分享:
分享到微信朋友圈
X
临床研究
IVIM、DKI及其联合超声瞬时弹性成像在慢性肝病患者肝纤维化分期中的价值研究
杨树义 赵雪莲 赵丽晨 姜艳丽

本文引用格式:杨树义, 赵雪莲, 赵丽晨, 等. IVIM、DKI及其联合超声瞬时弹性成像在慢性肝病患者肝纤维化分期中的价值研究[J]. 磁共振成像, 2026, 17(2): 94-100. DOI:10.12015/issn.1674-8034.2026.02.014.


[摘要] 目的 对比分析体素内不相干运动(intravoxel incoherent motion, IVIM)和扩散峰度成像(diffusion kurtosis imaging, DKI)在肝纤维化分期中的应用价值。材料与方法 前瞻性纳入来我院就诊慢性肝病患者64例,同期招募健康对照组17例,所有受试者均行多b值扩散加权成像(diffusion-weighted imaging, DWI)和肝脏瞬时弹性成像(transient elastography, TE)检查,慢性肝病患者随后经肝组织穿刺活检病理确定肝纤维化分期。多b值DWI检查经后处理,得到DKI和IVIM两种扩散模型共计5组参数图,获取相应5个参数值平均扩散系数(apparent diffusivity, MD)、扩散峰度(excess kurtosis, MK)、单纯扩散系数(true diffusion coefficient, D)、微循环灌注系数(pseudo-diffusion coefficient, D*)和灌注分数(perfusion fraction, f),TE检查获得肝脏硬度值(liver stiffness measurement, LSM)。分析不同肝纤维化分期组间参数差异、DKI及IVIM各参数与LSM的相关性,以及DKI、IVIM联合TE参数对显著肝纤维化(significant fibrosis, SF)(≥S2期)的诊断效能。结果 5个参数(MK、MD、f、D及D*)中仅IVIM的D值在不同组间差异具有统计学意义(P=0.029)。参数D(ρ=-0.270,P=0.031)、f(ρ=-0.288,P=0.021)、MD(ρ=-0.278,P=0.026)与LSM呈负相关关系。单一影像参数对SF分期具有中度诊断效能[受试者工作特征曲线下面积(area under the curve, AUC)为0.537~0.627],IVIM模型对SF分期的AUC为0.714 [95%置信区间(confidence interval, CI):0.598~0.831],DKI模型对SF分期的AUC为0.717(95% CI:0.597~0.836),IVIM-TE融合模型对SF分期的AUC为0.897(95% CI:0.825~0.970),DKI-TE融合模型对SF分期的AUC为0.901(95% CI:0.825~0.978),显著优于单一DWI模型的诊断效能(P<0.001)。校准曲线显示IVIM-TE融合模型拟合度最优。结论 DKI和IVIM尚不能单独用于肝纤维化无创性分期,IVIM-TE融合模型在SF分期中具有较好的临床价值,DWI与超声瞬时弹性成像的融合或可成为诊断SF的潜在生物学标志物。
[Abstract] Objective This study aimed to compare the application value of intravoxel incoherent motion (IVIM) and diffusion kurtosis imaging (DKI) in the staging diagnosis of liver fibrosis.Materials and Methods A total of 64 patients with chronic liver disease and 17 healthy controls were prospectively enrolled. All participants underwent multi-b-value diffusion-weighted imaging (DWI) and liver transient elastography (TE). Liver fibrosis stage was confirmed by subsequent liver biopsy in patients. The DWI data were post-processed to generate five parameter maps derived from DKI and IVIM models, yielding the parameters apparent diffusivity (MD), excess kurtosis (MK), true diffusion coefficient (D), pseudo-diffusion coefficient (D*) and perfusion fraction (f). TE provided liver stiffness measurement (LSM). Biopsy results served as the gold standard for fibrosis staging. We analyzed parameter differences across fibrosis stages, correlations between DKI/IVIM parameters and LSM, and the diagnostic performance of combined DKI, IVIM, and TE parameters for significant fibrosis (≥ S2).Results Among all parameters, only D showed statistically significant differences across groups (P = 0.029). D (ρ = -0.270, P = 0.031), f (ρ = -0.288, P = 0.021), and MD (ρ = -0.278, P = 0.026) were negatively correlated with LSM. Individual imaging parameters demonstrated moderate diagnostic efficacy for significant fibrosis, with area under the curve (AUC) of receiver operating characteristic ranging from 0.537 to 0.627. The IVIM model achieved an AUC of 0.714 [95% confidence interval (CI): 0.598 to 0.831] for diagnosing significant fibrosis, and the DKI model reached an AUC of 0.717 (95% CI: 0.597 to 0.836). Fusion models combining IVIM with TE and DKI with TE showed significantly higher diagnostic performance, with AUCs of 0.897 (95% CI: 0.825 to 0.970) and 0.901 (95% CI: 0.825 to 0.978), respectively (P < 0.001 vs. single DWI models). Calibration curves indicated that the IVIM-TE fusion model had the best calibration performance.Conclusions DKI and IVIM alone are insufficient for non-invasive diagnosis and staging of liver fibrosis. However, the IVIM-TE fusion model demonstrates promising clinical value for diagnosing significant fibrosis. Integrating multiple imaging modalities may serve as a potential biomarker for significant fibrosis assessment.
[关键词] 肝纤维化;磁共振成像;扩散加权成像;体素内不相干运动;扩散峰度成像;超声瞬时弹性成像
[Keywords] hepatic fibrosis;magnetic resonance imaging;diffusion-weighted imaging;intravoxel incoherent motion;diffusion kurtosis imaging;transient elastography

