分享:
分享到微信朋友圈
X
临床研究
钆贝葡胺与钆塞酸二钠增强MRI LI-RADS 2018版主要征象诊断HCC效能比较
楚惠茹 张宁 单浩鑫 潘晴晴 侯慧娟 顾玉浩 肖新广

本文引用格式:楚惠茹, 张宁, 单浩鑫, 等. 钆贝葡胺与钆塞酸二钠增强MRI LI-RADS 2018版主要征象诊断HCC效能比较[J]. 磁共振成像, 2026, 17(2): 88-93. DOI:10.12015/issn.1674-8034.2026.02.013.


[摘要] 目的 基于2018版肝脏影像报告与数据系统(liver imaging reporting and data system version 2018, LI-RADS v2018),比较钆贝葡胺(gadobenate dimeglumine, Gd-BOPTA)与钆塞酸二钠(gadoxetate disodium, Gd-EOB-DTPA)增强磁共振成像(magnetic resonance imaging, MRI)在肝细胞癌(hepatocellular carcinoma, HCC)中主要影像学特征及定量参数的差异,为临床肝脏MRI对比剂的合理选择提供循证依据。材料与方法 回顾性分析2020年1月至2025年1月在郑州大学附属郑州中心医院接受Gd-BOPTA或Gd-EOB-DTPA增强MRI并经病理诊断为HCC的患者共94例。两名经验丰富的放射科医师依据LI-RADS v2018标准独立评估主要影像学征象,并测量肿瘤-肝脏对比度(tumor-to-liver contrast, TLC)和肝脏相对强化程度(relative liver enhancement, RLE),比较两组差异。结果 在定性分析中,Gd-BOPTA组动脉期非环状高强化、非周边廓清及强化包膜的检出率高于Gd-EOB-DTPA组(P=0.028、P=0.004、P<0.001),而两组在肝胆期低信号征象的检出率差异无统计学意义(P=0.748)。此外,Gd-EOB-DTPA组动脉期瞬时性运动伪影的发生率高于Gd-BOPTA组(P=0.016)。在定量分析中,Gd-BOPTA组动脉期及门脉期的TLC与RLE均显著高于Gd-EOB-DTPA组。TLC在延迟期/移行期中两组间差异无统计学意义(P=0.931),但在肝胆期差异具有统计学意义(P=0.015);RLE在延迟期/移行期中差异具有统计学意义(P<0.001),而在肝胆期差异无统计学意义(P=0.759)。结论 Gd-BOPTA在LI-RADS v2018分级的主要影像学征象的检出率及定量参数方面呈现出一定优势,提示Gd-BOPTA相较于Gd-EOB-DTPA有着更高的HCC检出率,为临床干预和治疗提供了可靠的影像学依据。
[Abstract] Objective To compare the differences in major imaging features and quantitative parameters of hepatocellular carcinoma (HCC) between gadobenate dimeglumine (Gd-BOPTA) and gadoxetate disodium (Gd-EOB-DTPA) on dynamic contrast-enhanced MRI based on liver imaging reporting and data system version 2018 (LI-RADS v2018), and to provide evidence for the rational selection of hepatic MRI contrast agents in clinical practice.Materials and Methods This study retrospectively analyzed 94 patients who underwent Gd-BOPTA- or Gd-EOB-DTPA- enhanced MRI and were pathologically diagnosed with HCC at Zhengzhou Central Hospital Affiliated to Zhengzhou University between January 2020 and January 2025. Two experienced abdominal radiologists independently evaluated the major imaging features according to the LI-RADS v2018. Quantitative parameters, including tumor-to-liver contrast (TLC) and relative liver enhancement (RLE), were measured for each imaging phase and compared between the two contrast agent groups. Statistical analysis was conducted to compare both qualitative features and quantitative metrics between groups.Results In qualitative analysis, detection rates of nonrim arterial phase hyperenhancement (APHE), nonperipheral washout, and enhancing capsule were significantly higher in the Gd-BOPTA group (P = 0.028, P = 0.004, and P < 0.001), while no significant difference was found for hepatobiliary phase hypointensity (P = 0.748). The incidence of transient severe motion artifact in the arterial phase was higher in the Gd-EOB-DTPA group (P = 0.016). The Gd-BOPTA group showed significantly higher TLC and RLE than the Gd-EOB-DTPA group in the arterial and portal venous phases. No significant TLC difference was found in the delayed/transitional phase (P = 0.931), whereas a significant difference was observed in the hepatobiliary phase (P = 0.015). For RLE, a significant difference was noted in the delayed/transitional phase (P < 0.001), but not in the hepatobiliary phase (P = 0.759).Conclusions Gd-BOPTA can demonstrate certain advantages over Gd-EOB-DTPA in terms of both the detection rates of major imaging features defined by LI-RADS v2018 and quantitative imaging parameters, suggesting a potentially higher detection rate for HCC. These findings provide supportive imaging evidence for clinical intervention and treatment planning.
[关键词] 肝细胞癌;钆贝葡胺;钆塞酸二钠;2018版肝脏影像报告和数据系统;磁共振成像
[Keywords] hepatocellular carcinoma;gadobenate dimeglumine;gadoxetate disodium;liver imaging reporting and data system version 2018;magnetic resonance imaging

楚惠茹 1, 2   张宁 1   单浩鑫 1, 2   潘晴晴 1   侯慧娟 1, 2   顾玉浩 1, 2   肖新广 1*  

1 郑州大学附属郑州中心医院放射科,郑州 450007

2 河南医药大学研究生学院,新乡 453000

通信作者:肖新广,E-mail:xiaoxinguang126@126.com

作者贡献声明::肖新广设计本研究的方案,对稿件重要内容进行了修改,获得了郑州市科技惠民计划项目资助;楚惠茹起草、撰写稿件,获取、解释本研究的数据;张宁、肖新广扫描、整理患者资料,获取、分析或解释本研究的数据,对稿件重要内容进行了修改;单浩鑫、潘晴晴、侯慧娟、顾玉浩统计、分析数据,对稿件重要内容进行了修改;全体作者都同意发表最后的修改稿,同意对本研究的所有方面负责,确保本研究的准确性和诚信。


