分享:
分享到微信朋友圈
X
临床研究
MPRAGE联合rs-fMRI对2型糖尿病与糖尿病前期患者脑损害的研究
费雪 刘晓晨

Cite this article as: FEI X, LIU X C. MPRAGE combined with rs-fMRI in the study of brain damage in patients with type 2 diabetes mellitus and prediabetes[J]. Chin J Magn Reson Imaging, 2026, 17(3): 8-14.本文引用格式:费雪, 刘晓晨. MPRAGE联合rs-fMRI对2型糖尿病与糖尿病前期患者脑损害的研究[J]. 磁共振成像, 2026, 17(3): 8-14. DOI:10.12015/issn.1674-8034.2026.03.002.


[摘要] 目的 联合磁化准备快速梯度回波(magnetization prepared rapid gradient echo, MPRAGE)及静息态功能磁共振成像(resting-state functional magnetic resonance imaging, rs-fMRI)技术,探讨2型糖尿病(type 2 diabetes mellitus,T2DM)与糖尿病前期(prediabetes mellitus, PreDM)患者静息状态下脑灰质体积及功能连接(functional connectivity, FC)的差异以及差异有统计学意义的脑区影像指标与神经心理学量表评分的相关性。材料与方法 前瞻性纳入2023年7月至2024年12月在新疆医科大学第一附属医院的就诊患者中T2DM患者32例、PreDM患者13例、糖耐量正常(normal glucose tolerance, NGT)者30例,分析三组被试者灰质体积的差异,以三组间灰质体积差异有统计学意义的脑区为种子点进行FC分析,分析PreDM及T2DM患者的差异有统计学意义的脑区及与神经心理学量表评分之间的相关性。结果 (1)灰质体积[高斯随机场校正(Gaussian random field correction, GRF),体素水平P<0.001,聚类水平P<0.05]。与NGT组对比,T2DM组左侧颞中回和左侧内侧额上回的灰质体积减小,PreDM组左侧三角部额下回的灰质体积减小;与PreDM组对比,T2DM组左侧三角部额下回灰质体积增大。(2)FC(GRF校正,体素水平P<0.01,聚类水平P<0.05)。左侧颞中回为种子点的FC分析结果:三组间差异有统计学意义的脑区为右侧小脑6区、右侧枕下回、左侧额中回、左侧顶上回、左侧中央前回;与NGT组及PreDM组对比,T2DM组在这些脑区的FC值增加;与NGT组对比,PreDM组在右侧枕下回的FC值减低。左侧内侧额上回为种子点的FC分析结果:三组间差异有统计学意义的脑区为右侧楔前叶及双侧角回;与NGT组对比,T2DM组右侧楔前叶的FC值增加;与PreDM组对比,T2DM组右侧楔前叶及双侧角回的FC值均增加;与NGT组对比,PreDM组在双侧角回的FC值减低。(3)相关性分析。T2DM组左侧颞中回与右侧枕下回的FC值与蒙特利尔认知评估量表(Montreal Cognitive Assessment, MoCA)评分呈负相关(r=-0.393,P=0.032)。结论 本研究发现PreDM及T2DM组患者在特定脑区的灰质体积及FC值的改变,还发现某些脑区的FC值与MoCA评分之间存在相关性,T2DM患者可能存在FC值增加对脑灰质体积减小的神经补偿机制,为糖尿病患者认知障碍的早期识别和干预提供神经影像学依据。
[Abstract] Objective This study combined magnetization prepared rapid gradient echo (MPRAGE) with resting-state functional magnetic resonance imaging (rs-fMRI) to investigate the differences in resting-state gray matter volume and functional connectivity (FC) between patients with type 2 diabetes mellitus (T2DM) and prediabetes mellitus (PreDM), as well as the correlation between statistically significant brain region imaging markers and neuropsychological scale scores.Materials and Methods From July 2023 to December 2024,32 T2DM patients, 13 PreDM patients, and 30 individuals with normal glucose tolerance (NGT) were enrolled from the First Affiliated Hospital of Xinjiang Medical University. The gray matter volume differences among the three groups were analyzed, and brain regions with statistically significant gray matter volume differences were selected as seed points for FC analysis. The correlation between statistically significant brain regions in PreDM and T2DM patients and neuropsychological scale scores was also examined.Results (1) Gray matter volume [GRF (Gaussian random field correction), voxel level P < 0.001, cluster level P < 0.05]. Compared with the NGT group, the T2DM group showed reduced gray matter volume in the left middle temporal gyrus and left medial suprachiasmatic gyrus, while the PreDM group exhibited reduced gray matter volume in the left inferior frontal gyrus. Compared with PreDM, the T2DM group showed increased gray matter volume in the left inferior frontal gyrus. (2) FC (GRF, voxel level P < 0.01, cluster level P < 0.05). For the left middle temporal gyrus as the seed point, the FC analysis revealed statistically significant differences among the three groups in the right cerebellar area 6, right suboccipital gyrus, left middle frontal gyrus, left parietal gyrus, and left central anterior gyrus. Compared with the NGT group and PreDM group, the T2DM group showed increased FC values in these regions. Compared with the NGT group, the PreDM group exhibited decreased FC values in the right suboccipital gyrus. For the left medial suprachiasmatic gyrus as the seed point, the FC analysis revealed statistically significant differences among the three groups in the right precuneus and bilateral angular gyrus. Compared with the NGT group, the T2DM group showed increased FC values in the right precuneus. Compared with the PreDM group, the T2DM group exhibited increased FC values in both the right precuneus and bilateral angular gyrus. Compared with the NGT group, the PreDM group showed significantly decreased FC values in the bilateral angular gyrus. (3) Correlation analysis. The functional connectivity (FC) values between the left middle temporal gyrus and right suboccipital gyrus in the T2DM group showed a negative correlation with Montreal Cognitive Assessment (MoCA) scores (r = -0.393, P = 0.032).Conclusions This study revealed alterations in gray matter volume and FC values in specific brain regions among pre-diabetic (PreDM) and T2DM patients. Additionally, correlations were observed between FC values in certain brain regions and MoCA scores. T2DM patients may exhibit compensatory mechanisms, including increased FC values and reduced brain volume, as well as neurocompensatory mechanisms. These findings provide neuroimaging evidence for the early identification and intervention of cognitive impairment in diabetic patients.
[关键词] 2型糖尿病;糖尿病前期;磁共振成像;灰质体积;功能连接
[Keywords] type 2 diabetes mellitus;prediabetes mellitus;magnetic resonance imaging;gray matter volume;functional connectivity

