术后复发与假性进展的独立危险因素[优势比(odds ratio, OR)值分别为1.494、0.983、1.009,95% CI分别为1.191~1.874、0.975~0.991、1.003~1.015,P值均<0.05],且三项参数的联合模型诊断效能更好,AUC值为0.921,敏感度及特异度分别为87.7%和90.2%。结论 联合常规MRI及PWI可有效鉴别脑胶质瘤术后复发与假性进展,诊断效能高,为临床精准制订治疗策略、改善患者预后提供可靠依据。
[Abstract] Objective To explore the value of conventional MRI and perfusion weighted imaging (PWI) in differentiating high-grade gliomas (HGGs) recurrence from pseudoprogression (PsP).Materials and Methods One hundred and six patients with pathologically confirmed HGGs were enrolled in this retrospective study. They were divided into 65 cases in the recurrence group and 41 cases in the PsP group according to the secondary surgical pathology or Response Assessment in Neuro-Oncology (RANO). Volume of interest (VOI) were delineated manually on T1-weighted contrast-enhanced imaging (CE-T1WI). MRIcroGL software was used to measure the cerebral blood volume (CBV) and apparent diffusion coefficient (ADC) values in the contrast-enhancing lesions and peritumoral edema regions, as well as the CBV value in the contralateral semioval center. The relative cerebral blood volume (rCBV) was defined as the ratio of CBV in the contrast-enhancing lesions to the mean CBV in the contralateral semioval center. Differences in rCBV and ADC values between recurrence and PsP groups were analyzed using independent t-tests and Mann-Whitney U tests for both contrast-enhancing lesions and peritumoral edema regions. Logistic regression analysis was used to screen independent risk factors, and area under the curve (AUC) was used to assess the efficacy of the model.Results The recurrence group demonstrated a higher median rCBVmax (Z = -5.829, P < 0.05) in contrast-enhancing lesions and a lower median ADCmean in both enhancing lesions (Z = -5.761, P < 0.05) and peritumoral edema (Z = -3.182, P < 0.05) compared to the PsP group. The logistic regression identified rCBV of contrast-enhancing lesion, ADC of contrast-enhancing lesion and ADC of peritumoral edema as independent predictive risk factors [odds ratio (OR) = 1.494, 0.983, 1.009; 95% CI: 1.191 to 1.874, 0.975 to 0.991, 1.003 to 1.015, all P < 0.05] The combination of these three parameters demonstrated enhanced diagnostic efficacy, with AUC of 0.921, sensitivity of 87.7% and specificity of 90.2%.Conclusions The multi-parameter combined model of conventional MRI and PWI can effectively differentiate postoperative recurrence of HGGs from PsP with high diagnostic efficiency, providing a reliable basis for clinical precise treatment strategy formulation and improving patient prognosis.
[关键词] 高级别胶质瘤;磁共振成像;灌注加权成像;假性进展;复发;瘤周水肿
[Keywords] high-grade gliomas;magnetic resonance imaging;perfusion weighted imaging;pseudoprogression;recurrence;peritumoral edema

何海蓉 1   苏春秋 1   金铭畑 1   许牧源 1   曹远东 2   洪汛宁 1*  

1 南京医科大学第一附属医院放射科,南京 210029

2 南京医科大学第一附属医院放疗科,南京 210029

通信作者:洪汛宁,E-mail:hongxunning@sina.com

作者贡献声明::洪汛宁设计本研究的方案,对稿件重要内容进行了修改,同意最后的修改稿发表;何海蓉查阅文献、搜集资料,起草并撰写稿件,获取、分析及解释本研究的数据;苏春秋参与研究方案的构思,对稿件重要内容进行了修改;金铭畑、许牧源搜集资料,查阅文献,统计分析,对稿件重要内容进行了修改;曹远东分析数据,对稿件重要内容进行了修改;全体作者都同意发表最后的修改稿,同意对本研究的所有方面负责,确保本研究的准确性和诚信。


收稿日期:2025-08-26
接受日期:2026-01-02
中图分类号:R445.2  R730.264 
文献标识码:A
DOI: 10.12015/issn.1674-8034.2026.02.010
本文引用格式:何海蓉, 苏春秋, 金铭畑, 等. 常规磁共振成像及灌注成像在鉴别脑胶质瘤术后复发与假性进展中的价值[J]. 磁共振成像, 2026, 17(2): 66-72. DOI:10.12015/issn.1674-8034.2026.02.010.

0 引言

       脑胶质瘤是中枢神经系统最常见的原发恶性肿瘤。2021年世界卫生组织(Word Health Organization, WHO)中枢神经系统肿瘤分类将胶质瘤分为1~4级,1、2级为低级别胶质瘤,3、4级为高级别胶质瘤(high-grade gliomas, HGGs)[1]。HGGs具有恶性程度高、组织异质性高、微血管丰富的特点,呈浸润性生长,与周围组织分界不清[2]