基金项目: 郑州市科技惠民计划项目 2023KJHM0016
收稿日期:2025-10-21
接受日期:2026-01-26
中图分类号:R445.2  R735.7 
文献标识码:A
DOI: 10.12015/issn.1674-8034.2026.02.013
本文引用格式:楚惠茹, 张宁, 单浩鑫, 等. 钆贝葡胺与钆塞酸二钠增强MRI LI-RADS 2018版主要征象诊断HCC效能比较[J]. 磁共振成像, 2026, 17(2): 88-93. DOI:10.12015/issn.1674-8034.2026.02.013.

0 引言

       钆塞酸二钠(gadoxetate disodium, Gd-EOB-DTPA)与钆贝葡胺(gadobenate dimeglumine, Gd-BOPTA)是临床广泛应用的两种肝胆特异性对比剂,二者在药物组成和代谢途径上存在差异[1, 2]。Gd-EOB-DTPA主要经肝脏摄取性转运体OATP1B3高亲和力摄取,并主要通过胆道排泄,使正常肝实质在肝胆期显著强化;而Gd-BOPTA对肝脏摄取性转运体OATP1B1的亲和力更高,主要经肾脏清除[3, 4, 5]。在药代动力学上,Gd-BOPTA在动态增强期维持较高且稳定的血池浓度,更有利于显示肝细胞癌(hepatocellular carcinoma, HCC)的动脉期非环状强化、非周边廓清及强化包膜等主要影像学征象。Gd-EOB-DTPA血池浓度较低且背景肝实质较早强化,可能降低病灶与肝实质之间的对比度[6]。研究显示两者在预测HCC干细胞标志物细胞角蛋白19、磷脂酰肌醇蛋白聚糖3、微血管侵犯(microvascular invasion, MVI)和血管包绕肿瘤巢(vessels encapsulating tumor clusters, VETC)等生物学行为均具有良好的诊断性能[7, 8, 9, 10, 11]。然而,两者在临床应用中各有局限性,Gd-EOB-DTPA在动脉期易出现一过性严重的呼吸运动伪影,可能导致图像质量下降[12];而Gd-BOPTA的肝胆期延迟时间较长,检查时间相对延长[13, 14]

       张瑶等[15]研究发现,Gd-BOPTA增强MRI在HBV相关肝癌包膜检出率、敏感度及准确性均优于Gd-EOB-DTPA。此外,既往研究证实,国产Gd-EOB-DTPA与原研制剂在肝脏MRI图像质量及强化表现方面具有良好一致性[16],但现有研究多基于原研制剂开展,关于国产Gd-EOB-DTPA与Gd-BOPTA在HCC磁共振成像(magnetic resonance imaging, MRI)中的图像质量差异及其对2018版肝脏影像报告及数据系统(liver imaging reporting and data system version 2018, LI-RADS v2018)主要征象显示能力及诊断价值的比较仍较为缺乏。

       基于此,本研究拟比较国产Gd-EOB-DTPA与Gd-BOPTA对比剂在LI-RADS v2018主要征象显示中的差异,并进一步分析动态增强各时期病灶与肝实质之间的信号对比度差异,从而评估二者在显示LI-RADS v2018主要征象、图像质量及定量特征方面的差异,为临床肝脏MRI对比剂的合理选择提供循证依据。

1 材料与方法

1.1 研究对象

       本研究采用回顾性非随机对照的队列研究设计,收集自2020年1月至2025年1月在郑州大学附属郑州中心医院接受肝胆特异性对比剂增强MRI检查的94例HCC患者的临床及影像资料。

       纳入标准:(1)年龄≥18岁;(2)经病理学证实或符合《原发性肝癌诊疗指南(2024)》[17]的临床诊断标准;(3)无术前肝脏肿瘤相关治疗史(放疗、化疗或射频消融等);(4)临床资料完整;(5)图像质量满足诊断要求。排除标准:(1)患者病历资料不完整;(2)既往接受过射频消融或其他针对HCC的相关治疗;(3)图像伪影严重,影响影像学评估。本研究遵守《赫尔辛基宣言》,经过郑州大学附属郑州中心医院伦理委员会批准,免除受试者知情同意,批准文号:ZXYY2025137。

1.2 MRI扫描方案与技术参数

       MRI扫描采用Siemens MAGNETOM skyra 3.0 T成像系统,配备8通道体部相控阵线圈,扫描范围覆盖膈顶至肝脏下缘,患者扫描前空腹4~6 h。平扫序列包括:常规T2WI、弥散加权成像(diffusion weighted imaging, DWI)及T1WI,其中T2WI采用脂肪抑制快速自旋回波序列,横轴位T1WI采用双回波梯度回波序列。动态增强MRI采用多期动态增强扫描,Gd-EOB-DTPA(正大天晴药业集团股份有限公司)与Gd-BOPTA(上海博莱科信谊药业有限责任公司)的注射剂量分别为0.025 mmol/kg和0.1 mmol/kg,均于注射后20~30 s、60~90 s及3~5 min分别采集动脉期、门静脉期及移行期或延迟期图像;Gd-EOB-DTPA与Gd-BOPTA肝胆期采集时间点则分别为注射后20 min与90 min。增强期及肝胆期T1WI采用三维梯度回波序列。具体扫描参数详见表1

