分享:
分享到微信朋友圈
X
技术研究
基于不同深度学习重建等级的T2-FLAIR在颅内占位性病变的图像质量和诊断价值评估
缪志明 谭勇 张菁 杨静 周小榆 胡译心 唐玉 林檬 张久权

本文引用格式:缪志明, 谭勇, 张菁, 等. 基于不同深度学习重建等级的T2-FLAIR在颅内占位性病变的图像质量和诊断价值评估[J]. 磁共振成像, 2026, 17(2): 130-138. DOI:10.12015/issn.1674-8034.2026.02.019.


[摘要] 目的 基于1.5 T MRI,比较常规T2液体衰减反转恢复(T2-fluid attenuated inversion recovery, T2-FLAIR)序列传统重建和快速T2-FLAIR深度学习(deep learning, DL)重建在颅内占位性病变患者的图像质量与临床价值,并探究最佳DL重建参数。材料与方法 前瞻性纳入颅内占位性病变患者104例,分别采集常规T2-FLAIR和快速T2-FLAIR [并行采集(parallel imaging, PI)加速因子2]。常规T2-FLAIR采用传统重建,记为NDL组;快速T2-FLAIR选择DL重建等级2、3和4,记为PI-DL2、PI-DL3和PI-DL4组。由两位医师采用盲法对四组图像进行定量评价和定性评价,并记录病变大小和数量。定量评价包括信噪比(signal-to-noise ratio, SNR)和对比噪声比(contrast-to-noise ratio, CNR);定性评价包括图像锐利度、噪声、灰白质对比度、伪影、病变显示、诊断信心和整体图像质量。结果 常规T2-FLAIR扫描时间为2 min 8 s,快速T2-FLAIR扫描时间为1 min 20 s,时间缩短约37.5%。定量分析显示,与NDL组相比,各DL重建组(等级2、3、4)的SNR均有提高,且随DL等级增加而提高(P<0.05);PI-DL4组的CNR高于其他三组(P<0.05),而PI-DL2组在胼胝体压部、脑桥和小脑区域的CNR与NDL组差异无统计学意义(P>0.05)。定性评价方面,两位诊断医师评价一致性良好;PI-DL4组在图像锐利度、噪声控制和整体图像质量方面表现最佳(P<0.05);PI-DL4与PI-DL3组灰白质对比度、病变显示和诊断信心差异无统计学意义(P>0.05);PI-DL2组与NDL组在各项定性评价指标上差异均无统计学意义(P>0.05)。在病变检出方面,DL组检出率高于NDL组,病变大小测量差异无统计学意义(P>0.05)。结论 在1.5 T MRI中,将DL重建算法与PI加速技术联合使用,可显著提高T2-FLAIR序列的图像质量和病变显示能力,并有效缩短扫描时间。由于DL等级4可能会导致部分病变边缘对比度降低,因此颅内占位性病变推荐使用DL等级3作为T2-FLAIR序列的最佳重建参数。
[Abstract] Objective Based on 1.5 T MRI, this study aims to compare the image quality and clinical value of conventional T2-fluid attenuated inversion recovery (T2-FLAIR) reconstruction and fast T2-FLAIR deep learning (DL) reconstruction in patients with intracranial space occupying lesions, and explore the optimal DL reconstruction parameters.Materials and Methods A total of 104 patients with intracranial space occupying lesions were prospectively enrolled, and routine T2-FLAIR and fast T2-FLAIR (parallel imaging, PI acceleration factor 2) were collected separately. Conventional T2-FLAIR adopts traditional reconstruction, denoted as NDL; Fast T2-FLAIR selects DL reconstruction levels 2, 3, and 4, denoted as PI-DL2, PI-DL3, and PI-DL4. The four groups of images were evaluated quantitatively and qualitatively by two doctors in blind state, and the size and quantity of lesions were recorded. Quantitative evaluation includes signal-to-noise ratio (SNR) and contrast-to-noise ratio (CNR). Qualitative evaluation includes image sharpness, noise, gray white contrast, artifacts, lesion display, diagnostic confidence, and overall image quality.Results The conventional T2-FLAIR scan time was 2 minutes and 8 seconds, while the fast T2-FLAIR scan time was 1 minute and 20 seconds, resulting in a time reduction of approximately 37.5%. Quantitative analysis showed that compared with NDL, the SNR of each DL reconstruction group (level 2, 3, 4) was improved, and increased with the increase of DL level (P < 0.05). The CNR of PI-DL4 was significantly higher than the other three groups (P < 0.05), while there was no statistically significant difference in the CNR of PI-DL2 in the corpus callosum, brainstem, and cerebellar regions compared to the NDL group (P > 0.05). In terms of qualitative evaluation, the consistency of the two diagnostic physicians' evaluations is good. PI-DL4 performed the best in terms of image sharpness, noise control, and overall image quality (P < 0.05). There was no statistically significant difference in gray white matter contrast, lesion display, and diagnostic confidence between PI-DL4 and PI-DL3 (P > 0.05). There was no statistically significant difference between PI-DL2 and NDL in various qualitative evaluation indicators (P > 0.05). In the detection of lesions, the detection rate of DL group was higher than that of NDL group, and there was no statistically significant difference in size measurement (P > 0.05).Conclusions In 1.5 T MRI, combining DL reconstruction algorithm with PI acceleration technology can significantly improve the image quality and lesion display ability of T2-FLAIR sequence, and effectively shorten the scanning time. Because DL level 4 may reduce the contrast of some lesions, DL level 3 is recommended as the best reconstruction parameter of T2-FLAIR sequence for intracranial space occupying lesions.
[关键词] T2液体衰减反转恢复序列;深度学习重建;图像质量;颅内占位性病变;磁共振成像
[Keywords] T2-fluid attenuated inversion recovery;deep learning reconstruction;image quality;intracranial space occupying lesions;magnetic resonance imaging

缪志明 1   谭勇 1   张菁 1   杨静 1   周小榆 2   胡译心 1   唐玉 1   林檬 1   张久权 1, 2*  

1 重庆大学附属肿瘤医院影像科,重庆 400030

2 重庆大学医学院,重庆 400030

通信作者:张久权,E-mail:zhangjq_radiol@foxmail.com

作者贡献声明::张久权设计本研究的方案,对稿件重要内容进行了修改;缪志明起草和撰写稿件,获取、分析和解释本研究的数据;谭勇、张菁参与研究方案的设计,对稿件重要内容进行了修改;杨静、周小榆、胡译心、唐玉、林檬获取、分析或解释本研究的数据,对稿件重要内容进行了修改;杨静、唐玉获得重庆市自然科学基金项目资助;全体作者都同意发表最后的修改稿,同意对本研究的所有方面负责,确保本研究的准确性和诚信。


基金项目: 重庆市自然科学基金项目 CSTB2022NSCQ-MSX0823,CSTB2022NSCQ-MSX0396
收稿日期:2025-09-04
接受日期:2026-01-26
中图分类号:R445.2  R651.1 
文献标识码:A
DOI: 10.12015/issn.1674-8034.2026.02.019
本文引用格式:缪志明, 谭勇, 张菁, 等. 基于不同深度学习重建等级的T2-FLAIR在颅内占位性病变的图像质量和诊断价值评估[J]. 磁共振成像, 2026, 17(2): 130-138. DOI:10.12015/issn.1674-8034.2026.02.019.