费雪    刘晓晨 *  

新疆医科大学第一附属医院影像中心,乌鲁木齐 830054

通信作者:刘晓晨,E-mail: 271979424@qq.com

作者贡献声明::刘晓晨设计本研究的方案,对稿件重要内容进行了修改,获得了新疆维吾尔自治区自然科学基金项目的资助;费雪起草和撰写稿件、获取、分析、解释本研究的数据,对稿件重要内容进行了修改;全体作者都同意发表最后的修改稿,同意对本研究的所有方面负责,确保本研究的准确性和诚信。


基金项目: 新疆维吾尔自治区自然科学基金项目 2022D01C492
收稿日期:2025-08-26
接受日期:2026-02-10
中图分类号:R445.2  R781.64 
文献标识码:A
DOI: 10.12015/issn.1674-8034.2026.03.002
本文引用格式:费雪, 刘晓晨. MPRAGE联合rs-fMRI对2型糖尿病与糖尿病前期患者脑损害的研究[J]. 磁共振成像, 2026, 17(3): 8-14. DOI:10.12015/issn.1674-8034.2026.03.002.

0 引言

       在全球范围内,糖尿病已成为严重威胁人类健康的公共卫生问题[1]。2型糖尿病(type 2 diabetes mellitus,T2DM)占据了糖尿病患者中的绝大多数。T2DM患者长期处于高血糖状态,会引发全身多个系统的并发症,如糖尿病肾病、糖尿病视网膜病变、糖尿病神经病变等,严重影响患者的生活质量,甚至危及生命[2]。多项证据表T2DM与多种认知功能领域的衰退相关,这些衰退可能进展为认知障碍甚至痴呆[3]。而糖尿病前期(prediabetes mellitus, PreDM)是在正常血糖与糖尿病之间的中间高血糖状态,PreDM标志着发生糖尿病、微血管病变、肿瘤、痴呆等疾病的风险增高,因此对PreDM的有效识别和早期干预,是降低T2DM发病率的关键[4]。对于延缓甚至逆转该人群进展成为糖尿病具有重要意义。

       随着医学影像学技术的不断进步,多模态磁共振成像技术为深入研究T2DM和PreDM提供了新的途径。磁化准备快速梯度回波(magnetization prepared rapid gradient echo, MPRAGE)技术,凭借其高分辨率和良好的组织对比度,能够清晰地呈现大脑灰质、白质以及深部核团的细微结构,能够显示更多病灶[5]。静息态功能磁共振成像(resting-state functional magnetic resonance imaging, rs-fMRI)是一种无创研究人脑功能的常用方法,通过检测血氧水平依赖(blood oxygen level-dependent, BOLD)信号[6],分析大脑不同脑区之间的功能连接和功能网络变化以及局部脑活动研究[7],能够在疾病早期发现大脑功能活动的异常。其中用于评估神经元活动及大脑区域间功能连接(functional connect, FC)被广泛应用于T2DM与认知功能障碍的相关。近年来不少研究发现T2DM患者广泛存在大脑微结构损伤和网络组织紊乱[8]。PreDM患者已出现脑影像学改变,并与认知功能的加速衰退独立相关[9]。关于T2DM及PreDM患者脑结构和功能异常的现有研究结果尚不一致。JING等[10]研究发现与健康对照组相比,T2DM患者表现出广泛的脑体积减小和特定脑区的功能连接增强,而PreDM患者则在特定脑区(如双侧丘脑、双侧伏隔核和右侧壳核)表现出脑体积减小和FC增强。CUI等[11]和BAO等[12]均发现,PreDM和T2DM患者在海马体积减小。而另一项研究发现结果与之略有不同,T2DM与海马特定亚区体积减小显著相关,而与PreDM无显著关联[13]。也有研究发现T2DM患者和健康对照组扣带回的皮质厚度无明显差异,而T2DM患者的前额叶皮质与双侧海马之间的FC值明显降低[14]。本研究通过灰质体积联合FC的改变以探讨T2DM与PreDM对脑功能和认知能力的影响,有助于对为糖尿病患者认知障碍的早期识别和干预提供神经影像学依据。