表1  肝脏MRI扫描序列和参数
Tab. 1  MRI acquisition and acquisition parameters for liver

1.3 图像分析

       由两名分别具有10年和15年腹部MRI诊断经验的放射科主治医师及副主任医师对影像资料进行定性与定量评估。定性分析由两位医师独立完成,若结果存在分歧,则通过协商讨论达成一致意见;定量分析由两位医师分别测量并取其平均值。由于Gd-BOPTA与Gd-EOB-DTPA在肝胆期成像时间存在差异,本研究未采用对比剂盲法设计,两位医师在评估过程中均未知患者的临床诊断及病理结果。定性指标中LI-RADS v2018主要征象包括非环状动脉期高强化、非周边廓清、强化包膜,并评估肝胆期低信号。定量指标于后处理工作站上进行分析,选取T1WI动态增强序列(蒙片、动脉期、门脉期、移行期/延迟期及肝胆期),手动勾画圆形感兴趣区(region of interest, ROI),尽可能避开血管、出血及囊变区域,肝实质的ROI选择远离病灶的邻近正常肝组织,面积约为200 mm2。分别计算动脉期、门脉期、延迟期(移行期)及肝胆期肿瘤-肝脏对比(tumor-to-liver contrast, TLC)[11]及肝脏相对强化程度(relative liver enhancement, RLE)[18]。详见公式1~2

       其中SItumor为肿瘤信号强度,SIliver为肝脏信号强度,post表示增强后,pre表示增强前。

       动脉期伪影评分采用国际通用的五分法体系[1, 19]进行判定:1分为无伪影;2分为轻度伪影,不影响诊断;3分为中度伪影,对诊断造成轻微影响;4分为重度伪影,显著影响诊断;5分为极重度伪影,图像无法用于诊断。两名医师分别对各期相序列进行独立评分,并取其平均值作为该期相的最终伪影评分。当患者动脉期图像的呼吸运动伪影平均分>4分,且平扫及其他增强期相的平均分<2分时,判定该病例存在动脉期瞬时性运动伪影(transient severe motion, TSM)。

1.4 统计学方法

       所有数据的统计分析均采用SPSS 27.0软件进行,连续变量在分析前首先进行Kolmogorov–Smirnov检验评估其正态性,若数据符合正态分布,则进一步采用Levene检验评估方差齐性。对于满足正态分布且方差齐的计量资料,以均数±标准差(x¯±s)表示,组间比较使用独立样本t检验;对于不符合正态分布的计量资料,以中位数(第25位,第75位)[MP25,P75)]表示,采用Mann-Whitney U检验进行组间比较。分类变量以例数(百分比)表示,采用χ2检验进行组间比较。为评估阅片者间对定量指标测量结果的一致性,采用组内相关系数(intra-class correlation coefficient, ICC)分析,ICC<0.40表示一致性较差,0.40≤ICC≤0.75表示中等一致性,ICC>0.75表示一致性良好。对于定性指标采用Kappa检验评估阅片一致性,Kappa≤0.40为一致性较差,0.40<Kappa≤0.60为一致性中等,0.60<Kappa≤0.80为一致性良好;Kappa>0.80表示一致性极好。所有统计检验均为双侧检验,以P<0.05为差异具有统计学意义。

2 结果

2.1 临床基本资料

       本研究共纳入HCC患者94例,其中Gd-EOB-DTPA组47例,Gd-BOPTA组47例。两组在性别、年龄、病灶最大径、腹水、胸腔积液、COPD、肝功能Child–Pugh分级以及HCC诊断方式等基线特征方面差异均无统计学意义(P>0.05)。两组患者的一般临床资料比较结果详见表2

表2  患者临床资料比较
Tab. 2  Comparison of clinical data of patients

2.2 Gd-BOPTA组和Gd-EOB-DTPA组HCC患者定性指标的比较

       在动脉期非环状高强化、非周边廓清及强化包膜征象的评估中,Gd-BOPTA组的检出率分别为91.5%、83.0%和51.1%,均高于Gd-EOB-DTPA组,且差异具有统计学意义(P=0.028、P=0.004和P<0.001)。两组在肝胆期低信号征象的检出率方面差异无统计学意义(P=0.748)。在LI-RADS v2018分级方面,两组之间差异具有统计学意义(P=0.048)。此外,Gd-BOPTA组动脉期伪影发生率为8.5%,显著低于Gd-EOB-DTPA组的27.7%(P=0.016)。两位医师在定性数据评估中的Kappa值均>0.75,表明观察者间具有良好一致性。定性分析结果见表3。Gd-EOB-DTPA和Gd-BOPTA增强MRI下HCC的影像图像分别见图1图2