       脑胶质瘤的主要治疗手段是尽可能最大范围切除脑肿瘤,术后进行辅助放化疗[3]。在同步放化疗(concurrent chemoradiotherapy, CCRT)后,若影像学检查发现新发强化灶或原有强化范围扩大,可能是肿瘤早期复发(true progression, TP),也可能是假性进展(pseudoprogression, PsP),但其治疗和预后完全不同。PsP发生机制可能是局部组织炎性反应及血管通透性增高导致对比剂渗出增加,影像学上表现为明显强化及瘤周大片水肿(单纯血管源性水肿),为放化疗后的良性炎性反应,继续替莫唑胺(temozolomide, TMZ)化疗,对症处理,无需过度治疗,避免加重患者神经功能损伤及医疗负担,随访过程中病灶会在无进一步治疗的情形下缩小或保持稳定,有更好的预后及生存率。TP在影像学上同样表现为明显强化和瘤周大片水肿(肿瘤浸润所致),但病理基础为肿瘤进展,需及时调整化疗方案(如耐药后的挽救性治疗)或再次手术干预,若未有效干预,病灶将持续增大[4, 5, 6],患者中位生存时间仅为3~9个月。HGGs术后PsP与TP的影像学表现高度重叠,导致部分病例被误判,延误最佳治疗时机或引发过度治疗。肿瘤进展或复发均伴随新生血管形成,而治疗后反应仅引起血管通透性改变而无新生血管。磁共振灌注加权成像(perfusion weighted imaging, PWI)提供多种参数间接反映肿瘤血管生成和毛细血管通透性,是脑胶质瘤鉴别诊断、分级和预后评估的重要生物学指标[7, 8, 9], 具有无辐射、成像范围更广、病灶检出敏感性高等优点,对鉴别提供帮助[10, 11, 12, 13, 14, 15]。胶质瘤进展或复发在灌注重建图像上表现为病变区域灌注增高,而治疗后反应表现为区域灌注正常或减低。

       既往研究多采用常规MRI观察肿瘤形态学特点,但不能评价残存肿瘤活性。此外既往研究多基于2010版神经肿瘤反应评价(Response Assessment in Neuro-Oncology, RANO)标准,未明确放疗后基线影像时间,导致PsP与TP的时间界限模糊[6, 16]。同时,这些研究多单独分析灌注参数或扩散参数,诊断效能有限[17]。且普遍忽视瘤周水肿区的病理差异,TP伴肿瘤细胞浸润,PsP为单纯血管源性水肿[18]。本研究采用2023年RANO诊断标准[19, 20, 21],以放疗后的首次MRI影像作为基线,严格限定随访时间窗(放化疗开始后8个月内)。由于PsP在放疗后的12周内发生率很高,需要继续治疗并在此期间通过重复MRI检查以确认进展。因此本研究将探讨联合灌注参数及常规MRI在鉴别脑胶质瘤术后TP与PsP的应用价值,评估瘤周水肿区的影像学特征,为临床及时调整治疗策略提供帮助。

1 材料与方法

1.1 研究对象

       本研究遵守《赫尔辛基宣言》,经南京医科大学第一附属医院伦理委员会批准,免除受试者知情同意,批准文号:2021-SR-442。本文回顾性分析了2016年1月至2024年12月于我院就诊并经病理证实为HGGs的患者的临床及影像学资料。纳入标准如下:(1)所有的患者均为初发首治的成人患者,均未经过术前放疗、化疗以及其他治疗;(2)所有患者均行手术切除,且有术后病理;(3)根据WHO 2021年中枢神经系统肿瘤分类及分级标准,术后病理学证实为WHO 3~4级弥漫性HGGs;(4)放疗后首次MRI扫描图像为基线图像;(5)所有患者均行标准化治疗(术后CCRT,6个周期的TMZ辅助化疗);(6)术后CCRT开始后的8个月内,多次影像学随访中出现新增或扩大的强化病变(增强病变的大小在MRI图像上至少是10 mm×10 mm);(7)取基线图像后第一次出现新发可测量强化或强化增大(>25%)的时间入组,且此次的影像学资料完整,包括T1加权成像(T1-weighted imaging, T1WI)、T2加权成像(T2-weighted imaging, T2WI)和液体衰减反转恢复(fluid attenuated inversion recovery, FLAIR)序列、扩散加权成像(diffusion-weighted imaging, DWI)、T1加权对比增强成像(T1-weighted contrast-enhanced imaging, CE-T1WI)、动态磁敏感对比-灌注加权成像(dynamic susceptibility contrast-enhanced perfusion weighted imaging, DSC-PWI),且通过后处理生成表观扩散系数(apparent diffusion coefficient, ADC)及脑血容量(cerebral blood volume, CBV)图;(8)具有最终的病理学诊断或临床影像学随访结果,随访时间不少于6个月。排除标准如下:(1)MRI运动伪影大;(2)图像质量差。

       根据二次手术病理或最新的RANO诊断标准将入组的所有患者分为TP和PsP两组。TP入组标准(以下满足任一):(1)二次手术病理证实为TP;(2)基于基线后的多次MRI随访强化灶范围不断增大,周围水肿及占位效应明显,临床症状恶化;(3)强化出现在放射野之外的远处(例如超出高剂量区或80%等剂量线)。PsP入组标准(以下满足任一):(1)二次手术病理证实为PsP;(2)基于基线后的多次MRI随访强化灶无变化或在不更改治疗方案情况下病灶逐渐缩小,周围水肿及占位效应逐渐减轻,临床表现稳定或趋于好转。

1.2 检查方法

       图像采集采用西门子3.0 T MR扫描仪(Magnetom Skyra, Siemens Healthcare, Erlangen, Germany),16通道头颈相控阵联合线圈,依次进行常规头颅横断位平扫T1WI、T2WI、FLAIR及DWI序列扫描,随后行DSC-PWI扫描,以静脉团注对比剂钆喷酸葡胺(Gd-DTPA, Omniscan; GE Healthcare, Dublin, Ireland)(0.1 mmol/kg体质量,流率4 mL/s),然后进行T1WI轴位及矢状位三维T1WI增强扫描。T1WI扫描参数:TR 400 ms,TE 2.48 ms,层厚5 mm,矩阵320×256,FOV 230 mm×230 mm;T2WI扫描参数:TR 5090 ms,TE 91 ms,层厚5 mm,层间距1 mm,矩阵448×224,FOV 230 mm×230 mm;FLAIR序列扫描参数:TR 8000 ms,TE 97 ms,层厚5 mm,层间距1 mm,TI 2300 ms,矩阵256×256,FOV 230 mm×230 mm。DWI图像采用自旋回波平面回波成像序列轴位成像,扫描参数:TR 4800 ms,TE 100 ms,层厚5 mm,层间距1 mm;FOV 230 mm×230 mm,b值分别选取0 s/mm2和1000 s/mm2。ADC图像由机器自动处理生成。DSC-PWI灌注图像使用单次激发梯度回波-平面回波成像序列,扫描参数:TR 1400 ms,TE 32 ms,层厚5 mm,层间距1.25 mm,矩阵128×128,FOV 230 mm×230 mm。采用自带Perfusion MR软件自动处理DSC-PWI原始图像,首先进入Local选择要进行后处理的患者,在序列栏中选取ep2d_perf_p2序列,将图像调入软件;其次勾选Local AIF,点击带有计算器按键后就会自动进行计算,待自动弹出图像后,上方的ALL_Maps可以生成所有灌注参数图;最后勾选想要计算生成的图像,点击保存。