0 引言

       颅内占位性病变是神经系统常见疾病,可引发颅内压增高、神经功能缺损及脑疝等严重并发症,具有高致残率和致死率[1, 2, 3]。磁共振成像(magnetic resonance imaging, MRI)是诊断该类病变的首选影像学方法,具有较高的诊断准确性[4]。T2液体衰减反转恢复(T2-fluid attenuated inversion recovery, T2-FLAIR)序列是颅脑MRI检查中的关键序列,通过长回波时间和反转时间有效抑制脑脊液高信号,突出显示脑室周围病变(如肿瘤和水肿),在小病变检出方面具有显著优势,但其扫描时间通常较长[5, 6]。部分颅内占位患者配合能力有限,长时间扫描易产生运动伪影,影响图像诊断准确性。因此,缩短T2-FLAIR扫描时间不仅可以提高检查效率,为临床治疗争取宝贵时间,还有助于减轻运动伪影,提升图像质量[7]

       传统加速扫描方法,如快速成像序列、压缩感知(compressed sensing, CS)和并行采集(parallel imaging, PI),往往在提升速度的同时牺牲部分图像质量[8]。除此之外一些新的技术近年来也在加快扫描速度上得到应用,如合成磁共振技术通过单次扫描获得多对比图像,能明显缩短扫描时间,但合成磁共振技术部分图像质量不稳定,易产生伪影,且单次扫描时间长[9]。而深度学习(deep learning, DL)重建算法能改善因采样不足而导致图像质量下降的问题,在保持甚至提升图像质量方面展现出显著潜力[8],但DL重建算法主要是改善图像质量,并不能直接加快扫描速度。因此DL联合加速技术能够有效弥补这些技术的局限性,且已经在多个解剖部位的MRI中获得验证[10, 11],例如XIE等[10]通过研究DL联合PI技术在肩关节MRI中的应用,发现DL联合PI图像质量更高,且诊断信息不逊于传统重建。此外高等级的DL重建(泛指降噪能力≥70%)通常能更明显地改善图像质量,但其诊断效能尚存争议[12, 13, 14]。KOCH等[15]报道降噪75%的DL算法在图像质量、诊断信心和病变检测方面优于降噪50%的DL重建算法;而LEE等[14]指出高等级DL可能会导致图像过度平滑,影响前列腺过渡区细节显示,进而干扰肿瘤诊断。同时目前关于DL图像重建的研究多基于3.0 T MRI开展,GIGANTI等[16]综述近5年前列腺MRI中DL应用的研究,发现90%(19/21)使用3.0 T MRI,只有11%(2/19)采用1.5 T MRI。然而,1.5 T MRI具有对弱磁性植入物兼容性好、化学位移和磁化率伪影较轻、扫描时噪音和射频产热低等优点[17, 18, 19],目前仍是临床工作的主力设备,在全国各级医院的配置数量普遍高于3.0 T MRI[20]。因此,本研究基于1.5 T MRI,将DL重建与PI技术联合使用,比较常规T2-FLAIR传统重建和快速T2-FLAIR DL重建在颅内占位性病变的图像质量与临床价值,并进一步探究最佳DL重建参数,以期为临床扫描方案优化提供依据。

1 材料与方法

1.1 模体实验

1.1.1 采集参数

       采用MRI专用ACR模体(美国放射学院研制)在uMR 680 1.5 T超导型 MRI系统(联影医疗公司,中国)上配合20通道头颈联合相控阵线圈进行扫描,采集常规T2-FLAIR、PI加速因子为2和3的快速T2-FLAIR序列,序列参数见表1。其中,PI因子2和3的快速T2-FLAIR使用联影uMR 680机器自带的DL重建算法(DeepRecon,简称DL)进行5个等级(1~5级)的DL重建和传统重建,分别命名为:PI2-DL1Phantom、PI2-DL2Phantom、PI2-DL3Phantom、PI2-DL4Phantom、PI2-DL5Phantom和PI2-NDLPhantom以及PI3-DL1Phantom、PI3-DL2Phantom、PI3-DL3Phantom、PI3-DL4Phantom、PI3-DL5Phantom和PI3-NDLPhantom;常规T2-FLAIR采用传统重建(记为NDLPhantom)。

表1  扫描参数
Tab. 1  Scanning parameters

1.1.2 DL重建算法

       本研究使用联影uMR 680机器自带的DL重建算法,该算法基于包含多个增强模块和连接层的卷积神经网络模型(convolutional neural network, CNN),训练样本集包含大量数据,覆盖不同解剖结构和对比度需求,将低分辨率、低SNR的原始图像数据智能映射为高分辨、高SNR且细节丰富的图像,并在图像域与K空间域进行双重降噪和保真。该算法具有以下特点:

       (1)智能噪声抑制:DL算法基于大数据的训练学习,支持自适应选取噪声模型,能准确识别噪声与真实信号,从而恢复真实信号,获得高SNR图像;(2)强化细节显示:DL算法不损耗原始数据,通过预测并有效补充k空间高频数据,提升图像分辨率,优化图像质量;(3)计算负担小:DL算法为优化后的轻量神经网络模型,可有效减少计算负担,可在线重建;(4)DL处理图像选择自由:可根据不同部位以及临床需求,选择不同等级DL强度[21]。不同等级DL强度是通过将卷积神经网络输出的图像与原始采集的图像,在k空间以不同比例加权融合实现的,等级越高卷积神经网络输出图像的权重系数越高,反之越低,融合计算方式为公式(1)。DL 1、2、3、4和5等级的权重系数为90%、70%、50%、30%和10%。因此DL等级越高,最终图像越接近于神经网络输出,降噪效果越显著。

       其中,Y为DL最终输出图像,X为原始采集图像,XCNN为卷积神经网络输出图像,a为融合权重系数。

1.1.3 模体数据测量

       使用ACR模体进行信噪比(signal-to-noise ratio, SNR)和影像均匀性评估。图像均匀性是通过选取至少包含图像中心区域80%面积的感兴趣区(region of interest, ROI),并记录信号强度(signal intensity, SI)的最大值(SImax)与最小值(SImin),代入公式(2)计算图像均匀性。在模体同一扫描层面选取覆盖图像75%以上区域ROI,测量其SI;在模体同层面背景区域(频率编码方向)选取一个尽可能大的ROI,测量其标准差(SDb),代入公式(3)计算模体SNR[22, 23]

1.2 临床试验

1.2.1 研究对象

       本研究遵循《赫尔辛基宣言》,经重庆大学附属肿瘤医院伦理委员会审批(CZLS2023085-A),所有参与者均签署知情同意书。前瞻性纳入2024年3月至2024年5月期间确诊颅内占位性病变需行MRI评估的患者。纳入标准:年龄≥18岁、临床情况稳定(稳定的生命体征、自主呼吸)、具备知情同意能力。排除标准:既往影像学明确提示陈旧性梗死、脱髓鞘病变和慢性缺血灶,存在MRI绝对禁忌证,拒绝参与研究,或图像质量过低无法用于分析。