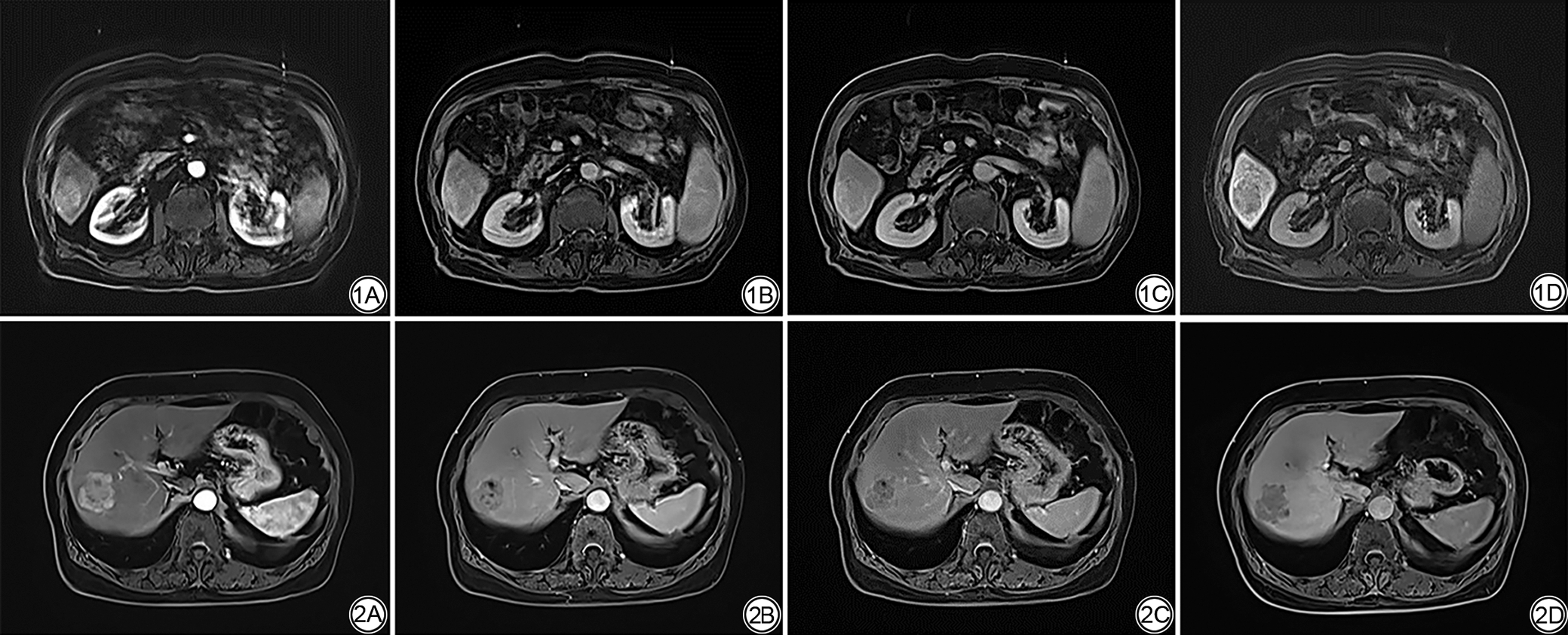
图1  男,83岁,诊断为肝细胞癌,Child-Pugh分级为A级。1A~1D分别为钆塞酸二钠增强MRI动脉期、门脉期、移行期及肝胆期图像,动脉期图像存在伪影,但病灶仍可见明显非环状强化,门脉期病灶部分区域强化程度减退,非周边廓清征象不典型,肝胆期呈明显低信号。
图2  女,73岁,诊断为肝细胞癌,Child-Pugh分级为A级。2A~2D分别为钆贝葡胺增强MRI动脉期、门脉期、移行期及肝胆期图像,显示病灶在动脉期呈明显非环状强化,门脉期及延迟期可见典型非周边廓清征象。肝胆期呈明显的低信号。
Fig. 1  Male, 83 years old, diagnosed with hepatocellular carcinoma, Child-Pugh class A. 1A-1D images respectively for gadoxetate disodium-enhanced MRI obtained in the arterial, portal venous, transitional, and hepatobiliary phases, the lesion image is affected by artifacts; however, the lesion still shows nonrim arterial phase hyperenhancement, in the portal venous phase, partial attenuation of enhancement is observed without a typical nonperipheral washout appearance, the lesion shows marked hypointensity in the hepatobiliary phase.
Fig. 2  Female, 73 years old, diagnosed with hepatocellular carcinoma. Child-Pugh class A.(2A-2D) Gd-BOPTA-enhanced MRI images obtained in the arterial, portal venous, delayed, and hepatobiliary phases. The lesion shows nonrim arterial phase hyperenhancement (APHE), followed by typical nonperipheral washout in the portal venous and delayed phases, and shows marked hypointensity in the hepatobiliary phase.
表3  Gd-BOPTA组和Gd-EOB-DTPA组定性指标比较
Tab. 3  Comparison of qualitative imaging features between Gd-BOPTA and Gd-EOB-DTPA groups

2.3 Gd-BOPTA组和Gd-EOB-DTPA组HCC患者定量指标的比较

       在动脉期、门脉期及肝胆期的TLC方面,Gd-BOPTA组均高于Gd-EOB-DTPA组(P=0.003、0.031和0.015),而在平扫期及延迟期/移行期TLC差异均无统计学意义(P=0.725、0.931)。同时,在RLE的比较中,动脉期、门脉期及延迟期/移行期两组间差异均具有统计学意义(P=0.030、P<0.001、P<0.001),而肝胆期差异无统计学意义(P=0.759)。两名医师在定量数据测量中的ICC值均>0.75,表明测量结果具有良好一致性。定量分析结果见表4

表4  Gd-BOPTA组和Gd-EOB-DTPA组定量指标比较
Tab. 4  Comparison of quantitative imaging parameters between Gd-BOPTA and Gd-EOB-DTPA groups

3 讨论

       本研究根据LI-RADS v2018首次对分别使用国产Gd-EOB-DTPA与Gd-BOPTA的HCC患者进行定量及定性分析,结果显示两种对比剂在LI-RADS v2018主要影像学征象的显示能力及定量参数表现方面存在一定差异,为临床肝脏MRI对比剂的选择提供了影像学依据。

3.1 Gd-BOPTA较Gd-EOB-DTPA在LI-RADS v2018主要影像学征象中的优势及其机制探讨

       在本研究中,两组对比剂在动脉期非环状高强化、非周边廓清及强化包膜的检出率上均存在统计学差异,Gd-BOPTA组上述特征检出病例分别为43例、39例和24例,均高于Gd-EOB-DTPA组的35例、26例和5例,该结果与以往的研究[20, 21, 22]一致。Gd-EOB-DTPA组动脉期强化程度相对Gd-BOPTA组较弱,STOCKER等[23]的研究亦支持本研究结果。这可能与Gd-EOB-DTPA注射剂量较低有关,因此在血管中停留的时间缩短,峰值时间短,影响HCC动脉期强化的观察[24]