1 材料与方法

1.1 研究对象

       2023年7月至2024年12月,在新疆医科大学第一附属医院的就诊患者中,依据既定的纳入和排除标准前瞻性纳入被试者75例,并将其分为三组,分别为T2DM组32例、PreDM组13例、糖耐量正常(normal glucose tolerance, NGT)组30例。本研究遵守《赫尔辛基宣言》,获得新疆医科大学第一附属医院伦理委员会批准(审批号:K202305-90),所有参与者了解研究内容并签署知情同意书。

       纳入标准:(1)T2DM组、PreDM组和NGT组患者年龄均在25~77岁,均为右利手;(2)T2DM组患者符合《中国2型糖尿病防治指南(2020年版)》[15]中T2DM诊断标准;(3)PreDM组患者符合《中国2型糖尿病防治指南(2020年版)》[15]中PreDM诊断标准;(4)NGT组空腹血糖<6.1 mmol/L,糖负荷后2小时血糖<7.8 mmol/L。

       排除标准:(1)重大器质性病变,如恶性肿瘤、颅脑外伤等;(2)严重烟、酒、药物等物质滥用或依赖情况;(3)近1个月内行静脉麻醉;(4)MRI扫描禁忌证,如起搏器等金属异物植入者、幽闭恐惧症患者等。

1.2 临床资料及神经心理学量表评分

       收集所有被试者临床资料包括性别、年龄、身体质量指数(body mass index, BMI)、高血压病史、文化程度和病程、空腹血糖(fasting blood sugar, FBG)、糖化血红蛋白(hemoglobin a1c, HbA1c)、甘油三酯(triglyceride, TG)及总胆固醇(total cholesterol, TC)。三组被试者均经过简易智力状态检查量表(Mini-Mental State Examination, MMSE)和蒙特利尔认知评估量表(Montreal Cognitive Assessment, MoCA)检测,用以评估被试者的认知功能。

1.3 扫描方法

       所有影像数据采集均在德国西门子MAGNTTOM skyra 3.0 T MRI扫描仪上进行,采用12通道相控阵头部专用线圈及头部固定装置。在MRI扫描过程中,嘱被试者闭眼并保持清醒,为减少头动,用海绵垫固定头部,为降低机器运作产生的噪音干扰,使用耳塞来降低机器噪音。为确保图像数据采集的有效性,扫描结束后询问受试者在整个扫描期间是否保持清醒。

       高分辨率T1加权成像采用MPRAGE序列。扫描参数:TR 2020 ms,TE 3.0 ms,FOV 250 mm×250 mm,FA 9°,采集矩阵256×256,层厚1 mm,层间距0.5 mm,采集层数176层,体素大小1 mm×1 mm×1 mm。

       rs-fMRI扫描采用BOLD成像序列。扫描参数:TR 2800 ms,TE 30.0 ms,FOV 192 mm×192 mm,FA 90°,采集矩阵64×64,层厚4 mm,层间距1 mm,采集层数25层,采集次数60次,体素大小3 mm×3 mm×4 mm。

1.4 图像数据预处理

       图像格式转换及质量检查:(1)dcm2niix把全脑高分辨率T1加权成像和rs-fMRI的图像DICOM格式数据转换成NIfTI格式数据;(2)在MRICroGL软件中,对dcm2niix转换得到的NIfTI数据进行质量检查。

       全脑高分辨率T1加权成像的结构像处理步骤:(1)组织分割。使用组织概率图将结构像分割成为灰质、白质和脑脊液等组织。(2)空间标准化。用dartel方法对分割后的脑组织进行空间标准化。(3)雅各比调制。将空间标准化时生成的雅各比行列式对灰质体积进行调制。(4)空间平滑。采用高斯过滤进行空间平滑,半高全宽(full width half maximum, FWHM)选取8 mm×8 mm×8 mm,对雅各比调制之后的灰质体积密度图进行进一步平滑以降低空间噪声。以上基于MATLAB平台,使用SPM12进行数据预处理。

       rs-fMRI处理步骤:(1)删除前5个时间点。(2)时间层校正。使用插值的方法,使每次扫描的结果趋于某一个时间的实际结果,扫描顺序为奇数层开始的隔层升序扫描。(3)头动校正。删除头动超过3 mm的被试或旋转大于3°的被试。(4)空间标准化。采用dartel方法切割全脑高分辨率T1加权成像的结构像,获得每个被试者的解剖模板并配到功能像上,然后再将功能像配准到蒙特利尔神经学研究所(Montreal Neurological Institute, MNI)标准脑模板中,体素大小为3 mm×3 mm×3 mm。(5)空间平滑。采用高斯过滤进行空间平滑,FWHM选择6 mm×6 mm×6 mm,一是为了降低上一步空间标准化过程带入的形变噪声,二是为了使数据趋于正态分布,方便后面的统计。(6)去线性趋势、回归噪声协变量。回归协变量包括白质、脑脊液、头动噪声,其中头动信号为Friston 24参数模型。(7)滤波。对数据集进行带通滤波,滤波的频率范围是0.01~0.08 Hz。以上基于MATLAB平台,使用SPM12进行数据预处理。

1.5 图像数据提取

       全脑高分辨率T1加权成像的结构像:在CAT12软件上,使用基于体素的形态测量学(voxel based morphometry, VBM)方法进行脑体积测量和分析,可得到灰质、白质等组织的体积信息。FC分析:使用基于种子点的功能连接分析方法,VBM分析中灰质体积差异有统计学意义的脑区定义为感兴趣脑区即种子点,分别计算其与全脑每个体素的连接,获取得到对应的功能连接值,进行fisher z变换,最终对zFC进行统计。