1.2.2 检查方法

       根据模体实验确定的最佳扫描方案和重建参数对患者进行颅脑扫描,扫描序列包括常规T2-FLAIR和PI加速因子2的快速T2-FLAIR、T2加权、弥散加权、T1加权和增强T1加权序列,序列参数见表1。常规T2-FLAIR采用传统重建,记为NDL组(未加速且未使用DL算法);快速T2-FLAIR(PI因子2)使用联影uMR 680机器自带的DL重建算法(DeepRecon,简称DL)进行DL等级2、3、4重建,记为PI-DL2、PI-DL3和PI-DL4组。

1.2.3 图像质量评价

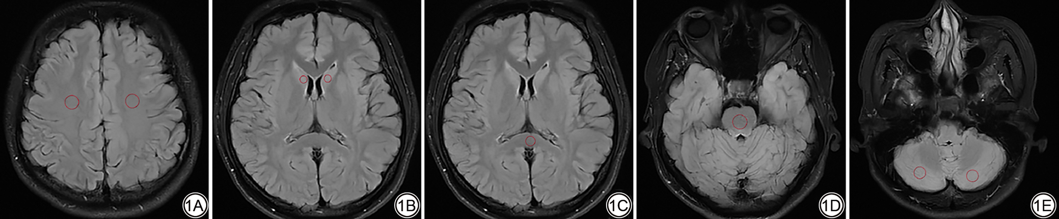
       (1)定量评价。为减少偏差,定量评价采用以下标准流程:利用联影后处理工作站在双侧半卵圆中心、双侧尾状核、胼胝体压部、脑桥及双侧小脑最大正常层面放置大小合适的圆形ROI(半卵圆中心、脑桥和小脑ROI约50 mm2,尾状核ROI约20 mm2,胼胝体压部ROI约30 mm2),避开血管、脑脊液、伪影及病变,测量其SI以及SD,取双侧对称结构的测量值取平均值(图1)。将双侧半卵圆中心SI及SD的平均值分别作为背景信号(background signal intensity, SIb)和背景标准差(SDb),据此计算各区域的SNR和对比噪声比(contrast-to-noise ratio, CNR),见公式(4)[23]

       (2)定性评价。由两名分别拥有3年头颅MRI诊断经验的住院医师和10年经验的主治医师,采用联影后处理工作站进行盲法评估,每位患者的四组图像以随机顺序呈现。使用5分法李克特量表从图像锐利度、噪声、伪影、灰白质对比度、病变显示、诊断信心和整体图像质量七个方面进行评分(1=极差,无法诊断;2=较差,诊断受限;3=中等,可达到诊断标准;4=良好,可诊断;5=优秀,易于诊断)[24, 25]

图1  ROI勾画示意图。1A:双侧半卵圆中心;1B:双侧尾状核;1C:胼胝体压部;1D:脑桥;1E:双侧小脑。ROI:感兴趣区。
Fig. 1  ROI schematic diagram. 1A: Bilateral centrum semiovale; 1B: Bilateral caudate nuclei; 1C: Corpus callosum compression; 1D: Pons; 1E: Bilateral cerebellum. ROI: region of interest.

1.2.4 病变大小及数量比较

       以T1增强三维1 mm薄层图像为主要影像参考,并充分参考患者临床病史、随访影像以及采其他序列(如弥散加权序列),统计病变数量;并记录NDL、PI-DL2、PI-DL3和PI-DL4组病变数量,结果不一致时两位医师协商决定,并在T2-FLAIR图像测量NDL、PI-DL2、PI-DL3和PI-DL4组病变面积(有多个病变时测量最大病变)。

1.3 统计学分析

       采用SPSS 25.0和Medcalcru软件进行统计分析。首先使用Shapiro-Wilk检验对连续变量进行正态性评估,符合正态分布数据以均值±标准差表示,非正态分布数据则以中位数(上下四分位数)表示。对于四组图像的定量指标,若数据符合正态分布且方差齐性,采用单因素方差分析(ANOVA)及Tukey事后检验进行组间比较;若为非正态分布或方差不齐,则采用Friedman秩和检验。定性评价以及病变大小采用Friedman秩和检验进行整体比较,若存在差异,进一步采用经Bonferroni校正的配对Wilcoxon秩和检验进行两两比较。两位诊断医师间定性评价的一致性通过Kappa系数评估,评定标准如下:Kappa>0.8为极好,>0.60~0.80为良好,>0.40~0.60为中等,0.20~0.40为较差,Kappa<0.20为极差。所有统计检验的显著性水平均设定为P<0.05。两位医师病变大小的一致性采用Bland-Altman法评估,计算两位医师病变大小均差值超过一致性界限(limits of agreement, LoA)的患者人数,超过LoA患者人数占总人数>5%为不合格。

2 结果

2.1 模体实验结果

       模体SNR和图像均匀性结果见表2。对不同T2-FLAIR图像的模体分析表明,DL重建算法可提升图像的SNR和信号均匀性,且随着DL等级的提高,图像质量总体呈上升趋势。然而,DL1等级对图像质量的改善不明显,而DL5等级出现图像均匀性下降。此外,当PI加速因子为3时,图像出现明显伪影(图2)。

图2  ACR 模体T2-FLAIR 图像。2A:未加速图像;2B:PI 加速因子2 图像;2C:PI 加速因子3。2C图像中心及边缘可见明显伪影(黄箭)。T2-FLAIR:液体衰减反转恢复;PI:并行采集。
Fig. 2  T2-FLAIR image of the ACR phantom. 2A: The unaccelerated; 2B: The PI acceleration factor 2; 2C: The PI acceleration factor 3. Significant artifacts are visible in the center and edges of the 2C image (yellow arrow). T2-FLAIR: T2-fluid attenuated inversion recovery; PI: parallel imaging.
表2  ACR模体SNR和均匀性结果
Tab. 2  SNR and Uniformity Results of the ACR phantom

2.2 临床试验结果

2.2.1 人口统计学与临床信息

       共招募颅内占位性病变患者110例,其中6例因无法配合完成检查或图像存在严重运动伪影被排除,最终纳入患者104例。经临床随访或病理结果证实,患者构成包括脑转移61例,脑膜瘤23例,胶质瘤11例,听神经瘤3例,淋巴瘤3例,松果体结节2例,颅内感染1例。纳入患者中男性37例,女性67例,年龄(53.92±12.00)岁。

2.2.2 定量评价结果

       各组图像在半卵圆中心、尾状核、胼胝体压部、脑桥和小脑区域SNR和CNR结果见表3

       在SNR方面,各脑区(半卵圆中心、尾状核、胼胝体压部、脑桥及小脑)SNR组间差异具有统计学意义(两两比较P<0.05)。与NDL组相比,PI-DL2、PI-DL3和PI-DL4组的图像SNR均有提高,且随DL等级增加,SNR也增大(两两比较P<0.05)。

       在CNR方面,在尾状核、胼胝体压部、脑桥及小脑区域,PI-DL4组CNR高于NDL、PI-DL2和PI-DL3组(两两比较P<0.05)。在尾状核、胼胝体压部及小脑区域,PI-DL3组CNR高于PI-DL2与NDL组(两两比较P<0.05);在尾状核区域,PI-DL2组CNR也高于NDL组(P<0.05)。在胼胝体压部及小脑区域,PI-DL2与NDL组组间CNR差异无统计学意义(P>0.05);在脑桥区域,PI-DL2与NDL、PI-DL3组组间CNR差异均无统计学意义(两两比较P>0.05)。