       非周边廓清及强化包膜的判定受两个因素共同影响,即病灶内对比剂的廓清与周围肝实质的进行性强化[25, 26]。Gd-EOB-DTPA在注射后90秒即被正常肝细胞开始摄取[27],从而使背景肝实质信号迅速升高,此时,廓清不明显的HCC病灶可能因肝实质高信号的衬托而表现为假性廓清或相对低信号,因此,LI-RADS v2018将Gd-EOB-DTPA的廓清评估限制在门脉期[28, 29],而部分病理类型的HCC即使在门脉期仍表现为持续强化,可能会限制对其廓清表现的识别[30, 31]。此外,Gd-EOB-DTPA增强后肝实质的高信号也会干扰包膜的显示[32],强化包膜是HCC的重要影像学特征之一,反映了肿瘤周边纤维组织与新生血管的存在[33, 34, 35],Gd-BOPTA因主要分布于细胞外间隙,在延迟期更易滞留于纤维组织中,使包膜显示更清晰[2],而Gd-EOB-DTPA因被肝细胞快速摄取并排入胆道,纤维组织强化不明显,因此包膜检出率较低,上述发现与张瑶等[15]的研究结果一致。Gd-EOB-DTPA易在动脉期产生图像模糊与运动伪影[36],从而影响病灶动脉期强化的准确评估。

       本研究中,Gd-EOB-DTPA组TSM发生率为27.7%,显著高于Gd-BOPTA的8.5%,这与既往的多项研究[30, 37]一致。即便在采用低流率注射(1 mL/s)及规范化呼吸训练等技术优化措施后,Gd-EOB-DTPA组仍表现出更高的动脉期伪影发生率,这提示除扫描参数与患者配合因素外,动脉期伪影的发生尚可能与对比剂本身所致的瞬时循环动力学或生理反应相关[19, 38]。因此,现有的防范措施虽具有一定效果,但其作用仍存在一定局限性。未来研究可在临床基线条件严格匹配的前提下,结合更加系统的动脉期伪影防范措施,进一步比较两种对比剂在动脉期伪影发生率及其对诊断性能的影响。

3.2 Gd-BOPTA与Gd-EOB-DTPA在定量参数的比较

       RONG等[20]基于LI-RADS v2018对Gd-BOPTA和Gd-EOB-DTPA在HCC诊断中的应用价值进行了比较,但并未涉及定量参数的比较。本研究结果表明,Gd-BOPTA组动脉期及门脉期的TLC与RLE均显著高于Gd-EOB-DTPA组,更清晰地反映肿瘤与周围肝实质之间的信号差异,这一特征使其在早期或小体积HCC病灶的识别中具有潜在的诊断优势。Gd-BOPTA的肝细胞摄取率仅为3%~5%[5],大部分分布于血管内,其较高的弛豫率使肝动脉、门静脉以及富血供肿瘤的强化效果均十分显著,此外,正常肝实质血供主要来自门静脉[39],这也解释了Gd-BOPTA组肝实质与肿瘤之间形成更明显的信号对比的原因。相比之下,Gd-EOB-DTPA在肝实质中的摄取程度一部分受肝细胞的数量和功能影响,另一方面,该对比剂可通过肝胆系统和肾小球滤过双途径清除[40],这可能是其肝实质摄取能力下降的另一原因。TLC、RLE是评估肝功能的经典定量参数[41],本研究初步比较了Gd-BOPTA与Gd-EOB-DTPA的定量参数,后续可进一步探讨两对比剂在肝功能评估中的应用价值。

3.3 本研究的局限性及展望

       本研究亦存在一定局限性:(1)本研究为单中心、回顾性研究,样本量相对有限;(2)部分HCC病灶的诊断依据为临床诊断而非病理证实,可能在一定程度上限制了对肿瘤组织学特征与影像表现之间关系的深入分析;(3)未在同一受试者中使用两种对比剂,其主要原因在于临床实践中,HCC一经影像学确诊后通常需尽快进行治疗,使同一患者短期内重复接受不同对比剂增强MRI在伦理及实际操作层面均存在一定限制。为弥补此不足,我们通过基线资料匹配控制混杂因素,两组患者的临床基线资料(如年龄、性别、肝功能分级等)及肿瘤最大直径均无显著统计学差异。未来可在前瞻性、同一受试者、多中心的研究框架下,结合更加完整的病理与分子分型信息,以更加全面地评估不同对比剂在各类HCC亚型中的影像学表现差异。

4 结论

       综上所述,与Gd-EOB-DTPA组相比,Gd-BOPTA组在HCC增强MRI中对LI-RADS v2018主要影像学征象的检出率及部分定量参数方面呈现出一定优势,同时其动脉期瞬时性运动伪影发生率较低,这为临床根据具体情况选择肝胆特异性对比剂提供了参考依据。