1.3 常规MRI影像特征评估

       每例患者的临床资料及MRI影像特征由一位具有2年神经放射诊断经验的住院医师和一位具有7年经验的主治医师采用盲法独立评估,采用Kappa检验评估2位医师对病灶定位、病灶中心部位的一致性(Kappa值≥0.75为一致性良好,0.4≤Kappa<0.75为一致性中等,Kappa<0.4为一致性差);采用组内相关系数(intra-class correlation coefficient, ICC)评估2位医师对病灶强化体积测量的一致性(ICC≥0.8为一致性优秀)。若2位医师评估结果存在分歧,由1位具有20年神经放射诊断经验的主任医师进行仲裁,最终将仲裁结果纳入统计。临床资料包括患者的性别、年龄、手术时间、标准化治疗时间、多次随访的时间、入组时间,常规MRI影像特征分析:根据伦勃朗视觉感受图像(visually accessible Rembrandt images, VASARI)特征集[22]评估病灶定位、病灶中心部位,并在影像储存和传输系统(Picture Archiving and Communication Systems, PACS)中使用测量工具逐层勾画病灶最大强化面积,得出病灶强化体积。

1.4 图像处理

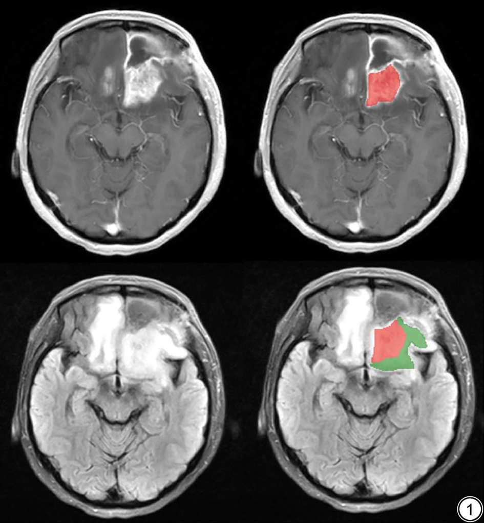
       首先使用MATLAB软件对图像进行配准,将所有患者的ADC、CBV图像配准到CE-T1WI图像。随后由一名放射科住院医师(具有2年神经影像诊断经验)参考CE-T1WI图像及FLAIR图像,使用MRIcroGL软件在CE-T1WI图像上勾画病灶强化区作为感兴趣区(volume of interest, VOI),在勾画过程中避开囊变、坏死或出血区域,并且为了减小部分容积效应,每层的VOI要稍小于实际病灶的大小,同时在FLAIR图像上勾画瘤周2 cm范围内的水肿区,分别测量异常强化实质区域及瘤周水肿区域的CBV、ADC值及对侧半卵圆区域CBV值。平均相对CBV(relative CBV, rCBV)为病灶强化区CBV值与对侧半卵圆区域平均CBV值的比值[23, 24, 25]。最后所有图像均由一名资深神经放射科主任医师(具有20年神经影像诊断经验)进行确认。VOI勾画示意图如图1所示。

图1  感兴趣区勾画示意图。红色感兴趣区表示病灶强化区,绿色感兴趣区表示瘤周水肿区。
Fig. 1  Schematic diagram of volume of interest (VOI) delineation. The red VOI represents the contrast-enhancing lesion; The green VOI represents the peritumoral edema region.

1.5 统计学方法

       采用SPSS 26.0软件进行统计学分析,首先对计量资料包括年龄、病灶强化体积、rCBV、ADC参数值进行Kolmogorov-Smirnov正态性检验和Levene方差齐性检验,符合正态分布的计量资料用均数±标准差表示,采用独立样本t检验;不符合正态分布者以中位数(四分位数)表示,采用非参数Mann-Whitney U检验进行比较。分类资料包括性别、病灶定位、病灶中心部位,用频数(百分比)表示,采用卡方检验。采用logistic回归模型分析筛出预测HGGs术后TP与PsP的独立危险因素,并计算优势比(odds ratio, OR)和OR的95%置信区间(confidence interval, CI)。应用MedCalc 23.0.9软件绘制受试者操作特征(receiver operating characteristic, ROC)曲线,计算参数的曲线下面积(area under the curve, AUC)、截断值、敏感度、特异度,采用DeLong检验比较单一参数与联合参数模型AUC的差异,P<0.05表示差异具有统计学意义。

2 结果

2.1 临床影像资料

       在本研究纳入的106例患者中,TP组65例,PsP组41例,其中二次手术病理证实为TP 9例,证实为PsP 8例,典型影像学表现见图2, 图3。脑胶质瘤术后TP及PsP均表现为术区或邻近脑组织内团块状、斑片状T1WI低信号、T2WI高信号,增强扫描呈明显不均匀强化,均可见占位效应,但肿瘤复发灶周围水肿范围较PsP明显,且病灶大多弥散受限,表现为不同程度的高灌注。患者临床影像资料见表1。2位医师对病灶定位、病灶中心部位的评估一致性良好(Kappa值分别为0.93、0.89,P<0.001),对病灶强化体积测量的一致性优秀(ICC=0.90,P<0.001),表明影像评估结果可靠。