表3  四组图像定量评价结果
Tab. 3  Quantitative evaluation results of four groups of images

2.2.3 定性评价结果

       两位医师对四组图像在锐利度、噪声水平、伪影程度、灰白质对比度、病变显示能力、诊断信心以及整体图像质量七个方面的评分一致性良好,Kappa值分别为0.74、0.78、0.70、0.72、0.69、0.70、0.62(P<0.05)。因此,后续分析采用高年资医师的评分结果。

       各组图像定性评价结果详见表4图3。PI-DL4组在图像锐利度、噪声和整体图像质量均优于NDL、PI-DL2和PI-DL3组(两两比较P<0.05)(图4)。PI-DL4与PI-DL3组在灰白质对比度、病变显示以及诊断信心差异无统计学意义(P>0.05);PI-DL2与NDL组在所有定性指标差异均无统计学意义(P>0.05);四组图像在伪影方面的评分差异无统计学意义(P>0.05)。另外,少数患者DL等级4病变边缘对比度下降(图5)。

       病变检出方面,以三维T1增强为主要参考影像,并结合患者临床病史、随访影像以及采集的其他序列(如弥散加权序列),共检出485个占位性病变;NDL组检出率69.90%(339个);PI-DL2组检出率71.96%(349个);PI-DL3组检出率73.81%(358个);PI-DL4组检出率72.99%(354个)。病变大小测量方面,四组数据组间比较差异无统计学意义(P>0.05)(表5)。两位医师病变大小均差值超过LoA的患者人数占比均<5%,病变测量的一致性见图6