1.6 统计学分析

1.6.1 图像数据统计分析

       灰质体积数据分析:在SPM12软件中,使用单因素方差分析(One-way Analysis of Variance, ANOVA)比较三组被试者全脑灰质体积的差异,颅内总体积作为协变量,多重比较校正选择高斯随机场校正(Gaussian random field correction, GRF),体素水平P<0.001、聚类水平P<0.05定义为差异有统计学意义,以统计值F表示;对三组间灰质体积差异有统计学意义的脑区进行事后分析,多重比较校正选择Bonferroni校正,P<0.05定义为差异有统计学意义。

       FC数据分析:在SPM12软件中,使用ANOVA比较三组FC值的差异,多重比较校正选择GRF校正,体素水平P<0.01、聚类水平P<0.05定义为差异有统计学意义,统计值以F表示;三组间差异有统计学意义脑区的FC值进行事后分析,多重比较校正方法选择Bonferroni校正,P<0.05定义为差异有统计学意义。

1.6.2 临床基本资料及神经心理学量表评分分析

       采用SPSS 27.0统计分析软件对T2DM组、PreDM组和NGT组的临床资料及神经心理学量表评分结果进行比较分析。对定量资料分析,首先进行正态分布检验和方差齐性检验,其中BMI和受教育年限符合正态分布和方差齐性,采用单因素方差分析,数据以(x¯±s)表示,统计值以F表示;年龄、FBG、HbAlc、TC、TG、MoCA评分及MMSE评分不符合正态分布、方差齐性,采用Kruskal-Wallis检验,数据以[MQ1, Q3)]表示,统计值以H表示;病程资料采用正态分布、方差齐性,采用Mann-Whiteny U非参数检验,数据以[MQ1, Q3)]表示,统计值以z表示;对定性资料分析,性别构成及高血压病史符合卡方检验,统计值用χ2表示。以P<0.05为差异有统计学意义。

1.6.3 相关性分析

       提取T2DM与PerDM组每个被试者差异有统计学意义脑区的灰质体积及FC值的平均值,在SPSS 27.0软件中,分别与神经心理学量表评分进行相关性分析,MoCA评分及MMSE评分不服从正态分布,采用Spearman秩相关分析,以P<0.05为差异有统计学意义。

2 结果

2.1 临床资料及神经心理学量表评分分析

       三组间的FBG、HbAlc、MoCA评分及MMSE评分差异有统计学意义(P<0.05),三组间的BMI、年龄、性别、TC、TG及受教育年限差异无统计学意义(P>0.05);T2DM组和PreDM组的病程差异有统计学意义(P<0.05)。结果详见表1

表1  T2DM、PreDM及NGT组临床资料及神经心理学量表评分
Tab. 1  Clinical data and neuropsychological scale scores in T2DM, PreDM and NGT groups

2.2 三组间灰质体积比较结果

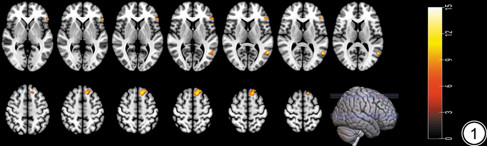
       T2DM、PreDM、NGT三组间全脑灰质体积差异有统计学意义的脑区:左侧三角部额下回、左侧颞中回、左侧内侧额上回。事后分析结果显示:与NGT组对比,T2DM组左侧颞中回、左侧内侧额上回的灰质体积减小,PreDM组左侧三角部额下回的灰质体积减小;与PreDM组对比,T2DM组左侧三角部额下回的灰质体积增大。结果详见表2图1

图1  T2DM组、PreDM组和NGT组灰质体积差异有统计学意义的脑区。右侧色带条颜色越亮代表统计值F值越大。T2DM:2型糖尿病;PreDM:糖尿病前期;NGT:糖耐量正常。
Fig. 1  Brain regions with statistically significant gray matter volume differences in the T2DM, PreDM, and NGT groups. The brighter the color of the ribbon on the right, the greater the F value. T2DM: type 2 diabetes mellitus; PreDM: prediabetes mellitus; NGT: normal glucose tolerance.
表2  T2DM组、PreDM组及NGT组灰质体积差异有统计学意义的脑区
Tab. 2  Brain regions with statistically significant gray matter volume differences in the T2DM, PreDM, and NGT groups

2.3 三组间FC比较结果

       以T2DM、PreDM、NGT三组间灰质体积差异有统计学意义的脑区(左侧三角部额下回、左侧颞中回、左侧内侧额上回)为种子点的FC分析,结果显示,左侧颞中回、左侧内侧额上回为种子点的FC值差异有统计学意义,左侧三角部额下回为种子点的FC值未通过校正。

       其中三组间基于左侧颞中回为种子点的FC值差异有统计学意义的脑区:右侧小脑6区、右侧枕下回、左侧额中回、左侧顶上回、左侧中央前回。事后分析结果显示:与NGT组对比,T2DM组右侧小脑6区、右侧枕下回、左侧额中回、左侧顶上回、左侧中央前回的FC值增加,PreDM组右侧枕下回的FC值减低;与PreDM组对比,T2DM组右侧小脑6区、右侧枕下回、左侧额中回、左侧顶上回、左侧中央前回的FC值增加。结果详见表3图2