[1]
杨婷, 叶铮, 姚杉, 等. 国产肝脏特异性磁共振对比剂(钆塞酸二钠)的临床安全性及诊断有效性评价[J]. 中华肝脏病杂志, 2023, 31(2): 161-167. DOI: 10.3760/cma.j.cn501113-20210411-00178.
YANG T, YE Z, YAO S, et al. Evaluation of clinical safety and diagnostic efficacy of domestic liver-specific magnetic resonance contrast agent (gadoxetate disodium)[J]. Chin J Hepatol, 2023, 31(2): 161-167. DOI: 10.3760/cma.j.cn501113-20210411-00178.
[2]
ZHENG W J, HUANG H J, SHE D J, et al. Added-value of ancillary imaging features for differentiating hepatocellular carcinoma from intrahepatic mass-forming cholangiocarcinoma on Gd-BOPTA-enhanced MRI in LI-RADS M[J]. Abdom Radiol (NY), 2022, 47(3): 957-968. DOI: 10.1007/s00261-021-03380-6.
[3]
郑婉静, 邢振, 熊美连, 等. 钆贝葡胺多期增强MRI预测肝细胞癌细胞角蛋白19表达状态的研究[J]. 中华放射学杂志, 2021, 55(6): 644-649. DOI: 10.3760/cma.j.cn112149-20200428-00623.
ZHENG W J, XING Z, XIONG M L, et al. The value of gadobenate dimeglumine multi-phase enhanced MRI in predicting the expression of cytokeratin19 in hepatocellular carcinoma[J]. Chin J Radiol, 2021, 55(6): 644-649. DOI: 10.3760/cma.j.cn112149-20200428-00623.
[4]
XU W Y, XIAO X H, CAI Z, et al. Highly inert Gd-DOTA-based contrast agents with a lipophilic side chain for hepatobiliary and vascular magnetic resonance imaging[J]. J Med Chem, 2025, 68(24): 26478-26493. DOI: 10.1021/acs.jmedchem.5c02762.
[5]
MENG Z N, XIE S D, CAO J, et al. Evaluation of liver fibrosis staging in patients with chronic hepatitis via the gadolinium washout rate: a comparative study with magnetic resonance elastography and pathology[J]. Quant Imaging Med Surg, 2025, 15(10): 10094-10112. DOI: 10.21037/qims-2024-2621.
[6]
MURAKAMI T, SOFUE K, HORI M. Diagnosis of hepatocellular carcinoma using Gd-EOB-DTPA MR imaging[J]. Magn Reson Med Sci, 2022, 21(1): 168-181. DOI: 10.2463/mrms.rev.2021-0031.
[7]
张宁, 武明辉, 于长江, 等. 钆塞酸二钠增强MRI的LI-RADS征象术前预测GPC3阳性肝细胞癌及术后复发的研究[J]. 中华放射学杂志, 2024, 58(1): 64-70. DOI: 10.3760/cma.j.cn112149-20230922-00224.
ZHANG N, WU M H, YU C J, et al. Preoperative prediction of GPC3 positive hepatocellular carcinoma and postoperative recurrence with the LI-RADS features on gadoxetate disodium-enhanced MRI[J]. Chin J Radiol, 2024, 58(1): 64-70. DOI: 10.3760/cma.j.cn112149-20230922-00224.
[8]
QIN Q, DENG L P, CHEN J, et al. The value of MRI in predicting hepatocellular carcinoma with cytokeratin 19 expression: a systematic review and meta-analysis[J/OL]. Clin Radiol, 2023, 78(12): e975-e984 [2025-10-07]. https://pubmed.ncbi.nlm.nih.gov/37783612/. DOI: 10.1016/j.crad.2023.08.013.
[9]
GU M T, ZOU W J, CHEN H L, et al. Multilayer perceptron deep learning radiomics model based on Gd-BOPTA MRI to identify vessels encapsulating tumor clusters in hepatocellular carcinoma: a multi-center study[J/OL]. Cancer Imaging, 2025, 25(1): 87 [2025-10-07]. https://pubmed.ncbi.nlm.nih.gov/40624579/. DOI: 10.1186/s40644-025-00895-9.
[10]
ZHANG J, LI Y Q, XIA J J, et al. Prediction of microvascular invasion and recurrence after curative resection of LI-RADS category 5 hepatocellular carcinoma on Gd-BOPTA enhanced MRI[J]. J Hepatocell Carcinoma, 2024, 11: 941-952. DOI: 10.2147/JHC.S459686.
[11]
马慧, 王莉, 孙之, 等. 基于临床指标和钆贝葡胺增强MRI列线图预测肝细胞癌GPC-3表达的研究[J]. 中华放射学杂志, 2022, 56(11): 1230-1236. DOI: 10.3760/cma.j.cn112149-20220314-00235.
MA H, WANG L, SUN Z, et al. A nomogram based on clinical factors and gadobenate dimeglumine-enhanced MRI for prediction of GPC-3 expression in hepatocellular carcinoma[J]. Chin J Radiol, 2022, 56(11): 1230-1236. DOI: 10.3760/cma.j.cn112149-20220314-00235.
[12]
KIM J H, YOON J H, KIM S W, et al. Application of a deep learning algorithm for three-dimensional T1-weighted gradient-echo imaging of gadoxetic acid-enhanced MRI in patients at a high risk of hepatocellular carcinoma[J]. Abdom Radiol (NY), 2024, 49(3): 738-747. DOI: 10.1007/s00261-023-04124-4.
[13]
中华医学会放射学分会腹部学组. 磁共振成像对比剂钆贝葡胺肝脏应用专家共识[J]. 中华肝胆外科杂志, 2017, 23(9): 577-584. DOI: 10.3760/cma.j.issn.1007-8118.2017.09.001.
Subspecialty Group of Abdominal Radiology of Chinese Society of Radiology. Expert consensus on hepatic application of MRI contrast agent Gd-BOPTA[J]. Chin J Hepatobiliary Surg, 2017, 23(9): 577-584. DOI: 10.3760/cma.j.issn.1007-8118.2017.09.001.
[14]
中华医学会影像技术分会国际交流学组. 肝胆特异性对比剂钆塞酸二钠增强MRI扫描方案专家共识[J]. 中华放射学杂志, 2019, 53(12): 1040-1044. DOI: 10.3760/cma.j.issn.1005-1201.2019.12.005.