杨树义 1   赵雪莲 2   赵丽晨 2   姜艳丽 3*  

1 舟曲县人民医院放射科,甘南藏族自治州 746300

2 兰州大学第二临床医学院,兰州 730000

3 兰州大学第二医院(第二临床医学院)核磁共振科,兰州 730030

通信作者:姜艳丽,E-mail:61961048@qq.com

作者贡献声明::姜艳丽设计本研究的方案,对稿件重要内容进行了修改;杨树义起草和撰写稿件,获取、分析和解释本研究的数据;赵雪莲、赵丽晨获取、分析或解释本研究的数据,对稿件重要内容进行了修改;全体作者都同意发表最后的修改稿,同意对本研究的所有方面负责,确保本研究的准确性和诚信。


收稿日期:2025-11-05
接受日期:2026-01-23
中图分类号:R445.2  R575.2 
文献标识码:A
DOI: 10.12015/issn.1674-8034.2026.02.014
本文引用格式:杨树义, 赵雪莲, 赵丽晨, 等. IVIM、DKI及其联合超声瞬时弹性成像在慢性肝病患者肝纤维化分期中的价值研究[J]. 磁共振成像, 2026, 17(2): 94-100. DOI:10.12015/issn.1674-8034.2026.02.014.

0 引言

       肝纤维化是肝脏受到各种急慢性损伤后发生的一种共同病理改变,是不同原因造成的肝损伤向肝硬化发展的一个共同中间阶段[1],研究表明肝纤维化是可逆性的病理过程,若不及时干预,可进一步进展为肝硬化甚至肝细胞癌,为患者带来沉重的负担[2, 3, 4]。因此早期诊断、准确分期,对临床诊疗及预后判断尤为重要。目前,肝脏活组织穿刺检查是临床诊断肝纤维化的“金标准”,但其是一种有创性检查方式且存在发生并发症的风险,还有取材偏差的问题,不利于该方法在临床的广泛应用,尤其对于需要多次检查动态监测病情变化的患者,难以接受反复的肝穿。因此,寻求一种无创性诊断肝纤维化的方法成为临床亟待解决的问题。肝脏瞬时弹性成像(transient elastography, TE)是目前肝脏纤维化无创性检查的一个重要手段,其主要通过探测组织对外界压力或剪切波的变形程度,评估组织的硬度或弹性模量[5]。TE适用于评估组织的机械特性,但无法从微观的角度客观评价肝纤维化的组织细胞变化,且容易受到腹水及肥胖的影响。扩散加权成像(diffusion-weighted imaging, DWI)通过反映在体组织内水分子自由扩散运动,从而可以间接揭示组织微观结构的改变,在肝纤维化的诊断中一直受到广泛关注,尤其是高阶扩散模型的出现,弥补了传统扩散模型的局限性。随着肝纤维化进展,一方面胶原纤维的增加,限制肝组织内水分子的自由扩散,另一方面,胶原纤维的沉积使门脉血流阻力增加,促进门脉高压的发生,门脉血流灌注减低[6]。体素内不相干运动(intravoxel incoherent motion, IVIM)和扩散峰度成像(diffusion kurtosis imaging, DKI)是两种应用较普遍的高阶扩散模型,可获得多个定量参数,在评估组织微观结构、水分子扩散特性、微血流灌注等方面具有明显优势[7]。IVIM通过整合灌注和扩散两方面的信息,可以更准确揭示组织的病理生理变化[8]。DKI通过量化分子扩散的非高斯特性,可提供组织微观结构及病理生理变化更为真实的信息[9]。本研究旨在对比IVIM和DKI不同定量参数在肝纤维化分期中的诊断效能,并比较其与TE测得肝脏硬度值(liver stiffness measurenment, LSM)间相关性,联合不同指标构建综合模型,探讨无创性肝纤维化评价的定量指标。

1 材料与方法

1.1 研究对象

       前瞻性收集2020年10月至2024年12月间在兰州大学第二医院就诊的拟行肝脏穿刺活检的慢性肝病患者。纳入标准:(1)拟行肝脏穿刺活检的慢性肝病患者;(2)年龄在18~70周岁。排除标准:(1)磁共振检查禁忌证患者;(2)合并肝脏恶性肿瘤或肝移植术后患者;(3)先前经过抗病毒药物治疗患者;(4)图像质量差,无法在图像上准确勾画感兴趣区(region of interest, ROI)者;(5)未能同时完成上腹部多b值DWI检查、肝脏TE检查及肝脏穿刺活检的患者或两种检查与肝脏穿刺活检间隔超过1周。同期招募健康志愿者行上腹部多b值DWI检查,纳入标准:(1)年龄在18~70周岁;(2)无肝脏病变。排除标准:(1)磁共振检查禁忌证者;(2)图像质量差,无法在图像上准确勾画ROI者。本研究遵守《赫尔辛基宣言》,经兰州大学第二医院伦理委员会批准,全体受试者均签署了知情同意书,批准文号:2020A-236。

1.2 检查方法

1.2.1 MR检查

       采用德国SIEMENS MAGNETOM Aera 1.5 T MR扫描仪及18通道体部相控阵表面线圈进行上腹部MRI扫描。检查前禁食水≥6 h,检查时嘱患者均匀呼吸。采用单次激发自旋平面回波成像序列,自由呼吸状态下,以肝脏为中心行轴位扫描,覆盖全肝。多b值DWI序列采集参数如下:TR 6800 ms,TE 58 ms,FOV 304 mm×380 mm,矩阵108×134,层厚6 mm,整体扫描时间约为16 min 48 s。采集完成后,选取不同的b值分别进行IVIM与DKI后处理。DKI后处理选取的b值=0、200、400、600、800、1000、1200 s/mm2,IVIM后处理选取的b值=0、50、100、150、200、400、600、800 s/mm2。IVIM及DKI数据后处理均在MR Station(成都众影医疗科技有限公司)开发的内部软件原型上进行。