       其中三组间基于左侧内侧额上回为种子点的FC值差异有统计学意义的脑区:右侧楔前叶及双侧角回。事后分析结果显示:与NGT组对比,T2DM组右侧楔前叶的FC值增加,PreDM组双侧角回的FC值减低;与PreDM组对比,T2DM组右侧楔前叶及双侧角回的FC值增加。结果详见表4图3

图2  T2DM组、PreDM组和NGT组左侧颞中回为种子点FC值差异有统计学意义的脑区。右侧色带条颜色越亮代表统计值F值越大。T2DM:2型糖尿病;PreDM:糖尿病前期;NGT:糖耐量正常;FC:功能连接。
Fig. 2  Brain regions with statistically significant FC values differences in the T2DM, PreDM and NGT groups using the left middle temporal gyrus as a seed point. The brighter the color of the ribbon on the right, the greater the F value. T2DM: type 2 diabetes mellitus; PreDM: prediabetes mellitus; NGT: normal glucose tolerance; FC: functional connectivity.
图3  T2DM组、PreDM组和NGT组左侧内侧额上回为种子点FC值差异有统计学意义的脑区。右侧色带条颜色越亮代表统计值F值越大。T2DM:2型糖尿病;PreDM:糖尿病前期;NGT:糖耐量正常;FC:功能连接。
Figure 3  Brain regions with statistically significant FC values differences in the T2DM, PreDM and NGT groups using the left medial superior frontal gyrus as the seed point. The brighter the color of the ribbon on the right, the greater the F value. T2DM: type 2 diabetes mellitus; PreDM: prediabetes mellitus; NGT: normal glucose tolerance; FC: functional connectivity.
表3  T2DM组、PreDM组及NGT组以左侧颞中回为种子点的FC值差异有统计学意义的脑区
Tab. 3  Brain regions with statistically significant FC values differences in the T2DM, PreDM and NGT groups using the left middle temporal gyrus as a seed point
表4  T2DM组、PreDM组及NGT组左侧内侧额上回为种子点的FC值差异有统计学意义的脑区
Tab. 4  Brain regions with statistically significant FC values differences in the T2DM, PreDM and NGT groups using the left medial superior frontal gyrus as the seed point

2.4 相关性分析

       T2DM组左侧颞中回与右侧枕下回的FC值与MoCA评分呈负相关(r=-0.393,P=0.032),见图4

图4  T2DM组左侧颞中回—右侧枕下回的FC值与MoCA评分相关性分析。T2DM:2型糖尿病;FC:功能连接;MoCA:蒙特利尔认知评估。
Fig. 4  Correlation analysis of FC values between left middle temporal gyrus and right inferior occipital gyrus and MoCA scores in patients with type 2 diabetes mellitus. T2DM: type 2 diabetes mellitus; FC: functional connectivity; MoCA: Montreal Cognitive Assessment.

3 讨论

       本研究联合MPRAGE与rs-fMRI技术,探讨PreDM与T2DM患者静息状态下脑灰质体积及FC的差异并分析差异有统计学意义的脑区影像指标与神经心理学量表评分的相关性。研究结果发现:三组被试者在某些脑区灰质体积差异有统计学意义,以灰质体积差异有统计学意义脑区为种子点与全脑进行FC分析,发现某些脑区FC值差异有统计学意义;相关性分析表明,T2DM组左侧颞中回与右侧枕下回的功能连接强度与MoCA评分呈负相关。上述发现有助于为糖尿病患者认知障碍的早期识别和干预提供神经影像学依据。

3.1 灰质体积改变的神经机制及意义

       左侧三角部额下回在语言处理、言语生成及语义加工等认知功能中扮演核心角色[16]。本研究中PreDM组该脑区的萎缩,提示在PreDM阶段,与语言和执行功能相关的神经网络可能已出现损害。既往多数研究[17, 18, 19]发现PreDM与灰质体积减小有关。ZHOU等[20]发现,无论是PreDM还是持续的糖化血红蛋白水平升高,都与增加脑梗死或白质高信号的风险显著相关,PreDM与灰质体积和白质体积的减小呈负相关。还有研究[21]发现PreDM患者右侧扣带回前部、右侧扣带回后部、左侧岛叶、左侧颞上回和左侧颞中回的灰质体积低于健康对照组。大量研究表明[22, 23, 24],T2DM患者脑组织结构存在显著变化,其特征性表现为脑灰质缩小及颅内总容体积减小。糖尿病使机体长期处于高血糖,胰岛素调控紊乱,胰岛素受体分布减少和胰岛素信号传导受损,从而引起葡萄糖紊乱和葡萄糖代谢恶化,被认为与神经元丢失和脑体积下降有关,ANTAL等[25]发现T2DM患者比正常脑衰老的速度明显加快,T2DM灰质萎缩的速度比正常衰老快约26%±14%,结果表明脑衰老与神经代谢有关。另外,微血管病变也会导致神经元病变和相应脑区结构变化,且与认知功能的关系密切[26]。并有研究[27]发现T2DM相关认知功能障碍患者在右侧额叶内侧眶部、左侧颞上回和右侧距状裂周围皮层表现出显著的灰质减少,MoCA评分与这些脑区异常存在潜在关联,表明T2DM通过影响特定脑区结构损害认知功能,这些脑区可能成为未来研究的重要靶点。然而,本研究T2DM组该区域体积相较于PreDM组不降反升,但T2DM组与NGT组在该区域体积差异无统计学意义,这一现象与代偿性神经可塑性有关的可能性较小,考虑与本研究中PreDM组样本量较小的局限,有待大样本研究验证。