图2  高级别胶质瘤术后复发的典型MRI 表现。图2A~2F 分别为病变在轴位T1WI、FLAIR、ADC、CE-T1WI、CBV、CBV-RGB 序列上的显示。左侧颞叶可见一环形强化灶,灌注呈环形高灌注。FLAIR:液体衰减反转恢复;ADC:表观扩散系数;CE-T1WI:T1 加权对比增强成像;CBV:脑血容量;CBV-RGB:脑血容量彩色图。
Fig. 2  Typical MRI manifestations of postoperative recurrence in high-grade glioma. 2A-2F demonstrate the lesion on T1WI, FLAIR, ADC, CE-T1WI, CBV, and CBV-RGB sequences, respectively. An annular enhancing lesion with peripheral hyperperfusion is observed in the left temporal lobe. FLAIR: fluid-attenuated inversion recovery; ADC: apparent diffusion coefficient; CE-T1WI: T1-weighted contrast-enhanced imaging; CBV: cerebral blood volume; CBV-RGB: cerebral blood volume-red green blue.
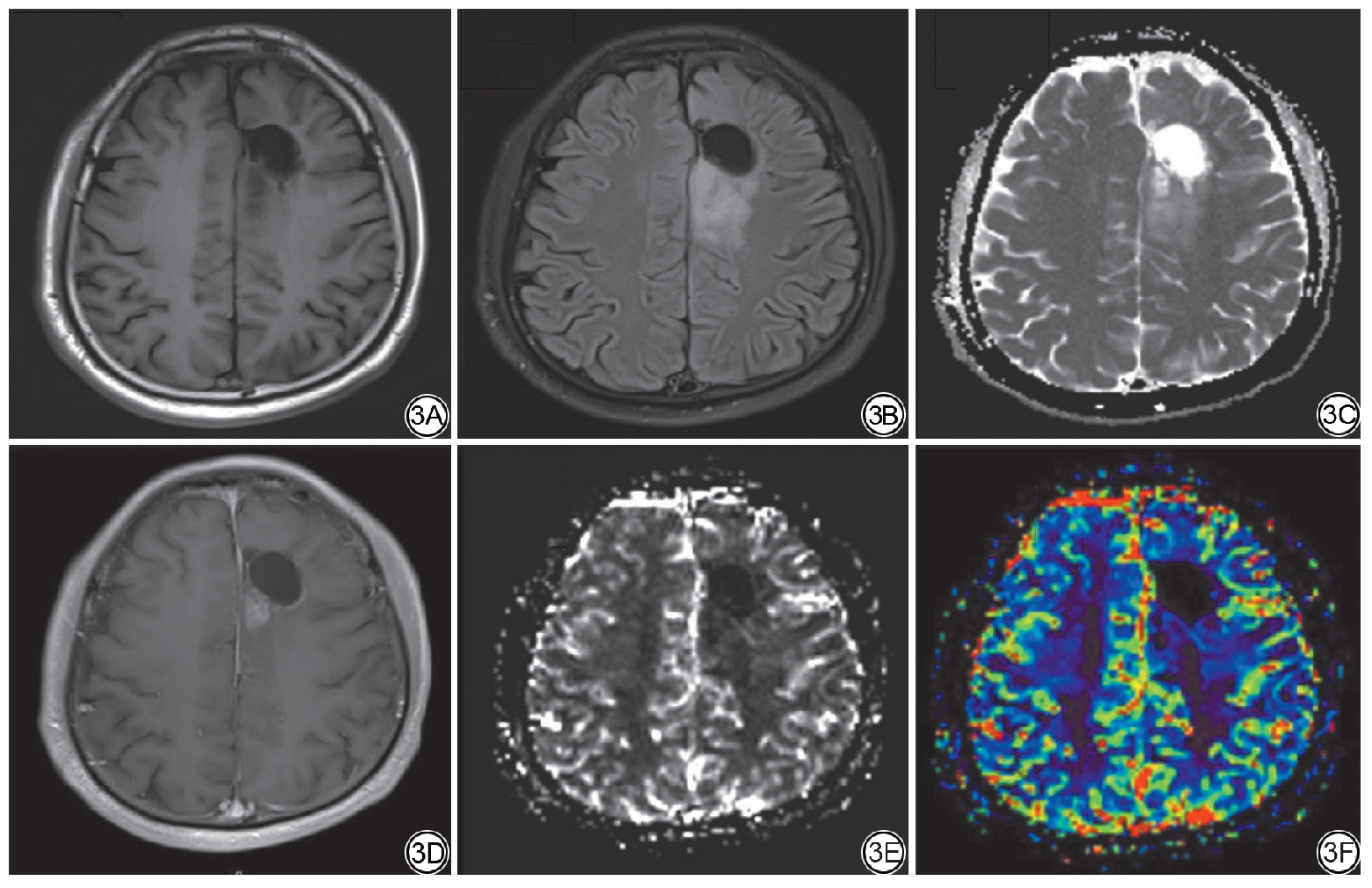
图3  高级别胶质瘤术后假性进展典型MRI 表现。图3A~3F 分别为病变在轴位T1WI、FLAIR、ADC、CE-T1WI、CBV、CBV-RGB 序列上的显示。左侧额叶术区后缘见一强化灶灌注未见明显增高。FLAIR:液体衰减反转恢复;ADC:表观扩散系数;CE-T1WI:T1 加权对比增强成像;CBV:脑血容量。
Fig. 3  Typical MRI manifestations of postoperative recurrence in high-grade glioma. Figures 3A-3F demonstrate the lesion on T1WI, FLAIR, ADC, CE-T 1WI, CBV, and CBV-RGB sequences, respectively. A contrast-enhancing lesion without significant hyperperfusion is observed along the posterior margin of the surgical cavity in the left frontal lobe. FLAIR: fluid-attenuated inversion recovery; ADC: apparent diffusion coefficient; CE-T1WI: T1-weighted contrast-enhanced imaging; CBV: cerebral blood volume.
表1  患者临床基本资料
Tab. 1  Basic clinical information of patients