1.2.2 瞬时弹性成像检查

       使用Echosens Fibroscan 502 F01219彩色多普勒超声诊断仪,M型探头,频率5 MHz。患者取仰卧位,右上肢外展上抬至头部,选取右腋前线至腋中线第七至第九肋间为检测区域,连续检测,要求成功检测的次数≥10次,且成功率在60%以上,检测的肝纤维化程度值以kPa表示,取检测值的中位数作为最终结果。以超声引导下肝组织穿刺活检病理结果为金标准,参照Scheuer评分系统进行肝纤维化分期。目前,临床病理学分期诊断中,普遍注重判别有无显著纤维化的意义[10]。以≥S2定义为显著肝纤维化(significant fibrosis, SF),正常对照组归入S0。

1.3 图像处理及分析

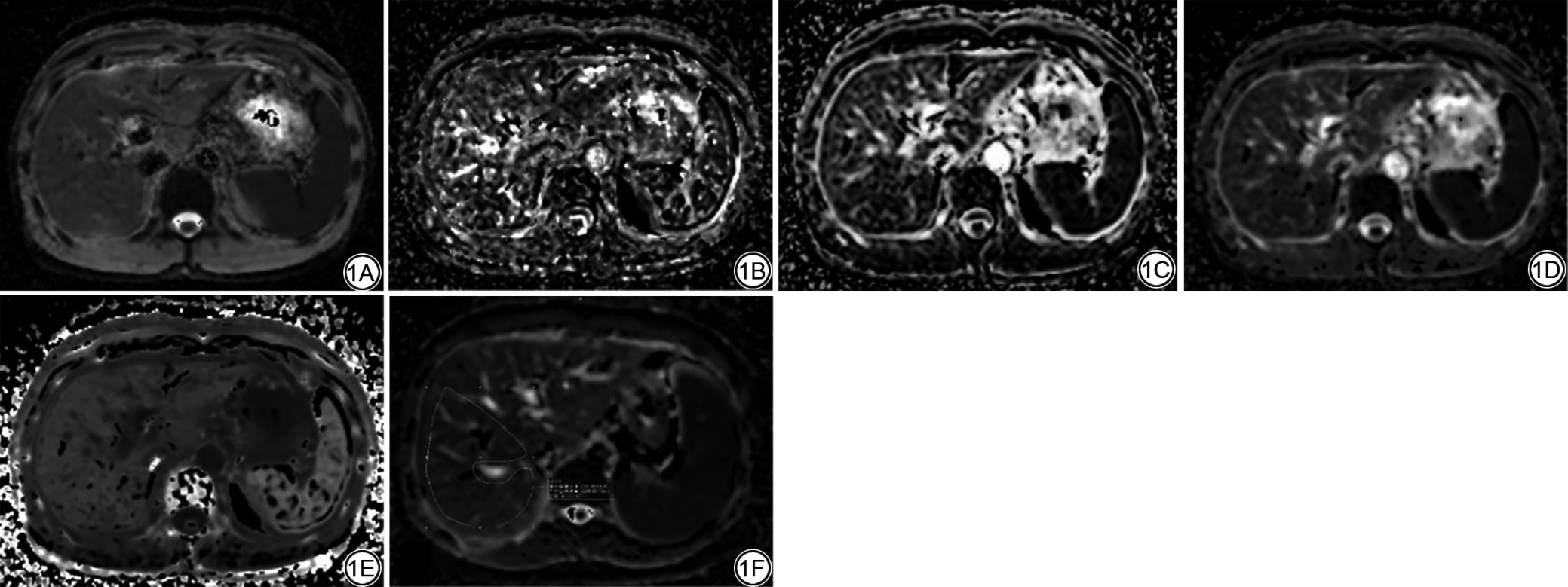
       由2名经验丰富且不知晓患者临床信息的MRI诊断医师(分别为13年工作经验的副主任医师和7年工作经验的主治医师)进行数据的采集、处理及分析。IVIM模型计算生成单纯扩散系数(true diffusion coefficient, D)图,微循环灌注系数(pseudo-diffusion coefficient, D*)图和灌注分数(perfusion fraction, f)图。DKI模型计算生成平均扩散系数(apparent diffusivity, MD)图,扩散峰度(excess kurtosis, MK)图。使用ITK-SNAP软件(3.8.0版,http://www.itksnap.org/)在肝右叶近肝门水平勾画ROI,同时避开大血管、胆管、病变和伪影区域。在一组参数图上选择ROI,并复制到其他参数图上。分别得到IVIM模型评价指标D,D*,f,以及DKI模型评价指标MD,MK。详见图1

图1  男,56 岁,慢性乙肝患者,肝纤维化S2 期。1A~1C:分别为IVIM参数D、D*、f 图;1D~1E:分别为DKI 参数MD、MK图;1F:ROI 勾画示意图。IVIM:体素内不相干运动;D:单纯扩散系数;D*:微循环灌注系数;f:灌注分数;DKI:扩散峰度成像;MD:平均扩散系数;MK:扩散峰度;ROI:感兴趣区。
Fig. 1  Male, 56 years old, patient with chronic hepatitis B, liver fibrosis stage S2. 1A-1C: IVIM parameter maps (D map, D* map, f map, respectively); 1D-1E: DKI parameter maps (MD map, MK map, respectively); 1F: Schematic diagram of ROI delineation. IVIM: intravoxel incoherent motion; D: true diffusion coefficient; D*: pseudo-diffusion coefficient; f: perfusion fraction; DKI: diffusion kurtosis imaging; MD: apparent diffusivity; MK: excess kurtosis; ROI: region of interest.