3.2 FC改变的代偿与失代偿假说

       本研究中T2DM组广泛的功能连接增强是一个关键发现。在结构损伤(如颞中回灰质萎缩)发生后,大脑可能通过增强与其他脑区(如小脑、额顶叶皮层)的连接来维持网络功能。LIU等[28]发现血糖代谢状态的恶化和糖尿病持续时间的延长,默认模式网络连接性先增加后减少,且与糖尿病持续时间显著相关。FANG等[29]发现T2DM早期与糖代谢正常组在脑体积上差异无统计学意义,而T2DM患者左侧海马与左额下回和左顶下小叶的功能连接增强,表明早期T2DM患者可能通过增强功能连接进行适应性补偿,以对抗潜在的认知减退,且功能改变可能先于结构变化和微血管病变出现。JING等[10]研究发现与正常血糖代谢个体相比,T2DM患者表现出广泛的脑体积减小和特定脑区的功能连接增强,而PreDM患者则在特定脑区(如双侧丘脑、双侧伏隔核和右侧壳核)表现出脑体积减小和功能连接增强,认知功能则与脑体积增大和功能连接减少相关,表明增强的功能连接可能是对脑体积减小的补偿机制。也有研究发现T2DM患者和健康对照组扣带回的皮质厚度无明显差异,而T2DM患者的前额叶皮质与双侧海马之间的FC值明显降低,前扣带回与双侧外侧前额叶皮质的功能连接增强,这种增强的功能连接可能是一种神经补偿机制,用以弥补受损的记忆路径,特别是前额叶皮质与海马之间的连接减弱,这种补偿机制有助于维持T2DM患者在早期认知功能障碍阶段的记忆功能[14]。而PreDM组表现出的功能连接减弱(如颞中回-枕下回、内侧额上回-角回)可能具有更早的预警意义。枕下回属于视觉网络[30],其与颞中回连接的减弱,提示在PreDM,高级认知(颞中回)[31]与视觉网络的整合可能已受损。更为关键的是内侧额上回(默认网络模式组成部分)[32]与角回之间的连接减弱。角回在情景记忆和语义处理中至关重要[33]。默认网络模式内部连接的减弱,可能直接导致静息态思维整合、自我参照记忆提取等核心功能受损,这或许是PreDM阶段即出现主观认知下降的神经功能基础。PreDM和T2DM患者产生广泛脑区和脑网络功能连接紊乱,发现可能存在功能连接增加对脑灰质体积减小的神经补偿机制,这对相关脑损伤的早期诊断和病理机制理解提供了潜在的神经影像学证据,并提示在早期采取预防措施的重要性。

3.3 局限性与展望

       本研究存在以下局限性:(1)本研究为单中心研究,且受限于扫描时长,导致纳入实验的样本量较少,尤其是PreDM组,可能影响统计功效;(2)本研究为横断面研究,无法确定因果关系。因此未来需开展纵向研究,扩大样本量,特别是增加PreDM组样本;还需要结合神经心理学成套测验,全面评估认知功能;探索干预措施对脑可塑性的影响。

4 结论

       综上所述,本研究联合MPRAGE与rs-fMRI技术发现PreDM及T2DM患者在特定脑区的灰质体积及FC值的改变,部分改变与认知功能之间存在相关性,T2DM患者可能存在FC值增加对脑灰质体积减小的神经补偿机制,为糖尿病患者认知障碍的早期识别和干预提供了神经影像学依据。