2.2 影像学参数比较分析

       影像学参数统计结果见表2,TP组病灶强化区的rCBVmax中位数高于PsP组(Z=-5.829、P<0.05),病灶强化区的ADCmean中位数低于PsP组(Z=-5.761、P<0.05);TP组瘤周水肿区的ADCmean中位数低于PsP组(Z=-3.182、P<0.05),差异具有统计学意义。Logistic回归模型分析结果见表3,病灶强化区rCBV、病灶强化区ADC及瘤周水肿区ADC是鉴别脑胶质瘤术后TP与PsP的独立危险因素。上述三项单一参数及其联合参数的ROC曲线及AUC值见图4表4。其中,联合参数模型的诊断效能最佳(AUC=0.921),敏感度及特异度分别为87.7%和90.2%,病灶强化区rCBV、病灶强化区ADC模型的诊断效能接近。采用DeLong检验将联合参数模型分别与各单一参数模型进行对比,结果见表5。结果显示联合参数模型的诊断效能整体优于各单一参数模型,且联合参数模型与病灶强化区rCBV、瘤周水肿区ADC模型的诊断效能差异具有统计学意义(P值分别为0.030、<0.001)。

图4  病灶强化区rCBV、病灶强化区ADC、瘤周水肿区ADC及三者的联合参数鉴别脑胶质瘤术后复发与假性进展的ROC曲线。rCBV:相对脑血容量;ADC:表观扩散系数;ROC:受试者工作特征曲线;lesion_rCBV:病灶强化区rCBV;lesion_ADC:病灶强化区ADC;edema_ADC:瘤周水肿区ADC;combined_index:三者联合参数。
Fig. 4  ROC curves for differentiating postoperative glioma recurrence from pseudoprogression using rCBV and ADC metrics from the contrast-enhancing lesion and peritumoral edema region, both individually and in combination. rCBV: relative cerebral blood volume; ADC: apparent diffusion coefficient; ROC: receiver operating characteristic; lesion_rCBV: rCBV in the lesion enhancement area; lesion_ADC: ADC in the lesion enhancement area; edema_ADC: ADC in the peritumoral edema area; combined_index: a combined parameter of the three.
表2  复发组与假性进展组病灶强化区及瘤周水肿区rCBV及ADC比较
Tab. 2  Comparison of rCBV and ADC in the contrast-enhancing lesions and peritumoral edema regions between the recurrence group and pseudoprogression group
表3  Logistic回归模型对脑胶质瘤复发与假性进展各项参数的分析
Tab. 3  Logistic regression analysis of parameters for recurrence and pseudoprogression group
表4  ROC曲线分析
Tab. 4  ROC curve analysis​
表5  DeLong检验分析
Tab. 5  DeLong test analysis

3 讨论

       HGGs标准化治疗后TP与PsP在常规MRI上表现极其类似,但两者的治疗方案及预后完全不同,因此两者的准确鉴别成为临床的迫切需求[15, 23]。本研究通过联合常规MRI及灌注成像诊断效能较高,AUC值为0.921,敏感度为87.7%,特异度为90.2%,有助于无创地鉴别HGGs术后TP与PsP,为临床及时调整治疗策略及改善患者的生存状况提供指导和帮助。

3.1 常规MRI的鉴别价值

       本研究基于VASARI特征集评估病灶定位、病灶中心部位及病灶强化体积,结果显示TP组与PsP组在病灶定位、病灶中心部位上差异无统计学意义,表明HGGs术后TP与PsP的发生部位无特异性,无法通过解剖位置鉴别二者。而TP组病灶强化体积大于PsP组(P<0.05),提示病灶体积可能是辅助鉴别指标,但logistic回归分析显示其并非独立危险因素(OR=1.145,95% CI:0.885~1.481,P=0.303),可能因体积受手术残留、炎性反应程度等因素影响,单独使用价值有限。此外PsP组及TP组间的年龄与性别差异无统计学意义,与SIDIBE等的研究结果相符[26]

3.2 PWI及DWI的应用价值

       既往的研究多使用常规MRI扫描序列,对治疗后TP与PsP的鉴别诊断效能有限,其准确性和特异性均难以满足临床精准诊疗的需求[27, 28, 29]。目前PWI技术可以通过定量参数评价组织的血流灌注情况,间接反映组织的微血管分布,从而帮助鉴别诊断TP与PsP。PWI序列受不同机器及患者血管条件影响,图像质量存在差异,故评估标准需要量化[30, 31]。PEI等[32]的研究证明大多数灌注特征来自rCBV,因此通过rCBV值定量反映病灶强化实质区的脑血流情况,进而反映血管生成情况。本研究通过MRIcroGL软件标准化勾画病灶强化最大层面,并以对侧半卵圆中心为参照计算rCBV。结果显示,TP组病灶强化实质区的rCBVmax高于PsP组。在ROC曲线中,病灶强化区rCBV诊断效果最好,AUC值为0.837,具有较好的敏感性及特异性,可作为临床影像学评估的重要量化指标,这与严君等[33]的研究结果相符,其研究同样证实CBV对胶质瘤TP和PsP之间的鉴别有诊断价值。本研究结果中,瘤周水肿区rCBV差异无统计学意义,可能是由于勾画VOI时选择瘤周2 cm范围内的水肿区,肿瘤浸润程度存在差异,此外部分病灶强化区周围水肿带较少,勾画时存在误差[17]