1.4 数据处理与统计

       本研究所有统计分析均使用R软件(版本4.3.0)进行,包括语言包readxl(v1.4.3)、dplyr(v1.1.4)、psych(v2.3.9)、rstatix(v0.7.2)、ggplot2(v3.5.0)、corrplot(v0.92)、gridExtra(v2.3)、ggpubr(v0.6.0)。采用组内一致性检验(intra-class correlation coefficient, ICC)检测两名医生所测结果的可重复性(ICC<0.50为一致性较差;0.50≤ICC<0.75为一致性中等;0.75≤ICC<0.90为一致性良好;≥0.90为一致性优秀)。计量资料首先进行Shapiro-Wilk检验正态分布检验,若满足正态分布,则进一步采用Levene's检验评估方差齐性,若满足正态分布和方差齐性的组间比较采用单因素方差分析(ANOVA),事后两两比较采用Tukey检验;不满足条件者采用Kruskal-Wallis秩和检验,事后比较采用Dunn检验。为评估影像学参数与LSM的相关性,采用Spearman秩相关分析。模型构建采用多变量二元逻辑回归方法。首先通过单因素分析(Wilcoxon秩和检验)筛选P<0.1的临床变量。随后,分别构建三个诊断模型:(1)DKI模型,同时纳入MK和MD作为自变量,模型公式:Logit(P)=β₀+β1×MK+β2×MD;(2)IVIM模型,同时纳入f、D和D*作为自变量;(3)融合模型,将上述影像模型分别与经筛选的临床变量结合构建。模型性能通过受试者工作特征(receiver operating characteristic, ROC)曲线下面积(area under the curve, AUC)评估,并采用10折交叉验证进行内部验证。采用DeLong检验比较不同模型AUC的差异,同时通过校准曲线和Hosmer-Lemeshow检验评估模型校准度,检验水准α为0.05。

2 结果

2.1 一般资料

       最终入组肝纤维化患者64例,其中男30例,女34例,年龄18~69(40±11)岁。64例患者中乙肝患者44例,不明原因肝功能异常者9例,非酒精性脂肪性肝病5例,药物性肝损害4例,自身免疫性肝炎2例。入组健康对照组17例,其中男9例,女8例,年龄24~58(36±11)岁。

2.2 测量者间一致性及不同肝纤维化分期组间参数比较

       两名测量者对所有扩散参数(MK、MD、f、D、D*)的测量结果均表现出良好的一致性(ICC=0.780~0.880,均P<0.001)。组间比较结果显示(表1),IVIM参数中的D值在不同肝纤维化分期组间的差异具有统计学意义(P=0.029),其余DWI相关参数差异未达到统计学显著性。

表1  不同肝纤维化分级患者组间DWI和TE各指标对比
Tab. 1  Comparison of the mean values of each index of DWI and TE among patients with different stages of liver fibrosis

2.3 DKI及IVIM各参数与TE参数值LSM的相关性

       Spearman秩相关分析结果显示,MD、f、D、D*均与LSM呈负相关(f、D、MD的P<0.05),MK与LSM呈正相关(P=0.575),详见图2

图2  不同DWI模型参数与LSM相关性散点图。DWI:扩散加权成像;LSM:肝脏硬度值;f:灌注分数;D:单纯扩散系数;D*:微循环灌注系数;MK:扩散峰度;MD:平均扩散系数。
Fig. 2  Scatter plot of the correlation between different DWI parameters and LSM. DWI: diffusion-weighted imaging; LSM: liver stiffness measurement; f: perfusion fraction; D: true diffusion coefficient; D*: pseudo-diffusion coefficient; MK: excess kurtosis; MD: apparent diffusivity.

2.4 影像学模型对SF的诊断效能比较

       任一DKI或IVIM单参数模型对SF的诊断效能均较低(AUC=0.537~0.627)。采用多变量逻辑回归构建的DKI模型(MK+MD)与IVIM模型(f+D+D*)诊断效能提升,AUC分别为0.717(95% CI:0.597~0.836)和0.714(95% CI:0.598~0.831)。DeLong检验显示,DKI和IVIM两模型效能无统计学差异(P=0.947)。DKI模型相较单一参数MK显著优越(P=0.021),但与MD的比较无统计学差异(P=0.079)。IVIM模型相较单一参数f(P=0.048)和D*P=0.043)具有显著优势,但与D参数的差异无统计学意义(P=0.128)。LSM诊断SF的AUC为0.866(95% CI:0.781~0.950),敏感度、特异度分别为87.8%和71.9%。详见表2, 表3图3

图3  各DWI模型参数诊断显著肝纤维化(≥S2期)的ROC曲线。DWI:扩散加权成像;ROC:受试者工作特征;AUC:曲线下面积;CI:置信区间;f:灌注分数;D:单纯扩散系数;D*:微循环灌注系数;MK:扩散峰度;MD:平均扩散系数;DKI:扩散峰度成像;IVIM:体素内不相干运动。
Fig. 3  ROC curves of each DWI parameter for diagnosing significant liver fibrosis (≥stage S2). DWI: diffusion-weighted imaging; ROC: receiver operating characteristic; AUC: area under the curve; CI: confidence interval; f: perfusion fraction; D: true diffusion coefficient; D*: pseudo-diffusion coefficient; MK: excess kurtosis; MD: apparent diffusivity; DKI: diffusion kurtosis imaging; IVIM: intravoxel incoherent motion.
表2  DWI及TE各参数对显著纤维化诊断效能分析
Tab. 2  Diagnostic efficacy of DWI and TE parameters for significant fibrosis
表3  校准曲线性能统计指标
Tab. 3  Calibration performance statistical indicators

2.5 DWI-TE融合模型的诊断效能

       将LSM分别与IVIM、DKI参数融合,构建IVIM-TE与DKI-TE融合模型显示出优异的诊断性能,AUC分别达到0.897(95% CI:0.825~0.970)和0.901(95% CI:0.825~0.978),显著优于对应的DWI模型(DeLong检验,P<0.001)(图4),而与单一LSM模型在统计学上无显著差异(P>0.05),两种DWI模型之间差异无统计学意义(P=0.737)。校准曲线显示(图5),IVIM-TE校准性能最优,Brier分数为0.118,校准斜率为0.960,校准截距为0.015(表3)。