[1]
XU A, WANG C, ZHANG Y, et al. Prevalence of Type 2 Diabetes among High-Risk Adults in Shanghai from 2002 to 2012[J/OL]. PLoS One, 2014, 9(7): e102926 [2025-08-26]. https://pubmed.ncbi.nlm.nih.gov/25047241/. DOI: 10.1371/journal.pone.0102926.
[2]
KOLARIĆ V. Chronic Complications of Diabetes and Quality of Life[J]. Acta Clin Croat, 2022, 61(3): 520-527. DOI: 10.20471/acc.2022.61.03.18.
[3]
KAN W, QU M, WANG Y, et al. A review of type 2 diabetes mellitus and cognitive impairment[J/OL]. Front Endocrinol (Lausanne), 2025, 16: 1624472 [2025-08-26]. https://pubmed.ncbi.nlm.nih.gov/40831951/. DOI: 10.3389/fendo.2025.1624472.
[4]
中华医学会内分泌学分会, 中华医学会糖尿病学分会, 中国医师协会内分泌代谢科医师分会. 中国成人糖尿病前期干预的专家共识(2023版)[J]. 中华糖尿病杂志, 2023, 15(6): 484-494. DOI: 10.3760/cma.j.cn115791-20230509-00188.
Chinese Society of Endocrinology, Chinese Diabetes Society, Chinese Endocrinologist Association. Intervention for adults with pre-diabetes: a Chinese expert consensus (2023 edition)[J]. Chinese Journal of Diabetes Mellitus, 2023, 15(6): 484-494. DOI: 10.3760/cma.j.cn115791-20230509-00188.
[5]
BRANT-ZAWADZKI M, GILLAN G D, NITZ W R. MP RAGE: a three-dimensional, T1-weighted, gradient-echo sequence--initial experience in the brain[J]. Radiology, 1992, 182(3): 769-775. DOI: 10.1148/radiology.182.3.1535892.
[6]
AKBARI A, BOLLMANN S, ALI T S, et al. Modelling the depth-dependent VASO and BOLD responses in human primary visual cortex[J]. Hum Brain Mapp, 2023, 44(2): 710-726. DOI: 10.1002/hbm.26094.
[7]
BISWAL B, ZERRIN YETKIN F, HAUGHTON V M, et al. Functional connectivity in the motor cortex of resting human brain using echo‐planar mri[J]. Magn Reson Med, 2005, 34(4): 537-541. DOI: 10.1002/mrm.1910340409.
[8]
MOGHADDAM H S, SHERBAF F G, AARABI M H. Brain microstructural abnormalities in type 2 diabetes mellitus: A systematic review of diffusion tensor imaging studies[J/OL]. Front Neuroendocrinol, 2019, 55: 100782 [2025-08-26]. https://pubmed.ncbi.nlm.nih.gov/31401292/. DOI: 10.1016/j.yfrne.2019.100782.
[9]
MARSEGLIA A, FRATIGLIONI L, KALPOUZOS G, et al. Prediabetes and diabetes accelerate cognitive decline and predict microvascular lesions: A population-based cohort study[J]. Alzheimers Dement, 2019, 15(1): 25-33. DOI: 10.1016/j.jalz.2018.06.3060.
[10]
JING J, LIU C, ZHU W, et al. Increased Resting-State Functional Connectivity as a Compensatory Mechanism for Reduced Brain Volume in Prediabetes and Type 2 Diabetes[J]. Diabetes care, 2023, 46(4): 819-827. DOI: 10.2337/dc22-1998.
[11]
CUI D, LIU X, LIU M, et al. Subcortical gray matter structural alterations in prediabetes and type 2 diabetes[J]. NeuroReport, 2019, 30(6): 441-445. DOI: 10.1097/wnr.0000000000001224.
[12]
BAO C, LIU X, LI Y, et al. Region-specific hippocampal atrophy is correlated with poor glycemic control in type 2 diabetes: a cross-sectional study[J]. Endocr J, 2023, 70(12): 1131-1140. DOI: 10.1507/endocrj.EJ23-0211.
[13]
MONEREO-SÁNCHEZ J, JANSEN J F A, KÖHLER S, et al. The association of prediabetes and type 2 diabetes with hippocampal subfields volume: The Maastricht study[J/OL]. Neuroimage Clin, 2023, 39: 103455 [2025-08-26]. https://pubmed.ncbi.nlm.nih.gov/37356423/. DOI: 10.1016/j.nicl.2023.103455.
[14]
ZHANG D, HUANG Y, LIU S, et al. Structural and functional connectivity alteration patterns of the cingulate gyrus in Type 2 diabetes[J]. Ann Clin Transl Neurol, 2023, 10(12): 2305-2315. DOI: 10.1002/acn3.51918.
[15]
中华医学会糖尿病学分会. 中国2型糖尿病防治指南(2020年版)[J]. 中华糖尿病杂志, 2021, 13(4): 315-409. DOI: 10.3760/cma.j.cn115791-20210221-00095.
Chinese Diabetes Society. Guideline for the prevention and treatment of type 2 diabetes mellitus in China (2020 edition)[J]. Chinese Journal of Diabetes Mellitus, 2021, 13(4): 315-409. DOI: 10.3760/cma.j.cn115791-20210221-00095.
[16]
BRIGGS R G, CHAKRABORTY A R, ANDERSON C D, et al. Anatomy and white matter connections of the inferior frontal gyrus[J]. Clin Anat, 2019, 32(4): 546-556. DOI: 10.1002/ca.23349.
[17]
MARKUS M R P, ITTERMANN T, WITTFELD K, et al. Prediabetes is associated with lower brain gray matter volume in the general population. The Study of Health in Pomerania (SHIP)[J]. Nutrition Metabolism and Cardiovascular Diseases, 2017, 27(12): 1114-1122. DOI: 10.1016/j.numecd.2017.10.007.
[18]