International Exchange Group of Imaging Technology Branch of Chinese Medical AssociationInternational Exchange Group of Imaging Technology Society of Chinese Medical Association. Expert consensus on hepatobiliary specific contrast agent gadolinium-ethoxybenzyl-diethylenetriamine pentaacetic acid enhanced MRI scanning scheme [J]. Chin J Radiol, 2019, 53(12): 1040-1044. DOI: 10.3760/cma.j.issn.1005-1201.2019.12.005.
[15]
张瑶, 张林启, 陈景标, 等. 钆贝葡胺与钆塞酸二钠增强MRI诊断HBV相关肝癌包膜的效能比较[J]. 中华肝脏外科手术学电子杂志, 2020, 9(1): 72-76. DOI: 10.3877/cma.j.issn.2095-3232.2020.01.016.
ZHANG Y, ZHANG L Q, CHEN J B, et al. Comparison of diagnostic efficiency between Gd-BOPTA-and Gd-EOB-DTPA-enhanced MRI for HBV-related hepatocellular carcinoma capsule[J]. Chin J Hepatic Surg, 2020, 9(1): 72-76. DOI: 10.3877/cma.j.issn.2095-3232.2020.01.016.
[16]
魏焕焕, 付芳芳, 杨燕, 等. 国内外肝胆特异性对比剂钆塞酸二钠的临床应用对比研究[J]. 磁共振成像, 2023, 14(1): 89-93. DOI: 10.12015/issn.1674-8034.2023.01.016.
WEI H H, FU F F, YANG Y, et al. A comparative study on the clinical application of domestic hepatobiliary specific contrast agent and foreign hepatobiliary specific contrast agent Gd-EOB-DTPA[J]. Chin J Magn Reson Imaging, 2023, 14(1): 89-93. DOI: 10.12015/issn.1674-8034.2023.01.016.
[17]
中华人民共和国国家卫生健康委员会医政司. 原发性肝癌诊疗指南(2024年版)[J]. 协和医学杂志, 2024, 15(3): 532-559. DOI: 10.3760/cma.j.issn.1000-8039.2024.12.112.
Department of Medical Administration of National Health Commission of the People's Republic of China. Clinical practice guideline for primary liver cancer(2024 edition)[J]. Med J Peking Union Med Coll Hosp, 2024, 15(3): 532-559. DOI: 10.3760/cma.j.issn.1000-8039.2024.12.112.
[18]
杨品, 姜艳丽, 王鹏飞, 等. Gd-EOB-DTPA增强MRI T1 mapping技术对肝功能评估的诊断价值[J]. 临床放射学杂志, 2023, 42(5): 773-777. DOI: 10.13437/j.cnki.jcr.2023.05.020.
YANG P, JIANG Y L, WANG P F, et al. The diagnostic performance of Gd-EOB-DTPA-enhanced MRI T1 mapping for liver function assessment[J]. J Clin Radiol, 2023, 42(5): 773-777. DOI: 10.13437/j.cnki.jcr.2023.05.020.
[19]
IPPOLITO D, MAINO C, PECORELLI A, et al. Influence of injection rate in determining the development of artifacts during the acquisition of dynamic arterial phase in Gd-EOB-DTPA MRI studies[J]. MAGMA, 2021, 34(1): 133-140. DOI: 10.1007/s10334-020-00857-1.
[20]
RONG D L, HE B J, TANG W J, et al. Comparison of gadobenate-enhanced MRI and gadoxetate-enhanced MRI for hepatocellular carcinoma detection using LI-RADS version 2018: a prospective intraindividual randomized study[J]. Am J Roentgenol, 2022, 218(4): 687-698. DOI: 10.2214/ajr.21.26818.
[21]
TANG W J, XIAO Y Q, KUANG S C, et al. Intraindividual crossover comparison of gadobenate dimeglumine-enhanced and gadoxetate disodium-enhanced MRI for characterizing focal liver lesions[J/OL]. Eur Radiol Exp, 2025, 9(1): 23 [2025-10-07]. https://pubmed.ncbi.nlm.nih.gov/39966271/. DOI: 10.1186/s41747-025-00551-8.
[22]
JEONG B, HAN D H, LEE S, et al. Diagnosing HCC with conventional and late portal venous phase MRI: intraindividual comparison of MRI with extracellular contrast agent[J/OL]. Eur Radiol, 2025: [2025-10-29]. https://pubmed.ncbi.nlm.nih.gov/41136757/. DOI: 10.1007/s00330-025-12082-2.
[23]
STOCKER D, HECTORS S, BANE O, et al. Dynamic contrast-enhanced MRI perfusion quantification in hepatocellular carcinoma: comparison of gadoxetate disodium and gadobenate dimeglumine[J]. Eur Radiol, 2021, 31(12): 9306-9315. DOI: 10.1007/s00330-021-08068-5.
[24]
MARTH T, FROEHLICH J M, NANZ D, et al. Gadolinium concentration dependent signal enhancement profiles using routine clinical sequences with gadopiclenol, gadoterate, gadobutrol, and gadoxetate at 1.5, 3 and 7 Tesla[J/OL]. Eur J Radiol, 2025, 191: 112322 [2025-11-07]. https://pubmed.ncbi.nlm.nih.gov/40738013/. DOI: 10.1016/j.ejrad.2025.112322.
[25]
MIN J H, KIM J M, KIM Y K, et al. Magnetic resonance imaging with extracellular contrast detects hepatocellular carcinoma with greater accuracy than with gadoxetic acid or computed tomography[J/OL]. Clin Gastroenterol Hepatol, 2020, 18(9): 2091-2100.e7 [2025-11-07]. https://pubmed.ncbi.nlm.nih.gov/31843599/. DOI: 10.1016/j.cgh.2019.12.010.
[26]
KIM Y Y, KIM Y K, MIN J H, et al. Intraindividual comparison of hepatocellular carcinoma washout between MRIs with hepatobiliary and extracellular contrast agents[J]. Korean J Radiol, 2021, 22(5): 725-734. DOI: 10.3348/kjr.2020.1143.
[27]
CANNELLA R, BRANCATELLI G, RANGASWAMY B, et al. Enhancement pattern of hepatocellular adenoma (HCA) on MR imaging performed with Gd-EOB-DTPA versus other Gd-based contrast agents (GBCAs): An intraindividual comparison[J/OL]. Eur J Radiol, 2019, 119: 108633 [2024-12-22]. https://pubmed.ncbi.nlm.nih.gov/31437747/. DOI: 10.1016/j.ejrad.2019.08.002.