图4  DWI、DWI-TE融合模型诊断显著肝纤维化(≥S2期)ROC曲线。DWI:扩散加权成像;TE:瞬时弹性成像;ROC:受试者工作特征;LSM:肝脏硬度值;AUC:曲线下面积;CI:置信区间;IVIM:体素内不相干运动;DKI:扩散峰度成像。
Fig. 4  ROC curves of DWI and DWI-TE models for diagnosing significant liver fibrosis (≥stage S2). DWI: diffusion-weighted imaging; TE: transient elastography; ROC: receiver operating characteristic; LSM: liver stiffness measurement; AUC: area under the curve; CI: confidence interval; IVIM: intravoxel incoherent motion; DKI: diffusion kurtosis imaging.
图5  DWI模型及DWI-TE融合模型的校准曲线。DWI:扩散加权成像;TE:瞬时弹性成像;DKI:扩散峰度成像;IVIM:体素内不相干运动。
Fig. 5  Calibration curves of the DWI model and the DWI-TE model. DWI: diffusion-weighted imaging; TE: transient elastography; DKI: diffusion kurtosis imaging; IVIM: intravoxel incoherent motion.

3 讨论

       本研究系统比较DKI与IVIM参数对SF的诊断价值,并探索将其与TE指标融合以构建最优无创性诊断模型。结果发现DKI与IVIM均可从不同程度反映肝纤维化的进展,与TE结合,或可成为诊断SF的潜在生物标志物。

3.1 DKI及IVIM参数诊断肝纤维化分期的价值

       本研究研究中两名测量者测量结果显示出良好的一致性,表明该方法用于肝纤维化的定量评估具有良好的可重复性。HUANG等[11]的研究认为一致性高的参数在后期构建评估模型可能得到更为稳定的结果。各参数在不同肝纤维化分期的组间比较显示仅IVIM的D值表现出具有统计学意义的差异,表明各个参数在不同肝纤维化分期组间存在较大的重叠。

       在DKI及IVIM参数中,MK随纤维化进展逐渐升高,MD、f、D及D*均随纤维化进展而逐渐减低,这与先前研究结果[12, 13, 14]一致。瞬时弹性成像作为一种超声弹性成像技术,以其无创、定量、可重复性强等特点在临床广泛用于肝脏纤维化程度的评估,其得到的LSM与肝纤维化程度呈正相关关系[15]。本研究以LSM作为参照指标,与DKI及IVIM各指标进行相关性分析。结果显示,f、D及MD与LSM均存在负相关关系,表明上述参数可捕获与肝纤维化进程密切相关的微观结构改变。上述两部分结果均表明,随肝纤维化程度加重,胶原沉积和间隔形成导致组织微观结构复杂性增加,MK值升高,而D值和MD值均反映水分子扩散能力,其降低则源于胶原蛋白沉积、细胞外基质增多导致的扩散空间受限;同时,肝血窦毛细血管化和血管床减少导致灌注下降,与IVIM参数中f值的降低相符。可见DKI及IVIM可从不同角度印证肝纤维化带来的病理变化。研究中单一参数的诊断效能有限,但它们与LSM的相关性证实了其作为有效生物标志物的潜力。D*和MK与LSM无显著相关。这可能源于D*值的测量易受多种因素(如心跳、呼吸运动、血流波动)干扰[16],稳定性较差;而MK值反映组织复杂性,可能在晚期纤维化或伴有显著结构紊乱(如肝硬化结节)时才表现出更强关联,本研究病例的纤维化分期普遍较早,这一阶段的微结构的改变尚不明显,导致DWI检测的效能受限[17, 18, 19]

3.2 DWI及TE诊断SF的效能分析

       本研究发现,单一影像参数(f、D、D*、MK、MD)的诊断效能有限(AUC:0.537~0.627),这与既往研究[20]一致,证实了肝纤维化复杂的病理生理机制难以通过单一生物标志物全面捕获。将DKI参数(MK、MD)或IVIM参数(f、D、D*)分别整合后,诊断效能显著提升至中等水平(AUC:0.714~0.717),凸显了不同参数联合在综合利用微观结构及灌注信息方面的重要价值。此外,将DWI模型参数与TE融合后,模型性能实现提升,IVIM-TE模型与DKI-TE模型的AUC分别为0.897、0.901,且差异均具有统计学意义(ΔAUC>0.15,P<0.001)。相似地,李倩等[21]研究联合T2WI、DWI、R2*参数评估慢乙肝肝纤维化程度,结果认为多序列联合参数诊断价值更高。樊凤仙等[22]研究发现多模态MRI图像的三维卷积神经网络(3D-convolutional neural networks, 3D-CNN)深度学习模型可对SF进行较好的分类。一项基于大鼠模型的肝纤维化评估研究[23]认为T1ρ与MD相结合的模型有望成为诊断肝纤维化的可靠生物标志物。可见多维度信息的互补效应:LSM直接量化肝脏硬度,而DKI参数(如MK升高、MD降低)和IVIM参数(如f值降低)则分别刻画了组织复杂性的增加、水分子扩散整体受限及微循环灌注的减少[24, 25]。这种融合策略最大限度地捕捉了肝纤维化的核心特征,多种指标融合策略或可成为肝纤维化无创性评估中的有效手段。在模型选择上IVIM-TE模型具有综合优势,最高诊断准确率、优秀的校准性能及良好的泛化能力,因此基于本研究数据笔者认为IVIM-TE模型有望成为临床可靠的SF评价指标。此外,本研究中LSM单独诊断的AUC达到0.866,证实其作为一线无创肝纤维化评估工具的有效性。虽然DeLong检验显示IVIM-LSM(AUC=0.897)和DKI-LSM(AUC=0.901)与LSM单独诊断的AUC差异无统计学意义(P>0.05),但其AUC的绝对数值(分别提升3.1%和4.0%)和更窄的95%置信区间提示了诊断准确性可能得到改善的趋势,尤其是在更大样本量的研究中可能显示出显著优势。LSM主要反映肝脏的宏观组织硬度。IVIM参数反映组织微循环灌注和细胞外扩散,DKI参数则反映组织微观结构的复杂性和异质性。融合模型整合了“组织结构刚度”与“微观功能/结构”信息,可能提供更全面的肝脏病理状态评估,有助于理解纤维化进程中的多维度改变。这将提示我们在临床工作中,LSM因其便捷性和成本效益,是首选的筛查和诊断工具。但对于LSM评估不明确或处于“灰色地带”的病例,高级扩散参数将为LSM提供互补的微观灌注、组织复杂异质性生物学信息。