       王信等[2]的研究结果表明,ADC和CBV值是HGGs患者的独立危险因素,此外DWI参数(ADC)及PWI参数对HGGs患者具有诊断价值,其中ADC值的诊断效能最大。但该研究仅预测脑胶质瘤病理分级,未应用到治疗后改变的鉴别诊断中。在本研究中,分别测量TP与PsP组瘤周水肿区的ADC值,统计结果显示TP组瘤周水肿区的ADCmean值低于PsP组。在ROC曲线中,瘤周水肿区的ADC值的AUC为0.684,诊断效果较好,表明ADC值可以反映胶质瘤的异质性,在胶质瘤术后瘤周测定研究中具有较好的敏感性及特异性。此外,病灶强化区的ADC值的AUC为0.833,诊断效果优于瘤周水肿区ADC,表明病灶强化区的影像学特征对脑胶质瘤术后TP及PsP鉴别诊断有重要作用。

3.3 多参数联合模型的优势

       本研究进一步发现联合病灶强化区rCBV、病灶强化区ADC及瘤周水肿区ADC三种参数的AUC值为0.921,敏感性及特异性较高,诊断效能优于单一参数模型。这源于不同病理生理维度的协同评估,rCBV主要反映血管生成,ADC主要反映细胞密度,克服了单一参数模型诊断的局限性。加入瘤周水肿区ADC后,进一步覆盖了肿瘤侵袭的微环境特征,表明联合运用多模态影像学评估能够更准确地鉴别脑胶质瘤术后TP与PsP,为后续治疗方案提供帮助,减少误诊及过度治疗。

3.4 不足与展望

       本研究存在以下局限性:(1)本研究是单一中心试验,样本量较少。后续可通过多中心收集数据,纳入符合要求的病例。(2)手动勾画VOI存在主观误差,未来可通过深度学习进行自动分割肿瘤病灶。(3)本研究为回顾性研究,这可能导致人口偏倚,后续可能进行前瞻性研究进一步验证结果的可靠性。(4)术后明确诊断TP与PsP的病理结果较少,后续将进一步扩大收集范围,补充样本。

4 结论

       联合常规MRI及灌注影像有助于鉴别脑胶质瘤术后TP与PsP,能够为临床医师提供可靠的鉴别诊断依据,从而指导个体化治疗方案的及时调整,对改善患者预后及延长生存期具有重要的临床价值。