[28]
任阿红, 何学林, 余丹, 等. 不同观察者对10~19 mm动脉期非边缘高强化肝脏局灶性病变的LI-RADS分类错误原因分析[J]. 临床放射学杂志, 2025, 44(2): 327-332. DOI: 10.13437/j.cnki.jcr.2025.02.014.
REN A H, HE X L, YU D, et al. Analysis of the reasons for LI-RADS misclassification of focal liver lesions of 10-19 mm with nonrim APHE by different observers[J]. J Clin Radiol, 2025, 44(2): 327-332. DOI: 10.13437/j.cnki.jcr.2025.02.014.
[29]
YOSHIMITSU K, NISHIE A, TAKAYAMA Y, et al. The washout of hepatocellular carcinoma at portal venous phase vs. equilibrium phase: radiological and clinicopathological implication[J/OL]. Cancers, 2025, 17(19): 3195 [2025-10-11]. https://pubmed.ncbi.nlm.nih.gov/41097722/. DOI: 10.3390/cancers17193195.
[30]
YOON J H, CHANG W, KIM Y K, et al. Comparison of gadoxetic acid-enhanced liver magnetic resonance imaging and contrast-enhanced computed tomography for the noninvasive diagnosis of hepatocellular carcinoma[J]. Liver Cancer, 2025, 14(5): 638-650. DOI: 10.1159/000545965.
[31]
司佳萌, 张岚, 何旭, 等. 肝细胞癌组织病理学亚型的影像学特征及预后研究进展[J]. 中国医学影像学杂志, 2025, 33(3): 267-273. DOI: 10.3969/j.issn.1005-5185.2025.03.008.
SI J M, ZHANG L, HE X, et al. Research progress on imaging features and prognosis of histopathological subtypes of hepatocellular carcinoma[J]. Chin J Med Imag, 2025, 33(3): 267-273. DOI: 10.3969/j.issn.1005-5185.2025.03.008.
[32]
NISHIOKA E, SOFUE K, MARUYAMA K, et al. Improved diagnosis of histological capsule in hepatocallular carcinoma by using nonenhancing capsule appearance in addition to enhancing capsule appearance in gadoxetic acid-enhanced MRI[J/OL]. Sci Rep, 2023, 13(1): 6113 [2025-10-11]. http://www.nature.com/srep/index.html. DOI: 10.1038/s41598-023-33048-8.
[33]
CHOI S J, KIM H Y, LEE S J, et al. Value of enhancing capsule for diagnosing hepatocellular carcinoma on MRI: implications for simplifying LI-RADS[J/OL]. Eur Radiol, 2025: [2025-10-15]. https://pubmed.ncbi.nlm.nih.gov/40847079/. DOI: 10.1007/s00330-025-11938-x.
[34]
VAN DER POL C B, MCINNES M D F, SALAMEH J P, et al. CT/MRI and CEUS LI-RADS major features association with hepatocellular carcinoma: individual patient data meta-analysis[J]. Radiology, 2022, 302(2): 326-335. DOI: 10.1148/radiol.2021211244.
[35]
PAN J H, SONG M C, YANG L L, et al. The role of enhancing capsule and modified capsule appearances in LI-RADS for diagnosing HCC ≤ 3.0 cm on gadoxetate disodium-enhanced MRI[J]. Eur Radiol, 2023, 33(8): 5801-5811. DOI: 10.1007/s00330-023-09487-2.
[36]
POETTER-LANG S, AMBROS R, MESSNER A, et al. Are dilution, slow injection and care bolus technique the causal solution to mitigating arterial-phase artifacts on gadoxetic acid–enhanced MRI A large-cohort study[J]. Eur Radiol, 2024, 34(8): 5215-5227. DOI: 10.1007/s00330-024-10590-1.
[37]
FURLAN A, CLOSE O N, BORHANI A A, et al. Respiratory-motion artefacts in liver MRI following injection of gadoxetate disodium and gadobenate dimeglumine: an intra-individual comparative study in cirrhotic patients[J/OL]. Clin Radiol, 2017, 72(1): 93.e1-93.e6 [2025-10-15]. https://pubmed.ncbi.nlm.nih.gov/27633725/. DOI: 10.1016/j.crad.2016.08.005.
[38]
JANG E B, KIM D W, CHOI S H, et al. Transient severe motion artifacts on gadoxetic acid-enhanced MRI: risk factor analysis in 2230 patients[J]. Eur Radiol, 2022, 32(12): 8629-8638. DOI: 10.1007/s00330-022-08885-2.
[39]
ESHMUMINOV D, BECKER D, HEFTI M L, et al. Hyperoxia in portal vein causes enhanced vasoconstriction in arterial vascular bed[J]. Sci Rep, 2020, 10(1): 20966 [2025-10-07]. https://pubmed.ncbi.nlm.nih.gov/33262362/. DOI: 10.1038/s41598-020-77915-0.
[40]
丁聪, 柏根基. 钆塞酸二钠增强磁共振成像评估肝脏储备功能的研究进展[J]. 磁共振成像, 2021, 12(8): 104-107. DOI: 10.12015/issn.1674-8034.2021.08.024.
DING C, BAI G J. Advances in the evaluation of liver reserve function by Gd-EOB-DTPA-MRI[J]. Chin J Magn Reson Imaging, 2021, 12(8): 104-107. DOI: 10.12015/issn.1674-8034.2021.08.024.
[41]
JANG W, CHO H R, HA G W, et al. Quantitative and qualitative evaluation of high-quality hepatobiliary phase imaging with shortened timing and utility in patients with compromised liver function[J]. Abdom Radiol (NY), 2024, 49(8): 2659-2671. DOI: 10.1007/s00261-024-04495-2.

上一篇 抗磷脂综合征的多参数心脏磁共振功能及组织学特征分析
下一篇 IVIM、DKI及其联合超声瞬时弹性成像在慢性肝病患者肝纤维化分期中的价值研究
  
诚聘英才 | 广告合作 | 免责声明 | 版权声明
联系电话:010-67113815
京ICP备19028836号-2