       近年来,不断有新的技术和方法用于肝纤维化的诊断分期,我国的慢乙肝肝纤维化诊断专家共识[26]推荐基于脾脏或竖脊肌的标准化ADC值进行评估可获得更可靠的结果。磁共振弹性成像(magnetic resonance elastography, MRE)在肝纤维化分期诊断的价值已被证实[27],并被写入多个指南当中[28, 29]。鉴于其额外的硬件设备限制其推广使用,有研究[30, 31]指出基于DWI的虚拟MRE技术可以有效替代MRE成为无创性肝纤维化分期评估的有效手段。随着影像组学发展的日益成熟,为肝纤维化的无创性评估打开了一扇新的大门。研究发现基于深度学习算法得到的肝纤维化评估效能明显优于传统的影像生物标志物[32, 33, 34],LUO等[35]的研究认为基于MRI影像组学模型可以有效预测慢乙肝肝纤维化患者发生肝相关事件的风险,从而为临床干预提供有效证据。虽然这些方法距离临床应用尚需要进一步研究,他们为肝纤维化的无创性临床评估提供了极大的可能。

3.3 本研究的局限性

       (1)样本量较小,本研究共纳入81例受试者,尽管初步验证了模型的诊断效能,但样本量可能限制了统计检验力,并导致估计值的置信区间较宽。小样本量也使我们无法进行可靠的亚组分析或内部验证,模型可能存在过拟合风险。未来需要通过扩大单中心样本或开展多中心合作研究来增加样本量,并进行严格的外部验证。(2)纤维化往往与慢性炎症并存,两者间相互影响,会对结果造成一定程度影响,进行充足样本量的多因素分析或能得到更为准确的结果。(3)本研究纳入病例组对于肝损伤病因未做统一要求,不同原因造成的肝纤维化组织结构微观变化可能不同,也会对结果产生一定影响,今后进一步扩大样本量后进行病因分层分析或可提升结果的准确性;(4)DKI及IVIM模型的扫描参数,尤其是b值的选择目前尚无统一标准,会限制该技术的推广应用,这也是目前DWI研究的一个重要局限性,如何获得标准化参数,可能是目前DWI模型研究方向亟待解决的一个问题。

4 结论

       综上所述,融合DKI和IVIM影像参数与TE指标的诊断策略,可显著提升对SF的无创诊断性能。其中IVIM-TE融合模型兼具优异的判别能力与良好的校准度,是非常具有临床应用潜力的有效生物学指标。未来需通过大样本、多中心研究及以肝活检为金标准的进一步验证,推动该模型向临床实践转化。