图3  定性评价结果图。图像锐利度、噪声、伪影、灰白质对比度、病变显示、诊断信心和整体图像质量组间比较结果。相互连线的两组数据之间进行经Bonferroni校正的配对Wilcoxon秩和检验。*代表P<0.05;**代表P<0.01;***代表P<0.001;ns代表P>0.05。PI:并行采集;DL:深度学习。
Fig. 3  Results of qualitative evaluation: image sharpness, noise, artifacts, gray white matter contrast, lesion display, diagnostic confidence, and overall image quality. The paired Wilcoxon rank sum test with Bonferroni correction is performed between two sets of interconnected data. * indicates P < 0.05; ** indicates P < 0.01; *** indicates P < 0.001; ns indicates P > 0.05. PI: parallel imaging; DL: deep learning.
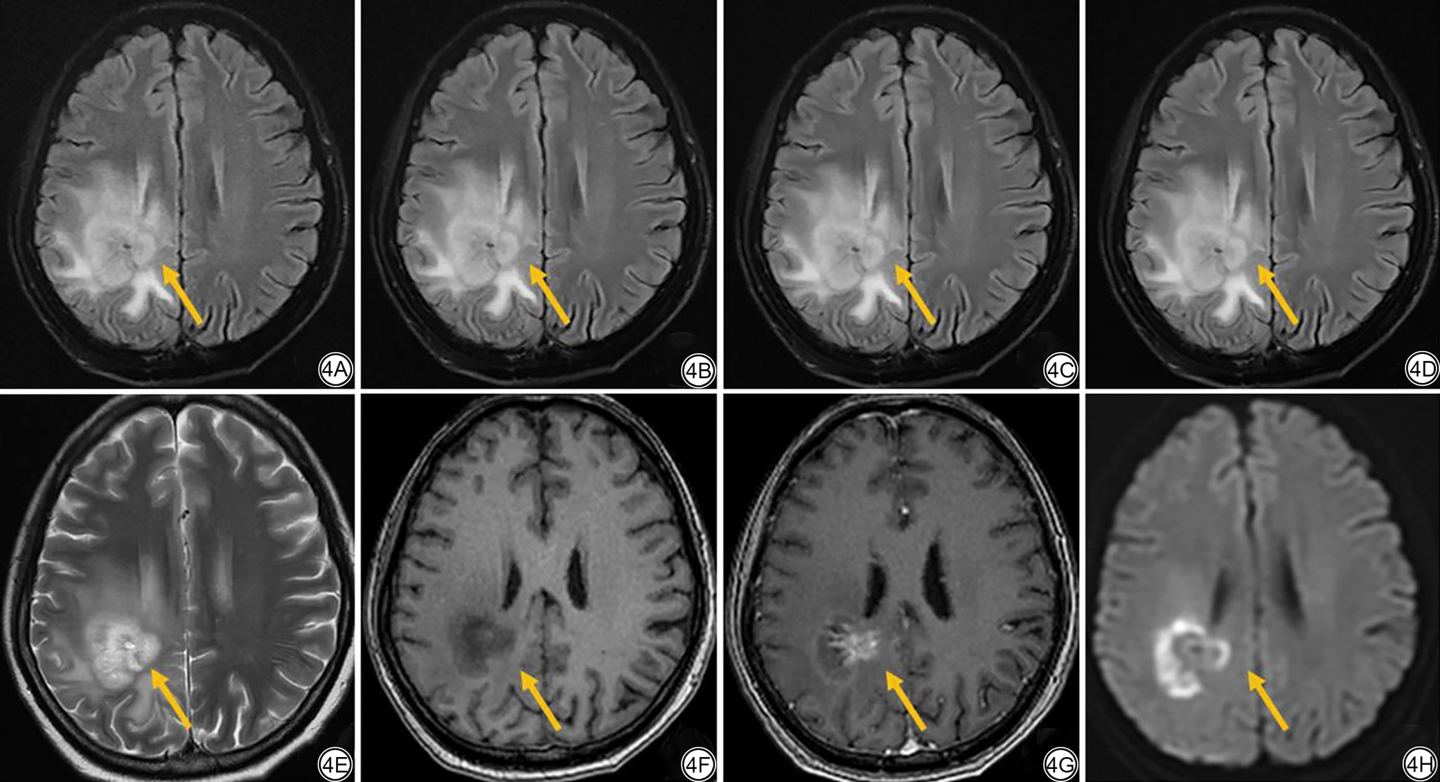
图4  女,49岁,病理诊断为脑胶质瘤,T2-FLAIR图像上可见一高信号占位性病变,弥散受限,增强序列可见明显强化。4A:NDL组常规T2-FLAIR图像,噪声较大,病变(黄箭)显示较好,评分为整体图像质量3分,病变显示3分,诊断信心3分;4B:PI-DL2组快速T2-FLAIR DL重建等级2图像,噪声较小,病变显示较好,评分为整体图像质量4分,病变显示4分,诊断信心4分;4C:PI-DL3组快速T2-FLAIR DL重建等级3图像,无明显噪声,病变显示好,评分为整体图像质量5分,病变显示5分,诊断信心5分;4D:PI-DL4组快速T2-FLAIR DL重建等级4图像,无明显噪声,病变显示好,评分为整体图像质量5分,病变显示5分,诊断信心5分;4E:T2加权图像;4F:T1加权图像;4G:增强T1加权图像;4H:弥散加权图像。T2-FLAIR: 液体衰减反转恢复;PI:并行采集;DL:深度学习。
Fig. 4  Female, 49 years old, Pathological diagnosis was glioma of the brain, a high signal mass lesion can be seen on the T2-FLAIR image, restricted diffusion with obvious enhancement on contrast-enhanced imaging. 4A: Conventional T2-FLAIR image with traditional reconstruction in the NDL group, with higher noise, the lesion display is good (yellow arrow), with a score of 3 for overall image quality, 3 for lesion display, and 3 for diagnostic confidence. 4B: Fast T2-FLAIR image reconstructed with DL level 2 (PI-DL2 group), with lower noise, and good lesion display. The score is 4 for overall image quality, 4for lesion display, and 4 for diagnostic confidence. 4C: Fast T2-FLAIR image reconstructed with DL level 3 (PI-DL3 group), with no obvious noise. The lesion is well displayed, with a score of 5 for overall image quality, 5for lesion display, and 5 for diagnostic confidence. 4D: Fast T2-FLAIR image reconstructed with DL level 4 (PI-DL4 group), with no obvious noise. The lesion is well displayed, with a score of 5 for overall image quality, 5 for lesion display, and 5 for diagnostic confidence. 4E: T2-weighted image. 4F: T1-weighted image. 4G: T1-weighted contrast-enhanced image; 4H: diffusion-weighted image. T2-FLAIR: T2-fluid attenuated inversion recovery; PI: parallel imaging; DL: deep learning.
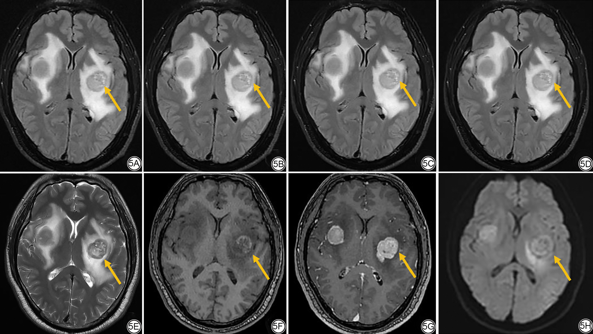
图5  男,53岁,经临床随访证实为黑色素瘤脑转移。5A~5D:采用不同算法重建的常规和加速T2-FLAIR图像。5A:NDL组常规T2-FLAIR传统重建图像;5B:PI-DL2组快速T2-FLAIR DL重建等级2图像;5C:PI-DL3组快速T2-FLAIR DL重建等级3图像;5D:PI-DL4组快速T2-FLAIR DL重建等级4图像;5E:T2加权图像;5F:T1加权图像;5G:增强T1加权图像;5H:弥散加权图像。T2-FLAIR可见高信号病变,弥散受限,增强序列可见明显强化。PI-DL4组与其他图像相比,左侧病变(黄箭)边缘较为模糊。这是因为病变边缘与噪声特征相似,为获得更高SNR,将病变极少一部分当作噪声进行平滑处理,导致病变边缘模糊。T2-FLAIR: 液体衰减反转恢复;PI:并行采集;SNR:信噪比;DL:深度学习。
Fig. 5  Male, 53 years old, Clinical follow-up confirmed brain metastases from melanoma. 5A to 5D: Conventional and accelerated T2-FLAIR images reconstructed with different deep learning algorithms. 5A: Conventional T2-FLAIR image with traditional reconstruction in the NDL group. 5B: Fast T2-FLAIR image reconstructed with DL level 2 (PI-DL2 group). 5C: Fast T2-FLAIR image reconstructed with DL level 3 (PI-DL3 group). 5D: Fast T2-FLAIR image reconstructed with DL level 4 (PI-DL4 group). 5E: T2-weighted image. 5F: T1-weighted image. 5G: T1-weighted contrast-enhanced image. 5H: diffusion-weighted image. High signal mass lesions can be seen on the T2-FLAIR image, restricted diffusion with obvious enhancement on contrast-enhanced imaging. Compared with other imaging modalities, the margin of the left-sided lesion (indicated by the yellow arrow) in PI-DL4 is relatively indistinct. This may be due to the lesion's edge characteristics being similar to noise. To achieve higher SNR, a minimal portion of the lesion was smoothed as noise, resulting in the blurred margin. T2-FLAIR: T2-fluid attenuated inversion recovery; PI: parallel imaging, SNR: signal-to-noise ratio; DL: deep learning.
图6  评估两位医师病变大小测量一致性的Bland-Altman图。蓝色线:两位医师测量病变大小均差值平均值连线;红色线:两位医师测量病变大小均差值上、下限;绿色线:95%置信区间连线。6A:两位医师测量NDL组常规T2-FLAIR传统重建图像病变大小一致性;6B:两位医师测量PI-DL2组快速T2-FLAIR DL重建等级2图像病变大小一致性;6C:两位医师测量PI-DL3组快速T2-FLAIR DL重建等级3图像病变大小一致性;6D:两位医师测量PI-DL4组快速T2-FLAIR DL重建等级4图像病变大小一致性。PI:并行采集;DL:深度学习;T2-FLAIR: 液体衰减反转恢复。
Fig. 6  Bland-Altman plots assessing the consistency of lesion size measurements between the two doctors. Blue line: the line of mean value of the mean differences in lesion size measurements between the two doctors; Red line: the upper and lower limits of the mean differences in lesion size measurements between the two doctors; Green line: the line of 95% confidence interval. 6A: Conventional T2-FLAIR images with traditional reconstruction (NDL group); 6B: Fast T2-FLAIR images reconstructed with DL level 2 (PI-DL2 group); 6C: Fast T2-FLAIR images reconstructed with DL level 3 (PI-DL3 group); 6D: Fast T2-FLAIR images reconstructed with DL level 4 (PI-DL4 group). PI: parallel imaging; DL: deep learning; T2-FLAIR: T2-fluid attenuated inversion recovery.
表4  四组图像定性评价结果
Tab. 4  Qualitative evaluation results of four groups of images
表5  四组图像病变测量结果
Tab. 5  Measurement results of lesion size in four groups of images

3 讨论

       本研究基于1.5 T MRI,探讨DL重建算法在颅内占位性病变患者T2-FLAIR序列图像质量和诊断价值,并比较不同DL重建等级的表现。结果显示,DL重建算法与PI加速技术联合使用可明显缩短扫描时间。与传统重建相比,DL重建图像病变数目检出数量高于传统重建,DL等级3和DL等级4在SNR、CNR、整体图像质量、灰白质对比度以及病变显示、诊断信心均明显提升。但需注意,DL等级4可能会导致病变边缘对比度降低,因此DL等级3在颅脑T2-FLAIR序列重建中表现出最佳的综合性能。