TATSUO S, WATANABE K, IDE S, et al. Association of prediabetes with reduced brain volume in a general elderly Japanese population[J]. Eur Radiol, 2023, 33(8): 5378-5384. DOI: 10.1007/s00330-023-09509-z.
[19]
CHEN Y, LI Z, CHEN Y, et al. Cerebellar gray matter and white matter damage among older adults with prediabetes[J/OL]. Diabetes Res Clin Pract, 2024, 213: 111731 [2025-08-26]. https://pubmed.ncbi.nlm.nih.gov/38851538/. DOI: 10.1016/j.diabres.2024.111731.
[20]
ZHOU J B, TANG X Y, HAN Y P, et al. Prediabetes and structural brain abnormalities: Evidence from observational studies[J/OL]. Diabetes Metab Res Rev, 2020, 36(4): e3261 [2025-08-26]. https://pubmed.ncbi.nlm.nih.gov/31856401/. DOI: 10.1002/dmrr.3261.
[21]
HOU Y C, LAI C H, WU Y T, et al. Gray matter alterations and correlation of nutritional intake with the gray matter volume in prediabetes[J/OL]. Medicine, 2016, 95(25): e3956 [2025-08-26]. https://pubmed.ncbi.nlm.nih.gov/27336893/. DOI: 10.1097/MD.0000000000003956.
[22]
MORAN C, PHAN T G, CHEN J, et al. Brain Atrophy in Type 2 Diabetes Regional distribution and influence on cognition[J]. Diabetes Care, 2013, 36(12): 4036-4042. DOI: 10.2337/dc13-0143.
[23]
VAN BUSSEL F C G, BACKES W H, HOFMAN P A M, et al. Altered Hippocampal White Matter Connectivity in Type 2 Diabetes Mellitus and Memory Decrements[J/OL]. Neuroendocrinol, 2016, 28(3): 12366 [2025-08-26]. https://pubmed.ncbi.nlm.nih.gov/26791354/. DOI: 10.1111/jne.12366.
[24]
WU G Y, LIN L, ZHANG Q, et al. Brain gray matter changes in type 2 diabetes mellitus: A meta-analysis of whole-brain voxel-based morphometry study[J]. J Diabetes Complications, 2017, 31(12): 1698-1703. DOI: 10.1016/j.jdiacomp.2017.09.001.
[25]
ANTAL B, MCMAHON L P, SULTAN S F, et al. Type 2 diabetes mellitus accelerates brain aging and cognitive decline: Complementary findings from UK Biobank and meta-analyses[J/OL]. Elife, 2022, 11: e73138 [2025-08-26]. https://pubmed.ncbi.nlm.nih.gov/35608247/. DOI: 10.7554/eLife.73138.
[26]
邢楠, 华素玉, 李俐涛. 脑小血管病影像学标志物与认知功能障碍相关性研究进展[J]. 中国神经精神疾病杂志, 2024, 50(4): 242-246. DOI: 10.3969/j.issn.1002-0152.2024.04.009.XINGN,
HUA S Y, LI L T. Research progress on the correlation between imaging markers and cognitive dysfunction in cerebral small vessel disease[J]. Chinese Journal of Nervous and Mental Diseases, 2024, 50(4): 242-246. DOI: 10.3969/j.issn.1002-0152.2024.04.009.
[27]
MA T, LI Z Y, YU Y, et al. Gray and white matter abnormality in patients with T2DM-related cognitive dysfunction: a systemic review and meta-analysis[J/OL]. Nutr Diabetes, 2022, 12(1): 39 [2025-08-26]. https://pubmed.ncbi.nlm.nih.gov/35970833/. DOI: 10.1038/s41387-022-00214-2.
[28]
LIU H, LIU J, PENG L, et al. Changes in default mode network connectivity in different glucose metabolism status and diabetes duration[J/OL]. Neuroimage Clin, 2019, 21: 101629 [2025-08-26]. https://pubmed.ncbi.nlm.nih.gov/30573410/. DOI: 10.1016/j.nicl.2018.101629.
[29]
FANG F, LAI M Y, HUANG J J, et al. Compensatory Hippocampal Connectivity in Young Adults With Early-Stage Type 2 Diabetes[J]. J Clin Endocrinol Metab, 2019, 104(7): 3025-3038. DOI: 10.1210/jc.2018-02319.
[30]
茹宝根, 刘文增, 杨国财, 等. 基于多模态MRI探讨参芪益智颗粒对高原地区前驱期阿尔茨海默病患者的疗效观测[J]. 中风与神经疾病杂志, 2024, 41(12): 1085-1091. DOI: 10.19845/j.cnki.zfysjjbzz.2024.0207.
RU B G, LIU W Z, YANG G C, et al. Therapeutic effect of Shenqi Yizhi Granules on prodromal Alzheimer disease in plateau areas:A study based on multimodal magnetic resonance imaging[J]. Journal of Apoplexy and Nervous Diseases, 2024, 41(12): 1085-1091. DOI: 10.19845/j.cnki.zfysjjbzz.2024.0207.
[31]
FIEBACH C J, FRIEDERICI A D, SMITH E E, et al. Lateral inferotemporal cortex maintains conceptual-semantic representations in verbal working memory[J]. J Cogn Neurosci, 2007, 19(12): 2035-2049. DOI: 10.1162/jocn.2007.19.12.2035.
[32]
BRIGGS R G, KHAN A B, CHAKRABORTY A R, et al. Anatomy and White Matter Connections of the Superior Frontal Gyrus[J]. Clin Anat, 2020, 33(6): 823-832. DOI: 10.1002/ca.23523.
[33]
QI F, ZHANG D S, GAO J, et al. Functional Disconnection of the Angular Gyrus Related to Cognitive Impairment in Patients With Type 2 Diabetes Mellitus[J/OL]. Front Hum Neurosci, 2021, 15: 621080 [2025-08-26]. https://pubmed.ncbi.nlm.nih.gov/33613213/. DOI: 10.3389/fnhum.2021.621080.

上一篇 基于图论与独立成分分析的卵圆孔未闭患者脑功能变化研究
下一篇 基于扩散加权成像的生境分析对成人弥漫性胶质瘤异柠檬酸脱氢酶基因突变状态的评估价值
  
诚聘英才 | 广告合作 | 免责声明 | 版权声明
联系电话:010-67113815
京ICP备19028836号-2