[1]
PAROLA M, PINZANI M. Liver fibrosis: Pathophysiology, pathogenetic targets and clinical issues[J]. Mol Aspects Med, 2019, 65: 37-55. DOI: 10.1016/j.mam.2018.09.002.
[2]
ELLIS E L, MANN D A. Clinical evidence for the regression of liver fibrosis[J]. J Hepatol, 2012, 56(5): 1171-1180. DOI: 10.1016/j.jhep.2011.09.024.
[3]
TAN Z, SUN H B, XUE T X, et al. Liver fibrosis: therapeutic targets and advances in drug therapy[J/OL]. Front Cell Dev Biol, 2021, 9: 730176 [2025-11-04]. https://pmc.ncbi.nlm.nih.gov/articles/PMC8490799/. DOI: 10.3389/fcell.2021.730176.
[4]
MARCELLIN P, GANE E, BUTI M, et al. Regression of cirrhosis during treatment with tenofovir disoproxil fumarate for chronic hepatitis B: a 5-year open-label follow-up study[J]. Lancet, 2013, 381(9865): 468-475. DOI: 10.1016/S0140-6736(12)61425-1.
[5]
朱璐, 杨君茹, 何玲玲, 等. 瞬时弹性成像在肝纤维化诊断中的应用研究进展[J/OL]. 中国肝脏病杂志(电子版), 2023, 15(3): 16-22. DOI: 10.3969/j.issn.1674-7380.2023.03.003.
ZHU L, YANG J R, HE L L, et al. Advances on the application of transient elastography in the diagnosis of liver fibrosis[J/OL]. Chin J Liver Dis Electron Version, 2023, 15(3): 16-22. DOI: 10.3969/j.issn.1674-7380.2023.03.003.
[6]
LI Y T, CERCUEIL J P, YUAN J, et al. Liver intravoxel incoherent motion (IVIM) magnetic resonance imaging: a comprehensive review of published data on normal values and applications for fibrosis and tumor evaluation[J]. Quant Imaging Med Surg, 2017, 7(1): 59-78. DOI: 10.21037/qims.2017.02.03.
[7]
SHE D, LIN S, GUO W, et al. Grading of pediatric intracranial tumors: are intravoxel incoherent motion and diffusional kurtosis imaging superior to conventional DWI?[J]. AJNR Am J Neuroradiol, 2021, 42(11): 2046-2053. DOI: 10.3174/ajnr.A7270.
[8]
陈炤庭, 邹玉坚, 袁灼彬, 等. 体素内不相干运动联合表观扩散系数对前列腺癌诊断价值的研究[J]. 磁共振成像, 2024, 15(7): 118-123, 142. DOI: 10.12015/issn.1674-8034.2024.07.020.
CHEN Z T, ZOU Y J, YUAN Z B, et al. Study on the value of combining intravoxel incoherent motion with apparent diffusion coefficient in the diagnosis of prostate cancer[J]. Chin J Magn Reson Imaging, 2024, 15(7): 118-123, 142. DOI: 10.12015/issn.1674-8034.2024.07.020.
[9]
YANG L, RAO S X, WANG W T, et al. Staging liver fibrosis with DWI: is there an added value for diffusion kurtosis imaging?[J]. Eur Radiol, 2018, 28(7): 3041-3049. DOI: 10.1007/s00330-017-5245-6.
[10]
中华医学会肝病学分会, 中华医学会消化病学分会, 中华医学会感染病学分会. 肝纤维化诊断及治疗共识(2019年)[J]. 实用肝脏病杂志, 2019, 22(6): 793-803. DOI: 10.3969/j.issn.1672-5069.2019.06.006.
Chinese Society of Hepatology of Chinese Medical Association, Chinese Society of Gastroenterology of Chinese Medical Association, Chinese Society of Infectious Diseases of Chinese Medical Association. Consensus on the diagnosis and therapy of hepatic fibrosis(2019)[J]. J Mod Med Health, 2019, 22(6): 793-803. DOI: 10.3969/j.issn.1672-5069.2019.06.006.
[11]
HUANG L S, WEI Q, PENG H, et al. Monoexponential and advanced diffusion-weighted imaging for hepatic fibrosis staging based on high inter-examiner reliability[J]. Saudi Med J, 2024, 45(9): 911-918. DOI: 10.15537/smj.2024.45.9.20240057.
[12]
LIU T, HU J W, LIU Y J, et al. Magnetic resonance quantification of non-Gaussian water diffusion in hepatic fibrosis staging: a pilot study of diffusion kurtosis imaging to identify reversible hepatic fibrosis[J/OL]. Ann Transl Med, 2021, 9(20): 1569 [2025-11-04]. https://pmc.ncbi.nlm.nih.gov/articles/PMC8576693/. DOI: 10.21037/atm-21-4884.
[13]
YOSHIMARU D, MIYATI T, SUZUKI Y, et al. Diffusion kurtosis imaging with the breath-hold technique for staging hepatic fibrosis: a preliminary study[J]. Magn Reson Imaging, 2018, 47: 33-38. DOI: 10.1016/j.mri.2017.11.001.
[14]
REN H, XU H, YANG D W, et al. Intravoxel incoherent motion assessment of liver fibrosis staging in MASLD[J]. Abdom Radiol, 2024, 49(5): 1411-1418. DOI: 10.1007/s00261-024-04207-w.
[15]
OZTURK A, OLSON M C, SAMIR A E, et al. Liver fibrosis assessment: MR and US elastography[J]. Abdom Radiol (NY), 2022, 47(9): 3037-3050. DOI: 10.1007/s00261-021-03269-4.
[16]
向晓睿, 陈梓娴, 林晨, 等. 体素内不相干运动成像在心脏疾病中的应用进展[J]. 磁共振成像, 2020, 11(10): 940-942. DOI: 10.12015/issn.1674-8034.2020.10.027.
XIANG X R, CHEN Z X, LIN C, et al. Application progresses of intravoxel incoherent motion imaging in heart disease[J]. Chin J Magn Reson Imaging, 2020, 11(10): 940-942. DOI: 10.12015/issn.1674-8034.2020.10.027.
[17]
LI J, WANG D, CHEN T W, et al. Magnetic resonance diffusion kurtosis imaging for evaluating stage of liver fibrosis in a rabbit model[J/OL]. Acad Radiol, 2019, 26(6): e90-e97 [2025-11-04]. https://pubmed.ncbi.nlm.nih.gov/30072289/. DOI: 10.1016/j.acra.2018.06.018.
[18]
LI T, CHE-NORDIN N, WÁNG Y X J, et al. Intravoxel incoherent motion derived liver perfusion/diffusion readouts can be reliable biomarker for the detection of viral hepatitis B induced liver fibrosis[J]. Quant Imaging Med Surg, 2019, 9(3): 371-385. DOI: 10.21037/qims.2019.02.11.
[19]
包媛媛, 潘燚琪, 麦筱莉. 磁共振成像技术在肝纤维化分级诊断中的研究进展[J]. 磁共振成像, 2025, 16(3): 196-200. DOI: 10.12015/issn.1674-8034.2025.03.033.
BAO Y Y, PAN Y Q, MAI X L. Progress on the role of magnetic resonance imaging techniques in the staged diagnosis of hepatic fibrosis[J]. Chin J Magn Reson Imaging, 2025, 16(3): 196-200. DOI: 10.12015/issn.1674-8034.2025.03.033.