3.1 DL重建算法的优势和临床价值

       本研究采用基于双域协同处理(图像域+K空间域)的DL重建算法,利用CNN模型能有效分离噪声与真实信号,将低SNR的快速T2-FLAIR图像数据智能映射为高SNR的图像[26, 27, 28]。定量评价结果表明,与传统重建相比,采用DL重建可提高图像SNR,且在不同解剖区域(如半卵圆中心、胼胝体压部、脑桥和小脑)CNR均表现出明显优势。定性评价结果表明,DL等级3和4重建图像具有更高的图像质量,且在噪声、锐利度、脑白质对比度、病变显示和诊断信心方面明显优于传统重建。DL等级2、3、4图像病变检出高于传统重建,所以DL图像质量和诊断价值优于传统重建。这可能是由于传统重建算法图像噪声较高,易产生伪影,导致部分病变漏诊[29, 30, 31]。而DL重建算法可明显提升图像质量,DL重建算法可分为k空间域与图像域两大类型,基于k空间的DL算法能够从欠采样数据中重建高质量图像,突破传统重建的局限[32]:基于图像域的重建算法则能学习复杂图像特征,在显著抑制噪声和伪影的同时,不需依赖特定模型或参数,表现出较强的图像改善能力[31]。本研究使用的DL重建算法通过并在图像域与K空间域进行双重降噪和保真,兼顾深度学习的降噪能力和物理模型的准确性,精细优化图像,为临床提供高质量的影像支持。

       不少研究已验证DL重建算法在头颅MRI中的应用价值。KIDOH等[33]将基于图像域的DL降噪算法与激励次数为2的T2-FLAIR相结合,结果显示其图像质量显著高于激励次数为5的T2-FLAIR图像。KIM等[25]将k空间域DL算法应用于儿童颅脑T2加权成像,证实DL重建图像的质量与诊断效能均显著优于传统重建。在本研究中,DL重建技术同样显著改善图像质量和诊断效能,所得结论与KIDOH等[33]和KIM等[25]研究结论高度一致。其中,KIM等研究聚焦k空间域算法与儿童群体,KIDOH等研究基于图像域与健康人群,且均于3.0 T MRI进行数据采集,本研究以颅内占位性病变患者为研究对象,基于1.5 T MRI进行数据采集,采用双域协同处理(图像域+K空间域)进行图像重建,结果显示DL重建算法可有效提升病变显示和诊断信心,且病变检出高于传统重建。此外RUFF等[34]通过对比DL算法在3.0 T和1.5 T MRI脑肿瘤术后随访的应用效果发现,DL在1.5 T对诊断信心提高更明显,且肿瘤残留检测能力更强,其研究充分证实DL重建算法在1.5 T MRI中的应用优势和潜在价值,为本研究提供了有力的研究支持,进一步证明DL算法在1.5 T MRI中的临床应用价值。综上,本研究为DL重建算法在颅脑MRI应用提供新的临床依据,对DL算法在颅内病变的诊断价值做出肯定,夯实其向临床转化的可行性基础。

3.2 不同等级DL对T2-FLAIR的影响

       目前针对DL等级在T2-FLAIR序列中应用的研究仍较少,DL对不同解剖部位和序列的影响存在差异,且部分研究支持使用高等级DL,如KIM等[25]报道高等级DL可提升儿童T2加权成像序列的图像质量。FENG等[13]发现随DL等级提高,直肠癌MRI图像质量持续改善。然而,RIEDERER等[35]在前列腺MRI研究中指出,中、低等级DL在对比度保真度、伪影和锐利度优于高等级DL。本研究显示,随着DL等级提高,图像质量总体提升,且DL等级不会对伪影造成明显改变,与FENG等[13]研究结果一致。值得注意的是,脑桥等深部细小结构在DL4等级下CNR才出现显著改善,可能与该区域组织复杂、原始对比度低及噪声特征有关。但过高的DL等级(如DL等级4)可能会导致病变边缘与正常组织的对比度下降,类似地,HERRMANN等[27]也报告DL算法导致膝关节图像中骨小梁等细微结构消失,是由于高等级DL算法为追求高SNR,对图像中的高频信息进行平滑处理,细微信号差异被掩盖,导致结构模糊、连续性中断。因此合适的DL等级对于颅内占位的诊断至关重要,PI-DL3组有较好的图像质量,且诊断信心和病变显示与PI-DL4组无明显差异,同时能更好地避免边缘对比度损失,因此被认为是T2-FLAIR序列中最适合颅内占位性病变的重建等级。

3.3 PI与DL联合应用在图像质量和扫描效率中的价值

       DL算法本身并不能直接缩短扫描时间,需与其他加速技术联合使用。目前常用的加速方法包括硬件升级、快速成像序列和k空间欠采样等,其中欠采样策略以CS和PI最为常见[36, 37]。CS技术利用信号稀疏性进行随机采样和迭代重建,在多期增强和3D扫描中优势显著,但对2D序列的提升有限,且对计算资源要求较高[36, 38, 39]。PI技术利用多通道相控阵线圈地空间信息,通过对相位编码方向进行欠采样以缩短扫描时间,操作简便、设备兼容性好,但单独使用易导致图像SNR下降及伪影增加[40]。本研究将DL重建与PI加速技术联合使用,结果显示扫描时间缩短37.5%,SNR和CNR较传统重建显著提升,有效弥补PI技术引起的SNR损失。

3.4 局限性

       本研究存在以下局限性:(1)为单中心研究,样本量有限;(2)本研究部分病变类型以及病变数量通过临床随访验证,缺少病理金标准验证;(3)为避免总检查时间过长,未进行T1加权、弥散加权及增强等多序列比较;(4)仅评估一种加速方式和一个加速因子,后续研究可进一步比较不同加速因子及多种加速技术与DL的联合使用效果;(5)未与高场强(如3.0 T)MRI进行对比。AKAI等[41]和TAJIMA等[42]通过1.5 T MRI联合DL算法与3.0 T MRI传统重建比较,发现DL重建图像的图像质量与3.0 T MRI图像相近甚至超过,但本研究纳入患者病情较重,且MRI硬件性能影响图像表现,因此未设置3.0 T对照组。

4 结论

       综上所述,本研究基于1.5 T MRI,对常规T2-FLAIR传统重建和快速T2-FLAIR DL重建的图像表现进行比较,结果显示DL重建与PI技术联合使用可显著缩短扫描时间,同时提升图像质量与病变显示能力。对于颅内占位性病变患者,DL重建等级3是颅脑T2-FLAIR序列的最佳选择,能够在图像质量和解剖细节保留之间达到最优平衡。本研究为优化1.5 T MRI颅脑T2-FLAIR扫描方案提供了方法学参考,具有临床应用价值。