[1]
LOUIS D N, PERRY A, WESSELING P, et al. The 2021 WHO Classification of Tumors of the Central Nervous System: a summary[J]. Neuro Oncol, 2021, 23(8): 1231-1251. DOI: 10.1093/neuonc/noab106.
[2]
王信, 王泽玮, 林泽辉. 多模态磁共振成像对脑胶质瘤及病理分级的诊断价值研究[J]. 循证医学, 2023, 23(2): 96-102. DOI: 10.12019/j.issn.1671-5144.2023.02.007.
WANG X, WANG Z W, LIN Z H. Diagnostic Value of Multimodal Magnetic Resonance Imaging in Glioma and Pathological Grading[J]. The Journal of Evidence-Based Medicine, 2023, 23(2): 96-102. DOI: 10.12019/j.issn.1671-5144.2023.02.007.
[3]
国家卫生健康委员会医政医管局, 中国抗癌协会脑胶质瘤专业委员会, 中国医师协会脑胶质瘤专业委员会. 脑胶质瘤诊疗指南(2022版)[J]. 中华神经外科杂志, 2022, 38(8): 757-777. DOI: 10.3760/cma.j.cn112050-20220510-00239.
Medical Administration Bureau NHC, Chinese Anti-Cancer Association CNS Committee, Chinese Medical Doctor Association Glioma Committee. Glioma Diagnosis and Treatment Guidelines (2022)[J]. Chinese Journal of Neurosurgery, 2022, 38(8): 757-777. DOI: 10.3760/cma.j.cn112050-20220510-00239.
[4]
ALIZADEH M, BROOMAND LOMER N, AZAMI M, et al. Radiomics: The New Promise for Differentiating Progression, Recurrence, Pseudoprogression, and Radionecrosis in Glioma and Glioblastoma Multiforme[J/OL]. Cancers (Basel), 2023, 15(18): 4429 [2025-08-26]. https://pmc.ncbi.nlm.nih.gov/articles/PMC10526457/. DOI: 10.3390/cancers15184429.
[5]
THUST S C, VAN DEN BENT M J, SMITS M. Pseudoprogression of brain tumors[J]. J Magn Reson Imaging, 2018, 48(3): 571-589. DOI: 10.1002/jmri.26171.
[6]
SIDIBE I, TENSAOUTI F, ROQUES M, et al. Pseudoprogression in Glioblastoma: Role of Metabolic and Functional MRI-Systematic Review[J/OL]. Biomedicines, 2022, 10(2): 285 [2025-08-26]. https://www.mdpi.com/2227-9059/10/2/285. DOI: 10.3390/biomedicines10020285.
[7]
许倩, 李梦双, 董丽娜, 等. 影像学新技术评估胶质瘤治疗后反应[J]. 中国医学影像技术, 2021, 37(5): 785-788. DOI: 10.1200/JCO.2009.26.3541.
XU Q, LI M S, DONG L N, et al. Imaging novel techniques in evaluation on post-treatment effects of glioma[J]. Chin J Med Imaging Technol, 2021, 37(5): 785-788. DOI: 10.1200/JCO.2009.26.3541.
[8]
YOO R E, CHOI S H. Recent Application of Advanced MR Imaging to Predict Pseudoprogression in High-grade Glioma Patients[J]. Magn Reson Med Sci, 2016, 15(2): 165-177. DOI: 10.2463/mrms.rev.2015-0053.
[9]
ZHANG J, WANG Y, WANG Y, et al. Perfusion magnetic resonance imaging in the differentiation between glioma recurrence and pseudoprogression: a systematic review, meta-analysis and meta-regression[J/OL]. Quant Imaging Med Surg, 2022, 12(10): 4805-4822. DOI: 10.21037/qims-22-32.
[10]
LI C, GAN Y, CHEN H, et al. Advanced multimodal imaging in differentiating glioma recurrence from post-radiotherapy changes[J]. Int Rev Neurobiol, 2020, 151: 281-297. DOI: 10.1016/bs.irn.2020.03.009.
[11]
LEE J, CHEN M M, LIU H L, et al. MR Perfusion Imaging for Gliomas[J]. Magn Reson Imaging Clin N Am. 2024 , 32(1): 73-83. DOI: 10.1016/j.mric.2023.07.003.
[12]
LI K, ZHU Q, YANG J, et al. Imaging and Liquid Biopsy for Distinguishing True Progression From Pseudoprogression in Gliomas, Current Advances and Challenges[J]. Acad Radiol, 2024, 31(8): 3366-3383. DOI: 10.1016/j.acra.2024.03.019.
[13]
TSAKIRIS C, SIEMPIS T, ALEXIOU G A, et al. Differentiation Between True Tumor Progression of Glioblastoma and Pseudoprogression Using Diffusion-Weighted Imaging and Perfusion-Weighted Imaging: Systematic Review and Meta-analysis[J/OL]. World Neurosurg, 2020, 144: e100-e109 [2025-08-26]. https://doi.org/10.1016/j.wneu.2020.07.218. DOI: 10.1016/j.wneu.2020.07.218.
[14]
VAN DIJKEN B R J, VAN LAAR P J, SMITS M, et al. Perfusion MRI in treatment evaluation of glioblastomas: Clinical relevance of current and future techniques[J]. J Magn Reson Imaging, 2019, 49(1): 11-22. DOI: 10.1002/jmri.26306.
[15]
JING H, YAN X, LI J, et al. The Value of Dynamic Contrast-Enhanced Magnetic Resonance Imaging (DCE-MRI) in the Differentiation of Pseudoprogression and Recurrence of Intracranial Gliomas[J/OL]. Contrast Media Mol Imaging, 2022, 2022: 5680522 [2025-08-26]. http://pmc-ncbi-nlm-nih-gov-s.webvpn.njmu.edu.cn:8118/articles/PMC9337951/. DOI: 10.1155/2022/5680522.
[16]
林洁, 苏春秋, 唐文天, 等. 基于T1WI增强影像组学在鉴别高级别胶质瘤复发与假性进展中的应用价值[J]. 南京医科大学学报(自然科学版), 2023, 43(9): 1279-1284. DOI: 10.7655/NYDXBNS20230915.
LIN J, SU C Q, TANG W T, et al. The value of contrast enhanced T1WI radiomics in differentiating high-grade glioma recurrence from pseudoprogression[J]. Journal of Nanjing Medical University (Natural Sciences), 2023, 43(9): 1279-1284. DOI: 10.7655/NYDXBNS20230915.
[17]
程梦雨, 杨哲, 范嘉玮, 等. 基于瘤周1 cm内ADC值构建的列线图模型预测胶质瘤术后进展的临床价值[J]. 磁共振成像, 2023, 14(1): 136-142, 150. DOI: 10.12015/issn.1674-8034.2023.01.024.
CHENG M Y, YANG Z, FAN J W, et al. Clinical value of a nomogram model based on ADC values within 1 cm around the tumor for predicting the postoperative progression of glioma[J]. Chin J Magn Reson Imaging, 2023, 14(1): 136-142, 150. DOI: 10.12015/issn.1674-8034.2023.01.024.
[18]
王茹, 王少彧, 张华鹏, 等. 瘤体、瘤周水肿区DCE-MRI对弥漫性胶质瘤分级的应用价值[J]. 磁共振成像, 2021, 12(6): 88-91. DOI: 10.12015/issn.1674-8034.2021.06.017.