[20]
苗莹莹, 于绍楠, 李学锋, 等. 磁共振体素内不相干运动和扩散峰度成像在肝纤维化诊断中的价值[J]. 中国老年学杂志, 2017, 37(3): 681-683. DOI: 10.3969/j.issn.1005-9202.2017.03.070.
MIAO Y Y, YU S N, LI X F, et al. The value of incoherent motion and diffusion kurtosis imaging in the diagnosis of liver fibrosis[J]. Chin J Gerontol, 2017, 37(3): 681-683. DOI: 10.3969/j.issn.1005-9202.2017.03.070.
[21]
李倩, 李煜坤, 毛俊. MRI多参数评估慢性乙型肝炎肝纤维化程度的研究[J]. 实用放射学杂志, 2024, 40(11): 1806-1809, 1851. DOI: 10.3969/j.issn.1002-1671.2024.11.012.
LI Q, LI Y K, MAO J. A study of MRI multiparameter assessment of the degree of liver fibrosis in chronic hepatitis B[J]. J Pract Radiol, 2024, 40(11): 1806-1809, 1851. DOI: 10.3969/j.issn.1002-1671.2024.11.012.
[22]
樊凤仙, 胡万均, 姜艳丽, 等. 基于多模态MRI图像的3D卷积神经网络对肝纤维化分类的价值研究[J]. 磁共振成像, 2022, 13(9): 30-34. DOI: 10.12015/issn.1674-8034.2022.09.006.
FAN F X, HU W J, JIANG Y L, et al. The value of 3D convolution neural network based on multimodal MRI images in the classification of liver fibrosis[J]. Chin J Magn Reson Imaging, 2022, 13(9): 30-34. DOI: 10.12015/issn.1674-8034.2022.09.006.
[23]
GUO Y W, GUO T T, HUANG C, et al. Combining T1rho and advanced diffusion MRI for noninvasively staging liver fibrosis: an experimental study in rats[J]. Abdom Radiol (NY), 2024, 49(6): 1881-1891. DOI: 10.1007/s00261-024-04327-3.
[24]
HUSSAIN A, GUL M A, KHALID M U. Validation of Novel Fibrosis Index (NFI) for assessment of liver fibrosis: comparison with transient elastography (FibroScan)[J/OL]. BMJ Open Gastroenterol, 2019, 6(1): e000316 [2025-11-04]. https://pmc.ncbi.nlm.nih.gov/articles/PMC6827736/. DOI: 10.1136/bmjgast-2019-000316.
[25]
TIAN L, LIU S B, ZHOU H, et al. DWI-derived sequences: application in the evaluation of liver fibrosis[J/OL]. Curr Med Imaging, 2024, 20: e15734056326012 [2025-11-04]. https://www.eurekaselect.com/article/145593. DOI: 10.2174/0115734056326012241031074233.
[26]
中国研究型医院学会感染与炎症放射学专业委员会, 中华医学会放射学分会传染病学组, 中国科技产业化促进会数字健康专业委员会, 等. 肝细胞癌诊断的影像组学模型推荐专家共识[J]. 中华肝脏病杂志, 2024, 32(7): 631-636. DOI: 10.3760/cma.j.cn501113-20240125-00058.
Committee of Infectious and Inflammatory Radiology of Chinese Research Hospital Association, Infectious Diseases Group of Radiology Society of Chinese Medical Association, Digital Health Committee of China Association for Promotion of Science and Technology Industrialization, et al. Expert consensus recommendations for radiomic models in the diagnosis of hepatocellular carcinoma[J]. Chin J Hepatol, 2024, 32(7): 631-636. DOI: 10.3760/cma.j.cn501113-20240125-00058.
[27]
CHEN J, ALLEN A M, THERNEAU T M, et al. Liver stiffness measurement by magnetic resonance elastography is not affected by hepatic steatosis[J]. Eur Radiol, 2022, 32(2): 950-958. DOI: 10.1007/s00330-021-08225-w.
[28]
中华医学会肝病学分会, 范建高, 南月敏, 等. 代谢相关(非酒精性)脂肪性肝病防治指南(2024年版)[J]. 实用肝脏病杂志, 2024, 27(4): 494-510. DOI: 10.3760/cma.j.cn501113-20240327-00163.
Chinese Society of Hepatology of Chinese Medical Association, FAN J G, NAN Y M, et al. Guidelines for the prevention and treatment of metabolic dysfunction-associated(non-alcoholic)fatty liver disease(Version 2024)[J]. J Pract Hepatol, 2024, 27(4): 494-510. DOI: 10.3760/cma.j.cn501113-20240327-00163.
[29]
RINELLA M E, NEUSCHWANDER-TETRI B A, SIDDIQUI M S, et al. AASLD Practice Guidance on the clinical assessment and management of nonalcoholic fatty liver disease[J]. Hepatology, 2023, 77(5): 1797-1835. DOI: 10.1097/hep.0000000000000323.
[30]
YANG L, ZHOU G F, LIU L H, et al. Assessing liver fibrosis in chronic liver disease: Comparison of diffusion-weighted MR elastography and two-dimensional shear-wave elastography using histopathologic assessment as the reference standard[J]. Ann Hepatol, 2025, 30(1): 101743 [2025-11-04]. https://pubmed.ncbi.nlm.nih.gov/39662592/. DOI: 10.1016/j.aohep.2024.101743.
[31]
KROMREY M L, LE BIHAN D, ICHIKAWA S, et al. Diffusion-weighted MRI-based virtual elastography for the assessment of liver fibrosis[J]. Radiology, 2020, 295(1): 127-135. DOI: 10.1148/radiol.2020191498.
[32]
GUPTA P, SINGH S, GULATI A, et al. Advanced liver fibrosis detection using a two-stage deep learning approach on standard T2-weighted MRI[J/OL]. Abdom Radiol (NY), 2025 [2025-11-04]. https://pubmed.ncbi.nlm.nih.gov/39662592/. DOI: 10.1007/s00261-025-05160-y.
[33]
LI F Y, LIANG Y, XIA X, et al. MRI-based radiomic biomarkers for non-invasive assessment of liver fibrosis in MASLD: diagnostic performance and molecular mechanisms in a rat model[J]. Acad Radiol, 2025, 32(10): 5802-5813. DOI: 10.1016/j.acra.2025.05.069.
[34]
LI W X, ZHU Y J, ZHAO G D, et al. Deep learning-based automated assessment of hepatic fibrosis via magnetic resonance images and nonimage data[J]. Quant Imaging Med Surg, 2025, 15(9): 8250-8264. DOI: 10.21037/qims-2024-2506.
[35]
LUO Y K, LUO Q N, WU Y B, et al. MRI-based machine-learning radiomics of the liver to predict liver-related events in hepatitis B virus-associated fibrosis[J/OL]. Eur Radiol Exp, 2025, 9(1): 81 [2025-11-04]. https://pubmed.ncbi.nlm.nih.gov/40864355/. DOI: 10.1186/s41747-025-00602-0.

上一篇 钆贝葡胺与钆塞酸二钠增强MRI LI-RADS 2018版主要征象诊断HCC效能比较
下一篇 磁化传递成像预测胰腺导管腺癌病理学分级的可行性研究
  
诚聘英才 | 广告合作 | 免责声明 | 版权声明
联系电话:010-67113815
京ICP备19028836号-2