[1]
张晏华, 郁仁强, 郁斌, 等. 基于深度学习重建算法的扩散加权成像在颅脑MRI检查中的应用价值[J]. 磁共振成像, 2025, 16(7): 65-71. DOI: 10.12015/issn.1674-8034.2025.07.010.
ZHANG Y H, YU R Q, YU B, et al. Application value of diffusion-weighted imaging based on deep learning reconstruction algorithm in cranial MRI examination[J]. Chin J Magn Reson Imaging, 2025, 16(7): 65-71. DOI: 10.12015/issn.1674-8034.2025.07.010.
[2]
马文富, 葛鑫, 党佩, 等. Sy-MRI联合DWI在预测胶质瘤MGMT甲基化中的应用[J]. 磁共振成像, 2023, 14(7): 18-24, 48. DOI: 10.12015/issn.1674-8034.2023.07.004.
MA W F, GE X, DANG P, et al. Application of Sy-MRI combined with DWI in predicting MGMT methylation in glioma[J]. Chin J Magn Reson Imaging, 2023, 14(7): 18-24, 48. DOI: 10.12015/issn.1674-8034.2023.07.004.
[3]
HAMEL C, AVARD B, DEA N, et al. Canadian association of radiologists central nervous system diagnostic imaging referral guideline[J]. Can Assoc Radiol J, 2025, 76(3): 435-443. DOI: 10.1177/08465371241311247.
[4]
CAMPION A, IV M. Brain tumor imaging: review of conventional and advanced techniques[J]. Semin Neurol, 2023, 43(6): 867-888. DOI: 10.1055/s-0043-1776765.
[5]
TREVISI G, MANGIOLA A. Current knowledge about the peritumoral microenvironment in glioblastoma[J/OL]. Cancers, 2023, 15(22): 5460 [2025-09-03]. https://pubmed.ncbi.nlm.nih.gov/38001721/. DOI: 10.3390/cancers15225460.
[6]
梁权海, 李伟峰, 梁长松, 等. 增强T2WI-FLAIR序列对颅内微小转移瘤诊断临床价值研究[J]. 医学理论与实践, 2025, 38(8): 1365-1367. DOI: 10.19381/j.issn.1001-7585.2025.08.036.
LIANG Q H, LI W F, LIANG C S, et al. Clinical value of enhanced T2WI-FLAIR sequence in the diagnosis of intracranial micrometastases[J]. J Med Theory Pract, 2025, 38(8): 1365-1367. DOI: 10.19381/j.issn.1001-7585.2025.08.036.
[7]
YANG A, FINKELSTEIN M, KOO C, et al. Impact of deep learning image reconstruction methods on MRI throughput[J/OL]. Radiol Artif Intell, 2024, 6(3): e230181 [2025-09-03]. https://pubmed.ncbi.nlm.nih.gov/38506618/. DOI: 10.1148/ryai.230181.
[8]
LIN D J, JOHNSON P M, KNOLL F, et al. Artificial intelligence for MR image reconstruction: an overview for clinicians[J]. J Magn Reson Imaging, 2021, 53(4): 1015-1028. DOI: 10.1002/jmri.27078.
[9]
陈子蕙, 张莫云, 王美佳, 等. 合成MRI在临床疾病中的研究进展[J]. 磁共振成像, 2025, 16(7): 227-234. DOI: 10.12015/issn.1674-8034.2025.07.036.
CHEN Z H, ZHANG M Y, WANG M J, et al. Research progress of synthetic MRI in clinical diseases[J]. Chin J Magn Reson Imaging, 2025, 16(7): 227-234. DOI: 10.12015/issn.1674-8034.2025.07.036.
[10]
XIE Y X, TAO H Y, LI X W, et al. Prospective comparison of standard and deep learning-reconstructed turbo spin-echo MRI of the shoulder[J/OL]. Radiology, 2024, 310(1): e231405 [2025-09-04]. https://pubmed.ncbi.nlm.nih.gov/38193842/. DOI: 10.1148/radiol.231405.
[11]
WALTER S S, VOSSHENRICH J, CANTARELLI RODRIGUES T, et al. Deep learning superresolution for simultaneous multislice parallel imaging-accelerated knee MRI using arthroscopy validation[J/OL]. Radiology, 2025, 314(1): e241249 [2025-09-04]. https://pubmed.ncbi.nlm.nih.gov/39873603/. DOI: 10.1148/radiol.241249.
[12]
BAE K, LEE J, JUNG Y, et al. Deep learning reconstruction for zero echo time lung magnetic resonance imaging: impact on image quality and lesion detection[J/OL]. Clin Radiol, 2024, 79(11): e1296-e1303 [2025-09-04]. https://pubmed.ncbi.nlm.nih.gov/39112100/. DOI: 10.1016/j.crad.2024.07.011.
[13]
FENG W M, ZHU L, XIA Y H, et al. Deep learning-based reconstruction: a reliability assessment in preoperative magnetic resonance imaging for primary rectal cancer[J]. Quant Imaging Med Surg, 2024, 14(12): 8927-8941. DOI: 10.21037/qims-24-907.
[14]
LEE K L, KESSLER D A, DEZONIE S, et al. Assessment of deep learning-based reconstruction on T2-weighted and diffusion-weighted prostate MRI image quality[J/OL]. Eur J Radiol, 2023, 166: 111017 [2025-09-04]. https://pubmed.ncbi.nlm.nih.gov/37541181/. DOI: 10.1016/j.ejrad.2023.111017.
[15]
KOCH K M, SHERAFATI M, ARPINAR V E, et al. Analysis and evaluation of a deep learning reconstruction approach with denoising for orthopedic MRI[J/OL]. Radiol Artif Intell, 2021, 3(6): e200278 [2025-09-04]. https://pubmed.ncbi.nlm.nih.gov/34870214/. DOI: 10.1148/ryai.2021200278.
[16]
GIGANTI F, KASIVISVANATHAN V, KIRKHAM A, et al. Prostate MRI quality: a critical review of the last 5 years and the role of the PI-QUAL score[J/OL]. Br J Radiol, 2022, 95(1131): 20210415 [2025-09-04]. https://pubmed.ncbi.nlm.nih.gov/34233502/. DOI: 10.1259/bjr.20210415.
[17]
中华医学会放射学分会质量管理与安全管理学组, 中华医学会放射学分会磁共振成像学组.. 磁共振成像安全管理中国专家共识[J]. 中华放射学杂志, 2017, 51(10): 725-731. DOI: 10.3760/j.issn.1005-1201.2017.10.003.
Chinese Medical Association Radiology Society Quality Management and Security Management Group, Chinese Medical Association Radiology Society Magnetic Resonance Imaging Group. China expert consensus on safety management of magnetic resonance imaging[J]. Chin J Radiol, 2017, 51(10): 725-731. DOI: 10.3760/j.issn.1005-1201.2017.10.003.
[18]
GRAVES M J. 3 T: the good, the bad and the ugly[J/OL]. Br J Radiol, 2022, 95(1130): 20210708 [2025-09-04]. https://pubmed.ncbi.nlm.nih.gov/34705565/. DOI: 10.1259/bjr.20210708.
[19]
KAUFMANN T J, SMITS M, BOXERMAN J, et al. Consensus recommendations for a standardized brain tumor imaging protocol for clinical trials in brain metastases[J]. Neuro Oncol, 2020, 22(6): 757-772. DOI: 10.1093/neuonc/noaa030.
[20]
李函宇, 张濛, 吕欣阳, 等. 全国放射影像设备配置现状及应用调查研究[J]. 临床放射学杂志, 2024, 43(4): 669-674. DOI: 10.13437/j.cnki.jcr.2024.04.035.
LI H Y, ZHANG M, LV X Y, et al. Investigation research on the configuration status and application of radiographic imaging equipment in China[J]. J Clin Radiol, 2024, 43(4): 669-674. DOI: 10.13437/j.cnki.jcr.2024.04.035.