WANG R, WANG S Y, ZHANG H P, et al. Application value of DCE-MRI in tumor body, peritumoral edema area in grading diffuse glioma[J]. Chin J Magn Reson Imaging, 2021, 12(6): 88-91. DOI: 10.12015/issn.1674-8034.2021.06.017.
[19]
ELLINGSON B M, SANVITO F, CLOUGHESY T F, et al. A Neuroradiologist's Guide to Operationalizing the Response Assessment in Neuro-Oncology (RANO) Criteria Version 2.0 for Gliomas in Adults[J]. AJNR Am J Neuroradiol, 2024, 45(12): 1846-1856. DOI: 10.3174/ajnr.A8396.
[20]
WEN P Y, VAN DEN BENT M, YOUSSEF G, et al. RANO 2.0: Update to the Response Assessment in Neuro-Oncology Criteria for High- and Low-Grade Gliomas in Adults[J]. J Clin Oncol, 2023, 41(33): 5187-5199. DOI: 10.1200/JCO.23.01059.
[21]
任彦, 尹波, 芮文婷, 等. 从影像医学的角度解读成人神经胶质瘤的神经肿瘤反应评价标准更新:RANO 2.0[J]. 肿瘤影像学, 2024, 33(2): 101-107. DOI: 10.19732/j.cnki.2096-6210.2024.02.001.
REN Y, YIN B, RUI W T, et al. Interpretation of update to the response assessment in neuro-oncology criteria for high- and low-grade gliomas in adults (RANO 2.0) from the perspective of imaging medicine[J]. Oncoradiology, 2024, 33(2): 101-107. DOI: 10.19732/j.cnki.2096-6210.2024.02.001.
[22]
GUTMAN D A, COOPER L A, HWANG S N, et al. MR imaging predictors of molecular profile and survival: multi-institutional study of the TCGA glioblastoma data set[J]. Radiology, 2013, 267(2): 560-569. DOI: 10.1148/radiol.13120118.
[23]
王丽英, 许仙花. MR 3D-ASL、DWI联合MGMT在高级别脑胶质瘤术后复发与假性进展鉴别诊断中的价值[J]. 实用放射学杂志, 2024, 40(4): 528-530. DOI: 10.3969/j.issn.1002-1671.2024.04.003.
WANG L Y, XU X H. Value of MR 3D-ASL, DWI combined with MGMT in the differential diagnosis of postoperative recurrence and pseudoprogression of high-gradegliom[J]. J Pract Radiol, 2024, 40(4): 528-530. DOI: 10.3969/j.issn.1002-1671.2024.04.003.
[24]
ROQUES M, CATALAA I, RAVENEAU M, et al. Assessment of the hypervascularized fraction of glioblastomas using a volume analysis of dynamic susceptibility contrast-enhanced MRI may help to identify pseudoprogression[J/OL]. PLoS One, 2022, 17(10): e0270216 [2025-08-26]. http://pmc-ncbi-nlm-nih-gov-s.webvpn.njmu.edu.cn:8118/articles/PMC9560146/. DOI: 10.1371/journal.pone.0270216.
[25]
QUAN G, ZHANG K, LIU Y, et al. Role of Dynamic Susceptibility Contrast Perfusion MRI in Glioma Progression Evaluation[J/OL]. J Oncol, 2021, 2021: 1696387 [2025-08-26]. http://pmc-ncbi-nlm-nih-gov-s.webvpn.njmu.edu.cn:8118/articles/PMC7886570/. DOI: 10.1155/2021/1696387.
[26]
SIDIBE I, TENSAOUTI F, GILHODES J, et al. Pseudoprogression in GBM versus true progression in patients with glioblastoma: A multiapproach analysis[J]. Radiother Oncol, 2023, 181: 109486 [2025-08-26]. https://doi.org/10.1016/j.radonc.2023.109486. DOI: 10.1016/j.radonc.2023.109486.
[27]
SUN Y Z, YAN L F, HAN Y, et al. Differentiation of Pseudoprogression from True Progressionin Glioblastoma Patients after Standard Treatment: A Machine Learning Strategy Combinedwith Radiomics Features from T1-weighted Contrast-enhanced Imaging[J/OL]. BMC Med Imaging, 2021, 21(1): 17 [2025-08-26]. http://pmc-ncbi-nlm-nih-gov-s.webvpn.njmu.edu.cn:8118/articles/PMC7860032/. DOI: 10.1186/s12880-020-00545-5.
[28]
FU F X, CAI Q L, LI G, et al. The efficacy of using a multiparametric magnetic resonance imaging-based radiomics model to distinguish glioma recurrence from pseudoprogression[J]. Magn Reson Imaging, 2024, 111: 168-178. DOI: 10.1016/j.mri.2024.05.003.
[29]
LEE J, WANG N, TURK S, et al. Discriminating pseudoprogression and true progression in diffuse infiltrating glioma using multi-parametric MRI data through deep learning[J/OL]. Sci Rep, 2020, 10(1): 20331 [2025-08-26]. http://pmc-ncbi-nlm-nih-gov-s.webvpn.njmu.edu.cn:8118/articles/PMC7683728/. DOI: 10.1038/s41598-020-77389-0.
[30]
SHIROISHI M S, ERICKSON B J, HU L S, et al. The QIBA Profile for Dynamic Susceptibility Contrast MRI Quantitative Imaging Biomarkers for Assessing Gliomas[J/OL]. Radiology, 2024, 313(3): e232555 [2025-08-26]. https://doi.org/10.1148/radiol.232555. DOI: 10.1148/radiol.232555.
[31]
NIEROBISCH N, LUDOVICHETTI R, KADALI K, et al. Comparison of clinically available dynamic susceptibility contrast post processing software to differentiate progression from pseudoprogression in post-treatment high grade glioma[J/OL]. Eur J Radiol, 2023, 167: 111076 [2025-08-26]. https://doi.org/10.1016/j.ejrad.2023.111076. DOI: 10.1016/j.ejrad.2023.111076.
[32]
PEI D, GUAN F, HONG X, et al. Radiomic features from dynamic susceptibility contrast perfusion-weighted imaging improve the three-class prediction of molecular subtypes in patients with adult diffuse gliomas[J]. Eur Radiol, 2023, 33(5): 3455-3466. DOI: 10.1007/s00330-023-09459-6.
[33]
严君, 徐瑾, 林慧慧, 等. MR动态磁敏感对比增强灌注成像鉴别脑胶质瘤复发与假性进展的应用研究[J]. 中国CT和MRI杂志, 2023, 21(10): 8-10, 22. DOI: 10.3969/j.issn.1672-5131.2023.10.003.
YAN J, XU J, LIN H H, et al. MR Dynamicsusceptibility Contrat Perfusion Imaging in Discrimination between the Recurrence and Pseudoprogression in Glioma[J]. Chinese Journal of CT and MRI, 2023, 21(10): 8-10, 22. DOI: 10.3969/j.issn.1672-5131.2023.10.003.

上一篇 单侧大脑中动脉粥样硬化性狭窄患者脑白质高信号与脑血流量及侧支循环的相关性研究
下一篇 4D Flow CMR评估AMI患者左室血流组分与左室功能的相关性研究
  
诚聘英才 | 广告合作 | 免责声明 | 版权声明
联系电话:010-67113815
京ICP备19028836号-2