[21]
周鹏辉, 刘海彬, 林海, 等. 基于深度学习的图像重建技术在鼻咽癌5.0T MRI中的应用[J]. 中国医学影像学杂志, 2025, 33(7): 694-699. DOI: 10.3969/j.issn.1005-5185.2025.07.002.
ZHOU P H, LIU H B, LIN H, et al. Application of deep learning-based image reconstruction technology in 5.0T MRI for nasopharyngeal carcinoma[J]. Chin J Med Imag, 2025, 33(7): 694-699. DOI: 10.3969/j.issn.1005-5185.2025.07.002.
[22]
付丽媛, 梁永刚, 陈自谦, 等. 基于美国放射学院(ACR)标准的医用磁共振成像系统质量控制检测及处置界限建立[J]. 中国医疗设备, 2018, 33(10): 7-11. DOI: 10.3969/j.issn.1674-1633.2018.10.002.
FU L Y, LIANG Y G, CHEN Z Q, et al. Quality control test of MRI system and action limits setting based on American college of radiology(ACR) standards[J]. China Med Devices, 2018, 33(10): 7-11. DOI: 10.3969/j.issn.1674-1633.2018.10.002.
[23]
REN J, LI Y, LIU F S, et al. Comparison of a deep learning-accelerated T2-weighted turbo spin echo sequence and its conventional counterpart for female pelvic MRI: reduced acquisition times and improved image quality[J/OL]. Insights Imaging, 2022, 13(1): 193 [2025-09-03]. https://pubmed.ncbi.nlm.nih.gov/36512158/. DOI: 10.1186/s13244-022-01321-5.
[24]
HUANG H Y, MO J Y, DING Z G, et al. Deep learning to simulate contrast-enhanced MRI for evaluating suspected prostate cancer[J/OL]. Radiology, 2025, 314(1): e240238 [2025-09-03]. https://pubmed.ncbi.nlm.nih.gov/39807983/. DOI: 10.1148/radiol.240238.
[25]
KIM S H, CHOI Y H, LEE J S, et al. Deep learning reconstruction in pediatric brain MRI: comparison of image quality with conventional T2-weighted MRI[J]. Neuroradiology, 2023, 65(1): 207-214. DOI: 10.1007/s00234-022-03053-1.
[26]
WU H, WAN Y Y, TANG M, et al. Real-time denoising of Brillouin optical time domain analyzer with high data fidelity using convolutional neural networks[J]. J Light Technol, 2019, 37(11): 2648-2653. DOI: 10.1109/JLT.2018.2876909.
[27]
HERRMANN J, KOERZDOERFER G, NICKEL D, et al. Feasibility and implementation of a deep learning MR reconstruction for TSE sequences in musculoskeletal imaging[J/OL]. Diagnostics, 2021, 11(8): 1484 [2025-09-03]. https://pubmed.ncbi.nlm.nih.gov/34441418/. DOI: 10.3390/diagnostics11081484.
[28]
SUN K C, WANG Q, SHEN D G. Joint cross-attention network with deep modality prior for fast MRI reconstruction[J]. IEEE Trans Med Imaging, 2024, 43(1): 558-569. DOI: 10.1109/TMI.2023.3314008.
[29]
ZENG G L, DIBELLA E V. Iterative versus non-iterative image reconstruction methods for sparse magnetic resonance imaging[J]. J Radiol Imaging, 2020, 4(5): 30-39. DOI: 10.14312/2399-8172.2020-5.
[30]
PAROT V, SING-LONG C, LIZAMA C, et al. Application of the fractional Fourier transform to image reconstruction in MRI[J]. Magn Reson Med, 2012, 68(1): 17-29. DOI: 10.1002/mrm.23190.
[31]
MONTALT-TORDERA J, MUTHURANGU V, HAUPTMANN A, et al. Machine learning in magnetic resonance imaging: image reconstruction[J/OL]. Phys Med, 2021, 83: 79-87 [2025-09-03]. https://pubmed.ncbi.nlm.nih.gov/33721701/. DOI: 10.1016/j.ejmp.2021.02.020.
[32]
HYUN C M, KIM H P, LEE S M, et al. Deep learning for undersampled MRI reconstruction[J/OL]. Phys Med Biol, 2018, 63(13): 135007 [2025-09-03]. https://pubmed.ncbi.nlm.nih.gov/29787383/. DOI: 10.1088/1361-6560/aac71a.
[33]
KIDOH M, SHINODA K, KITAJIMA M, et al. Deep learning based noise reduction for brain MR imaging: tests on phantoms and healthy volunteers[J]. Magn Reson Med Sci, 2020, 19(3): 195-206. DOI: 10.2463/mrms.mp.2019-0018.
[34]
RUFF C, HAUSER T K, RODER C, et al. Multidisciplinary, clinical assessment of accelerated deep-learning MRI protocols at 1.5 T and 3 T after intracranial tumor surgery and their influence on residual tumor perception[J/OL]. Diagnostics, 2025, 15(15): 1982 [2025-09-03]. https://pubmed.ncbi.nlm.nih.gov/40804946/. DOI: 10.3390/diagnostics15151982.
[35]
RIEDERER S J, BORISCH E A, FROEMMING A T, et al. Comparison of model-based versus deep learning-based image reconstruction for thin-slice T2-weighted spin-echo prostate MRI[J]. Abdom Radiol, 2024, 49(8): 2921-2931. DOI: 10.1007/s00261-024-04256-1.
[36]
WANG G, YE J C, MUELLER K, et al. Image reconstruction is a new frontier of machine learning[J]. IEEE Trans Med Imaging, 2018, 37(6): 1289-1296. DOI: 10.1109/TMI.2018.2833635.
[37]
KABASAWA H, KIRYU S. Pulse sequences and reconstruction in fast MR imaging of the liver[J]. Magn Reson Med Sci, 2023, 22(2): 176-190. DOI: 10.2463/mrms.rev.2022-0114.
[38]
JASPAN O N, FLEYSHER R, LIPTON M L. Compressed sensing MRI: a review of the clinical literature[J/OL]. Br J Radiol, 2015, 88(1056): 20150487 [2025-09-03]. https://pubmed.ncbi.nlm.nih.gov/26402216/. DOI: 10.1259/bjr.20150487.
[39]
YOON S, PARK S H, HAN D. Uncover this tech term: compressed sensing magnetic resonance imaging[J]. Korean J Radiol, 2023, 24(12): 1293-1302. DOI: 10.3348/kjr.2023.0743.
[40]
WRIGHT K L, HAMILTON J I, GRISWOLD M A, et al. Non-Cartesian parallel imaging reconstruction[J]. J Magn Reson Imaging, 2014, 40(5): 1022-1040. DOI: 10.1002/jmri.24521.
[41]
AKAI H, YASAKA K, SUGAWARA H, et al. Commercially available deep-learning-reconstruction of MR imaging of the knee at 1.5T has higher image quality than conventionally-reconstructed imaging at 3T: a normal volunteer study[J]. Magn Reson Med Sci, 2023, 22(3): 353-360. DOI: 10.2463/mrms.mp.2022-0020.
[42]
TAJIMA T, AKAI H, YASAKA K, et al. Usefulness of deep learning-based noise reduction for 1.5 T MRI brain images[J/OL]. Clin Radiol, 2023, 78(1): e13-e21 [2025-09-03]. https://pubmed.ncbi.nlm.nih.gov/36116967/. DOI: 10.1016/j.crad.2022.08.127.

上一篇 DTI动态评估新生大鼠缺氧缺血性脑损伤后白质演变及其与神经行为功能的相关性研究
下一篇 IgG4相关硬化性胆管炎一例病例报告并文献复习
  
诚聘英才 | 广告合作 | 免责声明 | 版权声明
联系电话:010-67113815
京ICP备19028836号-2